Early Development of Spinal Deformities in Children Severely Affected with Spinal Muscular Atrophy after Gene Therapy with Onasemnogene Abeparvovec—Preliminary Results
Abstract
1. Introduction
2. Materials and Methods
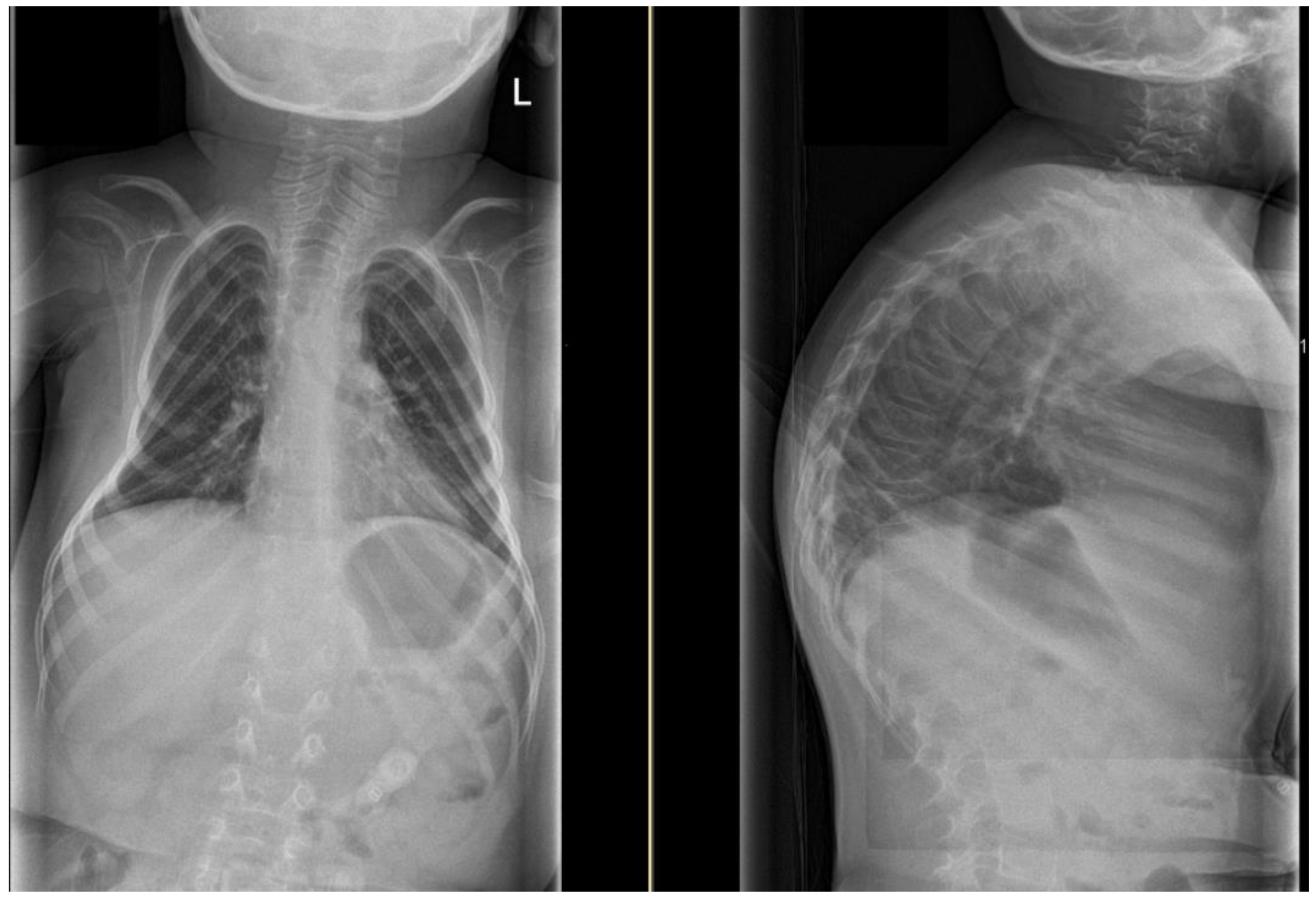
3. Results
4. Discussion
5. Conclusions
Author Contributions
Funding
Institutional Review Board Statement
Informed Consent Statement
Data Availability Statement
Acknowledgments
Conflicts of Interest
References
- Lefebvre, S.; Bürglen, L.; Reboullet, S.; Clermont, O.; Burlet, P.; Viollet, L.; Benichou, B.; Cruaud, C.; Millasseau, P.; Zeviani, M.; et al. Identification and characterization of a spinal muscular atrophy-determining gene. Cell 1995, 80, 155–165. [Google Scholar] [CrossRef]
- Hahnen, E.; Forkert, R.; Marke, C.; Rudnik-Schöneborn, S.; Schönling, J.; Zerres, K.; Creavin, T.; Wirth, B. Molecular analysis of candidate genes on chromosome 5q13 in autosomal recessive spinal muscular atrophy: Evidence of homozygous deletions of the SMN gene in unaffected individuals. Hum. Mol. Genet. 1995, 4, 1927–1933. [Google Scholar] [CrossRef] [PubMed]
- Vitte, J.; Fassier, C.; Tiziano, F.D.; Dalard, C.; Soave, S.; Roblot, N.; Brahe, C.; Saugier-Veber, P.; Bonnefont, J.P.; Melki, J. Refined Characterization of the Expression and Stability of the SMN Gene Products. Am. J. Pathol. 2007, 171, 1269–1280. [Google Scholar] [CrossRef] [PubMed]
- Peeters, K.; Chamova, T.; Jordanova, A. Clinical and genetic diversity of SMN1-negative proximal spinal muscular atrophies. Brain 2014, 137, 2879–2896. [Google Scholar] [CrossRef]
- Kolb, S.J.; Kissel, J.T. Spinal Muscular Atrophy. Neurol. Clin. 2015, 33, 831–846. [Google Scholar] [CrossRef] [PubMed]
- Ross, L.F.; Kwon, J.M. Spinal Muscular Atrophy: Past, Present, and Future. Neoreviews 2019, 20, e437–e451. [Google Scholar] [CrossRef]
- Munsat, T.L.; Davies, K.E. International SMA Consortium Meeting (26–28 June 1992, Bonn, Germany). Neuromuscul. Disord. 1992, 2, 423–428. [Google Scholar] [CrossRef]
- Fujak, A.; Raab, W.; Schuh, A.; Richter, S.; Forst, R.; Forst, J. Natural course of scoliosis in proximal spinal muscular atrophy type II and IIIa: Descriptive clinical study with retrospective data collection of 126 patients. BMC Musculoskelet. Disord. 2013, 14, 283. [Google Scholar] [CrossRef]
- Rodillo, E.; Marini, M.; Heckmatt, J.; Dubowitz, V. Scoliosis in Spinal Muscular Atrophy: Review of 63 Cases. J. Child Neurol. 1989, 4, 118–123. [Google Scholar] [CrossRef]
- Wijngaarde, C.A.; Brink, R.C.; De Kort, F.A.S.; Stam, M.; Otto, L.A.M.; Asselman, F.-L.; Bartels, B.; Van Eijk, R.P.A.; Sombroek, J.; Cuppen, I.; et al. Natural course of scoliosis and lifetime risk of scoliosis surgery in spinal muscular atrophy. Neurology 2019, 93, e149–e158. [Google Scholar] [CrossRef]
- Kolb, S.J.; Coffey, C.S.; Yankey, J.W.; Krosschell, K.; Arnold, W.D.; Rutkove, S.B.; Swoboda, K.J.; Reyna, S.P.; Sakonju, A.; Darras, B.T.; et al. Natural history of infantile-onset spinal muscular atrophy. Ann. Neurol. 2017, 82, 883–891. [Google Scholar] [CrossRef]
- Merlini, L.; Granata, C.; Bonfiglioli, S.; Marini, M.L.; Cervellati, S.; Savini, R. Scoliosis in spinal muscular atrophy: Natural history and management. Dev. Med. Child Neurol. 1989, 31, 501–508. [Google Scholar] [CrossRef]
- Al Amrani, F.; Amin, R.; Chiang, J.; Xiao, L.; Boyd, J.; Law, E.; Nigro, E.; Weinstock, L.; Stosic, A.; Gonorazky, H.D. Scoliosis in Spinal Muscular Atrophy Type 1 in the Nusinersen Era. Neurol. Clin. Pract. 2022, 12, 279–287. [Google Scholar] [CrossRef] [PubMed]
- Kotulska, K.; Jozwiak, S.; Jedrzejowska, M.; Gos, M.; Ogrodnik, M.; Wysocki, J.; Czajka, H.; Kuchar, E. Newborn screening and gene therapy in SMA: Challenges related to vaccinations. Front. Neurol. 2022, 13, 890860. [Google Scholar] [CrossRef] [PubMed]
- Granata, C.; Merlini, L.; Magni, E.; Marini, M.L.; Stagni, S.B. Spinal Muscular Atrophy: Natural History and Orthopaedic Treatment of Scoliosis. Spine 1989, 14, 760–762. [Google Scholar] [CrossRef] [PubMed]
- Dayton, R.D.; Wang, D.B.; Klein, R.L. The advent of AAV9 expands applications for brain and spinal cord gene delivery. Expert Opin. Biol. Ther. 2012, 12, 757–766. [Google Scholar] [CrossRef]
- Alexiades, N.G.; Shao, B.; Saiman, L.; Feldstein, N.; Anderson, R.C. High Prevalence of Gram-Negative Rod and Multi-Organism Surgical Site Infections after Pediatric Complex Tethered Spinal Cord Surgery: Preliminary Report from a Single-Center Study. Pediatr. Neurosurg. 2020, 55, 92–100. [Google Scholar] [CrossRef]
- Jensen, T.L.; Gøtzsche, C.R.; Woldbye, D.P.D. Current and Future Prospects for Gene Therapy for Rare Genetic Diseases Affecting the Brain and Spinal Cord. Front. Mol. Neurosci. 2021, 14, 695937. [Google Scholar] [CrossRef]
- Messina, S.; Sframeli, M. New Treatments in Spinal Muscular Atrophy: Positive Results and New Challenges. J. Clin. Med. 2020, 9, 2222. [Google Scholar] [CrossRef]
- Stevens, D.; Claborn, M.K.; Gildon, B.L.; Kessler, T.L.; Walker, C. Onasemnogene Abeparvovec-xioi: Gene Therapy for Spinal Muscular Atrophy. Ann. Pharmacother. 2020, 54, 1001–1009. [Google Scholar] [CrossRef]
- Hoy, S.M. Onasemnogene Abeparvovec: First Global Approval. Drugs 2019, 79, 1255–1262. [Google Scholar] [CrossRef] [PubMed]
- Foust, K.D.; Wang, X.; McGovern, V.L.; Braun, L.; Bevan, A.K.; Haidet, A.M.; Le, T.T.; Morales, P.R.; Rich, M.M.; Burghes, A.H.M.; et al. Rescue of the spinal muscular atrophy phenotype in a mouse model by early postnatal delivery of SMN. Nat. Biotechnol. 2010, 28, 271–274. [Google Scholar] [CrossRef]
- Thomsen, G.; Burghes, A.H.M.; Hsieh, C.; Do, J.; Chu, B.T.T.; Perry, S.; Barkho, B.; Kaufmann, P.; Sproule, D.M.; Feltner, D.E.; et al. Biodistribution of onasemnogene abeparvovec DNA, mRNA and SMN protein in human tissue. Nat. Med. 2021, 27, 1701–1711. [Google Scholar] [CrossRef]
- Muntoni, F.; Bertini, E.; Comi, G.; Kirschner, J.; Lusakowska, A.; Mercuri, E.; Scoto, M.; van der Pol, W.L.; Vuillerot, C.; Burdeska, A.; et al. Long-term follow-up of patients with type 2 and non-ambulant type 3 spinal muscular atrophy (SMA) treated with olesoxime in the OLEOS trial. Neuromuscul. Disord. 2020, 30, 959–969. [Google Scholar] [CrossRef] [PubMed]
- Strauss, K.A.; Farrar, M.A.; Muntoni, F.; Saito, K.; Mendell, J.R.; Servais, L.; McMillan, H.J.; Finkel, R.S.; Swoboda, K.J.; Kwon, J.M.; et al. Onasemnogene abeparvovec for presymptomatic infants with three copies of SMN2 at risk for spinal muscular atrophy: The Phase III SPR1NT trial. Nat. Med. 2022, 28, 1390–1397. [Google Scholar] [CrossRef] [PubMed]
- Mercuri, E.; Muntoni, F.; Baranello, G.; Masson, R.; Boespflug-Tanguy, O.; Bruno, C.; Corti, S.; Daron, A.; Deconinck, N.; Servais, L.; et al. Onasemnogene abeparvovec gene therapy for symptomatic infantile-onset spinal muscular atrophy type 1 (STR1VE-EU): An open-label, single-arm, multicentre, phase 3 trial. Lancet Neurol. 2021, 20, 832–841. [Google Scholar] [CrossRef]
- Day, J.W.; Mendell, J.R.; Mercuri, E.; Finkel, R.S.; Strauss, K.A.; Kleyn, A.; Tauscher-Wisniewski, S.; Tukov, F.F.; Reyna, S.P.; Chand, D.H. Clinical Trial and Postmarketing Safety of Onasemnogene Abeparvovec Therapy. Drug Saf. 2021, 44, 1109–1119. [Google Scholar] [CrossRef]
- Mendell, J.R.; Al-Zaidy, S.; Shell, R.; Arnold, W.D.; Rodino-Klapac, L.R.; Prior, T.W.; Lowes, L.; Alfano, L.; Berry, K.; Church, K.; et al. Single-Dose Gene-Replacement Therapy for Spinal Muscular Atrophy. N. Engl. J. Med. 2017, 377, 1713–1722. [Google Scholar] [CrossRef]
- Stettner, G.M.; Hasselmann, O.; Tscherter, A.; Galiart, E.; Jacquier, D.; Klein, A. Treatment of spinal muscular atrophy with Onasemnogene Abeparvovec in Switzerland: A prospective observational case series study. BMC Neurol. 2023, 23, 88. [Google Scholar] [CrossRef]
- Giglio, C.A.; Volpon, J.B. Development and evaluation of thoracic kyphosis and lumbar lordosis during growth. J. Child. Orthop. 2007, 1, 187–193. [Google Scholar] [CrossRef]
- Baumbach-Reardon, L.; Hunter, J.M.; Ahearn, M.E.; Pfautsch, M. Spinal Muscular Atrophy, X-Linked Infantile; University of Washington: Seattle, WA, USA, 1993. [Google Scholar]
- Riddick, M.F.; Winter, R.B.; Lutter, L.D. Spinal Deformities in Patients with Spinal Muscle Atrophy. Spine 1982, 7, 476–483. [Google Scholar] [CrossRef]
- Hensel, N.; Brickwedde, H.; Tsaknakis, K.; Grages, A.; Braunschweig, L.; Lüders, K.A.; Lorenz, H.M.; Lippross, S.; Walter, L.M.; Tavassol, F.; et al. Altered bone development with impaired cartilage formation precedes neuromuscular symptoms in spinal muscular atrophy. Hum. Mol. Genet. 2020, 29, 2662–2673. [Google Scholar] [CrossRef] [PubMed]
- Soini, V.; Hell, A.K.; Metzger, L.; Jäckle, K.; Braunschweig, L.; Lüders, K.A.; Lorenz, H.M.; Tsaknakis, K. Scoliosis Treatment with Growth-Friendly Spinal Implants (GFSI) Relates to Low Bone Mineral Mass in Children With Spinal Muscular Atrophy. J. Pediatr. Orthop. 2023, 10, 1097. [Google Scholar] [CrossRef]
- Loughenbury, P.R.; Tsirikos, A.I. Current concepts in the treatment of neuromuscular scoliosis: Clinical assessment, treatment options, and surgical outcomes. Bone Jt. Open 2022, 3, 85–92. [Google Scholar] [CrossRef] [PubMed]
- Kirschner, J.; Butoianu, N.; Goemans, N.; Haberlova, J.; Kostera-Pruszczyk, A.; Mercuri, E.; van der Pol, W.L.; Quijano-Roy, S.; Sejersen, T.; Tizzano, E.F.; et al. European ad-hoc consensus statement on gene replacement therapy for spinal muscular atrophy. Eur. J. Paediatr. Neurol. 2020, 28, 38–43. [Google Scholar] [CrossRef]
- Mercuri, E. Spinal muscular atrophy: From rags to riches. Neuromuscul. Disord. 2021, 31, 998–1003. [Google Scholar] [CrossRef] [PubMed]
- Dangouloff, T.; Vrščaj, E.; Servais, L.; Osredkar, D.; Adoukonou, T.; Aryani, O.; Barisic, N.; Bashiri, F.; Bastaki, L.; Benitto, A.; et al. Newborn screening programs for spinal muscular atrophy worldwide: Where we stand and where to go. Neuromuscul. Disord. 2021, 31, 574–582. [Google Scholar] [CrossRef]
- Russman, B.S.; Melchreit, R.M.; Drennan, J.C. Spinal muscular atrophy: The natural course of disease. Muscle Nerve 1983, 6, 179–181. [Google Scholar] [CrossRef]
- Sucato, D.J. Spine Deformity in Spinal Muscular Atrophy. J. Bone Jt. Surg. 2007, 89, 148–154. [Google Scholar] [CrossRef]
- Evans, G.; Drennan, J.; Russman, B. Functional classification and orthopaedic management of spinal muscular atrophy. J. Bone Jt. Surg. 1981, 63, 516–522. [Google Scholar] [CrossRef]
- Mercuri, E.; Bertini, E.; Iannaccone, S.T. Childhood spinal muscular atrophy: Controversies and challenges. Lancet Neurol. 2012, 11, 443–452. [Google Scholar] [CrossRef] [PubMed]
- Weiß, C.; Ziegler, A.; Becker, L.-L.; Johannsen, J.; Brennenstuhl, H.; Schreiber, G.; Flotats-Bastardas, M.; Stoltenburg, C.; Hartmann, H.; Illsinger, S.; et al. Gene replacement therapy with onasemnogene abeparvovec in children with spinal muscular atrophy aged 24 months or younger and bodyweight up to 15 kg: An observational cohort study. Lancet Child Adolesc. Health 2022, 6, 17–27. [Google Scholar] [CrossRef] [PubMed]
- Chand, D.; Mohr, F.; McMillan, H.; Tukov, F.F.; Montgomery, K.; Kleyn, A.; Sun, R.; Tauscher-Wisniewski, S.; Kaufmann, P.; Kullak-Ublick, G. Hepatotoxicity following administration of onasemnogene abeparvovec (AVXS-101) for the treatment of spinal muscular atrophy. J. Hepatol. 2021, 74, 560–566. [Google Scholar] [CrossRef] [PubMed]
- Al-Zaidy, S.A.; Kolb, S.J.; Lowes, L.; Alfano, L.N.; Shell, R.; Church, K.R.; Nagendran, S.; Sproule, D.M.; Feltner, D.E.; Wells, C.; et al. AVXS-101 (Onasemnogene Abeparvovec) for SMA1: Comparative Study with a Prospective Natural History Cohort. J. Neuromuscul. Dis. 2019, 6, 307–317. [Google Scholar] [CrossRef]
- Guillou, J.; de Pellegars, A.; Porcheret, F.; Frémeaux-Bacchi, V.; Allain-Launay, E.; Debord, C.; Denis, M.; Péréon, Y.; Barnérias, C.; Desguerre, I.; et al. Fatal thrombotic microangiopathy case following adeno-associated viral SMN gene therapy. Blood Adv. 2022, 6, 4266–4270. [Google Scholar] [CrossRef]
- Calderaro, C.; Labianca, L.; Dolan, L.A.; Yamashita, K.; Weinstein, S.L. Early-Onset Scoliosis Treated with Magnetically Controlled Growing Rods. Orthopedics 2020, 43, e601–e608. [Google Scholar] [CrossRef]
- Helenius, I.J. Treatment strategies for early-onset scoliosis. EFORT Open Rev. 2018, 3, 287–293. [Google Scholar] [CrossRef]
- Hell, A.K.; Groenefeld, K.; Tsaknakis, K.; Braunschweig, L.; Lorenz, H.M. Combining Bilateral Magnetically Controlled Implants Inserted Parallel to the Spine with Rib to Pelvis Fixation. Clin. Spine Surg. A Spine Publ. 2018, 31, 239–246. [Google Scholar] [CrossRef]
- Zhang, Y.-B.; Zhang, J.-G. Treatment of early-onset scoliosis: Techniques, indications, and complications. Chin. Med. J. 2020, 133, 351–357. [Google Scholar] [CrossRef]
- Keil, L.G.; Nash, A.B.; Stürmer, T.M.; Golightly, Y.M.P.; Lin, F.-C.; Stone, J.D.; Sanders, J.O.; Louer, C.R. When Is a Growth-friendly Strategy Warranted? A Matched Comparison of Growing Rods Versus Primary Posterior Spinal Fusion in Juveniles with Early-onset Scoliosis. J. Pediatr. Orthop. 2021, 41, e859–e864. [Google Scholar] [CrossRef]

| ID | Sex | Earlier Treatment (Age in Years), Type of Treatment | Onasemnogene Abeparvovec Age (Years) | SMA Type | SMN2 Gene Copies | Ambulation Status at the Time of Imaging | Age at Imaging (Years) |
|---|---|---|---|---|---|---|---|
| 1 | F | 0.2, Nusinersen | 0.2 | 1 | 2 | non-ambulatory | 1.6 |
| 2 | F | 0.1, Nusinersen | 0.2 | 1 | 2 | non-ambulatory | 1.4 |
| 3 | M | 0.2, Risdiplam | 0.3 | 1 | 2 | non-ambulatory | 1.1 |
| 4 | F | 0.3 | 1 | 2 | non-ambulatory | 1.5 | |
| 5 | F | 0.7 | 1 | 2 | non-ambulatory | 1.6 | |
| 6 | F | 0.5, Nusinersen | 0.9 | 1 | 2 | non-ambulatory | 2.2 |
| 7 | M | 0.5, Nusinersem | 1.3 | 1 | 2 | non-ambulatory | 2.3 |
| 8 | M | 0.4, Nusinersen | 1.3 | 1 | 2 | non-ambulatory | 3.7 |
| 9 | M | 0.3, Nusinersen | 1.4 | 1 | 2 | non-ambulatory | 3.5 |
| 10 | M | 1.5 | 2 | 3 | non-ambulatory | 3.6 | |
| 11 | M | 1.3, Nusinersen | 1.5 | 2 | 3 | minimal ambulatory | 4.0 |
| 12 | M | -, Risdiplam | 1.5 | 1 | 3 | ambulatory | 1.6 |
| 13 | M | 0.2, Nusinersen | 1.7 | 1 | 2 | non-ambulatory | 5.6 |
| 14 | M | 1.6, Nusinersen | 3.3 | 2 | 3 | non-ambulatory | 4.8 |
| 15 | F | 3.7 | 1 | 2 | non-ambulatory | 4.3 | |
| 16 | F | 4.9 | 2 | 3 | non-ambulatory | 6.9 |
| ID | Scoliosis Type | Scoliosis Curvature Angle (°) | Kyphosis Curvature Angle (°) |
|---|---|---|---|
| 1 | S-type | 29 | |
| 2 | S-type | 43 | 66 |
| 3 | no | 7 | 86 |
| 4 | no | 6 | |
| 5 | no | 0 | 70 |
| 6 | no | 0 | |
| 7 | left convex C-type | 69 | 75 |
| 8 | left convex C-type | 24 | |
| 9 | left convex C-type | 52 | 60 |
| 10 | left convex C-type | 21 | |
| 11 | no | 5 | |
| 12 | no | 7 | 48 |
| 13 | no | 7 | 94 |
| 14 | left convex C-type | 64 | 73 |
| 15 | right convex C-type | 82 | 76 |
| 16 | S-type | 35 | 45 |
Disclaimer/Publisher’s Note: The statements, opinions and data contained in all publications are solely those of the individual author(s) and contributor(s) and not of MDPI and/or the editor(s). MDPI and/or the editor(s) disclaim responsibility for any injury to people or property resulting from any ideas, methods, instructions or products referred to in the content. |
© 2023 by the authors. Licensee MDPI, Basel, Switzerland. This article is an open access article distributed under the terms and conditions of the Creative Commons Attribution (CC BY) license (https://creativecommons.org/licenses/by/4.0/).
Share and Cite
Soini, V.; Schreiber, G.; Wilken, B.; Hell, A.K. Early Development of Spinal Deformities in Children Severely Affected with Spinal Muscular Atrophy after Gene Therapy with Onasemnogene Abeparvovec—Preliminary Results. Children 2023, 10, 998. https://doi.org/10.3390/children10060998
Soini V, Schreiber G, Wilken B, Hell AK. Early Development of Spinal Deformities in Children Severely Affected with Spinal Muscular Atrophy after Gene Therapy with Onasemnogene Abeparvovec—Preliminary Results. Children. 2023; 10(6):998. https://doi.org/10.3390/children10060998
Chicago/Turabian StyleSoini, Venla, Gudrun Schreiber, Bernd Wilken, and Anna Kathrin Hell. 2023. "Early Development of Spinal Deformities in Children Severely Affected with Spinal Muscular Atrophy after Gene Therapy with Onasemnogene Abeparvovec—Preliminary Results" Children 10, no. 6: 998. https://doi.org/10.3390/children10060998
APA StyleSoini, V., Schreiber, G., Wilken, B., & Hell, A. K. (2023). Early Development of Spinal Deformities in Children Severely Affected with Spinal Muscular Atrophy after Gene Therapy with Onasemnogene Abeparvovec—Preliminary Results. Children, 10(6), 998. https://doi.org/10.3390/children10060998

