The Management of Necrotizing Gingivitis in Paediatric Patients: A Scoping Review and Two Case Reports
Abstract
1. Introduction
2. Materials and Methods
2.1. Type of Study
2.2. Review Question
2.3. Inclusion and Exclusion Criteria
2.4. Search Strategy and Study Selection
2.5. Data Collection
2.6. Risk of Bias
3. Literature Review Results
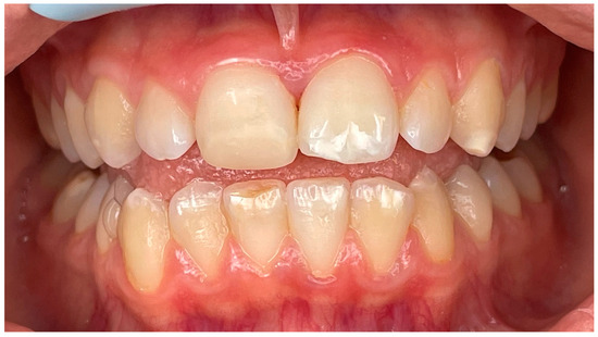
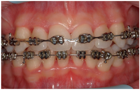
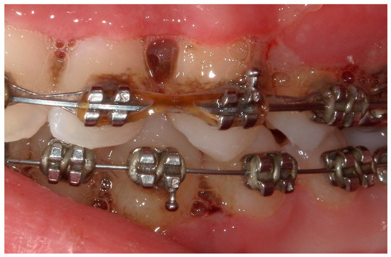
4. Clinical Cases
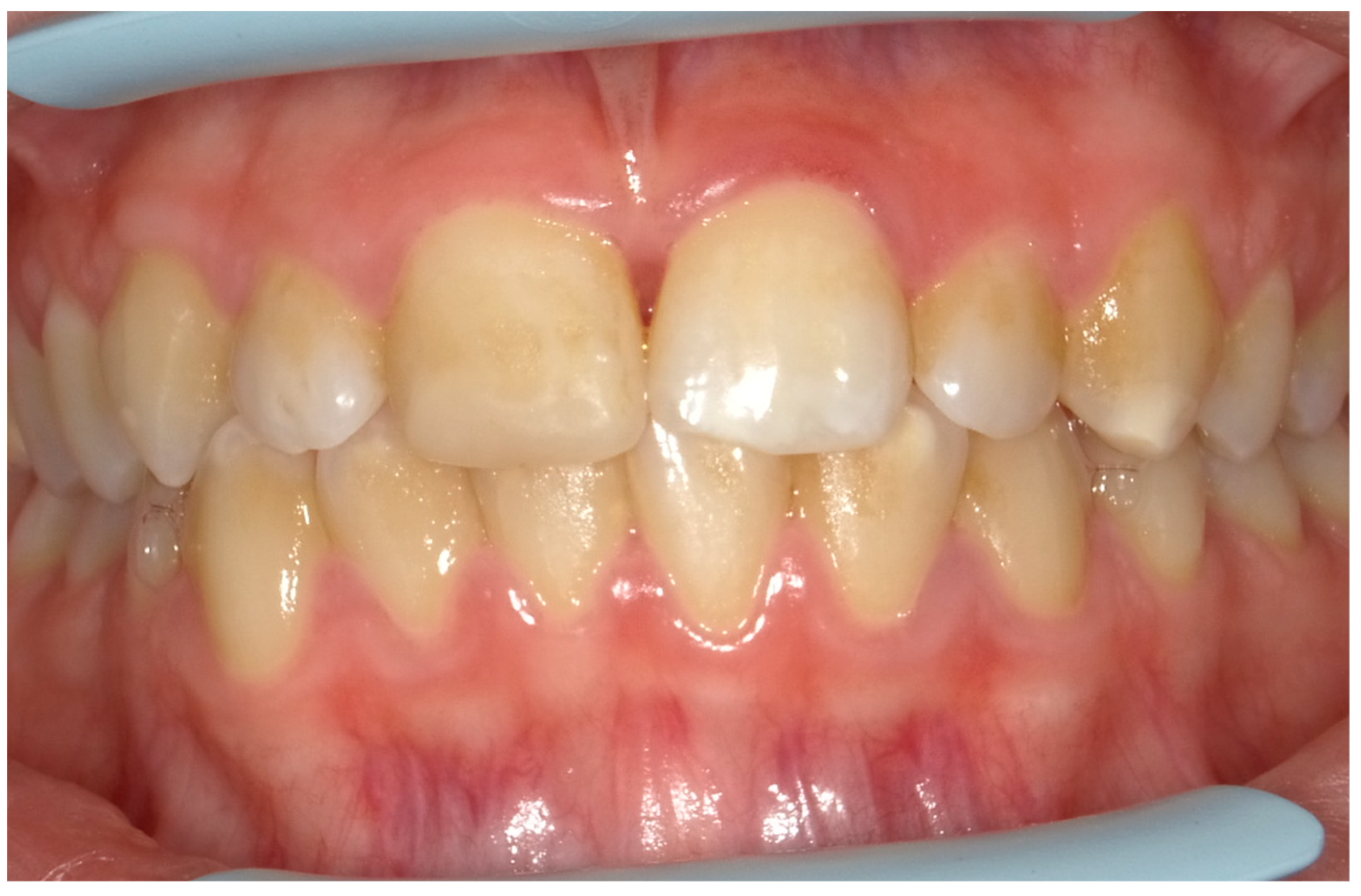
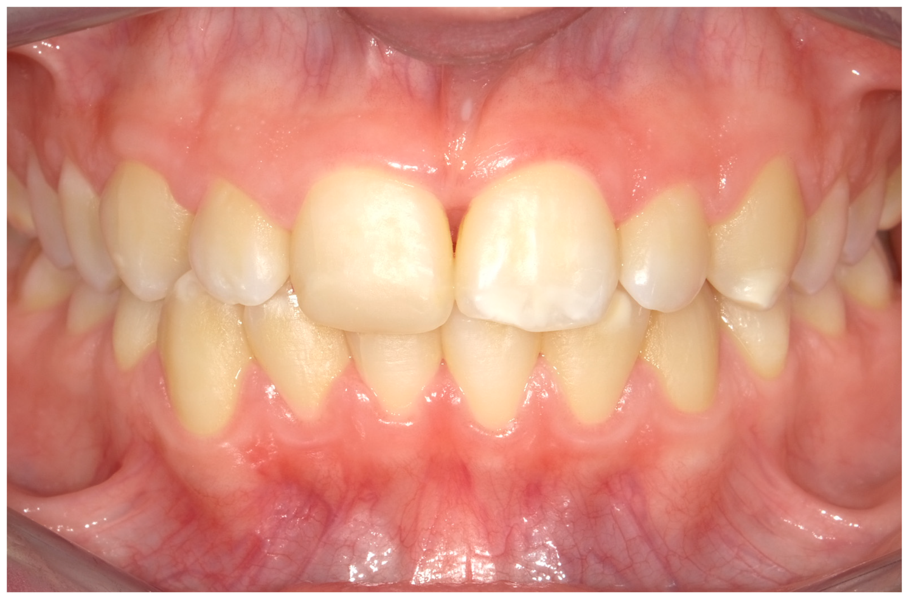
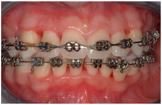
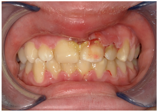
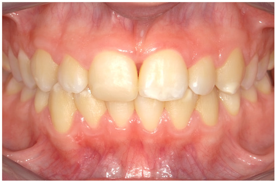
4.1. Case 1
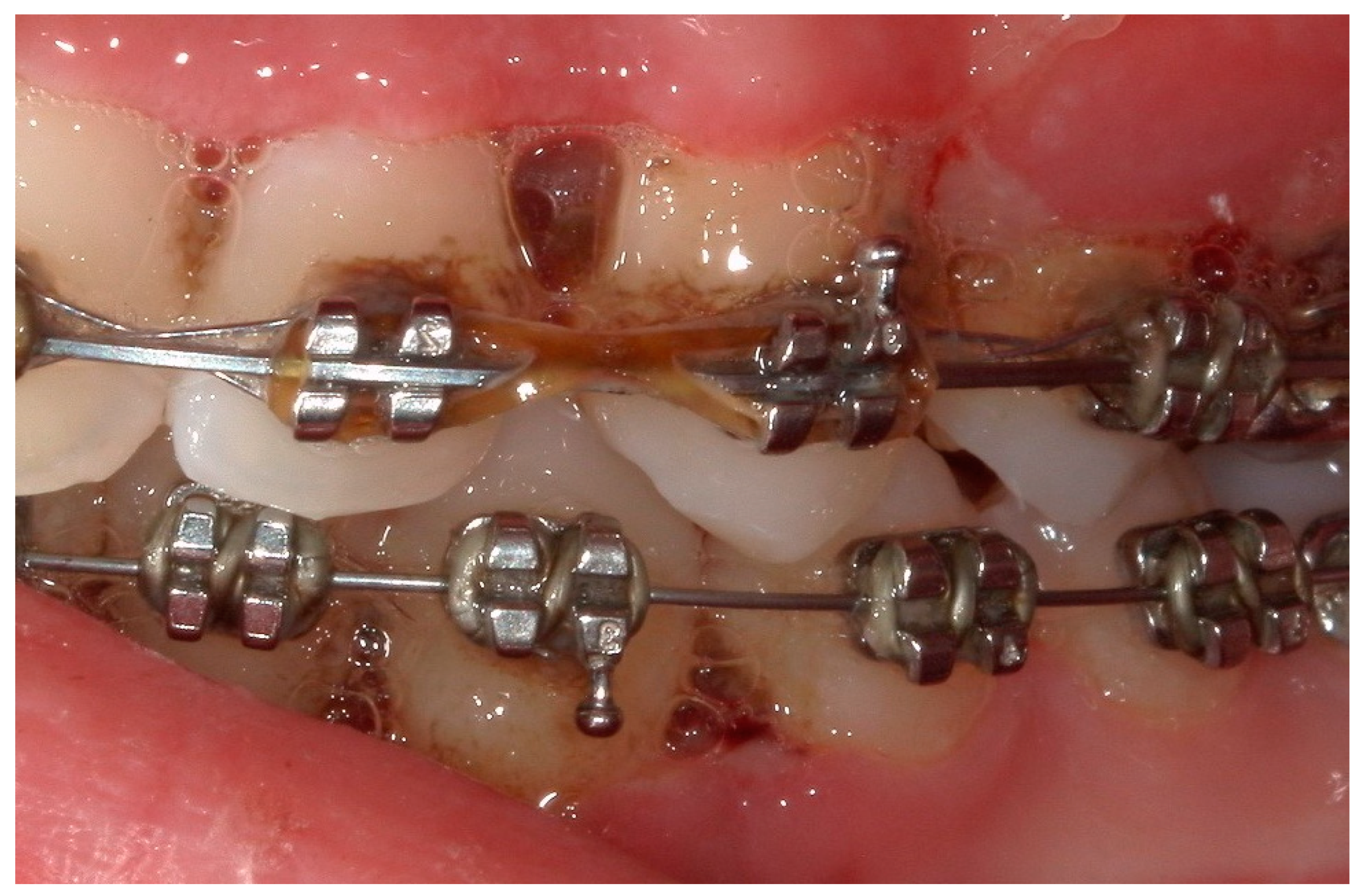
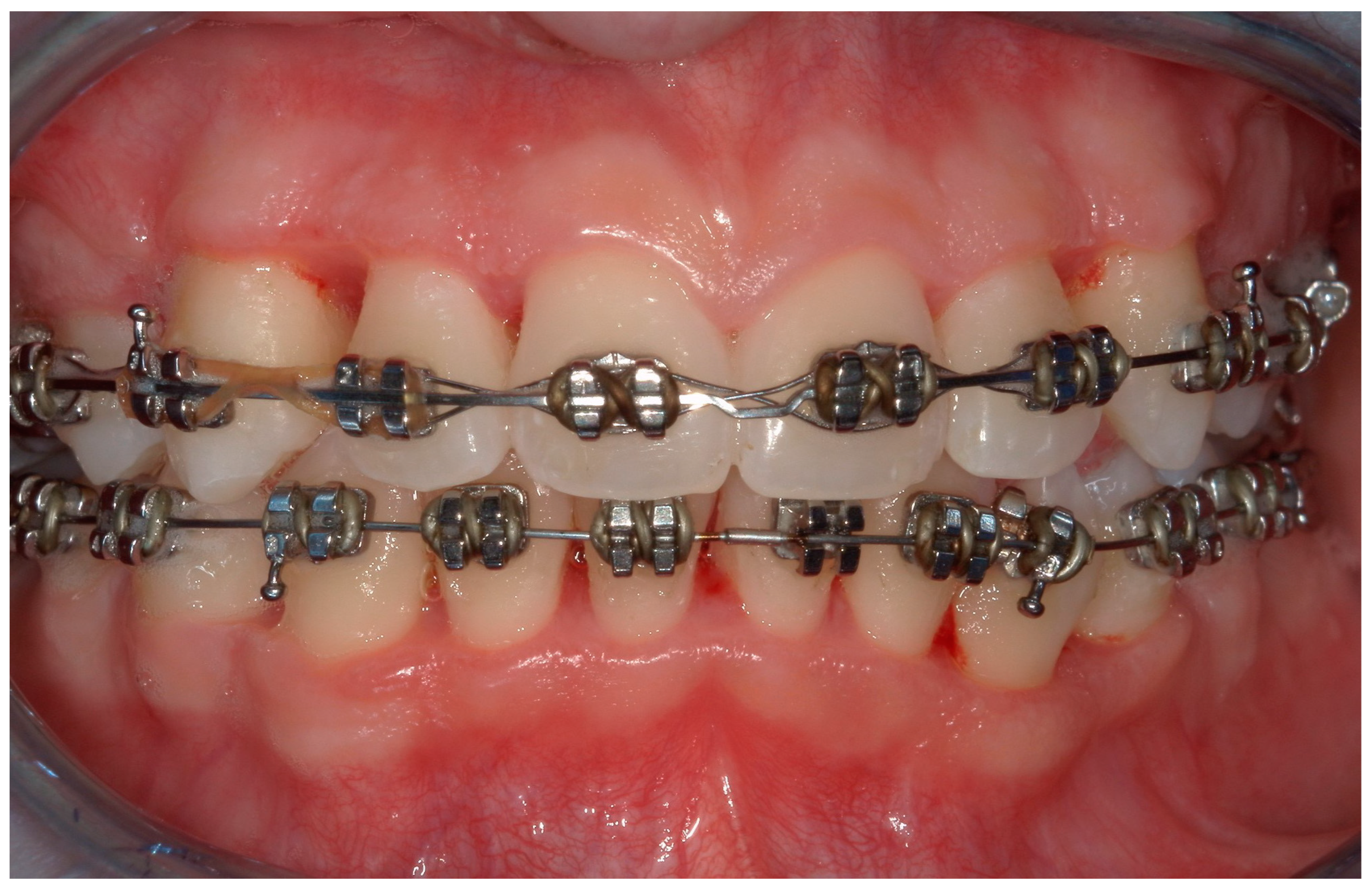
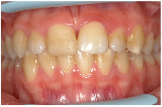
4.2. Case 2
5. Discussion
6. Conclusions
Author Contributions
Funding
Institutional Review Board Statement
Informed Consent Statement
Data Availability Statement
Conflicts of Interest
References
- Papapanou, P.N.; Sanz, M.; Buduneli, N.; Dietrich, T.; Feres, M.; Fine, D.H.; Flemmig, T.F.; Garcia, R.; Giannobile, W.V.; Graziani, F.; et al. Periodontitis: Consensus report of workgroup 2 of the 2017 World Workshop on the Classification of Periodontal and Peri-Implant Diseases and Conditions. J. Periodontol. 2018, 89 (Suppl. 1), S173–S182. [Google Scholar] [PubMed]
- Tkacz, K.; Gill, J.; McLernon, M. Necrotising periodontal diseases and alcohol misuse—A cause of osteonecrosis? Br. Dent. J. 2021, 231, 225–231. [Google Scholar] [PubMed]
- Eley, B.M.; Soory, M.; Manson, J.D. Chapter 25: Acutenecrotising ulcerative gingivitis. In Periodontics, 6th ed.; Eley, B.M., Soory, M., Manson, J.D., Eds.; Saunders: Edinburgh, UK; Elsevier: New York, NY, USA, 2010; pp. 376–379. [Google Scholar]
- Malek, R.; Gharibi, A.; Khlil, N.; Kissa, J. Necrotizing Ulcerative Gingivitis. Contemp. Clin. Dent. 2017, 8, 496–500. [Google Scholar] [PubMed]
- Dufty, J.; Gkranias, N.; Donos, N. Necrotising Ulcerative Gingivitis: A Literature Review. Oral Health Prev. Dent. 2017, 15, 321–327. [Google Scholar]
- Gasner, N.S.; Schure, R.S. Necrotizing Periodontal Diseases. In StatPearls; StatPearls Publishing: Treasure Island, FL, USA, 2024. [Google Scholar]
- Horning, G.M.; Cohen, M.E. Necrotizing ulcerative gingivitis, periodontitis, and stomatitis: Clinical staging and predisposing factors. J. Periodontol. 1995, 66, 990–998. [Google Scholar]
- Wade, D.N.; Kerns, D.G. Acute necrotizing ulcerative gingivitis-periodontitis: A literature review. Mil. Med. 1998, 163, 337–342. [Google Scholar]
- Sangani, I.; Watt, E.; Cross, D. Necrotizing ulcerative gingivitis and the orthodontic patient: A case series. J. Orthod. 2013, 40, 77–80. [Google Scholar]
- Herrera, D.; Alonso, B.; de Arriba, L.; Santa Cruz, I.; Serrano, C.; Sanz, M. Acute periodontal lesions. Periodontol. 2000 2014, 65, 149–177. [Google Scholar]
- Holmstrup, P.; Westergaard, J. Clinical Periodontology and Implant Dentistry; Blackwell Publishing: Hoboken, NJ, USA, 2008; pp. 459–474. [Google Scholar]
- British Society of Periodontology–Young Practitioners. Guide to Periodontology; Johnson and Johnson: New Brunswick, NJ, USA, 2011; pp. 4–5. [Google Scholar]
- Todescan, S.; Nizar, R. Managing patients with necrotizing ulcerative periodontitis. J. Can. Dent. Assoc. 2013, 79, d44. [Google Scholar]
- Martos, J.; Ahn Pinto, K.V.; Feijó Miguelis, T.M.; Cavalcanti, M.C.; César Neto, J.B. Clinical treatment of necrotizing ulcerative gingivitis: A case report with 10-year follow-up. Gen. Dent. 2019, 67, 62–65. [Google Scholar]
- Atout, R.N.; Todescan, S. Managing patients with necrotizing ulcerative gingivitis. J. Can. Dent. Assoc. 2013, 79, d46. [Google Scholar] [PubMed]
- Arvanitidou, I.E.; Nikitakis, N.G.; Sklavounou, A. Oral manifestations of T-cell large granular lymphocytic leukemia: A case report. J. Oral Maxillofac. Res. 2011, 2, e4. [Google Scholar]
- Abazi, B.; Mihani, J. Prescription of Antibiotics for Periodontal Disease Among Dentists in the Region of Tirana. Open Access Maced. J. Med. Sci. 2018, 6, 1486–1491. [Google Scholar] [PubMed]
- Phiri, R.; Feller, L.; Blignaut, E. The severity, extent and recurrence of necrotizing periodontal disease in relation to HIV status and CD4+ T cell count. J. Int. Acad. Periodontol. 2010, 12, 98–103. [Google Scholar] [PubMed]
- Clerehugh, V. Periodontal diseases in children and adolescents. Br. Dent. J. 2008, 204, 469–471. [Google Scholar]
- Umeizudike, K.A.; Savage, K.O.; Ayanbadejo, P.O.; Akanmu, S.A. Severe presentation of necrotizing ulcerative periodontitis in a Nigerian HIV-positive patient: A case report. Med. Princ. Pract. 2011, 20, 374–376. [Google Scholar]
- Lang, N.P.; Lindhe, J. (Eds.) Clinical Periodontology and Implant Dentistry, 2 Volume Set, 6th ed.; John Wiley & Sons: Chichester, UK, 2015. [Google Scholar]
- Srirangarajan, S.; Shetty, S.; Prasanna, D. Necrotic ulcerative changes in Fanconi’s anaemia: A case report. Oral Health Prev. Dent. 2011, 9, 91–97. [Google Scholar]
- Studen-Pavlovich, D.; Ranalli, D.N. Periodontal and soft tissue prevention strategies for the adolescent dental patient. Dent. Clin. N. Am. 2006, 50, 51–67. [Google Scholar]
- Califano, J.V.; Research, Science and Therapy Committee American Academy of Periodontology. Position paper: Periodontal diseases of children and adolescents. J. Periodontol. 2003, 74, 1696–1704. [Google Scholar]
- Dar-Odeh, N.; Fadel, H.T.; Abu-Hammad, S.; Abdeljawad, R.; Abu-Hammad, O.A. Antibiotic Prescribing for Oro-Facial Infections in the Paediatric Outpatient: A Review. Antibiotics 2018, 7, 38. [Google Scholar] [CrossRef]
- Bermejo-Fenoll, A.; Sánchez-Pérez, A. Necrotising periodontal diseases. Med. Oral Patol. Oral Cir. Bucal 2004, 9 (Suppl. S114–S119), 108–114. [Google Scholar]
- Marty, M.; Palmieri, J.; Noirrit-Esclassan, E.; Vaysse, F.; Bailleul-Forestier, I. Necrotizing Periodontal Diseases in Children: A Literature Review and Adjustment of Treatment. J. Trop. Pediatr. 2016, 62, 331–337. [Google Scholar] [PubMed]
- Burns, D. Early problems in the analysis and the determination of ozone. Fresenius J. Anal. Chem. 1997, 357, 178–183. [Google Scholar]
- Saini, R. Ozone therapy in dentistry: A strategic review. J. Nat. Sci. Biol. Med. 2011, 2, 151–153. [Google Scholar] [PubMed]
- Nogales, C.G.; Ferrari, P.H.; Kantorovich, E.O.; Lage-Marques, J.L. Ozone therapy in medicine and dentistry. J. Contemp. Dent. Pract. 2008, 9, 75–84. [Google Scholar]
- Suh, Y.; Patel, S.; Kaitlyn, R.; Gandhi, J.; Joshi, G.; Smith, N.L.; Khan, S.A. Clinical utility of ozone therapy in dental and oral medicine. Med. Gas. Res. 2019, 9, 163–167. [Google Scholar]
- Louw, A.; Diener, I.; Butler, D.S.; Puentedura, E.J. The effect of neuroscience education on pain, disability, anxiety, and stress in chronic musculoskeletal pain. Arch. Phys. Med. Rehabil. 2011, 92, 2041–2056. [Google Scholar]
- Elvis, A.M.; Ekta, J.S. Ozone therapy: A clinical review. J. Nat. Sci. Biol. Med. 2011, 2, 66–70. [Google Scholar]
- Barczyk, I.; Masłyk, D.; Walczuk, N.; Kijak, K.; Skomro, P.; Gronwald, H.; Pawlak, M.; Rusińska, A.; Sadowska, N.; Gronwald, B.; et al. Potential Clinical Applications of Ozone Therapy in Dental Specialties-A Literature Review, Supported by Own Observations. Int. J. Environ. Res. Public Health 2023, 20, 2048. [Google Scholar]
- Moraschini, V.; Kischinhevsky, I.C.C.; Calasans-Maia, M.D.; Shibli, J.A.; Sartoretto, S.C.; Figueredo, C.M.; Granjeiro, J.M. Ineffectiveness of ozone therapy in nonsurgical periodontal treatment: A systematic review and metaanalysis of randomized clinical trials. Clin. Oral Investig. 2020, 24, 1877–1888. [Google Scholar]
- Seydanur Dengizek, E.; Serkan, D.; Abubekir, E.; Aysun Bay, K.; Onder, O.; Arife, C. Evaluating clinical and laboratory effects of ozone in non-surgical periodontal treatment: A randomized controlled trial. J. Appl. Oral Sci. 2019, 27, e20180108. [Google Scholar]
- Isler, S.C.; Unsal, B.; Soysal, F.; Ozcan, G.; Peker, E.; Karaca, I.R. The effects of ozone therapy as an adjunct to the surgical treatment of peri-implantitis. J. Periodontal Implant. Sci. 2018, 48, 136–151. [Google Scholar]
- McKenna, D.F.; Borzabadi-Farahani, A.; Lynch, E. The effect of subgingival ozone and/or hydrogen peroxide on the development of peri-implant mucositis: A double-blind randomized controlled trial. Int. J. Oral Maxillofac. Implants 2013, 28, 1483–1489. [Google Scholar] [PubMed]
- Dukić, W.; Dukić, O.L.; Milardović, S. The influence of Healozone on microleakage and fissure penetration of different sealing materials. Coll. Antropol. 2009, 33, 157–162. [Google Scholar] [PubMed]
- Mummolo, S.; Cirillo, E.; Ciribè, M.; Manenti, R.J.; Galeotti, A. Periodontology. Part 1: Gingivitis in adolescence. Review of the literature and case reports. Eur. J. Paediatr. Dent. 2022, 23, 79–82. [Google Scholar] [PubMed]
- Aromataris, E.; Lockwood, C.; Porritt, K.; Pilla, B.; Jordan, Z. (Eds.) JBI Manual for Evidence Synthesis; JBI, 2024; Available online: https://synthesismanual.jbi.global (accessed on 1 June 2024).
- FDI World Dental Federation ISO-3950. Available online: https://en.wikipedia.org/wiki/FDI_World_Dental_Federation_notation (accessed on 1 June 2024).
- Krol, D.M.; Whelan, K.; Section on Oral Health. Maintaining and Improving the Oral Health of Young Children. Pediatrics 2023, 151, e2022060417. [Google Scholar] [CrossRef]
- Montanari Vergallo, G.; Zaami, S. Guidelines and best practices: Remarks on the Gelli-Bianco law. Clin. Ter. 2018, 169, e82–e85. [Google Scholar] [CrossRef]
- Precious, D.S. In exhortation of advocacy: We can do better. Oral Surg. Oral Med. Oral Pathol. Oral Radiol. 2013, 115, 565. [Google Scholar] [CrossRef]
- Miyairi, I.; Franklin, J.A.; Andreansky, M.; Knapp, K.M.; Hayden, R.T. Acute necrotizing ulcerative gingivitis and bacteremia caused by Stenotrophomonas maltophilia in an immunocompromised host. Pediatr. Infect. Dis. J. 2005, 24, 181–183. [Google Scholar]
- Gaggl, A.J.; Rainer, H.; Grund, E.; Chiari, F.M. Local oxygen therapy for treating acute necrotizing periodontal disease in smokers. J. Periodontol. 2006, 77, 31–38. [Google Scholar]
- Rapone, B.; Ferrara, E.; Santacroce, L.; Topi, S.; Gnoni, A.; Dipalma, G.; Mancini, A.; Di Domenico, M.; Tartaglia, G.M.; Scarano, A.; et al. The Gaseous Ozone Therapy as a Promising Antiseptic Adjuvant of Periodontal Treatment: A Randomized Controlled Clinical Trial. Int. J. Environ. Res. Public Health 2022, 19, 985. [Google Scholar] [CrossRef] [PubMed]

















| Author, Year | Study Design | Gender | Smoke (Yes/No) | Systemic Diseases | Age | Mechanical Therapy | Local Antiseptics | Antibiotics | Follow-Up |
|---|---|---|---|---|---|---|---|---|---|
| Sangani, 2013 [9] | Case Report | 3 female, 1 male | 2 no, 2 yes | No | 15/18 yo | Classic signs: local debridement Mild signs: local debridement | Classic signs: chlorhexidine mouthwash Mild signs: chlorhexidine mouthwash | Classic signs: metronidazole tds 200 mg 3 days Mild signs: / | Classic signs: review 1 week Mild signs: review 1–2 week |
| Martos, 2018 [14] | Case Report | Male | No | No | 18 yo | Initial phase of supragingival hard and soft deposits removal and successive subgingival scaling. | Chlorhexidine gluconate 0.12%: mouth rinse twice a day for 30 days. | N/A | Weekly throughout treatment, monthly for the first 6 months post-treatment, and 2–3 times a year during the periodontal maintenance therapy. |
| Studen-Pavlovich, 2006 [23] | Guideline | N/A | N/A | N/A | Adolescents | Deplaquing and debridement with ultrasonic scaler with water spray to minimize discomfort to the patient. | Brushing with a soft bristle toothbrush. Rinse with a 1.5% hydrogen peroxide or a 0.2% chlorhexidine gluconate solution. | Fever and systemic symptoms: penicillin or metronidazole. | Advised |
| Califano, 2003 [24] | Guideline | N/A | N/A | N/A | Children and Adolescents | Mechanical debridement with ultrasonics. | N/A | If the patient is febrile: metronidazole and penicillin. | Advised |
| Dar-Odeh, 2018 [25] | Review | N/A | N/A | N/A | Children and Adolescents | Gentle deplaquing and debridement | Antiseptic mouth washes and oxygen–releasing agents. | Systemic signs and symptoms: Amoxicillin (3 days): Children > 3 months and <40 kg: 20–40 mg/kg/day in divided 8 hourly doses OR 25–45 mg/kg/day in divided 12 hourly doses. Children > 40 kg: 250–500 mg 8 hourly OR 500–875 mg 12 hourly. | N/A |
| Bermejo-Fenoll, 2004 [26] | Guideline | N/A | N/A | N/A | Children and Adolescents | Surgical and mechanical debridement of the gingival lesions. | Mouth rinses with 0.12% chlorhexidine. Brushing and dental floss. | Intense pain: minor analgesics. Metronidazole: 250 mg every 8 h for 10 days. Other antibiotics: penicillin and clindamycin and amoxicillin/ clavulanic acid. | N/A |
| Marty, 2016 [27] | Review | N/A | No | N/A | Children | Postponed mechanical therapies to avoid bacteremia. Debridement under local anesthesia and conscious sedation or general anesthesia. | Gel with chlorhexidine and 3% H2O2 or topic use of 3% H2O2 diluted by half with water. Application of sterile compresses dipped in hydrogen peroxide. | General involvement: three divided doses of metronidazole from 30 to 50 mg/kg/day for 7–10 days. | Regularly, for at least 1 year. |
Disclaimer/Publisher’s Note: The statements, opinions and data contained in all publications are solely those of the individual author(s) and contributor(s) and not of MDPI and/or the editor(s). MDPI and/or the editor(s) disclaim responsibility for any injury to people or property resulting from any ideas, methods, instructions or products referred to in the content. |
© 2024 by the authors. Licensee MDPI, Basel, Switzerland. This article is an open access article distributed under the terms and conditions of the Creative Commons Attribution (CC BY) license (https://creativecommons.org/licenses/by/4.0/).
Share and Cite
Ciribè, M.; Cirillo, E.; Arduino, P.G.; Putrino, A.; Caputo, M.; Zaami, S.; Bompiani, G.; Galeotti, A. The Management of Necrotizing Gingivitis in Paediatric Patients: A Scoping Review and Two Case Reports. Children 2024, 11, 1019. https://doi.org/10.3390/children11081019
Ciribè M, Cirillo E, Arduino PG, Putrino A, Caputo M, Zaami S, Bompiani G, Galeotti A. The Management of Necrotizing Gingivitis in Paediatric Patients: A Scoping Review and Two Case Reports. Children. 2024; 11(8):1019. https://doi.org/10.3390/children11081019
Chicago/Turabian StyleCiribè, Massimiliano, Erika Cirillo, Paolo Giacomo Arduino, Alessandra Putrino, Martina Caputo, Simona Zaami, Gaia Bompiani, and Angela Galeotti. 2024. "The Management of Necrotizing Gingivitis in Paediatric Patients: A Scoping Review and Two Case Reports" Children 11, no. 8: 1019. https://doi.org/10.3390/children11081019
APA StyleCiribè, M., Cirillo, E., Arduino, P. G., Putrino, A., Caputo, M., Zaami, S., Bompiani, G., & Galeotti, A. (2024). The Management of Necrotizing Gingivitis in Paediatric Patients: A Scoping Review and Two Case Reports. Children, 11(8), 1019. https://doi.org/10.3390/children11081019

