Foreign Bodies in Lower Airway in Children: Brief Review and Clinical Experience
Abstract
1. Introduction
- Failure of larynx closure through the laryngeal reflex.
- Habits such as placing objects in the mouth, or simultaneously feeding and playing.
- Immature swallowing reflex.
- Parental lack of information regarding certain objects that can be aspirated, such as small toys and certain types of food, with predisposing factors [1].
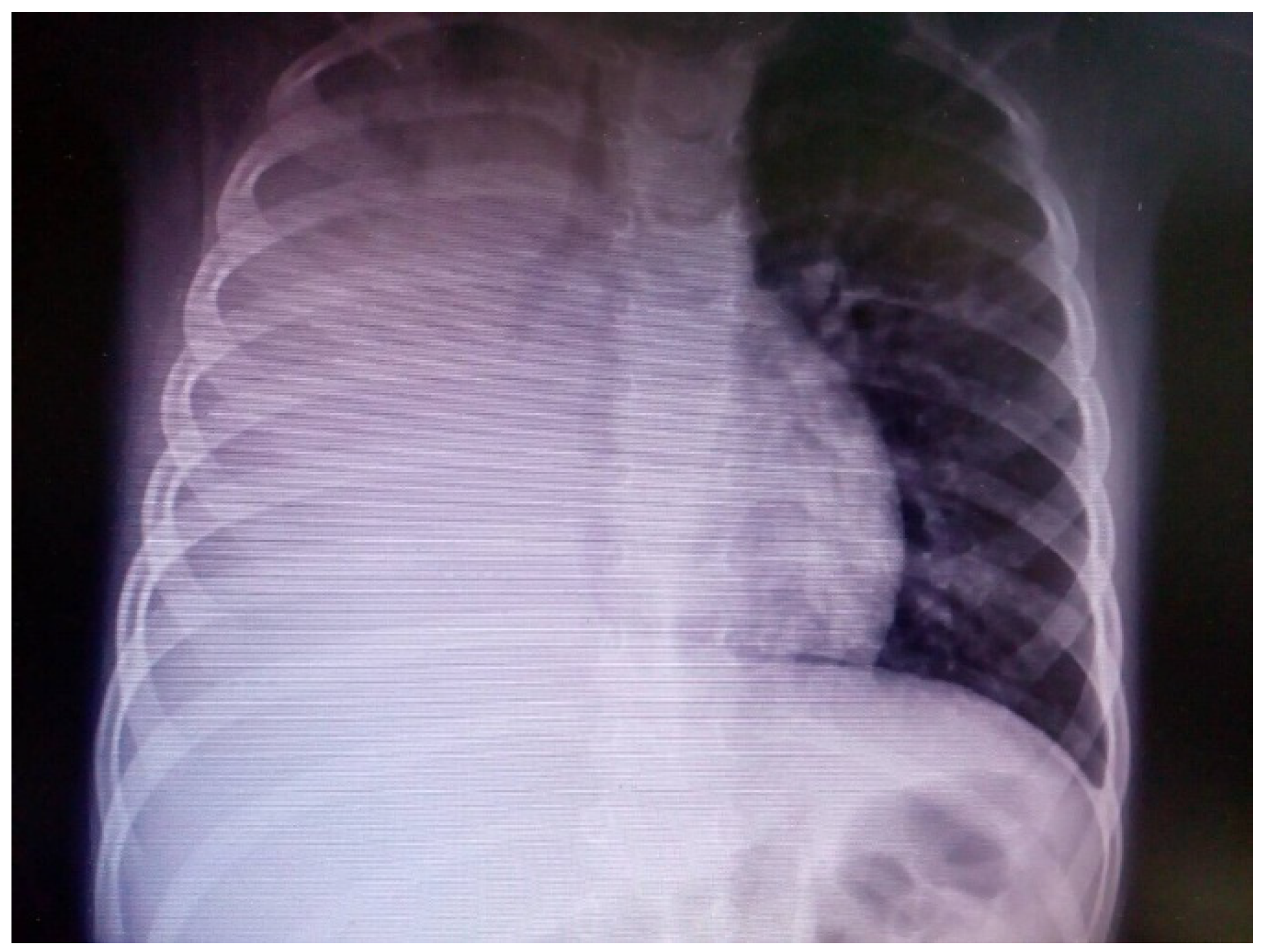
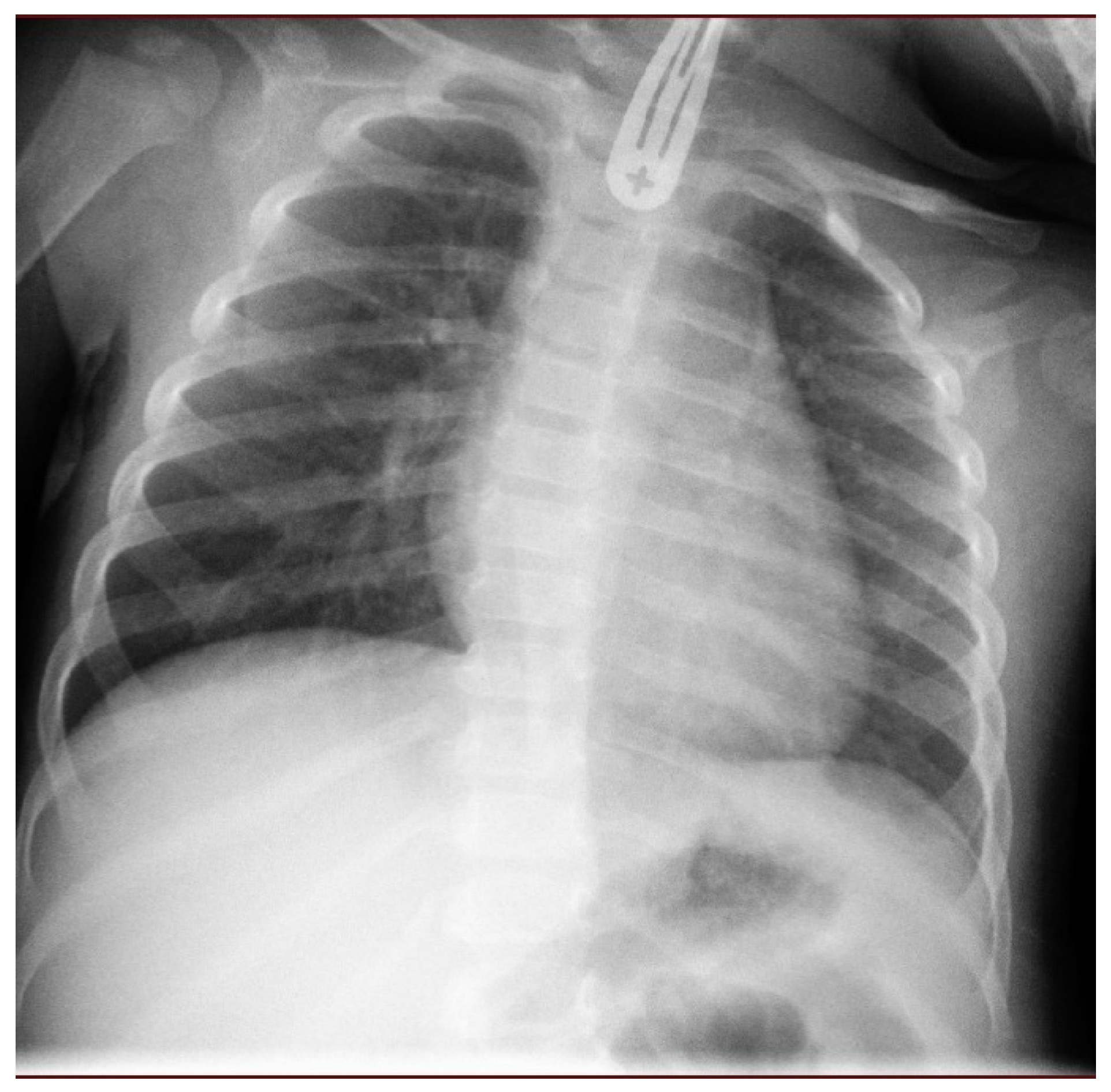
Signs, Symptoms, Diagnosis, and Treatment of Aspirated Foreign Body
2. Materials and Methods
- Taking a detailed history from the adults accompanying the child and by the medical team, if brought by ambulance or sent from another medical facility;
- Obtaining permission from the child’s caregiver(s) to perform emergency bronchoscopy;
- Quick admission, processing, and basic tests, such as blood tests and chest X-ray;
- Urgent consultation with a pediatrician (on site) and an anesthesiologist; and
- Assembling a team and performing the bronchoscopy as soon as possible after admission.
3. Discussion
4. Conclusions
Author Contributions
Funding
Institutional Review Board Statement
Informed Consent Statement
Data Availability Statement
Conflicts of Interest
References
- Tan, H.K.; Brown, K.; McGill, T.; Kenna, M.A.; Lund, D.P.; Healy, G.B. Airway foreign bodies (FB): A 10-year review. Int. J. Pediatr. Otorhinolaryngol. 2000, 56, 91–99. [Google Scholar] [CrossRef]
- Tripuraneni, S.C.; Priyadarshni, N.; Venkataratnam, R.; Rajanikanth, K.; Naveen, R. Bilateral Foreign Body Bronchus. Indian J. Otolaryngol. Head Neck Surg. 2019, 71 (Suppl. S1), 400–405. [Google Scholar] [CrossRef] [PubMed]
- Кoстадинoв, Д. Чужди тела в трахеята и брoнхите. Мединфo Брoй 2011, 12, 1–4. [Google Scholar]
- Metrangolo, S.; Monetti, C.; Meneghini, L.; Zadra, N.; Giusti, F. Eight Years’ Experience With Foreign-Body Aspiration in Children: What Is Really Important for a Timely Diagnosis? J. Pediatr. Surg. 1999, 34, 1229–1231. [Google Scholar] [CrossRef] [PubMed]
- Mu, L.C.; Sun, D.Q.; He, P. Radiological diagnosis of aspirated foreign bodies in children: Review of 343 cases. J. Laryngol. Otol. 1990, 104, 778–782. [Google Scholar] [CrossRef] [PubMed]
- Кoнoв, Д.; Йoрданoв, С.; Генадиева, М. Чужди тела в дихателните пътища—диагнoстични предизвикателства. МБ Отoринoларингoлoгия брoй 2013, 3, 42–45. [Google Scholar]
- Sinha, V.; Memon, R.; Gupta, D.; Prajapati, B.; Bhat, V.; More, Y. Foreign body in tracheobronchial tree. Indian J. Otolaryngol. Head Neck Surg. 2007, 59, 211–214. [Google Scholar] [CrossRef] [PubMed]
- Turk, D.; Ashkan, M.; Hosseinpour, M.H. Role of Flexible Fiberoptic Bronchoscopy in the Diagnosis and Treatment of Pediatric Airway Foreign Bodies: A 5-Year Experience at a Tertiary Care Hospital in Iran. Tanaffos 2022, 21, 354–361. [Google Scholar] [PubMed]
- Wood, R.E.; Gauderer, M.W. Flexible fiberoptic bronchoscopy in the management of tracheobronchial foreign bodies in children: The value of a combined approach with open tube bronchoscopy. J. Pediatr. Surg. 1984, 19, 693–694. [Google Scholar] [CrossRef] [PubMed]
- Martinot, A.; Closset, M.; Marquette, C.H.; Hue, V.; Deschildre, A.; Ramon, P.; Remy, J.; Leclerc, F. Indications for Flexible Versus Rigid Bronchoscopy in Children with Suspected Foreign-Body Aspiration. Am. I Respir. Crit. Care Med. 1997, 155, 167fr1679. [Google Scholar]
- Righini, C.A.; Morel, N.; Karkas, A. What is the diagnostic value of flexible bronchoscopy in the initial investigation of children with suspected foreign body aspiration? Int. J. Pediatr. Otorhinolaryngol. 2007, 71, 1383–1390. [Google Scholar] [CrossRef] [PubMed]
- Cassol, V.; Pereira, A.M.; Zorzela, L.M.; Becker, M.M.; Barreto, S.S. Corpo estranho na via aérea de crianças. J. Pneumol. 2003, 29, 139–144. [Google Scholar] [CrossRef]
- Fraga, A.D.M.A.; Reis, M.C.D.; Zambon, M.P.; Toro, I.C.; Ribeiro, J.D.; Baracat, E.C.E. Foreign body aspiration in children: Clinical aspects, radiological aspects and bronchoscopic treatment. J. Bras. Pneumol. March 2008, 34, 74–82. [Google Scholar]
- Nakku, D.; Byaruhanga, R.; Bajunirwe, F.; Kyamwanga, I.T. A case control study of the factors associated with occurrence of aerodigestive foreign bodies in children in a regional referral hospital in South Western Uganda. BMC Ear Nose Throat Disord. 2016, 16, 1–8. [Google Scholar] [CrossRef] [PubMed]











| Foreign-body-negative | 104 cases |
| Foreign body extracted | 50 cases |
| Second bronchoscopy | 20 cases (3 cases foreign-body-positive and 17 foreign-body-negative) |
| X-ray exam after bronchoscopy | 5 cases |
| Hospital stay less than 24 after bronchoscopy | 123 |
| Hospital stay more than 24 h after bronchoscopy | 21 |
| Admission to pediatric department for further treatment | 6 |
| Pediatric intensive care unit admission after bronchoscopy | 4 |
Disclaimer/Publisher’s Note: The statements, opinions and data contained in all publications are solely those of the individual author(s) and contributor(s) and not of MDPI and/or the editor(s). MDPI and/or the editor(s) disclaim responsibility for any injury to people or property resulting from any ideas, methods, instructions or products referred to in the content. |
© 2025 by the authors. Licensee MDPI, Basel, Switzerland. This article is an open access article distributed under the terms and conditions of the Creative Commons Attribution (CC BY) license (https://creativecommons.org/licenses/by/4.0/).
Share and Cite
Markov, S.; Markova, P.; Karavelikova, I.; Halacheva, H. Foreign Bodies in Lower Airway in Children: Brief Review and Clinical Experience. Children 2025, 12, 67. https://doi.org/10.3390/children12010067
Markov S, Markova P, Karavelikova I, Halacheva H. Foreign Bodies in Lower Airway in Children: Brief Review and Clinical Experience. Children. 2025; 12(1):67. https://doi.org/10.3390/children12010067
Chicago/Turabian StyleMarkov, Stoyan, Petya Markova, Ivanka Karavelikova, and Hristina Halacheva. 2025. "Foreign Bodies in Lower Airway in Children: Brief Review and Clinical Experience" Children 12, no. 1: 67. https://doi.org/10.3390/children12010067
APA StyleMarkov, S., Markova, P., Karavelikova, I., & Halacheva, H. (2025). Foreign Bodies in Lower Airway in Children: Brief Review and Clinical Experience. Children, 12(1), 67. https://doi.org/10.3390/children12010067
