Abstract
Introduction: Human astrovirus (HAstV) has been increasingly identified as an important cause of acute gastroenteritis in young children. Limited information is available about the prevalence and genotype distribution of classic HAstV causing acute gastroenteritis in Egyptian children. Methods: Stool samples were collected from 100 infants and children attending the gastroenterology outpatient clinic in Mansoura University Children Hospital and suffering from acute gastroenteritis during the period extending from January 2018 to January 2019. Samples were tested for HAstV using reverse transcription PCR. Genotyping was performed using type-specific reverse transcription nested PCR. Results: Among 100 children included in this study, the detection rate of HAstV was 11% (11 patients). There was a significant difference regarding age between cases positive and negative for HAstV (p=0.005). There was a higher prevalence of HAstV in children aged one year or younger. Significant association was detected between HAstV positive cases and rural residence (p=0.002), summer season (p=0.025) and fever (p=0.017). The HAstV genotypes detected were HAstV-8 (8/11, 72.7%), HAstV-3 (2/11, 18.2%) and HAstV-2 (1/11, 9.1%). Conclusions: This study suggests that HAstV is a common pathogen causing gastroenteritis in Egyptian children especially in rural areas. The most frequent HAstV genotype in our study was HAstV-8.
Introduction
Acute gastroenteritis or infectious diarrhea is a common cause of morbidity and mortality in children below five years. The reported mortality rates in 2016 were 446,000 for children below 5 years. Most of these deaths are in developing countries [1]. Diarrhea is the second leading cause of death among under-5 children in Egypt. Diarrhea leads to loss of large amounts of fluids and essential electrolytes causing varying degrees of dehydration that may end in death. It causes death in 3,500-4,000 under-five children per year in Egypt [2]. In addition, repeated infections in children surviving after diarrheal attacks may lead to lifelong consequences such as growth retardation, impaired cognitive development, and impaired immune response to infection and vaccinations [3].
About 70% of acute gastroenteritis cases in children are caused by enteric viruses [4]. Human astroviruses (HAstVs) are one of the important causes of viral gastroenteritis. HAstVs cause about 10% of acute viral gastroenteritis in children [5].
HAstV is a 28-30 nm in diameter non-enveloped RNA virus. The genome of HAstV has three open reading frames, two of them, ORF1a and ORF1b, encode for the nonstructural proteins including protease (Pro) and RNA-dependent polymerase (RdRp) and the third, ORF2, encodes structural proteins of the capsid. The genotypes of classic HAstV are classified according to the capsid protein into eight distinct genotypes (HAstV-1–HAstV-8) [6]. The distribution of HAstV genotypes differs worldwide. HAstV genotype 1 was detected as the most prevalent genotype with occasional occurrence of HAstV-6, and HAstV-7 in acute gastroenteritis [7]. There are infections attributed to HAstV-8 in some geographical regions [8].
The transmission of HAstV is through fecal-oral route. The replication of the virus in infected children takes place in the intestinal epithelium [7].
However, there are insufficient studies about astrovirus genotypes in Egyptian children with diarrhea. Therefore, the aim of the present study was to evaluate the prevalence of astrovirus and its genotypes in children with acute diarrhea.
Methods
This cross-sectional study involved 100 children with diarrhea from a total of 2300 children attending the gastroenterology outpatient clinic of Mansoura University Children Hospital, Egypt from January 2018 until January 2019. Attending patients live in rural and urban areas of Dakahlia Governorate in the Nile Delta of Egypt. The included patients were complaining of acute gastroenteritis with diarrhea in the last two days. Diarrhea was defined as sudden onset of three or more watery or near watery stools in the previous 48 hours. Children with systemic infections complicated with diarrhea or associated with drug intake were excluded from the study. Samples were tested for bacterial and parasitic causes of diarrhea by direct microscopic examination and bacterial stool culture. Positive cases were excluded.
The study was approved by Mansoura Ethical Committee and informed consent was obtained from the parent of each child.
From each child a single stool sample was obtained in a clean container and transported to the laboratory within 30 minutes. Demographic and clinical data including child name, age, residence, fever, abdominal pain and dehydration status were recorded. The degree of dehydration was estimated according to clinical parameters [9].
Molecular study of astrovirus
Extraction of RNA from stool samples
RNA extraction was done by Trizol™ (Thermo Fisher Scientific, Carlsbad, CA, USA). The steps for RNA isolation including lysis, precipitation, washing and resuspension were performed according to the manufacturer’s instructions. Briefly, for each stool sample, RNA was extracted from 100 mg by using 1 mL Trizol™. Extracted RNA was precipitated using 0.5 mL isopropanol. The RNA pellet was resuspended and washed in 1 mL of 75% ethanol. The pellet was resuspended in 20-50 µL of RNase-free water and deep frozen at -70°C until the reverse transcription procedure.
Detection of astrovirus by reverse transcription PCR (RT-PCR)
Extracted RNA was used for reverse transcription PCR (RT-PCR) for detection of astrovirus ORF2 by the use of the primers listed in Table 1. The method used was described previously by Noel et al. (1995) [10]. At first, denaturation was carried out for viral nucleic acid by incubation at 70°C for 5 minutes and then putting in ice for 2 minutes. Reverse transcription was performed with incubation for 1 hour at 42°C with reverse transcriptase enzyme by the use of SuperScriptTM One-Step RT-PCR with Platinum® Taq kit (Invitrogen, Carlsbad, CA, USA). Then amplification process was done by 40 cycles of amplification (94°C/30 seconds, 50°C/30 seconds, 72°C/1 minute) and a final extension at 72°C/10 min. RNA from human astrovirus positive patient was used as a positive control and RNase-free water as negative control. The final PCR product (10 µL) was submitted to electrophoresis in 1.5% agar gel and detected by ethidium bromide staining.
Table 1.
Primers used for RT-PCR and genotyping[11].
Genotyping of astrovirus by multiplex nested/RT-PCR
Genotyping was done for all astrovirus positive samples by multiplex nested/RT-PCR according to Sakamoto et al. (2000) [11]. The used primers are listed in Table 1.
The nested PCR reactions were performed using 2.5 µL of the complementary DNA (cDNA) amplified product of the first PCR reaction positive for astrovirus and one microliter of specific primers pool added to the amplification mixture (Thermo Fisher Scientific, Carlsbad, CA, USA). Nested RT-PCR assay including 40 amplification cycles (94°C/1 min, 45°C/2 min and 72°C/3 min) was carried out, followed by a final extension of 72°C/7 min. Ten microliters of the final product were submitted to electrophoresis in 1.5% agar gel and detected by ethidium bromide staining.
For confirmation of genotypes each positive sample was tested using single primer of the detected genotype using the previous cycling conditions.
Statistical analysis
Data were analyzed by the use of SPPS 22 (IBM Corp., Armonk, NY, USA). Qualitative data was interoperated as number and percentages. Comparison was performed using Chi-square test or Fisher exact test when applicable. The difference in age between patients with positive and negative results for astrovirus was compared using Mann-Whitney test U test. Variable differences were considered significant if p value was <0.05.
Results
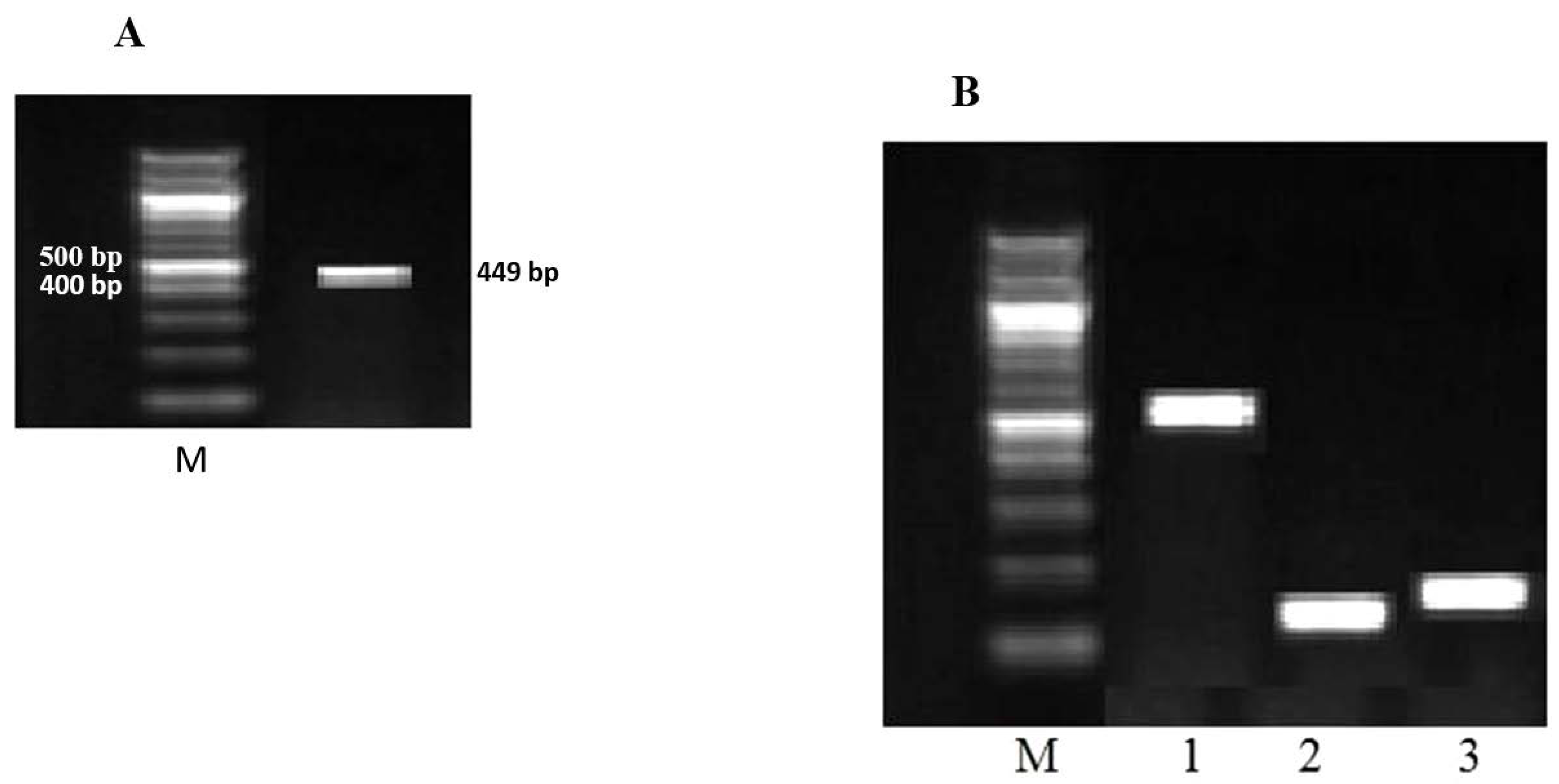
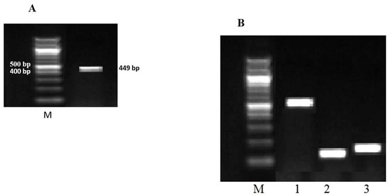
This study included 100 children complaining of diarrhea with age range from 3 month up to 7 years old (median 1 year), 58 males and 42 females. They were mainly from rural residence in Dakahlia Governorate (58%) with main complaint of fever (58%) and mild dehydration (49%). Fifteen patients presented with severe dehydration (15%), all these cases were hospitalized for treatment. Higher prevalence of gastroenteritis cases was in summer season (45%). Stool samples were positive for astrovirus by RT-PCR in 11 cases (11%), Table 2. The genotypes of astrovirus identified by nested RT-PCR were genotype HAstV-8 (8/11. 72.7%), HAstV-3 (2/11, 18.2%) and HAstV-2 (1/11, 9.1%), Figure 1.
Table 2.
Demographic and clinical criteria of children presenting with acute gastroenteritis with positive and negative results for astrovirus during the period of the study.
Figure 1.
A. Positive RT-PCR for astrovirus. B. Genotyping of astrovirus; 1: AST-S8 (599bp), 2: AST-S3: 119 bp, 3: AST-S2 158 bp. M: 100 bp DNA marker.
There was no statistically significant difference between children with negative and positive RT-PCR for astrovirus regarding sex, abdominal pain and the degree of dehydration. Out of 15 hospitalized children presenting with severe dehydration, three cases were positive for astrovirus representing (3/11; 27.3%). The positive cases for astrovirus were statistically associated with rural residence (p=0.002), summer season (p=0.025) and fever (p=0.017) - Table 2. There was a significant difference regarding age between patients with positive and negative RT-PCR for astrovirus (p=0.005). There was an increased prevalence of astrovirus in children aged one year or younger, although this increase was not significant between age groups, Table 3.
Table 3.
RT-PCR positive samples for astrovirus according to age groups.
Discussion
Acute gastroenteritis associated with astrovirus is a common infection in children below 5 years. The astrovirus capsid protein acts like an enterotoxin leading to dysfunction of the intestinal epithelium barrier [12]. There is a lack of international and national surveillance of the epidemiological and molecular characterization of astrovirus associated gastroenteritis in Egypt.
In the current study, astrovirus was detected in 11% of children with acute gastroenteritis. This result matches recent reports in the Republic of Congo (10.3%)[13] and India (12.5%) [14]. However, our finding is higher thanprevious results in Kenya (6.3%) [15], Northwest Ethiopia (3.6%) [8], lower than others obtained in Egypt by El Taweel et al. (2020): 28% [16], and Nigeria: 40.4% [17]. The higher prevalence obtained in Egypt may be due to the inclusion of novel human astrovirus types. In addition, variable prevalence in other countries can be explained by the difference in geographical regions and socioeconomic factors.
Astrovirus diarrhea is a common infection both in developed and developing countries, which suggests that the improvement of the hygiene and living conditions alone cannot prevent such infection [8,13,14,15,16,17,18]. Development of an astrovirus vaccine and its administration in early life may have a role in reducing this infection in early life and even decrease the incidence of astrovirus diarrhea with increasing age [19].
Regarding the clinical features associated with diarrhea in HAstV positive patients, the degrees of dehydration (mild, moderate, and severe) were detected in astrovirus positive cases with no significant association of classic HAstV with any of them (p=0.463). This matches the previous result of Naficy et al. (2000) [20]. Astrovirus was significantly associated with fever (p=0.017). Similarly, Bon et al. (1999)[21] found fever was significantly associated with astrovirus infections.
In the present study, the detection of astrovirus was in children aged from 3 months to 3 years. The infection was prevalent below or at 1 year of age (9/11) with similar results reported from Egypt by El Taweel et al. (2020) [16]. In developed countries, classic HAstV are more common in older children, e.g., in Spain the highest prevalence was in children with age range 2 to 4 years [22]. The decreased prevalence of astrovirus later in childhood may suggest the presence of homotypic immunity against subsequent astrovirus diarrhea [23]. Also, this difference in age distribution may be due to difference in social behavior in different geographic locations.
In the current study, infection with astrovirus was significantly higher in rural areas (11/11) (p=0.002) and in warm months; summer season (10/11) and spring season (1/11) (p=0.025). The distribution of classic HAstV infections in urban and rural areas differs worldwide. The mean incidence of HAstV infections worldwide is higher in rural areas (23% in rural and 7% in urban) [24]. However, higher urban distribution was recorded in some countries like Kenya [15], while in other countries like Ethiopia no difference in classic HAstV infections between urban and rural areas were seen [8]. The heterogeneity in infection and diarrhea between locations suggests that estimates can vary considerably among different geographic settings and in urban and rural areas [23]. Our result differs from previous reports that described higher incidence of classic HAstV infections in cold weather [24], spring [25], and autumn [26]. Other studies found no specific seasonal predominance [27]. HAstV infections also were recorded in summer season [22]. In agreement with our result, HAstV infections in Egypt were more frequently detected during warmer months [20].
This diversity of results could be attributed to the geographic locations and to the complex interaction between different factors including host transmission, social factors and environmental factors. The increased transmission of gastroenteritis in the summer season may be associated with contact with water by drinking and swimming under unsanitary conditions especially in rural areas.
In the current study, the most common genotype was HAstV-8 (72.7%) and HAstV-3 represents the second most prevalent one (18.2%). Similar findings were obtained in previous studies from countries such as Ethiopia [8], while different genotypes were prevalent in other countries like Malawi (HAstV-1 and HAstV-3) [28]. An earlier study in Egypt (2000) reported HAstV-1 as the most prevalent genotype, and HAstV-8 and HAstV-3 as the 3rd most frequent genotypes [20].
The predominant genotypes vary according to the seasons and the geographical regions, which necessitates the implementation of nationwide epidemiological studies for declaration of this issue. Moreover, the difference in the diagnostic and typing methods leads to heterogeneous data with difficulty in their interpretation.
In the present study we used RT-PCR which detects only classical HAstVs. Hence, the prevalence of the novel human astrovirus types was not detected, which represents a limitation of our study. We did not investigate co-occurrence of human astrovirus with other enteric viruses causing gastroenteritis, like rotavirus and norovirus, which is another study limitation. Most of the studies that found astrovirus co-infection with other pathogen use serological detection of enteric pathogens.[14,23] So, further studies employing more genetic techniques for detection of novel astrovirus and the presence of astrovirus with other enteric pathogens among Egyptian children are recommended.
Conclusions
The present study demonstrated that astrovirus is a common pathogen associated with diarrhea in children, particularly in rural areas. The frequent genotype in the present study was HAstV-8. Further national surveys and studies are required to confirm these findings.
Author Contributions
All authors have contributed equally to the study and manuscript.
Funding
None to declare.
Acknowledgments
The authors would like to thank all support staff and participating patients in this study.
Conflicts of Interest
All authors – none to declare.
References
- GBD 2016 Diarrhoeal Disease Collaborators. Estimates of the global, regional, and national morbidity, mortality, and aetiologies of diarrhoea in 195 countries: a systematic analysis for the Global Burden of Disease Study 2016. Lancet Infect Dis. 2018, 18, 1211–1228. [Google Scholar] [CrossRef]
- World Health Organization. In World Health Statistics; WHO Press: Geneva, Switzerland, 2015; pp. 43–53.
- Guerrant, R.L.; DeBoer, M.D.; Moore, S.R.; Scharf, R.J.; Lima, A.A. The impoverished gut-a triple burden of diarrhoea, stunting and chronic disease. Nat Rev Gastroenterol Hepatol. 2013, 10, 220–229. [Google Scholar] [CrossRef] [PubMed]
- Chow, C.M.; Leung, A.K.; Hon, K.L. Acute gastroenteritis: from guidelines to real life. Clin Exp Gastroenterol. 2010, 3, 97–112. [Google Scholar] [CrossRef]
- Lyman, W.H.; Walsh, J.F.; Kotch, J.B.; Weber, D.J.; Gunn, E.; Vinjé, J. Prospective study of etiologic agents of acute gastroenteritis outbreaks in child care centers. J Pediatr. 2009, 154, 253–257. [Google Scholar] [CrossRef]
- Vu, D.L.; Bosch, A.; Pintó, R.M.; Guix, S. Epidemiology of classic and novel human astrovirus: gastroenteritis and beyond. Viruses. 2017, 9, 33. [Google Scholar] [CrossRef]
- De Benedictis, P.; Schultz-Cherry, S.; Burnham, A.; Cattoli, G. Astrovirus infections in humans and animals-molecular biology, genetic diversity, and interspecies transmissions. Infect Genet Evol. 2011, 11, 1529–1544. [Google Scholar] [CrossRef] [PubMed]
- Gelaw, A.; Pietsch, C.; Liebert, U.G. Genetic diversity of human adenovirus and human astrovirus in children with acute gastroenteritis in Northwest Ethiopia. Arch Virol. 2019, 164, 2985–2993. [Google Scholar] [CrossRef] [PubMed]
- King, C.K.; Glass, R.; Bresee, J.S.; Duggan, C.; Centers for Disease Control and Prevention. Managing acute gastroenteritis among children; oral rehydration, maintenance, and nutritional therapy. MMWR Recomm Rep. 2003, 52, 1–16. [Google Scholar]
- Noel, J.S.; Lee, T.W.; Kurtz, J.B.; Glass, R.I.; Monroe, S.S. Typing of human astroviruses from clinical isolates by enzyme immunoassay and nucleotide sequencing. J Clin Microbiol. 1995, 33, 797–801. [Google Scholar] [CrossRef]
- Sakamoto, T.; Negishi, H.; Wang, Q.H. , et al. Molecular epidemiology of astroviruses in Japan from 1995 to 1998 by reverse transcription-polymerase chain reaction with serotype-specific primers (1 to 8). J Med Virol. 2000, 61, 326–331. [Google Scholar] [CrossRef]
- Meliopoulos, V.A.; Marvin, S.A.; Freiden, P. , et al. Oral administration of astrovirus capsid protein is sufficient to induce acute diarrhea in vivo. mBio. 2016, 7, e01494–16. [Google Scholar] [CrossRef]
- Nguekeng Tsague, B.; Mikounou Louya, V.; Ntoumi, F. , et al. Occurrence of human astrovirus associated with gastroenteritis among Congolese children in Brazzaville, Republic of Congo. Int J Infect Dis. 2020, 95, 142–147. [Google Scholar] [CrossRef] [PubMed]
- Akdag, A.I.; Gupta, S.; Khan, N.; Upadhayay, A.; Ray, P. Epidemiology and clinical features of rotavirus, adenovirus, and astrovirus infections and coinfections in children with acute gastroenteritis prior to rotavirus vaccine introduction in Meerut, North India. J Med Virol. 2019, 92, 1102–1109. [Google Scholar] [CrossRef] [PubMed]
- Kiulia, N.M.; Mwenda, J.M.; Nyachieo, A.; Nyaundi, J.K.; Steele, A.D.; Taylor, M.B. Astrovirus infection in young Kenyan children with diarrhoea. J Trop Pediatr. 2007, 53, 206–209. [Google Scholar] [CrossRef] [PubMed][Green Version]
- El Taweel, A.; Kandeil, A.; Barakat, A.; Alfaroq Rabiee, O.; Kayali, G.; Ali, M.A. Diversity of astroviruses circulating in humans, bats, and wild birds in Egypt. Viruses. 2020, 12, 485. [Google Scholar] [CrossRef]
- Ayolabi, C.; Ojo, D.; Akpan, I. Astrovirus infection in children in Lagos, Nigeria. Afr J Infect Dis. 2012, 6, 1–4. [Google Scholar] [CrossRef][Green Version]
- Bergallo, M.; Galliano, I.; Daprà, V.; Rassu, M.; Montanari, P.; Tovo, P.-A. Molecular detection of human astrovirus in children with gastroenteritis, northern Italy. Pediatr Infect Dis J. 2018, 37, 738–742. [Google Scholar] [CrossRef]
- Bidokhti, M.R.; Ullman, K.; Hammer, A.S. , et al. Immunogenicity and efficacy evaluation of subunit astrovirus vaccines. Vaccines. 2019, 7, 79. [Google Scholar] [CrossRef]
- Naficy, A.B.; Rao, M.R.; Holmes, J.L. , et al. Astrovirus diarrhea in Egyptian children. J Infect Dis. 2000, 182, 685–690. [Google Scholar] [CrossRef]
- Bon, F.; Fascia, P.; Dauvergne, M. , et al. Prevalence of group A rotavirus, human calicivirus, astrovirus, and adenovirus type 40 and 41 infections among children with acute gastroenteritis in Dijon, France. J Clin Microbiol. 1999, 37, 3055–3058. [Google Scholar] [CrossRef]
- Guix, S.; Caballero, S.; Villena, C. , et al. Molecular epidemiology of astrovirus infection in Barcelona, Spain. J Clin Microbiol. 2002, 40, 133–139. [Google Scholar] [CrossRef] [PubMed]
- Olortegui, M.P.; Rouhani, S.; Yori, P.P. , et al. Astrovirus infection and diarrhea in 8 countries. Pediatrics. 2018, 141, e20171326. [Google Scholar] [CrossRef] [PubMed]
- Bosch, A.; Guix, S.; Pintó, R.M. Epidemiology of human astroviruses. In: Schultz-Cherry S, editor. Astrovirus research: essential ideas, everyday impacts, future directions: Springer Science & Business Media; 2012. p 1-18.
- Kang, Y.H.; Park, Y.K.; Ahn, J.B.; Yeun, J.D.; Jee, Y.M. Identification of human astrovirus infections from stool samples with diarrhea in Korea. Arch Virol. 2002, 147, 1821–1827. [Google Scholar] [CrossRef] [PubMed]
- Lopez, F.; Lizasoain, A.; Victoria, M. , et al. Epidemiology and genetic diversity of classic human astrovirus among hospitalized children with acute gastroenteritis in Uruguay. J Med Virol. 2017, 89, 1775–1781. [Google Scholar] [CrossRef]
- Mustafa, H.; Palombo, E.A.; Bishop, R.F. Epidemiology of astrovirus infection in young children hospitalized with acute gastroenteritis in Melbourne, Australia, over a period of four consecutive years, 1995 to 1998. J Clin Microbiol. 2000, 38, 1058–1062. [Google Scholar] [CrossRef]
- Cunliffe, N.A.; Dove, W.; Gondwe, J.S. , et al. Detection and characterisation of human astroviruses in children with acute gastroenteritis in Blantyre, Malawi. J Med Virol. 2002, 67, 563–566. [Google Scholar] [CrossRef]
© GERMS 2020.
