Management of a Mandibular Odontogenic Keratocyst with Enucleation, Piezotome-Assisted Peripheral Ostectomy, and Platelet-Rich Fibrin—A Case Report
Abstract
1. Introduction
2. Case Presentation
2.1. History and Examination
2.2. Surgical Phase
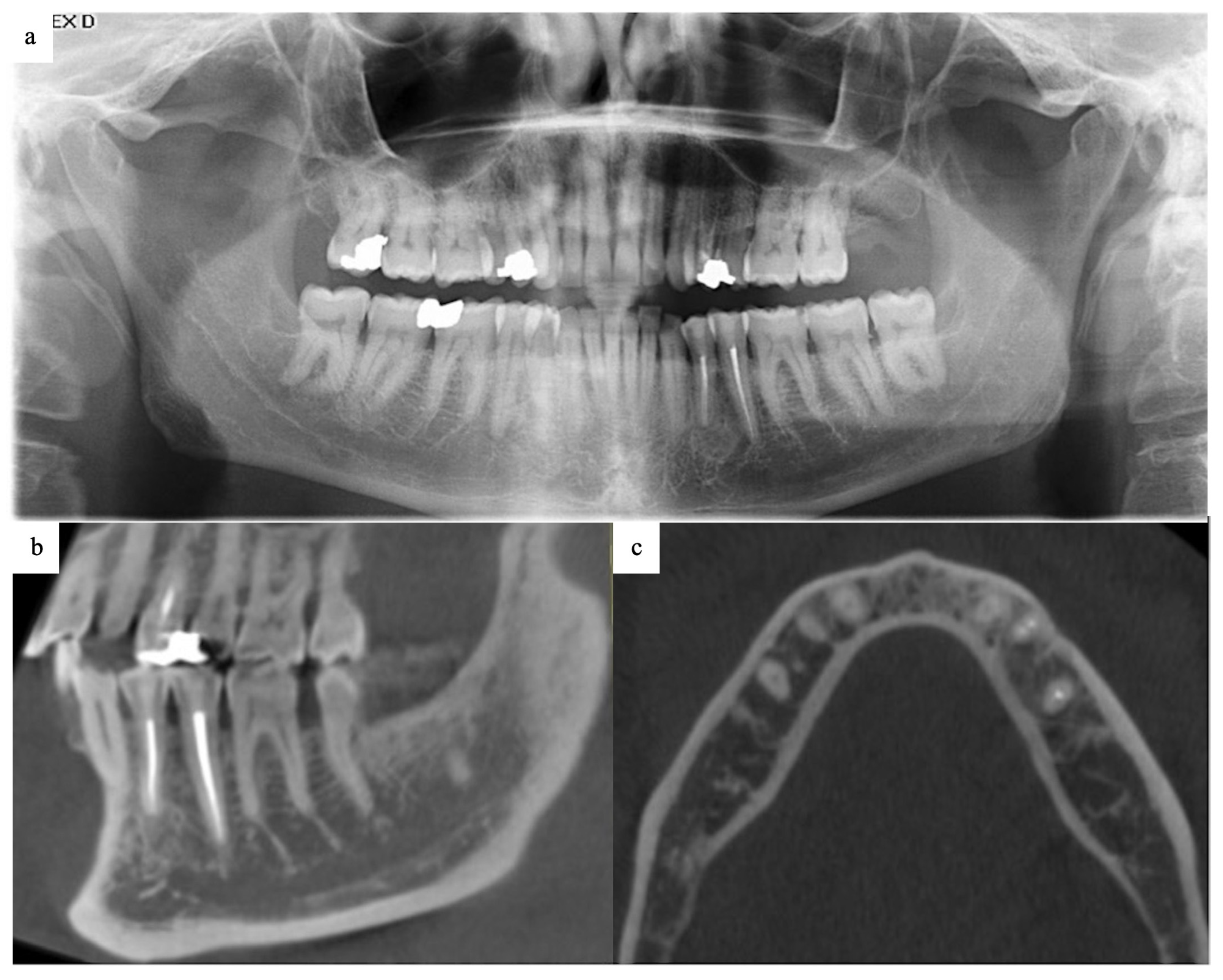
2.3. Postoperative Evaluation
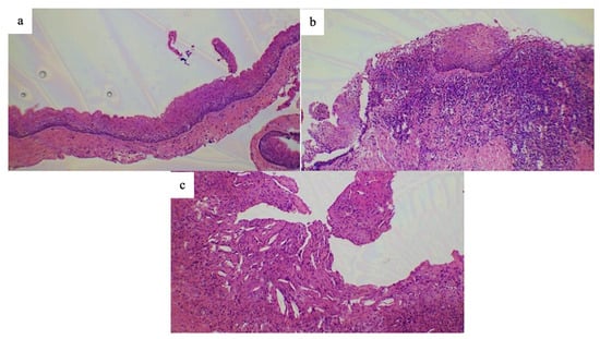
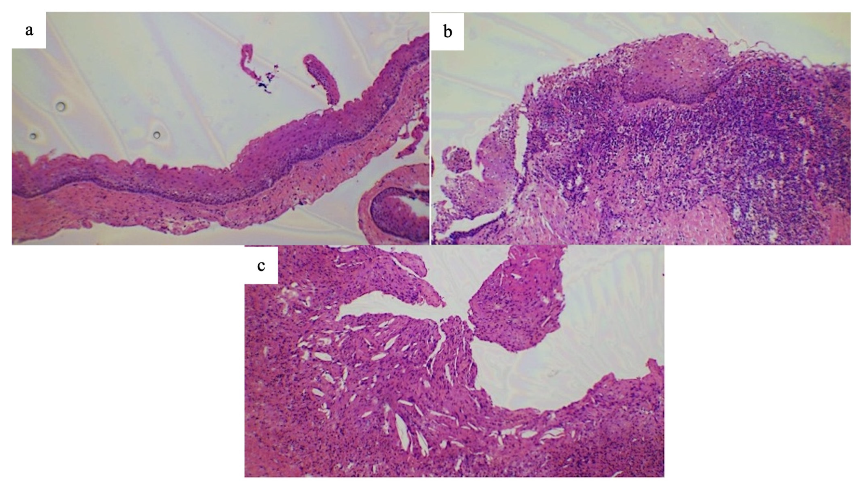
2.4. Histology
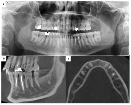
2.5. Follow-Up and Outcomes
3. Discussions
4. Conclusions
Author Contributions
Funding
Institutional Review Board Statement
Informed Consent Statement
Data Availability Statement
Acknowledgments
Conflicts of Interest
Abbreviations
References
- Philipsen, H.P. Om keratocyster (kolestetomer) i kaeberne. Tandialgebladet 1956, 60, 963. [Google Scholar]
- Al-Moraissi, E.A.; Dahan, A.A.; Alwadeai, M.S.; Oginni, F.O.; Al-Jamali, J.M.; Alkhutari, A.S.; Al-Tairi, N.H.; Almaweri, A.A.; Al-Sanabani, J.S. What surgical treatment has the lowest recurrence rate following the management of keratocystic odontogenic tumor?: A large systematic review and meta-analysis. J. Cranio-Maxillofac. Surg. 2017, 45, 131–144. [Google Scholar] [CrossRef]
- Karaca, Ç.; Dere, K.A.; Er, N.; Aktaş, A.; Tosun, E.; Köseoğlu, O.T.; Usubütün, A. Recurrence rate of odontogenic keratocyst treated by enucleation and peripheral ostectomy retrospective case series with up to 12 years of follow-up. Med. Oral Patol. Oral Cir. Bucal 2018, 23, e443–e448. [Google Scholar] [CrossRef] [PubMed]
- Polak, K.; Jędrusik-Pawłowska, M.; Drozdzowska, B.; Morawiec, T. Odontogenic keratocyst of the mandible: A case report and literature review. Dent. Med. Probl. 2019, 56, 433–436. [Google Scholar] [CrossRef] [PubMed]
- Kaczmarzyk, T.; Stypułkowska, J.; Tomaszewska, R. Update of the WHO classification of odontogenic and maxillofacial bone tumours. J. Stomatol. 2017, 70, 484–5606. [Google Scholar]
- Grover, S.; Hegde, S.; Mascarenhas, R. Management regulations for odontogenic keratocyst: A case report and review of the literature. J. Med. Case Rep. 2024, 18, 152. [Google Scholar] [CrossRef]
- Valdivia, A.D.C.M.; Ramos-Ibarra, M.L.; Franco-Barrera, M.J.; Arias-Ruiz, L.F.; García-Cruz, J.M.; Torres-Bugarín, O. What is Currently Known about Odontogenic Keratocysts? Oral Health Prev. Dent. 2022, 20, 321–330. [Google Scholar] [CrossRef]
- Akhter Lone, P.; Ahmed Wani, N.; Ahmed Janbaz, Z.; Bibi, M.; Kour, A. Topical 5-fluorouracil application in management of odontogenic keratocysts. J. Oral Biol. Craniofacial Res. 2020, 10, 404–406. [Google Scholar] [CrossRef]
- Meara, J.G.; Li, K.K.; Shah, S.S.; Cunningham, M.J. Odontogenic Keratocysts in the Pediatric Population. Arch. Otolaryngol. Head Neck Surg. 1996, 122, 725–728. [Google Scholar] [CrossRef]
- Giuliani, M.; Grossi, G.B.; Lajolo, C.; Bisceglia, M.; Herb, K.E. Conservative Management of a Large Odontogenic Keratocyst: Report of a Case and Review of the Literature. J. Oral Maxillofac. Surg. 2006, 64, 308–316. [Google Scholar] [CrossRef]
- Bsoul, S.A.; Paquette, M.; Terezhalmy, G.T.; Moore, W.S. Odontogenic keratocyst. Quintessence Int. 2002, 33, 400–401. [Google Scholar]
- Al-Moraissi, E.A.; Pogrel, M.A.; Ellis, E. Enucleation with or without adjuvant therapy versus marsupialization with or without secondary enucleation in the treatment of keratocystic odontogenic tumors: A systematic review and meta-analysis. J. Cranio-Maxillofac. Surg. 2016, 44, 1395–1403. [Google Scholar] [CrossRef]
- Patil, C.; Jadhav, A.; Rajanikanth, K.; Bhola, N.; Borle, R.M.; Mishra, A. Piezosurgery vs. bur in impacted mandibular third molar surgery: Evaluation of postoperative sequelae. J. Oral Biol. Craniofacial Res. 2019, 9, 259–262. [Google Scholar] [CrossRef]
- Hernando, J.; Aguilar-Salvatierra, A.; Leizaola-Cardesa, I.O.; Seijas, P.M.; Aguirre-Echebarria, P.; Martín, J.; Gómez-Moreno, G. Piezosurgery for Treatment of Large Recurrent Mandibular Osteoma. J. Craniofacial Surg. 2018, 29, e219–e221. [Google Scholar] [CrossRef] [PubMed]
- Maurer, P.; Kriwalsky, M.S.; Block Veras, R.; Vogel, J.; Syrowatka, F.; Heiss, C. Micromorphometrical analysis of conventional osteotomy techniques and ultrasonic osteotomy at the rabbit skull. Clin. Oral Implant. Res. 2008, 19, 570–575. [Google Scholar] [CrossRef]
- Ibrahim, Y.A.; Aly, T.M.; Ragab, H.R. A comparative study of mandibular cyst enucleation using the piezoelectric surgery versus the conventional technique. Alex. Dent. J. 2016, 41, 350–356. [Google Scholar] [CrossRef]
- Shokry, M.M.E.M.; Melek, L.N.F.; Amer, T.A. Three-dimensional volumetric analysis of bone regeneration following jaw cyst enucleation with and without an autologous albumin gel-platelet-rich fibrin mixture (Alb-PRF): A randomized controlled clinical trial. BMC Oral Health 2025, 25, 693. [Google Scholar] [CrossRef] [PubMed]
- Buchbender, M.; Neukam, F.W.; Lutz, R.; Schmitt, C.M. Treatment of enucleated odontogenic jaw cysts: A systematic review. Oral Surg. Oral Med. Oral Pathol. Oral Radiol. 2018, 125, 399–406. [Google Scholar] [CrossRef]
- Behnia, P.; Malekigorji, M.; Tabrizi, R.; Dehghanpour, M.; Ghaffarpasand, A. Use of Leukocyte-Platelet-Rich Fibrin in Conservative Management of Odontogenic Keratocyst: A Case Report. World J. Plast. Surg. 2022, 11, 98–102. [Google Scholar] [CrossRef]
- Vallejo-Rosero, K.A.; Camolesi, G.V.; de Sá, P.L.D.; Bernaola-Paredes, W.E. Conservative management of odontogenic keratocyst with long-term 5-year follow-up: Case report and literature review. Int. J. Surg. Case Rep. 2020, 66, 8–15. [Google Scholar] [CrossRef]
- Stoelinga, P.J.W. Keratocystic odontogenic tumour (KCOT) has again been renamed odontogenic keratocyst (OKC). Int. J. Oral Maxillofac. Surg. 2019, 48, 415–416. [Google Scholar] [CrossRef]
- Titinchi, F. Novel recurrence risk stratification of odontogenic keratocysts: A systematic review. Oral Dis 2021, 28, 1749–1759. [Google Scholar] [CrossRef]
- Van Cleemput, T.; Jackers, X.; Piagkou, M.; Politis, C. Recurrence Patterns of Odontogenic Keratocysts in Syndromic and Non-Syndromic Patients. J. Maxillofac. Oral Surg. 2024, 23, 152–158. [Google Scholar] [CrossRef]
- Oginni, F.O.; Alasseri, N.; Ogundana, O.M.; Famurewa, B.A.; Pogrel, A.; Al-Moraissi, E.A. An evidence-based surgical algorithm for management of odontogenic keratocyst. Oral Maxillofac. Surg. 2023, 27, 201–212. [Google Scholar] [CrossRef] [PubMed]
- Cardoso Tarallo, A.M.; de Souza Matos, F.; Ferreira de Souza, V.; Renato Paranhos, L.; Moreira Herval, Á.; Carneiro Valera, M.; Talge Carvalho, C.A. Odontogenic Keratocyst: A Case Report Emphasizing on Root Canal Treatment after Surgical Intervention. Iran. Endod. J. 2019, 14, 160–165. [Google Scholar] [CrossRef]
- Johnson, N.R.; Batstone, M.D.; Savage, N.W. Management and recurrence of keratocystic odontogenic tumor: A systematic review. Oral Surg. Oral Med. Oral Pathol. Oral Radiol. 2013, 116, e271–e276. [Google Scholar] [CrossRef]
- Kaczmarzyk, T.; Mojsa, I.; Stypulkowska, J. A systematic review of the recurrence rate for keratocystic odontogenic tumour in relation to treatment modalities. Int. J. Oral Maxillofac. Surg. 2012, 41, 756–767. [Google Scholar] [CrossRef] [PubMed]
- Arakji, H.; Osman, E.; Aboelsaad, N.; Shokry, M. Evaluation of implant site preparation with piezosurgery versus conventional drills in terms of operation time, implant stability and bone density (randomized controlled clinical trial- split mouth design). BMC Oral Health 2022, 22, 567. [Google Scholar] [CrossRef] [PubMed]
- Barone, A.; Santini, S.; Marconcini, S.; Giacomelli, L.; Gherlone, E.; Covani, U. Osteotomy and membrane elevation during the maxillary sinus augmentation procedure: A comparative study: Piezoelectric device vs. conventional rotative instruments. Clin. Oral Implant. Res. 2008, 19, 511–515. [Google Scholar] [CrossRef]
- Bayram, F.; Demirci, A. A randomized controlled trial comparing conventional and piezosurgery methods in mandibular bone block harvesting from the retromolar region. BMC Oral Health 2023, 23, 986. [Google Scholar] [CrossRef]
- Suárez-Pérez, L.; Peralta-Mamani, M.; Velázquez-Cayón, R.T. A comparison of piezoelectric surgery and conventional techniques in the enucleation of cysts and tumors in the jaws: A systematic review and meta-analysis. Med. Oral Patol. Oral Cir. Bucal 2025, 30, e333–e344. [Google Scholar] [CrossRef]
- Troiano, G.; Inghingolo, A.; Serpico, R.; Ciavarella, D.; Lo Muzio, L.; Cervino, G.; Cicciù, M.; Laino, L. Rate of Relapse After Enucleation of Solid/Multicystic Ameloblastoma Followed by Piezoelectric or Conventional Peripheral Ostectomy. J. Craniofacial Surg. 2018, 29, e291–e293. [Google Scholar] [CrossRef] [PubMed]
- Kocyigit, I.D.; Atil, F.; Alp, Y.E.; Tekin, U.; Tuz, H.H. Piezosurgery Versus Conventional Surgery in Radicular Cyst Enucleation. J. Craniofacial Surg. 2012, 23, 1805–1808. [Google Scholar] [CrossRef]
- Chrcanovic, B.R.; Gomez, R.S. Recurrence probability for keratocystic odontogenic tumors: An analysis of 6427 cases. J. Cranio-Maxillofac. Surg. 2017, 45, 244–251. [Google Scholar] [CrossRef]
- Ribeiro Júnior, O. Study of Surgical Treatment of Keratocystic Odontogenic Tumors Associated or Not to the Nevoid Basal Cell Carcinoma Syndrome and Analysis of Recurrence-Free Period. Ph.D. Thesis, University of São Paulo, São Paulo, Brazil, 2012. [Google Scholar]
- Cunha, J.F.; Gomes, C.C.; De Mesquita, R.A.; Andrade Goulart, E.M.; De Castro, W.H.; Gomez, R.S. Clinicopathologic features associated with recurrence of the odontogenic keratocyst: A cohort retrospective analysis. Oral Surg. Oral Med. Oral Pathol. Oral Radiol. 2016, 121, 629–635. [Google Scholar] [CrossRef]
- MacDonald, D.; Gu, Y.; Zhang, L.; Poh, C. Can clinical and radiological features predict recurrence in solitary keratocystic odontogenic tumors? Oral Surg. Oral Med. Oral Pathol. Oral Radiol. 2013, 115, 263–271. [Google Scholar] [CrossRef]
- Dioguardi, M.; Quarta, C.; Sovereto, D.; Caloro, G.A.; Ballini, A.; Aiuto, R.; Martella, A.; Lo Muzio, L.; Di Cosola, M. Factors and management techniques in odontogenic keratocysts: A systematic review. Eur. J. Med. Res. 2024, 29, 287. [Google Scholar] [CrossRef] [PubMed]
- Gonçalves, T.O.d.F.; Rangel, R.M.R.; Marañón-Vásquez, G.A.; Soares-Silva, L.; Agostini, M.; Abrahão, A.C.; Romañach, M.J.; Maia, L.C. Management and recurrence of the odontogenic keratocyst: An overview of systematic reviews. Oral Maxillofac. Surg. 2024, 28, 1457–1478. [Google Scholar] [CrossRef] [PubMed]
- Pogrel, M.A. The Keratocystic Odontogenic Tumor. Oral Maxillofac. Surg. Clin. North Am. 2013, 25, 21–30. [Google Scholar] [CrossRef]
- Tay, Z.W.; Sue, W.L.; Leeson, R.M.A. Chemical adjuncts and cryotherapy in the management Of odontogenic keratocysts: A systematic review. Adv. Oral Maxillofac. Surg. 2021, 3, 100116. [Google Scholar] [CrossRef]
- Neville, B.W.; Damm, D.D.; Allen, C.M.; Chi, A.C. Oral and Maxillofacial Pathology, 4th ed.; Elsevier Health Sciences: St. Louis, MO, USA, 2015. [Google Scholar]
- Chen, X.; Wang, Z.; Duan, N.; Zhu, G.; Schwarz, E.M.; Xie, C. Osteoblast–osteoclast interactions. Connect. Tissue Res. 2018, 59, 99–107. [Google Scholar] [CrossRef] [PubMed]
- Alsayed, I.; Abou Sulaiman, A.; Jawish, A.; Alsabbagh, M. Evaluation of the Use of Platelet-Rich Fibrin in Socket Preservation in Patients with Chronic Periodontitis. J. Int. Dent. Med. Res. 2020, 13, 246–251. [Google Scholar]
- Alzahrani, A.A.; Murriky, A.; Shafik, S. Influence of platelet rich fibrin on post-extraction socket healing: A clinical and radiographic study. Saudi Dent. J. 2017, 29, 149–155. [Google Scholar] [CrossRef]
- Nofriansyah, R.; Fauzi, A.; Prasetiawaty, E. The Efficacy of Platelet-Rich Fibrin on Bone Regeneration after Odontogenic Cyst Enucleation: A Systematic Review. J. Int. Dent. Med. Res. 2022, 15, 1829–1837. [Google Scholar]
- Reddy, D.V.K.; Kumar, S.R.R.; Kasaraneni, S.; Satyanarayana, K.B.V.V.; Gowtham, G. Role of Platelet Rich Fibrin in Odontogenic Cystic Defects. J. Res. Adv. Dent. 2021, 11, 320–326. [Google Scholar]




Disclaimer/Publisher’s Note: The statements, opinions and data contained in all publications are solely those of the individual author(s) and contributor(s) and not of MDPI and/or the editor(s). MDPI and/or the editor(s) disclaim responsibility for any injury to people or property resulting from any ideas, methods, instructions or products referred to in the content. |
© 2025 by the authors. Licensee MDPI, Basel, Switzerland. This article is an open access article distributed under the terms and conditions of the Creative Commons Attribution (CC BY) license (https://creativecommons.org/licenses/by/4.0/).
Share and Cite
Abdelfadil, E.; Alsharif, M.; Alsharif, A.T.; Mourad, S. Management of a Mandibular Odontogenic Keratocyst with Enucleation, Piezotome-Assisted Peripheral Ostectomy, and Platelet-Rich Fibrin—A Case Report. Dent. J. 2025, 13, 536. https://doi.org/10.3390/dj13110536
Abdelfadil E, Alsharif M, Alsharif AT, Mourad S. Management of a Mandibular Odontogenic Keratocyst with Enucleation, Piezotome-Assisted Peripheral Ostectomy, and Platelet-Rich Fibrin—A Case Report. Dentistry Journal. 2025; 13(11):536. https://doi.org/10.3390/dj13110536
Chicago/Turabian StyleAbdelfadil, Ehab, Maha Alsharif, Alla T. Alsharif, and Samah Mourad. 2025. "Management of a Mandibular Odontogenic Keratocyst with Enucleation, Piezotome-Assisted Peripheral Ostectomy, and Platelet-Rich Fibrin—A Case Report" Dentistry Journal 13, no. 11: 536. https://doi.org/10.3390/dj13110536
APA StyleAbdelfadil, E., Alsharif, M., Alsharif, A. T., & Mourad, S. (2025). Management of a Mandibular Odontogenic Keratocyst with Enucleation, Piezotome-Assisted Peripheral Ostectomy, and Platelet-Rich Fibrin—A Case Report. Dentistry Journal, 13(11), 536. https://doi.org/10.3390/dj13110536

