Is Early Surgical Intervention Necessary for Acute Neonatal Humeral Epiphyseal Osteomyelitis: A Retrospective Study of 31 Patients
Abstract
:1. Introduction
2. Materials and Methods
2.1. Tests and Examinations
2.1.1. Conservative Method
2.1.2. Surgical Intervention
2.1.3. Antibiotic Therapy
2.1.4. Surgical Technique
2.1.5. Follow-Up at Out-Patient Visit
2.2. Data Collection
2.3. Statistical Analysis
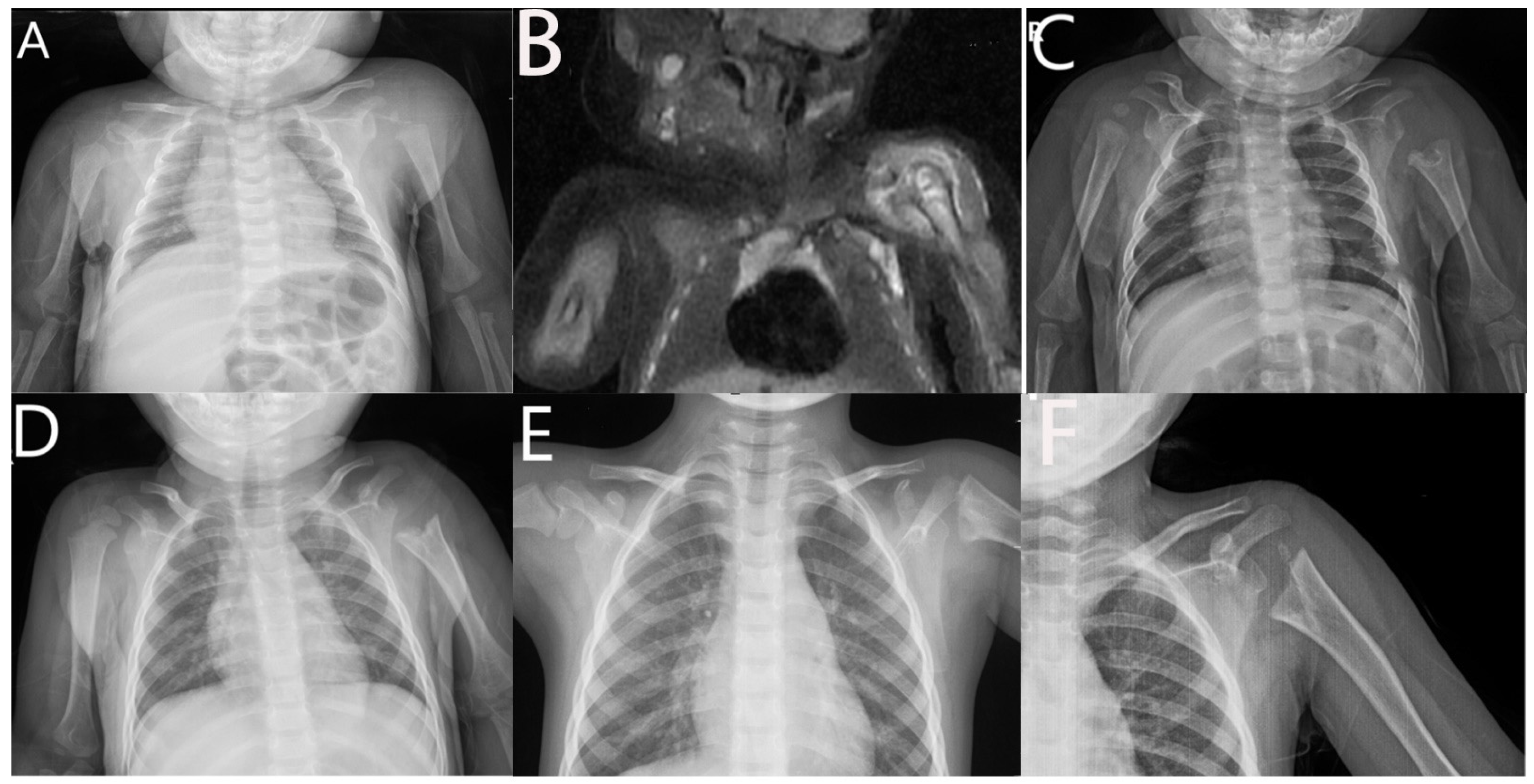
3. Results
4. Discussion
5. Conclusions
Author Contributions
Funding
Institutional Review Board Statement
Informed Consent Statement
Data Availability Statement
Conflicts of Interest
References
- De Boeck, H. Osteomyelitis and septic arthritis in children. Acta Orthop. Belg. 2005, 71, 505–515. [Google Scholar] [PubMed]
- Thakolkaran, N.; Shetty, A.K. Acute Hematogenous Osteomyelitis in Children. Ochsner J. 2019, 19, 116–122. [Google Scholar] [CrossRef] [PubMed] [Green Version]
- Dartnell, J.; Ramachandran, M.; Katchburian, M. Haematogenous acute and subacute paediatric osteomyelitis: A systemic review of the literature. J. Bone Jt. Surg. Br. 2012, 94, 584–595. [Google Scholar] [CrossRef] [PubMed]
- Saavedra-Lozano, J.; Falup-Pecurariu, O.; Faust, S.N.; Girschick, H.; Hartwig, N.; Kaplan, S.; Lorrot, M.; Mantadakis, E.; Peltola, H.; Rojo, P.; et al. Bone and joint infections. Pediatr. Infect. Dis. J. 2017, 36, 788–799. [Google Scholar] [CrossRef]
- Dodwell, E.R. Osteomyelitis and septic arthritis in children: Current concepts. Curr. Opin. Pediatr. 2013, 25, 58–63. [Google Scholar] [CrossRef]
- Peltola, H.; Pääkkönen, M.; Kallio, P.; Kallio, M.J. Osteomyelitis-Septic Arthritis Study Group. Short-versus long-term antimicrobial treatment for acute hematogenous osteomyelitis of childhood: Prospective, randomized trial on 131 culture-positive cases. Pediatr. Infect. Dis. J. 2010, 29, 1123–1128. [Google Scholar] [CrossRef] [Green Version]
- Kaplan, S.L. Recent lessons for the management of bone and joint infections. J. Infect. 2014, 68, 51–56. [Google Scholar] [CrossRef]
- Dohin, B.; Gillet, Y.; Kohler, R.; Lina, G.; Vandenesch, F.; Vanhems, P.; Floret, D.; Etienne, J. Pediatric bone and joint infections caused by Panton-Valentine leukocidin-positive Staphylococcus aureus. Pediatr. Infect. Dis. J. 2007, 26, 1042–1048. [Google Scholar] [CrossRef]
- Kim, J.; Lee, M.U.; Kim, T.H. Nationwide epidemiologic study for pediatric osteomyelitis and septic arthritis in South Korea: A cross-sectional study of national health insurance review and assessment service. Medicine 2019, 98, e15355. [Google Scholar] [CrossRef]
- Brischetto, A.; Leung, G.; Marshall, C.S.; Bowen, A.C. A Retrospective Case-Series of Children With Bone and Joint Infection From Northern Australia. Medicine 2016, 95, e2885. [Google Scholar] [CrossRef]
- Gkentzi, D.; Dimitriou, G. Antimicrobial Stewardship in the Neonatal Intensive Care Unit: An Update. Curr. Pediatr. Rev. 2019, 15, 47–52. [Google Scholar] [CrossRef] [PubMed]
- Castellazzi, L.; Mantero, M.; Esposito, S. Update on the management of pediatric acute osteomyelitis and septic arthritis. Int. J. Mol. Sci. 2016, 17, 855. [Google Scholar] [CrossRef] [PubMed] [Green Version]
- Pääkkönen, M.; Kallio, M.J.; Kallio, P.E.; Peltola, H. Sensitivity of erythrocyte sedimentation rate and C-reactive protein in childhood bone and joint infections. Clin. Orthop. Relat. Res. 2010, 468, 861–866. [Google Scholar] [CrossRef] [PubMed] [Green Version]
- Cherry, J.; Demmler-Harrison, G.J.; Kaplan, S.L.; Steinbach, W.J.; Hotez, P.J. Osteomyelitis. In Feigin and Cherry’s Textbook of Pediatric Infectious Diseases, 7th ed.; Elsevier Saunders: Philadelphia, PA, USA, 2014; pp. 711–727. [Google Scholar]
- Moumile, K.; Merckx, J.; Glorion, C.; Pouliquen, J.C.; Berche, P.; Ferroni, A. Bacterial etiology of acute osteoarticular infections in children. Acta Paediatr. 2005, 94, 419–422. [Google Scholar] [CrossRef]
- Iliadis, A.D.; Ramachandran, M. Paediatric bone and joint infections. EFORT Open Rev. 2017, 2, 7–12. [Google Scholar] [CrossRef]
- Offiah, A.C. Acute osteomyelitis, septic arthritis and discitis: Differences between neonates and older children. Eur. J. Radiol. 2006, 60, 221–232. [Google Scholar] [CrossRef]
- Ogden, J.A. Pediatric osteomyelitis and septic arthritis: The pathology of neonatal disease. Yale J. Biol. Med. 1979, 52, 423–448. [Google Scholar]
- Gilbertson-Dahdal, D.; Wright, J.E.; Krupinski, E.; McCurdy, W.E.; Taljanovic, M.S. Transphyseal involvement of pyogenic osteomyelitis is considerably more common than classically taught. AJR Am. J. Roentgenol. 2014, 203, 190–195. [Google Scholar] [CrossRef]
- Erkilinc, M.; Gilmore, A.; Weber, M.; Mistovich, R.J. Current Concepts in Pediatric Septic Arthritis. J. Am. Acad. Orthop. Surg. 2021, 29, 196–206. [Google Scholar] [CrossRef]
- Vieira, R.L.; Levy, J.A. Bedside ultrasonography to identify hip effusions in pediatric patients. Ann. Emerg. Med. 2010, 55, 284–289. [Google Scholar] [CrossRef]
- Warmann, S.W.; Dittmann, H.; Seitz, G.; Bares, R.; Fuchs, J.; Schäfer, J.F. Follow-up of acute osteomyelitis in children: The possible role of PET/CT in selected cases. J. Pediatr. Surg. 2011, 46, 1550–1556. [Google Scholar] [CrossRef] [PubMed]
- Hong, D.K.; Gutierrez, K. Osteomyelitis. In Principles and Practice of Pediatric Infectious Diseases, 5th ed.; Long, S.S., Prober, C.G., Fischer, M., Eds.; Elsevier: Philadelphia, PA, USA, 2018; pp. 480–486. [Google Scholar]
- Tamma, P.D.; Milstone, A.M. Out-patient antibiotic therapy for acute osteomyelitis in children: Balancing safety and efficacy. JAMA Pediatr. 2015, 169, 108–109. [Google Scholar] [CrossRef]
- Brady, P.W.; Brinkman, W.B.; Simmons, J.M.; Yau, C.; White, C.M.; Kirkendall, E.S.; Schaffzin, J.K.; Conway, P.H.; Vossmeyer, M.T. Oral antibiotics at discharge for children with acute osteomyelitis: A rapid cycle improvement project. BMJ Qual. Saf. 2014, 23, 499–507. [Google Scholar] [CrossRef] [PubMed]
- Le Saux, N.; Howard, A.; Barrowman, N.J.; Gaboury, I.; Sampson, M.; Moher, D. Shorter courses of parenteral antibiotic therapy do not appear to influence response rates for children with acute hematogenous osteomyelitis: A systematic review. BMC Infect. Dis. 2002, 2, 16. [Google Scholar] [CrossRef] [PubMed] [Green Version]
- Keren, R.; Shah, S.S.; Srivastava, R.; Rangel, S.; Bendel-Stenzel, M.; Harik, N.; Hartley, J.; Lopez, M.; Seguias, L.; Tieder, J.; et al. Pediatric Research in Inpatient Settings Network. Comparative effectiveness of intravenous vs oral antibiotics for acute osteomyelitis in children. JAMA Pediatr. 2015, 169, 120–128. [Google Scholar] [CrossRef] [Green Version]
- Grimbly, C.; Odenbach, J.; Vandermeer, B.; Forgie, S.; Curtis, S. Parenteral and oral antibiotic duration for treatment of pediatric osteomyelitis: A systemic review protocol. Syst. Rev. 2013, 2, 92. [Google Scholar] [CrossRef] [Green Version]
- Bergdahl, S.; Ekengren, K.; Eriksson, M. Neonatal hematogenous osteomyelitis: Risk factors for long-term sequelae. J. Pediatr. Orthop. 1985, 5, 564–568. [Google Scholar] [CrossRef]
- Xu, H.W.; Li, Y.Q.; Zhou, Q.H.; Liu, Y.Z.; Chen, W.D.; Li, J.C.; Yu, L.J. Treatment strategies for septic arthritis with a neonatal onset. Chin. J. Pediatr. Surg. 2016, 37, 582–588. [Google Scholar]
- Zhan, C.; Zhou, B.; Du, J.; Chen, L. Clinical analysis of 17 cases of neonatal osteomyelitis: A retrospective study. Medicine 2019, 98, 14129. [Google Scholar] [CrossRef]
- Chou, A.C.; Mahadev, A. Acute bacterial osteomyelitis in children. J. Orthop. Surg. 2016, 24, 250–252. [Google Scholar] [CrossRef] [Green Version]
- Heyworth, B.; Cohen, L.; von Heideken, J.; Kocher, M.S.; Iversen, M.D. Validity and comprehensibility of outcome measures in children with shoulder and elbow disorders: Creation of a new Pediatric and Adolescent Shoulder and Elbow Survey (Pedi-ASES). J. Shoulder Elbow Surg. 2018, 27, 1162–1171. [Google Scholar] [CrossRef] [PubMed]




| Parameters | Non-Surgical (n = 7) | Surgical (n = 24) | p Value | |
|---|---|---|---|---|
| Age (days) | 19.6 ± 6.3 | 18.2 ± 5.5 | 0.641 | |
| Sex | male | 4 | 16 | 0.654 |
| Female | 3 | 8 | ||
| From onset to admission (d) | 11.0 ± 1.9 | 2.4 ± 1.6 | <0.001 * | |
| Leukocyte (109/L) | 17 ± 4.9 | 20.6 ± 6.4 | 0.157 | |
| Neutrophil (109/L) | 15.0 ± 6.7 | 15.5 ± 5.1 | 0.626 | |
| Lymphocyte (109/L) | 5.1 ± 1.0 | 5.6 ± 1.3 | 0.334 | |
| Platelet (109/L) | 411.9 ± 62.6 | 387.1 ± 60.7 | 0.407 | |
| CRP (mg/L) | 44.7 ± 22.4 | 56.5 ± 19.9 | 0.272 | |
| ESR (mm/h) | 31.9 ± 7.4 | 38.3 ± 13.0 | 0.133 | |
| Predisposing factors | 1 (14.3%) | 4 (16.7%) | 0.906 | |
| Clinical Outcomes | Non-Surgical (n = 7) | Surgical (n = 24) | p Value | ||
|---|---|---|---|---|---|
| Culture | Blood | 2 (28.6%) | 5 (20.8%) | 0.682 | |
| Pus/aspirate | 1 (14.3%) | 17 (70.8%) | <0.001 * | ||
| Length of hospital stay (d) | 45.6 ± 2.4 | 24.8 ± 2.8 | <0.001 * | ||
| IV antibiotics (d) | 45.6 ± 2.4 | 24.8 ± 2.8 | <0.001 * | ||
| Oral antibiotics (d) | 27.7 ± 1.2 | 19.1 ± 5.3 | <0.001 * | ||
| Full recovery | 1 (14.3%) | 20 (83.3%) | <0.001 * | ||
| Length Discrepancy, cm | 0.7 ± 0.5 | 0.4 ± 0.2 | <0.001 * | ||
| ROM of shoulder | Flexion | 130 ± 14.4 | 160 ± 16.2 | <0.001 * | |
| Extension | 30 ± 12.1 | 45 ± 12.4 | <0.001 * | ||
| Abduction | 95 ± 11.4 | 146 ± 14.4 | <0.001 * | ||
| Adduction | 40 ± 10.4 | 60 ± 12.4 | <0.001 * | ||
| IR | 40 ± 11.7 | 55 ± 12.5 | <0.001 * | ||
| ER | 60 ± 12.4 | 75 ± 11.4 | <0.001 * | ||
| Normal Radiograph | 1 (14.3%) | 20 (83.3%) | <0.001 * | ||
| Parameters | Early Surgery (n = 14) | Delayed Surgery (n = 10) | p Value | |
|---|---|---|---|---|
| Age(days) | 19.9 ± 4.7 | 15.8 ± 5.6 | 0.089 | |
| Sex | male | 9 | 7 | 0.792 |
| Female | 5 | 3 | ||
| From onset to admission (d) | 1.3 ± 1.1 | 3.9 ± 0.7 | <0.001 * | |
| From admission to surgery (d) | 0.43 ± 0.49 | 0.5 ± 0.5 | 0.744 | |
| From onset to surgery (d) | 1.7 ± 1.2 | 4.4 ± 0.8 | <0.001 * | |
| Leukocyte (109/L) | 20.5 ± 6.9 | 20.9 ± 5.6 | 0.887 | |
| Neutrophil (109/L) | 15.5 ± 4.8 | 15.5 ± 5.4 | 0.993 | |
| Lymphocyte (109/L) | 5.4 ± 1.3 | 5.8 ± 1.2 | 0.551 | |
| Platelet (109/L) | 371.4 ± 64.8 | 409.0 ± 46.4 | 0.127 | |
| CRP (mg/L) | 55.9 ± 19.4 | 57.3 ± 20.6 | 0.877 | |
| ESR (mm/h) | 37.9 ± 12.5 | 38.8 ± 13.7 | 0.881 | |
| Predisposing factors | 2 (14.3%) | 2 (20.0%) | 0.739 | |
| Clinical Outcomes | Early Surgery (n = 14) | Delayed Surgery (n = 10) | p Value | ||
|---|---|---|---|---|---|
| Culture | Blood | 3 (21.4%) | 2 (20.0%) | 0.919 | |
| Pus/aspirate | 11 (78.6%) # | 6 (60.0%) | 0.316 | ||
| Length of hospital stay (d) | 23.4 ± 2.4 | 26.9 ± 1.9 | <0.01 * | ||
| IV antibiotics (d) | 23.4 ± 2.4 | 26.9 ± 1.9 | <0.01 * | ||
| Oral antibiotics (d) | 15.6 ± 3.5 | 24.1 ± 2.7 | <0.01 * | ||
| Full recovery | 12 (85.7%) | 8 (80.0%) | 0.739 | ||
| Length Discrepancy, cm | 0.4 ± 0.17 | 0.35 ± 0.21 | 0.354 | ||
| ROM of shoulder | Flexion | 160 ± 15.9 | 159 ± 16.2 | 0.687 | |
| Extension | 45 ± 12.7 | 44.5 ± 12.6 | 0.778 | ||
| Abduction | 146 ± 13.7 | 145 ± 14.2 | 0.232 | ||
| Adduction | 60 ± 12.1 | 58 ± 11.4 | 0.114 | ||
| IR | 55 ± 11.9 | 54 ± 12.5 | 0.089 | ||
| ER | 75 ± 10.8 | 75 ± 11.7 | 0.078 | ||
| Normal Radiograph | 12 (85.7%) | 8 (80.0%) | 0.739 | ||
Publisher’s Note: MDPI stays neutral with regard to jurisdictional claims in published maps and institutional affiliations. |
© 2022 by the authors. Licensee MDPI, Basel, Switzerland. This article is an open access article distributed under the terms and conditions of the Creative Commons Attribution (CC BY) license (https://creativecommons.org/licenses/by/4.0/).
Share and Cite
Gao, Y.; Liu, R.; Rai, S.; Liang, Q.; Liu, Y.; Xiao, X.; Hong, P. Is Early Surgical Intervention Necessary for Acute Neonatal Humeral Epiphyseal Osteomyelitis: A Retrospective Study of 31 Patients. Children 2022, 9, 527. https://doi.org/10.3390/children9040527
Gao Y, Liu R, Rai S, Liang Q, Liu Y, Xiao X, Hong P. Is Early Surgical Intervention Necessary for Acute Neonatal Humeral Epiphyseal Osteomyelitis: A Retrospective Study of 31 Patients. Children. 2022; 9(4):527. https://doi.org/10.3390/children9040527
Chicago/Turabian StyleGao, Yun, Ruikang Liu, Saroj Rai, Qingtuan Liang, Yuan Liu, Xiaoliang Xiao, and Pan Hong. 2022. "Is Early Surgical Intervention Necessary for Acute Neonatal Humeral Epiphyseal Osteomyelitis: A Retrospective Study of 31 Patients" Children 9, no. 4: 527. https://doi.org/10.3390/children9040527
APA StyleGao, Y., Liu, R., Rai, S., Liang, Q., Liu, Y., Xiao, X., & Hong, P. (2022). Is Early Surgical Intervention Necessary for Acute Neonatal Humeral Epiphyseal Osteomyelitis: A Retrospective Study of 31 Patients. Children, 9(4), 527. https://doi.org/10.3390/children9040527

