Orthodontics in Pediatric Osteoporosis: A Narrative Literature Review
Abstract
1. Introduction
2. Materials and Methods
3. Results
4. Primary Osteoporosis and Dentofacial Orthopedics
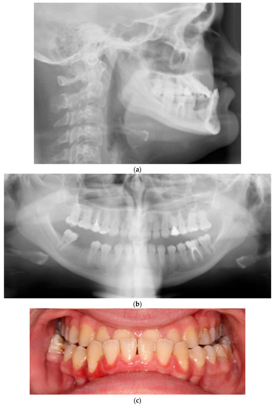
4.1. Osteogenesis Imperfecta: Orofacial Manifestations and Orthodontic Treatment
4.2. Dentinogenesis Imperfecta: Orοfacial Manifestations and Orthodontic Treatment
4.3. Other Forms of Primary Osteoporosis: Idiopathic Juvenile Osteoporosis
5. Pharmacological Therapy of Osteoporosis and Orthodontic Treatment
5.1. Bisphosphonates
- (1)
- Avoiding or minimizing surgical interventions and tooth extractions.
- (2)
- Limiting orthodontic movements and compressive forces on teeth and surrounding tissues.
- (3)
- Reducing the overall treatment duration whenever possible.
5.2. Denosumab
6. Secondary Osteoporosis
7. Clinical Considerations and Research Gaps
8. Conclusions
Author Contributions
Funding
Institutional Review Board Statement
Informed Consent Statement
Data Availability Statement
Conflicts of Interest
Abbreviations
| BIJON | Bisphosphonate-induced jaw osteonecrosis. |
| DGI | Dentinogenesis imperfecta. |
| IJO | Idiopathic juvenile osteoporosis. |
| OI | Osteogenesis imperfecta. |
| RPE | Rapid palatal expansion. |
| TMJ | Temporomandibular joint. |
| VEGF | Vascular endothelial growth factor. |
References
- Saraff, V.; Högler, W. Endocrinology and adolescence: Osteoporosis in children: Diagnosis and management. Eur. J. Endocrinol. 2015, 173, R185–R197. [Google Scholar] [CrossRef] [PubMed]
- Cannalire, G.; Biasucci, G.; Bertolini, L.; Patianna, V.; Petraroli, M.; Pilloni, S.; Esposito, S.; Street, M.E. Osteoporosis and bone fragility in children: Diagnostic and treatment strategies. J. Clin. Med. 2024, 13, 4951. [Google Scholar] [CrossRef] [PubMed]
- Ciancia, S.; Högler, W.; Sakkers, R.J.; Appelman-Dijkstra, N.M.; Boot, A.M.; Sas, T.C.; Renes, J.S. Osteoporosis in children and adolescents: How to treat and monitor? Eur. J. Pediatr. 2023, 182, 501–511. [Google Scholar] [CrossRef]
- Ciancia, S.; van Rijn, R.R.; Högler, W.; Appelman-Dijkstra, N.M.; Boot, A.M.; Sas, T.C.; Renes, J.S. Osteoporosis in children and adolescents: When to suspect and how to diagnose it. Eur. J. Pediatr. 2022, 181, 2549–2561. [Google Scholar] [CrossRef]
- Mortier, G.R.; Cohn, D.H.; Cormier-Daire, V.; Hall, C.; Krakow, D.; Mundlos, S.; Nishimura, G.; Robertson, S.; Sangiorgi, L.; Savarirayan, R.; et al. Nosology and classification of Genetic Skeletal Disorders: 2019 revision. Am. J. Med. Genet. A 2019, 179, 2393–2419. [Google Scholar] [CrossRef]
- Marrani, E.; Giani, T.; Simonini, G.; Cimaz, R. Pediatric osteoporosis: Diagnosis and treatment considerations. Drugs 2017, 77, 679–695. [Google Scholar] [CrossRef]
- Malmgren, B.; Tsilingaridis, G.; Monsef-Johansson, N.; Qahtani, Z.H.A.; Dahllöf, G.; Åström, E. Bisphosphonate therapy and tooth development in children and adolescents with osteogenesis imperfecta. Calcif. Tissue Int. 2020, 107, 143–150. [Google Scholar] [CrossRef]
- Herkrath, A.P.; Vettore, M.V.; de Queiroz, A.C.; Alves, P.L.; Leite, S.D.; Pereira, J.V.; Rebelo, M.A.; Herkrath, F.J. Orthodontic treatment need, self-esteem, and oral health-related quality of life among 12-yr-old schoolchildren. Eur. J. Oral Sci. 2019, 127, 254–260. [Google Scholar] [CrossRef] [PubMed]
- Alhadad, A.; Aldhorae, K.; Al Moaleem, M.M.; Al-Labani, M.A.; Kofiyh, K.A.; ALjawfi, K.; Abdulrab, A.M.M.; Alraawi, M.A.; Alshakhs, N.M.; Alqahtani, M.S.; et al. Epidemiology of facial profiles, occlusal features, and orthodontic treatment need among adolescence: A cross-sectional study. J. Contemp. Dent. Pract. 2022, 23, 313–319. [Google Scholar]
- De Ridder, L.; Aleksieva, A.; Willems, G.; Declerck, D.; Cadenas de Llano-Pérula, M. Prevalence of orthodontic malocclusions in healthy children and adolescents: A systematic review. Int. J. Environ. Res. Public Health 2022, 19, 7446. [Google Scholar] [CrossRef]
- Rousseau, M.; Retrouvey, J.M. Osteogenesis imperfecta: Potential therapeutic approaches. PeerJ 2018, 6, e5464. [Google Scholar] [CrossRef] [PubMed]
- Rizkallah, J.; Schwartz, S.; Rauch, F.; Glorieux, F.; Vu, D.D.; Muller, K.; Retrouvey, J.M. Evaluation of the severity of malocclusions in children affected by osteogenesis imperfecta with the Peer Assessment Rating and discrepancy indexes. Am. J. Orthod. Dentofacial Orthop. 2013, 143, 336–341. [Google Scholar] [CrossRef] [PubMed]
- Aizenbud, D.; Peled, M.; Figueroa, A.A. A combined orthodontic and surgical approach in osteogenesis imperfecta and severe class III malocclusion: Case report. J. Oral Maxillofac. Surg. 2008, 66, 1045–1053. [Google Scholar] [CrossRef]
- Kindelan, J.; Tobin, M.; Roberts-Harry, D.; Loukota, R.A. Orthodontic and orthognathic management of a patient with osteogenesis imperfecta and dentinogenesis imperfecta: A case report. J. Orthod. 2003, 30, 291–296. [Google Scholar] [CrossRef]
- Malmgren, B.; Thesleff, I.; Dahllöf, G.; Åström, E.; Tsilingaridis, G. Abnormalities in tooth formation after early bisphosphonate treatment in children with osteogenesis imperfecta. Calcif. Tissue Int. 2021, 109, 121–131. [Google Scholar] [CrossRef] [PubMed]
- Van Dijk, F.S.; Sillence, D.O. Osteogenesis imperfecta: Clinical diagnosis, nomenclature and severity assessment. Am. J. Med. Genet. A 2014, 164, 1470–1481. [Google Scholar] [CrossRef]
- Chang, P.C.; Lin, S.Y.; Hsu, K.H. The craniofacial characteristics of osteogenesis imperfecta patients. Eur. J. Orthod. 2007, 29, 232–237. [Google Scholar] [CrossRef] [PubMed]
- Staun Larsen, L.; Thuesen, K.J.; Gjørup, H.; Hald, J.D.; Væth, M.; Dalstra, M.; Haubek, D. Reduced mesiodistal tooth dimension in individuals with osteogenesis imperfecta: A cross-sectional study. Acta Odontol. Scand. 2020, 79, 262–267. [Google Scholar] [CrossRef]
- Andersson, K.; Dahllöf, G.; Lindahl, K.; Kindmark, A.; Grigelioniene, G.; Åström, E.; Malmgren, B. Mutations in COL1A1 and COL1A2 and dental aberrations in children and adolescents with osteogenesis imperfecta—A retrospective cohort study. PLoS ONE 2017, 12, e0176466. [Google Scholar] [CrossRef]
- Taqi, D.; Moussa, H.; Schwinghamer, T.; Vieira, A.R.; Dagdeviren, D.; Retrouvey, J.M.; Rauch, F.; Tamimi, F. Missing and unerupted teeth in osteogenesis imperfecta. Bone 2021, 150, 116011. [Google Scholar] [CrossRef]
- Malmgren, B.; Andersson, K.; Lindahl, K.; Kindmark, A.; Grigelioniene, G.; Zachariadis, V.; Dahllöf, G.; Åström, E. Tooth agenesis in osteogenesis imperfecta related to mutations in the collagen type I genes. Oral Dis. 2016, 23, 42–49. [Google Scholar] [CrossRef] [PubMed]
- Waltimo-Sirén, J.; Kolkka, M.; Pynnönen, S.; Kuurila, K.; Kaitila, I.; Kovero, O. Craniofacial features in osteogenesis imperfecta: A cephalometric study. Am. J. Med. Genet. A 2005, 133, 142–150. [Google Scholar] [CrossRef] [PubMed]
- Tashima, H.; Wattanawong, K.; Ho, C.T.; Wen-Ching-Ko, E.; Nguyen, A.; Lo, L.J. Orthognathic surgery considerations for patients with undiagnosed type I osteogenesis imperfecta. J. Oral Maxillofac. Surg. 2011, 69, 2233–2241. [Google Scholar] [CrossRef]
- Hartsfield, J.K.; Hohlt, W.F.; Roberts, W.E. Orthodontic treatment and orthognathic surgery for patients with osteogenesis imperfecta. Semin. Orthod. 2006, 12, 254–271. [Google Scholar] [CrossRef]
- Smoląg, D.; Kulesa-Mrowiecka, M.; Sułko, J. Evaluation of stomatognathic problems in children with osteogenesis imperfecta—Preliminary study. Dev. Period Med. 2017, 21, 144–153. [Google Scholar]
- Malmgren, B.; Norgren, S. Dental aberrations in children and adolescents with osteogenesis imperfecta. Acta Odontol. Scand. 2002, 60, 65–71. [Google Scholar] [CrossRef] [PubMed]
- Nguyen, M.S.; Binh, H.D.; Nguyen, K.M.; Maasalu, K.; Kõks, S.; Märtson, A.; Saag, M.; Jagomägi, T. Occlusal features and need for orthodontic treatment in persons with osteogenesis imperfecta. Clin. Exp. Dent. Res. 2017, 3, 19–24. [Google Scholar] [CrossRef]
- Malmgren, B.; Lindskog, S. Assessment of dysplastic dentin in osteogenesis imperfecta and dentinogenesis imperfecta. Acta Odontol. Scand. 2003, 61, 72–80. [Google Scholar] [CrossRef]
- Teixeira, C.S.; Felippe, M.C.S.; Felippe, W.T.; Silva-Sousa, Y.T.C.; Sousa-Neto, M.D. The role of dentists in diagnosing osteogenesis imperfecta in patients with dentinogenesis imperfecta. J. Am. Dent. Assoc. 2008, 139, 906–914. [Google Scholar] [CrossRef]
- Jindal, M.K.; Maheshwari, S.; Verma, R.; Khan, M.T. Comparative study of dentinogenesis imperfecta in different families of the same topographical region. Int. J. Clin. Pediatr. Dent. 2009, 2, 27. [Google Scholar]
- Ierardo, G.; Calcagnile, F.; Luzzi, V.; Ladniak, B.; Bossu, M.; Celli, M.; Zambrano, A.; Franchi, L.; Polimeni, A. Osteogenesis imperfecta and rapid maxillary expansion: Report of 3 patients. Am. J. Orthod. Dentofacial Orthop. 2015, 148, 130–137. [Google Scholar] [CrossRef] [PubMed]
- Sawan, N.M. Clear aligners in patients with amelogenesis and dentinogenesis imperfecta. Int. J. Dent. 2021, 2021, 7343094. [Google Scholar] [CrossRef] [PubMed]
- Krieger, E.; Jacobs, C.; Walter, C.; Wehrbein, H. Current state of orthodontic patients under bisphosphonate therapy. Head Face Med. 2013, 9, 10. [Google Scholar] [CrossRef]
- Ghoneima, A.A.; Allam, E.S.; Zunt, S.L.; Windsor, L.J. Bisphosphonates treatment and orthodontic considerations. Orthod. Craniofac. Res. 2010, 13, 1–10. [Google Scholar] [CrossRef]
- Vuorimies, I.; Arponen, H.; Valta, H.; Tiesalo, O.; Ekholm, M.; Ranta, H.; Evälahti, M.; Mäkitie, O.; Waltimo-Siren, J. Timing of dental development in osteogenesis imperfecta patients with and without bisphosphonate treatment. Bone 2017, 94, 29–33. [Google Scholar] [CrossRef]
- Kamoun-Goldrat, A.; Ginisty, D.; Merrer, M.L. Effects of bisphosphonates on tooth eruption in children with osteogenesis imperfecta. Eur. J. Oral Sci. 2008, 116, 195–198. [Google Scholar] [CrossRef]
- Kos, M.; Kuebler, J.F.; Luczak, K.; Engelke, W. Bisphosphonate-related osteonecrosis of the jaws: A review of 34 cases and evaluation of risk. J. Craniomaxillofac. Surg. 2010, 38, 255–259. [Google Scholar] [CrossRef] [PubMed]
- Ruggiero, S.L.; Mehrotra, B.; Rosenberg, T.J.; Engroff, S.L. Osteonecrosis of the jaws associated with the use of bisphosphonates: A review of 63 cases. J. Oral Maxillofac. Surg. 2004, 62, 527–534. [Google Scholar] [CrossRef]
- Johnson, A.; Hodgson, T.A. Dental extractions in children with osteogenesis imperfecta managed with bisphosphonates. Oral Dis. 2010, 16, 571. [Google Scholar]
- Chahine, C.; Cheung, M.S.; Head, T.W.; Schwartz, S.; Glorieux, F.H.; Rauch, F. Tooth extraction socket healing in pediatric patients treated with intravenous pamidronate. J. Pediatr. 2008, 153, 719–720. [Google Scholar] [CrossRef]
- Hennedige, A.A.; Jayasinghe, J.; Khajeh, J.; Macfarlane, T.V. Systematic review on the incidence of bisphosphonate-related osteonecrosis of the jaw in children diagnosed with osteogenesis imperfecta. J. Oral Maxillofac. Res. 2013, 4, e1. [Google Scholar] [CrossRef] [PubMed]
- Maines, E.; Monti, E.; Doro, F.; Morandi, G.; Cavarzere, P.; Antoniazzi, F. Children and adolescents treated with neridronate for osteogenesis imperfecta show no evidence of any osteonecrosis of the jaw. J. Bone Miner. Metab. 2012, 30, 434–438. [Google Scholar] [CrossRef] [PubMed]
- Schwartz, S.; Joseph, C.; Iera, D.; Vu, D.D. Bisphosphonates, osteonecrosis, osteogenesis imperfecta and dental extractions: A case series. J. Can. Dent. Assoc. 2008, 74, 537–544. [Google Scholar] [PubMed]
- Rosén, A.; Modig, M.; Larson, O. Orthognathic bimaxillary surgery in two patients with osteogenesis imperfecta and a review of the literature. Int. J. Oral Maxillofac. Surg. 2011, 40, 866–873. [Google Scholar] [CrossRef]
- Munns, C.F.; Rauch, F.; Zeitlin, L.; Fassier, F.; Glorieux, F.H. Delayed osteotomy but not fracture healing in pediatric osteogenesis imperfecta patients receiving pamidronate. J. Bone Miner. Res. 2004, 19, 1779–1786. [Google Scholar] [CrossRef]
- Zahrowski, J.J. Bisphosphonate treatment: An orthodontic concern calling for a proactive approach. Am. J. Orthod. Dentofacial Orthop. 2007, 131, 311–320. [Google Scholar] [CrossRef]
- Anastasilakis, A.D.; Makras, P.; Doulgeraki, A.; Polyzos, S.A.; Guarnieri, V.; Papapoulos, S.E. Denosumab for the treatment of primary pediatric osteoporosis. Osteoporos. Int. 2021, 32, 2377–2381. [Google Scholar] [CrossRef]
- Hoyer-Kuhn, H.; Semler, O.; Schoenau, E. Effect of denosumab on the growing skeleton in osteogenesis imperfecta. J. Clin. Endocrinol. Metab. 2014, 99, 3954–3955. [Google Scholar] [CrossRef]
- Ward, L.; Tricco, A.; Phuong, P.N.; Cranney, A.; Barrowman, N.; Gaboury, I.; Rauch, F.; Tugwell, P.; Moher, D. Bisphosphonate therapy for children and adolescents with secondary osteoporosis. Cochrane Database Syst. Rev. 2010, 7, CD005324. [Google Scholar] [CrossRef]
- Papapoulos, S.E. Bisphosphonate therapy in children with secondary osteoporosis. Horm. Res. Paediatr. 2011, 76, 24–27. [Google Scholar] [CrossRef]

| Category | Example |
|---|---|
| Chronic inflammatory disorders | Autoimmune rheumatoses |
| Inflammatory bowel disease | Crohn’s disease |
| Malabsorption syndrome | Cystic fibrosis, Coeliac disease |
| Chronic immobilization | Cerebral palsy, Duchenne’s muscular dystrophy |
| Epidermolysis bullosa | - |
| Endocrine disorders | Amenorrhea, hyperthyroidism, hypogonadism |
| Cancer and treatments with adverse effects on bone health | Chronic corticosteroid therapy, chemotherapy |
| Hematological disorders | Thalassemia |
| Genetic disorders with bone complications | - |
Disclaimer/Publisher’s Note: The statements, opinions and data contained in all publications are solely those of the individual author(s) and contributor(s) and not of MDPI and/or the editor(s). MDPI and/or the editor(s) disclaim responsibility for any injury to people or property resulting from any ideas, methods, instructions or products referred to in the content. |
© 2025 by the authors. Licensee MDPI, Basel, Switzerland. This article is an open access article distributed under the terms and conditions of the Creative Commons Attribution (CC BY) license (https://creativecommons.org/licenses/by/4.0/).
Share and Cite
Gravia, A.P.; Vastardis, H.; Tsolakis, A.I.; Doulgeraki, A. Orthodontics in Pediatric Osteoporosis: A Narrative Literature Review. Children 2025, 12, 691. https://doi.org/10.3390/children12060691
Gravia AP, Vastardis H, Tsolakis AI, Doulgeraki A. Orthodontics in Pediatric Osteoporosis: A Narrative Literature Review. Children. 2025; 12(6):691. https://doi.org/10.3390/children12060691
Chicago/Turabian StyleGravia, Anastasia Panagiota, Heleni Vastardis, Apostolos I. Tsolakis, and Artemis Doulgeraki. 2025. "Orthodontics in Pediatric Osteoporosis: A Narrative Literature Review" Children 12, no. 6: 691. https://doi.org/10.3390/children12060691
APA StyleGravia, A. P., Vastardis, H., Tsolakis, A. I., & Doulgeraki, A. (2025). Orthodontics in Pediatric Osteoporosis: A Narrative Literature Review. Children, 12(6), 691. https://doi.org/10.3390/children12060691

