Middle Cerebral Artery Stroke as Amusement Park Injury: Case Report and Review of the Literature
Abstract
:1. Introduction
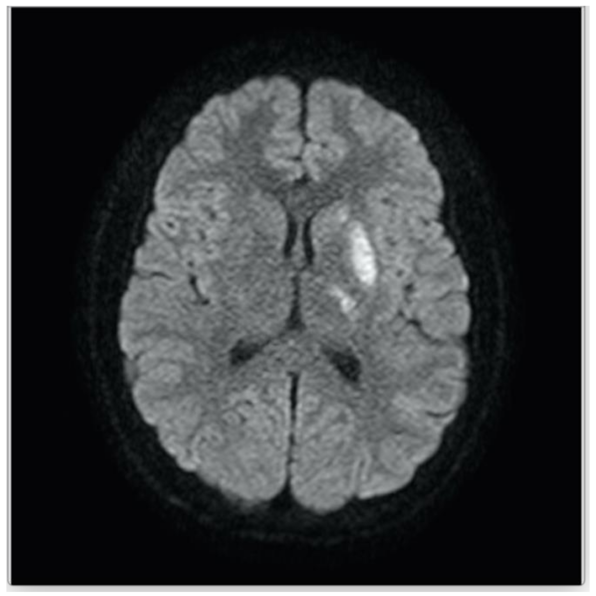
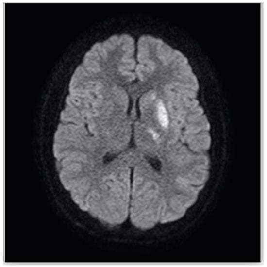
2. Patient Description
3. Discussion
4. Conclusions
Acknowledgments
Author Contributions
Conflicts of Interest
References
- Matta, A.; Galvão, K.; Oliveira, B. Cerebrovascular Disorders in Childhood: Etiology, Clinical Presentation, and Neuroimaging Findings in a Case Series Study. Arq. Neuro-Psiquiatr. Arquivos De Neuro-Psiquiatria 2006, 64, 181–185. [Google Scholar] [CrossRef]
- Kurita, N.; Ueno, Y.; Watanabe, M.; Shimura, H.; Nonaka, S.; Tsutsumi, S.; Yasumoto, Y.; Hattori, N.; Urabe, T. Three Cases of Cervicocephalic Artery Dissection in an Amusement Park. J. Stroke Cerebrovasc. Dis. 2014, 23, 467–471. [Google Scholar] [CrossRef] [PubMed]
- Thompson, M.C.; Chounthirath, T.; Xiang, H.; Smith, G.A. US pediatric injuries involving amusement rides, 1990–2010. Clin. Pediatr. 2013, 52, 433–440. [Google Scholar] [CrossRef] [PubMed]
- Liebeskind, D.; Saver, J. Cervicocephalic Arterial Dissections. Brain Nerve 2008, 60, 1115–1123. [Google Scholar]
- Nouh, A.; Vela-Duarte, D.; Grobelny, T.; Hoganson, G.; Pasquale, D.; Biller, J. Internal Carotid Artery Dissection After a Roller Coaster Ride in a 4-Year-Old: Case Report and Review of the Literature. Pediatr. Neurol. 2015, 52, 349–351. [Google Scholar] [CrossRef] [PubMed]
- Loder, R.; Feinberg, J. Emergency Department Visits Secondary to Amusement Ride Injuries in Children. J. Pediatr. Orthop. 2008, 28, 423–426. [Google Scholar] [CrossRef] [PubMed]
- Smith, D.; Meaney, D. Roller Coasters, G Forces, and Brain Trauma: On the Wrong Track? J. Neurotrauma 2002, 19, 1117–1120. [Google Scholar] [CrossRef] [PubMed]
- Freeman, M.; Croft, A.; Nicodemus, C.; Centeno, C.; Elkins, W. Significant Spinal Injury Resulting From Low-Level Accelerations: A Case Series of Roller Coaster Injuries. Arch. Phys. Med. Rehabilit. 2005, 86, 2126–2130. [Google Scholar] [CrossRef] [PubMed]
- Gennarelli, T.; Thibault, W.; Adams, J.H.; Graham, D.; Thompson, C.; Marcincin, R. Diffuse Axonal Injury and Traumatic Coma in the Primate. Ann. Neurol. Ann Neurol. 1982, 12, 564–574. [Google Scholar] [CrossRef] [PubMed]
- Smith, D.; Nonaka, M.; Miller, R.; Leoni, M.; Chen, X.H.; Alsop, D.; Meaney, D.F. Immediate Coma following Inertial Brain Injury Dependent on Axonal Damage in the Brainstem. J. Neurosurg. 2000, 93, 315–322. [Google Scholar] [CrossRef] [PubMed]
- Arat, Y.O.; Volpi, J.; Arat, A.; Klucznik, R.; Diaz, O. Bilateral Internal Carotid Artery and Vertebral Artery Dissections with Retinal Artery Occlusion after a Roller Coaster Ride—Case Report and a Review. Ulus Travma Acil Cerrahi Derg Turk. J. Trauma Emerg. Surg. 2011, 17, 75–78. [Google Scholar] [CrossRef]
- Schneck, M.; Simionescu, M.; Bijari, A. Bilateral Vertebral Artery Dissection Possibly Precipitated in Delayed Fashion as a Result of Roller Coaster Rides. J. Stroke Cerebrovasc. Dis. 2008, 17, 39–41. [Google Scholar] [CrossRef] [PubMed]
- Olympia, R.; Brady, J.; Rupp, V.; Lansenderfer, C. Emergency Department Visits from a Local Amusement Park. J. Emerg. Med. 2011, 41, 14–20. [Google Scholar] [CrossRef] [PubMed]
- Burneo, J.; Shatz, R.; Papmitsakis, N.; Mitsias, P. Amusement Park Stroke. Neurology 2000, 55. [Google Scholar] [CrossRef]
- Lascelles, K.; Hewes, D.; Ganesan, V. An Unexpected Consequence of a Roller Coaster Ride. J. Neurol. Neurosurg. Psychiatry 2001, 71, 704–710. [Google Scholar] [CrossRef] [PubMed]
- Leitao, D.; Mendonca, D.; Iyer, H.; Kao, C.K. Neurologic Complication after a Roller Coaster Ride. Am. J. Emerg. Med. 2012, 30, 249.e5–249.e7. [Google Scholar] [CrossRef] [PubMed]
- Guide to Ride and Accessibility Guide. Holiday World & Splashin’ Safari. March 2016. Available online: https://www.holidayworld.com/wp-content/uploads/AccessGuide.pdf (accessed on 6 July 2017).
- Bernard, T.; Friedman, N.; Stence, N.; Jones, W.; Ichord, R.; Amlie-Lefond, C.; Dowling, M.M.; Rivkin, M.J. Preparing for a “Pediatric Stroke Alert”. Pediatr. Neurol. 2016, 56, 18–24. [Google Scholar] [CrossRef] [PubMed]



| Case | Year | Sex/Age | Clinical Symptoms | Diagnosis |
|---|---|---|---|---|
| Burneo [14] | 2000 | M/30 years old | Diplopia and cervical pain | Left occipital infarction; left vertebral artery dissection |
| Lascelles [15] | 2001 | M/11 years old | Sudden headache, hemiparesis, ataxia, dizziness, nausea and vomiting | Left cerebellar infarct and infarction of both thalami; left vertebral artery dissection |
| Schneck [12] | 2008 | F/34 years old | Neck pain, vertigo, blurred vision, and middle horizontal diplopia | Bilateral cervical vertebral dissections |
| Arat [11] | 2011 | F/35 years old | Right sided neck pain and frontal headache | Bilateral ICA and vertebral artery dissections |
| Leitao [16] | 2012 | M/22 years old | Occipital headache, vertigo, nausea, vomiting and ataxia | Infarct of the right cerebellum; dissection of the right vertebral artery at C1–C2 |
| Kurita [2] | 2014 | M/39 years old | Headache, sudden right hemiplegia and aphasia | Infarction of left MCA territory; ICA and MCA dissection |
| Nouh [5] | 2015 | M/4 years old | Left facial droop, vomiting, inability to walk and left sided weakness | Right MCA infarction; right internal carotid artery dissection |
| Baumgartle * | 2016 | M/12 years old | Headache, facial drooping, slurred speech and right sided weakness | Left MCA infarction |
© 2017 by the authors. Licensee MDPI, Basel, Switzerland. This article is an open access article distributed under the terms and conditions of the Creative Commons Attribution (CC BY) license (http://creativecommons.org/licenses/by/4.0/).
Share and Cite
Baumgartle, A.; Wolfe, L.; Puri, V.; Moeller, K.; Bertolone, S.; Raj, A. Middle Cerebral Artery Stroke as Amusement Park Injury: Case Report and Review of the Literature. Children 2017, 4, 64. https://doi.org/10.3390/children4080064
Baumgartle A, Wolfe L, Puri V, Moeller K, Bertolone S, Raj A. Middle Cerebral Artery Stroke as Amusement Park Injury: Case Report and Review of the Literature. Children. 2017; 4(8):64. https://doi.org/10.3390/children4080064
Chicago/Turabian StyleBaumgartle, Abby, Laura Wolfe, Vinay Puri, Karen Moeller, Salvatore Bertolone, and Ashok Raj. 2017. "Middle Cerebral Artery Stroke as Amusement Park Injury: Case Report and Review of the Literature" Children 4, no. 8: 64. https://doi.org/10.3390/children4080064
APA StyleBaumgartle, A., Wolfe, L., Puri, V., Moeller, K., Bertolone, S., & Raj, A. (2017). Middle Cerebral Artery Stroke as Amusement Park Injury: Case Report and Review of the Literature. Children, 4(8), 64. https://doi.org/10.3390/children4080064
