Characteristics of the Occlusal Plane Associated with Unilateral and Bilateral Articular Eminence Inclination: A Cross-Sectional CBCT Study
Abstract
1. Introduction
2. Materials and Methods
2.1. Selection Criteria
2.2. Data Acquisition
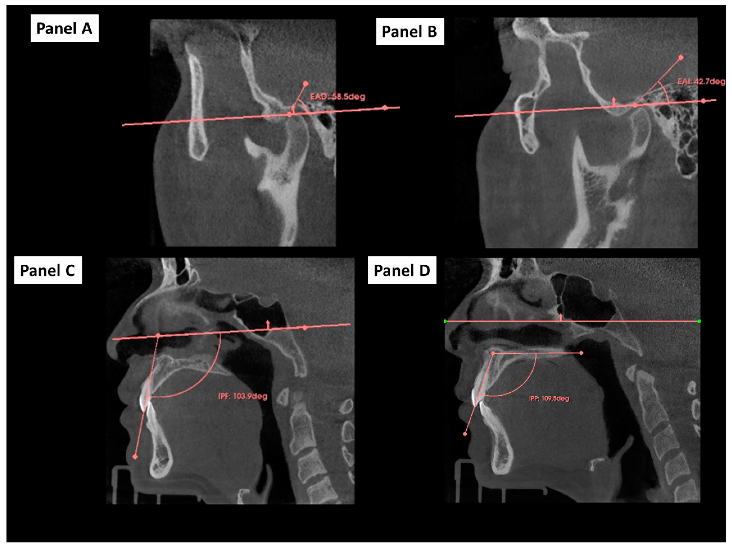
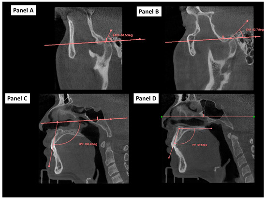
2.3. Tridimensional Reference Planes
2.4. Outcome and Independent Variables
2.5. Cephalometric 2D Variables
2.6. Population Study
2.7. Sample Size Calculation
2.8. Randomization
2.9. Statistical Analysis
2.9.1. Descriptive Statistics
2.9.2. Multivariate Analysis
2.10. Ethical Approval and Consent to Participate
3. Results
3.1. Right Articular Eminence Inclination
3.2. Left Articular Eminence Inclination
3.3. Bilateral Articular Eminence Inclination
4. Discussion
4.1. Limitations
4.2. Implications
5. Conclusions
Author Contributions
Funding
Institutional Review Board Statement
Informed Consent Statement
Data Availability Statement
Conflicts of Interest
References
- Luca, L.; Manfredini, D.; Arveda, N.; Rossi, L.; Siciliani, G. A Cone-Beam Computerized Tomography Assessment of the Relationship between Upper Incisors Inclination and Articular Eminence Features in Orthodontically Untreated Patients with Different Facial Type. J. World Fed. Orthod. 2016, 5, 56–63. [Google Scholar] [CrossRef]
- İlgüy, D.; İlgüy, M.; Fişekçioğlu, E.; Dölekoğlu, S.; Ersan, N. Articular Eminence Inclination, Height, and Condyle Morphology on Cone Beam Computed Tomography. Sci. World J. 2014, 2014, 761714. [Google Scholar] [CrossRef] [PubMed]
- Deepak, C.; Tazir, F.; Gnanashanmugham, K. Contemporary Orthodontic Diagnosis of Symptomatic TMD. J. Indian Orthod. Soc. 2010, 44, 82–88. [Google Scholar] [CrossRef]
- Zieliński, G.; Pająk-Zielińska, B.; Ginszt, M. A Meta-Analysis of the Global Prevalence of Temporomandibular Disorders. J. Clin. Med. 2024, 13, 1365. [Google Scholar] [CrossRef]
- Sang, S.; Ameli, N.; Almeida, F.T.; Friesen, R. Association between Clinical Symptoms and MRI Image Findings in Symptomatic Temporomandibular Joint (TMJ) Disease: A Systematic Review. J. Craniomaxillofac. Surg. 2024, 52, 835–842. [Google Scholar] [CrossRef]
- Ozkan, A.; Altug, H.A.; Sencimen, M.; Senel, B. Evaluation of Articular Eminence Morphology and Inclination in TMJ Internal Derangement Patients with MRI. Int. J. Morphol. 2012, 30, 740–744. [Google Scholar] [CrossRef]
- Rabelo, K.A.; Sousa Melo, S.L.; Torres, M.G.G.; Peixoto, L.R.; Campos, P.S.F.; Rebello, I.M.C.R.; De Melo, D.P. Assessment of Condyle Position, Fossa Morphology, and Disk Displacement in Symptomatic Patients. Oral Surg. Oral Med. Oral Pathol. Oral Radiol. 2017, 124, 199–207. [Google Scholar] [CrossRef]
- Vîrlan, M.J.R.; Păun, D.L.; Bordea, E.N.; Pellegrini, A.; Spînu, A.D.; Ivașcu, R.V.; Nimigean, V.; Nimigean, V.R. Factors Influencing the Articular Eminence of the Temporomandibular Joint (Review). Exp. Ther. Med. 2021, 22, 1084. [Google Scholar] [CrossRef]
- Almpani, K.; Tran, H.; Ferri, A.; Hung, M. Assessment of Condylar Anatomy and Degenerative Changes in Temporomandibular Joint Disorders—A Scoping Review. J. Oral Biol. Craniofac. Res. 2023, 13, 764–780. [Google Scholar] [CrossRef]
- Li, J.; Kau, C.H.; Wang, M. Changes of Occlusal Plane Inclination after Orthodontic Treatment in Different Dentoskeletal Frames. Prog. Orthod. 2014, 15, 41. [Google Scholar] [CrossRef]
- Oleksyn, K.; Rozhko, M. Use of Modern Methods of Diagnostic of Occlusal Disorders in Patients with Carious Disease. Galician Med. J. 2018, 25. [Google Scholar] [CrossRef]
- Hanashima, M.; Sakakibara, K.; Slavicek, R.; Sato, S. A Study Regarding Occlusal Plane and Posterior Disocclusion. Int. J. Stomatol. Occlusion Med. 2008, 1, 27–33. [Google Scholar] [CrossRef]
- Katsavrias, E.G. Changes in Articular Eminence Inclination During the Craniofacial Growth Period. Angle Orthod. 2002, 72, 258–264. [Google Scholar] [CrossRef]
- Yağci, F.; Türker, G.; Yılancı, H. Determination of the Thickness of the Safe Enamel for Laminate Veneer Preparation and Orthodontic Stripping by CBCT. Niger. J. Clin. Pract. 2021, 24, 525. [Google Scholar] [CrossRef] [PubMed]
- da Silva, B.R.; Moreira Neto, J.J.S.; da Silva, F.I.; de Aguiar, A.S.W. Finite Element Analysis Applied to Dentoalveolar Trauma: Methodology Description. Int. Sch. Res. Not. 2011, 2011, e297132. [Google Scholar] [CrossRef]
- Bertossi, D.; Fiorino, P.; Corega, C.; Sbricoli, L.; De Santis, D.; Donadello, D.; Ricciardi, G.; Luciano, U.; Bressan, E.; Pardo, A.; et al. Cone-Beam Volumetric Imaging in Craniofacial Medicine. Minerva Stomatol. 2019, 68, 200–212. [Google Scholar] [CrossRef] [PubMed]
- Milos, D.; Pavlic, A.; Vandevska Radunovic, V.; Zigante, M.; Matthewson, A.; Spalj, S. Craniofacial Growth in Adolescence and Its Influence on the Mandibular Incisor Crowding. Acta Stomatol. Croat. 2021, 55, 37–44. [Google Scholar] [CrossRef]
- Fedorov, A.; Beichel, R.; Kalpathy-Cramer, J.; Finet, J.; Fillion-Robin, J.-C.; Pujol, S.; Bauer, C.; Jennings, D.; Fennessy, F.; Sonka, M.; et al. 3D Slicer as an Image Computing Platform for the Quantitative Imaging Network. Magn. Reson. Imaging 2012, 30, 1323–1341. [Google Scholar] [CrossRef] [PubMed]
- Palaskar, J.N.; Joshi, N.; Gullapalli, P.; Shah, P. Comparative Evaluation of Sagittal Inclination of the Occlusal Plane with Frankfort Horizontal Plane in Facebow Transfers to Semiadjustable and Fully Adjustable Articulators. J. Prosthet. Dent. 2020, 123, 299–304. [Google Scholar] [CrossRef]
- Rodrigues, A.F.; Fraga, M.R.; Vitral, R.W.F. Computed Tomography Evaluation of the Temporomandibular Joint in Class II Division 1 and Class III Malocclusion Patients: Condylar Symmetry and Condyle-Fossa Relationship. Am. J. Orthod. Dentofac. Orthop. 2009, 136, 199–206. [Google Scholar] [CrossRef]
- Ikeda, K.; Yamashita, S. A Study for Determining the Inclination of the Occlusal Plane from the Mandibular Functional Trajectory. Int. J. Dent. 2022, 2022, 6713881. [Google Scholar] [CrossRef] [PubMed]
- Martín, C.; Alarcón, J.A.; Palma, J.C. Evaluation of Kinesiography in Patients with an Inclination of the Occlusal Plane with Crossbite. Am. J. Orthod. Dentofac. Orthop. 2000, 118, 541–548. [Google Scholar] [CrossRef] [PubMed]
- Calculator for Multiple Regression [Softwere]. Available online: https://www.danielsoper.com/statcalc/calculator.aspx?id=1 (accessed on 19 June 2024).
- Galante, G.; Paesani, D.; Tallents, R.H.; Hatala, M.A.; Katzberg, R.W.; Murphy, W. Angle of the Articular Eminence in Patients with Temporomandibular Joint Dysfunction and Asymptomatic Volunteers. Oral Surg. Oral Med. Oral Pathol. Oral Radiol. Endodontol. 1995, 80, 242–249. [Google Scholar] [CrossRef] [PubMed]
- Hatcher, D.C. Anatomy of the Mandible, Temporomandibular Joint, and Dentition. Neuroimaging Clin. N. Am. 2022, 32, 749–761. [Google Scholar] [CrossRef] [PubMed]
- Guo, R.; Zhang, L.; Hu, M.; Huang, Y.; Li, W. Alveolar Bone Changes in Maxillary and Mandibular Anterior Teeth during Orthodontic Treatment: A Systematic Review and Meta-Analysis. Orthod. Craniofac. Res. 2021, 24, 165–179. [Google Scholar] [CrossRef]
- Iturriaga, V.; Bornhardt, T.; Velasquez, N. Temporomandibular Joint: Review of Anatomy and Clinical Implications. Dent. Clin. North Am. 2023, 67, 199–209. [Google Scholar] [CrossRef]
- Chiang, M.-T.; Li, T.-I.; Yeh, H.-W.; Su, C.-C.; Chiu, K.-C.; Chung, M.-P.; Huang, R.-Y.; Shieh, Y.-S. Evaluation of Missing-Tooth Effect on Articular Eminence Inclination of Temporomandibular Joint. J. Dent. Sci. 2015, 10, 383–387. [Google Scholar] [CrossRef][Green Version]
- Ren, Y.-F.; Isberg, A.; Westesson, P.-L. Steepness of the Articular Eminence in the Temporomandibular Joint: Tomographic Comparison between Asymptomatic Volunteers with Normal Disk Position and Patients with Disk Displacement. Oral Surg. Oral Med. Oral Pathol. Oral Radiol. Endod. 1995, 80, 258–266. [Google Scholar] [CrossRef]
- Ichikawa, J.; Hara, T.; Tamatsu, Y.; Ide, Y. Morphological Changes in the Internal Structure of the Articular Eminence of the Temporal Bone during Growth from Deciduous to Early Mixed Dentition. J. Biomech. 2007, 40, 3541–3547. [Google Scholar] [CrossRef]
- Calle Velezmoro, E.M.; Ballona, P.; Morales Vadillo, R. Relation of the articular eminence inclination with morphological alterations of temporomandibular condylars. Kiru 2017, 14, 127–134. [Google Scholar] [CrossRef]
- Han, S.; Shin, S.M.; Choi, Y.-S.; Kim, S.Y.; Ko, C.-C.; Kim, Y.-I. Morphometric Analysis for Evaluating the Relation between Incisal Guidance Angle, Occlusal Plane Angle, and Functional Temporomandibular Joint Shape Variation. Acta Odontol. Scand. 2018, 76, 287–293. [Google Scholar] [CrossRef] [PubMed]



| Mean | S.D. | |
|---|---|---|
| Right articular eminence | 38.3 | 9.5 |
| Left articular eminence | 39.4 | 8.3 |
| Cant of occlusal plane | 6.5 | 5.3 |
| Occlusal plane | 19 | 4.7 |
| Frankfort plane incisor | 113.8 | 14.2 |
| Palatal plane incisor | 112.6 | 14.4 |
| Interincisal angle | 124.7 | 11.1 |
| Overjet | 3.4 | 2.5 |
| Overbite | 2.5 | 2.1 |
| Age | 29.6 | 8.4 |
| Right Articular Eminence | Univariate Linear Regression Model | Multivariate Linear Regression Model | ||
|---|---|---|---|---|
| Coef. (95%CI) | p Value | Coef. (95%CI) | p Value | |
| Cant of occlusal plane | −0.045 (−0.31; 0.40) | 0.802 | −0.27 (−0.68; 0.13) | 0.189 |
| Occlusal plane | −0.39 (−0.79; −0.01) | 0.048 | −0.58 (−0.98; −0.17) | 0.006 |
| Upper incisor to Frankfort plane (IPF) | −0.028 (−0.16; 0.10) | 0.675 | 0.17 (−0.15; 0.50) | 0.300 |
| Upper incisor to palatal plane (IPP) | 0.055 (−0.18; −0.07) | 0.401 | −0.30 (−0.64; 0.03) | 0.077 |
| Interincisal angle | −0.032 (−0.13; 0.20) | 0.709 | −0.04 (−0.21; 0.12) | 0.599 |
| Overjet | −0.33 (−0.41; 1.08) | 0.382 | 0.27 (−0.37; 0.92) | 0.403 |
| Overbite | −0.048 (−0.94; 0.84) | 0.915 | −0.70 (−1.49; 0.09) | 0.084 |
| Skeletal class | ||||
| Class I | Reference | --- | Reference | --- |
| Class II | 7.89 (1.40; 14.39) | 0.018 | 10.02 (3.02; 17.02) | 0.005 |
| Class III | −7.00 (−2.33; 16.34) | 0.140 | 8.80 (−2.98; 20.59) | 0.141 |
| Age | −0.198 (−0.42; 0.02) | 0.081 | −0.20 (−0.43; 0.01) | 0.066 |
| Gender | 2.639 (−1.25; 6.53) | 0.182 | 2.20 (−1.84; 6.24) | 0.283 |
| Left Articular Eminence | Bivariate Analysis | Multivariate Analysis | ||
|---|---|---|---|---|
| Coef. (95%CI) | p Value | Coef. (95%CI) | p Value | |
| Cant of occlusal plane | −0.25 (−0.56; 0.05) | 0.103 | −0.47 (−0.79; −0.16) | 0.004 |
| Occlusal planet | −0.02 (−0.38; −0.32) | 0.866 | −0.20 (−0.59; 0.17) | 0.289 |
| Upper incisor to Frankfort plane (IPF) | 0.01 (−0.10; 0.13) | 0.778 | 0.32 (−0.01; 0.65) | 0.050 |
| Upper incisor to palatal plane (IPP) | −0.01 (−0.12; 0.10) | 0.800 | −0.37 (−0.69; −0.06) | 0.020 |
| Interincisal angle | 0.16 (−0.13; 0.16) | 0.822 | 0.05 (−0.10; 0.20) | 0.497 |
| Overjet | 0.27 (−0.37; 0.93) | 0.401 | 0.36 (−0.16; 0.88) | 0.179 |
| Overbite | −0.40 (−1.17; 0.37) | 0.308 | −0.84 (−1.51; −0.18) | 0.013 |
| Skeletal class | ||||
| Class I | Reference | --- | Reference | --- |
| Class II | 3.94 (−1.81; 9.70) | 0.178 | 6.57 (2.84; 10.29) | 0.001 |
| Class III | 6.84 (−1.42; 15.12) | 0.104 | 10.62 (1.60; −19.65) | 0.022 |
| Age (years) | 0.01 (−0.19; 0.20) | 0.941 | −0.01 (−0.21; 0.19) | 0.926 |
| Gender | ||||
| Male | Reference | --- | Reference | --- |
| Female | 1.32 (−2.09; 4.75) | 0.443 | 0.08 (−3.59; 3.77) | 0.962 |
| Articular Eminence | Coef. | 95%CI | p Value |
|---|---|---|---|
| Left side | Reference | --- | --- |
| Righ side | 1.10 | −0.46; 2.68 | 0.165 |
| Cant of occlusal plane (°) | −0.38 | −0.7; −0.06 | 0.017 |
| Plano occlusal angle (°) | −0.39 | −0.74; −0.05 | 0.024 |
| Upper incisor to Frankfort plane (IPF) (°) | 0.24 | −0.03; 0.53 | 0.088 |
| Upper incisor to palatal plane (IPP) (°) | −0.34 | −0.63; −0.06 | 0.016 |
| Interincisal angle (°) | 0.01 | −0.11; 0.14 | 0.793 |
| Overjet (mm) | 0.32 | −0.20; 0.85 | 0.227 |
| Overbite (mm) | −0.77 | −1.39; −0.15 | 0.015 |
| Skeletal class | |||
| Class 1 | Reference | --- | --- |
| Class 2 | 8.45 | 3.65; 13.25 | 0.001 |
| Class 3 | 10.55 | 1.03; 20.08 | 0.030 |
| Age (years) | −0.10 | −0.29; 0.08 | 0.265 |
Disclaimer/Publisher’s Note: The statements, opinions and data contained in all publications are solely those of the individual author(s) and contributor(s) and not of MDPI and/or the editor(s). MDPI and/or the editor(s) disclaim responsibility for any injury to people or property resulting from any ideas, methods, instructions or products referred to in the content. |
© 2024 by the authors. Licensee MDPI, Basel, Switzerland. This article is an open access article distributed under the terms and conditions of the Creative Commons Attribution (CC BY) license (https://creativecommons.org/licenses/by/4.0/).
Share and Cite
Camacho-Álvarez, F.E.; Martínez-Contreras, S.P.; Rodríguez-Chávez, J.A.; Martínez-Suárez, G.; González-Aragón Pineda, Á.E.; Ramos-Montiel, R.R.; Ramírez-Martínez, C.M.; Sánchez-García, S.; Cruz-Hervert, L.P.; Jiménez-Corona, M.E. Characteristics of the Occlusal Plane Associated with Unilateral and Bilateral Articular Eminence Inclination: A Cross-Sectional CBCT Study. Dent. J. 2024, 12, 316. https://doi.org/10.3390/dj12100316
Camacho-Álvarez FE, Martínez-Contreras SP, Rodríguez-Chávez JA, Martínez-Suárez G, González-Aragón Pineda ÁE, Ramos-Montiel RR, Ramírez-Martínez CM, Sánchez-García S, Cruz-Hervert LP, Jiménez-Corona ME. Characteristics of the Occlusal Plane Associated with Unilateral and Bilateral Articular Eminence Inclination: A Cross-Sectional CBCT Study. Dentistry Journal. 2024; 12(10):316. https://doi.org/10.3390/dj12100316
Chicago/Turabian StyleCamacho-Álvarez, Fátima Erandi, Silvia Paulina Martínez-Contreras, Jacqueline A. Rodríguez-Chávez, Gerardo Martínez-Suárez, Álvaro Edgar González-Aragón Pineda, Ronald Roossevelt Ramos-Montiel, Carla Monserrat Ramírez-Martínez, Sergio Sánchez-García, Luis Pablo Cruz-Hervert, and María Eugenia Jiménez-Corona. 2024. "Characteristics of the Occlusal Plane Associated with Unilateral and Bilateral Articular Eminence Inclination: A Cross-Sectional CBCT Study" Dentistry Journal 12, no. 10: 316. https://doi.org/10.3390/dj12100316
APA StyleCamacho-Álvarez, F. E., Martínez-Contreras, S. P., Rodríguez-Chávez, J. A., Martínez-Suárez, G., González-Aragón Pineda, Á. E., Ramos-Montiel, R. R., Ramírez-Martínez, C. M., Sánchez-García, S., Cruz-Hervert, L. P., & Jiménez-Corona, M. E. (2024). Characteristics of the Occlusal Plane Associated with Unilateral and Bilateral Articular Eminence Inclination: A Cross-Sectional CBCT Study. Dentistry Journal, 12(10), 316. https://doi.org/10.3390/dj12100316

