Odontogenic Myxoma Associated to Unerupted Mandibular Molar in a Pediatric Patient: A New Case Description with Comprehensive Literature Analysis
Abstract
1. Introduction
2. Materials and Methods
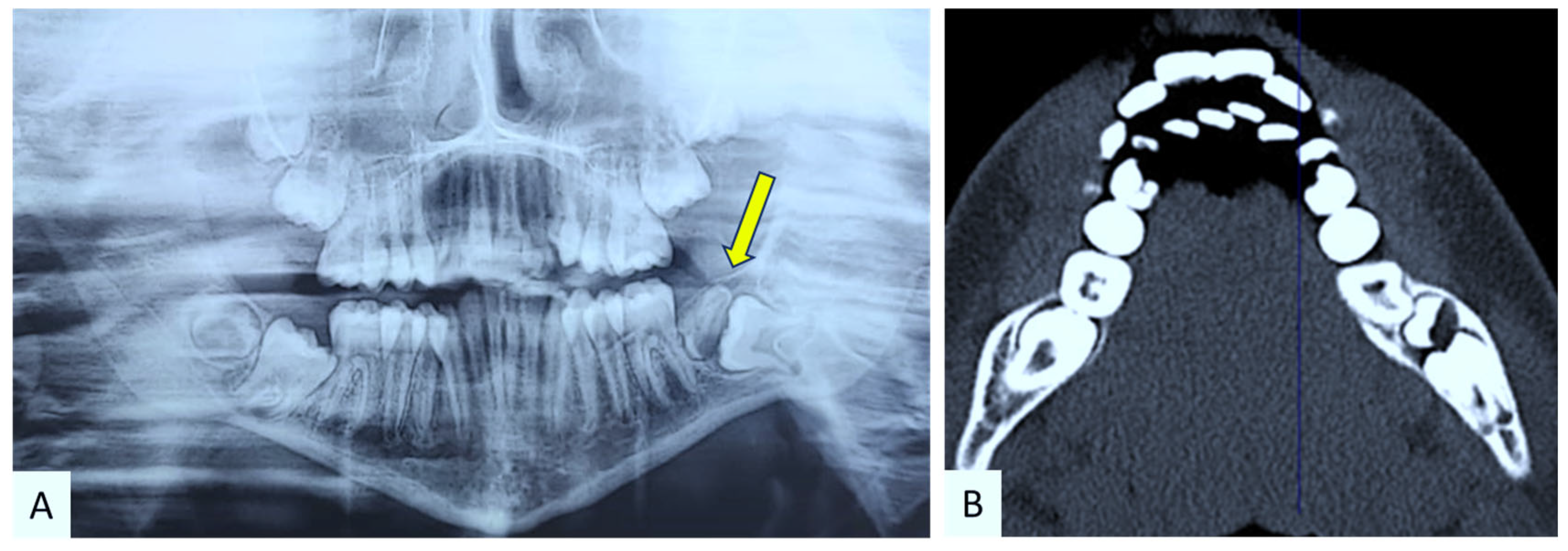
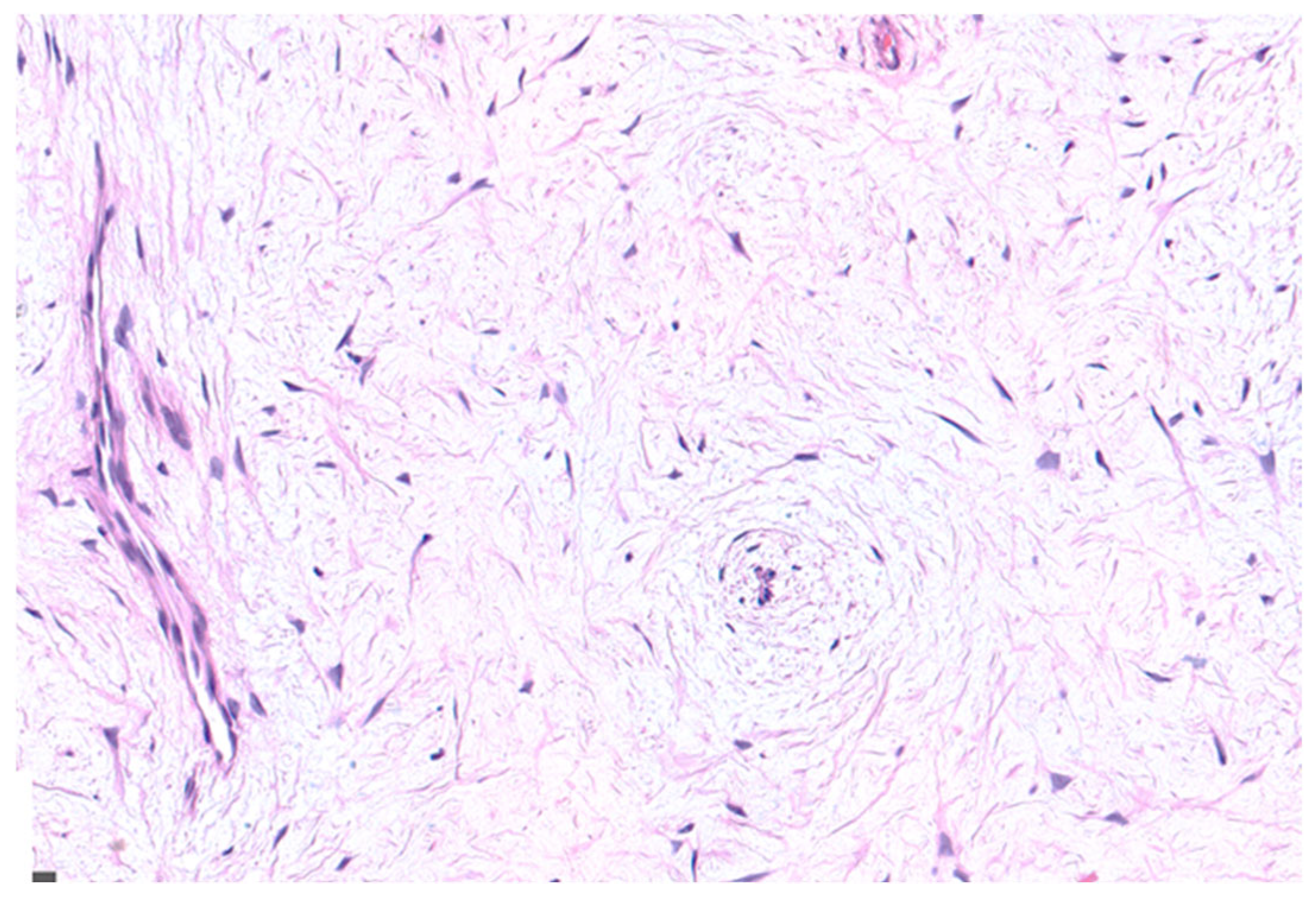
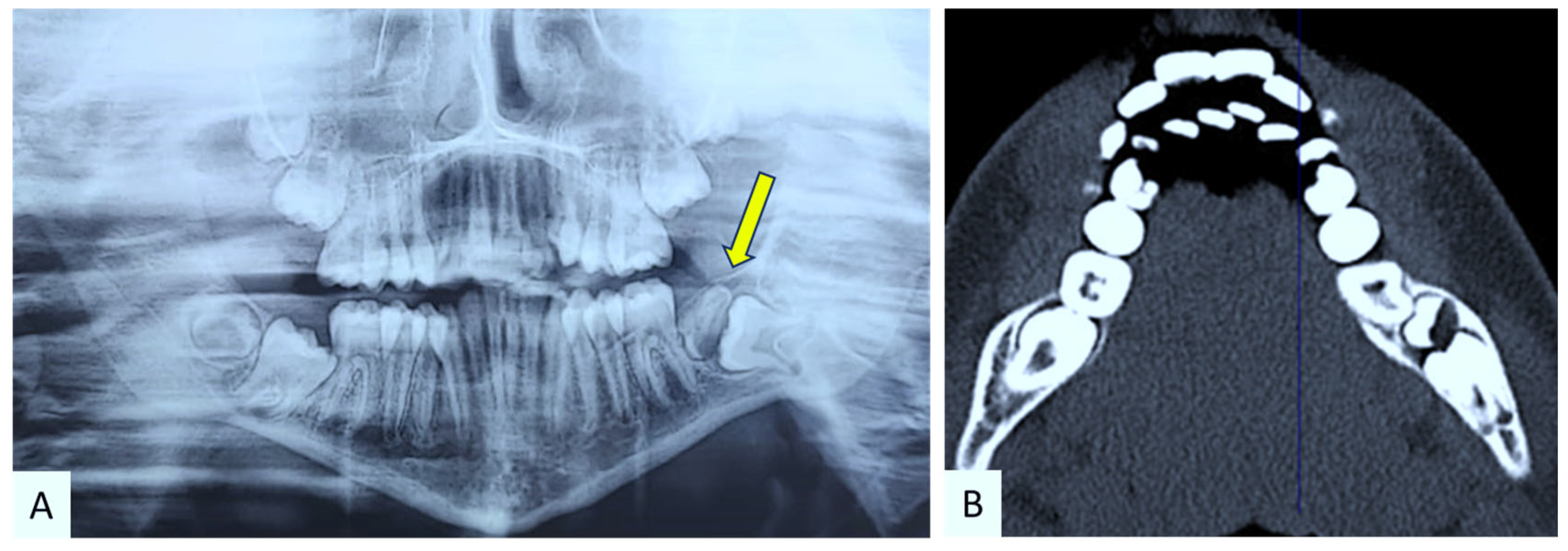
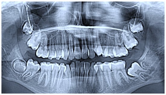
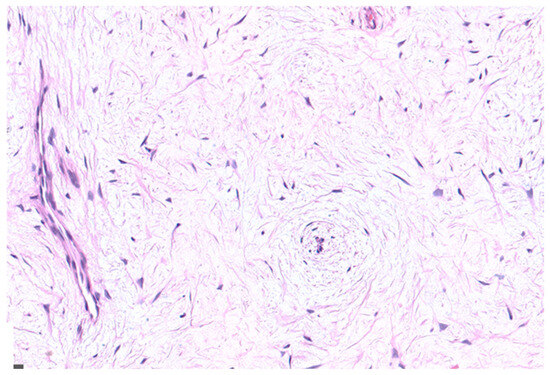
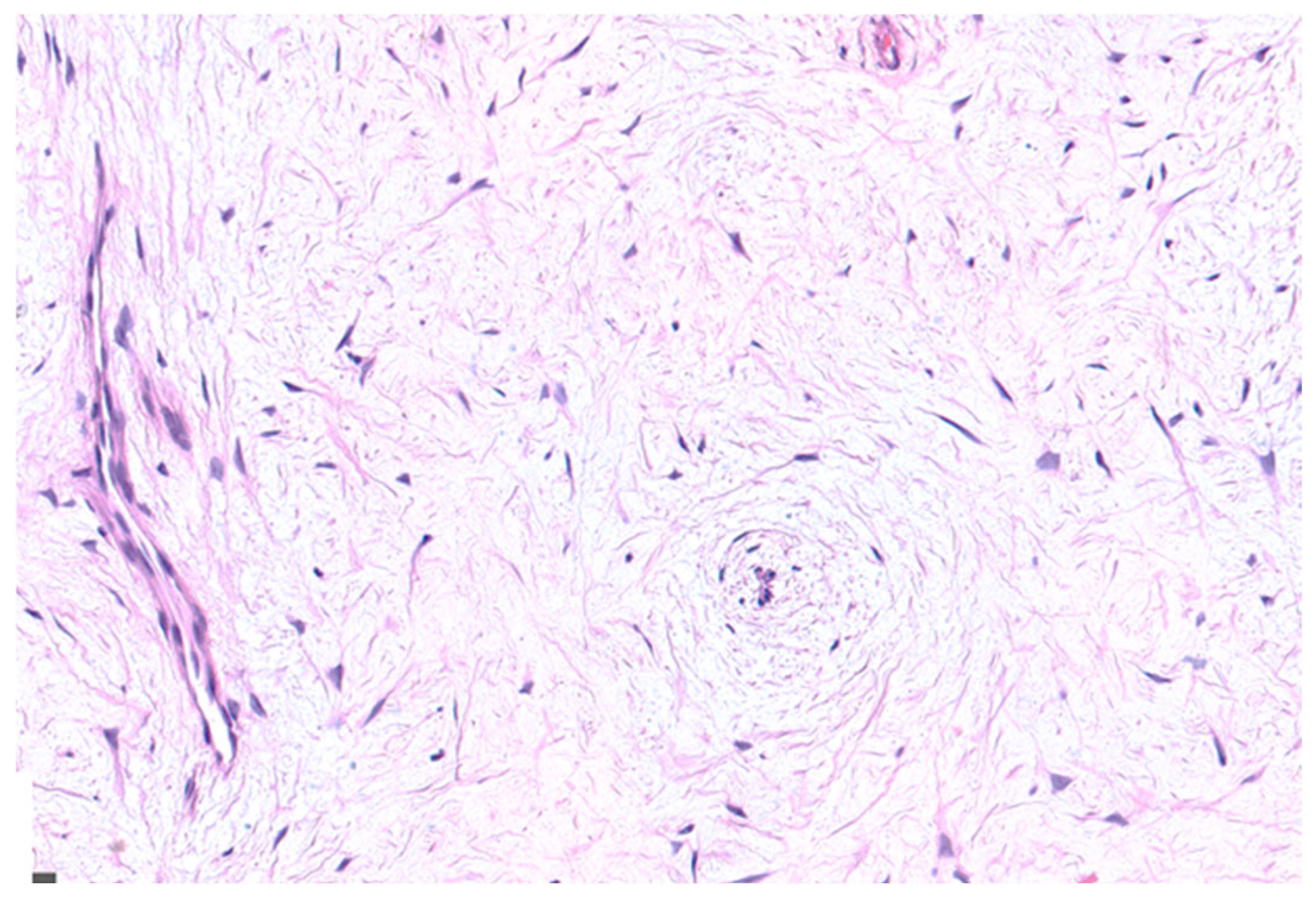
2.1. Case Presentation
2.2. Literature Analysis
3. Results
4. Discussion
4.1. Epidemiology
4.2. Clinical-Radiological Features and Differential Diagnosis
4.3. Odontogenic Myxoma in Pediatric Patients: Analysis of the Relevant Literature
- Maxilla: Of the 33 cases, 29 cases (88%) were localized in the maxilla.
- Mandible: Only 4 cases (12%) involved the mandible.
4.4. Myxomas Localization Within the Maxilla
- Paranasal Region: Among the maxillary cases, the paranasal region was the most common site, with 15 cases (52%) involving this area.
- Posterior Maxilla: 5 cases (17%) were found in the posterior maxilla.
- Anterior Maxilla: Only 1 case (3%) was localized in the anterior maxilla.
- Maxillary Sinus: 2 cases (7%) were specifically located in the maxillary sinus.
- Not Specified (NS): In 6 cases (21%), the specific localization within the maxilla was not clearly specified.
4.5. Myxomas Localization Within the Mandible
- 2 cases (50%) did not have a specified localization within the mandible.
- 2 cases (50%) were located in unspecified regions, though described as either posterior or not clearly localized.
4.6. Treatment Approaches
- Resection: Used in 8 cases (24%).
- Enucleation and Curettage: Applied in 12 cases (36%).
- Conservative Surgery: Reported in 3 cases (9%).
- Biopsy or Partial Maxillectomy: Used in 2 cases (6%).
- Radical Surgery: Applied in 3 cases (9%).
- Lateral Rhinotomy/Medial Maxillectomy: Applied in 5 cases (15%).
4.7. Recurrence Rates
- Recurrence occurred in 4 cases (12%), while 29 cases (88%) had no recurrence during the follow-up period.
- The recurrence cases were linked to the following treatments:
- Partial Maxillectomy (1 case): Recurrence occurred within 0.16 years.
- Enucleation and Curettage (3 cases): Recurrences occurred in patients with follow-up periods of 1 to 1.5 years.
4.8. Treatment and Recurrence Correlation
- Resection: None of the 8 cases treated with resection showed recurrence, suggesting this approach may be more effective in preventing tumor regrowth.
- Enucleation and Curettage: Despite being used in 12 cases, 3 of these (25%) experienced recurrence, indicating a higher likelihood of tumor regrowth compared to other methods.
- Conservative Surgery: No recurrences were observed in the 3 cases treated with conservative surgery, though this was used less frequently.
- Radical Surgery: All 3 cases treated with radical surgery showed no recurrence, indicating a potential advantage of more aggressive surgical approaches.
4.9. Therapeutic Management in Paediatric Patients
5. Conclusions
Author Contributions
Funding
Informed Consent Statement
Data Availability Statement
Conflicts of Interest
References
- Wankhedkar, D.; Patankar, S.; Gokul, S.; Sharma, S. Odontogenic myxoma in an 8-year-old girl: A case report with review of literature. J. Oral Maxillofac. Pathol. 2019, 23 (Suppl. S1), 83–86. [Google Scholar] [CrossRef] [PubMed] [PubMed Central]
- Shah, A.; Lone, P.; Latoo, S.; Ahmed, I.; Malik, A.; Hassan, S.; Naik, A.; Rashid, R. Odontogenic myxoma of the maxilla: A report of a rare case and review on histogenetic and diagnostic concepts. Natl. J. Maxillofac. Surg. 2011, 2, 189–195. [Google Scholar] [CrossRef] [PubMed] [PubMed Central]
- Romero-Flores, J.; García-Huerta, M.A.; Hernández-Miranda, A. Mixoma odontogénico [Odontogenic myxoma]. Rev. Médica Inst. Mex. Seguro Soc. 2012, 50, 67–70. (in Spanish). [Google Scholar] [PubMed]
- Philipsen, H.P.; Reichart, P.A. Classification of odontogenic tumours. A historical review. J. Oral Pathol. Med. 2006, 35, 525–529. [Google Scholar] [CrossRef] [PubMed]
- Vered, M.; Wright, J.M. Update from the 5th Edition of the World Health Organization Classification of Head and Neck Tumors: Odontogenic and Maxillofacial Bone Tumours. Head Neck Pathol. 2022, 16, 63–75. [Google Scholar] [CrossRef] [PubMed] [PubMed Central]
- Toro, M.D.C.; Barreto, I.S.; Amstalden, E.M.I.; Chone, C.T.; Pfeilsticker, L.N. Odontogenic Myxoma in Children: A Case Report and Literature Review. Case Rep. Oncol. Med. 2016, 2016, 9017421. [Google Scholar] [CrossRef] [PubMed] [PubMed Central][Green Version]
- Kawase-Koga, Y.; Saijo, H.; Hoshi, K.; Takato, T.; Mori, Y. Surgical management of odontogenic myxoma: A case report and review of the literature. BMC Res. Notes 2014, 7, 214. [Google Scholar] [CrossRef] [PubMed] [PubMed Central]
- Harokopakis-Hajishengallis, E.; Tiwana, P. Odontogenic myxoma in the pediatric patient: A literature review and case report. Pediatr. Dent. 2007, 29, 409–414. [Google Scholar] [PubMed]
- Martínez-Mata, G.; Mosqueda-Taylor, A.; Carlos-Bregni, R.; de Almeida, O.P.; Contreras-Vidaurre, E.; Vargas, P.A.; Cano-Valdéz, A.M.; Domínguez-Malagón, H. Odontogenic myxoma: Clinico-pathological, immunohistochemical and ultrastructural findings of a multicentric series. Oral Oncol. 2008, 44, 601–607. [Google Scholar] [CrossRef] [PubMed]
- Kansy, K.; Juergens, P.; Krol, Z.; Paulussen, M.; Baumhoer, D.; Bruder, E.; Schneider, J.; Zeilhofer, H.-F.; Schwenzer-Zimmerer, K. Odontogenic myxoma: Diagnostic and therapeutic challenges in paediatric and adult patients—A case series and review of the literature. J. Cranio-Maxillofac. Surg. 2012, 40, 271–276. [Google Scholar] [CrossRef] [PubMed]
- Kiresur, M.; Hemavathy, S. An aggressive odontogenic myxoma of the maxilla. Indian J. Dent. 2014, 5, 214–217. [Google Scholar] [CrossRef] [PubMed] [PubMed Central]
- Fenton, S.; Slootweg, P.J.; Dunnebier, E.A.; Mourits, M.P. Odontogenic myxoma in a 17-month-old child: A case report. J. Oral Maxillofac. Surg. 2003, 61, 734–736. [Google Scholar] [CrossRef] [PubMed]
- King, T.J., 3rd; Lewis, J.; Orvidas, L.; Kademani, D. Pediatric maxillary odontogenic myxoma: A report of 2 cases and review of management. J. Oral Maxillofac. Surg. 2008, 66, 1057–1062. [Google Scholar] [CrossRef] [PubMed]
- Rotenberg, B.W.; Daniel, S.J.; Nish, I.A.; Ngan, B.Y.; Forte, V. Myxomatous lesions of the maxilla in children: A case series and review of management. Int. J. Pediatr. Otorhinolaryngol. 2004, 68, 1251–1256. [Google Scholar] [CrossRef] [PubMed]
- Wachter, B.G.; Steinberg, M.J.; Darrow, D.H.; McGinn, J.D.; Park, A.H. Odontogenic myxoma of the maxilla: A report of two pediatric cases. Int. J. Pediatr. Otorhinolaryngol. 2003, 67, 389–393. [Google Scholar] [CrossRef] [PubMed]
- Singaraju, S.; Wanjari, S.; Parwani, R. Odontogenic myxoma of the maxilla: A report of a rare case and review of the literature. J. Oral Maxillofac. Pathol. 2010, 14, 19–23. [Google Scholar] [CrossRef] [PubMed] [PubMed Central]
- Jindwani, K.; Paharia, Y.; Kushwah, A.S. Surgical management of peripheral variant of adenomatoid odontogenic tumor: A rare case report with review. Contemp. Clin. Dent. 2015, 6, 128–130. [Google Scholar] [CrossRef] [PubMed] [PubMed Central]
- Das, U.M.; Vasudevan, V.; Manjunath, V.; Bavle, R.M.; Sudhakar, M.; Kumar, N.; Lnu, S. Odontogenic Myxoma of the Maxilla: A Report of Unusual Pediatric Case. Int. J. Clin. Pediatr. Dent. 2011, 4, 264–268. [Google Scholar] [CrossRef] [PubMed] [PubMed Central]
- Kadlub, N.; Mbou, V.B.; Leboulanger, N.; Lepointe, H.D.; Ansari, E.; L’Hermine, A.C.; Davrou, J.; Vazquez, M.-P.; Picard, A. Infant Odontogenic Myxoma: A specific entity. J. Cranio-Maxillofacial Surg. 2014, 42, 2082–2086. [Google Scholar] [CrossRef] [PubMed]
- Brewis, C.; Roberts, D.N.; Malone, M.; Leighton, S.E.J. Maxillary myxoma: A rare midfacial mass in child. Int. J. Pediatr. Otorhinolaryngol. 2000, 56, 207–209. [Google Scholar] [CrossRef]
- Iatrou, I.; Theologie-Lygidakis, N.; Tzerbos, F.; Schoinohoriti, O.K. Oro-facial tumours and tumour-like lesions in Greek children and adolescents: An 11-year retrospective study. J. Craniomaxillofac. Surg. 2013, 41, 437–443. [Google Scholar] [CrossRef] [PubMed]
- James, D.R.; Lucas, V.S. Maxillary myxoma in a child of 11 months. J. Craniomaxillofac. Surg. 1987, 15, 42–44. [Google Scholar] [CrossRef]
- Leiberman, A.; Forte, V.; Thorner, P.; Crysdale, W. Maxillary myxoma in children. Int. J. Pediatr. Otorhinolaryngol. 1990, 18, 277–284. [Google Scholar] [CrossRef] [PubMed]
- Prasannan, L.; Warren, L.; Herzog, L.; Lopez-Camarillo, L.; Frankel, L.; Goepfert, H. Sinusonasal myxoma. A pediatric case. J. Pediatr. Hematol. Oncol. 2005, 27, 90–92. [Google Scholar] [CrossRef]
- Rios YValles-Valles, D.; Vera-Torres, A.M.; Rodriguez-Martinez, H.A.; Rodriguez-Reyes, A.A. Periocular myxoma in a child. Case Rep. Ophthalmol. Med. 2012, 2012, 739094. [Google Scholar] [CrossRef]
- Mauro, A.; Lipari, L.; Tortorici, S.; Leone, A.; Gerbino, A.; Buscemi, M. Expression of MMP-2 and MMP-9 in odontogenic myxoma in a child: Report of a clinical case. Odontology 2013, 101, 233–238. [Google Scholar] [CrossRef] [PubMed]
- Landes, C.A.; Glasl, B.; Ludwig, B.; Rieger, J.; Sader, R. Tooth autotransplantation in a free iliac crest graft for prosthetic reconstruction. J. Craniofac. Surg. 2008, 19, 1281–1286. [Google Scholar] [CrossRef]
- Li, T.J.; Sun, L.S.; Luo, H.Y. Odontogenic myxoma; a clinicopathologic study of 25 cases. Arch. Pathol. Lab. Med. 2006, 130, 1799–1806. [Google Scholar] [CrossRef]
- Lo Muzio, L.; Nocini, P.; Favia, G.; Procaccini, M.; Mignogna, M.D. Odontogenic myxoma of the jaws: A clinical, radiologic, immunohistochemical, and ultrastructural study. Oral Surg. Oral Med. Oral Pathol. Oral Radiol. Endodontology 1996, 82, 426–433. [Google Scholar] [CrossRef]







| First Author (Year) | Study Design—No. Cases | Site | Localization | Age | Treatment | Follow Up | Recurrence |
|---|---|---|---|---|---|---|---|
| Kansy et al. (2012) [10] | Case series—2 | Maxilla | Paranasal | 12-months-old | Enucleation + curettage | 2 y | No |
| Maxilla | Paranasal | 11-months-old | Partial maxillectomy | 0.16 y | Yes | ||
| Kiresur MA et al. (2014) [11] | Case report—1 | Maxilla | Posterior | 17-years-old | Resection | 6 m | No |
| Wankhedkar et al. (2018) [1] | Case report—1 | Maxilla | Anterior maxilla | 8-years-old | Biopsy + partial maxillectomy | 6 m | No |
| Toro et al. (2015) [6] | Case report—1 | Maxilla | Maxillary sinus | 29-months-old | Biopsy + curettage | 2 m | No |
| Fenton et al. (2003) [12] | Case report—1 | Maxilla | NS | 17-months-old | Lateral rhinotomy | 16 m | No |
| King et al. (2008) [13] | Case series—2 | Maxilla | NS | 18-months-old | Enucleation | 18 m | No |
| Maxilla | NS | 17-months-old | Enucleation | 24 m | No | ||
| Rotenberg et al. (2004) [14] | Case series—3 | Maxilla | NS | 13-months-old | Lateral rhinotomy | 4 y | No |
| Maxilla | NS | 18-months-old | Medial Maxillectomy | 14 y | No | ||
| Maxilla | NS | 16-months-old | Lateral rhinotomy | 7 y | No | ||
| Wachter et al. (2003) [15] | Case series—2 | Maxilla | NS | 13-months-old | Excisional biopsy | 24 m | No |
| Maxilla | NS | 19-months-old | Excisional biopsy | 24 m | No | ||
| Sasidhar Singaraju et al. (2010) [16] | Case report—1 | Maxilla | Right maxilla+sinus | 7-years-old | Resection | 6 m | No |
| Karuna Jindwani et al. (2015) [17] | Case report—1 | Maxilla | Posterior | 10-years-old | Resection | NS | NS |
| Vjieev Vasudevan et al. (2011) [18] | Case report—1 | Maxilla | Posterior | 13-years-old | Resection | NS | NS |
| Harokopaki Hajishengallis et al. (2006) [8] | Case report—1 | Maxilla | Posterior | 6-years-old | Resection | 9 m | No |
| Kadlub et al. (2014) [19] | Case series—4 | Maxilla | Paranasal | 18-months-old | Enucleation + curettage | 6 y | No |
| Maxilla | Paranasal | 23-months-old | Enucleation + curettage | 4 y | No | ||
| Maxilla | Paranasal | 21-months-old | Enucleation + curettage | 1.5 y | Yes | ||
| Maxilla | Paranasal | 14-months-old | Enucleation + curettage | 1y | Yes | ||
| Brewis et al. (2000) [20] | Case report—1 | Maxilla | Paranasal | 13-month-old | Enucleation + curettage | 0.3 y | No |
| Iatrou et al. (2010) [21] | Case report—1 | Maxilla | Paranasal | 12-months-old | Enucleation + curettage | 3.5 y | No |
| James and Lucas. (1987) [22] | Case series—2 | Maxilla | Paranasal | 11-month-old | Enucleation + curettage | 0.7 y | No |
| Leiberman et al. (1990) [23] | Case series—2 | Maxilla | Paranasal | 18-months-old | Resection | 0.5 y | No |
| Maxilla | Paranasal | 15-months-old | Resection | NS | NS | ||
| Prasannan et al. (2005) [24] | Case report—1 | Maxilla | Paranasal | 20-months-old | Enucleation | 0.5 y | No |
| Rios Y Valles-Valles et al. (2012) [25] | Case report—1 | Maxilla | Paranasal | 11-months-old | Enucleation + curettage | 4 y | No |
| Mauro et al. (2012) [26] | Case report—1 | Mandible | NS | 6-years-old | Conservative surgery | 6 m | No |
| Landes et al. (2008) [27] | Case report—1 | Mandible | NS | 14-years-old | Radical surgery | 30 m | No |
| Li et al. (2006) [28] | Case series—2 | Mandible | NS | 12-years-old | Radical surgery | 36 m | No |
| Mandible | NS | 7-years-old | Conservative surgery | 84 m | No | ||
| Lo Muzio et al. (1996) [29] | Case report—1 | Mandible | NS | 16-years-old | Conservative surgery | 31 m | No |
Disclaimer/Publisher’s Note: The statements, opinions and data contained in all publications are solely those of the individual author(s) and contributor(s) and not of MDPI and/or the editor(s). MDPI and/or the editor(s) disclaim responsibility for any injury to people or property resulting from any ideas, methods, instructions or products referred to in the content. |
© 2025 by the authors. Licensee MDPI, Basel, Switzerland. This article is an open access article distributed under the terms and conditions of the Creative Commons Attribution (CC BY) license (https://creativecommons.org/licenses/by/4.0/).
Share and Cite
Forte, M.; D’Albis, G.; d’Amati, A.; Ingravallo, G.; Limongelli, L.; Favia, G.; Di Grigoli, A.; Montaruli, A.; Di Venere, D.; Corsalini, M.; et al. Odontogenic Myxoma Associated to Unerupted Mandibular Molar in a Pediatric Patient: A New Case Description with Comprehensive Literature Analysis. Children 2025, 12, 158. https://doi.org/10.3390/children12020158
Forte M, D’Albis G, d’Amati A, Ingravallo G, Limongelli L, Favia G, Di Grigoli A, Montaruli A, Di Venere D, Corsalini M, et al. Odontogenic Myxoma Associated to Unerupted Mandibular Molar in a Pediatric Patient: A New Case Description with Comprehensive Literature Analysis. Children. 2025; 12(2):158. https://doi.org/10.3390/children12020158
Chicago/Turabian StyleForte, Marta, Giuseppe D’Albis, Antonio d’Amati, Giuseppe Ingravallo, Luisa Limongelli, Gianfranco Favia, Adriano Di Grigoli, Anna Montaruli, Daniela Di Venere, Massimo Corsalini, and et al. 2025. "Odontogenic Myxoma Associated to Unerupted Mandibular Molar in a Pediatric Patient: A New Case Description with Comprehensive Literature Analysis" Children 12, no. 2: 158. https://doi.org/10.3390/children12020158
APA StyleForte, M., D’Albis, G., d’Amati, A., Ingravallo, G., Limongelli, L., Favia, G., Di Grigoli, A., Montaruli, A., Di Venere, D., Corsalini, M., & Capodiferro, S. (2025). Odontogenic Myxoma Associated to Unerupted Mandibular Molar in a Pediatric Patient: A New Case Description with Comprehensive Literature Analysis. Children, 12(2), 158. https://doi.org/10.3390/children12020158

