Pediatric Optic Neuritis: Description of Four Cases and Review of the Literature
Abstract
:1. Introduction
2. Case Reports
2.1. Investigations
- ◯
- Neurological examination;
- ◯
- Ophthalmological examination, including visual acuity assessment and fundus oculi examination;
- ◯
- Serological examination: laboratory routine blood tests, infectious disease tests, autoantibodies including MOG-IgG and AQP4-IgG;
- ◯
- Cerebrospinal fluid (CSF) examination;
- ◯
- Visual evoked potentials (VEPs);
- ◯
- Computerized visual field (CVF);
- ◯
- Optical coherence tomography (OCT);
- ◯
- Magnetic resonance imaging (MRI).
2.2. Patients
2.2.1. Case 1
2.2.2. Case 2
2.2.3. Case 3
2.2.4. Case 4
3. Discussion
4. Conclusions
Author Contributions
Funding
Institutional Review Board Statement
Informed Consent Statement
Data Availability Statement
Conflicts of Interest
References
- Chang, M.Y.; Pineles, S.L. Pediatric Optic Neuritis. Semin. Pediatr. Neurol. 2017, 24, 122–128. [Google Scholar] [CrossRef]
- Lock, J.H.; Newman, N.J.; Biousse, V.; Peragallo, J.H. Update on pediatric optic neuritis. Curr. Opin. Ophthalmol. 2019, 30, 418–425. [Google Scholar] [CrossRef]
- Gise, R.A.; Heidary, G. Update on pediatric optic neuritis. Curr. Neurol. Neurosci. Rep. 2020, 20, 4. [Google Scholar] [CrossRef] [PubMed]
- Toosy, A.T.; Mason, D.F.; Miller, D.H. Optic neuritis. Lancet Neurol. 2014, 13, 83–89. [Google Scholar] [CrossRef]
- Borchert, M.; Liu, G.T.; Pineles, S.; Waldman, A.T. Pediatric optic neuritis: What is new. J. Neuroophtalmol. 2017, 37, 14–22. [Google Scholar] [CrossRef] [PubMed]
- Zabad, R.K.; Stewart, R.; Healey, K.M. Pattern Recognition of the Multiple Sclerosis Syndrome. Brain Sci. 2017, 7, 138. [Google Scholar] [CrossRef] [PubMed] [Green Version]
- Boomer, J.A.; Siatkowski, R.M. Optic neuritis in adults and children. Semin. Ophthalmol. 2003, 18, 174–180. [Google Scholar] [CrossRef]
- Bennett, J.L. Optic Neuritis. Continuum 2019, 25, 1236–1264. [Google Scholar] [CrossRef]
- Collinge, J.E.; Sprunger, D.T. Update in pediatric optic neuritis. Curr. Opin. Ophthalmol. 2013, 24, 448–452. [Google Scholar] [CrossRef]
- Zhou, L.; Huang, Y.; Li, H.; Fan, J.; Zhangbao, J.; Yu, H.; Li, Y.; Lu, J.; Zhao, C.; Lu, C.; et al. MOG-antibody associated demyelinating disease of the CNS: A clinical and pathological study in Chinese Han patients. J. Neuroimmunol. 2017, 305, 19–28. [Google Scholar] [CrossRef]
- Juryńczyk, M.; Jacob, A.; Fujihara, K.; Palace, J. Myelin oligodendrocyte glycoprotein (MOG) antibody-associated disease: Practical considerations. Pract. Neurol. 2019, 19, 187–195. [Google Scholar] [CrossRef]
- Optic Neuritis Study Group. Multiple sclerosis risk after optic neuritis: Final optic neuritis treatment trial follow-up. Arch. Neurol. 2008, 65, 727–732. [Google Scholar] [CrossRef] [Green Version]
- Yeh, E.A.; Graves, J.F.; Benson, L.A.; Wassmer, E.; Waldman, A. Pediatric Optic Neuritis. Neurology 2016, 87, 53–58. [Google Scholar] [CrossRef] [PubMed] [Green Version]
- Bonhomme, G.R.; Mitchell, E.B. Treatment of Pediatric Optic Neuritis. Curr. Treat. Options Neurol. 2012, 14, 93–102. [Google Scholar] [CrossRef]
- Tonagel, F.; Wilhelm, H.; Kelbsch, C. Optic neuritis in German children: Clinical findings and association with multiple sclerosis. Graefes Arch. Clin. Exp. Ophthalmol. 2020, 258, 1523–1526. [Google Scholar] [CrossRef] [PubMed]
- Kleines, M.; Schiefer, J.; Stienen, A.; Blaum, M.; Ritter, K.; Häusler, M. Expanding the spectrum of neurological disease associated with Epstein-Barr virus activity. Eur. J. Clin. Microbiol. Infect. Dis. 2011, 30, 1561–1569. [Google Scholar] [CrossRef]
- Serra, M.; Presicci, A.; Fucci, M.; Margari, M.; Palumbi, R.; Peschechera, A.; Margari, L. Acute Disseminated Encephalomyelitis followed by Optic Neuritis: A Rare Syndrome of Uncertain Treatment and Prognosis. Neuropediatrics 2020, 51, 286–291. [Google Scholar] [CrossRef]
- Biousse, V.; Newman, N.J. Diagnosis and clinical features of common optic neuropathies. Lancet Neurol. 2016, 15, 1355–1367. [Google Scholar] [CrossRef]
- Pérez-Cambrodí, R.J.; Gómez-Hurtado Cubillana, A.; Merino-Suárez, M.L.; Pinero-Llorens, D.L.; Laria-Ochaita, C. Optic neuritis in pediatric population: A review in current tendencies of diagnosis and management. J. Optom. 2014, 7, 125–130. [Google Scholar] [CrossRef]
- Wan, M.J.; Adebona, O.; Benson, L.A.; Gorman, M.P.; Heidary, G. Visual outcomes in pediatric optic neuritis. Am. J. Ophtalmol. 2014, 158, 503–507. [Google Scholar] [CrossRef]
- Waldman, A.T.; Stull, L.B.; Stull, L.B.; Galetta, S.L.; Balcer, L.J.; Liu, G.T. Pediatric optic neuritis and risk of multiple sclerosis: Meta-analysis of observational studies. J. AAPOS 2011, 15, 441–446. [Google Scholar] [CrossRef]
- Heussinger, N.; Kontopantelis, E.; Gburek-Augustat, J.; Jenke, A.; Vollrath, G.; Korinthenberg, R.; Hofstetter, P.; Meyer, S.; Brecht, I.; Kornek, B.; et al. Oligoclonal bands predict multiple sclerosis in children with optic neuritis. Ann. Neurol. 2015, 77, 1076–1082. [Google Scholar] [CrossRef]
- Hennes, E.M.; Baumann, M.; Lechner, C.; Rostásy, K. MOG Spectrum Disorders and Role of MOG-Antibodies in Clinical Practice. Neuropediatrics 2018, 49, 3–11. [Google Scholar] [CrossRef] [PubMed]
- Polman, C.H.; Reingold, S.C.; Banwell, B.; Clanet, M.; Cohen, J.A.; Filippi, M.; Fujihara, K.; Havrdova, E.; Hutchinson, M.; Kappos, L.; et al. Diagnostic criteria for multiple sclerosis: 2010 Revisions to the McDonald criteria. Ann. Neurol. 2011, 69, 292–302. [Google Scholar] [CrossRef] [Green Version]
- Krupp, L.B.; Tardieu, M.; Amato, M.P.; Banwell, B.; Chitnis, T.; Dale, R.C.; Ghezzi, A.; Hintzen, R.; Kornberg, A.; Pohl, D.; et al. International Pediatric Multiple Sclerosis Study Group criteria for pediatric multiple sclerosis and immune-mediated central nervous system demyelinating disorder: Revisions to the 2007 definitions. Mult. Scler. 2013, 19, 1261–1267. [Google Scholar] [CrossRef] [PubMed]
- Thompson, A.J.; Banwell, B.L.; Barkhof, F.; Carroll, W.M.; Coetzee, T.; Comi, G.; Correale, J.; Fazekas, F.; Filippi, M.; Freedman, M.S.; et al. Diagnosis of multiple sclerosis: 2017 revisions of the McDonald criteria. Lancet Neurol. 2018, 17, 162–173. [Google Scholar] [CrossRef]
- Alroughani, R.; Boyko, A. Pediatric Multiple Sclerosis: A review. BMC Neurol. 2018, 18, 27. [Google Scholar] [CrossRef]
- Renoux, C. Natural history of multiple sclerosis: Long-term prognostic factors. Neurol. Clin. 2011, 29, 293–308. [Google Scholar] [CrossRef]
- Averseng-Peaureaux, D.; Mizzi, M.; Colineaux, H.; Mahieu, L.; Pera, M.C.; Brassat, D.; Chaix, Y.; Berard, E.; Deiva, K.; Cheuret, E.; et al. Paediatric optic neuritis: Factors leading to unfavourable outcome and relapses. Br. J. Ophthalmol. 2018, 102, 808–813. [Google Scholar] [CrossRef]
- Ferraro, D.; Trovati, D.; Bedin, R.; Natali, P.; Franciotta, D.; Santangelo, M.; Camera, V.; Vitetta, F.; Varani, M.; Trenti, T.; et al. Cerebrospinal fluid kappa and lambda free light chains in oligoclonal band-negative patients with suspected multiple sclerosis. Eur. J. Neurol. 2020, 27, 461–467. [Google Scholar] [CrossRef]
- Wingerchuk, D.M.; Banwell, B.; Bennett, J.L.; Cabre, P.; Carroll, W.; Chitnis, T.; de Seze, J.; Fujihara, K.; Greenberg, B.; Jacob, A.; et al. International consensus diagnostic criteria for neuromyelitis optica spectrum disorders. Neurology 2015, 85, 177–189. [Google Scholar] [CrossRef]
- Lehman, S.S.; Lavrich, J.B. Pediatric Optic Neuritis. Curr. Opin. Ophthalmol. 2018, 29, 419–422. [Google Scholar] [CrossRef] [PubMed]
- Chitnis, T.; Ness, J.; Krupp, L.; Waubant, E.; Hunt, T.; Olsen, C.S.; Rodriguez, M.; Lotze, T.; Gorman, M.; Benson, L.; et al. Clinical features of neuromyelitis optica in children: US Network of Pediatric MS Centers report. Neurology 2016, 86, 245–252. [Google Scholar] [CrossRef] [PubMed] [Green Version]
- Tenembaum, S.; Chitnis, T.; Nakashima, I.; Collongues, N.; McKeon, A.; Levy, M.; Rostasy, K. Neuromyelitis optica spectrum disorders in children and adolescents. Neurology 2016, 87 (Suppl. 2), S59–S66. [Google Scholar] [CrossRef] [PubMed] [Green Version]
- Cobo-Calvo, A.; Ruiz, A.; Rollot, F.; Arrambide, G.; Deschamps, R.; Maillart, E.; Papeix, C.; Audoin, B.; Lépine, A.F.; Maurey, H.; et al. Clinical Features and Risk of Relapse in Children and Adults with Myelin Oligodendrocyte Glycoprotein Antibody-Associated Disease. Ann. Neurol. 2021, 89, 30–41. [Google Scholar] [CrossRef] [PubMed]




| Case 1 | Case 2 | Case 3 | Case 4 | |
|---|---|---|---|---|
| Neurological examination | Weakness of the right upper limb with pronation of the hand | Right pyramidal signs | Left pyramidal signs | Hyporeflexia, Horizontal nystagmus |
| Ophthalmological examination | LE: NV 8/10, mild papillitis | RE: CV 1/50, significant papillitis | RE: NV 3/10, no signs of papillitis | RE: NV 1/100, mild papillitis LE: NV hand motion |
| Severe dyschromatopsia | ||||
| Laboratory findings | VCA and EBNA EBV IgG: positive VCA EBV IgM: doubtful positive CSF: 1 OCB absent in the serum; 7 serum OCBs | MOG-IgG: high titer CSF: pleocytosis, intrathecal IgA synthesis | MOG-IgG: low titer CSF: 7 OCBs, absent in the serum | AQP4-IgG: high titer |
| CVF | LE: reduced central and upper sensitivity | RE: central scotoma | RE: small central scotoma | NA |
| VEP | LE: increased latency | RE: increased latency | RE: amplitude reduction | Bilateral increased latency and amplitude reduction |
| OCT | LE: increased retinal nerve fiber layer | NA | Normal findings | RE: reduced temporal ganglion cell layer LE: NA |
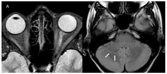
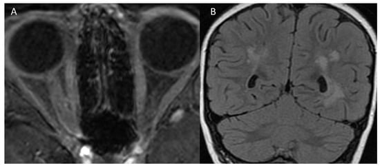
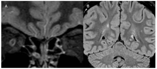
| MRI | Left optic nerve: hyperintensity (T2) Two millimetric T2 hyperintense cerebellar foci | Right optic nerve: hyperintensity (STIR), contrast enhancement ADEM outcomes | Right optic nerve: small hyperintensity (T2) Multiple juxtacortical, infratentorial, and periventricular demyelinating lesions; four lesions with contrast enhancement | Right and left optic nerves: retrobulbar bilateral swelling, contrast enhancement |
Publisher’s Note: MDPI stays neutral with regard to jurisdictional claims in published maps and institutional affiliations. |
© 2021 by the authors. Licensee MDPI, Basel, Switzerland. This article is an open access article distributed under the terms and conditions of the Creative Commons Attribution (CC BY) license (https://creativecommons.org/licenses/by/4.0/).
Share and Cite
Presicci, A.; Serra, M.; Achille, M.; Caputo, E.; Margari, L. Pediatric Optic Neuritis: Description of Four Cases and Review of the Literature. Children 2021, 8, 855. https://doi.org/10.3390/children8100855
Presicci A, Serra M, Achille M, Caputo E, Margari L. Pediatric Optic Neuritis: Description of Four Cases and Review of the Literature. Children. 2021; 8(10):855. https://doi.org/10.3390/children8100855
Chicago/Turabian StylePresicci, Anna, Maria Serra, Mariaclara Achille, Elvita Caputo, and Lucia Margari. 2021. "Pediatric Optic Neuritis: Description of Four Cases and Review of the Literature" Children 8, no. 10: 855. https://doi.org/10.3390/children8100855
APA StylePresicci, A., Serra, M., Achille, M., Caputo, E., & Margari, L. (2021). Pediatric Optic Neuritis: Description of Four Cases and Review of the Literature. Children, 8(10), 855. https://doi.org/10.3390/children8100855

