Evaluating Craniofacial Morphology Ratios as Predictors of Obstructive Sleep Apnea Severity in Non-Obese Adult Males
Abstract
1. Introduction
2. Materials and Methods
2.1. Patients
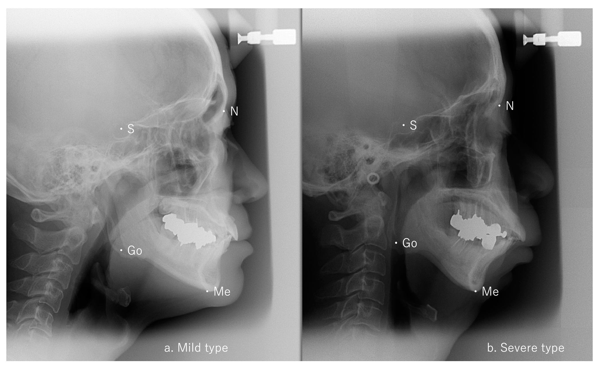
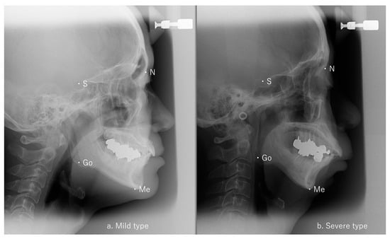
2.2. Cephalometric Analysis

2.3. Statistical Analysis
3. Results
3.1. Relationship Between Ricketts Analysis and Maxillofacial Morphology in OSA Patients
3.2. Relationship Between Ricketts Factors and Go-Me/S-N
4. Discussion
5. Conclusions
Author Contributions
Funding
Institutional Review Board Statement
Informed Consent Statement
Data Availability Statement
Acknowledgments
Conflicts of Interest
References
- Elmasry, A.; Lindberg, E.; Berne, C.; Janson, C.; Gislason, T.; Awad Tageldin, M.; Boman, G. Sleep-disordered breathing and glucose metabolism in hypertensive men: A population-based study. J. Intern. Med. 2001, 249, 153–161. [Google Scholar] [CrossRef]
- Muxfeldt, E.S.; Margallo, V.S.; Guimaraes, G.M.; Salles, G.F. Prevalence and associated factors of obstructive sleep apnea in patients with resistant hypertension. Am. J. Hypertens. 2014, 27, 1069–1078. [Google Scholar] [CrossRef] [PubMed]
- Yosunkaya, S.; Kutlu, R.; Vatansev, H. Effects of smoking on patients with obstructive sleep apnea syndrome. Clin. Respir. J. 2021, 15, 147–153. [Google Scholar] [CrossRef] [PubMed]
- Melaku, Y.A.; Appleton, S.; Reynolds, A.C.; Milne, R.L.; Lynch, B.M.; Eckert, D.J.; Adams, R. Healthy lifestyle is associated with reduced cardiovascular disease, depression and mortality in people at elevated risk of sleep apnea. J. Sleep Res. 2024, 33, e14069. [Google Scholar] [CrossRef] [PubMed]
- Kapur, V.K.; Auckley, D.H.; Chowdhuri, S.; Kuhlmann, D.C.; Mehra, R.; Ramar, K.; Harrod, C.G. Clinical Practice Guideline for Diagnostic Testing for Adult Obstructive Sleep Apnea: An American Academy of Sleep Medicine Clinical Practice Guideline. J. Clin. Sleep Med. 2017, 13, 479–504. [Google Scholar] [CrossRef] [PubMed]
- Li, K.K.; Powell, N.B.; Kushida, C.; Riley, R.W.; Adornato, B.; Guilleminault, C. A comparison of Asian and white patients with obstructive sleep apnea syndrome. Laryngoscope 1999, 109, 1937–1940. [Google Scholar] [CrossRef]
- Watanabe, T.; Isono, S.; Tanaka, A.; Tanzawa, H.; Nishino, T. Contribution of body habitus and craniofacial characteristics to segmental closing pressures of the passive pharynx in patients with sleep-disordered breathing. Am. J. Respir. Crit. Care Med. 2002, 165, 260–265. [Google Scholar] [CrossRef]
- Tsuiki, S.; Isono, S.; Ishikawa, T.; Yamashiro, Y.; Tatsumi, K.; Nishino, T. Anatomical balance of the upper airway and obstructive sleep apnea. Anesthesiology 2008, 108, 1009–1015. [Google Scholar] [CrossRef]
- Saigusa, H.; Suzuki, M.; Higurashi, N.; Kodera, K. Three-dimensional morphological analyses of positional dependence in patients with obstructive sleep apnea syndrome. Anesthesiology 2009, 110, 885–890. [Google Scholar] [CrossRef]
- Togeiro, S.M.; Chaves, C.M., Jr.; Palombini, L.; Tufik, S.; Hora, F.; Nery, L.E. Evaluation of the upper airway in obstructive sleep apnoea. Indian J. Med. Res. 2010, 131, 230–235. [Google Scholar]
- Stipa, C.; Cameli, M.; Sorrenti, G.; Ippolito, D.R.; Pelligra, I.; Alessandri-Bonetti, G. Relationship between cephalometric parameters and the apnoea-hypopnoea index in OSA patients: A retrospective cohort study. Eur. J. Orthod. 2020, 42, 101–106. [Google Scholar] [CrossRef] [PubMed]
- Ciavarella, D.; Lorusso, M.; Campobasso, A.; Cazzolla, A.P.; Montaruli, G.; Burlon, G.; Lo Muzio, E.; Laurenziello, M.; Tepedino, M. Craniofacial morphology in Obstructive Sleep Apnea patients. J. Clin. Exp. Dent. 2023, 15, e999–e1006. [Google Scholar] [CrossRef] [PubMed]
- Udayakumar, S.I.V.; Jo, H.J.; Kim, H.Y.; Joo, E.Y.; Paeng, J.Y. Gender differences in the upper airway, craniofacial morphological and polysomnographic parameters in patients with obstructive sleep apnoea. J. Oral Rehabil. 2024, 51, 581–592. [Google Scholar] [CrossRef] [PubMed]
- Lyberg, T.; Krogstad, O.; Djupesland, G. Cephalometric analysis in patients with obstructive sleep apnoea syndrome. I. Skeletal morphology. J. Laryngol. Otol. 1989, 103, 287–292. [Google Scholar] [CrossRef] [PubMed]
- Ozdemir, H.; Altin, R.; Sogut, A.; Cinar, F.; Mahmutyazicioglu, K.; Kart, L.; Uzun, L.; Davsanci, H.; Gundogdu, S.; Tomac, N. Craniofacial differences according to AHI scores of children with obstructive sleep apnoea syndrome: Cephalometric study in 39 patients. Pediatr. Radiol. 2004, 34, 393–399. [Google Scholar] [CrossRef] [PubMed]
- Kubota, Y.; Nakayama, H.; Takada, T.; Matsuyama, N.; Sakai, K.; Yoshizawa, H.; Nakamata, M.; Satoh, M.; Akazawa, K.; Suzuki, E.; et al. Facial axis angle as a risk factor for obstructive sleep apnea. Intern. Med. 2005, 44, 805–810. [Google Scholar] [CrossRef]
- Piccin, C.F.; Pozzebon, D.; Scapini, F.; Correa, E.C. Craniocervical Posture in Patients with Obstructive Sleep Apnea. Int. Arch. Otorhinolaryngol. 2016, 20, 189–195. [Google Scholar] [CrossRef]
- Sleep-related breathing disorders in adults: Recommendations for syndrome definition and measurement techniques in clinical research. The Report of an American Academy of Sleep Medicine Task Force. Sleep 1999, 22, 667–689. [CrossRef]
- Pae, E.K.; Ferguson, K.A. Cephalometric characteristics of nonobese patients with severe OSA. Angle Orthod. 1999, 69, 408–412. [Google Scholar]
- Higurashi, N.; Kikuchi, M.; Miyazaki, S.; Itasaka, Y. Comparison of Ricketts analysis and Downs-Northwestern analysis for the evaluation of obstructive sleep apnea cephalograms. Psychiatry Clin. Neurosci. 2001, 55, 259–260. [Google Scholar] [CrossRef]
- Kikuchi, M.; Higurashi, N.; Miyazaki, S.; Itasaka, Y.; Chiba, S.; Nezu, H. Facial pattern categories of sleep breathing-disordered children using Ricketts analysis. Psychiatry Clin. Neurosci. 2002, 56, 329–330. [Google Scholar] [CrossRef] [PubMed]

| OSA Severity | Mild | Moderate | Severe | p-Value |
|---|---|---|---|---|
| Number of patients | 19 | 15 | 10 | |
| Age (years) | 45.0 (38.0–52.5) | 47.0 (41.5–59.5) | 51.0 (46.3–60.3) | N.S. |
| AHI (events/h) | 10.0 (8.0–11.5) | 24.0 (19.4–25.8) ** | 53.5 (44.5–55.5) **, ## | <0.01 |
| Evaluation of maxillofacial morphology | ||||
| S-Go/N-Me (%) | 67.3 (64.6–70.8) | 66.4 (65.4–69.0) | 66.9 (65.3–68.4) | N.S. |
| Go-Me/S-N (%) | 109.4 (106.3–114.3) | 105.9 (102.3–109.8) * | 105.6 (97.1–109.9) * | <0.05 |
| Five factors of Ricketts analysis | ||||
| FA (°) | 87.3 (84.0–88.7) | 87.2 (83.7–89.0) | 85.2 (83.3–89.3) | N.S. |
| FD-FA (°) | 88.2 (85.3–89.9) | 86.2 (85.0–88.8) | 85.2 (83.3–89.3) | N.S. |
| MPA-FA (°) | 24.2 (21.3–29.6) | 28.9 (23.4–30.5) | 27.0 (23.4–28.4) | N.S. |
| LFH (°) | 50.1 (46.4–51.0) | 49.3 (44.6–53.0) | 49.5 (48.8–51.6) | N.S. |
| MA-FA (°) | 33.2 (30.6–38.6) | 32.0 (28.8–37.8) | 32.6 (31.3–34.0) | N.S. |
| Classification | Mild | Moderate | Severe | |
|---|---|---|---|---|
| (n = 19) | (n = 15) | (n = 10) | ||
| FA (°) | r | 0.216 | 0.464 | 0.401 |
| p | 0.360 | 0.082 | 0.229 | |
| FD-FA (°) | r | 0.446 | 0.593 | 0.527 |
| p | 0.059 | 0.026 * | 0.114 | |
| MPA-FA (°) | r | 0.172 | −0.436 | −0.12 |
| p | 0.466 | 0.103 | 0.729 | |
| LFH (°) | r | 0.24 | −0.115 | −0.067 |
| p | 0.315 | 0.989 | 0.842 | |
| MA-FA (°) | r | 0.052 | −0.071 | 0.430 |
| p | 0.826 | 0.789 | 0.197 |
Disclaimer/Publisher’s Note: The statements, opinions and data contained in all publications are solely those of the individual author(s) and contributor(s) and not of MDPI and/or the editor(s). MDPI and/or the editor(s) disclaim responsibility for any injury to people or property resulting from any ideas, methods, instructions or products referred to in the content. |
© 2024 by the authors. Licensee MDPI, Basel, Switzerland. This article is an open access article distributed under the terms and conditions of the Creative Commons Attribution (CC BY) license (https://creativecommons.org/licenses/by/4.0/).
Share and Cite
Shimatsu, M.; Kawashima, S.; Suzuki, M. Evaluating Craniofacial Morphology Ratios as Predictors of Obstructive Sleep Apnea Severity in Non-Obese Adult Males. Dent. J. 2024, 12, 374. https://doi.org/10.3390/dj12120374
Shimatsu M, Kawashima S, Suzuki M. Evaluating Craniofacial Morphology Ratios as Predictors of Obstructive Sleep Apnea Severity in Non-Obese Adult Males. Dentistry Journal. 2024; 12(12):374. https://doi.org/10.3390/dj12120374
Chicago/Turabian StyleShimatsu, Masasuke, Shigeto Kawashima, and Mitsuyoshi Suzuki. 2024. "Evaluating Craniofacial Morphology Ratios as Predictors of Obstructive Sleep Apnea Severity in Non-Obese Adult Males" Dentistry Journal 12, no. 12: 374. https://doi.org/10.3390/dj12120374
APA StyleShimatsu, M., Kawashima, S., & Suzuki, M. (2024). Evaluating Craniofacial Morphology Ratios as Predictors of Obstructive Sleep Apnea Severity in Non-Obese Adult Males. Dentistry Journal, 12(12), 374. https://doi.org/10.3390/dj12120374

