Split Notochord Syndrome with Spinal Column Duplication and Spinal Cord Lipoma: A Case Report
Abstract
1. Background and Importance
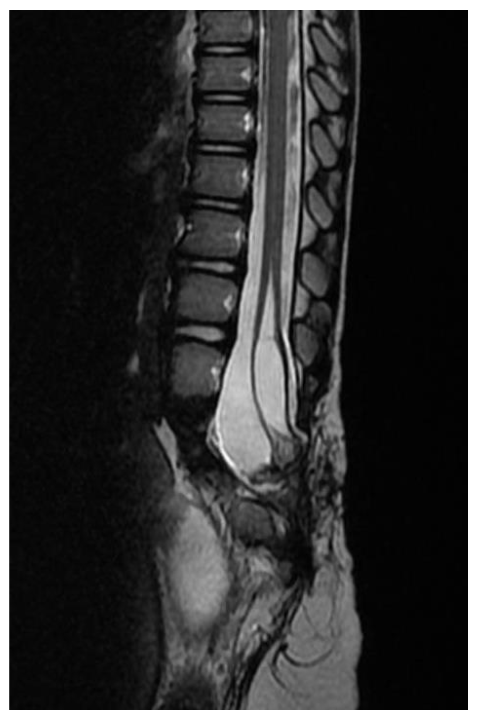
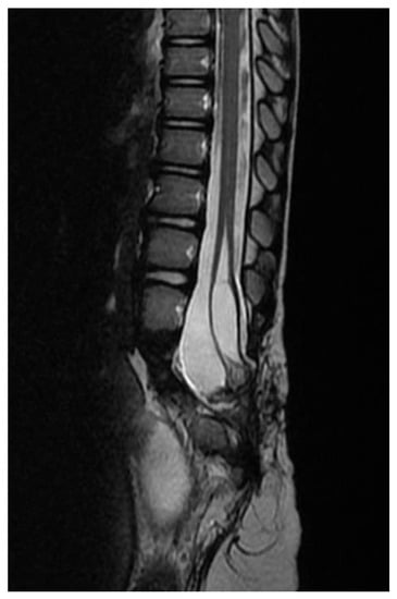
2. Clinical Presentation
3. Discussion
4. Conclusions
Author Contributions
Funding
Institutional Review Board Statement
Informed Consent Statement
Data Availability Statement
Conflicts of Interest
Abbreviations
References
- Bentley, J.F.R.; Smith, J.R. Developmental posterior enteric remnants and spinal malformations: The split notochord syndrome. Arch. Dis. Child. 1960, 35, 76–86. [Google Scholar] [CrossRef] [PubMed]
- Pang, D. Split Cord Malformation: Part II: Clinical Syndrome: Neurosurgery. Neurosurgery 1992, 31, 481–500. [Google Scholar] [CrossRef] [PubMed]
- Wakao, N.; Imagama, S.; Ito, Z.; Ando, K.; Hirano, K.; Tauchi, R.; Muramoto, A.; Matsui, H.; Matsumoto, T.; Matsuyama, Y.; et al. A case of split notochord syndrome: An adult with a spinal endodermal cyst mimicking an intramedullary tumor. Neuropathology 2011, 31, 626–631. [Google Scholar] [CrossRef] [PubMed]
- Raskin, J.S.; Litvack, Z.N.; Selden, N.R. Split Spinal Cord. In Youmans and Winn Neurological Surgery, 8th ed.; Elsevier: Amsterdam, The Netherlands, 2022; Volume 2, pp. 1943–1950. [Google Scholar]
- Jasiewicz, B.; Stachura, M.; Potaczek, T.; Duda, S.; Michno, P.; Kwiatkowski, S. Spine duplication or split notochord syndrome—Case report and literature review. J. Spinal Cord Med. 2018, 43, 544–547. [Google Scholar] [CrossRef] [PubMed]
- Dias, M.S.; Pang, D. Split Cord Malformations. Neurosurg. Clin. N. Am. 1995, 6, 339–358. [Google Scholar] [CrossRef]
- Pang, D. Split Cord Malformation: Part I: A Unified Theory of Embryogenesis for Double Spinal Cord Malformations. Neurosurgery 1992, 31, 451–480. [Google Scholar] [CrossRef] [PubMed]
- Roelink, H.; Porter, J.A.; Chiang, C.; Tanabe, Y.; Chang, D.T.; Beachy, P.A.; Jessell, T.M. Floor plate and motor neuron induction by different concentrations of the amino-terminal cleavage product of sonic hedgehog autoproteolysis. Cell 1995, 81, 445–455. [Google Scholar] [CrossRef]
- Sarnat, H.; Flores-Sarnat, L. Integrative Classification of Morphology and Molecular Genetics in Central Nervous System Malformations; Academia.edu: San Francisco, CA, USA; Available online: https://www.academia.edu/es/20668358/Integrative_classification_of_morphology_and_molecular_genetics_in_central_nervous_system_malformations (accessed on 14 May 2022).
- Sousa, C.S.M.D.; Castro, B.B.D.; Miranda, C.L.V.M.D.; Bastos, B.B.; Avelino, M.C. Split notochord syndrome: A case in point. Radiol. Bras. 2018, 51, 59–60. [Google Scholar] [CrossRef] [PubMed][Green Version]
- Ramzan, M.; Ahmed, S.; Ali, S. Caudal duplication syndrome. J. Clin. Neonatol. 2013, 2, 101. [Google Scholar] [CrossRef]
- Singh, S.; Bothara, V.P.; Rawat, J.D.; Chaubey, D.; Kumar, P.; Singh, G. A Rare Case of Split Notochord Syndrome. J. Neonatal Surg. 2017, 6, 23. [Google Scholar] [CrossRef] [PubMed]
- Harwood-Nash, D.C.; McHugh, K. Diastematomyelia in 172 Children: The Impact of Modern Neuroradiology. Pediatric Neurosurg. 1990, 16, 247–251. [Google Scholar] [CrossRef] [PubMed]
- Gan, Y.C.; Sgouros, S.; Walsh, A.R.; Hockley, A.D. Diastematomyelia in children: Treatment outcome and natural history of associated syringomyelia. Child’s Nerv. Syst. 2006, 23, 515–519. [Google Scholar] [CrossRef] [PubMed]
- Hanif, H.; Khanbabazadeh, S.; Nejat, F.; el Khashab, M. Tethered cord with tandem lipomyelomeningoceles, split cord malformation and thick filum. J. Pediatric Neurosci. 2013, 8, 204. [Google Scholar] [CrossRef]
- Alnefaie, N.; Alharbi, A.; Alamer, O.B.; Khairy, I.; Khairy, S.; Saeed, M.A.; Azzubi, M. Split Cord Malformation: Presentation, Management, and Surgical Outcome. World Neurosurg. 2020, 136, e601–e607. [Google Scholar] [CrossRef] [PubMed]
- Pang, D. Ventral tethering in split cord malformation. Neurosurg. Focus 2001, 10, 1–11. [Google Scholar] [CrossRef] [PubMed]
- Mahapatra, A.K. Split cord malformation—A study of 300 cases at AIIMS 1990–2006. J. Pediatric Neurosci. 2011, 6 (Suppl. 1), S41. [Google Scholar] [CrossRef] [PubMed]
- Mathkour, M.; Scullen, T.; Huang, B.; Werner, C.; Gouveia, E.E.; Abou-Al-Shaar, H.; Maulucci, C.M.; Steiner, R.B.; St Hilaire, H.; Bui, C.J. Multistage surgical repair for split notochord syndrome with neurenteric fistula: Case report. J. Neurosurg. Pediatrics 2020, 27, 151–159. [Google Scholar] [CrossRef] [PubMed]
- Hoffman, C.H.; Dietrich, R.B.; Pais, M.J.; Demos, D.S.; Pribram, H.F. The split notochord syndrome with dorsal enteric fistula. Am. J. Neuroradiol. 1993, 14, 622–627. [Google Scholar] [PubMed]




Publisher’s Note: MDPI stays neutral with regard to jurisdictional claims in published maps and institutional affiliations. |
© 2022 by the authors. Licensee MDPI, Basel, Switzerland. This article is an open access article distributed under the terms and conditions of the Creative Commons Attribution (CC BY) license (https://creativecommons.org/licenses/by/4.0/).
Share and Cite
Alelyani, F.; Aronyk, K.; Alghamdi, H.; Alnaami, I. Split Notochord Syndrome with Spinal Column Duplication and Spinal Cord Lipoma: A Case Report. Children 2022, 9, 1138. https://doi.org/10.3390/children9081138
Alelyani F, Aronyk K, Alghamdi H, Alnaami I. Split Notochord Syndrome with Spinal Column Duplication and Spinal Cord Lipoma: A Case Report. Children. 2022; 9(8):1138. https://doi.org/10.3390/children9081138
Chicago/Turabian StyleAlelyani, Fayez, Keith Aronyk, Hashim Alghamdi, and Ibrahim Alnaami. 2022. "Split Notochord Syndrome with Spinal Column Duplication and Spinal Cord Lipoma: A Case Report" Children 9, no. 8: 1138. https://doi.org/10.3390/children9081138
APA StyleAlelyani, F., Aronyk, K., Alghamdi, H., & Alnaami, I. (2022). Split Notochord Syndrome with Spinal Column Duplication and Spinal Cord Lipoma: A Case Report. Children, 9(8), 1138. https://doi.org/10.3390/children9081138

