Digital Planning for Immediate Implants in Anterior Esthetic Area: Immediate Result and Follow-Up after 3 Years of Clinical Outcome—Case Report
Abstract
1. Introduction
2. Materials and Methods
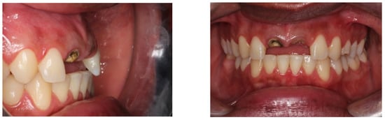
2.1. Patient Data
2.2. Treatment Planning/Execution
2.3. Biomaterials and Dental Implants
2.4. Virtual Planning
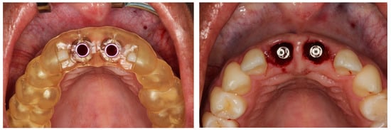
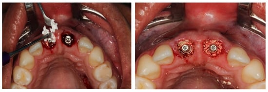
2.5. Surgical Procedures
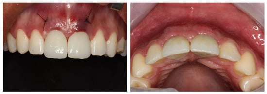
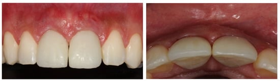
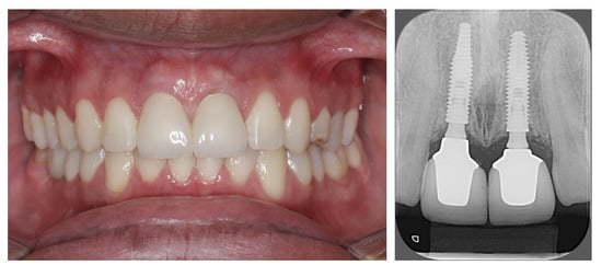
3. Results
Result and Follow-Up
4. Discussion
5. Conclusions
Author Contributions
Funding
Acknowledgments
Conflicts of Interest
References
- Rupp, F.; Liang, L.; Geis-Gerstorfer, J.; Scheideler, L.; Hüttig, F. Surface characteristics of dental implants: A review. Dent. Mater. 2018, 34, 40–57. [Google Scholar] [CrossRef] [PubMed]
- Block, M.S. Dental Implants: The Last 100 Years. J. Oral Maxillofac. Surg. 2018, 76, 11–26. [Google Scholar] [CrossRef] [PubMed]
- D’haese, J.; Ackhurst, J.; Wismeijer, D.; De Bruyn, H.; Tahmaseb, A. Current state of the art of computer-guided implant surgery. Periodontology 2000 2017, 73, 121–133. [Google Scholar] [CrossRef] [PubMed]
- Katsoulis, J.; Pazera, P.; Mericske-Stern, R. Prosthetically driven, computer-guided implant planning for the edentulous maxilla: A model study. Clin. Implant. Dent. Relat. Res. 2009, 11, 238–245. [Google Scholar] [CrossRef] [PubMed]
- Jang, J.Y.; Lee, S.J.; Lee, J.D. Considerations in the replacement of over-retained primary teeth with implant restorations in the esthetic zone: A case report. J. Esthet. Restor. Dent. 2020, 32, 272–279. [Google Scholar] [CrossRef] [PubMed]
- da Silva Brum, I.; de Carvalho, J.J.; da Silva Pires, J.L.; de Carvalho, M.A.A.; Dos Santos, L.B.F.; Elias, C.N. Nanosized hydroxyapatite and β-tricalcium phosphate composite: Physico-chemical, cytotoxicity, morphological properties and in vivo trial. Sci. Rep. 2019, 9, 19602. [Google Scholar] [CrossRef] [PubMed]
- da Silva Brum, I.; Frigo, L.; Lana Devita, R.; da Silva Pires, J.L.; Hugo Vieira de Oliveira, V.; Rosa Nascimento, A.L.; de Carvalho, J.J. Histomorphometric, Immunohistochemical, Ultrastructural Characterization of a Nano-Hydroxyapatite/Beta-Tricalcium Phosphate Composite and a Bone Xenograft in Sub-Critical Size Bone Defect in Rat Calvaria. Materials 2020, 13, 4598. [Google Scholar] [CrossRef] [PubMed]
- da Silva Brum, I.; Frigo, L.; Dos Santos, P.G.P.; Elias, C.N.; da Fonseca, G.A.M.D.; de Carvalho, J.J. Performance of Nano-Hydroxyapatite/Beta-Tricalcium Phosphate and Xenogenic Hydroxyapatite on Bone Regeneration in Rat Calvarial Defects: Histomorphometric, Immunohistochemical and Ultrastructural Analysis. Int. J. Nanomed. 2021, 16, 3473–3485. [Google Scholar] [CrossRef]
- Brum, I.S.; Elias, C.N.; de Carvalho, J.J.; Pires, J.L.S.; Pereira, M.J.S.; de Biasi, R.S. Properties of a bovine collagen type I membrane for guided bone regeneration applications. e-Polymers 2021, 21, 210–221. [Google Scholar] [CrossRef]
- Butera, A.; Pascadopoli, M.; Pellegrini, M.; Gallo, S.; Zampetti, P.; Scribante, A. Oral Microbiota in Patients with Peri-Implant Disease: A Narrative Review. Appl. Sci. 2022, 12, 3250. [Google Scholar] [CrossRef]
- Alauddin, M.S.; Baharuddin, A.S.; Mohd Ghazali, M.I. The Modern and Digital Transformation of Oral Health Care: A Mini Review. Healthcare 2021, 9, 118. [Google Scholar] [CrossRef] [PubMed]
- Joda, T.; Bornstein, M.M.; Jung, R.E.; Ferrari, M.; Waltimo, T.; Zitzmann, N.U. Recent Trends and Future Direction of Dental Research in the Digital Era. Int. J. Environ. Res. Public Health. 2020, 17, 1987. [Google Scholar] [CrossRef] [PubMed]
- Schwendicke, F.; Samek, W.; Krois, J. Artificial Intelligence in Dentistry: Chances and Challenges. J. Dent. Res. 2020, 99, 769–774. [Google Scholar] [CrossRef] [PubMed]
- Hoarau, R.; Zweifel, D.; Simon, C.; Broome, M. The use of 3D planning in facial surgery: Preliminary observations. Rev. Stomatol. Chir. Maxillofac. Chir. Orale 2014, 115, 353–360. [Google Scholar] [CrossRef] [PubMed]
- Weijs, W.L.; Coppen, C.; Schreurs, R.; Vreeken, R.D.; Verhulst, A.C.; Merkx, M.A.; Bergé, S.J.; Maal, T.J. Accuracy of virtually 3D planned resection templates in mandibular reconstruction. J. Craniomaxillofac. Surg. 2016, 44, 1828–1832. [Google Scholar] [CrossRef]
- Witjes, M.J.H.; Schepers, R.H.; Kraeima, J. Impact of 3D virtual planning on reconstruction of mandibular and maxillary surgical defects in head and neck oncology. Curr. Opin. Otolaryngol. Head Neck Surg. 2018, 26, 108–114. [Google Scholar] [CrossRef]
- Sierra-Rebolledo, A.; Tariba-Forero, D.; Rios-Calvo, M.D.; Gay-Escoda, C. Effect of undersized drilling on the stability of immediate tapered implants in the anterior maxillary sector. A randomized clinical trial. Med. Oral Patol. Oral Cir. Bucal 2021, 26, e187–e194. [Google Scholar] [CrossRef]
- Li, J.; Rodriguez, G.; Han, X.; Janečková, E.; Kahng, S.; Song, B.; Chai, Y. Regulatory Mechanisms of Soft Palate Development and Malformations. J. Dent. Res. 2019, 98, 959–967. [Google Scholar] [CrossRef]
- Britt, C.J.; Hwang, M.S.; Day, A.T.; Boahene, K.; Byrne, P.; Haughey, B.H.; Desai, S.C. A Review of and Algorithmic Approach to Soft Palate Reconstruction. JAMA Facial Plast. Surg. 2019, 21, 332–339. [Google Scholar] [CrossRef]
- Alpagan Ozdemir, S.; Esenlik, E. Three-Dimensional Soft-Tissue Evaluation in Patients with Cleft Lip and Palate. Med. Sci. Monit. 2018, 24, 8608–8620. [Google Scholar] [CrossRef]
- Schmitt, C.M.; Brückbauer, P.; Schlegel, K.A.; Buchbender, M.; Adler, W.; Matta, R.E. Volumetric soft tissue alterations in the early healing phase after peri- implant soft tissue contour augmentation with a porcine collagen matrix versus the autologous connective tissue graft: A controlled clinical trial. J. Clin. Periodontol. 2021, 48, 145–162. [Google Scholar] [CrossRef] [PubMed]
- Levine, R.A.; Ganeles, J.; Gonzaga, L.; Kan, J.K.; Randel, H.; Evans, C.D.; Chen, S.T. 10 Keys for Successful Esthetic-Zone Single Immediate Implants. Compend. Contin. Educ. Dent. 2017, 38, 248–260. [Google Scholar] [PubMed]
- Chen, P.; Nikoyan, L. Guided Implant Surgery: A Technique Whose Time Has Come. Dent. Clin. N. Am. 2021, 65, 67–80. [Google Scholar] [CrossRef]
- Kernen, F.; Kramer, J.; Wanner, L.; Wismeijer, D.; Nelson, K.; Flügge, T. A review of virtual planning software for guided implant surgery-data import and visualization, drill guide design and manufacturing. BMC Oral Health 2020, 20, 251. [Google Scholar] [CrossRef] [PubMed]
- Lanis, A.; Álvarez Del Canto, O. The combination of digital surface scanners and cone beam computed tomography technology for guided implant surgery using 3Shape implant studio software: A case history report. Int. J. Prosthodont. 2015, 28, 169–178. [Google Scholar] [CrossRef] [PubMed]
- Butera, A.; Pascadopoli, M.; Pellegrini, M.; Gallo, S.; Zampetti, P.; Cuggia, G.; Scribante, A. Domiciliary Use of Chlorhexidine vs. Postbiotic Gels in Patients with Peri-Implant Mucositis: A Split-Mouth Randomized Clinical Trial. Appl. Sci. 2022, 12, 2800. [Google Scholar] [CrossRef]
- Báez-Marrero, N.; Rafel, J.L.; Rodríguez-Cárdenas, Y.A.; Aliaga-Del Castillo, A.; Dias-Da Silveira, H.L.; Arriola-Guillén, L.E. Accuracy of computer-assisted surgery in immediate implant placement: An experimental study. J. Indian Soc. Periodontol. 2022, 26, 219–223. [Google Scholar] [CrossRef]
- Pessoa, R.; Siqueira, R.; Li, J.; Saleh, I.; Meneghetti, P.; Bezerra, F.; Wang, H.L.; Mendonça, G. The Impact of Surgical Guide Fixation and Implant Location on Accuracy of Static Computer-Assisted Implant Surgery. J. Prosthodont. 2022, 31, 155–164. [Google Scholar] [CrossRef]
- Henprasert, P.; Dawson, D.V.; El-Kerdani, T.; Song, X.; Couso-Queiruga, E.; Holloway, J.A. Comparison of the Accuracy of Implant Position Using Surgical Guides Fabricated by Additive and Subtractive Techniques. J. Prosthodont. 2020, 29, 534–541. [Google Scholar] [CrossRef]















Disclaimer/Publisher’s Note: The statements, opinions and data contained in all publications are solely those of the individual author(s) and contributor(s) and not of MDPI and/or the editor(s). MDPI and/or the editor(s) disclaim responsibility for any injury to people or property resulting from any ideas, methods, instructions or products referred to in the content. |
© 2023 by the authors. Licensee MDPI, Basel, Switzerland. This article is an open access article distributed under the terms and conditions of the Creative Commons Attribution (CC BY) license (https://creativecommons.org/licenses/by/4.0/).
Share and Cite
Salviano, S.H.; Lopes, J.C.A.; da Silva Brum, I.; Machado, K.; Pedrazzi, M.T.; de Carvalho, J.J. Digital Planning for Immediate Implants in Anterior Esthetic Area: Immediate Result and Follow-Up after 3 Years of Clinical Outcome—Case Report. Dent. J. 2023, 11, 15. https://doi.org/10.3390/dj11010015
Salviano SH, Lopes JCA, da Silva Brum I, Machado K, Pedrazzi MT, de Carvalho JJ. Digital Planning for Immediate Implants in Anterior Esthetic Area: Immediate Result and Follow-Up after 3 Years of Clinical Outcome—Case Report. Dentistry Journal. 2023; 11(1):15. https://doi.org/10.3390/dj11010015
Chicago/Turabian StyleSalviano, Saulo Henrique, João Carlos Amorim Lopes, Igor da Silva Brum, Kelly Machado, Marco Tulio Pedrazzi, and Jorge José de Carvalho. 2023. "Digital Planning for Immediate Implants in Anterior Esthetic Area: Immediate Result and Follow-Up after 3 Years of Clinical Outcome—Case Report" Dentistry Journal 11, no. 1: 15. https://doi.org/10.3390/dj11010015
APA StyleSalviano, S. H., Lopes, J. C. A., da Silva Brum, I., Machado, K., Pedrazzi, M. T., & de Carvalho, J. J. (2023). Digital Planning for Immediate Implants in Anterior Esthetic Area: Immediate Result and Follow-Up after 3 Years of Clinical Outcome—Case Report. Dentistry Journal, 11(1), 15. https://doi.org/10.3390/dj11010015

