Infant with Parotid Sialoblastoma and Nevus Sebaceous, Treated with Surgery and Adjuvant Chemotherapy
Abstract
:1. Introduction
2. Case Presentation
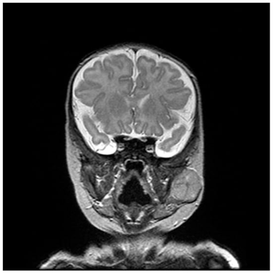
2.1. Diagnosis
2.2. Treatment
2.3. Outcome
3. Discussion
4. Conclusions
Author Contributions
Funding
Institutional Review Board Statement
Informed Consent Statement
Data Availability Statement
Acknowledgments
Conflicts of Interest
References
- Lennon, P.; Silvera, V.M.; Perez-Atayde, A.; Cunningham, M.J.; Rahbar, R. Disorders and tumors of the salivary glands in children. Otolaryngol. Clin. N. Am. 2015, 48, 153–173. [Google Scholar] [CrossRef]
- da Cruz Perez, D.E.; Pires, F.R.; Alves, F.A.; Almeida, O.P.; Kowalski, L.P. Salivary gland tumors in children and adolescents: A clinicopathologic and immunohistochemical study of fifty-three cases. Int. J. Pediatr. Otorhinolaryngol. 2004, 68, 895–902. [Google Scholar] [CrossRef] [PubMed]
- Dardick, I.; Daley, T.D.; McComb, R.J. Sialoblastoma in adults: Distinction from adenoid cystic carcinoma. Oral Surg. Oral Med. Oral Pathol. Oral Radiol. Endod. 2010, 109, 109–116. [Google Scholar] [CrossRef]
- Williams, S.B.; Ellis, G.L.; Warnock, G.R. Sialoblastoma: A clinicopathologic and immunohistochemical study of 7 cases. Ann. Diagn. Pathol. 2006, 10, 320–326. [Google Scholar] [CrossRef]
- Wang, Q.; Ma, S.; Chen, H.; Yang, M.; Cai, W. Sialoblastoma in chin and management of treatment. Int. J. Pediatr. Otorhinolaryngol. 2018, 109, 168–173. [Google Scholar] [CrossRef]
- Prigent, M.; Teissier, N.; Peuchmaur, M.; El Maleh-Berges, M.; Philippe-Chomette, P.; Cardin, P.; Orbach, D. Sialoblastoma of salivary glands in children: Chemotherapy should be discussed as an alternative to mutilating surgery. Int. J. Pediatr. Otorhinolaryngol. 2010, 74, 942–945. [Google Scholar] [CrossRef] [PubMed]
- Rodríguez-Zubieta, M.; Albarenque, K.; Lagues, C.; San Roman, A.; Varela, M.; Russo, D.; Podesta, G.; Steinberg, D.; Schauvinhold, C.; Etchegaray, A.; et al. Two Synchronous Neonatal Tumors: An Extremely Rare Case. Case Rep. Pathol. 2021, 2021, 6674372. [Google Scholar] [CrossRef]
- Xu, L.; Zhong, Y. Sialoblastoma and Hepatoblastoma in an Infant: A Case Report and Review of the Literature. Iran. J. Radiol. 2021, 18, e116966. [Google Scholar] [CrossRef]
- Shan, X.F.; Cai, Z.G.; Zhang, J.G.; Zhang, J.; Gao, Y.; Yu, G.Y. Management of sialoblastoma with surgery and brachytherapy. Pediatr. Blood Cancer 2010, 55, 1427–1430. [Google Scholar] [CrossRef] [PubMed]
- Shet, T.; Ramadwar, M.; Sharma, S.; Laskar, S.; Arora, B.; Kurkure, P. An eyelid sialoblastoma-like tumor with a sarcomatoid myoepithelial component. Pediatr. Dev. Pathol. Off. J. Soc. Pediatr. Pathol. Paediatr. Pathol. Soc. 2007, 10, 309–314. [Google Scholar] [CrossRef]
- Irace, A.L.; Adil, E.A.; Archer, N.M.; Silvera, V.M.; Perez-Atayde, A.; Rahbar, R. Pediatric sialoblastoma: Evaluation and management. Int. J. Pediatr. Otorhinolaryngol. 2016, 87, 44–49. [Google Scholar] [CrossRef] [PubMed]
- Ranjani, S.; Mehdi, I.; Rao, V. Progressive Metastatic Sialoblastoma in a Young Child: Challenges in Treatment. Indian J. Med. Paediatr. Oncol. 2019, 40, 314–315. [Google Scholar] [CrossRef]
- Stones, D.K.; Jansen, J.C.; Griessel, D. Sialoblastoma and hepatoblastoma in a newborn infant. Pediatr. Blood Cancer 2009, 52, 883–885. [Google Scholar] [CrossRef] [PubMed]
- Tatlidede, S.; Karsidag, S.; Ugurlu, K.; Sadikoglu, B.; Tanik, C.; Bas, L. Sialoblastoma: A congenital epithelial tumor of the salivary gland. J. Pediatr. Surg. 2006, 41, 1322–1325. [Google Scholar] [CrossRef]
- Saribeyoglu, E.T.; Devecioglu, O.; Karakas, Z.; Anak, S.; Unuvar, A.; Agaoglu, L.; Celik, A.; Gulluoglu, M.; Bilgic, B. How to manage an unresectable or recurrent sialoblastoma. Pediatr. Blood Cancer 2010, 55, 374–376. [Google Scholar] [CrossRef]
- Baigrie, D.; Troxell, T.; Cook, C. Nevus Sebaceus. In StatPearls [Internet]; StatPearls Publishing: Treasure Island, FL, USA, 2022. [Google Scholar]
- Scott, J.X.; Krishnan, S.; Bourne, A.J.; Williams, M.P.; Agzarian, M.; Revesz, T. Treatment of metastatic sialoblastoma with chemotherapy and surgery. Pediatr. Blood Cancer 2008, 50, 134–137. [Google Scholar] [CrossRef]
- Green, R.S.; Tunkel, D.E.; Small, D.; Westra, W.H.; Argani, P. Sialoblastoma: Association with cutaneous hamartoma (organoid nevus)? Pediatr. Dev. Pathol. Off. J. Soc. Pediatr. Pathol. Paediatr. Pathol. Soc. 2000, 3, 504–505. [Google Scholar] [CrossRef]
- Brandwein, M.; Said-Al-Naief, N.; Manwani, D.; Som, P.; Goldfeder, L.; Rothschild, M.; Granowetter, L. Sialoblastoma: Clinicopathological/immunohistochemical study. Am. J. Surg. Pathol. 1999, 23, 342–348. [Google Scholar] [CrossRef]
- Vidaurri-de la Cruz, H.; Tamayo-Sánchez, L.; Durán-McKinster, C.; de la Luz Orozco-Covarrubias, M.; Ruiz-Maldonado, R. Epidermal nevus syndromes: Clinical findings in 35 patients. Pediatr. Dermatol. 2004, 21, 432–439. [Google Scholar] [CrossRef] [PubMed]
- Macagno, N.; Sohier, P.; Kervarrec, T.; Pissaloux, D.; Jullie, M.L.; Cribier, B.; Battistella, M. Recent Advances on Immunohistochemistry and Molecular Biology for the Diagnosis of Adnexal Sweat Gland Tumors. Cancers 2022, 14, 476. [Google Scholar] [CrossRef]
- Idriss, M.H.; Elston, D.M. Secondary neoplasms associated with nevus sebaceus of Jadassohn: A study of 707 cases. J. Am. Acad. Dermatol. 2014, 70, 332–337. [Google Scholar] [CrossRef] [PubMed]
- Aslam, A.; Salam, A.; Griffiths, C.E.; McGrath, J.A. Naevus sebaceus: A mosaic RASopathy. Clin. Exp. Dermatol. 2014, 39, 1–6. [Google Scholar] [CrossRef] [PubMed]
- Groesser, L.; Herschberger, E.; Ruetten, A.; Ruivenkamp, C.; Lopriore, E.; Zutt, M.; Langmann, T.; Singer, S.; Klingseisen, L.; Schneider-Brachert, W.; et al. Postzygotic HRAS and KRAS mutations cause nevus sebaceous and Schimmelpenning syndrome. Nat. Genet. 2012, 44, 783–787. [Google Scholar] [CrossRef]
- Lihua, J.; Feng, G.; Shanshan, M.; Jialu, X.; Kewen, J. Somatic KRAS mutation in an infant with linear nevus sebaceous syndrome associated with lymphatic malformations: A case report and literature review. Medicine 2017, 96, e8016. [Google Scholar] [CrossRef] [PubMed]
- Yang, R.; Zhan, Y.; Li, Y.; Dai, S.Y.; He, S.W.; Ye, C.J.; Meng, L.D.; Chen, D.Q.; Dong, C.B.; Chen, L.; et al. The Cellular and Molecular Landscape of Synchronous Pediatric Sialoblastoma and Hepatoblastoma. Front. Oncol. 2022, 12, 893206. [Google Scholar] [CrossRef]
- Ozdemir, I.; Simsek, E.; Silan, F.; Demirci, F. Congenital sialoblastoma (embryoma) associated with premature centromere division and high level of alpha-fetoprotein. Prenat. Diagn. 2005, 25, 687–689. [Google Scholar] [CrossRef]


Disclaimer/Publisher’s Note: The statements, opinions and data contained in all publications are solely those of the individual author(s) and contributor(s) and not of MDPI and/or the editor(s). MDPI and/or the editor(s) disclaim responsibility for any injury to people or property resulting from any ideas, methods, instructions or products referred to in the content. |
© 2023 by the authors. Licensee MDPI, Basel, Switzerland. This article is an open access article distributed under the terms and conditions of the Creative Commons Attribution (CC BY) license (https://creativecommons.org/licenses/by/4.0/).
Share and Cite
Opiła, R.; Feszak, S.; Wawryków, P.; Peregud-Pogorzelski, J. Infant with Parotid Sialoblastoma and Nevus Sebaceous, Treated with Surgery and Adjuvant Chemotherapy. Children 2023, 10, 628. https://doi.org/10.3390/children10040628
Opiła R, Feszak S, Wawryków P, Peregud-Pogorzelski J. Infant with Parotid Sialoblastoma and Nevus Sebaceous, Treated with Surgery and Adjuvant Chemotherapy. Children. 2023; 10(4):628. https://doi.org/10.3390/children10040628
Chicago/Turabian StyleOpiła, Radosław, Sylwia Feszak, Paweł Wawryków, and Jarosław Peregud-Pogorzelski. 2023. "Infant with Parotid Sialoblastoma and Nevus Sebaceous, Treated with Surgery and Adjuvant Chemotherapy" Children 10, no. 4: 628. https://doi.org/10.3390/children10040628
APA StyleOpiła, R., Feszak, S., Wawryków, P., & Peregud-Pogorzelski, J. (2023). Infant with Parotid Sialoblastoma and Nevus Sebaceous, Treated with Surgery and Adjuvant Chemotherapy. Children, 10(4), 628. https://doi.org/10.3390/children10040628

