A Case of Sotos Syndrome in a Preterm Infant with Severe Bronchopulmonary Dysplasia and Congenital Heart Disease
Abstract
1. Introduction
2. Case Report
2.1. Birth History
2.2. Clinical Manifestation
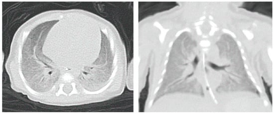
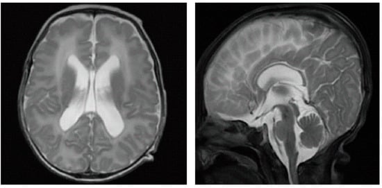
2.3. Accessory Examination
2.4. Follow-Up
3. Discussion
4. Conclusions
Author Contributions
Funding
Institutional Review Board Statement
Informed Consent Statement
Data Availability Statement
Conflicts of Interest
References
- Sotos, J.F.; Dodge, P.R.; Muirhead, D.; Crawford, J.D.; Talbot, N.B. Cerebral gigantism in childhood: A syndrome of excessively rapid growth with acromegalic featuresand a nonprogressive neurologic disorder. N. Engl. J. Med. 1964, 271, 109–116. [Google Scholar] [CrossRef]
- Tatton-Brown, K.; Cole, T.R.P.; Rahman, N. Sotos Syndrome. In GeneReviews® [Internet]; Adam, M.P., Everman, D.B., Mirzaa, G.M., Pagon, R.A., Wallace, S.E., Bean, L.J.H., Gripp, K.W., Amemiya, A., Eds.; University of Washington: Seattle, WA, USA, 2004; pp. 1993–2022. [Google Scholar]
- Tatton-Brown, K.; Rahman, N. Sotos syndrome. Eur. J. Hum. Genet. 2007, 15, 264–271. [Google Scholar] [CrossRef] [PubMed]
- Kurotaki, N.; Imaizumi, K.; Harada, N.; Masuno, M.; Kondoh, T.; Nagai, T.; Ohashi, H.; Naritomi, K.; Tsukahara, M.; Makita, Y.; et al. Haploinsufficiency of NSD1 causes Sotos syndrome. Nat. Genet. 2002, 30, 365–366. [Google Scholar] [CrossRef]
- Visser, R.; Matsumoto, N. Genetics of Sotos syndrome. Curr. Opin. Pediatr. 2003, 15, 598–606. [Google Scholar] [CrossRef]
- Tatton-Brown, K.; Douglas, J.; Coleman, K.; Baujat, G.; Cole, T.R.; Das, S.; Horn, D.; Hughes, H.E.; Temple, I.K.; Faravelli, F.; et al. Genotype-phenotype associations in Sotos syndrome: An analysis of 266 individuals with NSD1 aberrations. Am. J. Hum. Genet. 2005, 77, 193–204. [Google Scholar] [CrossRef] [PubMed]
- Waggoner, D.J.; Raca, G.; Welch, K.; Dempsey, M.; Anderes, E.; Ostrovnaya, I.; Alkhateeb, A.; Kamimura, J.; Matsumoto, N.; Schaeffer, G.B.; et al. NSD1 analysis for Sotos syndrome: Insights and perspectives from the clinical laboratory. Genet. Med. 2005, 7, 524–533. [Google Scholar] [CrossRef] [PubMed]
- Matsuo, T.; Ihara, K.; Ochiai, M.; Kinjo, T.; Yoshikawa, Y.; Kojima-Ishii, K.; Noda, M.; Mizumoto, H.; Misaki, M.; Minagawa, K.; et al. Hyperinsulinemic hypoglycemia of infancy in Sotos syndrome. Am. J. Med. Genet. A 2013, 161A, 34–37. [Google Scholar] [CrossRef]
- Nakamura, Y.; Takagi, M.; Yoshihashi, H.; Miura, M.; Narumi, S.; Hasegawa, T.; Miyake, Y.; Hasegawa, Y. A case with neonatal hyperinsulinemic hypoglycemia: It is a characteristic complication of Sotos syndrome. Am. J. Med. Genet. A 2015, 167A, 1171–1174. [Google Scholar] [CrossRef]
- Cerbone, M.; Clement, E.; McClatchey, M.; Dobbin, J.; Gilbert, C.; Keane, M.; Boukhibar, L.; Williams, H.; Gagunashvili, A.; Dattani, M.T.; et al. Sotos Syndrome Presenting with Neonatal Hyperinsulinaemic Hypoglycaemia, Extensive Thrombosis, and Multisystem Involvement. Horm. Res. Paediatr. 2019, 92, 64–70. [Google Scholar] [CrossRef]
- Verma, A.; Salehi, P.; Hing, A.; Roberts, A.J.C. Sotos syndrome with a novel mutation in the NSD1 gene associated with congenital hypothyroidism. Int. J. Pediatr. Adolesc. Med. 2021, 8, 191–194. [Google Scholar] [CrossRef]
- Tatton-Brown, K.; Rahman, N. Clinical features of NSD1-positive Sotos syndrome. Clin. Dysmorphol. 2004, 13, 199–204. [Google Scholar] [CrossRef]
- Ostadi, M.; Jokar, F.; Armanian, A.M.; Namnabati, M.; Kazemi, Y.; Poorjavad, M. The effects of swallowing exercise and non-nutritive sucking exercise on oral feeding readiness in preterm infants: A randomized controlled trial. Int. J. Pediatr. Otorhinolaryngol. 2021, 142, 110602. [Google Scholar] [CrossRef] [PubMed]
- Holla, R.G.; Prasad, A.N. Sotos syndrome. Med. J. Armed Forces India 2011, 67, 288–290. [Google Scholar] [CrossRef] [PubMed]
- Allanson, J.E.; Cole, T.R. Sotos syndrome: Evolution of facial phenotype subjective and objective assessment. Am. J. Med. Genet. 1996, 65, 13–20. [Google Scholar] [CrossRef]
- Chen, C.-P.; Lin, S.-P.; Chang, T.-Y.; Chiu, N.-C.; Shih, S.-L.; Lin, C.-J.; Wang, W.; Hsu, H.-C. Perinatal imaging findings of inherited Sotos syndrome. Prenat. Diagn. 2002, 22, 887e92. [Google Scholar] [CrossRef]
- Thomas, A.; Lemire, E.G. Sotos syndrome: Antenatal presentation. Am. J. Med. Genet. 2008, 146A, 1312e3. [Google Scholar] [CrossRef]
- Schaefer, G.B.; Bodensteiner, J.B.; Buehler, B.A.; Lin, A.; Cole, T.R.P. Neuroimaging findings in Sotos syndrome. Am. J. Med. Genet. 1997, 68, 462e5. [Google Scholar] [CrossRef]
- Gusmão Melo, D.; Pina-Neto, J.M.; Acosta, A.X.; Daniel, J.; de Castro, V.; Santos, A.C. Neuroimaging and echocardiographic findings in Sotos syndrome. Am. J. Med. Genet. 2000, 90, 432e4. [Google Scholar]
- Chen, C.P. Prenatal findings and the genetic diagnosis of fetal overgrowth disorders: Simpson-Golabi-Behmel syndrome, Sotos syndrome, and Beckwith-Wiedemann syndrome. Taiwan J. Obstet. Gynecol. 2012, 51, 186–191. [Google Scholar] [CrossRef] [PubMed]
- Mohan, P.; Lemoine, J.; Trotter, C.; Rakova, I.; Billings, P.; Peacock, S.; Kao, C.; Wang, Y.; Xia, F.; Eng, C.M.; et al. Clinical experience with non-invasive prenatal screening for single-gene disorders. Ultrasound Obstet. Gynecol. 2022, 59, 33–39. [Google Scholar] [CrossRef]
- Quaresima, P.; Fesslova, V.; Farina, A.; Kagan, K.O.; Candiani, M.; Morelli, M.; Crispi, F.; Cavoretto, P.I. How to do a fetal cardiac scan. Arch. Gynecol. Obstet. 2023, 307, 1269–1276. [Google Scholar] [CrossRef] [PubMed]





| Prenatal Features | Postnatal Features |
|---|---|
| Increased NT | Characteristic appearance |
| Abnormal maternal serum screening results | Hypotonia, jaundice, poor feeding |
| Macrocephaly, fetal overgrowth | Macrocephaly, overgrowth |
| Polyhydramnios | Severe lung lesions |
| Central nervous system abnormalities | Ventricular dilatation, hypoplasia, agenesis of the corpus callosum, mega cisterna magna |
| Renal abnormalities | Cardiac anomalies (including PDA, ASD, and ventricular septal defect) |
| Uncommon: Neonatal hypoglycemia, hyperinsulinemia, skin pigmentation, hypothyroidism, and inguinal hernia |
Disclaimer/Publisher’s Note: The statements, opinions and data contained in all publications are solely those of the individual author(s) and contributor(s) and not of MDPI and/or the editor(s). MDPI and/or the editor(s) disclaim responsibility for any injury to people or property resulting from any ideas, methods, instructions or products referred to in the content. |
© 2023 by the authors. Licensee MDPI, Basel, Switzerland. This article is an open access article distributed under the terms and conditions of the Creative Commons Attribution (CC BY) license (https://creativecommons.org/licenses/by/4.0/).
Share and Cite
Lu, D.-F.; Tong, X.-M.; Liu, Y.-F. A Case of Sotos Syndrome in a Preterm Infant with Severe Bronchopulmonary Dysplasia and Congenital Heart Disease. Children 2023, 10, 1111. https://doi.org/10.3390/children10071111
Lu D-F, Tong X-M, Liu Y-F. A Case of Sotos Syndrome in a Preterm Infant with Severe Bronchopulmonary Dysplasia and Congenital Heart Disease. Children. 2023; 10(7):1111. https://doi.org/10.3390/children10071111
Chicago/Turabian StyleLu, Dan-Fang, Xiao-Mei Tong, and Yun-Feng Liu. 2023. "A Case of Sotos Syndrome in a Preterm Infant with Severe Bronchopulmonary Dysplasia and Congenital Heart Disease" Children 10, no. 7: 1111. https://doi.org/10.3390/children10071111
APA StyleLu, D.-F., Tong, X.-M., & Liu, Y.-F. (2023). A Case of Sotos Syndrome in a Preterm Infant with Severe Bronchopulmonary Dysplasia and Congenital Heart Disease. Children, 10(7), 1111. https://doi.org/10.3390/children10071111

