Effect of Porphyromonas gingivalis Infection on Healing of Skeletal Muscle Injury: An In Vivo Study
Abstract
1. Introduction
2. Materials and Methods
2.1. Animals
2.2. Induction of Experimental Infection by P. gingivalis Injection
2.3. Skeletal Muscle Injury Model
2.4. Motion Analysis
2.5. Cross-Sectional Area of the Repaired Muscle Cell
2.6. Analysis of Fibrosis
2.7. Immunohistochemistry
2.8. Statistical Analysis
3. Results
3.1. Motion Analysis
3.2. Analysis of the Muscle Cross-Sectional Area
3.3. Analysis of Fibrosis
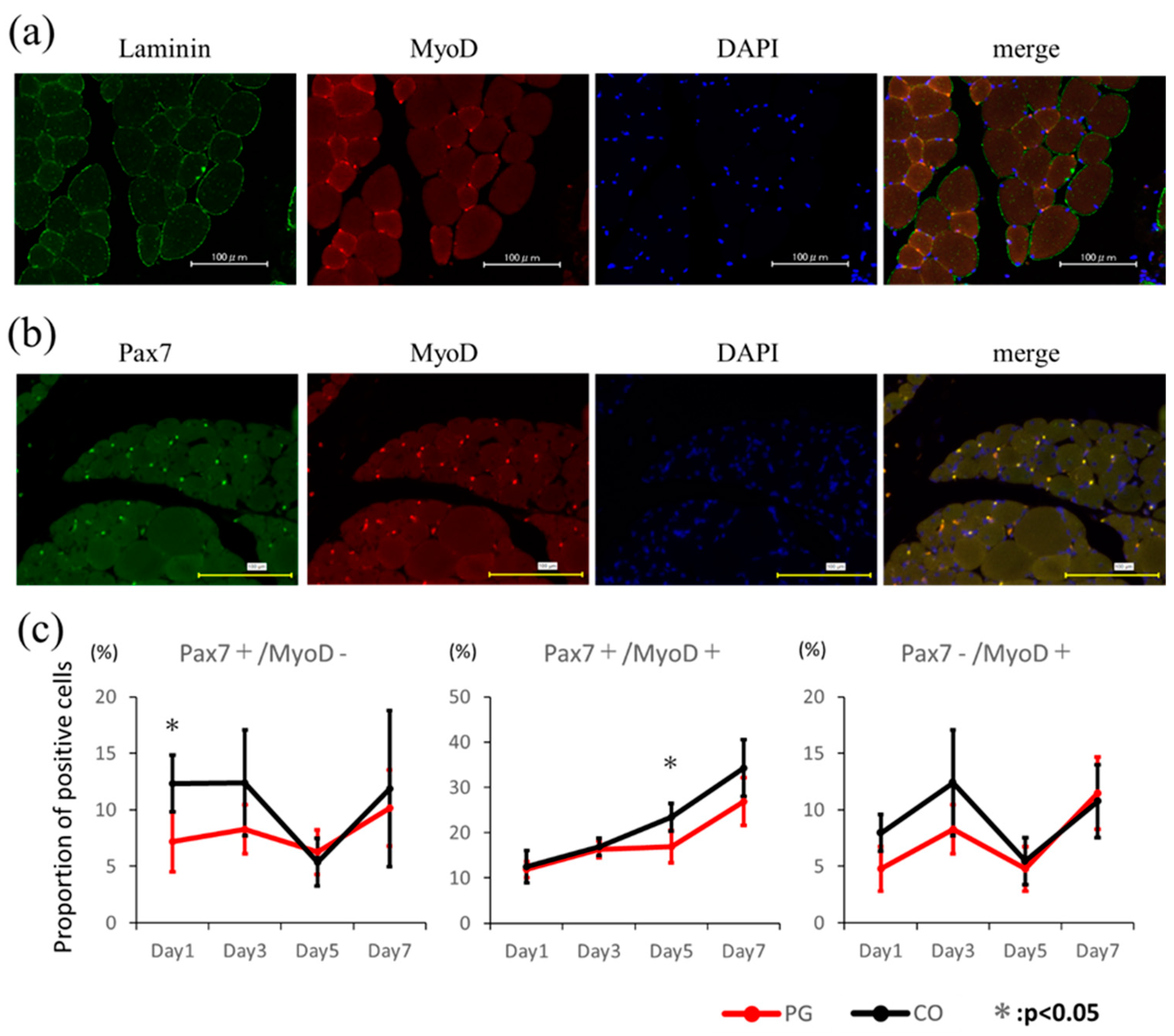
3.4. Assessment of Muscle Satellite Cell Activation
4. Discussion
5. Conclusions
Author Contributions
Funding
Institutional Review Board Statement
Informed Consent Statement
Data Availability Statement
Acknowledgments
Conflicts of Interest
References
- Iizuka, K.; Machida, T.; Hirafuji, M. Skeletal muscle is an endocrine organ. J. Pharmacol. Sci. 2014, 125, 125–131. [Google Scholar] [CrossRef] [PubMed]
- Soligard, T.; Steffen, K.; Palmer, D.; Alonso, J.M.; Bahr, R.; Lopes, A.; Dvorak, J.; Grant, M.-E.; Meeuwisse, W.; Mountjoy, M.; et al. Sports injury and illness incidence in the Rio de Janeiro 2016 Olympic Summer Games: A prospective study of 11274 athletes from 207 countries. Br. J. Sports Med. 2017, 51, 1265–1271. [Google Scholar] [CrossRef] [PubMed]
- Oyaizu, T.; Enomoto, M.; Yamamoto, N.; Tsuji, K.; Horie, M.; Muneta, T.; Sekiya, I.; Okawa, A.; Yagishita, K. Hyperbaric oxygen reduces inflammation, oxygenates injured muscle, and regenerates skeletal muscle via macrophage and satellite cell activation. Sci. Rep. 2018, 8, 1288. [Google Scholar] [CrossRef]
- Tang, L.; Zhang, J.; Zhao, X.; Li, N.; Jian, W.; Sun, S.; Guo, J.; Sun, L.; Ta, D. Low-intensity pulsed ultrasound promotes exercise-induced muscle hypertrophy. Ultrasound Med. Biol. 2017, 43, 1411–1420. [Google Scholar] [CrossRef]
- Järvinen, T.A.H.; Järvinen, T.L.N.; Kääriäinen, M.; Kalimo, H.; Järvinen, M. Muscle injuries: Biology and treatment. Am. J. Sports Med. 2005, 33, 745–764. [Google Scholar] [CrossRef]
- Hurme, T.; Kalimo, H.; Lehto, M.; Järvinen, M. Healing of skeletal muscle injury: An ultrastructural and immunohistochemical study. Med. Sci. Sports Exerc. 1991, 23, 801–810. [Google Scholar] [CrossRef] [PubMed]
- Vaittinen, S.; Hurme, T.; Rantanen, J.; Kalimo, H. Transected myofibres may remain permanently divided in two parts. Neuromuscul. Disord. 2002, 12, 584–587. [Google Scholar] [CrossRef] [PubMed]
- Carlson, B.M.; Faulkner, J.A. Muscle transplantation between young and old rats: Age of host determines recovery. Am. J. Physiol. 1989, 256, C1262–C1266. [Google Scholar] [CrossRef]
- Remels, A.H.; Gosker, H.R.; van der Velden, J.; Langen, R.C.; Schols, A.M. Systemic inflammation and skeletal muscle dysfunction in chronic obstructive pulmonary disease: State of the art and novel insights in regulation of muscle plasticity. Clin. Chest Med. 2007, 28, 537–552. [Google Scholar] [CrossRef]
- Zhang, L.; Rajan, V.; Lin, E.; Hu, Z.; Han, H.Q.; Zhou, X.; Song, Y.; Min, H.; Wang, X.; Du, J.; et al. Pharmacological inhibition of myostatin suppresses systemic inflammation and muscle atrophy in mice with chronic kidney disease. FASEB J. 2011, 25, 1653–1663. [Google Scholar] [CrossRef]
- Haddad, F.; Zaldivar, F.; Cooper, D.M.; Adams, G.R. IL-6-induced skeletal muscle atrophy. J. Appl. Physiol. 2005, 98, 911–917. [Google Scholar] [CrossRef] [PubMed]
- Grossi, S.G.; Genco, R.J. Periodontal disease and diabetes mellitus: A two-way relationship. Ann. Periodontol. 1998, 3, 51–61. [Google Scholar] [CrossRef]
- Epstein, S.E.; Zhou, Y.F.; Zhu, J. Infection and atherosclerosis: Emerging mechanistic paradigms. Circulation 1999, 100, e20–e28. [Google Scholar] [CrossRef]
- De Pablo, P.; Chapple, I.L.; Buckley, C.D.; Dietrich, T. Periodontitis in systemic rheumatic diseases. Nat. Rev. Rheumatol. 2009, 5, 218–224. [Google Scholar] [CrossRef] [PubMed]
- Ishida, N.; Ishihara, Y.; Ishida, K.; Tada, H.; Funaki-Kato, Y.; Hagiwara, M.; Ferdous, T.; Abdullah, M.; Mitani, A.; Michikawa, M.; et al. Periodontitis induced by bacterial infection exacerbates features of Alzheimer’s disease in transgenic mice. npj Aging Mech. Dis. 2017, 3, 15. [Google Scholar] [CrossRef]
- Mei, F.; Xie, M.; Huang, X.; Long, Y.; Lu, X.; Wang, X.; Chen, L. Porphyromonas gingivalis and Its Systemic Impact: Current Status. Pathogens 2020, 9, 944. [Google Scholar] [CrossRef] [PubMed]
- Amano, A.; Nakagawa, I.; Okahashi, N.; Hamada, N. Variations of Porphyromonas gingivalis fimbriae in relation to microbial pathogenesis. J. Periodont. Res. 2004, 39, 136–142. [Google Scholar] [CrossRef]
- Cardoso, E.M.; Reis, C.; Manzanares-Céspedes, M.C. Chronic periodontitis, inflammatory cytokines, and interrelationship with other chronic diseases. Postgrad. Med. 2018, 130, 98–104. [Google Scholar] [CrossRef]
- Loos, B.G.; Craandijk, J.; Hoek, F.J.; Wertheim-van Dillen, P.M.; van der Velden, U. Elevation of systemic markers related to cardiovascular diseases in the peripheral blood of periodontitis patients. J. Periodontol. 2000, 71, 1528–1534. [Google Scholar] [CrossRef]
- Srisuwantha, R.; Shiheido, Y.; Aoyama, N.; Sato, H.; Kure, K.; Laosrisin, N.; Izumi, Y.; Suzuki, J.-I. Porphyromonas gingivalis elevated high-mobility group box 1 levels after myocardial infarction in mice. Int. Heart J. 2017, 58, 762–768. [Google Scholar] [CrossRef]
- Guardiola, O.; Andolfi, G.; Tirone, M.; Iavarone, F.; Brunelli, S.; Minchiotti, G. Induction of acute skeletal muscle regeneration by cardiotoxin injection. J. Vis. Exp. 2017, 199, 54515. [Google Scholar] [CrossRef]
- Czerwinska, A.M.; Streminska, W.; Ciemerych, M.A.; Grabowska, I. Mouse gastrocnemius muscle regeneration after mechanical or cardiotoxin injury. Folia Histochem. Cytobiol. 2012, 50, 144–153. [Google Scholar] [CrossRef] [PubMed]
- Horie, M.; Enomoto, M.; Shimoda, M.; Okawa, A.; Miyakawa, S.; Yagishita, K. Enhancement of satellite cell differentiation and functional recovery in injured skeletal muscle by hyperbaric oxygen treatment. J. Appl. Physiol. 2014, 116, 149–155. [Google Scholar] [CrossRef]
- Järvinen, T.A.; Järvinen, T.L.; Kääriäinen, M.; Äärimaa, V.; Vaittinen, S.; Kalimo, H.; Järvinen, M. Muscle injuries: Optimising recovery. Best. Pract. Res. Clin. Rheumatol. 2007, 21, 317–331. [Google Scholar] [CrossRef]
- Ogasawara, S.; Cheng, X.W.; Inoue, A.; Hu, L.; Piao, L.; Yu, C.; Goto, H.; Xu, W.; Zhao, G.; Lei, Y.; et al. Cathepsin K activity controls cardiotoxin-induced skeletal muscle repair in mice. J. Cachexia Sarcopenia Muscle 2018, 9, 160–175. [Google Scholar] [CrossRef]
- Udagawa, S.; Katagiri, S.; Maekawa, S.; Takeuchi, Y.; Komazaki, R.; Ohtsu, A.; Sasaki, N.; Shiba, T.; Watanabe, K.; Ishihara, K.; et al. Effect of Porphyromonas gingivalis infection in the placenta and umbilical cord in pregnant mice with low birth weight. Acta Odontol. Scand. 2018, 76, 433–441. [Google Scholar] [CrossRef] [PubMed]
- Hayashi, K.; Takeuchi, Y.; Shimizu, S.; Tanabe, G.; Churei, H.; Kobayashi, H.; Ueno, T. Continuous oral administration of sonicated P. gingivalis delays rat skeletal muscle healing post-treadmill training. Int. J. Environ. Res. Public Health 2022, 19, 13046. [Google Scholar] [CrossRef]
- Iwata, A.; Fuchioka, S.; Hiraoka, K.; Masuhara, M.; Kami, K. Characteristics of locomotion, muscle strength, and muscle tissue in regenerating rat skeletal muscles. Muscle Nerve 2010, 41, 694–701. [Google Scholar] [CrossRef]
- Järvinen, M. Healing of a crush injury in rat striated muscle. Acta Pathol. Microbiol. Scand. A 1975, 83, 269–282. [Google Scholar]
- León, R.; Silva, N.; Ovalle, A.; Chaparro, A.; Ahumada, A.; Gajardo, M.; Martinez, M.; Gamonal, J. Detection of Porphyromonas gingivalis in the amniotic fluid in pregnant women with a diagnosis of threatened premature labor. J. Periodontol. 2007, 78, 1249–1255. [Google Scholar] [CrossRef]
- Jungbauer, G.; Stähli, A.; Zhu, X.; Auber Alberi, L.; Sculean, A.; Eick, S. Periodontal microorganisms and Alzheimer disease—A causative relationship? Periodontology 2000 2022, 89, 59–82. [Google Scholar] [CrossRef] [PubMed]
- Kubota, T.; Inoue, Y.; Iwai, T.; Kurihara, N.; Huang, Y.; Umeda, M. Arterial thrombosis after intravenous infusion of oral bacterium in a rat model. Ann. Vasc. Surg. 2008, 22, 412–416. [Google Scholar] [CrossRef] [PubMed]
- Watanabe, K.; Katagiri, S.; Takahashi, H.; Sasaki, N.; Maekawa, S.; Komazaki, R.; Hatasa, M.; Kitajima, Y.; Maruyama, Y.; Shiba, T.; et al. Porphyromonas gingivalis impairs glucose uptake in skeletal muscle associated with altering gut microbiota. FASEB J. 2021, 35, e21171. [Google Scholar] [CrossRef] [PubMed]





Disclaimer/Publisher’s Note: The statements, opinions and data contained in all publications are solely those of the individual author(s) and contributor(s) and not of MDPI and/or the editor(s). MDPI and/or the editor(s) disclaim responsibility for any injury to people or property resulting from any ideas, methods, instructions or products referred to in the content. |
© 2024 by the authors. Licensee MDPI, Basel, Switzerland. This article is an open access article distributed under the terms and conditions of the Creative Commons Attribution (CC BY) license (https://creativecommons.org/licenses/by/4.0/).
Share and Cite
Shimizu, S.; Hayashi, K.; Takeuchi, Y.; Tanabe, G.; Churei, H.; Kobayashi, H.; Ueno, T.; Fueki, K. Effect of Porphyromonas gingivalis Infection on Healing of Skeletal Muscle Injury: An In Vivo Study. Dent. J. 2024, 12, 346. https://doi.org/10.3390/dj12110346
Shimizu S, Hayashi K, Takeuchi Y, Tanabe G, Churei H, Kobayashi H, Ueno T, Fueki K. Effect of Porphyromonas gingivalis Infection on Healing of Skeletal Muscle Injury: An In Vivo Study. Dentistry Journal. 2024; 12(11):346. https://doi.org/10.3390/dj12110346
Chicago/Turabian StyleShimizu, Shintaro, Kairi Hayashi, Yasuo Takeuchi, Gen Tanabe, Hiroshi Churei, Hiroaki Kobayashi, Toshiaki Ueno, and Kenji Fueki. 2024. "Effect of Porphyromonas gingivalis Infection on Healing of Skeletal Muscle Injury: An In Vivo Study" Dentistry Journal 12, no. 11: 346. https://doi.org/10.3390/dj12110346
APA StyleShimizu, S., Hayashi, K., Takeuchi, Y., Tanabe, G., Churei, H., Kobayashi, H., Ueno, T., & Fueki, K. (2024). Effect of Porphyromonas gingivalis Infection on Healing of Skeletal Muscle Injury: An In Vivo Study. Dentistry Journal, 12(11), 346. https://doi.org/10.3390/dj12110346

