Pediatric Clavicle Fractures and Congenital Pseudarthrosis Unraveled
Abstract
1. Introduction
2. Epidemiology
2.1. Anatomy
Development of Clavicle
2.2. Trauma Mechanism
2.3. Classification of Fractures
2.4. Development of Pseudarthrosis
2.5. Classification of Pseudarthrosis
3. Diagnosis
3.1. Clavicle Fracture
3.2. Pseudarthrosis
3.3. Differential Diagnosis
4. Treatment and Complications
4.1. Clavicle Fracture
4.1.1. Non-Operative Treatment
4.1.2. Operative Treatment
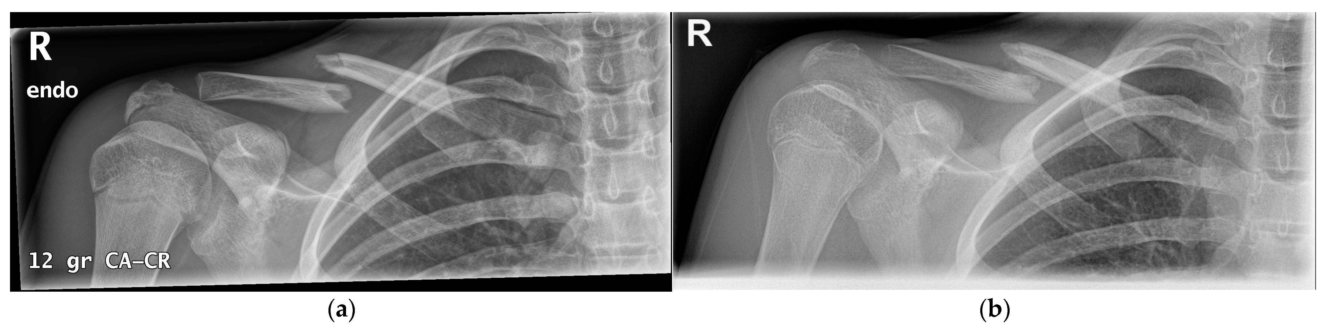
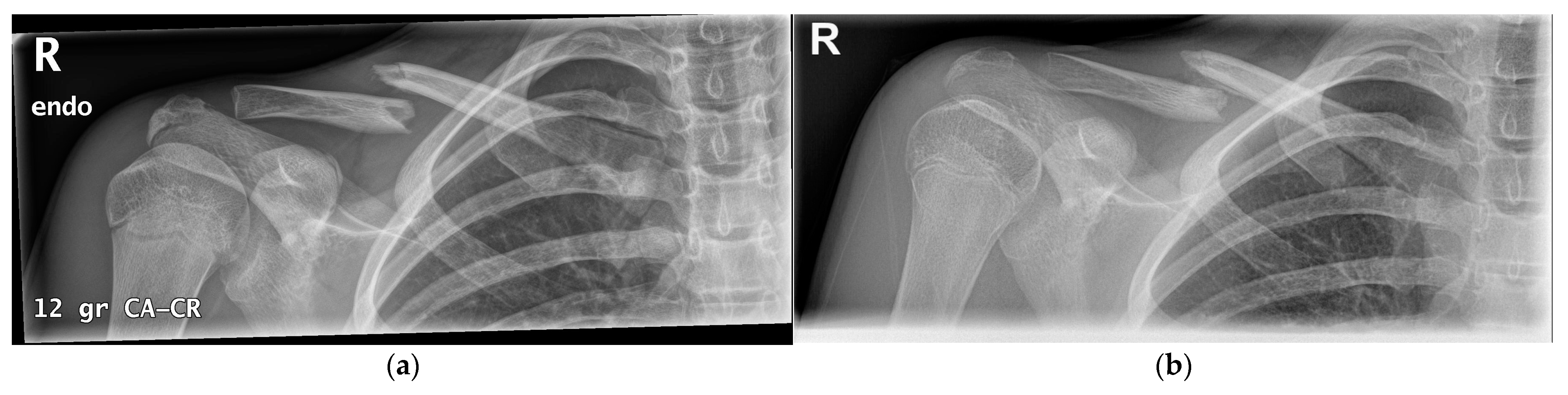
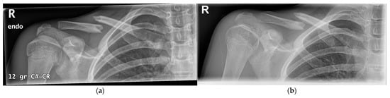
4.1.3. Revision Surgery
4.1.4. Return to Sports
4.2. Congenital Pseudarthrosis
4.2.1. Non-Operative Treatment
4.2.2. Operative Treatment
5. Conclusions
Author Contributions
Funding
Informed Consent Statement
Acknowledgments
Conflicts of Interest
References
- van der Meijden, O.A.; Gaskill, T.R.; Millett, P.J. Treatment of clavicle fractures: Current concepts review. J. Shoulder Elb. Surg. 2012, 21, 423–429. [Google Scholar] [CrossRef]
- de Figueiredo, M.J.P.S.S.; Dos Reis Braga, S.; Akkari, M.; Prado, J.C.L.; Santili, C. Congenital pseudarthrosis of the clavicle. Rev. Bras. Ortop. 2012, 47, 21–26. [Google Scholar] [CrossRef]
- van Tassel, D.; Owens, B.D.; Pointer, L.; Moriatis Wolf, J. Incidence of clavicle fractures in sports: Analysis of the NEISS Database. Int J. Sports Med. 2014, 35, 83–86. [Google Scholar] [CrossRef] [PubMed][Green Version]
- Ellis, H.B.; Li, Y.; Bae, D.S.; Kalish, L.A.; Wilson, P.L.; Pennock, A.T.; Nepple, J.J.; Willimon, S.C.; Spence, D.D.; Pandya, N.K.; et al. Descriptive Epidemiology of Adolescent Clavicle Fractures: Results From the FACTS (Function after Adolescent Clavicle Trauma and Surgery) Prospective, Multicenter Cohort Study. Orthop J. Sports Med. 2020, 8. [Google Scholar] [CrossRef] [PubMed]
- Luo, T.D.; Ashraf, A.; Larson, A.N.; Stans, A.A.; Shaughnessy, W.J.; McIntosh, A.L. Complications in the treatment of adolescent clavicle fractures. Orthopedics 2015, 38, e287–e291. [Google Scholar] [CrossRef] [PubMed]
- Hughes, K.; Kimpton, J.; Wei, R.; Williamson, M.; Yeo, A.; Arnander, M.; Gelfer, Y. Clavicle fracture nonunion in the paediatric population: A systematic review of the literature. J. Child. Orthop. 2018, 12, 2–8. [Google Scholar] [CrossRef]
- O’Neill, B.J.; Molloy, A.P.; Curtin, W. Conservative Management of Paediatric Clavicle Fractures. Int. J. Pediatr. 2011, 2011, 172571. [Google Scholar] [CrossRef]
- Yenigül, A.E.; Yenigül, N.N.; Başer, E.; Özelçi, R. A retrospective analysis of risk factors for clavicle fractures in newborns with shoulder dystocia and brachial plexus injury: A single-center experience. Acta Orthop. Traumatol. Turc. 2020, 54, 609–613. [Google Scholar] [CrossRef]
- Beall, M.H.; Ross, M.G. Clavicle fracture in labor: Risk factors and associated morbidities. J. Perinatol. 2001, 21, 513–515. [Google Scholar] [CrossRef]
- Linder, N.; Linder, I.; Fridman, E.; Kouadio, F.; Lubin, D.; Merlob, P.; Yogev, Y.; Melamed, N. Birth trauma-risk factors and short-term neonatal outcome. J. Matern. Neonatal Med. 2013, 26, 1491–1495. [Google Scholar] [CrossRef]
- O’Neill, B.J.; Hirpara, K.M.; O’Briain, D.; McGarr, C.; Kaar, T.K. Clavicle fractures: A comparison of five classification systems and their relationship to treatment outcomes. Int. Orthop. 2011, 35, 909–914. [Google Scholar] [CrossRef]
- Allman, F.L. Fractures and ligamentous injuries of the clavicle and its articulation. J. Bone Jt. Surg. Am. 1967, 49, 774–784. [Google Scholar] [CrossRef]
- Trumble, T.E.; Cornwall, R.; Budoff, J.E. Core Knowledge in Orthopaedics—Hand, Elbow, and Shoulder, 1st ed.; Mosby: Philadelphia, PA, USA, 2006; ISBN 9780323027694. [Google Scholar]
- Alldred, A.J. Congenital pseudarthrosis of the clavicle. J. Bone Jt. Surg. Br. 1963, 45, 312–319. [Google Scholar] [CrossRef]
- Price, B.D.; Price, C.T. Familial congenital pseudoarthrosis of the clavicle: Case report and literature review. Iowa Orthop. J. 1996, 16, 153–156. [Google Scholar]
- Toledo, L.C.; MacEwen, G.D. Severe complication of surgical treatment of con-genital pseudarthrosis of the clavicle. Clin. Orthop. Relat. Res. 1979, 139, 64–67. [Google Scholar]
- Shim, J.S.; Chang, M.J. Congenital pseudarthrosis of the clavicle—Report of 4 cases treated with surgical methods. J. Korean Orthop. Assoc. 2008, 43, 396–399. [Google Scholar] [CrossRef]
- Persiani, P.; Molayem, I.; Villani, C.; Cadilhac, C.; Glorion, C. Surgical treatment of congenital pseudarthrosis of the clavicle: A report on 17 cases. Acta Orthop. Belg. 2008, 74, 161–166. [Google Scholar] [PubMed]
- Kite, J.H. Congenital pseudarthrosis of the clavicle. South. Med. J. 1968, 61, 703–710. [Google Scholar] [CrossRef] [PubMed]
- Ray, P.; King, I.C.; Thomas, P.S.W. Vacuum phenomenon in the shoulder of a child. BMJ Case Rep. 2019, 12, e226724. [Google Scholar] [CrossRef]
- Kihlström, C.; Möller, M.; Lönn, K.; Wolf, O. Clavicle fractures: Epidemiology, classification and treatment of 2 422 fractures in the Swedish Fracture Register; an observational study. BMC Musculoskelet. Disord. 2017, 18, 82. [Google Scholar] [CrossRef]
- Lirette, M.P.; Bailey, B.; Grant, S.; Jackson, M.; Leonard, P. Can paediatric emergency clinicians identify and manage clavicle fractures without radiographs in the emergency department? A prospective study. BMJ Paediatr. Open 2018, 2, e000304. [Google Scholar] [CrossRef] [PubMed]
- Katz, R.; Landman, J.; Dulitzky, F.; Bar-Ziv, J. Fracture of the clavicle in the newborn. An ultrasound diagnosis. J. Ultrasound Med. 1988, 7, 21–23. [Google Scholar] [CrossRef] [PubMed]
- Kayser, R.; Mahlfeld, K.; Heyde, C.; Grasshoff, H. Ultrasonographic imaging of fractures of the clavicle in newborn infants. J. Bone Jt. Surg. Br. 2003, 85, 115–116. [Google Scholar] [CrossRef] [PubMed][Green Version]
- Chien, M.; Bulloch, B.; Garcia-Filion, P.; Youssfi, M.; Shrader, M.W.; Segal, L.S. Bedside ultrasound in the diagnosis of pediatric clavicle fractures. Pediatr. Emerg. Care 2011, 27, 1038–1041. [Google Scholar] [CrossRef]
- Hillen, R.J.; Burger, B.J.; Pöll, R.G.; van Dijk, C.N.; Veeger, D. The effect of experimental shortening of the clavicle on shoulder kinematics. Clin. Biomech. 2012, 27, 777–781. [Google Scholar] [CrossRef] [PubMed]
- Matsumura, N.; Ikegami, H.; Nakamichi, N.; Nakamura, T.; Nagura, T.; Imanishi, N.; Aiso, S.; Toyama, Y. Effect of shortening deformity of the clavicle on scapular kinematics: A cadaveric study. Am. J. Sports Med. 2010, 38, 1000–1006. [Google Scholar] [CrossRef]
- Matsumura, N.; Nakamichi, N.; Ikegami, H.; Nagura, T.; Imanishi, N.; Aiso, S.; Toyama, Y. The function of the clavicle on scapular motion: A cadaveric study. J. Shoulder Elb. Surg. 2013, 22, 333–339. [Google Scholar] [CrossRef] [PubMed]
- Beals, R.K.; Sauser, D.D. Nontraumatic disorders of the clavicle. J. Am. Acad Orthop. Surg. 2006, 14, 205–214. [Google Scholar] [CrossRef]
- Korf, B.R. Neurofibromatosis. Handb. Clin. Neurol. 2013, 111, 333–340. [Google Scholar] [CrossRef]
- Andersen, K.; Jensen, P.O.; Lauritzen, J. Treatment of clavicular fractures. Figure-of-eight bandage versus a simple sling. Acta Orthop. Scand. 1987, 58, 71–74. [Google Scholar] [CrossRef]
- Randsborg, P.H.; Fuglesang, H.F.; Røtterud, J.H.; Hammer, O.L.; Sivertsen, E.A. Long-term patient-reported outcome after fractures of the clavicle in patients aged 10 to 18 years. J. Pediatr. Orthop. 2014, 34, 393–399. [Google Scholar] [CrossRef]
- Schulz, J.; Moor, M.; Roocroft, J.; Bastrom, T.P.; Pennock, A.T. Functional and radiographic outcomes of nonoperative treatment of displaced adolescent clavicle fractures. J. Bone Jt. Surg. Am. 2013, 95, 1159–1165. [Google Scholar] [CrossRef] [PubMed]
- Leal-Oliva, A.; Mora-Ríos, F.G.; Mejía-Rohenes, C.; López-Marmnolejo, A.; Acevedo-Cabrera, M.J. Acortamiento relativo de clavícula en fracturas pediátricas: Su importancia en la decisión del tratamiento conservador [Relative clavicle shortening in pediatric fractures: Its importance when selecting conservative treatment]. Acta Ortop. Mex. 2014, 28, 82–87. [Google Scholar] [PubMed]
- Swarup, I.; Maheshwer, B.; Orr, S.; Kehoe, C.; Zhang, Y.; Dodwell, E. Intermediate-Term Outcomes Following Operative and Nonoperative Management of Midshaft Clavicle Fractures in Children and Adolescents: Internal Fixation May Improve Outcomes. JB JS Open Access 2021, 6, e20.00036. [Google Scholar] [CrossRef] [PubMed]
- McGraw, M.A.; Mehlman, C.T.; Lindsell, C.J.; Kirby, C.L. Postnatal growth of the clavicle: Birth to 18 years of age. J. Pediatr. Orthop. 2009, 29, 937–943. [Google Scholar] [CrossRef] [PubMed]
- Riiser, M.O.; Molund, M. Long-term Functional Outcomes and Complications in Operative Versus Nonoperative Treatment for Displaced Midshaft Clavicle Fractures in Adolescents: A Retrospective Comparative Study. J. Pediatr. Orthop. 2021, 41, 279–283. [Google Scholar] [CrossRef]
- Scott, M.L.; Baldwin, K.D.; Mistovich, R.J. Operative Versus Nonoperative Treatment of Pediatric and Adolescent Clavicular Fractures. JBJS Rev. 2019, 7, e5. [Google Scholar] [CrossRef] [PubMed]
- Mukhtar, I.A.; Yaghmour, K.M.; Ahmed, A.F.; Ibrahim, T. Flexible intramedullary nailing versus nonoperative treatment for paediatric displaced midshaft clavicle fractures. J. Child. Orthop. 2018, 12, 104–110. [Google Scholar] [CrossRef] [PubMed]
- McIntosh, A.L. Surgical treatment of adolescent Clavicle Fractures: Results and complications. J. Pediatr. Orthop. 2016, 36 (Suppl. 1), S41–S43. [Google Scholar] [CrossRef] [PubMed]
- Song, M.H.; Yun, Y.H.; Kang, K.; Hyun, M.J.; Choi, S. Nonoperative versus operative treatment for displaced midshaft clavicle fractures in adolescents: A comparative study. J. Pediatr. Orthop. Part B 2019, 28, 45–50. [Google Scholar] [CrossRef] [PubMed]
- Fanter, N.J.; Kenny, R.M.; Baker, C.L., III; Baker, C.L., Jr. Surgical treatment of clavicle fractures in the adolescent athlete. Sports Health 2015, 7, 137–141. [Google Scholar] [CrossRef] [PubMed]
- Pecci, M.; Kreher, J.B. Clavicle fractures. Am. Fam. Physician 2008, 77, 65–70. [Google Scholar]
- Kim, H.Y.; Yang, D.S.; Bae, J.H.; Cha, Y.H.; Lee, K.W.; Choy, W.S. Clinical and Radiological Outcomes after Various Treatments of Midshaft Clavicle Fractures in Adolescents. Clin. Orthop. Surg. 2020, 12, 396–403. [Google Scholar] [CrossRef] [PubMed]
- Lazarides, S.; Zafiropoulos, G. Conservative treatment of fractures at the middle third of the clavicle: The relevance of shortening and clinical outcome. J. Shoulder Elb. Surg. 2006, 15, 191–194. [Google Scholar] [CrossRef] [PubMed]
- Hill, J.M.; McGuire, M.H.; Crosby, L.A. Closed treatment of displaced middle-third fractures of the clavicle gives poor results. J. Bone Jt. Surg. Br. 1997, 79, 537–539. [Google Scholar] [CrossRef]
- Herzog, M.M.; Whitesell, R.C.; Mac, L.M.; Jackson, M.L.; Culotta, B.A.; Axelrod, J.R.; Busch, M.T.; Willimon, S.C. Functional outcomes following non-operative versus operative treatment of clavicle fractures in adolescents. J. Child. Orthop. 2017, 11, 310–317. [Google Scholar] [CrossRef]
- Bae, D.S.; Shah, A.S.; Kalish, L.A.; Kwon, J.Y.; Waters, P.M. Shoulder motion, strength, and functional outcomes in children with established malunion of the clavicle. J. Pediatr. Orthop. 2013, 33, 544–550. [Google Scholar] [CrossRef] [PubMed]
- Vander Have, K.L.; Perdue, A.M.; Caird, M.S.; Farley, F.A. Operative versus nonoperative treatment of midshaft clavicle fractures in adolescents. J. Pediatr. Orthop. 2010, 30, 307–312. [Google Scholar] [CrossRef]
- Ledger, M.; Leeks, N.; Ackland, T.; Wang, A. Short malunions of the clavicle: An anatomic and functional study. J. Shoulder Elb. Surg. 2005, 14, 349–354. [Google Scholar] [CrossRef]
- Pandya, N.K.; Namdari, S.; Hosalkar, H.S. Displaced clavicle fractures in adolescents: Facts, controversies, and current trends. J. Am. Acad. Orthop. Surg. 2012, 20, 498–505. [Google Scholar] [CrossRef]
- Parry, J.A.; Van Straaten, M.; Luo, T.D.; Simon, A.L.; Ashraf, A.; Kaufman, K.; Larson, A.N.; Shaughnessy, W.J. Is There a Deficit After Nonoperative Versus Operative Treatment of Shortened Midshaft Clavicular Fractures in Adolescents? J. Pediatr. Orthop. 2017, 37, 227–233. [Google Scholar] [CrossRef] [PubMed]
- Pennock, A.T.; Edmonds, E.W.; Bae, D.S.; Kocher, M.S.; Li, Y.; Farley, F.A.; Ellis, H.B.; Wilson, P.L.; Nepple, J.; Gordon, J.E.; et al. Adolescent clavicle nonunions: Potential risk factors and surgical management. J. Shoulder Elb. Surg. 2018, 27, 29–35. [Google Scholar] [CrossRef] [PubMed]
- Kubiak, R.; Slongo, T. Operative treatment of clavicle fractures in children: A review of 21 years. J. Pediatr. Orthop. 2002, 22, 736–739. [Google Scholar] [CrossRef] [PubMed]
- Housner, J.A.; Kuhn, J.E. Clavicle fractures: Individualizing treatment for fracture type. Physician Sportsmed. 2003, 31, 30–36. [Google Scholar] [CrossRef]
- Burnier, M.; Barlow, J.D.; Sanchez-Sotelo, J. Shoulder and Elbow Fractures in Athletes. Curr Rev. Musculoskelet. Med. 2019, 12, 13–23. [Google Scholar] [CrossRef]
- Hoogervorst, P.; van Schie, P.; van den Bekerom, M.P. Midshaft clavicle fractures: Current concepts. EFORT Open Rev. 2018, 3, 374–380. [Google Scholar] [CrossRef]
- Souza, N.A.S.M.; Belangero, P.S.; Figueiredo, E.A.; Pochini, A.C.; Andreoli, C.V.; Ejnisman, B. Displaced midshaft clavicle fracture in athletes—should we operate? Rev. Bras. Ortop. 2018, 53, 171–175. [Google Scholar] [CrossRef]
- Odorizzi, M.; FitzGerald, M.; Gonzalez, J.; Giunchi, D.; Hamitaga, F.; De Rosa, V. Posttraumatic Pseudoarthrosis of a Clavicle Fracture in an 11-Year-Old Girl: A Case Report and Analysis. Case Rep. Orthop. 2020, 2020, 4069431. [Google Scholar] [CrossRef]
- Owen, R. Congenital pseudarthrosis of the clavicle. J. Bone Jt. Surg. Br. 1970, 52, 644–652. [Google Scholar] [CrossRef]
- Sakellarides, H. Pseudarthrosis of the clavicle. J. Bone Jt. Surg 1961, 43, 130. [Google Scholar] [CrossRef]
- Da Costa, J.C. Modern Surgery, 4th ed.; W.B. Saunders: Philadelphia, PA, USA, 1903; Chapter 34 Bandages; p. 11. [Google Scholar]
- Dzupa, V.; Bartonicek, J.; Zidka, M. Fracture of the clavicle after surgical treatment for congenital pseudarthrosis. Med. Sci. Monit. 2004, 10, CS1–CS4. [Google Scholar] [PubMed]
- Padua, R.; Romanini, E.; Conti, C.; Padua, L.; Serra, F. Bilateral congenital pseudarthrosis of the clavicle report of a case with clinical, radiological and neurophysiological evaluation. Acta Orthop. Belg. 1999, 65, 372–375. [Google Scholar] [PubMed]
- Di Gennaro, G.L.; Cravino, M.; Martinelli, A.; Berardi, E.; Rao, A.; Stilli, S.; Trisolino, G. Congenital pseudarthrosis of the clavicle: A report on 27 cases. J. Shoulder Elb. Surg. 2017, 26, e65–e70. [Google Scholar] [CrossRef] [PubMed]






Publisher’s Note: MDPI stays neutral with regard to jurisdictional claims in published maps and institutional affiliations. |
© 2022 by the authors. Licensee MDPI, Basel, Switzerland. This article is an open access article distributed under the terms and conditions of the Creative Commons Attribution (CC BY) license (https://creativecommons.org/licenses/by/4.0/).
Share and Cite
van der Water, L.; Macken, A.A.; Eygendaal, D.; van Bergen, C.J.A. Pediatric Clavicle Fractures and Congenital Pseudarthrosis Unraveled. Children 2022, 9, 49. https://doi.org/10.3390/children9010049
van der Water L, Macken AA, Eygendaal D, van Bergen CJA. Pediatric Clavicle Fractures and Congenital Pseudarthrosis Unraveled. Children. 2022; 9(1):49. https://doi.org/10.3390/children9010049
Chicago/Turabian Stylevan der Water, Lisa, Arno A. Macken, Denise Eygendaal, and Christiaan J. A. van Bergen. 2022. "Pediatric Clavicle Fractures and Congenital Pseudarthrosis Unraveled" Children 9, no. 1: 49. https://doi.org/10.3390/children9010049
APA Stylevan der Water, L., Macken, A. A., Eygendaal, D., & van Bergen, C. J. A. (2022). Pediatric Clavicle Fractures and Congenital Pseudarthrosis Unraveled. Children, 9(1), 49. https://doi.org/10.3390/children9010049

