- Article
The Use of Flowable Decellularized Human Placental Connective Tissue Matrix in Alveolar Ridge Preservation: A Split-Mouth Pilot Study
- Bachar Husseini,
- Ronald Younes,
- Nabil Ghosn,
- Robert Miller,
- Georges Khoury,
- Robert Hariri and
- Michel Dard
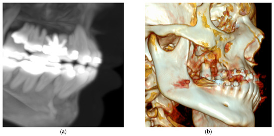
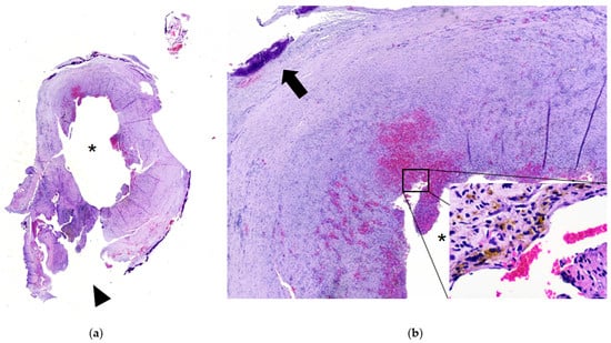
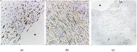
Background/Objectives: Tooth extraction is known to cause both bone loss and soft tissue collapse, changes that can complicate implant placement. While alveolar ridge preservation techniques have been proposed to limit these alterations, they often f...

