An Animal Ex Vivo Model Comparing Two Different Methods of Sinus Floor Elevation with Great Elevation Heights: Macroscopic, Microscopic and Radiological Analysis
Abstract
1. Introduction
- -
- The Superior wall or roof forms the floor of the orbit and is related to the lacrimal sac.
- -
- The Inferior wall or floor is formed by the alveolar process of the maxilla and the bony palate, and is related to the dental alveoli of the first and second molars.
- -
- The Anterior wall is a facial part covered by the soft tissues of the cheek. It extends from the alveolar process to the inferior orbital rim and from the piriform orifice to the proximities of the body and zygomatic bone.
- -
- The Posterior wall is related to the pterygopalatine fossa and its contents (Internal Maxillary Artery, Pterygopalatine Ganglion, and branches of the Trigeminal Nerve).
- -
- The Bony base is formed above by the ethmoid bone and its unciform process, in front by the lacrimal bone or unguis, below by the inferior turbinate bone and ethmoidal process, and behind by the maxillary process of the palatine [1].
| Authors | Elevation Method | Design | Elevation Height (mm) |
|---|---|---|---|
| Summers (1994) [2] | OSFE | Technical report | 4–5 |
| Summers (1994) [2] | BAOSFE | Case report | 5–7 |
| Zitzmann and Scharer (1998) [5] | OSFE | Clinical study | 4–5 |
| Rosen et al. (1999) [8] | BAOFE | Clinical study | 5–7 |
| Baumann and Ewers (1999) [16] | ECOSFE | Experimental study | 7–10 |
| Ioannidou and Dean (2000) [6] | OSFE | Case report | 4–5 |
| Nkenke et al. (2002) [17] | ECOSFE | Clinical study | 2–5 |
| Emmerich et al. (2005) [7] | OSFE | Meta-analysis | 1–7 |
| Sotirakis and Gonshor (2005) [18] | Free fluid pressure | Case report | 6–9 |
| Benner et al. (2005) [19] | BLC | Technical report | 10 |
| Kfir et al. (2007) [12] | Balloon elevation | Case report | 10 |
| María Peñarrocha et al. (2007) [20] | Balloon elevation | Case report | 8.7 |
| Hadar et al. (2014) [9] | IRAISE | Clinical trial | 6.7–13.1 |
| Parthasaradhi et al. (2015) [21] | Sinus lift system | Clinical trial | 5.80–10.20 |
| Xian et al. (2017) [22] | SCA KIT | Clinal study | 2.8–7.4 |
| Jing Yang et al. (2018) [10] | OSFE | Retrospective study | 0.1–8.6 |
| Aditi et al. (2019) [23] | OSFE | Clinical trial | 6.99–7.10 |
| Haushu et al. (2020) [24] | IRAISE | Retrospective cohort study | 8–9.3 |
2. Materials and Methods
2.1. Elevation Methods
2.1.1. Sinus Floor Elevation with BLC
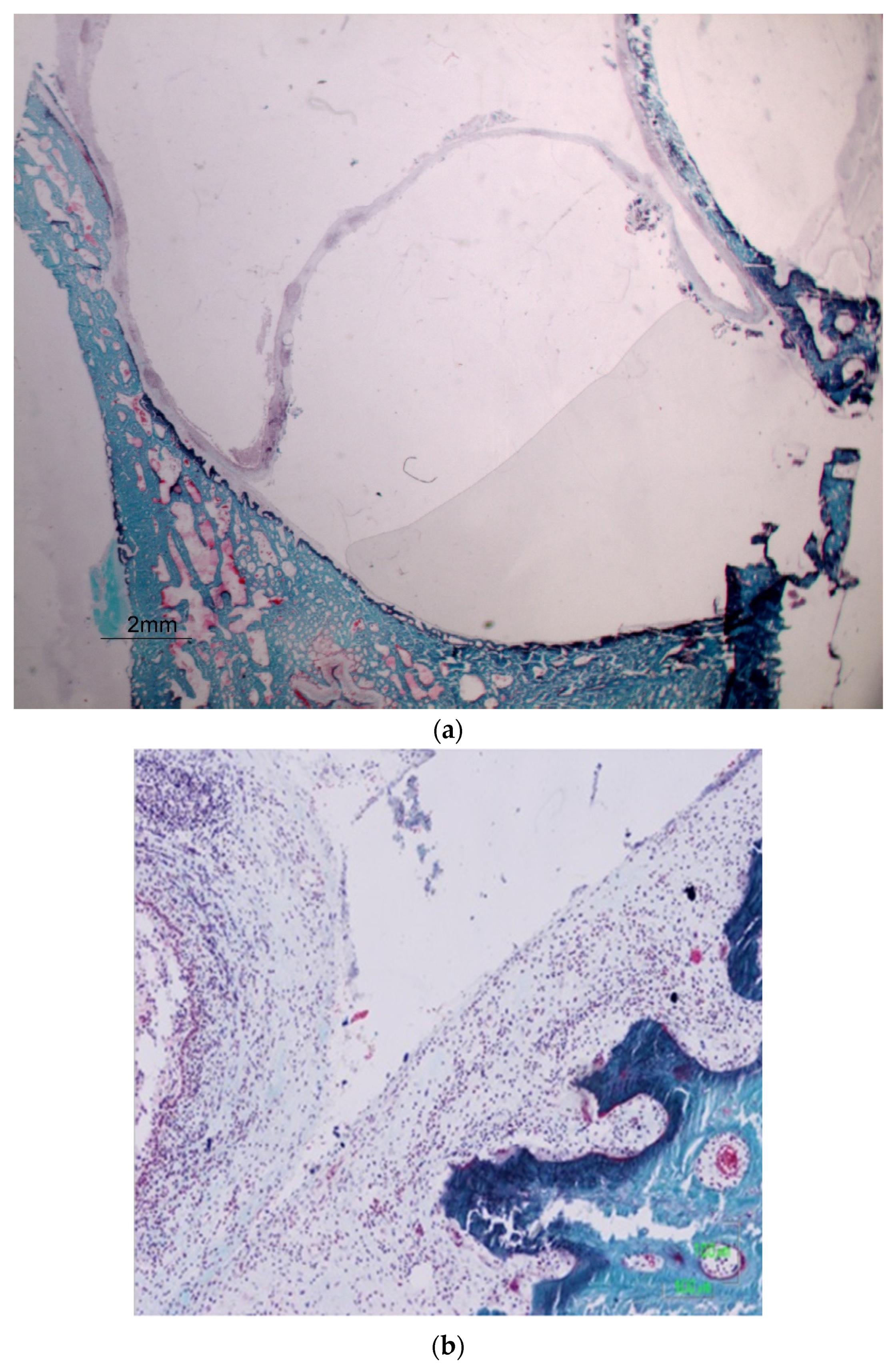
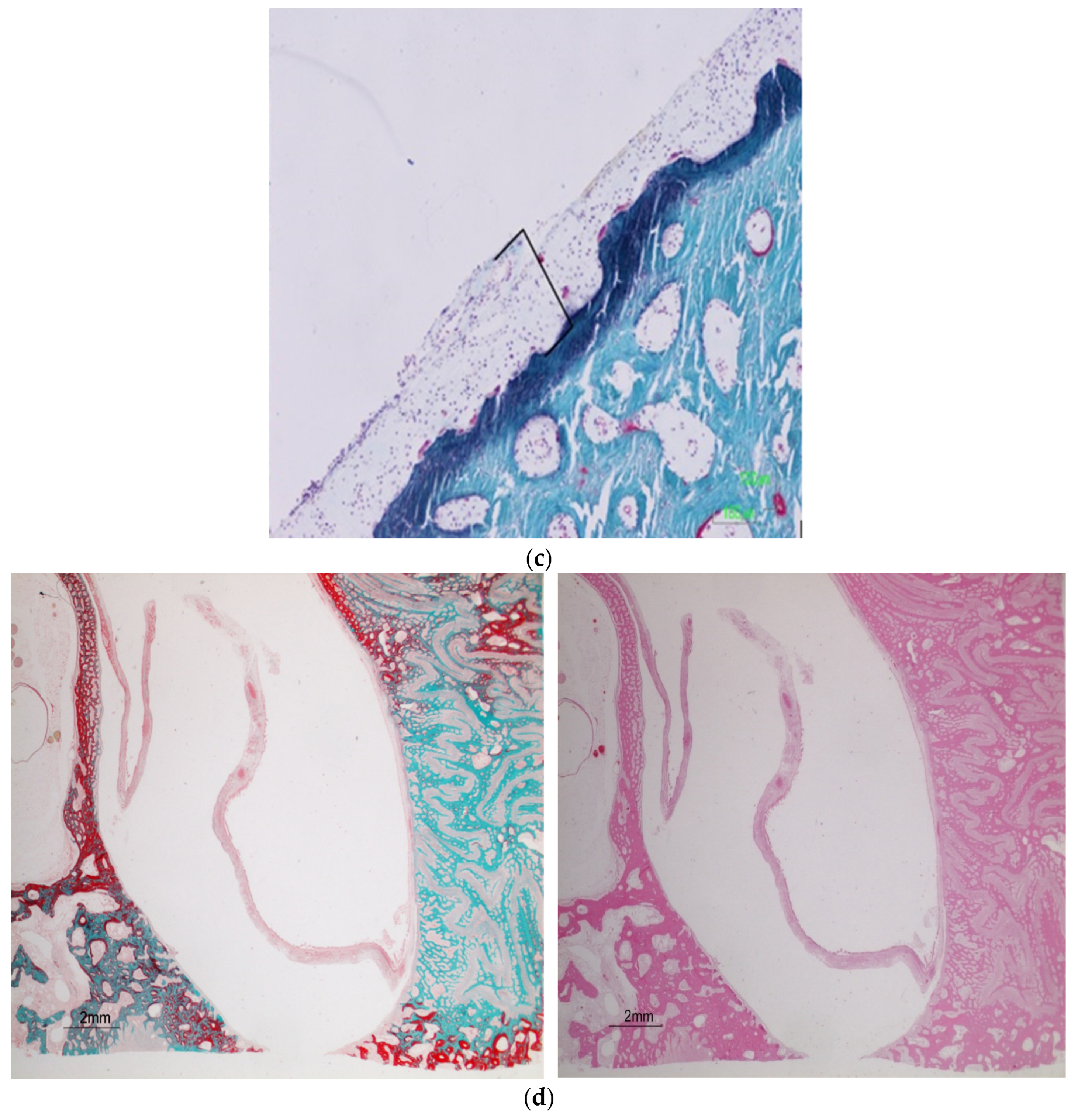
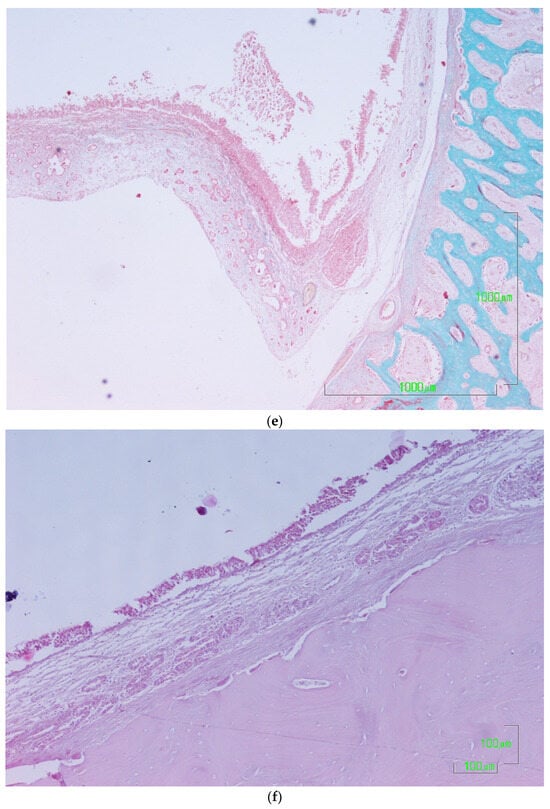
2.1.2. Histological Processing of Non-Decalcified Samples Embedded in Plastic
- Fixing and Preparation: Bone samples were collected, preserved in formalin, washed and then dehydrated using a series of ethanol solutions (from 70% to absolute ethanol).
- Embedding in PMMA: The samples were embedded in liquid polymethylmethacrylate (PMMA), a process that took 15 days at 4 °C with agitation, followed by polymerization in glass cylinders for 5–6 days at 32 °C.
- Sectioning: After polymerization, the bone samples were sectioned using a microtome. Initial thicker sections (30 µm) were made until the area of interest was reached, and then finer sections (5 µm) were prepared.
- Staining: The sections were stained using Goldner’s Trichrome, a method that highlights the difference between osteoid (unmineralized bone) and mineralized bone, as well as providing insights into the cell morphology.
- Microscopic Analysis: The stained sections were analyzed using a Nikon digital camera Sight DS-SMC attached to a Nikon Eclipse 90i optical microscope.
3. Results
3.1. Perforation in Osteotomy
3.2. Perforation in Elevation with Osteotomes
3.3. Elevation of All Layers with Osteotomes
3.4. Multivariate Logistic Regression Analysis in the Balloon Technique Group
Dependent Variable: Elevation Distance (CBCT)
3.5. Multivariate Logistic Regression Analysis in the Osteotome Technique Group
Dependent Variable: Elevation Distance (CBCT)
4. Discussion
5. Conclusions
6. Patents
Author Contributions
Funding
Institutional Review Board Statement
Informed Consent Statement
Data Availability Statement
Conflicts of Interest
References
- Raponi, I.; Giovannetti, F.; Buracchi, M.; Priore, P.; Battisti, A.; Scagnet, M.; Genitori, L.; Valentini, V. Management of orbital and brain complications of sinusitis: A practical algorithm. J. Cranio Maxillofac. Surg. 2021, 49, 1124–1129. [Google Scholar] [CrossRef] [PubMed]
- Raghoebar, G.M.; Onclin, P.; Boven, G.C.; Vissink, A.; Meijer, H.J.A. Long-term effectiveness of maxillary sinus floor augmentation: A systematic review and meta-analysis. J. Clin. Periodontol. 2019, 46, 307–318. [Google Scholar] [CrossRef] [PubMed]
- Alshamrani, A.M.; Mubarki, M.; Alsager, A.S.; Alsharif, H.K.; AlHumaidan, S.A.; Al-Omar, A. Maxillary Sinus Lift Procedures: An Overview of Current Techniques, Presurgical Evaluation, and Complications. Cureus 2023, 15, e49553. [Google Scholar] [CrossRef] [PubMed]
- Summers, R.B. A new concept in maxillary implant surgery: The osteotome technique. Compend. Contin. Educ. Dent. 1994, 15, 152–154. [Google Scholar]
- Zitzmann, N.U.; Schärer, P. Sinus elevation procedures in the resorbed posterior maxilla. Comparison of the crestal and lateral approaches. Oral Surg. Oral Med. Oral Pathol. Oral Radiol. Endod. 1998, 85, 8–17. [Google Scholar] [CrossRef]
- Ioannidou, E.; Dean, J.W. Osteotome sinus floor elevation and simultaneous, non-submerged implant placement: Case report and literature review. J. Periodontol. 2000, 71, 1613–1619. [Google Scholar] [CrossRef]
- Emmerich, D.; Att, W.; Stappert, C. Sinus Floor Elevation Using Osteotomes: A Systematic Review and Meta-Analysis. J. Periodontol. 2005, 76, 1237–1251. [Google Scholar] [CrossRef]
- Rosen, P.S.; Summers, R.; Mellado, J.R.; Salkin, L.M.; Shanaman, R.H.; Marks, M.H.; Fugazzotto, P.A. The bone-added osteotome sinus floor elevation technique: Multicenter retrospective report of consecutively treated patients. Int. J. Oral Maxillofac. Implant. 1999, 14, 853–858. [Google Scholar]
- Better, H.; Slavescu, D.; Barbu, H.; Cochran, D.L.; Chaushu, G. Minimally Invasive Sinus Lift Implant Device: A Multicenter Safety and Efficacy Trial Preliminary Results. Clin. Implant. Dent. Relat. Res. 2012, 16, 520–526. [Google Scholar] [CrossRef]
- Yang, J.; Xia, T.; Fang, J.; Shi, B. Radiological Changes Associated with New Bone Formation Following Osteotome Sinus Floor Elevation (OSFE): A Retrospective Study of 40 Patients with 18-Month Follow-Up. Med. Sci. Monit. 2018, 24, 4641–4648. [Google Scholar] [CrossRef]
- Lai, H.C.; Zhuang, L.F.; Lv, X.F.; Zhang, Z.Y.; Zhang, Y.X.; Zhang, Z.Y. Osteotome sinus floor elevation with or without grafting: A preliminary clinical trial. Clin. Oral. Implant. Res. 2010, 21, 520–526. [Google Scholar] [CrossRef] [PubMed]
- Kfir, E.; Goldstein, M.; Rafaelov, R.; Yerushalmi, I.; Kfir, V.; Mazor, Z.; Kaluski, E. Minimally invasive antral membrane balloon ele-vation in the presence of antral septa: A report of 26 procedures. J. Oral Implantol. 2009, 35, 257–267. [Google Scholar] [CrossRef] [PubMed]
- Muronoi, M.; Xu, H.; Shimizu, Y.; Ooya, K. Simplified procedure for augmentation of the sinus floor using a haemostatic nasal balloon. Br. J. Oral Maxillofac. Surg. 2003, 41, 120–121. [Google Scholar] [CrossRef] [PubMed]
- Soltan, M.; Smiler, D.G. Antral Membrane Balloon Elevation. J. Oral Implant. 2005, 31, 85–90. [Google Scholar] [CrossRef]
- Kfir, E.; Kfir, V.; Eliav, E.; Kaluski, E. Minimally Invasive Antral Membrane Balloon Elevation: Report of 36 Procedures. J. Periodontol. 2007, 78, 2032–2035. [Google Scholar] [CrossRef]
- Baumann, A.; Ewers, R. Minimally invasive sinus lift. Limits and possibilities in the atrophic maxilla. Mund Kiefer Gesichtschir. 1999, 3, 70–73. [Google Scholar] [CrossRef]
- Nkenke, E.; Schlegel, A.; Schultze-Mosgau, S.; Neukam, F.W.; Wiltfang, J. The endoscopically controlled osteotome sinus floor elevation: A preliminary prospective study. Int. J. Oral Maxillofac. Impl. 2002, 17, 557–566. [Google Scholar]
- Sotirakis, E.G.; Gonshor, A. Elevation of the Maxillary Sinus Floor with Hydraulic Pressure. J. Oral Implant. 2005, 31, 197–204. [Google Scholar] [CrossRef]
- Benner, K.U.; Bauer, F.; Heuckmann, K.H. Die ballonassistierte Sinusbodenschleimhaut-(BASS)-Elevation—Anatomische Studien mit einer minimalinvasiven Technik des Sinuslifts. Implantologie 2005, 13, 53–60. [Google Scholar]
- Penarrocha-Diago, M.; Galan-Gil, S.; Carrillo-Garcia, C.; Penarrocha-Diago, D. Transcrestal sinus lift and implant placement using the sinus balloon technique. Med. Oral Patol. Oral Cir. Bucal. 2012, 17, e122–e128. [Google Scholar] [CrossRef]
- Parthasaradhi, T.; Kumar, T.S.S.; Ashish, R.J.; Suganya, P. An alternative maxillary sinus lift technique—Sinu lift system. J. Clin. Diagn. Res. 2015, 9, 33–37. [Google Scholar]
- Zhou, X.; Hu, X.L.; Li, J.H.; Lin, Y. Minimally Invasive Crestal Sinus Lift Technique and Simultaneous Implant Placement. Chin. J. Dent. Res. 2017, 20, 211–218. [Google Scholar] [CrossRef] [PubMed]
- Rawat, A.; Thukral, H.; Jose, A. Indirect Sinus Floor Elevation Technique with Simultaneous Implant Placement without Using Bone Grafts. Ann. Maxillofac. Surg. 2019, 9, 96–102. [Google Scholar] [CrossRef] [PubMed]
- Chaushu, L.; Chaushu, G.; Better, H.; Naishlos, S.; Kolerman, R.; Aragoneses, J.M.; Calvo-Guirado, J.L.; Nissan, J. Sinus Augmentation with Simultaneous, Non-Submerged, Implant Placement Using a Minimally Invasive Hydraulic Technique. Medicina 2020, 56, 75. [Google Scholar] [CrossRef] [PubMed]
- Strietzel, F.P. Sinus floor elevation and augmentation. Evidence-based analysis of prognosis and risk factors. Mund Kiefer Gesichtschir. 2004, 8, 93–105. [Google Scholar] [CrossRef]
- Fenner, M.; Vairaktaris, E.; Fischer, K.; Schlegel, K.A.; Neukam, F.W.; Nkenke, E. Influence of residual alveolar bone height on osseointegration of implants in the maxilla: A pilot study. Clin. Oral Implant. Res. 2009, 20, 555–559. [Google Scholar] [CrossRef]
- Schlegel, K.A.; Zimmermann, R.; Thorwarth, M.; Neukam, F.W.; Klongnoi, B.; Nkenke, E.; Felszeghy, E. Sinus floor elevation using autogenous bone or bone substitute combined with platelet-rich plasma. Oral Surg. Oral Med. Oral Pathol. Oral Radiol. Endod. 2007, 104, 15–25. [Google Scholar] [CrossRef]
- Jensen, J.; Sindet-Petersen, S.; Oliver, A.J. Varying treatment strategies for reconstruction of maxillary atrophy with implants: Results in 98 patients. J. Oral. Maxillofac. Surg. 1994, 52, 210–216. [Google Scholar] [CrossRef]
- Díaz-Olivares, L.A.; Brinkmann, J.C.-B.; Martínez-Rodríguez, N.; Martínez-González, J.M.; López-Quiles, J.; Leco-Berrocal, I.; Meniz-García, C. Management of Schneiderian membrane perforations during maxillary sinus floor augmentation with lateral approach in relation to subsequent implant survival rates: A systematic review and meta-analysis. Int. J. Implant. Dent. 2021, 7, 91. [Google Scholar] [CrossRef]
- Stelzle, F.; Benner, K.-U. An animal model for sinus floor elevation with great elevation heights. Macroscopic, microscopic, radiological and micro-CT analysis: Ex vivo. Clin. Oral Implant. Res. 2010, 21, 1370–1378. [Google Scholar] [CrossRef]
- Engelke, W.; Deckwer, I. Endoscopically controlled sinus floor augmentation. A preliminary report. Clin. Oral Implant. Res. 1997, 8, 527–531. [Google Scholar] [CrossRef] [PubMed]
- Summers, R.B. The osteotome technique: Part 3--Less invasive methods of elevating the sinus floor. Compendium 1994, 15, 698–710. [Google Scholar] [PubMed]
- Stelzle, F.; Benner, K. Evaluation of Different Methods of Indirect Sinus Floor Elevation for Elevation Heights of 10 mm: An Experimental Ex Vivo Study. Clin. Implant. Dent. Relat. Res. 2011, 13, 124–133. [Google Scholar] [CrossRef]
- Hu, X.; Lin, Y.; Metzmacher, A.R.; Zhang, Y. Sinus membrane lift using a water balloon followed by bone grafting and implant placement: A 28-case report. Int. J. Prosthodont. 2009, 22, 243–247. [Google Scholar]
- Pommer, B.; Watzek, G. Gel-pressure technique for flapless transcrestal maxillary sinus floor elevation: A preliminary cadaveric study of a new surgical technique. Int. J. Oral Maxillofac. Impl. 2009, 24, 817–822. [Google Scholar]
- Chen, L.; Cha, J. An 8-Year Retrospective Study: 1100 Patients Receiving 1557 Implants Using the Minimally Invasive Hydraulic Sinus Condensing Technique. J. Periodontol. 2005, 76, 482–491. [Google Scholar] [CrossRef]
- Vlassis, J.M.; Fugazzotto, P.A. A Classification System for Sinus Membrane Perforations During Augmentation Procedures with Options for Repair. J. Periodontol. 1999, 70, 692–699. [Google Scholar] [CrossRef]
- Ardekian, L.; Oved-Peleg, E.; Mactei, E.E.; Peled, M. The Clinical Significance of Sinus Membrane Perforation During Augmentation of the Maxillary Sinus. J. Oral Maxillofac. Surg. 2006, 64, 277–282. [Google Scholar] [CrossRef]
- Black, P. Sinusbodenelevation: Entwicklung eines ballonassistierten Verfahrens. Ph.D. Thesis, Ludwig-Maximilians University, Munich, Germany, 2002. [Google Scholar]
- Gruber, R.; Kandler, B.; Fuerst, G.; Fischer, M.B.; Watzek, G. Porcine sinus mucosa holds cells that respond to bone morphogenetic protein (BMP)-6 and BMP-7 with increased osteogenic differentiation in vitro. Clin. Oral Implant. Res. 2004, 15, 575–580. [Google Scholar] [CrossRef]
- Aimetti, M.; Massei, G.; Morra, M.; Cardesi, E.; Romano, F. Correlation between gingival phenotype and Schneiderian membrane thickness. Int. J. Oral Maxillofac. Impl. 2008, 23, 1128–1132. [Google Scholar]









| Sinus Lift with Balloon | Elevation Distance from Crest Measured with CBCT (mm) | Perforation in Osteotomy (Yes/No) | Perforation in Elevation (Yes/No) | Elevation of All Layers (Yes/No) |
| 1 | 10.6 | no | no | yes |
| 2 | 11 | no | no | no |
| 3 | 10.1 | no | no | yes |
| 4 | 10.7 | no | no | yes |
| 5 | 10.1 | no | no | yes |
| 6 | 12.5 | no | no | no |
| 7 | 9.8 | no | no | no |
| 8 | 13.3 | no | no | yes |
| 9 | 10.1 | no | no | no |
| 10 | 11.8 | no | no | yes |
| Sinus Lift with Osteotome | Elevation Distance from Crest Measured with CBCT (mm) | Perforation in Osteotomy (Yes/No) | Perforation in Elevation with Osteotomes (Yes/No) | Elevation of All Layers with Osteotomes (Yes/No) |
| 11 | 9.6 | no | yes | yes |
| 12 | 9.8 | no | yes | yes |
| 13 | 8 | no | yes | yes |
| 14 | 8.8 | no | yes | yes |
| 15 | 10.3 | no | yes | yes |
| 16 | 9 | no | yes | yes |
| 17 | 9.2 | no | yes | no |
| 18 | 9.6 | no | yes | no |
| 19 | 10.4 | no | yes | no |
| 20 | 10.6 | no | yes | no |
| Group | Mean Distance (mm) | Mean Distance (mm) | Mean Distance (mm) | Mean Distance (mm) |
|---|---|---|---|---|
| Balloon Sinus Elevation | 11.00 | 1.16 | 10.65 | 9.80–13.30 |
| Osteotome Sinus Elevation | 9.53 | 0.80 | 9.60 | 8.00–10.60 |
| Groups | Balloon Sinus Elevation, n = 10 | Osteotome Sinus Elevation, n = 10 | Total, n = 20 | p-Value | |||
|---|---|---|---|---|---|---|---|
| n | % | n | % | n | % | ||
| Yes | 0 | 0.00 | 0 | 0.00 | 0 | 0.00 | 1.0000 |
| No | 10 | 100.00 | 10 | 100.00 | 20 | 100.00 | 1.0000 |
| Groups | Balloon Sinus Elevation, n = 10 | Osteotome Sinus Elevation, n = 10 | Total, n = 20 | p-Value | |||
|---|---|---|---|---|---|---|---|
| n | % | n | % | n | % | ||
| Yes | 0 | 0.00 | 10 | 100.00 | 10 | 50.00 | 0.0001 |
| No | 10 | 100.00 | 0 | 0.00 | 10 | 50.00 | 0.0001 |
| Groups | Balloon Sinus Elevation, n = 10 | Osteotome Sinus Elevation, n = 10 | Total, n = 20 | p-Value | |||
|---|---|---|---|---|---|---|---|
| n | % | n | % | n | % | ||
| Yes | 6 | 60.00 | 6 | 60.00 | 12 | 60.00 | 1.0000 |
| No | 4 | 40.00 | 4 | 40.00 | 8 | 40.00 | 1.0000 |
| Distance ≤ 10.65 mm | Distance > 10.65 mm | % | Chi-Square | Nagelkerke R-Squared | Omnibus Test p-Value | ||
|---|---|---|---|---|---|---|---|
| Elevation Distance with Balloon Technique | Distance ≤ 10.65 mm | 5 | 0 | 100.00 | 8.630 | 0.519 | 0.013 |
| Distance > 10.65 mm | 0 | 5 | 100.00 | ||||
| Total Count | 100.00 |
| Variable | B (Beta Coefficient) | Wald Statistic | p-Value | Odds Ratio (OR) | 95% CI Lower | 95% CI Upper |
|---|---|---|---|---|---|---|
| Perforation in Osteotomy (yes) | −1.099 | 4.526 | 0.033 | 0.333 | −0.995 | 1.100 |
| Perforation in Elevation with Osteotomes (yes) | 21.203 | 0.0001 | 0.999 | 16.048 | 0.0001 | 21.210 |
| Elevation of All Layers with Osteotomes (yes) | 0.0001 | 0.0001 | 1.000 | 1.000 | 0.080 | 12.557 |
| Distance ≤ 9.60 mm | Distance > 9.60 mm | % | Chi-Square | Nagelkerke R2 | Omnibus Test p-Value | ||
|---|---|---|---|---|---|---|---|
| Elevation Distance Using the Balloon Technique | Distance ≤ 9.60 mm | 6 | 0 | 100.00 | 11.251 | 0.610 | 0.004 |
| Distance > 9.60 mm | 0 | 4 | 100.00 | ||||
| Total Count | 100.00 |
| Variable | B (Beta Coefficient) | Wald Statistic | p-Value | Odds Ratio (OR) | 95% CI Lower | Variable |
|---|---|---|---|---|---|---|
| Perforation in Osteotomy (yes) | −0.693 | 0.866 | 0.423 | 0.50 | −0.690 | 0.700 |
| Perforation in Elevation with Osteotomes (yes) | 21.658 | 0.0001 | 0.999 | 25.57 | 0.0001 | 21.700 |
| Elevation of All Layers with Osteotomes (yes) | 0.693 | 0.641 | 0.600 | 2.00 | 0.150 | 26.734 |
Disclaimer/Publisher’s Note: The statements, opinions and data contained in all publications are solely those of the individual author(s) and contributor(s) and not of MDPI and/or the editor(s). MDPI and/or the editor(s) disclaim responsibility for any injury to people or property resulting from any ideas, methods, instructions or products referred to in the content. |
© 2024 by the authors. Licensee MDPI, Basel, Switzerland. This article is an open access article distributed under the terms and conditions of the Creative Commons Attribution (CC BY) license (https://creativecommons.org/licenses/by/4.0/).
Share and Cite
Fernández Castellano, E.R.; Garzón, L.B.; Márquez Sánchez, M.T.; Flores-Fraile, J. An Animal Ex Vivo Model Comparing Two Different Methods of Sinus Floor Elevation with Great Elevation Heights: Macroscopic, Microscopic and Radiological Analysis. Dent. J. 2024, 12, 337. https://doi.org/10.3390/dj12110337
Fernández Castellano ER, Garzón LB, Márquez Sánchez MT, Flores-Fraile J. An Animal Ex Vivo Model Comparing Two Different Methods of Sinus Floor Elevation with Great Elevation Heights: Macroscopic, Microscopic and Radiological Analysis. Dentistry Journal. 2024; 12(11):337. https://doi.org/10.3390/dj12110337
Chicago/Turabian StyleFernández Castellano, Erick Rafael, Lorena Benito Garzón, Magaly Teresa Márquez Sánchez, and Javier Flores-Fraile. 2024. "An Animal Ex Vivo Model Comparing Two Different Methods of Sinus Floor Elevation with Great Elevation Heights: Macroscopic, Microscopic and Radiological Analysis" Dentistry Journal 12, no. 11: 337. https://doi.org/10.3390/dj12110337
APA StyleFernández Castellano, E. R., Garzón, L. B., Márquez Sánchez, M. T., & Flores-Fraile, J. (2024). An Animal Ex Vivo Model Comparing Two Different Methods of Sinus Floor Elevation with Great Elevation Heights: Macroscopic, Microscopic and Radiological Analysis. Dentistry Journal, 12(11), 337. https://doi.org/10.3390/dj12110337

