Novel Esthetic Technique for Restoring Dental Implant Access Holes: A Case Report
Abstract
1. Introduction
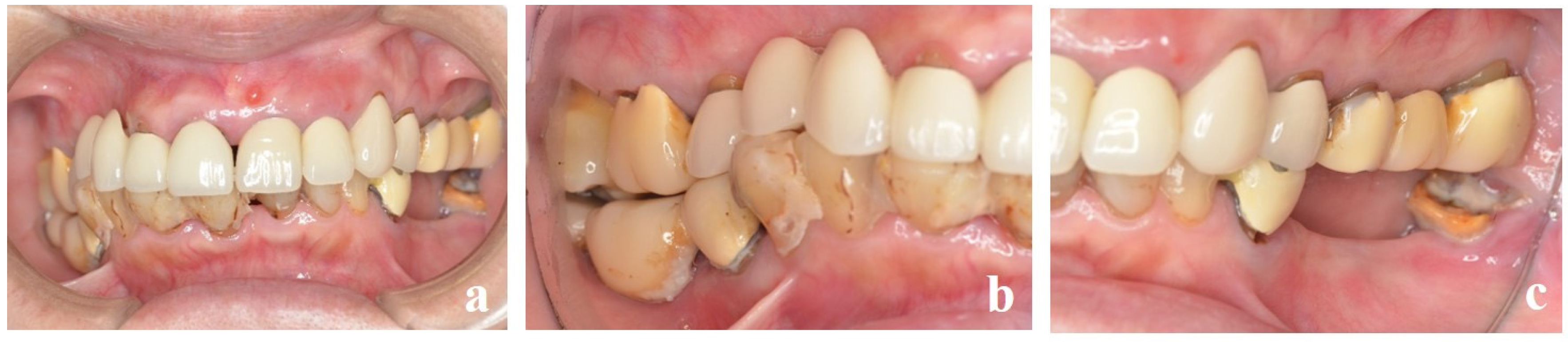
2. Case Presentation
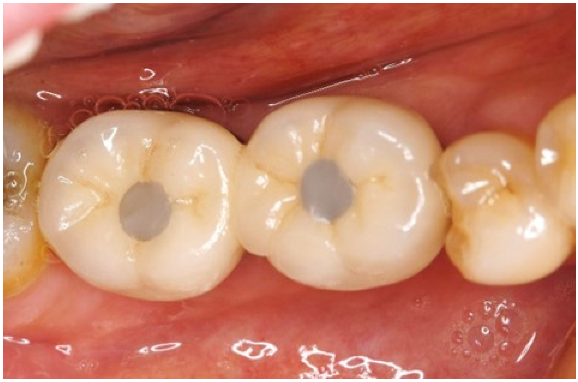
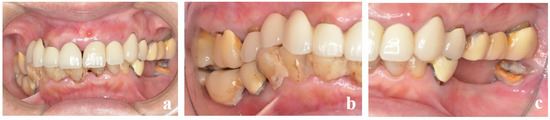
2.1. Problems to Date
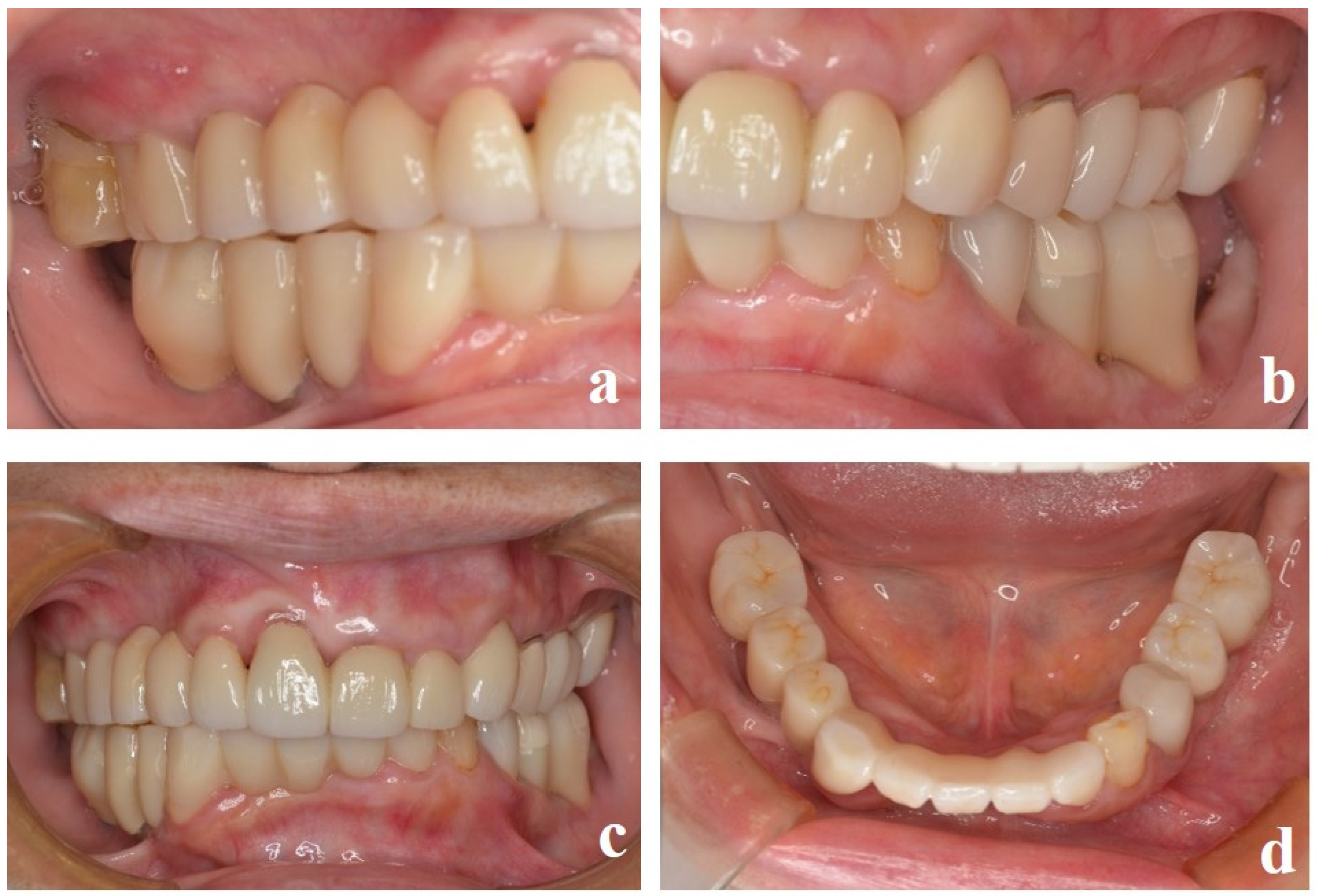
2.2. Case Report Using the ICE Technique
2.3. Impression Taking
2.4. Fabrication of Superstructure (Main Body)
2.5. Scanning of the Main Body and Fabrication of the Inlay Body
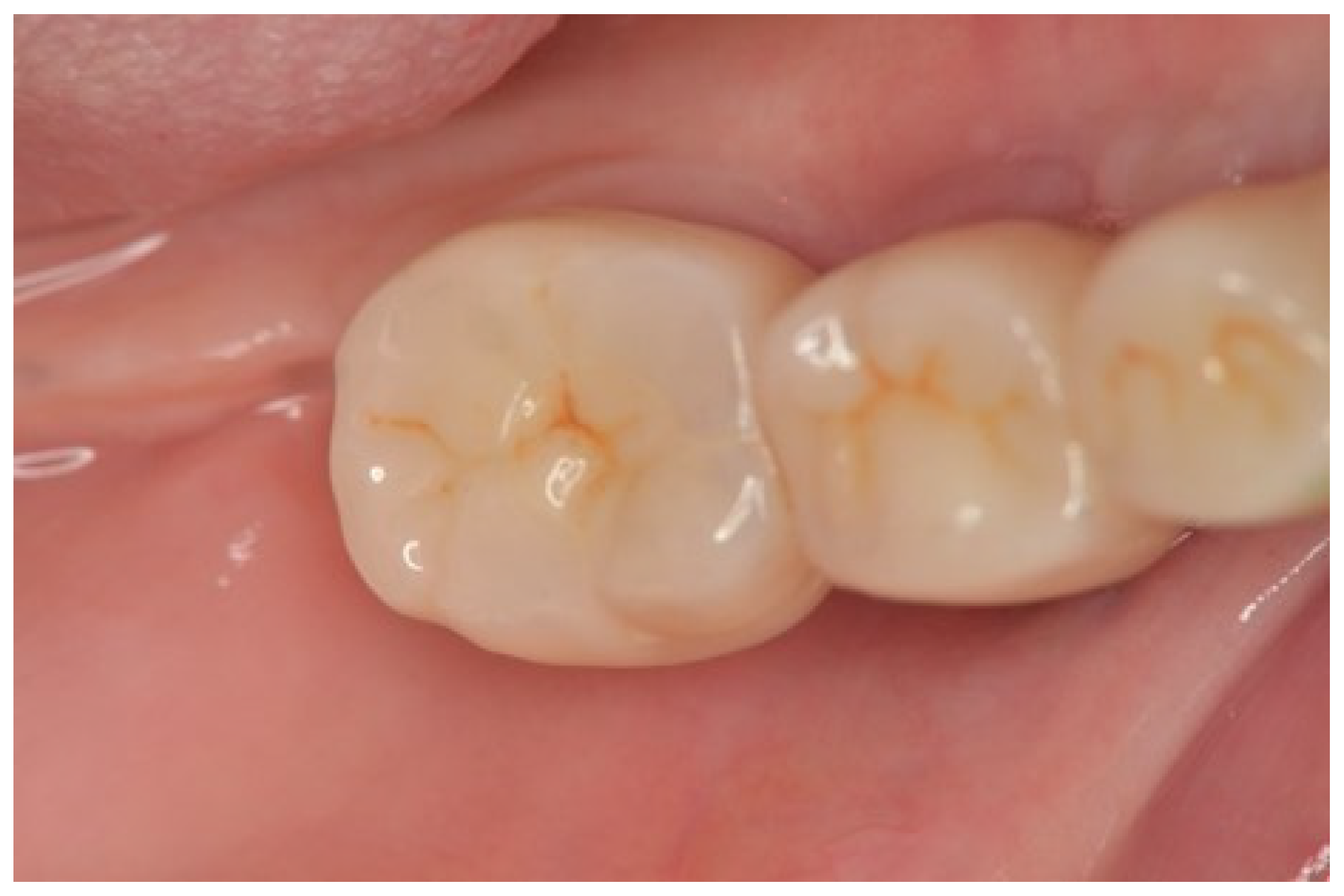
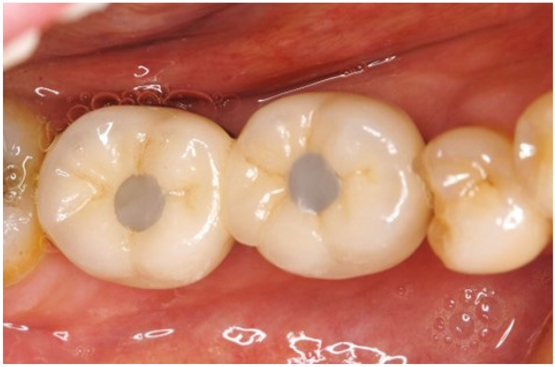
2.6. Completion of the Superstructure Components
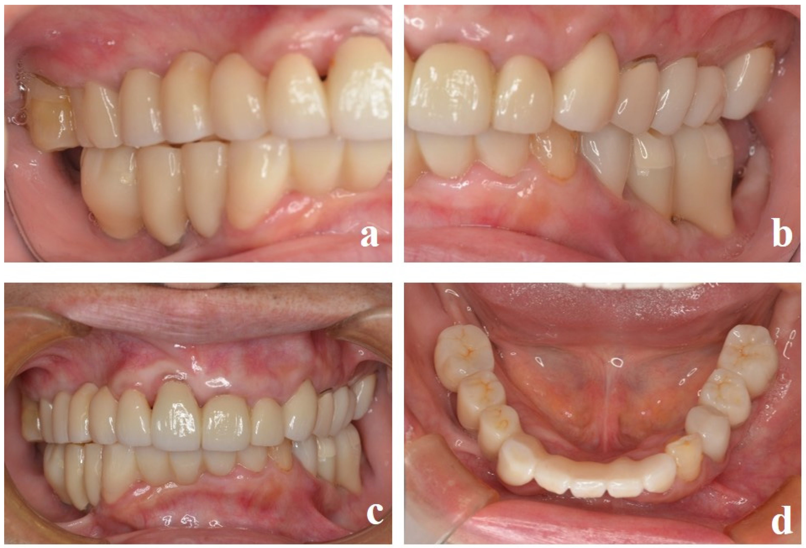
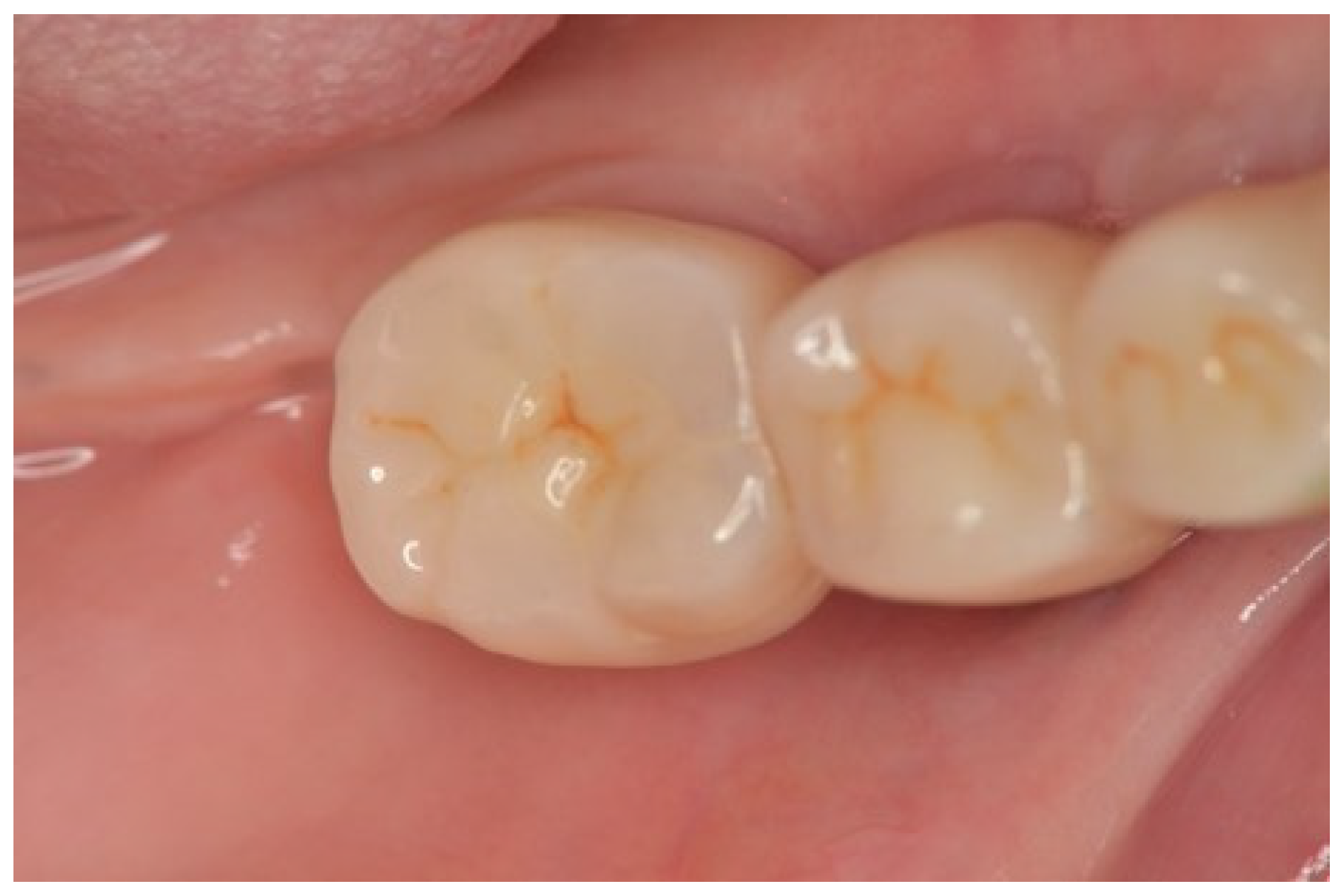
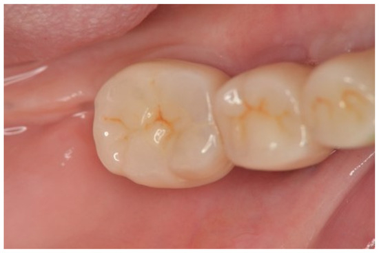
2.7. The Superstructure Placement and Maintenance Treatment
3. Discussion
4. Conclusions
Author Contributions
Funding
Institutional Review Board Statement
Informed Consent Statement
Data Availability Statement
Conflicts of Interest
References
- Ramanauskaite, A.; Sader, R. Esthetic complications in implant dentistry. Periodontol. 2000 2022, 88, 73–85. [Google Scholar] [CrossRef] [PubMed]
- Papaspyridakos, P.; Chen, C.J.; Singh, M.; Weber, H.P.; Gallucci, G.O. Success criteria in implant dentistry: A systematic review. J. Dent. Res. 2012, 91, 242–248. [Google Scholar] [CrossRef] [PubMed]
- Zarb, G.A.; Albrektsson, T. Consensus report: Towards optimized treatment outcomes for dental implants. J. Prosthet. Dent. 1998, 80, 641. [Google Scholar] [CrossRef] [PubMed]
- Wittneben, J.G.; Joda, T.; Weber, H.P.; Brägger, U. Screw retained vs. cement retained implant-supported fixed dental prosthesis. Periodontol. 2000 2017, 73, 141–151. [Google Scholar] [CrossRef] [PubMed]
- Ma, S.; Fenton, A. Screw- versus cement-retained implant prostheses: A systematic review of prosthodontic maintenance and complications. Int. J. Prosthodont. 2015, 28, 127–145. [Google Scholar] [CrossRef] [PubMed]
- Michalakis, K.X.; Calvani, P.L.; Muftu, S.; Pissiotis, A.; Hirayama, H. The effect of different implant-abutment connections on screw joint stability. J. Oral Implantol. 2014, 40, 146–152. [Google Scholar] [CrossRef] [PubMed]
- Weininger, B.; McGlumphy, E.; Beck, M. Esthetic evaluation of materials used to fill access holes of screw-retained implant crowns. J. Oral Implantol. 2008, 34, 145–149. [Google Scholar] [CrossRef]
- Kim, H.J.; Karasan, D.; Park, K.; Kwon, H.B.; Han, J.S.; Lee, J.H. Abutment margin levels and residual cement occurrence in cement-retained implant restorations: An observational study. Clin. Oral Implants Res. 2023, 34, 33–41. [Google Scholar] [CrossRef]
- Gönder, A.; Polat, S.; Kılıçarslan, M.A.; Ocak, M.; Tamam, E. How can excess residual cement be reduced in implant-supported restorations? An in vitro study. Clin. Implant Dent. Related Res. 2023, 25, 807–814. [Google Scholar] [CrossRef] [PubMed]
- Schoenbaum, T.R.; Chang, Y.Y.; Stevenson, R.G. Screw access mark for cemented implant crowns: A universal technique to simplify retrievability. J. Oral Implantol. 2018, 44, 71–73. [Google Scholar] [CrossRef]
- Martín Ortega, N.; Baños, M.Á.; Martínez, J.; Revilla-León, M.; Gómez-Polo, M. Techniques for locating the screw access hole in cement-retained implant-supported prostheses: A systematic review. J. Prosthet. Dent. 2023, 130, 48–58. [Google Scholar] [CrossRef] [PubMed]
- Artzi, Z.; Dreiangel, A. A screw lock for single-tooth implant superstructures. J. Am. Dent. Assoc. 1999, 130, 677–682. [Google Scholar] [CrossRef] [PubMed]
- Taylor, R.C.; Ghoneim, A.S.; McGlumphy, E.A. An esthetic technique to fill screw-retained fixed prostheses. J. Oral Implantol. 2004, 30, 384–385. [Google Scholar] [CrossRef] [PubMed]
- Chu, K.M.; Tredwin, C.J.; Setchell, D.J.; Hems, E. Effect of screw hole filling on retention of implant crowns. Eur. J. Prosthodont. Restor. Dent. 2005, 13, 154–158. [Google Scholar] [PubMed]
- Kurt, M.; Ural, C.; Kulunk, T.; Sanal, A.F.; Erkoçak, A. The effect of screw color and technique to fill access hole on the final color of screw-retained implant crowns. J. Oral Implantol. 2011, 37, 673–679. [Google Scholar] [CrossRef] [PubMed]
- Yamaguchi, K.; Munakata, M.; Ishii, K.; Uesugi, T. Bacterial flora in screw-fixed superstructures with different sealing materials: A comparative clinical trial. Bioengineering 2024, 11, 195. [Google Scholar] [CrossRef] [PubMed]
- Park, S.D.; Lee, Y.; Kim, Y.L.; Yu, S.H.; Bae, J.M.; Cho, H.W. Microleakage of different sealing materials in access holes of internal connection implant systems. J. Prosthet. Dent. 2012, 108, 173–180. [Google Scholar] [CrossRef]
- Smojver, I.; Bjelica, R.; Vuletić, M.; Gerbl, D.; Budimir, A.; Gabrić, D. Antimicrobial efficacy and per-meability of various sealing materials in two different types of implant-abutment connections. Int. J. Mol. Sci. 2022, 23, 8031. [Google Scholar] [CrossRef]
- Türk, A.G.; Ulusoy, M.; Toksavul, S.; Güneri, P.; Koca, H. Marginal bone loss of two implant systems with three different superstructure materials: A randomised clinical trial. J. Oral Rehabil. 2013, 40, 457–463. [Google Scholar] [CrossRef]
- Mohanty, A.K.; Varghese, T.; Bhushan, P.; Mahapatro, R.K.; Kashi, A.B.; Kariyatty, P. Influence of occlusal stress on implant abutment junction and implant bone interface: A finite element analysis study. J. Contemp. Dent. Pract. 2022, 23, 1190–1194. [Google Scholar] [CrossRef] [PubMed]
- Segal, B.S. Retrospective assessment of 546 all-ceramic anterior and posterior crowns in a general practice. J. Prosthet. Dent. 2001, 85, 544–550. [Google Scholar] [CrossRef]
- Raigrodski, A.J. Contemporary materials and technologies for all-ceramic fixed partial dentures: A review of the literature. J. Prosthet. Dent. 2004, 92, 557–562. [Google Scholar] [CrossRef]
- Lee, S.J.; Alamri, O.; Cao, H.; Wang, Y.; Gallucci, G.O.; Lee, J.D. Occlusion as a predisposing factor for peri-implant disease: A review article. Clin. Implant Dent. Related Res. 2023, 25, 734–742. [Google Scholar] [CrossRef]
- Sailer, I.; Karasan, D.; Todorovic, A.; Ligoutsikou, M.; Pjetursson, B.E. Prosthetic failures in dental implant therapy. Periodontol. 2000 2022, 88, 130–144. [Google Scholar] [CrossRef] [PubMed]
- Barootchi, S.; Wang, H.L. Peri-implant diseases: Current understanding and management. Int. J. Oral Implantol. 2021, 14, 263–282. [Google Scholar]
- Pirc, M.; Gadzo, N.; Balmer, M.; Naenni, N.; Jung, R.E.; Thoma, D.S. Maintenance costs, time, and efforts following implant therapy with fixed restorations over an observation period of 10 years: A randomized controlled clinical trial. Clin. Implant. Dent. Relat. Res. 2024. [Google Scholar] [CrossRef] [PubMed]
- Nothdurft, F.P.; Pospiech, P.R. Zirconium dioxide implant abutments for posterior single-tooth replacement: First results. J. Periodontol. 2009, 80, 2065–2072. [Google Scholar] [CrossRef] [PubMed]
- Tanimura, R.; Suzuki, S. Comparison of access-hole filling materials for screw retained implant prostheses: 12-month in vivo study. Int. J. Implant. Dent. 2017, 3, 19. [Google Scholar] [CrossRef] [PubMed]
- Pereira Rde, P.; Rocha, C.O.; Reis, J.M.; Arioli-Filho, J.N. Influence of sealing of the screw access hole on the fracture resistance of implant-supported restorations. Braz. Dent. J. 2016, 27, 148–152. [Google Scholar] [CrossRef]
- Moilanen, P.; Lassila, L.V.; Hjerppe, J.; Närhi, T.O. Push-out force and microleakage of screw access hole filling materials in monolithic zirconia implant crowns. Int. J. Prosthodont. 2022, 35, 194–200. [Google Scholar] [CrossRef] [PubMed]
- Inoue, K.; Nakata, H.; Taninokuchi, H.; Takahashi, Y.; Kasugai, S.; Kuroda, S. Microbiological comparison of different sealing materials for the access holes of implant restorations. Oral Health Prev. Dent. 2022, 20, 119–126. [Google Scholar] [PubMed]
- Zhou, H.; Ye, S.; Lyu, X.; Feng, H.; Liu, M.; Wen, C. Evaluation of sealing efficacy and removal convenience of sealing materials for implant abutment screw access holes. BMC Oral Health 2022, 22, 362. [Google Scholar] [CrossRef]
- Tsuji, M.; Noguchi, N.; Ihara, K.; Yamashita, Y.; Shikimori, M.; Goto, M. Fabrication of a maxillofacial prosthesis using a computer-aided design and manufacturing system. J. Prosthodont. 2004, 13, 179–183. [Google Scholar] [CrossRef] [PubMed]
- Zhang, C.; Zeng, C.; Wang, Z.; Zeng, T.; Wang, Y. Optimization of stress distribution of bone-implant interface (BII). Biomater. Adv. 2023, 147, 213342. [Google Scholar] [CrossRef] [PubMed]
- Morton, D.; Gallucci, G.; Lin, W.S.; Pjetursson, B.; Polido, W.; Roehling, S.; Sailer, I.; Aghaloo, T.; Albera, H.; Bohner, L.; et al. Group 2 ITI Consensus Report: Prosthodontics and implant dentistry. Clin. Oral Implants Res. 2018, 16, 215–223. [Google Scholar] [CrossRef]
- Ferrini, F.; Paolone, G.; Di Domenico, G.L.; Pagani, N.; Gherlone, E.F. SEM evaluation of the marginal accuracy of zirconia, lithium disilicate, and composite single crowns created by CAD/CAM method: Comparative analysis of different materials. Materials 2023, 16, 2413. [Google Scholar] [CrossRef]









Disclaimer/Publisher’s Note: The statements, opinions and data contained in all publications are solely those of the individual author(s) and contributor(s) and not of MDPI and/or the editor(s). MDPI and/or the editor(s) disclaim responsibility for any injury to people or property resulting from any ideas, methods, instructions or products referred to in the content. |
© 2025 by the authors. Licensee MDPI, Basel, Switzerland. This article is an open access article distributed under the terms and conditions of the Creative Commons Attribution (CC BY) license (https://creativecommons.org/licenses/by/4.0/).
Share and Cite
Seki, K.; Shiratsuchi, K.; Toki, A.; Kamimoto, A.; Hagiwara, Y. Novel Esthetic Technique for Restoring Dental Implant Access Holes: A Case Report. Dent. J. 2025, 13, 53. https://doi.org/10.3390/dj13020053
Seki K, Shiratsuchi K, Toki A, Kamimoto A, Hagiwara Y. Novel Esthetic Technique for Restoring Dental Implant Access Holes: A Case Report. Dentistry Journal. 2025; 13(2):53. https://doi.org/10.3390/dj13020053
Chicago/Turabian StyleSeki, Keisuke, Koji Shiratsuchi, Arata Toki, Atsushi Kamimoto, and Yoshiyuki Hagiwara. 2025. "Novel Esthetic Technique for Restoring Dental Implant Access Holes: A Case Report" Dentistry Journal 13, no. 2: 53. https://doi.org/10.3390/dj13020053
APA StyleSeki, K., Shiratsuchi, K., Toki, A., Kamimoto, A., & Hagiwara, Y. (2025). Novel Esthetic Technique for Restoring Dental Implant Access Holes: A Case Report. Dentistry Journal, 13(2), 53. https://doi.org/10.3390/dj13020053

