Allogeneic Mesenchymal Stromal Cells as a Global Pediatric Prospective Approach in the Treatment of Respiratory Failure Associated with Surfactant Protein C Dysfunction
Abstract
1. Introduction
2. Patient and Methods
2.1. Patient
2.2. Methods
2.2.1. BM-MSC Expansion
2.2.2. Infusion
2.2.3. Immunological Parameters
Flow Cytometry Characterization
In Vitro T Cell Response to Mitogen
In Vitro Ig Production
Plasma Cytokine Levels
3. Results
3.1. Clinical Data
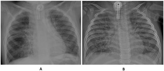
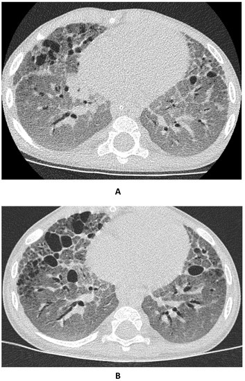
3.2. Respiratory Condition
3.3. Immunological Profile
4. Discussion
5. Conclusions
Author Contributions
Funding
Institutional Review Board Statement
Informed Consent Statement
Data Availability Statement
Acknowledgments
Conflicts of Interest
References
- Samarelli, A.V.; Tonelli, R.; Marchioni, A.; Bruzzi, G.; Gozzi, F.; Andrisani, D.; Castaniere, I.; Manicardi, L.; Moretti, A.; Tabbì, L.; et al. Fibrotic Idiopathic Interstitial Lung Disease: The Molecular and Cellular Key Players. Int. J. Mol. Sci. 2021, 22, 8952. [Google Scholar] [CrossRef] [PubMed]
- Brennan, L.C.; O’Sullivan, A.; MacLoughlin, R. Cellular Therapy for the Treatment of Paediatric Respiratory Disease. Int. J. Mol. Sci. 2021, 22, 8906. [Google Scholar] [CrossRef] [PubMed]
- Pelizzo, G.; Silvestro, S.; Avanzini, M.A.; Zuccotti, G.; Mazzon, E.; Calcaterra, V. Mesenchymal Stromal Cells for the Treatment of Interstitial Lung Disease in Children: A Look from Pediatric and Pediatric Surgeon Viewpoints. Cells 2021, 10, 3270. [Google Scholar] [CrossRef] [PubMed]
- Robertson, S.P.; Twigg, S.R.; Sutherland-Smith, A.J.; Biancalana, V.; Gorlin, R.J.; Horn, D.; Kenwrick, S.J.; Kim, C.A.; Morava, E.; Newbury-Ecob, R.; et al. Localized mutations in the gene encoding the cytoskeletal protein filamin A cause diverse malformations in humans. Nat. Genet. 2003, 33, 487–491. [Google Scholar] [CrossRef] [PubMed]
- Jungebluth, P.; Luedde, M.; Ferrer, E.; Luedde, T.; Vucur, M.; Peinado, V.I.; Go, T.; Schreiber, C.; von Richthofen, M.; Bader, A.; et al. Mesenchymal stem cells restore lung function by recruiting resident and nonresident proteins. Cell Transplant. 2011, 20, 1561–1574. [Google Scholar] [CrossRef] [PubMed]
- Pierro, M.; Ciarmoli, E.; Thébaud, B. Bronchopulmonary Dysplasia and Chronic Lung Disease: Stem Cell Therapy. Clin. Perinatol. 2015, 42, 889–910. [Google Scholar] [CrossRef]
- van Haaften, T.; Byrne, R.; Bonnet, S.; Rochefort, G.Y.; Akabutu, J.; Bouchentouf, M.; Rey-Parra, G.J.; Galipeau, J.; Haromy, A.; Eaton, F.; et al. Airway delivery of mesenchymal stem cells prevents arrested alveolar growth in neonatal lung injury in rats. Am. J. Respir. Crit. Care Med. 2009, 180, 1131–1142. [Google Scholar] [CrossRef]
- Zhang, X.; Wang, H.; Shi, Y.; Peng, W.; Zhang, S.; Zhang, W.; Xu, J.; Mei, Y.; Feng, Z. Role of bone marrow-derived mesenchymal stem cells in the prevention of hyperoxia-induced lung injury in newborn mice. Cell Biol. Int. 2012, 36, 589–594. [Google Scholar] [CrossRef] [PubMed]
- Chen, X.; Zhang, Y.; Wang, W.; Liu, Z.; Meng, J.; Han, Z. Mesenchymal Stem Cells Modified with Heme Oxygenase-1 Have Enhanced Paracrine Function and Attenuate Lipopolysaccharide-Induced Inflammatory and Oxidative Damage in Pulmonary Microvascular Endothelial Cells. Cell. Physiol. Biochem. Int. J. Exp. Cell. Physiol. Biochem. Pharmacol. 2018, 49, 101–122. [Google Scholar] [CrossRef] [PubMed]
- Griese, M. Pulmonary surfactant in health and human lung diseases: State of the art. Eur. Respir. J. 1999, 13, 1455–1476. [Google Scholar] [CrossRef] [PubMed]
- Castillo-Sánchez, J.C.; Cruz, A.; Pérez-Gil, J. Structural hallmarks of lung surfactant: Lipid-protein interactions, membrane structure and future challenges. Arch. Biochem. Biophys. 2021, 703, 108850. [Google Scholar] [CrossRef] [PubMed]
- Pelizzo, G.; Avanzini, M.A.; Lenta, E.; Mantelli, M.; Croce, S.; Catenacci, L.; Acquafredda, G.; Ferraro, A.L.; Giambanco, C.; D’Amelio, L.; et al. Allogeneic mesenchymal stromal cells: Novel therapeutic option for mutated FLNA-associated respiratory failure in the pediatric setting. Pediatr. Pulmonol. 2020, 55, 190–197. [Google Scholar] [CrossRef]
- Ciccocioppo, R.; Russo, M.L.; Bernardo, M.E.; Biagi, F.; Catenacci, L.; Avanzini, M.A.; Alvisi, C.; Vanoli, A.; Manca, R.; Luinetti, O.; et al. Mesenchymal stromal cell infusions as rescue therapy for corticosteroid-refractory adult autoimmune enteropathy. Mayo Clin. Proc. 2012, 87, 909–914. [Google Scholar] [CrossRef] [PubMed]
- Ciccocioppo, R.; Gallia, A.; Avanzini, M.A.; Betti, E.; Picone, C.; Vanoli, A.; Paganini, C.; Biagi, F.; Maccario, R.; Corazza, G.R. A Refractory Celiac Patient Successfully Treated with Mesenchymal Stem Cell Infusions. Mayo Clin. Proc. 2016, 91, 812–819. [Google Scholar] [CrossRef] [PubMed]
- Ball, L.M.; Bernardo, M.E.; Roelofs, H.; van Tol, M.J.; Contoli, B.; Zwaginga, J.J.; Avanzini, M.A.; Conforti, A.; Bertaina, A.; Giorgiani, G.; et al. Multiple infusions of mesenchymal stromal cells induce sustained remission in children with steroid-refractory, grade III-IV acute graft-versus-host disease. Br. J. Haematol. 2013, 163, 501–509. [Google Scholar] [CrossRef]
- Bernardo, M.E.; Avanzini, M.A.; Ciccocioppo, R.; Perotti, C.; Cometa, A.M.; Moretta, A.; Marconi, M.; Valli, M.; Novara, F.; Bonetti, F.; et al. Phenotypical/functional characterization of in vitro-expanded mesenchymal stromal cells from patients with Crohn’s disease. Cytotherapy 2009, 11, 825–836. [Google Scholar] [CrossRef]
- Marconi, M.; Plebani, A.; Avanzini, M.A.; Maccario, R.; Pistorio, A.; Duse, M.; Stringa, M.; Monafo, V. IL-10 and IL-4 co-operate to normalize in vitro IgA production in IgA-deficient (IgAD) patients. Clin. Exp. Immunol. 1998, 112, 528–532. [Google Scholar] [CrossRef]
- Sitaraman, S.; Martin, E.P.; Na, C.L.; Zhao, S.; Green, J.; Deshmukh, H.; Perl, A.T.; Bridges, J.P.; Xu, Y.; Weaver, T.E. Surfactant protein C mutation links postnatal type 2 cell dysfunction to adult disease. JCI Insight 2021, 6, e142501. [Google Scholar] [CrossRef]
- Tarocco, A.; Ballardini, E.; Contiero, M.R.; Garani, G.; Fanaro, S. Two mutations in surfactant protein C gene associated with neonatal respiratory distress. Case Rep. Pediatr. 2015, 2015, 591783. [Google Scholar] [CrossRef]
- Arıkan-Ayyıldız, Z.; Caglayan-Sozmen, S.; Isık, S.; Deterding, R.; Dishop, M.K.; Couderc, R.; Epaud, R.; Louha, M.; Uzuner, N. Survival of an infant with homozygous surfactant protein C (SFTPC) mutation. Pediatr. Pulmonol. 2014, 49, E112–E115. [Google Scholar] [CrossRef]
- Guillot, L.; Epaud, R.; Thouvenin, G.; Jonard, L.; Mohsni, A.; Couderc, R.; Counil, F.; de Blic, J.; Taam, R.A.; Le Bourgeois, M.; et al. New surfactant protein C gene mutations associated with diffuse lung disease. J. Med. Genet. 2009, 46, 490–494. [Google Scholar] [CrossRef]
- Pelizzo, G.; Costanzo, F.; Andreatta, E.; Calcaterra, V. Congenital pulmonary airway malformations: From prenatal diagnosis to postnatal outcome. Minerva Pediatr. 2016, 68, 299–311. [Google Scholar]
- Pelizzo, G.; Collura, M.; Puglisi, A.; Pappalardo, M.P.; Agolini, E.; Novelli, A.; Piccione, M.; Cacace, C.; Bussani, R.; Corsello, G.; et al. Congenital emphysematous lung disease associated with a novel Filamin A mutation. Case report and literature review. BMC Pediatr. 2019, 19, 86. [Google Scholar] [CrossRef]
- Gao, J.; Dennis, J.E.; Muzic, R.F.; Lundberg, M.; Caplan, A.I. The dynamic in vivo distribution of bone marrow-derived mesenchymal stem cells after infusion. Cells Tissues Organs 2001, 169, 12–20. [Google Scholar] [CrossRef] [PubMed]
- Devine, S.M.; Cobbs, C.; Jennings, M.; Bartholomew, A.; Hoffman, R. Mesenchymal stem cells distribute to a wide range of tissues following systemic infusion into nonhuman primates. Blood 2003, 101, 2999–3001. [Google Scholar] [CrossRef] [PubMed]
- Leibacher, J.; Henschler, R. Biodistribution, migration and homing of systemically applied mesenchymal stem/stromal cells. Stem Cell Res. Ther. 2016, 7, 7. [Google Scholar] [CrossRef]
- Erkers, T.; Kaipe, H.; Nava, S.; Molldén, P.; Gustafsson, B.; Axelsson, R.; Ringdén, O. Treatment of severe chronic graft-versus-host disease with decidual stromal cells and tracing with (111)indium radiolabeling. Stem Cells Dev. 2015, 24, 253–263. [Google Scholar] [CrossRef] [PubMed]
- Lee, R.H.; Pulin, A.A.; Seo, M.J.; Kota, D.J.; Ylostalo, J.; Larson, B.L.; Semprun-Prieto, L.; Delafontaine, P.; Prockop, D.J. Intravenous hMSCs improve myocardial infarction in mice because cells embolized in lung are activated to secrete the anti-inflammatory protein TSG-6. Cell Stem Cell 2009, 5, 54–63. [Google Scholar] [CrossRef]
- Ferrini, E.; Stellari, F.F.; Franceschi, V.; Macchi, F.; Russo, L.; Murgia, A.; Grisendi, G.; Villetti, G.; Dominici, M.; Donofrio, G. Persistency of Mesenchymal Stromal/Stem Cells in Lungs. Front. Cell Dev. Biol. 2021, 9, 709225. [Google Scholar] [CrossRef]
- Li, J.D. Directed differentiation of airway epithelial cells of human bone marrow mesenchymal stem cells. Artif. Cells Nanomed. Biotechnol. 2016, 44, 1654–1658. [Google Scholar] [CrossRef]
- Rolandsson Enes, S.; Krasnodembskaya, A.D.; English, K.; Dos Santos, C.C.; Weiss, D.J. Research Progress on Strategies that can Enhance the Therapeutic Benefits of Mesenchymal Stromal Cells in Respiratory Diseases with a Specific Focus on Acute Respiratory Distress Syndrome and Other Inflammatory Lung Diseases. Front. Pharmacol. 2021, 12, 647652. [Google Scholar] [CrossRef] [PubMed]
- Saldaña, L.; Bensiamar, F.; Vallés, G.; Mancebo, F.J.; García-Rey, E.; Vilaboa, N. Immunoregulatory potential of mesenchymal stem cells following activation by macrophage-derived soluble factors. Stem Cell Res. Ther. 2019, 10, 58. [Google Scholar] [CrossRef] [PubMed]
- Mechri, M.; Epaud, R.; Emond, S.; Coulomb, A.; Jaubert, F.; Tarrant, A.; Feldmann, D.; Flamein, F.; Clement, A.; de Blic, J.; et al. Surfactant protein C gene (SFTPC) mutation-associated lung disease: High-resolution computed tomography (HRCT) findings and its relation to histological analysis. Pediatr. Pulmonol. 2010, 45, 1021–1029. [Google Scholar] [CrossRef] [PubMed]
- Thouvenin, G.; Abou Taam, R.; Flamein, F.; Guillot, L.; Le Bourgeois, M.; Reix, P.; Fayon, M.; Counil, F.; Depontbriand, U.; Feldmann, D.; et al. Characteristics of disorders associated with genetic mutations of surfactant protein C. Arch. Dis. Child. 2010, 95, 449–454. [Google Scholar] [CrossRef] [PubMed]
- Kröner, C.; Reu, S.; Teusch, V.; Schams, A.; Grimmelt, A.C.; Barker, M.; Brand, J.; Gappa, M.; Kitz, R.; Kramer, B.W.; et al. Genotype alone does not predict the clinical course of SFTPC deficiency in paediatric patients. Eur. Respir. J. 2015, 46, 197–206. [Google Scholar] [CrossRef]



| Subpopulation | Antigen Surface Expression |
|---|---|
| T naive | CD3+CD45RA+ |
| T memory | CD3+CD45RO+ |
| T transitional | CD3+CD45RA+CD45RO+ |
| CD4–CD8 naive T cells | CD4+CCR7+CD45RA+ |
| CD8+CCR7+CD45RA+ | |
| CD4–CD8 central memory T cells | CD4+CCR7+CD45RA- |
| CD8+CCR7+CD45RA- | |
| CD4–CD8 effector memory T cells | CD4+CCR7negCD45RA- |
| CD8+CCR7negCD45RA- | |
| CD4–CD8 Terminal effector T cells | CD4+CCR7negCD45RA+ |
| CD8+CCR7negCD45RA+ | |
| B naive | CD19+CD27negIgD+ |
| B memory able to switch | CD19+CD27+IgD+ |
| B memory switched | CD19+CD27+IgD- |
| Before Infusion 1 | Before Infusion 2 | Before Infusion 3 | Before Infusion 4 | Before Infusion 5 | |
|---|---|---|---|---|---|
| Age (years) | 1 year and 9 months | 1 year and 11 months | 2 years and 5 months | 2 years and 11 months | 3 years and 4 months |
| Weight kg z-score | 9.8 −1.7 | 10.3 −1.5 | 14 0.6 | 14 0 | 14.2 −0.2 |
| Height cm z-score | 80 −1.8 | 82 −1.7 | 87 −1.5 | 92 −1.3 | 94 −1.4 |
| BMI kg/m2 z-score | 15.3 −0.6 | 15.4 −0.5 | 16.4 1.5 | 16.6 0.8 | 16.1 0.6 |
| Feeding | Exclusive enteral nutrition | Exclusive enteral nutrition | Exclusive enteral nutrition | Exclusive enteral nutrition | Enteral nutrition Introduction of liquid and creamy food |
| Neurodevelopmental assessments | General hypotonia Not autonomous sitting position No language | Improvement of general hypotonia Sitting position Rolling No language | Normal muscle tone Upright station with enlarged base and double support | Normal muscle tone Fine handling of objects Independent walking Initial phonation | Normal muscle tone Independent walking Phonation |
| Infusion 1 | Infusion 2 | Infusion 3 | Infusion 4 | Infusion 5 | |
|---|---|---|---|---|---|
| Mechanical-Assisted ventilation | |||||
| Time | 24/24 h | 24/24 h | 19/24 h | 0 | 0 |
| Pressure | IPAP 16/EPAP 9/ | IPAP 14/EPAP8/ | IPAP 14/EPAP8/ | - | - |
| FiO2 | FR 22 0.5 | FR 22 0.5 | FR 22 0.45 | 1.5 L/min | 1.5 L/min |
| Spontaneous ventilation | 0 | 0 | 0 | 5 h/die | 24 h |
| Drugs | |||||
| Prednisone | 7.5 mg | 6 mg | 7.5 mg | stopped | stopped |
| Metilprednisolone | - | - | 7 mg | ||
| Lorazepam | 0.5 mg | 0.5 mg | |||
| Clonidine | 60 mg × 2 | 60 mg × 2 | 60 mg × 2 | 60 mg × 2 | 60 mg |
| Morphine | 12.5 mg | 12.5 mg | 12.5 mg | ||
| Melatonin | - | - | - | - | 1 mg |
| Number (×106/mL) | Before Infusion 1 | Before Infusion 2 | Before Infusion 3 | Before Infusion 4 | Before Infusion 5 |
|---|---|---|---|---|---|
| Total lymphocyte range (1.13–3.37) | 7.89 | 7.44 | 5.88 | 4.59 | 3.46 |
| CD3+ | 5.13 | 4.61 | 4.00 | 2.89 | 2.04 |
| CD4+ | 3.55 | 3.05 | 2.12 | 1.79 | 2.01 |
| CD25+/FoxP3 | 0.14 | 0.06 | 0.06 | 0.05 | 0.04 |
| CD8+ | 1.50 | 1.41 | 1.47 | 0.87 | 0.48 |
| CD19+ | 1.89 | 3.12 | 1.23 | 1.15 | 0.62 |
| CD16+ | 0.08 | 0.07 | 0.06 | 0.05 | 0.03 |
| CD56+ | 0.08 | 0.07 | 0.12 | 0.41 | 0.03 |
| B naive | 6.39 | 5.95 | 4.94 | 3.67 | 2.77 |
| B memory able to switch | 0.95 | 0.82 | 0.53 | 0.55 | 0.17 |
| B memory switched | 0.47 | 0.60 | 0.29 | 0.05 | 0.42 |
| T naive | 6.71 | 6.40 | 5.06 | 4.04 | 2.66 |
| T memory | 0.95 | 0.89 | 0.65 | 0.41 | 0.52 |
| T transitional | 0.08 | 0.15 | 0.06 | 0.05 | 0.00 |
| CD4 naive | 5.60 | 5.21 | 4.76 | 3.76 | 2.56 |
| CD4 central memory | 1.42 | 1.49 | 0.82 | 0.60 | 0.66 |
| CD4 effector memory | 0.63 | 0.52 | 0.24 | 0.14 | 0.17 |
| CD4 terminal effectors | 0.24 | 0.22 | 0.06 | 0.09 | 0.10 |
| CD8 naive | 6.23 | 5.65 | 3.88 | 3.72 | 2.08 |
| CD8 central memory | 0.08 | 0.15 | 0.06 | 0.18 | 0.10 |
| CD8 effector memory | 0.24 | 1.34 | 0.41 | 0.14 | 0.35 |
| CD8 terminal effectors | 1.34 | 0.37 | 1.47 | 0.55 | 0.90 |
| T cell proliferation | 305 | 317 | 155 | 309 | 210 |
| IgG | IgA | IgM | ||||
|---|---|---|---|---|---|---|
| Resting | Activated | Resting | Activated | Resting | Activated | |
| Before infusion 1 | 0.25 | 169 | 1.35 | 38 | 16 | 219 |
| Before infusion 2 | 0.12 | 39 | 0.2 | 7 | 0.6 | 41 |
| Before infusion 3 | 0.2 | 62 | 0.5 | 30 | 0.2 | 145 |
| Before infusion 4 | 0.16 | 102 | 2 | 38 | 1 | 164 |
| Before infusion 5 | 3.5 | 200 | 0.5 | 95 | 2 | 177 |
| Pre-Infusion 1 | Pre-Infusion 2 | Pre-Infusion 4 | Pre-Infusion 5 | |
|---|---|---|---|---|
| IFN-γ | 498 | 228 | 226 | 185 |
| TNF-α | 25 | 6 | 6 | <2.5 |
| IL-17 | <3 | <3 | <3 | <3 |
| IL-1β | <1 | <1 | <1 | <1 |
| IL-6 | <0.3 | <0.3 | <0.3 | <0.3 |
| IL-10 | 81.5 | 58 | 40 | 5 |
Disclaimer/Publisher’s Note: The statements, opinions and data contained in all publications are solely those of the individual author(s) and contributor(s) and not of MDPI and/or the editor(s). MDPI and/or the editor(s) disclaim responsibility for any injury to people or property resulting from any ideas, methods, instructions or products referred to in the content. |
© 2023 by the authors. Licensee MDPI, Basel, Switzerland. This article is an open access article distributed under the terms and conditions of the Creative Commons Attribution (CC BY) license (https://creativecommons.org/licenses/by/4.0/).
Share and Cite
Pelizzo, G.; Avanzini, M.A.; Croce, S.; Mandelli, A.; Lenta, E.; Farolfi, A.; Valsecchi, C.; Zirpoli, S.; Lanfranchi, G.; Durante, E.; et al. Allogeneic Mesenchymal Stromal Cells as a Global Pediatric Prospective Approach in the Treatment of Respiratory Failure Associated with Surfactant Protein C Dysfunction. Children 2023, 10, 162. https://doi.org/10.3390/children10010162
Pelizzo G, Avanzini MA, Croce S, Mandelli A, Lenta E, Farolfi A, Valsecchi C, Zirpoli S, Lanfranchi G, Durante E, et al. Allogeneic Mesenchymal Stromal Cells as a Global Pediatric Prospective Approach in the Treatment of Respiratory Failure Associated with Surfactant Protein C Dysfunction. Children. 2023; 10(1):162. https://doi.org/10.3390/children10010162
Chicago/Turabian StylePelizzo, Gloria, Maria Antonietta Avanzini, Stefania Croce, Anna Mandelli, Elisa Lenta, Andrea Farolfi, Chiara Valsecchi, Salvatore Zirpoli, Giulia Lanfranchi, Eleonora Durante, and et al. 2023. "Allogeneic Mesenchymal Stromal Cells as a Global Pediatric Prospective Approach in the Treatment of Respiratory Failure Associated with Surfactant Protein C Dysfunction" Children 10, no. 1: 162. https://doi.org/10.3390/children10010162
APA StylePelizzo, G., Avanzini, M. A., Croce, S., Mandelli, A., Lenta, E., Farolfi, A., Valsecchi, C., Zirpoli, S., Lanfranchi, G., Durante, E., Zoia, E., Zuccotti, G., & Calcaterra, V. (2023). Allogeneic Mesenchymal Stromal Cells as a Global Pediatric Prospective Approach in the Treatment of Respiratory Failure Associated with Surfactant Protein C Dysfunction. Children, 10(1), 162. https://doi.org/10.3390/children10010162

