Life-Threatening Respiratory Complications in Two Young Children with Extreme Obesity
Abstract
1. Introduction
2. Clinical Cases
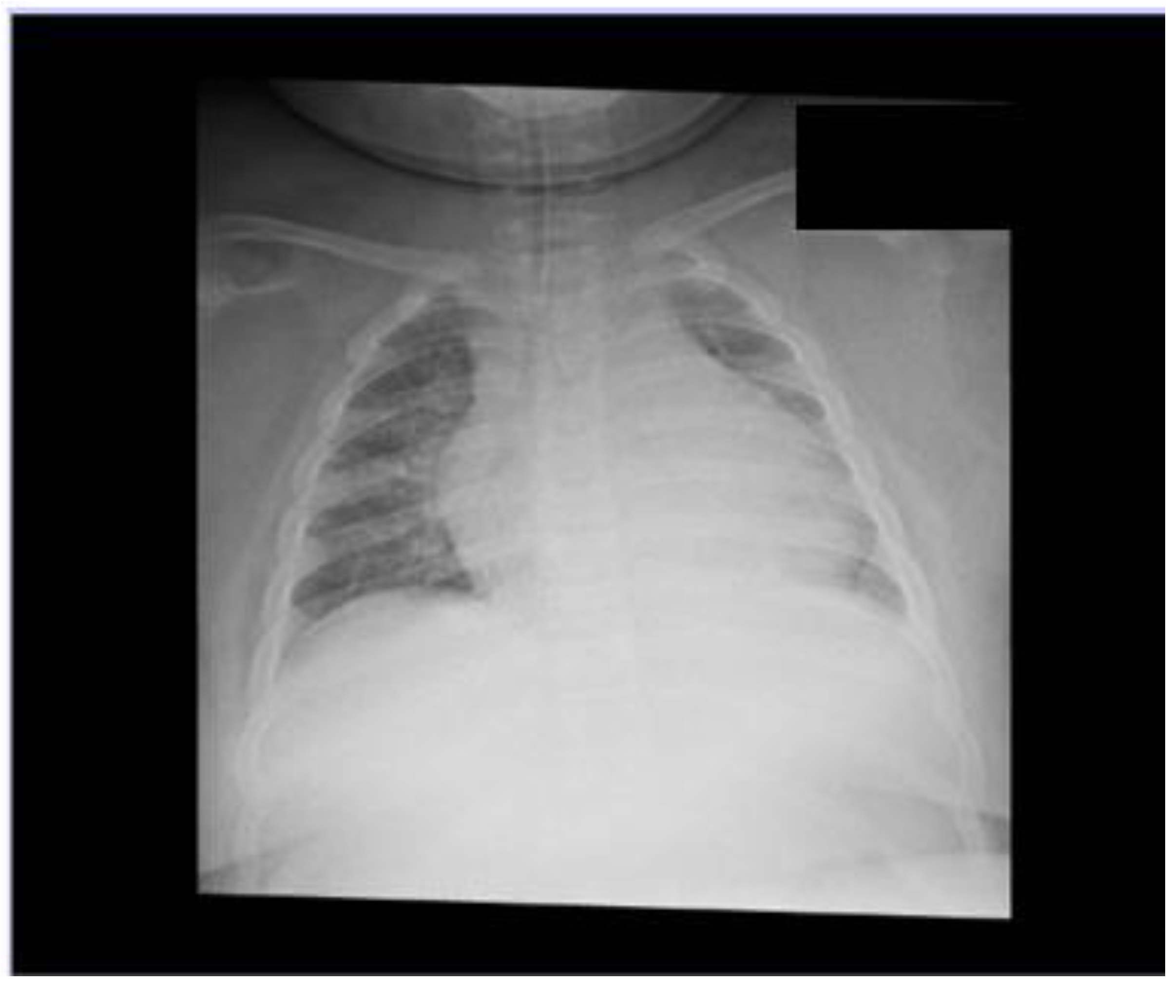
2.1. First Clinical Case
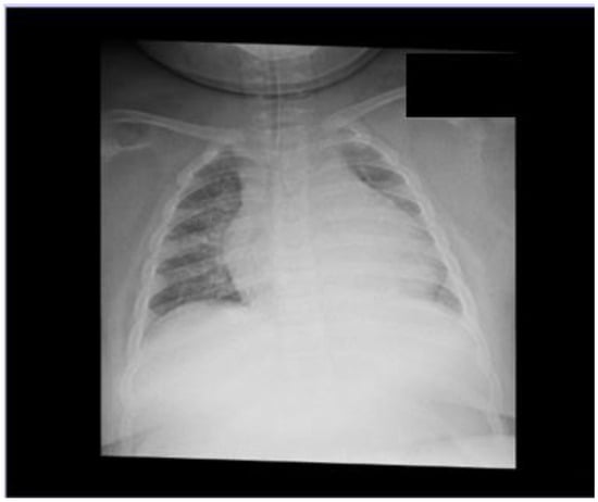
2.2. Second Clinical Case
3. Discussion
4. Conclusions
Author Contributions
Funding
Institutional Review Board Statement
Informed Consent Statement
Data Availability Statement
Conflicts of Interest
References
- Sahoo, K.; Sahoo, B.; Choudhury, A.K.; Sofi, N.Y.; Kumar, R.; Bhadoria, A.S. Childhood obesity: Causes and consequences. J. Family Med. Prim. Care 2015, 4, 187–192. [Google Scholar] [CrossRef] [PubMed]
 - WHO: Obesity. Available online: https://www.who.int/health-topics/obesity#tab=tab_1 (accessed on 28 October 2024).
 - Kułaga, Z.; Litwin, M.; Tkaczyk, M.; Palczewska, I.; Zajączkowska, M.; Zwolińska, D.; Krynicki, T.; Wasilewska, A.; Moczulska, A.; Morawiec-Knysak, A.; et al. Polish 2010 growth references for school-aged children and adolescents. Eur. J. Pediatr. 2011, 170, 599–609. [Google Scholar] [CrossRef] [PubMed] [PubMed Central]
 - Di-Cesare, M.; Sorić, M.; Bovet, P.; Miranda, J.J.; Bhutta, Z.; Stevens, G.A.; Laxmaiah, A.; Kengne, A.P.; Bentham, J. The epidemiological burden of obesity in childhood: A worldwide epidemic requiring urgent action. BMC Med. 2019, 17, 212. [Google Scholar] [CrossRef] [PubMed] [PubMed Central]
 - WHO: Obesity and Overweight. Available online: https://www.who.int/news-room/fact-sheets/detail/obesity-and-overweight (accessed on 28 October 2024).
 - Mazur, A.; Zachurzok, A.; Baran, J.; Dereń, K.; Łuszczki, E.; Weres, A.; Wyszyńska, J.; Dylczyk, J.; Szczudlik, E.; Drożdż, D.; et al. Otyłość dziecięca: Stanowisko Polskiego Towarzystwa Pediatrycznego, Polskiego Towarzystwa Otyłości Dziecięcej, Polskiego Towarzystwa Endokrynologii i Diabetologii Dziecięcej, Kolegium Lekarzy Rodzinnych w Polsce oraz Polskiego Towarzystwa Badań nad Otyłością. Med. Prakt. Pediatr. 2023, 1, 1–43. [Google Scholar]
 - Holm, V.A.; Cassidy, S.B.; Butler, M.G.; Hanchett, J.M.; Greenswag, L.R.; Whitman, B.Y.; Greenberg, F. Prader-Willi syndrome: Consensus diagnostic criteria. Pediatrics 1993, 91, 398–402. [Google Scholar] [CrossRef] [PubMed] [PubMed Central]
 - Valerio, G.; Maffeis, C.; Saggese, G.; Ambruzzi, M.A.; Balsamo, A.; Bellone, S.; Bergamini, M.; Bernasconi, S.; Bona, G.; Calcaterra, V.; et al. Diagnosis, treatment and prevention of pediatric obesity: Consensus position statement of the Italian Society for Pediatric Endocrinology and Diabetology and the Italian Society of Pediatrics. Ital. J. Pediatr. 2018, 44, 88. [Google Scholar] [CrossRef] [PubMed] [PubMed Central]
 - Apperley, L.J.; Blackburn, J.; Erlandson-Parry, K.; Gait, L.; Laing, P.; Senniappan, S. Childhood obesity: A review of current and future management options. Clin. Endocrinol. 2022, 96, 288–301. [Google Scholar] [CrossRef] [PubMed]
 - Summary of Product Characteristics. Available online: https://www.ema.europa.eu/en/documents/product-information/saxenda-epar-product-information_en.pdf (accessed on 28 November 2024).
 - Michalsky, M.; Reichard, K.; Inge, T.; Pratt, J.; Lenders, C. American Society for Metabolic and Bariatric Surgery. ASMBS pediatric committee best practice guidelines. Surg. Obes. Relat. Dis. 2012, 8, 1–7. [Google Scholar] [CrossRef] [PubMed]
 - Lee, M.H.; Sin, S.; Lee, S.; Wagshul, M.E.; Zimmerman, M.E.; Arens, R. Cortical thickness and hippocampal volume in adolescent children with obstructive sleep apnea. Sleep 2023, 46, zsac201. [Google Scholar] [CrossRef] [PubMed] [PubMed Central]
 - Medycyna Praktyczna. 700 Tys. Polaków Cierpi z Powodu Otyłości Olbrzymiej. 2021. Available online: https://www.mp.pl/pacjent/dieta/aktualnosci/283622,700-tys-polakow-cierpi-z-powodu-otylosci-olbrzymiej (accessed on 10 May 2024).
 - W Nowym Kształcie. Poland. 2024. Available online: https://diabetyk.org.pl/aplikacja-w-nowym-ksztalcie-mobilny-asystent-dla-chorujacych-na-otylosc/ (accessed on 10 May 2024).
 - Leung, A.K.C.; Wong, A.H.C.; Hon, K.L. Childhood Obesity: An Updated Review. Curr. Pediatr. Rev. 2024, 20, 2–26. [Google Scholar] [CrossRef] [PubMed]
 - Kanellopoulou, A.; Antonogeorgos, G.; Douros, K.; Panagiotakos, D.B. The Association between Obesity and Depression among Children and the Role of Family: A Systematic Review. Children 2022, 9, 1244. [Google Scholar] [CrossRef] [PubMed] [PubMed Central]
 - Thenappan, A.; Nadler, E. Bariatric Surgery in Children: Indications, Types, and Outcomes. Curr. Gastroenterol. Rep. 2019, 21, 24. [Google Scholar] [CrossRef] [PubMed]
 - López-Contreras, I.N.; Vilchis-Gil, J.; Klünder-Klünder, M.; Villalpando-Carrión, S.; Flores-Huerta, S. Dietary habits and metabolic response improve in obese children whose mothers received an intervention to promote healthy eating: Randomized clinical trial. BMC Public Health 2020, 20, 1240. [Google Scholar] [CrossRef] [PubMed] [PubMed Central]
 - Ratajczak, J.; Raducha, D.; Horodnicka-Józwa, A.; Kilian, A.; Demiaszkiewicz, M.; Bartoszewicz, K.; Jackowski, T.; Szmit-Domagalska, J.; Biczysko-Mokosa, A.; Marcinkiewicz, K.; et al. Assessment of physical fitness of 8 and 9-year-old children from Szczecin,Poland, involved in the obesity prevention program—Pilot study. Pediatr. Endocrinol. Diabetes Metab. 2018, 24, 65–71. [Google Scholar] [CrossRef] [PubMed]
 - Schienkiewitz, A.; Brettschneider, A.K.; Damerow, S.; Rosario, A.S. Overweight and obesity among children and adolescents in Germany. Results of the cross-sectional KiGGS Wave 2 study and trends. J. Health Monit. 2018, 3, 15–22. [Google Scholar] [CrossRef] [PubMed] [PubMed Central]
 - Cuda, S.E.; Kharofa, R.; Williams, D.R.; O’Hara, V.; Conroy, R.; Karjoo, S.; Paisley, J.; Censani, M.; Browne, N.T. Metabolic, behavioral health, and disordered eating comorbidities associated with obesity in pediatric patients: An Obesity Medical Association (OMA) Clinical Practice Statement 2022. Obes. Pillars 2022, 3, 100031. [Google Scholar] [CrossRef] [PubMed] [PubMed Central]
 - Atanelov, Z.; Aina, T.; Smith, T.; Rebstock, S.E. Nasopharyngeal Airway. In StatPearls [Internet]; StatPearls Publishing: Treasure Island, FL, USA, 2024. [Google Scholar] [PubMed]
 - Abramo, T.; Williams, A.; Mushtaq, S.; Meredith, M.; Sepaule, R.; Crossman, K.; Burney Jones, C.; Godbold, S.; Hu, Z.; Nick, T. Paediatric ED BiPAP continuous quality improvement programme with patient analysis: 2005–2013. BMJ Open 2017, 7, e011845. [Google Scholar] [CrossRef] [PubMed] [PubMed Central]
 - Lindberg, L.; Danielsson, P.; Persson, M.; Marcus, C.; Hagman, E. Association of childhood obesity with risk of early all-cause and cause-specific mortality: A Swedish prospective cohort study. PLoS Med. 2020, 17, e1003078. [Google Scholar] [CrossRef] [PubMed] [PubMed Central]
 - Jayaraman, R.; Reinier, K.; Nair, S.; Aro, A.L.; Uy-Evanado, A.; Rusinaru, C.; Stecker, E.C.; Gunson, K.; Jui, J.; Chugh, S.S. Risk Factors of Sudden Cardiac Death in the Young: Multiple-Year Community-Wide Assessment. Circulation 2018, 137, 1561–1570. [Google Scholar] [CrossRef] [PubMed] [PubMed Central]
 - Eiholzer, U. Deaths in Children with Prader-Willi Syndrome. Horm. Res. 2005, 63, 33–39. [Google Scholar] [CrossRef] [PubMed]
 

Disclaimer/Publisher’s Note: The statements, opinions and data contained in all publications are solely those of the individual author(s) and contributor(s) and not of MDPI and/or the editor(s). MDPI and/or the editor(s) disclaim responsibility for any injury to people or property resulting from any ideas, methods, instructions or products referred to in the content.  | 
© 2024 by the authors. Licensee MDPI, Basel, Switzerland. This article is an open access article distributed under the terms and conditions of the Creative Commons Attribution (CC BY) license (https://creativecommons.org/licenses/by/4.0/).
Share and Cite
Wielopolska, J.; Górnostaj, K.; Olejnik-Wojciechowska, J.; Kawczyński, M.; Radomska, K.; Petriczko, E. Life-Threatening Respiratory Complications in Two Young Children with Extreme Obesity. Children 2024, 11, 1509. https://doi.org/10.3390/children11121509
Wielopolska J, Górnostaj K, Olejnik-Wojciechowska J, Kawczyński M, Radomska K, Petriczko E. Life-Threatening Respiratory Complications in Two Young Children with Extreme Obesity. Children. 2024; 11(12):1509. https://doi.org/10.3390/children11121509
Chicago/Turabian StyleWielopolska, Joanna, Klaudia Górnostaj, Joanna Olejnik-Wojciechowska, Maciej Kawczyński, Katarzyna Radomska, and Elżbieta Petriczko. 2024. "Life-Threatening Respiratory Complications in Two Young Children with Extreme Obesity" Children 11, no. 12: 1509. https://doi.org/10.3390/children11121509
APA StyleWielopolska, J., Górnostaj, K., Olejnik-Wojciechowska, J., Kawczyński, M., Radomska, K., & Petriczko, E. (2024). Life-Threatening Respiratory Complications in Two Young Children with Extreme Obesity. Children, 11(12), 1509. https://doi.org/10.3390/children11121509
        
