A New Islet Transplantation Method Combining Mesenchymal Stem Cells with Recombinant Peptide Pieces, Microencapsulated Islets, and Mesh Bags
Abstract
1. Introduction
2. Experimental Section
2.1. Animals
2.2. Materials
2.3. Islet Isolation
2.4. Preparation of an Animal Model of Diabetes
2.5. Preparing a Transplant Pocket
2.6. Preparing Alginate Microcapsules
2.7. In Vitro Evaluation of Microencapsulated Pancreatic Islets
2.8. Evaluation of Antibody Permeability of Microcapsules
2.9. Formation of MSC CellSaic Platforms
2.10. Transplantation of Microencapsulated Pancreatic Islets
2.11. Comparison of Angiogenesis Induction Performance
2.12. Histological Evaluation
2.13. Statistical Analysis
3. Results
3.1. In Vitro Characterization of Encapsulated Pancreatic Islets
3.2. Effect of MSC-CellSaic on Blood Glucose Control
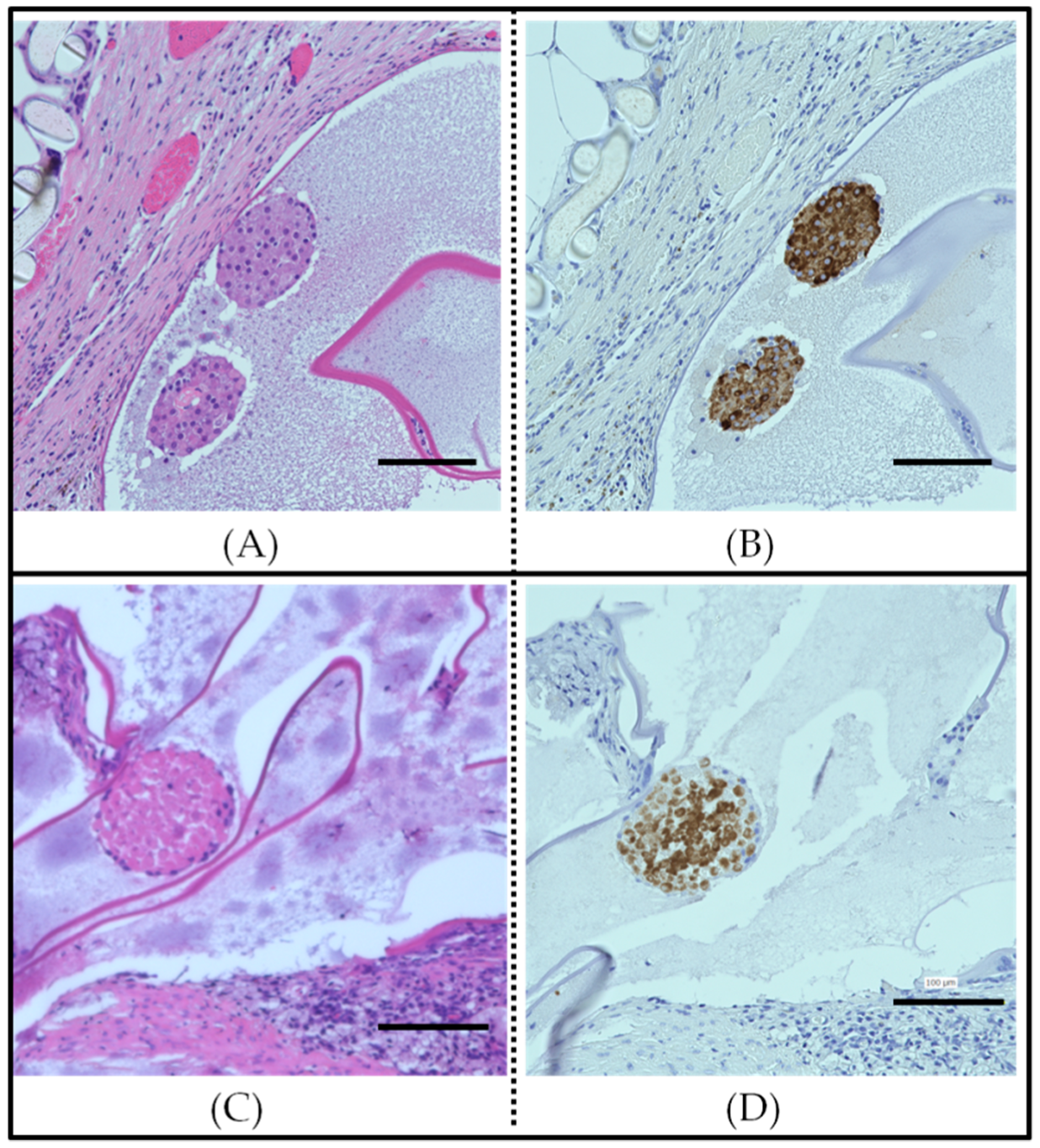
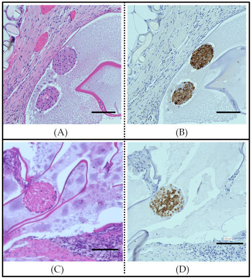
3.3. Histological Observations
3.4. Histological Comparison of Angiogenesis Induction
4. Discussion
5. Conclusions
Supplementary Materials
Author Contributions
Funding
Acknowledgments
Conflicts of Interest
References
- Oliveira, M.C.; Valdivia, E.; Verboom, M.; Yuzefovych, Y.; Sake, H.J.; Pogozhykh, O.; Niemann, H.; Schwinzer, R.; Petersen, B.; Seissler, J.; et al. Generating Low Immunogenic Pig Pancreatic Islet Cell Clusters for Xenotransplantation. J. Cell. Mol. Med. 2020, 24, 5070–5081. [Google Scholar] [CrossRef]
- O’Sullivan, E.S.; Vegas, A.; Anderson, D.G.; Weir, G.C. Islets Transplanted in Immunoisolation Devices: A Review of the Progress and the Challenges That Remain. Endocr. Rev. 2001, 32, 827–844. [Google Scholar] [CrossRef] [PubMed]
- Alejandro, R.; Barton, F.B.; Hering, B.J.; Wease, S. Collaborative Islet Transplant Registry Investigators. 2008 Update from the Collaborative Islet Transplant Registry. Transplantation 2008, 86, 1783–1788. [Google Scholar] [CrossRef] [PubMed]
- Dufrane, D.; Gianello, P. Macro- or Microencapsulation of Pig Islets to Cure Type 1 Diabetes. World J. Gastroenterol. 2012, 18, 6885–6893. [Google Scholar] [CrossRef]
- Korsgren, O. Islet Encapsulation: Physiological Possibilities and Limitations. Diabetes 2017, 66, 1748–1754. [Google Scholar] [CrossRef] [PubMed]
- Espona-Noguera, A.; Ciriza, J.; Cañibano-Hernández, A.; Orive, G.; Hernández, R.M.; Saenz del Burgo, L.; Pedraz, J.L. Review of Advanced Hydrogel-Based Cell Encapsulation Systems for Insulin Delivery in Type 1 Diabetes Mellitus. Pharmaceutics 2019, 11, 597. [Google Scholar] [CrossRef] [PubMed]
- Jo, E.H.; Hwang, Y.H.; Lee, D.Y. Encapsulation of Pancreatic Islet with HMGB1 Fragment for Attenuating Inflammation. Biomater. Res. 2015, 19, 21. [Google Scholar] [CrossRef] [PubMed]
- Barkai, U.; Rotem, A.; de Vos, P. Survival of Encapsulated Islets: More than a Membrane Story. World J. Transplant. 2016, 6, 69–90. [Google Scholar] [CrossRef] [PubMed]
- Nakamura, K.; Iwazawa, R.; Yoshioka, Y. Introduction to a New Cell Transplantation Platform via Recombinant Peptide Petaloid Pieces and Its Application to Islet Transplantation with Mesenchymal Stem Cells. Transpl. Int. 2016, 29, 1039–1050. [Google Scholar] [CrossRef]
- Nakamura, K.; Tabata, Y. A New Fluorescent Imaging of Renal Inflammation with RCP. J. Control. Release 2010, 148, 351–358. [Google Scholar] [CrossRef]
- Chang, R.C.; Kari, I.K.; Thomas, B.N.; David, R.O.; James, W.P. Recombinant Gelatins. U.S. Patents US6992172B1, 31 January 2006. [Google Scholar]
- Figliuzzi, M.; Bonandrini, B.; Silvani, S.; Remuzzi, A. Mesenchymal Stem Cells Help Pancreatic Islet Transplantation to Control Type 1 Diabetes. World J. Stem. Cells 2014, 6, 163–172. [Google Scholar] [CrossRef] [PubMed]
- Berman, D.M.; Willman, M.A.; Han, D.; Kleiner, G.; Kenyon, N.M.; Cabrera, O.; Karl, J.A.; Wiseman, R.W.; O’Connor, D.H.; Bartholomew, A.M.; et al. Mesenchymal Stem Cells Enhance Allogeneic Islet Engraftment in Nonhuman Primates. Diabetes 2010, 59, 2558–2568. [Google Scholar] [CrossRef] [PubMed]
- Arzouni, A.A.; Vargas-Seymour, A.; Rackham, C.L.; Dhadda, P.; Huang, G.-C.; Choudhary, P.; Nardi, N.; King, A.; Jones, P. Mesenchymal stromal cells improve human islet function through released products and extracellular matrix. Clin. Sci. 2017, 131, 2835–2845. [Google Scholar] [CrossRef] [PubMed]
- Elliott, R.B.; Escobar, L.; Calafiore, R.; Basta, G.; Garkavenko, O.; Vasconcellos, A.; Bambra, C. Transplantation of Micro- and Macroencapsulated Piglet Islets into Mice and Monkeys. Transplant. Proc. 2005, 37, 466–469. [Google Scholar] [CrossRef]
- Hu, S.; de Vos, P. Polymeric Approaches to Reduce Tissue Responses Against Devices Applied for Islet-Cell Encapsulation. Front. Bioeng. Biotechnol. 2019, 7, 351–358. [Google Scholar] [CrossRef]
- Pepper, A.R.; Gala-Lopez, B.; Pawlick, R.; Merani, S.; Kin, T.; Shapiro, A.M.J. A Prevascularized Subcutaneous Device-Less Site for Islet and Cellular Transplantation. Nat. Biotechnol. 2015, 33, 518–523. [Google Scholar] [CrossRef]
- Yañez, R.; Lamana, M.L.; García-Castro, J.; Colmenero, I.; Ramírez, M.; Bueren, J.A. Adipose Tissue-Derived Mesenchymal Stem Cells Have In Vivo Immunosuppressive Properties Applicable for the Control of the Graft-Versus-Host Disease. Stem Cells 2006, 24, 2582–2591. [Google Scholar] [CrossRef]
- Zha, M.; Li, F.; Xu, W.; Chen, B.; Sun, Z. Isolation and Characterization of Islet Stellate Cells in Rat. Islets 2014, 6, e28701. [Google Scholar] [CrossRef][Green Version]
- Nakanishi, W.; Imura, T.; Inagaki, A.; Nakamura, Y.; Sekiguchi, S.; Fujimori, K.; Satomi, S.; Goto, M. Ductal Injection Does Not Increase the Islet Yield or Function after Cold Storage in a Vascular Perfusion Model. PLoS ONE 2012, 7, e42319. [Google Scholar] [CrossRef]
- De Vos, P.; De Haan, B.; Van Schilfgaarde, R. Effect of the Alginate Composition on the Biocompatibility of Alginate-Polylysine Microcapsules. Biomaterials 1997, 18, 273–278. [Google Scholar] [CrossRef]
- Safley, S.A.; Cui, H.; Cauffiel, S.; Tucker-Burden, C.; Weber, C.J. Biocompatibility and Immune Acceptance of Adult Porcine Islets Transplanted Intraperitoneally in Diabetic NOD Mice in Calcium Alginate Poly-l-Lysine Microcapsules versus Barium Alginate Microcapsules without Poly-l-Lysine. J. Diabetes Sci. Technol. 2008, 2, 760–767. [Google Scholar] [CrossRef] [PubMed]
- Schneider, S.; Feilen, P.J.; Brunnenmeier, F.; Minnemann, T.; Zimmermann, H.; Zimmermann, U.; Weber, M.M. Long-Term Graft Function of Adult Rat and Human Islets Encapsulated in Novel Alginate-Based Microcapsules After Transplantation in Immunocompetent Diabetic Mice. Diabetes 2005, 54, 687–693. [Google Scholar] [CrossRef] [PubMed]
- Mørch, Ý.A.; Donati, I.; Strand, B.L.; Skjåk-Bræk, G. Effect of Ca2+, Ba2+, and Sr2+ on Alginate Microbeads. Biomacromolecules 2006, 7, 1471–1480. [Google Scholar] [CrossRef]
- Iwazawa, R.; Kozakai, S.; Kitahashi, T.; Nakamura, K.; Hata, K. The Therapeutic Effects of Adipose-Derived Stem Cells and Recombinant Peptide Pieces on Mouse Model of DSS Colitis. Cell Transplant. 2018, 27, 1390–1400. [Google Scholar] [CrossRef]
- Day, A.J.; Milner, C.M. TSG-6: A Multifunctional Protein with Anti-Inflammatory and Tissue-Protective Properties. Matrix Biol. 2019, 78–79, 60–83. [Google Scholar] [CrossRef]
- Arzouni, A.A.; Vargas-Seymour, A.; Nardi, N.; King, A.J.F.; Jones, P.M. Using Mesenchymal Stromal Cells in Islet Transplantation. Stem Cells Transl. Med. 2018, 7, 559–563. [Google Scholar] [CrossRef]
- Fumagalli, G.; Monfrini, M.; Donzelli, E.; Rodriguez-Menendez, V.; Bonandrini, B.; Figliuzzi, M.; Remuzzi, A.; D’Amico, G.; Cavaletti, G.; Scuteri, A. Protective Effect of Human Mesenchymal Stem Cells on the Survival of Pancreatic Islets. Int J Stem Cells 2019, 13, 116–126. [Google Scholar] [CrossRef]
- de Souza, B.M.; Bouças, A.P.; de Oliveira, F.D.S.; Reis, K.P.; Ziegelmann, P.; Bauer, A.C.; Crispim, D. Effect of Co-Culture of Mesenchymal Stem/Stromal Cells with Pancreatic Islets on Viability and Function Outcomes: A Systematic Review and Meta-Analysis. Islets 2017, 9, 30–42. [Google Scholar] [CrossRef]
- Fuggle, S.V.; Allen, J.E.; Johnson, R.J.; Collett, D.; Mason, P.D.; Dudley, C.; Rudge, C.J.; Bradley, J.A.; Watson, C.J.E.; Kidney Advisory Group of NHS Blood and Transplant. Factors Affecting Graft and Patient Survival After Live Donor Kidney Transplantation in the UK. Transplantation 2010, 89, 694–701. [Google Scholar] [CrossRef]
- Davis, N.E.; Beenken-Rothkopf, L.N.; Mirsoian, A.; Kojic, N.; Kaplan, D.; Barron, A.E.; Fontaine, M.J. Enhanced Function of Pancreatic Islets Co-Encapsulated with ECM Proteins and Mesenchymal Stromal Cells in a Silk Hydrogel. Biomaterials 2012, 33, 6691–6697. [Google Scholar] [CrossRef]
- Yamada, S.; Shimada, M.; Utsunomiya, T.; Ikemoto, T.; Saito, Y.; Morine, Y.; Imura, S.; Mori, H.; Arakawa, Y.; Kanamoto, M.; et al. Trophic Effect of Adipose Tissue–Derived Stem Cells on Porcine Islet Cells. J. Surg. Res. 2014, 187, 667–672. [Google Scholar] [CrossRef] [PubMed]
- Song, S.; Roy, S. Progress and Challenges in Macroencapsulation Approaches for Type 1 Diabetes (T1D) Treatment: Cells, Biomaterials, and Devices. Biotechnol. Bioeng. 2016, 113, 1381–1402. [Google Scholar] [CrossRef] [PubMed]
- Bromberg, J.S. Islet Implantation in a Pocket. Nat. Biotechnol. 2015, 33, 493–494. [Google Scholar] [CrossRef] [PubMed]
- Balamurugan, A.N.; Gu, Y.; Tabata, Y.; Miyamoto, M.; Cui, W.; Hori, H.; Satake, A.; Nagata, N.; Wang, W.; Inoue, K. Bioartificial Pancreas Transplantation at Prevascularized Intermuscular Space: Effect of Angiogenesis Induction on Islet Survival. Pancreas 2003, 26, 279–285. [Google Scholar] [CrossRef] [PubMed]






© 2020 by the authors. Licensee MDPI, Basel, Switzerland. This article is an open access article distributed under the terms and conditions of the Creative Commons Attribution (CC BY) license (http://creativecommons.org/licenses/by/4.0/).
Share and Cite
Kogawa, R.; Nakamura, K.; Mochizuki, Y. A New Islet Transplantation Method Combining Mesenchymal Stem Cells with Recombinant Peptide Pieces, Microencapsulated Islets, and Mesh Bags. Biomedicines 2020, 8, 299. https://doi.org/10.3390/biomedicines8090299
Kogawa R, Nakamura K, Mochizuki Y. A New Islet Transplantation Method Combining Mesenchymal Stem Cells with Recombinant Peptide Pieces, Microencapsulated Islets, and Mesh Bags. Biomedicines. 2020; 8(9):299. https://doi.org/10.3390/biomedicines8090299
Chicago/Turabian StyleKogawa, Ryo, Kentaro Nakamura, and Yusuke Mochizuki. 2020. "A New Islet Transplantation Method Combining Mesenchymal Stem Cells with Recombinant Peptide Pieces, Microencapsulated Islets, and Mesh Bags" Biomedicines 8, no. 9: 299. https://doi.org/10.3390/biomedicines8090299
APA StyleKogawa, R., Nakamura, K., & Mochizuki, Y. (2020). A New Islet Transplantation Method Combining Mesenchymal Stem Cells with Recombinant Peptide Pieces, Microencapsulated Islets, and Mesh Bags. Biomedicines, 8(9), 299. https://doi.org/10.3390/biomedicines8090299

