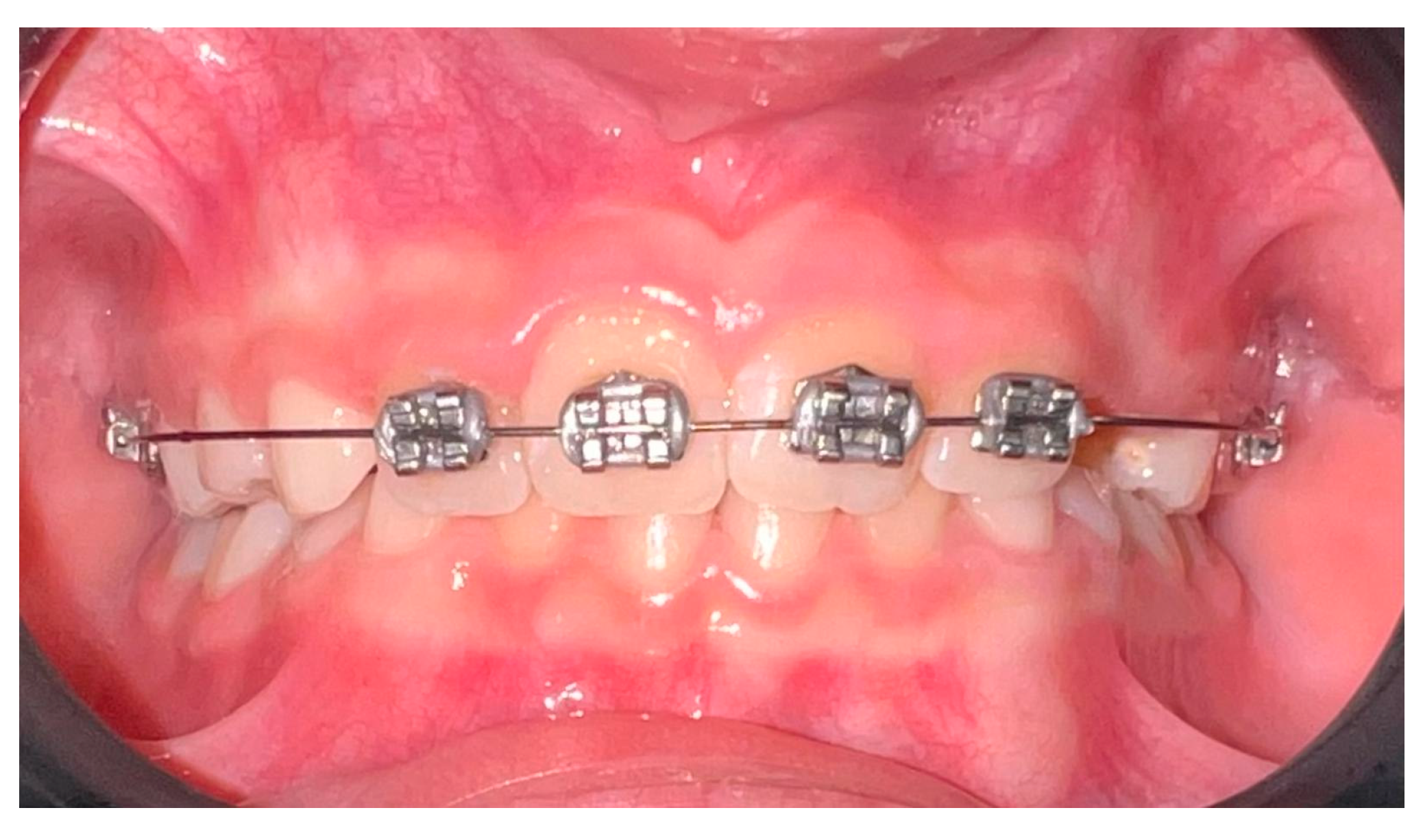
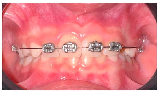
Effectiveness and Clinical Indications of 2 × 4 Fixed Orthodontic Therapy in Regard to Mixed Dentition: A Systematic Review
Abstract
1. Introduction
2. Materials and Methods
2.1. Protocol and Registration
2.2. Search Process
2.3. Inclusion and Exclusion Criteria
- Open-access studies written in English;
- Studies conducted in vivo or on humans;
- Case–control studies, cohort studies, and randomized controlled trials (RCTs);
- Studies involving children aged 6 to 12 years, corresponding to the mixed-dentition phase;
- Studies published in the last 25 years.
2.4. PICo Question
2.5. Data Processing
3. Results
3.1. Selected Studies and Their Characteristics
3.2. Quality and Risk-of-Bias Assessment for the Included Articles
4. Discussion
5. Conclusions
6. Limitations of This Review
Author Contributions
Funding
Institutional Review Board Statement
Informed Consent Statement
Data Availability Statement
Conflicts of Interest
Abbreviations
| Abbreviation | Definition |
| MD | Mixed dentition |
| SR | Systematic review |
References
- Abbate, G.M.; Caria, M.P.; Montanari, P.; Mannu, C.; Orrù, G.; Caprioglio, A.; Levrini, L. Periodontal Health in Teenagers Treated with Removable Aligners and Fixed Orthodontic Appliances. J. Orofac. Orthop./Fortschritte Kieferorthopädie 2015, 76, 240–250. [Google Scholar] [CrossRef] [PubMed]
- Albhaisi, Z.; Al-Khateeb, S.N.; Abu Alhaija, E.S. Enamel Demineralization during Clear Aligner Orthodontic Treatment Compared with Fixed Appliance Therapy, Evaluated with Quantitative Light-Induced Fluorescence: A Randomized Clinical Trial. Am. J. Orthod. Dentofac. Orthop. 2020, 157, 594–601. [Google Scholar] [CrossRef] [PubMed]
- Alhaija, E.S.A.; Al-Saif, E.M.; Taani, D.Q. Periodontal Health Knowledge and Awareness among Subjects with Fixed Orthodontic Appliance. Dent. Press. J. Orthod. 2018, 23, 40.e1–40.e9. [Google Scholar] [CrossRef] [PubMed]
- Al-Zainal, M.H.; Anvery, S.; Al-Jewair, T. Clear Aligner Therapy May Not Prevent but May Decrease the Incidence of External Root Resorption Compared to Full Fixed Appliances. J. Evid. Based Dent. Pract. 2020, 20, 101438. [Google Scholar] [CrossRef]
- Atack, N.E.; Sandy, J.R.; Addy, M. Periodontal and Microbiological Changes Associated with the Placement of Orthodontic Appliances. A Review. J. Periodontol. 1996, 67, 78–85. [Google Scholar] [CrossRef]
- Azaripour, A.; Weusmann, J.; Mahmoodi, B.; Peppas, D.; Gerhold-Ay, A.; Van Noorden, C.J.F.; Willershausen, B. Braces versus Invisalign®: Gingival Parameters and Patients’ Satisfaction during Treatment: A Cross-Sectional Study. BMC Oral Health 2015, 15, 69. [Google Scholar] [CrossRef]
- Buschang, P.H.; Chastain, D.; Keylor, C.L.; Crosby, D.; Julien, K.C. Incidence of White Spot Lesions among Patients Treated with Clear Aligners and Traditional Braces. Angle Orthod. 2019, 89, 359–364. [Google Scholar] [CrossRef]
- Cerroni, S.; Pasquantonio, G.; Condò, R.; Cerroni, L. Orthodontic Fixed Appliance and Periodontal Status: An Updated Systematic Review. Open Dent. J. 2018, 12, 614–622. [Google Scholar] [CrossRef]
- Chhibber, A.; Agarwal, S.; Yadav, S.; Kuo, C.-L.; Upadhyay, M. Which Orthodontic Appliance Is Best for Oral Hygiene? A Randomized Clinical Trial. Am. J. Orthod. Dentofac. Orthop. 2018, 153, 175–183. [Google Scholar] [CrossRef]
- Dallel, I.; Ben Salem, I.; Merghni, A.; Bellalah, W.; Neffati, F.; Tobji, S.; Mastouri, M.; Ben Amor, A. Influence of Orthodontic Appliance Type on Salivary Parameters during Treatment. Angle Orthod. 2020, 90, 532–538. [Google Scholar] [CrossRef]
- Dasy, H.; Dasy, A.; Asatrian, G.; Rózsa, N.; Lee, H.-F.; Kwak, J.H. Effects of Variable Attachment Shapes and Aligner Material on Aligner Retention. Angle Orthod. 2015, 85, 934–940. [Google Scholar] [CrossRef] [PubMed]
- Duncan, L.O.; Piedade, L.; Lekic, M.; Cunha, R.S.; Wiltshire, W.A. Changes in Mandibular Incisor Position and Arch Form Resulting from Invisalign Correction of the Crowded Dentition Treated Nonextraction. Angle Orthod. 2016, 86, 577–583. [Google Scholar] [CrossRef] [PubMed]
- Lin, E.; Julien, K.; Kesterke, M.; Buschang, P.H. Differences in Finished Case Quality between Invisalign and Traditional Fixed Appliances. Angle Orthod. 2022, 92, 173–179. [Google Scholar] [CrossRef]
- Grünheid, T.; Gaalaas, S.; Hamdan, H.; Larson, B.E. Effect of Clear Aligner Therapy on the Buccolingual Inclination of Mandibular Canines and the Intercanine Distance. Angle Orthod. 2016, 86, 10–16. [Google Scholar] [CrossRef]
- Drake, C.T.; McGorray, S.P.; Dolce, C.; Nair, M.; Wheeler, T.T. Orthodontic Tooth Movement with Clear Aligners. ISRN Dent. 2012, 2012, 657973. [Google Scholar] [CrossRef]
- Kurol, J.; Bjerklin, K. Treatment of Children with Ectopic Eruption of the Maxillary First Permanent Molar by Cervical Traction. Am. J. Orthod. 1984, 86, 483–492. [Google Scholar] [CrossRef]
- Johnson, J.E. A New Orthodontic Mechanism: The Twin Wire Alignment Appliance. Int. J. Orthod. Dent. Child. 1934, 20, 946–963. [Google Scholar] [CrossRef]
- Damon, D.H. The Rationale, Evolution and Clinical Application of the Self-ligating Bracket. Clin. Orthod. Res. 1998, 1, 52–61. [Google Scholar] [CrossRef]
- Egger, M.; Davey Smith, G.; Schneider, M.; Minder, C. Bias in Meta-Analysis Detected by a Simple, Graphical Test. BMJ 1997, 315, 629–634. [Google Scholar] [CrossRef]
- Eliades, T.; Eliades, G.; Brantley, W.A. Microbial Attachment on Orthodontic Appliances: I. Wettability and Early Pellicle Formation on Bracket Materials. Am. J. Orthod. Dentofac. Orthop. 1995, 108, 351–360. [Google Scholar] [CrossRef]
- Eliades, T.; Koletsi, D. Minimizing the Aerosol-Generating Procedures in Orthodontics in the Era of a Pandemic: Current Evidence on the Reduction of Hazardous Effects for the Treatment Team and Patients. Am. J. Orthod. Dentofac. Orthop. 2020, 158, 330–342. [Google Scholar] [CrossRef] [PubMed]
- Mulla Issa, F.H.K.; Mulla Issa, Z.H.K.; Rabah, A.F.; Hu, L. Periodontal Parameters in Adult Patients with Clear Aligners Orthodontics Treatment versus Three Other Types of Brackets: A Cross-Sectional Study. J. Orthod. Sci. 2020, 9, 4. [Google Scholar] [CrossRef] [PubMed]
- Eliades, T.; Papageorgiou, S.N.; Ireland, A.J. The Use of Attachments in Aligner Treatment: Analyzing the “Innovation” of Expanding the Use of Acid Etching-Mediated Bonding of Composites to Enamel and Its Consequences. Am. J. Orthod. Dentofac. Orthop. 2020, 158, 166–174. [Google Scholar] [CrossRef]
- Birnie, D. The Damon Passive Self-Ligating Appliance System. Semin. Orthod. 2008, 14, 19–35. [Google Scholar] [CrossRef]
- Lin, L.I.-K. A Concordance Correlation Coefficient to Evaluate Reproducibility. Biometrics 1989, 45, 255. [Google Scholar] [CrossRef]
- Sillman, J.H. Dimensional Changes of the Dental Arches: Longitudinal Study from Birth to 25 Years. Am. J. Orthod. 1964, 50, 824–842. [Google Scholar] [CrossRef]
- Acar, A.G.; Gürsoy, S.; Dinçer, M. Molar Distalization with a Pendulum Appliance K-Loop Combination. Eur. J. Orthod. 2010, 32, 459–465. [Google Scholar] [CrossRef]
- Ghosh, J.; Nanda, R.S. Evaluation of an Intraoral Maxillary Molar Distalization Technique. Am. J. Orthod. Dentofac. Orthop. 1996, 110, 639–646. [Google Scholar] [CrossRef]
- Chiu, P.P.; McNamara, J.A.; Franchi, L. A Comparison of Two Intraoral Molar Distalization Appliances: Distal Jet versus Pendulum. Am. J. Orthod. Dentofac. Orthop. 2005, 128, 353–365. [Google Scholar] [CrossRef]
- Lin, Y.-T.; Lin, W.-H.; Lin, Y.-T.J. Twelve-Month Space Changes after Premature Loss of a Primary Maxillary First Molar. Int. J. Paediatr. Dent. 2011, 21, 161–166. [Google Scholar] [CrossRef]
- Zwemer, T.J. Ten Rules of the Mixed Dentition. J. Ont. Dent. Assoc. 1968, 45, 412–417. [Google Scholar] [PubMed]
- Zuleta, G.R. Treatment of Malocclusion in the Mixed Dentition. Acta Clin. Odontol. 1985, 8, 56–64. [Google Scholar] [PubMed]
- Zrazhevska, A.; Savonik, S. Correction of dental arches dimensions in children with dentition defects in the period of mixed occlusion using non-removable orthodontic prosthesis appliance. Georgian Med. News 2021, 318, 56–60. [Google Scholar]
- Gujar, A.N.; Al-Hazmi, A.; Raj, A.T.; Patil, S. Microbial Profile in Different Orthodontic Appliances by Checkerboard DNA-DNA Hybridization: An In-Vivo Study. Am. J. Orthod. Dentofac. Orthop. 2020, 157, 49–58. [Google Scholar] [CrossRef]
- Gujar, A.N.; Baeshen, H.A.; Alhazmi, A.; Bhandi, S.; Raj, A.T.; Patil, S.; Birkhed, D. Cytokine Levels in Gingival Crevicular Fluid during Orthodontic Treatment with Aligners Compared to Conventional Labial Fixed Appliances: A 3-Week Clinical Study. Acta Odontol. Scand. 2019, 77, 474–481. [Google Scholar] [CrossRef]
- Guyatt, G.H.; Oxman, A.D.; Vist, G.E.; Kunz, R.; Falck-Ytter, Y.; Alonso-Coello, P.; Schünemann, H.J.; GRADE Working Group. GRADE: An Emerging Consensus on Rating Quality of Evidence and Strength of Recommendations. BMJ 2008, 336, 924–926. [Google Scholar] [CrossRef]
- Han, J.-Y. A Comparative Study of Combined Periodontal and Orthodontic Treatment with Fixed Appliances and Clear Aligners in Patients with Periodontitis. J. Periodontal Implant Sci. 2015, 45, 193–204. [Google Scholar] [CrossRef]
- Iliadi, A.; Koletsi, D.; Papageorgiou, S.N.; Eliades, T. Safety Considerations for Thermoplastic-Type Appliances Used as Orthodontic Aligners or Retainers. A Systematic Review and Meta-Analysis of Clinical and In-Vitro Research. Materials 2020, 13, 1843. [Google Scholar] [CrossRef]
- Karkhanechi, M.; Chow, D.; Sipkin, J.; Sherman, D.; Boylan, R.J.; Norman, R.G.; Craig, R.G.; Cisneros, G.J. Periodontal Status of Adult Patients Treated with Fixed Buccal Appliances and Removable Aligners over One Year of Active Orthodontic Therapy. Angle Orthod. 2013, 83, 146–151. [Google Scholar] [CrossRef]
- Morita, M.; Wang, H.L. Association between Oral Malodor and Adult Periodontitis: A Review. J. Clin. Periodontol. 2001, 28, 813–819. [Google Scholar] [CrossRef]
- Kragt, L.; Dhamo, B.; Wolvius, E.B.; Ongkosuwito, E.M. The impact of malocclusions on oral health-related quality of life in children—A systematic review and meta-analysis. Clin. Oral Investig. 2016, 20, 1881–1894. [Google Scholar] [CrossRef] [PubMed]
- Liu, X.N.; Shinada, K.; Chen, X.C.; Zhang, B.X.; Yaegaki, K.; Kawaguchi, Y. Oral Malodor-Related Parameters in the Chinese General Population. J. Clin. Periodontol. 2006, 33, 31–36. [Google Scholar] [CrossRef] [PubMed]
- Tsai, C.-C.; Chou, H.-H.; Wu, T.-L.; Yang, Y.-H.; Ho, K.-Y.; Wu, Y.-M.; Ho, Y.-P. The Levels of Volatile Sulfur Compounds in Mouth Air from Patients with Chronic Periodontitis. J. Periodontal Res. 2008, 43, 186–193. [Google Scholar] [CrossRef] [PubMed]
- Brunette, D.M. Effects of Baking-Soda-Containing Dentifrices on Oral Malodor. Compend. Contin. Educ. Dent. Suppl. 1997, 18, S22–S32; quiz S46. [Google Scholar] [PubMed]
- Feller, L.; Blignaut, E. Halitosis: A Review. J. S. Afr. Dent. Assoc 2005, 60, 17–19. [Google Scholar]
- Petrini, M.; Costacurta, M.; Ferrante, M.; Trentini, P.; Docimo, R.; Spoto, G. Association between the Organoleptic Scores, Oral Condition and Salivary β-Galactosidases in Children Affected by Halitosis. Int. J. Dent. Hyg. 2014, 12, 213–218. [Google Scholar] [CrossRef]
- Petrini, M.; Trentini, P.; Ferrante, M.; D’Alessandro, L.; Spoto, G. Spectrophotometric Assessment of Salivary β-Galactosidases in Halitosis. J. Breath. Res. 2012, 6, 021001. [Google Scholar] [CrossRef]
- van den Broek, A.M.W.T.; Feenstra, L.; de Baat, C. A Review of the Current Literature on Aetiology and Measurement Methods of Halitosis. J. Dent. 2007, 35, 627–635. [Google Scholar] [CrossRef]
- Lione, R.; Paoloni, V.; Meuli, S.; Pavoni, C.; Cozza, P. Upper arch dimensional changes with clear aligners in the early mixed dentition: A prospective study. J. Orofac. Orthop. 2023, 84, 33–40. [Google Scholar] [CrossRef]
- Jiang, C.; Fan, C.; Yu, X.; Xu, T.; Cai, J.; Fan, X.; Zhang, J. Comparison of the Efficacy of Different Periodic Periodontal Scaling Protocols for Oral Hygiene in Adolescents with Fixed Orthodontic Appliances: A Prospective Cohort Study. Am. J. Orthod. Dentofac. Orthop. 2021, 159, 435–442. [Google Scholar] [CrossRef]
- Jiang, Q.; Li, J.; Mei, L.; Du, J.; Levrini, L.; Abbate, G.M.; Li, H. Periodontal Health during Orthodontic Treatment with Clear Aligners and Fixed Appliances: A Meta-Analysis. J. Am. Dent. Assoc. 2018, 149, 712–720.e12. [Google Scholar] [CrossRef] [PubMed]
- Maspero, C.; Farronato, D.; Giannini, L.; Farronato, G. Orthodontic Treatment in Elderly Patients. Prog. Orthod. 2010, 11, 62–75. [Google Scholar] [CrossRef] [PubMed]
- Miethke, R.-R.; Brauner, K. A Comparison of the Periodontal Health of Patients during Treatment with the Invisalign System and with Fixed Lingual Appliances. J. Orofac. Orthop. 2007, 68, 223–231. [Google Scholar] [CrossRef] [PubMed]
- Madariaga, A.C.P.; Bucci, R.; Rongo, R.; Simeon, V.; D’Antò, V.; Valletta, R. Impact of Fixed Orthodontic Appliance and Clear Aligners on the Periodontal Health: A Prospective Clinical Study. Dent. J. 2020, 8, 4. [Google Scholar] [CrossRef]
- Miethke, R.-R.; Vogt, S. A Comparison of the Periodontal Health of Patients during Treatment with the Invisalign System and with Fixed Orthodontic Appliances. J. Orofac. Orthop. 2005, 66, 219–229. [Google Scholar] [CrossRef]
- Dipalma, G.; Inchingolo, A.M.; Latini, G.; Ferrante, L.; Nardelli, P.; Malcangi, G.; Trilli, I.; Inchingolo, F.; Palermo, A.; Inchingolo, A.D. The Effectiveness of Curcumin in Treating Oral Mucositis Related to Radiation and Chemotherapy: A Systematic Review. Antioxidants 2024, 13, 1160. [Google Scholar] [CrossRef]
- Inchingolo, A.M.; Inchingolo, A.D.; Viapiano, F.; Ciocia, A.M.; Ferrara, I.; Netti, A.; Dipalma, G.; Palermo, A.; Inchingolo, F. Treatment Approaches to Molar Incisor Hypomineralization: A Systematic Review. J. Clin. Med. 2023, 12, 7194. [Google Scholar] [CrossRef]
- Moher, D.; Liberati, A.; Tetzlaff, J.; Altman, D.G.; PRISMA Group. Preferred Reporting Items for Systematic Reviews and Meta-Analyses: The PRISMA Statement. Int. J. Surg. 2010, 8, 336–341. [Google Scholar] [CrossRef]
- Memè, L.; Nardelli, P.; Chieppa, S.; Del Vecchio, M.; Cardarelli, F.; Sguera, N.; Bambini, F.; Bordea, I.R.; Qorri, E.; Almasri, L.; et al. Recent Advances in the Prevention and Treatment of Dental Erosion: A Narrative Review. Oral Implant. 2024, 16, 261–272. [Google Scholar] [CrossRef]
- Memè, L.; Chieppa, S.; Nardelli, P.; Del Vecchio, M.; Cardarelli, F.; Sguera, N.; Bambini, F.; Bordea, I.R.; Qorri, E.; Oliveira Ferdandes, G.V.; et al. Maxillary Sinus Floor Elevation with Autologous Platelet Derivatives and Bone Grafting Techniques: A Narrative Review. Oral Implant. 2024, 16, 247–260. [Google Scholar] [CrossRef]
- Malcangi, G.; Inchingolo, A.D.; Trilli, I.; Ferrante, L.; Casamassima, L.; Nardelli, P.; Inchingolo, F.; Palermo, A.; Severino, M.; Inchingolo, A.M.; et al. Recent Use of Hyaluronic Acid in Dental Medicine. Materials 2025, 18, 1863. [Google Scholar] [CrossRef] [PubMed]
- Lin, M.; Xie, C.; Yang, H.; Wu, C.; Ren, A. Prevalence of Malocclusion in Chinese Schoolchildren from 1991 to 2018: A Systematic Review and Meta-Analysis. Int. J. Paediatr. Dent. 2020, 30, 144–155. [Google Scholar] [CrossRef] [PubMed]
- Sharma, P.S.; Brown, R. V Pseudo Mesiocclusion: Diagnosis and Treatment. ASDC J. Dent. Child. 1968, 35, 385–392. [Google Scholar] [PubMed]
- Rabie, A.B.; Gu, Y. Diagnostic Criteria for Pseudo-Class III Malocclusion. Am. J. Orthod. Dentofac. Orthop. 2000, 117, 1–9. [Google Scholar] [CrossRef]
- Bagden, A. The Damon System, question and answers. Clin. Impress 2005, 14, 4–13. [Google Scholar]
- Zilberman, Y.; Koyoumdjisky-Kaye, E.; Vardimon, A. Estimation of Mesiodistal Width of Permanent Canines and Premolars in Early Mixed Dentition. J. Dent. Res. 1977, 56, 911–915. [Google Scholar] [CrossRef]
- Zielinski, E.; Santiago, C.N.; Santiago, G.S.; Zelko, I.; Hlavin, R.; Choudhary, A.; Purnell, C.A. Differences in Practice in Alveolar Bone Grafting Among American Cleft Palate-Craniofacial Association Members. Cleft Palate Craniofac J. 2023, 60, 1404–1410. [Google Scholar] [CrossRef]
- Zhu, X.; Zheng, S.-G.; Zheng, Y.; Fu, K.-Y.; Zhou, Y.-S.; Yu, C. The Related Factors of Bruxism in Children. Zhonghua Kou Qiang Yi Xue Za Zhi 2009, 44, 15–18. [Google Scholar]
- Zhu, H.; Yu, H.; Zhang, F.; Cao, Z.; Wu, F.; Zhu, F. Automatic Segmentation and Detection of Ectopic Eruption of First Permanent Molars on Panoramic Radiographs Based on NnU-Net. Int. J. Paediatr. Dent. 2022, 32, 785–792. [Google Scholar] [CrossRef]
- Patano, A.; Inchingolo, A.M.; Cardarelli, F.; Inchingolo, A.D.; Viapiano, F.; Giotta, M.; Bartolomeo, N.; Di Venere, D.; Malcangi, G.; Minetti, E.; et al. Effects of Elastodontic Appliance on the Pharyngeal Airway Space in Class II Malocclusion. J. Clin. Med. 2023, 12, 4280. [Google Scholar] [CrossRef]
- Minetti, E.; Palermo, A.; Malcangi, G.; Inchingolo, A.D.; Mancini, A.; Dipalma, G.; Inchingolo, F.; Patano, A.; Inchingolo, A.M. Dentin, Dentin Graft, and Bone Graft: Microscopic and Spectroscopic Analysis. J. Funct. Biomater. 2023, 14, 272. [Google Scholar] [CrossRef] [PubMed]
- Minetti, E.; Palermo, A.; Savadori, P.; Patano, A.; Inchingolo, A.D.; Rapone, B.; Malcangi, G.; Inchingolo, F.; Dipalma, G.; Tartaglia, F.C.; et al. Socket Preservation Using Dentin Mixed with Xenograft Materials: A Pilot Study. Materials 2023, 16, 4945. [Google Scholar] [CrossRef] [PubMed]
- Laforgia, A.; Inchingolo, A.M.; Inchingolo, F.; Sardano, R.; Trilli, I.; Di Noia, A.; Ferrante, L.; Palermo, A.; Inchingolo, A.D.; Dipalma, G. Paediatric Dental Trauma: Insights from Epidemiological Studies and Management Recommendations. BMC Oral Health 2025, 25, 6. [Google Scholar] [CrossRef] [PubMed]
- Major, P.W.; Glover, K. Treatment of Anterior Cross-Bites in the Early Mixed Dentition. J. Can. Dent. Assoc. 1992, 58, 574–575, 578–579. [Google Scholar]
- Tulloch, J.F.; Medland, W.; Tuncay, O.C. Methods Used to Evaluate Growth Modification in Class II Malocclusion. Am. J. Orthod. Dentofac. Orthop. 1990, 98, 340–347. [Google Scholar] [CrossRef]
- Kim, J.H.; Viana, M.A.; Graber, T.M.; Omerza, F.F.; BeGole, E.A. The Effectiveness of Protraction Face Mask Therapy: A Meta-Analysis. Am. J. Orthod. Dentofac. Orthop. 1999, 115, 675–685. [Google Scholar] [CrossRef]
- Rabie, A.B.; Gu, Y. Management of Pseudo Class III Malocclusion in Southern Chinese Children. Br. Dent. J. 1999, 186, 183–187. [Google Scholar] [CrossRef]
- Pancherz, H. The Mechanism of Class II Correction in Herbst Appliance Treatment. A Cephalometric Investigation. Am. J. Orthod. 1982, 82, 104–113. [Google Scholar] [CrossRef]
- Bookstein, F.L. Landmark Methods for Forms without Landmarks: Morphometrics of Group Differences in Outline Shape. Med. Image Anal. 1997, 1, 225–243. [Google Scholar] [CrossRef]
- Bendeus, M.; Hägg, U.; Rabie, B. Growth and Treatment Changes in Patients Treated with a Headgear-Activator Appliance. Am. J. Orthod. Dentofac. Orthop. 2002, 121, 376–384. [Google Scholar] [CrossRef]
- Gu, Y.; Rabie, A.B.; Hägg, U. Treatment Effects of Simple Fixed Appliance and Reverse Headgear in Correction of Anterior Crossbites. Am. J. Orthod. Dentofac. Orthop. 2000, 117, 691–699. [Google Scholar] [CrossRef]
- Hägg, U.; Tse, A.; Bendeus, M.; Rabie, A.B.M. A Follow-up Study of Early Treatment of Pseudo Class III Malocclusion. Angle Orthod. 2004, 74, 465–472. [Google Scholar] [CrossRef] [PubMed]
- Gu, Y. Prediction of Treatment Outcome Following Correction of Anterior Crossbites in the Mixed Dentition: Orthodontic versus Orthopaedic Methods. Australas. Orthod. J. 2005, 21, 25–30. [Google Scholar] [CrossRef]
- Wiedel, A.-P.; Bondemark, L. A Randomized Controlled Trial of Self-Perceived Pain, Discomfort, and Impairment of Jaw Function in Children Undergoing Orthodontic Treatment with Fixed or Removable Appliances. Angle Orthod. 2016, 86, 324–330. [Google Scholar] [CrossRef]
- Mashouf, K.L.; Mashouf, C.K.; Laraway, S. Mixed-Dentition Orthodontic Treatment: Outcomes and Timing. J. Calif. Dent. Assoc. 2018, 46, 307–313. [Google Scholar] [CrossRef]
- da Silva, V.M.; Ayub, P.V.; Massaro, C.; Janson, G.; Garib, D. Comparison between Clear Aligners and 2 × 4 Mechanics in the Mixed Dentition: A Randomized Clinical Trial. Angle Orthod. 2023, 93, 3–10. [Google Scholar] [CrossRef]
- Cruz, J.D.; Nova, G.V.; Crosato, M.; Paiva, J.B.; Rino Neto, J. Effects of 2 × 4 appliance and niti open spring on mixed dentition. Rev. Contemp. 2023, 3, 8093–8112. [Google Scholar] [CrossRef]
- Hägg, U.; Tse, A.; Bendeus, M.; Rabie, A.B.M. Long-Term Follow-up of Early Treatment with Reverse Headgear. Eur. J. Orthod. 2003, 25, 95–102. [Google Scholar] [CrossRef]
- Litton, S.F.; Ackermann, L.V.; Isaacson, R.J.; Shapiro, B.L. A Genetic Study of Class 3 Malocclusion. Am. J. Orthod. 1970, 58, 565–577. [Google Scholar] [CrossRef]
- Ruhland, A. The Correlation between Angle Class III Malocclusion and Facial Structures as Diagnosis Factors. Trans. Eur. Orthod. Soc. 1975, 16, 229–240. [Google Scholar] [PubMed]
- Guyer, E.C.; Ellis, E.E.; McNamara, J.A.; Behrents, R.G. Components of Class III Malocclusion in Juveniles and Adolescents. Angle Orthod. 1986, 56, 7–30. [Google Scholar] [CrossRef] [PubMed]
- Kerr, W.J.; Tenhave, T.R. A Comparison of Three Appliance Systems in the Treatment of Class III Malocclusion. Eur. J. Orthod. 1988, 10, 203–214. [Google Scholar] [CrossRef] [PubMed]
- Loh, M.K.; Kerr, W.J. The Function Regulator III: Effects and Indications for Use. Br. J. Orthod. 1985, 12, 153–157. [Google Scholar] [CrossRef] [PubMed]
- Sammartino, G.; Gasparro, R.; Marenzi, G.; Trosino, O.; Mariniello, M.; Riccitiello, F. Extraction of Mandibular Third Molars: Proposal of a New Scale of Difficulty. Br. J. Oral Maxillofac. Surg. 2017, 55, 952–957. [Google Scholar] [CrossRef]
- Gasparro, R.; Adamo, D.; Masucci, M.; Sammartino, G.; Mignogna, M.D. Use of Injectable Platelet-Rich Fibrin in the Treatment of Plasma Cell Mucositis of the Oral Cavity Refractory to Corticosteroid Therapy: A Case Report. Dermatol. Ther. 2019, 32, e13062. [Google Scholar] [CrossRef]
- D’Esposito, V.; Lecce, M.; Marenzi, G.; Cabaro, S.; Ambrosio, M.R.; Sammartino, G.; Misso, S.; Migliaccio, T.; Liguoro, P.; Oriente, F.; et al. Platelet-Rich Plasma Counteracts Detrimental Effect of High-Glucose Concentrations on Mesenchymal Stem Cells from Bichat Fat Pad. J. Tissue Eng. Regen. Med. 2020, 14, 701–713. [Google Scholar] [CrossRef]
- Canfora, F.; Calabria, E.; Cuocolo, R.; Ugga, L.; Buono, G.; Marenzi, G.; Gasparro, R.; Pecoraro, G.; Aria, M.; D’Aniello, L.; et al. Burning Fog: Cognitive Impairment in Burning Mouth Syndrome. Front. Aging Neurosci. 2021, 13, 727417. [Google Scholar] [CrossRef]
- Del Amo, F.S.L.; Yu, S.-H.; Sammartino, G.; Sculean, A.; Zucchelli, G.; Rasperini, G.; Felice, P.; Pagni, G.; Iorio-Siciliano, V.; Grusovin, M.G.; et al. Peri-Implant Soft Tissue Management: Cairo Opinion Consensus Conference. Int. J. Environ. Res. Public Health 2020, 17, 2281. [Google Scholar] [CrossRef]
- Frydas, S.; Varvara, G.; Murmura, G.; Saggini, A.; Caraffa, A.; Antinolfi, P.; Tetè, S.; Tripodi, D.; Conti, F.; Cianchetti, E.; et al. Impact of Capsaicin on Mast Cell Inflammation. Int. J. Immunopathol. Pharmacol. 2013, 26, 597–600. [Google Scholar] [CrossRef]
- Traini, T.; Pettinicchio, M.; Murmura, G.; Varvara, G.; Di Lullo, N.; Sinjari, B.; Caputi, S. Esthetic Outcome of an Immediately Placed Maxillary Anterior Single-Tooth Implant Restored with a Custom-Made Zirconia-Ceramic Abutment and Crown: A Staged Treatment. Quintessence Int. 2011, 42, 103–108. [Google Scholar]
- Perinetti, G.; Caputi, S.; Varvara, G. Risk/Prevention Indicators for the Prevalence of Dental Caries in Schoolchildren: Results from the Italian OHSAR Survey. Caries Res. 2005, 39, 9–19. [Google Scholar] [CrossRef] [PubMed]
- Nicoletti, M.; Neri, G.; Maccauro, G.; Tripodi, D.; Varvara, G.; Saggini, A.; Potalivo, G.; Castellani, M.L.; Fulcheri, M.; Rosati, M.; et al. Impact of Neuropeptide Substance P an Inflammatory Compound on Arachidonic Acid Compound Generation. Int. J. Immunopathol. Pharmacol. 2012, 25, 849–857. [Google Scholar] [CrossRef] [PubMed]
- Alshadidi, A.A.F.; Alshahrani, A.A.; Aldosari, L.I.N.; Chaturvedi, S.; Saini, R.S.; Hassan, S.A.B.; Cicciù, M.; Minervini, G. Investigation on the Application of Artificial Intelligence in Prosthodontics. Appl. Sci. 2023, 13, 5004. [Google Scholar] [CrossRef]
- Maspero, C.; Cavagnetto, D.; Abate, A.; Cressoni, P.; Farronato, M. Effects on the Facial Growth of Rapid Palatal Expansion in Growing Patients Affected by Juvenile Idiopathic Arthritis with Monolateral Involvement of the Temporomandibular Joints: A Case-Control Study on Posteroanterior and Lateral Cephalograms. J. Clin. Med. 2020, 9, 1159. [Google Scholar] [CrossRef]
- Gaffuri, F.; Cossellu, G.; Maspero, C.; Lanteri, V.; Ugolini, A.; Rasperini, G.; Castro, I.O.; Farronato, M. Correlation between Facial Growth Patterns and Cortical Bone Thickness Assessed with Cone-Beam Computed Tomography in Young Adult Untreated Patients. Saudi Dent. J. 2021, 33, 161–167. [Google Scholar] [CrossRef]
- Farronato, M.; Boccalari, E.; Del Rosso, E.; Lanteri, V.; Mulder, R.; Maspero, C. A Scoping Review of Respirator Literature and a Survey among Dental Professionals. Int. J. Environ. Res. Public Health 2020, 17, 5968. [Google Scholar] [CrossRef]
- Piombino, P.; Marenzi, G.; Dell’Aversana Orabona, G.; Califano, L.; Sammartino, G. Autologous Fat Grafting in Facial Volumetric Restoration. J. Craniofac Surg. 2015, 26, 756–759. [Google Scholar] [CrossRef]
- Sammartino, G.; Marenzi, G.; Tammaro, L.; Bolognese, A.; Calignano, A.; Costantino, U.; Califano, L.; Mastrangelo, F.; Tetè, S.; Vittoria, V. Anti-Inflammatory Drug Incorporation into Polymeric Nano-Hybrids for Local Controlled Release. Int. J. Immunopathol. Pharmacol. 2005, 18, 55–62. [Google Scholar]
- Sammartino, G.; Marenzi, G.; Colella, G.; Califano, L.; Grivetto, F.; Mortellaro, C. Autogenous Calvarial Bone Graft Harvest: Intraoperational Complications. J. Craniofac Surg. 2005, 16, 312–319. [Google Scholar] [CrossRef]
- Marenzi, G.; Spagnuolo, G.; Sammartino, J.C.; Gasparro, R.; Rebaudi, A.; Salerno, M. Micro-Scale Surface Patterning of Titanium Dental Implants by Anodization in the Presence of Modifying Salts. Materials 2019, 12, 1753. [Google Scholar] [CrossRef]
- Nartallo-Turley, P.E.; Turley, P.K. Cephalometric Effects of Combined Palatal Expansion and Facemask Therapy on Class III Malocclusion. Angle Orthod. 1998, 68, 217–224. [Google Scholar] [CrossRef] [PubMed]
- Ngan, P.; Hägg, U.; Yiu, C.; Merwin, D.; Wei, S.H. Soft Tissue and Dentoskeletal Profile Changes Associated with Maxillary Expansion and Protraction Headgear Treatment. Am. J. Orthod. Dentofac. Orthop. 1996, 109, 38–49. [Google Scholar] [CrossRef] [PubMed]
- Turley, P.K. Orthopedic Correction of Class III Malocclusion with Palatal Expansion and Custom Protraction Headgear. J. Clin. Orthod. 1988, 22, 314–325. [Google Scholar] [PubMed]
- Kapust, A.J.; Sinclair, P.M.; Turley, P.K. Cephalometric Effects of Face Mask/Expansion Therapy in Class III Children: A Comparison of Three Age Groups. Am. J. Orthod. Dentofac. Orthop. 1998, 113, 204–212. [Google Scholar] [CrossRef]
- Fränkel, R. Maxillary Retrusion in Class 3 and Treatment with the Function Corrector 3. In Report of the Congress; European Orthodontic Society: London, UK, 1970; pp. 249–259. [Google Scholar]
- Saadia, M.; Torres, E. Sagittal Changes after Maxillary Protraction with Expansion in Class III Patients in the Primary, Mixed, and Late Mixed Dentitions: A Longitudinal Retrospective Study. Am. J. Orthod. Dentofac. Orthop. 2000, 117, 669–680. [Google Scholar] [CrossRef]
- Esposito, L.; Poletti, L.; Maspero, C.; Porro, A.; Pietrogrande, M.C.; Pavesi, P.; Dellepiane, R.M.; Farronato, G. Hyper-IgE Syndrome: Dental Implications. Oral Surg. Oral Med. Oral Pathol. Oral Radiol. 2012, 114, 147–153. [Google Scholar] [CrossRef]
- Farronato, G.; Giannini, L.; Galbiati, G.; Maspero, C. A 5-Year Longitudinal Study of Survival Rate and Periodontal Parameter Changes at Sites of Dilacerated Maxillary Central Incisors. Prog. Orthod. 2014, 15, 3. [Google Scholar] [CrossRef][Green Version]
- Farronato, G.; Maspero, C.; Esposito, L.; Briguglio, E.; Farronato, D.; Giannini, L. Rapid Maxillary Expansion in Growing Patients. Hyrax versus Transverse Sagittal Maxillary Expander: A Cephalometric Investigation. Eur. J. Orthod. 2011, 33, 185–189. [Google Scholar] [CrossRef][Green Version]
- Farronato, G.; Giannini, L.; Galbiati, G.; Maspero, C. RME: Influences on the Nasal Septum. Minerva Stomatol. 2012, 61, 125–134. [Google Scholar]
- Farronato, G.; Giannini, L.; Galbiati, G.; Sesso, G.; Maspero, C. Orthodontic-Surgical Treatment: Neuromuscular Evaluation in Skeletal Class II and Class III Patients. Prog. Orthod. 2012, 13, 226–236. [Google Scholar] [CrossRef]
- Uzunçıbuk, H.; Marrapodi, M.M.; Meto, A.; Ronsivalle, V.; Cicciù, M.; Minervini, G. Prevalence of Temporomandibular Disorders in Clear Aligner Patients Using Orthodontic Intermaxillary Elastics Assessed with Diagnostic Criteria for Temporomandibular Disorders (DC/TMD) Axis II Evaluation: A Cross-Sectional Study. J. Oral Rehabil. 2024, 51, 500–509. [Google Scholar] [CrossRef] [PubMed]
- Langaliya, A.; Alam, M.K.; Hegde, U.; Panakaje, M.S.; Cervino, G.; Minervini, G. Occurrence of Temporomandibular Disorders among Patients Undergoing Treatment for Obstructive Sleep Apnoea Syndrome (OSAS) Using Mandibular Advancement Device (MAD): A Systematic Review Conducted According to PRISMA Guidelines and the Cochrane Handbook for Systematic Reviews of Interventions. J. Oral Rehabil. 2023, 50, 1554–1563. [Google Scholar] [CrossRef] [PubMed]
- Termine, N.; Panzarella, V.; Ciavarella, D.; Lo Muzio, L.; D’Angelo, M.; Sardella, A.; Compilato, D.; Campisi, G. Antibiotic Prophylaxis in Dentistry and Oral Surgery: Use and Misuse. Int. Dent. J. 2009, 59, 263–270. [Google Scholar]
- Compilato, D.; Cirillo, N.; Termine, N.; Kerr, A.R.; Paderni, C.; Ciavarella, D.; Campisi, G. Long-Standing Oral Ulcers: Proposal for a New “S-C-D Classification System”. J. Oral Pathol. Med. 2009, 38, 241–253. [Google Scholar] [CrossRef]
- Lo Russo, L.; Ciavarella, D.; Salamini, A.; Guida, L. Alignment of Intraoral Scans and Registration of Maxillo-Mandibular Relationships for the Edentulous Maxillary Arch. J. Prosthet. Dent. 2019, 121, 737–740. [Google Scholar] [CrossRef]
- Ciavarella, D.; Parziale, V.; Mastrovincenzo, M.; Palazzo, A.; Sabatucci, A.; Suriano, M.M.; Bossù, M.; Cazzolla, A.P.; Lo Muzio, L.; Chimenti, C. Condylar Position Indicator and T-Scan System II in Clinical Evaluation of Temporomandibular Intracapsular Disease. J. Cranio-Maxillofac. Surg. 2012, 40, 449–455. [Google Scholar] [CrossRef]
- Dioguardi, M.; Di Gioia, G.; Illuzzi, G.; Ciavarella, D.; Laneve, E.; Troiano, G.; Lo Muzio, L. Passive Ultrasonic Irrigation Efficacy in the Vapor Lock Removal: Systematic Review and Meta-Analysis. Sci. World J. 2019, 2019, 6765349. [Google Scholar] [CrossRef]
- Cianci, C.; Pappalettera, G.; Renna, G.; Casavola, C.; Laurenziello, M.; Battista, G.; Pappalettere, C.; Ciavarella, D. Mechanical Behavior of PET-G Tooth Aligners Under Cyclic Loading. Front. Mater. 2020, 7, 104. [Google Scholar] [CrossRef]
- Arnold, S.; Koletsi, D.; Patcas, R.; Eliades, T. The Effect of Bracket Ligation on the Periodontal Status of Adolescents Undergoing Orthodontic Treatment. A Systematic Review and Meta-Analysis. J. Dent. 2016, 54, 13–24. [Google Scholar] [CrossRef]
- Sharma, N.C.; Lyle, D.M.; Qaqish, J.G.; Galustians, J.; Schuller, R. Effect of a Dental Water Jet with Orthodontic Tip on Plaque and Bleeding in Adolescent Patients with Fixed Orthodontic Appliances. Am. J. Orthod. Dentofac. Orthop. 2008, 133, 565–571; quiz 628.e1–2. [Google Scholar] [CrossRef]
- Barnes, C.M.; Russell, C.M.; Reinhardt, R.A.; Payne, J.B.; Lyle, D.M. Comparison of Irrigation to Floss as an Adjunct to Tooth Brushing: Effect on Bleeding, Gingivitis, and Supragingival Plaque. J. Clin. Dent. 2005, 16, 71–77. [Google Scholar] [PubMed]
- Goyal, C.R.; Lyle, D.M.; Qaqish, J.G.; Schuller, R. The Addition of a Water Flosser to Power Tooth Brushing: Effect on Bleeding, Gingivitis, and Plaque. J. Clin. Dent. 2012, 23, 57–63. [Google Scholar] [PubMed]
- Silva, M.F.d.A.; dos Santos, N.B.; Stewart, B.; DeVizio, W.; Proskin, H.M. A Clinical Investigation of the Efficacy of a Commercial Mouthrinse Containing 0.05% Cetylpyridinium Chloride to Control Established Dental Plaque and Gingivitis. J. Clin. Dent. 2009, 20, 55–61. [Google Scholar] [PubMed]
- Attarzadeh, F. Water Irrigating Devices for the Orthodontic Patient. Int. J. Orthod. 1990, 28, 17–22. [Google Scholar]
- Hollaar, V.R.Y. Effectiveness of Electric or Manual Toothbrush in Dental Plaque Removal in Patients with Fixed Orthodontic Appliances. Ned. Tijdschr. Tandheelkd. 2021, 128, 475–478. [Google Scholar] [CrossRef]
- Huang, J.; Li, C.-Y.; Jiang, J.-H. Effects of Fixed Orthodontic Brackets on Oral Malodor: A Systematic Review and Meta-Analysis According to the Preferred Reporting Items for Systematic Reviews and Meta-Analyses Guidelines. Medicine 2018, 97, e0233. [Google Scholar] [CrossRef]
- Doruk, C.; Oztürk, F.; Ozdemir, H.; Nalçaci, R. Oral and Nasal Malodor in Patients with and without Cleft Lip and Palate Who Had Undergone Orthodontic Therapy. Cleft Palate Craniofac. J. 2008, 45, 481–484. [Google Scholar] [CrossRef]
- Babacan, H.; Sokucu, O.; Marakoglu, I.; Ozdemir, H.; Nalcaci, R. Effect of Fixed Appliances on Oral Malodor. Am. J. Orthod. Dentofac. Orthop. 2011, 139, 351–355. [Google Scholar] [CrossRef]
- Inchingolo, A.D.; Malcangi, G.; Inchingolo, A.M.; Piras, F.; Settanni, V.; Garofoli, G.; Palmieri, G.; Ceci, S.; Patano, A.; De Leonardis, N.; et al. Benefits and Implications of Resveratrol Supplementation on Microbiota Modulations: A Systematic Review of the Literature. Int. J. Mol. Sci. 2022, 23, 4027. [Google Scholar] [CrossRef]
- Ballini, A.; Dipalma, G.; Isacco, C.G.; Boccellino, M.; Di Domenico, M.; Santacroce, L.; Nguyễn, K.C.D.; Scacco, S.; Calvani, M.; Boddi, A.; et al. Oral Microbiota and Immune System Crosstalk: A Translational Research. Biology 2020, 9, 131. [Google Scholar] [CrossRef]
- Santacroce, L.; Di Cosola, M.; Bottalico, L.; Topi, S.; Charitos, I.A.; Ballini, A.; Inchingolo, F.; Cazzolla, A.P.; Dipalma, G. Focus on HPV Infection and the Molecular Mechanisms of Oral Carcinogenesis. Viruses 2021, 13, 559. [Google Scholar] [CrossRef] [PubMed]
- Ballini, A.; Cantore, S.; Signorini, L.; Saini, R.; Scacco, S.; Gnoni, A.; Inchingolo, A.D.; De Vito, D.; Santacroce, L.; Inchingolo, F.; et al. Efficacy of Sea Salt-Based Mouthwash and Xylitol in Improving Oral Hygiene among Adolescent Population: A Pilot Study. Int. J. Environ. Res. Public Health 2020, 18, 44. [Google Scholar] [CrossRef] [PubMed]
- Inchingolo, F.; Hazballa, D.; Inchingolo, A.D.; Malcangi, G.; Marinelli, G.; Mancini, A.; Maggiore, M.E.; Bordea, I.R.; Scarano, A.; Farronato, M.; et al. Innovative Concepts and Recent Breakthrough for Engineered Graft and Constructs for Bone Regeneration: A Literature Systematic Review. Materials 2022, 15, 1120. [Google Scholar] [CrossRef] [PubMed]
- Inchingolo, A.D.; Ceci, S.; Patano, A.; Inchingolo, A.M.; Montenegro, V.; Di Pede, C.; Malcangi, G.; Marinelli, G.; Coloccia, G.; Garibaldi, M.; et al. Elastodontic Therapy of Hyperdivergent Class II Patients Using AMCOP® Devices: A Retrospective Study. Appl. Sci. 2022, 12, 3259. [Google Scholar] [CrossRef]
- Farronato, G.; Maspero, C.; Farronato, D. Orthodontic Movement of a Dilacerated Maxillary Incisor in Mixed Dentition Treatment. Dent. Traumatol. 2009, 25, 451–456. [Google Scholar] [CrossRef]
- Maspero, C.; Fama, A.; Cavagnetto, D.; Abate, A.; Farronato, M. Treatment of Dental Dilacerations. J. Biol. Regul. Homeost. Agents 2019, 33, 1623–1627. [Google Scholar]
- Sugawara, J.; Asano, T.; Endo, N.; Mitani, H. Long-Term Effects of Chincap Therapy on Skeletal Profile in Mandibular Prognathism. Am. J. Orthod. Dentofac. Orthop. 1990, 98, 127–133. [Google Scholar] [CrossRef]
- Merwin, D.; Ngan, P.; Hagg, U.; Yiu, C.; Wei, S.H. Timing for Effective Application of Anteriorly Directed Orthopedic Force to the Maxilla. Am. J. Orthod. Dentofac. Orthop. 1997, 112, 292–299. [Google Scholar] [CrossRef]
- Taner, T.U.; Yukay, F.; Pehlivanoglu, M.; Cakirer, B. A comparative analysis of maxillary tooth movement produced by cervical headgear and pend-x appliance. Angle Orthod. 2003, 73, 686–691. [Google Scholar]
- Hemanth, M.; Deoli, S.; Raghuveer, H.P.; Rani, M.S.; Hegde, C.; Vedavathi, B. Stress induced in the periodontal ligament under orthodontic loading (part I): A finite element method study using linear analysis. J. Int. Oral Health JIOH 2015, 7, 129–133. [Google Scholar]
- Baccetti, T.; McGill, J.S.; Franchi, L.; McNamara, J.A.; Tollaro, I. Skeletal Effects of Early Treatment of Class III Malocclusion with Maxillary Expansion and Face-Mask Therapy. Am. J. Orthod. Dentofac. Orthop. 1998, 113, 333–343. [Google Scholar] [CrossRef] [PubMed]
- Dimitrova, M.; Corsalini, M.; Kazakova, R.; Vlahova, A.; Barile, G.; Dell’Olio, F.; Tomova, Z.; Kazakov, S.; Capodiferro, S. Color Stability Determination of CAD/CAM Milled and 3D Printed Acrylic Resins for Denture Bases: A Narrative Review. J. Compos. Sci. 2022, 6, 201. [Google Scholar] [CrossRef]
- Żyła, T.; Kawala, B.; Antoszewska-Smith, J.; Kawala, M. Black Stain and Dental Caries: A Review of the Literature. Biomed. Res. Int. 2015, 2015, 469392. [Google Scholar] [CrossRef] [PubMed]
- Catapano, S.; Ferrari, M.; Mobilio, N.; Montanari, M.; Corsalini, M.; Grande, F. Comparative Analysis of the Stability of Prosthetic Screws under Cyclic Loading in Implant Prosthodontics: An In Vitro Study. Appl. Sci. 2021, 11, 622. [Google Scholar] [CrossRef]
- Zurfluh, M.A.; Daubländer, M.; Van Waes, H.J.M. Comparison of Two Epinephrine Concentrations in an Articaine Solution for Local Anesthesia in Children. SWISS Dent. J. SSO—Sci. Clin. Top. 2015, 125, 698–709. [Google Scholar] [CrossRef]
- Zurfluh, M.A.; van Waes, H.J.M.; Filippi, A. The Influence of Fixed Orthodontic Appliances on Halitosis. Schweiz. Monatsschr Zahnmed. 2013, 123, 1064–1075. [Google Scholar]
- Kaygisiz, E.; Uzuner, F.D.; Yuksel, S.; Taner, L.; Çulhaoğlu, R.; Sezgin, Y.; Ateş, C. Effects of Self-Ligating and Conventional Brackets on Halitosis and Periodontal Conditions. Angle Orthod. 2015, 85, 468–473. [Google Scholar] [CrossRef]
- Banjar, A.A.; Hassan, S.M.; Alyafi, R.A.; Alawady, S.A.; Alghamdi, M.H.; Baik, K.M. Self-Perceived Halitosis among Young Adults Undergoing Orthodontic Treatment. Int. J. Dent. Hyg. 2022, 20, 479–486. [Google Scholar] [CrossRef]
- Costacurta, M.; Petrini, M.; Biferi, V.; Arcuri, C.; Spoto, G.; Docimo, R. The Correlation between Different Techniques for the Evaluation of Oral Malodour in Children with and without Orthodontic Treatment. Eur. J. Paediatr. Dent. 2019, 20, 233–236. [Google Scholar] [CrossRef]
- Bawazir, O.A. Risk Factors, Diagnosis, and Management of Halitosis in Children: A Comprehensive Review. J. Contemp. Dent. Pract. 2021, 22, 959–963. [Google Scholar]
- Baka, Z.M.; Basciftci, F.A.; Arslan, U. Effects of 2 Bracket and Ligation Types on Plaque Retention: A Quantitative Microbiologic Analysis with Real-Time Polymerase Chain Reaction. Am. J. Orthod. Dentofac. Orthop. 2013, 144, 260–267. [Google Scholar] [CrossRef] [PubMed]
- Hopkin, G.B.; Houston, W.J.; James, G.A. The Cranial Base as an Aetiological Factor in Malocclusion. Angle Orthod. 1968, 38, 250–255. [Google Scholar] [CrossRef] [PubMed]
- Nagahara, K.; Suzuki, T.; Nakamura, S. Longitudinal Changes in the Skeletal Pattern of Deciduous Anterior Crossbite. Angle Orthod. 1997, 67, 439–446. [Google Scholar] [CrossRef] [PubMed]
- Baccetti, T.; Franchi, L.; McNamara, J.A. Treatment and Posttreatment Craniofacial Changes after Rapid Maxillary Expansion and Facemask Therapy. Am. J. Orthod. Dentofac. Orthop. 2000, 118, 404–413. [Google Scholar] [CrossRef]
- Scheurer, P.A.; Firestone, A.R.; Bürgin, W.B. Perception of Pain as a Result of Orthodontic Treatment with Fixed Appliances. Eur. J. Orthod. 1996, 18, 349–357. [Google Scholar] [CrossRef]
- Stewart, F.N.; Kerr, W.J.; Taylor, P.J. Appliance Wear: The Patient’s Point of View. Eur. J. Orthod. 1997, 19, 377–382. [Google Scholar] [CrossRef]
- Sergl, H.G.; Klages, U.; Zentner, A. Pain and Discomfort during Orthodontic Treatment: Causative Factors and Effects on Compliance. Am. J. Orthod. Dentofac. Orthop. 1998, 114, 684–691. [Google Scholar] [CrossRef]
- Firestone, A.R.; Scheurer, P.A.; Bürgin, W.B. Patients’ Anticipation of Pain and Pain-Related Side Effects, and Their Perception of Pain as a Result of Orthodontic Treatment with Fixed Appliances. Eur. J. Orthod. 1999, 21, 387–396. [Google Scholar] [CrossRef]
- Trein, M.P.; Mundstock, K.S.; Maciel, L.; Rachor, J.; Gameiro, G.H. Pain, Masticatory Performance and Swallowing Threshold in Orthodontic Patients. Dent. Press. J. Orthod. 2013, 18, 117–123. [Google Scholar] [CrossRef]
- Borrie, F.; Bearn, D. Early Correction of Anterior Crossbites: A Systematic Review. J. Orthod. 2011, 38, 175–184. [Google Scholar] [CrossRef]
- Wiedel, A.-P.; Bondemark, L. Stability of Anterior Crossbite Correction: A Randomized Controlled Trial with a 2-Year Follow-Up. Angle Orthod. 2015, 85, 189–195. [Google Scholar] [CrossRef] [PubMed]
- Feldmann, I.; List, T.; John, M.T.; Bondemark, L. Reliability of a Questionnaire Assessing Experiences of Adolescents in Orthodontic Treatment. Angle Orthod. 2007, 77, 311–317. [Google Scholar] [CrossRef] [PubMed]
- Miller, K.B.; McGorray, S.P.; Womack, R.; Quintero, J.C.; Perelmuter, M.; Gibson, J.; Dolan, T.A.; Wheeler, T.T. A Comparison of Treatment Impacts between Invisalign Aligner and Fixed Appliance Therapy during the First Week of Treatment. Am. J. Orthod. Dentofac. Orthop. 2007, 131, 302.E1–302.E9. [Google Scholar] [CrossRef] [PubMed]
- Abu-Saad, H. Assessing Children’s Responses to Pain. Pain 1984, 19, 163–171. [Google Scholar] [CrossRef]
- Erdinç, A.M.E.; Dinçer, B. Perception of Pain during Orthodontic Treatment with Fixed Appliances. Eur. J. Orthod. 2004, 26, 79–85. [Google Scholar] [CrossRef]
- Fernandes, L.M.; Ogaard, B.; Skoglund, L. Pain and Discomfort Experienced after Placement of a Conventional or a Superelastic NiTi Aligning Archwire. A Randomized Clinical Trial. J. Orofac. Orthop. 1998, 59, 331–339. [Google Scholar] [CrossRef]
- Feldmann, I.; List, T.; Bondemark, L. Orthodontic Anchoring Techniques and Its Influence on Pain, Discomfort, and Jaw Function—A Randomized Controlled Trial. Eur. J. Orthod. 2012, 34, 102–108. [Google Scholar] [CrossRef]
- Johal, A.; Fleming, P.S.; Al Jawad, F.A. A Prospective Longitudinal Controlled Assessment of Pain Experience and Oral Health-Related Quality of Life in Adolescents Undergoing Fixed Appliance Treatment. Orthod. Craniofac Res. 2014, 17, 178–186. [Google Scholar] [CrossRef]
- Tschill, P.; Bacon, W.; Sonko, A. Malocclusion in the Deciduous Dentition of Caucasian Children. Eur. J. Orthod. 1997, 19, 361–367. [Google Scholar] [CrossRef]
- Levrini, L.; Carganico, A.; Abbate, L. Maxillary Expansion with Clear Aligners in the Mixed Dentition: A Preliminary Study with Invisalign® First System. Eur. J. Paediatr. Dent. 2021, 22, 125–128. [Google Scholar] [CrossRef]
- Schulz, K.F.; Altman, D.G.; Moher, D.; CONSORT Group. CONSORT 2010 Statement: Updated Guidelines for Reporting Parallel Group Randomized Trials. Ann. Intern. Med. 2010, 152, 726–732. [Google Scholar] [CrossRef] [PubMed]
- Al-Nadawi, M.; Kravitz, N.D.; Hansa, I.; Makki, L.; Ferguson, D.J.; Vaid, N.R. Effect of Clear Aligner Wear Protocol on the Efficacy of Tooth Movement. Angle Orthod. 2021, 91, 157–163. [Google Scholar] [CrossRef] [PubMed]
- Pugliese, F.; Palomo, J.M.; Calil, L.R.; de Medeiros Alves, A.; Lauris, J.R.P.; Garib, D. Dental Arch Size and Shape after Maxillary Expansion in Bilateral Complete Cleft Palate: A Comparison of Three Expander Designs. Angle Orthod. 2020, 90, 233–238. [Google Scholar] [CrossRef] [PubMed]
- Massaro, C.; Janson, G.; Miranda, F.; Aliaga-Del Castillo, A.; Pugliese, F.; Lauris, J.R.P.; Garib, D. Dental Arch Changes Comparison between Expander with Differential Opening and Fan-Type Expander: A Randomized Controlled Trial. Eur. J. Orthod. 2021, 43, 265–273. [Google Scholar] [CrossRef]
- Pandis, N. Randomization. Part 1: Sequence Generation. Am. J. Orthod. Dentofac. Orthop. 2011, 140, 747–748. [Google Scholar] [CrossRef]
- Fleiss, J.L. Analysis of Data from Multiclinic Trials. Control. Clin. Trials 1986, 7, 267–275. [Google Scholar] [CrossRef]
- Góis, E.G.; Vale, M.P.; Paiva, S.M.; Abreu, M.H.; Serra-Negra, J.M.; Pordeus, I.A. Incidence of Malocclusion between Primary and Mixed Dentitions among Brazilian Children. A 5-Year Longitudinal Study. Angle Orthod. 2012, 82, 495–500. [Google Scholar] [CrossRef]
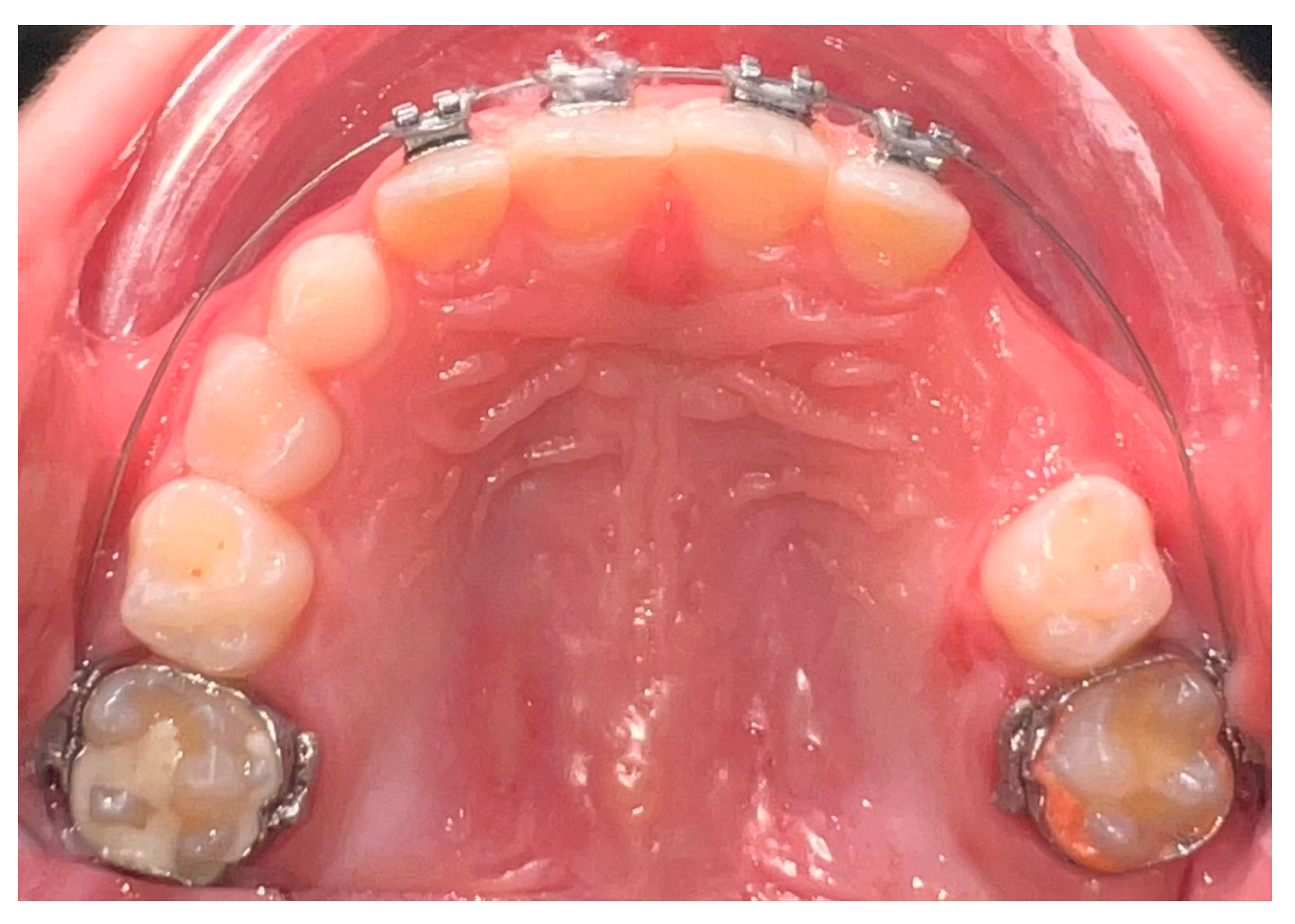
- Isaacson, R.J.; Lindauer, S.J.; Rubenstein, L.K. Activating a 2 × 4 Appliance. Angle Orthod. 1993, 63, 17–24. [Google Scholar] [CrossRef]
- Dowsing, P.; Sandler, P.J. How to Effectively Use a 2 × 4 Appliance. J. Orthod. 2004, 31, 248–258. [Google Scholar] [CrossRef]
- Haouili, N.; Kravitz, N.D.; Vaid, N.R.; Ferguson, D.J.; Makki, L. Has Invisalign Improved? A Prospective Follow-up Study on the Efficacy of Tooth Movement with Invisalign. Am. J. Orthod. Dentofac. Orthop. 2020, 158, 420–425. [Google Scholar] [CrossRef]
- Krieger, E.; Seiferth, J.; Marinello, I.; Jung, B.A.; Wriedt, S.; Jacobs, C.; Wehrbein, H. Invisalign® Treatment in the Anterior Region: Were the Predicted Tooth Movements Achieved? J. Orofac. Orthop. 2012, 73, 365–376. [Google Scholar] [CrossRef] [PubMed]
- Gorton, J.; Bekmezian, S.; Mah, J.K. Mixed-Dentition Treatment with Clear Aligners and Vibratory Technology. J. Clin. Orthod. 2020, 54, 208–220. [Google Scholar] [PubMed]
- Koo, T.K.; Li, M.Y. A Guideline of Selecting and Reporting Intraclass Correlation Coefficients for Reliability Research. J. Chiropr. Med. 2016, 15, 155–163. [Google Scholar] [CrossRef] [PubMed]
- Djeu, G.; Shelton, C.; Maganzini, A. Outcome Assessment of Invisalign and Traditional Orthodontic Treatment Compared with the American Board of Orthodontics Objective Grading System. Am. J. Orthod. Dentofac. Orthop. 2005, 128, 292–298; discussion 298. [Google Scholar] [CrossRef]
- Kuncio, D.; Maganzini, A.; Shelton, C.; Freeman, K. Invisalign and Traditional Orthodontic Treatment Postretention Outcomes Compared Using the American Board of Orthodontics Objective Grading System. Angle Orthod. 2007, 77, 864–869. [Google Scholar] [CrossRef]
- Pavoni, C.; Lione, R.; Laganà, G.; Cozza, P. Self-Ligating versus Invisalign: Analysis of Dento-Alveolar Effects. Ann. Stomatol. 2011, 2, 23–27. [Google Scholar]
- Little, R.M. The Irregularity Index: A Quantitative Score of Mandibular Anterior Alignment. Am. J. Orthod. 1975, 68, 554–563. [Google Scholar] [CrossRef]
- Berger, V.W.; Exner, D. V Detecting Selection Bias in Randomized Clinical Trials. Control Clin. Trials 1999, 20, 319–327. [Google Scholar] [CrossRef]
- Kau, C.H.; Durning, P.; Richmond, S.; Miotti, F.A.; Harzer, W. Extractions as a Form of Interception in the Developing Dentition: A Randomized Controlled Trial. J. Orthod. 2004, 31, 107–114. [Google Scholar] [CrossRef]
- Sockalingam, S.N.M.P.; Zakaria, A.S.I.; Khan, K.A.M.; Azmi, F.M.; Noor, N.M. Simple Orthodontic Correction of Rotated Malpositioned Teeth Using Sectional Wire and 2 × 4 Orthodontic Appliances in Mixed-Dentition: A Report of Two Cases. Case Rep. Dent. 2020, 2020, 6972196. [Google Scholar] [CrossRef]



| Article-screening strategy | Keywords: “Mixed Dentition; Early Mixed Dentition; 2 × 4 Appliance; Fixed Appliance; Orthodontic Brackets; Interceptive Orthodontic Treatment.” |
| Boolean Indicators: OR and AND | |
| Timespan: May 2000 to May 2025 | |
| Electronic databases: PubMed; Scopus; WOS. |
| Authors and Years | Type of Study | Patients | Aim of the Study | Materials and Methods | Conclusions |
|---|---|---|---|---|---|
| Gu, Y. et al., 2000 [81] | Comparative clinical study | 37 children (17 with fixed appliance, 20 with reverse headgear) | Compare overjet correction achieved when using 2 × 4 fixed appliance vs. that achieved using reverse headgear. | Cephalometric analysis at 3 time points and modified Pancherz method. | Both led to similar degrees of overjet correction; fixed appliance changes were dental, and reverse headgear included skeletal changes. |
| Hägg et al., 2004 [82] | Prospective longitudinal follow-up study | 27 children initially (25 completed follow-up); age at start: ~10.1 years; follow-up at ~16.5 years | To assess 5-year outcomes of early pseudo-class III treatment with a 2 × 4 appliance. | A total of 27 patients underwent 2 × 4 treatment, evaluating cephalometrics at T0, T1, and T2. Five needed additional treatment for crowding. | 2 × 4 appliance corrected overjet, with stable 5-year results; 25% of patients needed further treatment |
| Gu et al., 2005 [83] | Clinical comparative study. | 30 patients; mean age: ~8.9 years (range 7.1–10.3) | To classify mild maxillary deficiency cases for 2 × 4 appliance or reverse headgear with expansion. | A total of 30 patients with anterior crossbite were treated using either a 2 × 4 appliance or reverse headgear. Analysis led to a predictive equation. | A prediction equation can be used to guide treatment: a positive score suggests the need for a 2 × 4 appliance; a negative score indicates the need for reverse headgear with expansion. |
| Wiedel, AP. et al, 2016 [84] | Randomized controlled | 62 children with anterior crossbite | Compare self-perceived pain and jaw function in relation to fixed vs. removable appliances | Questionnaires conducted over 8 weeks, VAS scales, functional questions, and randomized appliance allocation | Minor differences in discomfort were noted; both appliances were well tolerated and effective. |
| Mashouf et al., 2018 [85] | Retrospective study | 205 patients, aged 6–10 years (mean 8.6 ± 0.7 years) | To assess the outcomes and timing of mixed-dentition orthodontic treatment | Fixing appliance protocol addressing skeletal and dental components; analyzing treatment phases, age, extraction rate, treatment duration, and costs | Early treatment reduced tooth extraction to <1%; was effective across calss I, II, and III; and negated the need for second-phase treatment in 71% of cases. Starting treatment before age 8 improved outcomes |
| Da Silva, V. et al., 2023 [86] | Randomized clinical trial | 32 children (7–11 years old) | Compare efficacy and efficiency of clear aligners vs. 2 × 4 appliances in regard to mixed dentition | Digital dental models and 3D software were used. Patients were randomized into clear aligner or 2 × 4 fixed-appliance groups and treated for ~8 months. | Both methods showed similar efficacy; appliance choice can be based on clinician and family preference. |
| Cruz, J. et al., 2023 [87] | Prospective non-randomized clinical study | 48 children (24 treated, 24 controls) | Evaluate upper-arch dimensional changes using 2 × 4 appliance with NiTi spring in MD phase. | Lateral radiographs, cast models, CuNiTi wires, and NiTi open springs were used. Treated patients were compared to growth-only controls. | 2 × 4 appliance effectively increased arch perimeter and depth and maintained incisor position. |
| Authors and Year | D1 | D2 | D3 | D4 | D5 | Overall | |
|---|---|---|---|---|---|---|---|
| Gu, Y. et al., 2000 [81] | ![]() | ![]() | ![]() | ![]() | ![]() | ![]() | |
| Hägg et al., 2004 [82] | ![]() | ![]() | ![]() | ![]() | ![]() | ![]() | |
| Gu et al., 2005 [83] | ![]() | ![]() | ![]() | ![]() | ![]() | ![]() | |
| Wiedel, AP. et al., 2016 [84] | ![]() | ![]() | ![]() | ![]() | ![]() | ![]() | |
| Mashouf et al., 2018 [85] | ![]() | ![]() | ![]() | ![]() | ![]() | ![]() | |
| Da Silva, V. et al., 2023 [86] | ![]() | ![]() | ![]() | ![]() | ![]() | ![]() | |
| Cruz, J. et al., 2023 [87] | ![]() | ![]() | ![]() | ![]() | ![]() | ![]() | |
| Domains: | Judgement: | ||||||
| D1: Bias arising from the randomization process | Very High | ![]() | |||||
| D2: Bias due to deviations from intended interventions | High | ![]() | |||||
| D3: Bias due to missing outcome data | Some Concerns | ![]() | |||||
| D4: Bias due to missing data. | Low | ![]() | |||||
| D5: Bias arising from the measurement of the outcome. | No Information | ![]() | |||||
Disclaimer/Publisher’s Note: The statements, opinions and data contained in all publications are solely those of the individual author(s) and contributor(s) and not of MDPI and/or the editor(s). MDPI and/or the editor(s) disclaim responsibility for any injury to people or property resulting from any ideas, methods, instructions or products referred to in the content. |
© 2025 by the authors. Licensee MDPI, Basel, Switzerland. This article is an open access article distributed under the terms and conditions of the Creative Commons Attribution (CC BY) license (https://creativecommons.org/licenses/by/4.0/).
Share and Cite
Dipalma, G.; Marinelli, G.; Casamassima, L.; Nardelli, P.; Ciccarese, D.; Sena, P.D.; Inchingolo, F.; Crincoli, V.; Palermo, A.; Bordea, I.R.; et al. Effectiveness and Clinical Indications of 2 × 4 Fixed Orthodontic Therapy in Regard to Mixed Dentition: A Systematic Review. Children 2025, 12, 897. https://doi.org/10.3390/children12070897
Dipalma G, Marinelli G, Casamassima L, Nardelli P, Ciccarese D, Sena PD, Inchingolo F, Crincoli V, Palermo A, Bordea IR, et al. Effectiveness and Clinical Indications of 2 × 4 Fixed Orthodontic Therapy in Regard to Mixed Dentition: A Systematic Review. Children. 2025; 12(7):897. https://doi.org/10.3390/children12070897
Chicago/Turabian StyleDipalma, Gianna, Grazia Marinelli, Lucia Casamassima, Paola Nardelli, Danilo Ciccarese, Paolo De Sena, Francesco Inchingolo, Vito Crincoli, Andrea Palermo, Ioana Roxana Bordea, and et al. 2025. "Effectiveness and Clinical Indications of 2 × 4 Fixed Orthodontic Therapy in Regard to Mixed Dentition: A Systematic Review" Children 12, no. 7: 897. https://doi.org/10.3390/children12070897
APA StyleDipalma, G., Marinelli, G., Casamassima, L., Nardelli, P., Ciccarese, D., Sena, P. D., Inchingolo, F., Crincoli, V., Palermo, A., Bordea, I. R., Carbonara, A., Inchingolo, A. M., & Inchingolo, A. D. (2025). Effectiveness and Clinical Indications of 2 × 4 Fixed Orthodontic Therapy in Regard to Mixed Dentition: A Systematic Review. Children, 12(7), 897. https://doi.org/10.3390/children12070897






