Anti-Inflammatory Effects of M-MSCs in DNCB-Induced Atopic Dermatitis Mice
Abstract
1. Introduction
2. Materials and Methods
2.1. Chemicals and Reagents
2.2. hESC Culture
2.3. Isolation of M-MSCs and Culture
2.4. M-MSC Cultured and Conditioned Media Concentration
2.5. Antibody-Based Protein Microarray
2.6. Animals
2.7. Induction and Treatment of AD-Like Skin Lesions in Mice
2.8. Histopathological Analysis
2.9. Quantitative Real-Time PCR (qPCR)
2.10. Serum Enzyme-Linked Immunosorbent Assay (ELISA)
2.11. Statistical Analysis
2.12. Ethics Statement
3. Results
3.1. Protein Antibody Array of M-MSCs
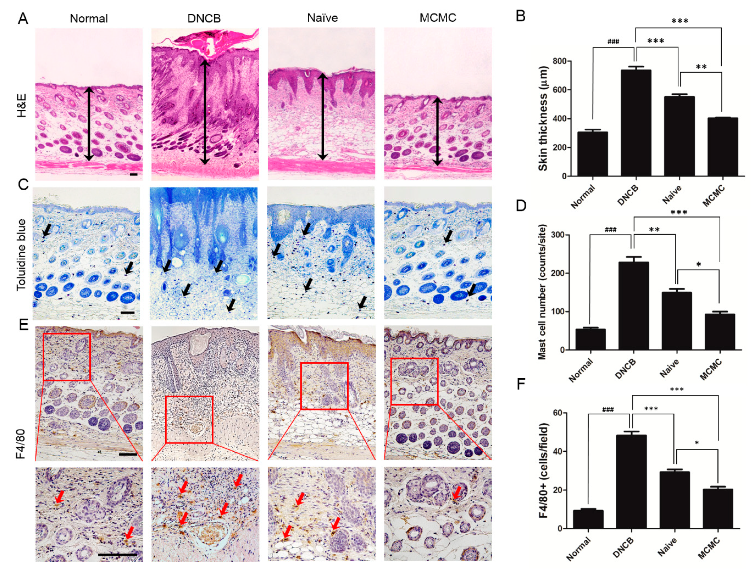
3.2. Induction and Alleviation of AD-Like Lesions on Mouse Skin
4. Discussion
Supplementary Materials
Author Contributions
Funding
Conflicts of Interest
References
- Park, G.; Oh, D.S.; Lee, M.G.; Lee, C.E.; Kim, Y.U. 6-shogaol, an active compound of ginger, alleviates allergic dermatitis-like skin lesions via cytokine inhibition by activating the nrf2 pathway. Toxicol. Appl. Pharmacol. 2016, 310, 51–59. [Google Scholar] [CrossRef] [PubMed]
- Nutten, S. Atopic dermatitis: Global epidemiology and risk factors. Ann. Nutr. Metab. 2015, 66 (Suppl. 1), 8–16. [Google Scholar] [CrossRef] [PubMed]
- Megna, M.; Napolitano, M.; Patruno, C.; Villani, A.; Balato, A.; Monfrecola, G.; Ayala, F.; Balato, N. Systemic treatment of adult atopic dermatitis: A review. Dermatol. Ther. (Heidelb) 2017, 7, 1–23. [Google Scholar] [CrossRef] [PubMed]
- Silverberg, J.I.; Gelfand, J.M.; Margolis, D.J.; Boguniewicz, M.; Fonacier, L.; Grayson, M.H.; Simpson, E.L.; Ong, P.Y.; Chiesa Fuxench, Z.C. Patient burden and quality of life in atopic dermatitis in us adults: A population-based cross-sectional study. Ann. Allergy Asthma Immunol. 2018, 121, 340–347. [Google Scholar] [CrossRef] [PubMed]
- Agrawal, R.; Wisniewski, J.A.; Woodfolk, J.A. The role of regulatory t cells in atopic dermatitis. Curr. Probl. Dermatol. 2011, 41, 112–124. [Google Scholar]
- Romagnani, S. The role of lymphocytes in allergic disease. J. Allergy Clin. Immunol. 2000, 105, 399–408. [Google Scholar] [CrossRef]
- Leung, D.Y.; Soter, N.A. Cellular and immunologic mechanisms in atopic dermatitis. J. Am. Acad. Dermatol. 2001, 44, S1–S12. [Google Scholar] [CrossRef]
- McLeod, J.J.; Baker, B.; Ryan, J.J. Mast cell production and response to il-4 and il-13. Cytokine 2015, 75, 57–61. [Google Scholar] [CrossRef]
- Madden, K.B.; Whitman, L.; Sullivan, C.; Gause, W.C.; Urban, J.F., Jr.; Katona, I.M.; Finkelman, F.D.; Shea-Donohue, T. Role of stat6 and mast cells in il-4- and il-13-induced alterations in murine intestinal epithelial cell function. J. Immunol. 2002, 169, 4417–4422. [Google Scholar] [CrossRef]
- Lim, J.Y.; Lee, J.H.; Lee, D.H.; Lee, J.H.; Kim, D.K. Umbelliferone reduces the expression of inflammatory chemokines in hacat cells and dncb/dfe-induced atopic dermatitis symptoms in mice. Int. Immunopharmacol. 2019, 75, 105830. [Google Scholar] [CrossRef]
- Napolitano, M.; Megna, M.; Patruno, C.; Gisondi, P.; Ayala, F.; Balato, N. Adult atopic dermatitis: A review. G Ital Dermatol. Venereol. 2016, 151, 403–411. [Google Scholar]
- Coondoo, A.; Phiske, M.; Verma, S.; Lahiri, K. Side-effects of topical steroids: A long overdue revisit. Indian Dermatol. Online J. 2014, 5, 416–425. [Google Scholar] [CrossRef] [PubMed]
- Cury Martins, J.; Martins, C.; Aoki, V.; Gois, A.F.; Ishii, H.A.; da Silva, E.M. Topical tacrolimus for atopic dermatitis. Cochrane Database Syst. Rev. 2015, 7, CD009864. [Google Scholar] [CrossRef] [PubMed]
- Knaan-Shanzer, S. Concise review: The immune status of mesenchymal stem cells and its relevance for therapeutic application. Stem Cells 2014, 32, 603–608. [Google Scholar] [CrossRef] [PubMed]
- Shin, T.H.; Lee, B.C.; Choi, S.W.; Shin, J.H.; Kang, I.; Lee, J.Y.; Kim, J.J.; Lee, H.K.; Jung, J.E.; Choi, Y.W.; et al. Human adipose tissue-derived mesenchymal stem cells alleviate atopic dermatitis via regulation of b lymphocyte maturation. Oncotarget 2017, 8, 512–522. [Google Scholar] [CrossRef]
- Kim, H.S.; Yun, J.W.; Shin, T.H.; Lee, S.H.; Lee, B.C.; Yu, K.R.; Seo, Y.; Lee, S.; Kang, T.W.; Choi, S.W.; et al. Human umbilical cord blood mesenchymal stem cell-derived pge2 and tgf-beta1 alleviate atopic dermatitis by reducing mast cell degranulation. Stem Cells 2015, 33, 1254–1266. [Google Scholar] [CrossRef]
- Le Blanc, K.; Mougiakakos, D. Multipotent mesenchymal stromal cells and the innate immune system. Nat. Rev. Immunol. 2012, 12, 383–396. [Google Scholar] [CrossRef]
- Wang, Y.; Chen, X.; Cao, W.; Shi, Y. Plasticity of mesenchymal stem cells in immunomodulation: Pathological and therapeutic implications. Nat. Immunol. 2014, 15, 1009–1016. [Google Scholar] [CrossRef]
- Lee, S.W.; Ryu, C.M.; Shin, J.H.; Choi, D.; Kim, A.; Yu, H.Y.; Han, J.Y.; Lee, H.Y.; Lim, J.; Kim, Y.H.; et al. The therapeutic effect of human embryonic stem cell-derived multipotent mesenchymal stem cells on chemical-induced cystitis in rats. Int. Neurourol. J. 2018, 22, S34–S45. [Google Scholar] [CrossRef]
- Karlsson, C.; Emanuelsson, K.; Wessberg, F.; Kajic, K.; Axell, M.Z.; Eriksson, P.S.; Lindahl, A.; Hyllner, J.; Strehl, R. Human embryonic stem cell-derived mesenchymal progenitors--potential in regenerative medicine. Stem Cell Res. 2009, 3, 39–50. [Google Scholar] [CrossRef]
- Thomson, J.A.; Itskovitz-Eldor, J.; Shapiro, S.S.; Waknitz, M.A.; Swiergiel, J.J.; Marshall, V.S.; Jones, J.M. Embryonic stem cell lines derived from human blastocysts. Science 1998, 282, 1145–1147. [Google Scholar] [CrossRef] [PubMed]
- Moon, S.H.; Kim, J.M.; Hong, K.S.; Shin, J.M.; Kim, J.; Chung, H.M. Differentiation of hescs into mesodermal subtypes: Vascular-, hematopoietic- and mesenchymal-lineage cells. Int. J. Stem Cells 2011, 4, 24–34. [Google Scholar] [CrossRef] [PubMed]
- Kim, J.M.; Hong, K.S.; Song, W.K.; Bae, D.; Hwang, I.K.; Kim, J.S.; Chung, H.M. Perivascular progenitor cells derived from human embryonic stem cells exhibit functional characteristics of pericytes and improve the retinal vasculature in a rodent model of diabetic retinopathy. Stem Cells Transl. Med. 2016, 5, 1268–1276. [Google Scholar] [CrossRef] [PubMed]
- Hong, K.S.; Bae, D.; Choi, Y.; Kang, S.W.; Moon, S.H.; Lee, H.T.; Chung, H.M. A porous membrane-mediated isolation of mesenchymal stem cells from human embryonic stem cells. Tissue Eng. Part C Methods 2015, 21, 322–329. [Google Scholar] [CrossRef]
- Saeed, A.I.; Sharov, V.; White, J.; Li, J.; Liang, W.; Bhagabati, N.; Braisted, J.; Klapa, M.; Currier, T.; Thiagarajan, M.; et al. Tm4: A free, open-source system for microarray data management and analysis. Biotechniques 2003, 34, 374–378. [Google Scholar] [CrossRef]
- de Winter, J.C.; Gosling, S.D.; Potter, J. Comparing the pearson and spearman correlation coefficients across distributions and sample sizes: A tutorial using simulations and empirical data. Psychol. Methods 2016, 21, 273–290. [Google Scholar] [CrossRef]
- Spearman’s rank correlation test. J. Clin. Nurs. 1999, 8, 763.
- Schlenker, E. Tips and tricks for successful application of statistical methods to biological data. Methods Mol. Biol. 2016, 1366, 271–285. [Google Scholar]
- Mukaka, M.M. Statistics corner: A guide to appropriate use of correlation coefficient in medical research. Malawi Med. J. 2012, 24, 69–71. [Google Scholar]
- Bindea, G.; Mlecnik, B.; Hackl, H.; Charoentong, P.; Tosolini, M.; Kirilovsky, A.; Fridman, W.H.; Pages, F.; Trajanoski, Z.; Galon, J. Cluego: A cytoscape plug-in to decipher functionally grouped gene ontology and pathway annotation networks. Bioinformatics 2009, 25, 1091–1093. [Google Scholar] [CrossRef]
- Chan, C.C.; Liou, C.J.; Xu, P.Y.; Shen, J.J.; Kuo, M.L.; Len, W.B.; Chang, L.E.; Huang, W.C. Effect of dehydroepiandrosterone on atopic dermatitis-like skin lesions induced by 1-chloro-2,4-dinitrobenzene in mouse. J. Dermatol. Sci. 2013, 72, 149–157. [Google Scholar] [CrossRef] [PubMed]
- Michaelidou, K.; Tzovaras, A.; Missitzis, I.; Ardavanis, A.; Scorilas, A. The expression of the ceacam19 gene, a novel member of the cea family, is associated with breast cancer progression. Int. J. Oncol. 2013, 42, 1770–1777. [Google Scholar] [CrossRef] [PubMed]
- Jin, H.; He, R.; Oyoshi, M.; Geha, R.S. Animal models of atopic dermatitis. J. Invest. Dermatol. 2009, 129, 31–40. [Google Scholar] [CrossRef] [PubMed]
- Li, A.W.; Yin, E.S.; Antaya, R.J. Topical corticosteroid phobia in atopic dermatitis: A systematic review. JAMA Dermatol. 2017, 153, 1036–1042. [Google Scholar] [CrossRef] [PubMed]
- McLean, K.; Gong, Y.; Choi, Y.; Deng, N.; Yang, K.; Bai, S.; Cabrera, L.; Keller, E.; McCauley, L.; Cho, K.R.; et al. Human ovarian carcinoma-associated mesenchymal stem cells regulate cancer stem cells and tumorigenesis via altered bmp production. J. Clin. Invest. 2011, 121, 3206–3219. [Google Scholar] [CrossRef]
- Zhang, S.; Zhao, C.; Liu, S.; Wang, Y.; Zhao, Y.; Guan, W.; Zhu, Z. Characteristics and multilineage differentiation of bone marrow mesenchymal stem cells derived from the tibetan mastiff. Mol. Med. Rep. 2018, 18, 2097–2109. [Google Scholar] [PubMed]
- Yang, X.; Hou, J.; Han, Z.; Wang, Y.; Hao, C.; Wei, L.; Shi, Y. One cell, multiple roles: Contribution of mesenchymal stem cells to tumor development in tumor microenvironment. Cell Biosci. 2013, 3, 5. [Google Scholar] [CrossRef]
- Park, K.H.; Mun, C.H.; Kang, M.I.; Lee, S.W.; Lee, S.K.; Park, Y.B. Treatment of collagen-induced arthritis using immune modulatory properties of human mesenchymal stem cells. Cell Transp. 2016, 25, 1057–1072. [Google Scholar] [CrossRef]
- Mullen, A.C.; Wrana, J.L. Tgf-beta family signaling in embryonic and somatic stem-cell renewal and differentiation. Cold Spring Harb. Perspect Biol. 2017, 9, a022186. [Google Scholar] [CrossRef]
- Mantis, N.J.; Rol, N.; Corthesy, B. Secretory iga’s complex roles in immunity and mucosal homeostasis in the gut. Mucosal Immunol. 2011, 4, 603–611. [Google Scholar] [CrossRef]
- Johansen, F.E.; Pekna, M.; Norderhaug, I.N.; Haneberg, B.; Hietala, M.A.; Krajci, P.; Betsholtz, C.; Brandtzaeg, P. Absence of epithelial immunoglobulin a transport, with increased mucosal leakiness, in polymeric immunoglobulin receptor/secretory component-deficient mice. J. Exp. Med. 1999, 190, 915–922. [Google Scholar] [CrossRef] [PubMed]
- Kiyono, H.; Azegami, T. The mucosal immune system: From dentistry to vaccine development. Proc. Jpn. Acad. Ser. B Phys. Biol. Sci. 2015, 91, 423–439. [Google Scholar] [CrossRef] [PubMed]
- Wang, M.; Gao, Z.; Zhang, Z.; Pan, L.; Zhang, Y. Roles of m cells in infection and mucosal vaccines. Hum. Vaccin Immunother 2014, 10, 3544–3551. [Google Scholar] [CrossRef]
- Matsunaga, M.C.; Yamauchi, P.S. Il-4 and il-13 inhibition in atopic dermatitis. J. Drugs Dermatol. 2016, 15, 925–929. [Google Scholar] [PubMed]
- Macey, M.R.; Sturgill, J.L.; Morales, J.K.; Falanga, Y.T.; Morales, J.; Norton, S.K.; Yerram, N.; Shim, H.; Fernando, J.; Gifillan, A.M.; et al. Il-4 and tgf-beta 1 counterbalance one another while regulating mast cell homeostasis. J. Immunol. 2010, 184, 4688–4695. [Google Scholar] [CrossRef] [PubMed]
- Frossi, B.; De Carli, M.; Daniel, K.C.; Rivera, J.; Pucillo, C. Oxidative stress stimulates il-4 and il-6 production in mast cells by an ape/ref-1-dependent pathway. Eur. J. Immunol. 2003, 33, 2168–2177. [Google Scholar] [CrossRef]




| Gene | Forward | Reverse |
|---|---|---|
| GAPDH | TCACTGCCACCCAGAAGA | GACGGACACATTGGGGGTAG |
| IL-1b | GCAACTGTTCCTGAACTCAACT | ATCTTTTGGGGTCCGTCAACT |
| IL-4 | TCACTGACGGCACAGAGCTA | CTTCTCCTGTGACCTCGTT |
| IL-10 | CAGTGGAGCAGGTGAAGAGTG | CAAGGAGTTGTTTCCGTTAGC |
| IL-6 | TAGTCCTTCCTACCCCAATTTCC | TTGGTCCTTAGCCACTCCTTC |
| IL-13 | TGAGGAGCTGAGCAACATCACACA | TGCGGTTACAGAGGCCATGCAATA |
Publisher’s Note: MDPI stays neutral with regard to jurisdictional claims in published maps and institutional affiliations. |
© 2020 by the authors. Licensee MDPI, Basel, Switzerland. This article is an open access article distributed under the terms and conditions of the Creative Commons Attribution (CC BY) license (http://creativecommons.org/licenses/by/4.0/).
Share and Cite
Ryu, B.; Baek, J.; Kim, H.; Lee, J.-H.; Kim, J.; Jeong, Y.-H.; Lee, S.-G.; Kang, K.-R.; Oh, M.-S.; Kim, E.-Y.; et al. Anti-Inflammatory Effects of M-MSCs in DNCB-Induced Atopic Dermatitis Mice. Biomedicines 2020, 8, 439. https://doi.org/10.3390/biomedicines8100439
Ryu B, Baek J, Kim H, Lee J-H, Kim J, Jeong Y-H, Lee S-G, Kang K-R, Oh M-S, Kim E-Y, et al. Anti-Inflammatory Effects of M-MSCs in DNCB-Induced Atopic Dermatitis Mice. Biomedicines. 2020; 8(10):439. https://doi.org/10.3390/biomedicines8100439
Chicago/Turabian StyleRyu, Bokyeong, Jieun Baek, Hana Kim, Ji-Heon Lee, Jin Kim, Young-Hoon Jeong, Seul-Gi Lee, Kyu-Ree Kang, Min-Seok Oh, Eun-Young Kim, and et al. 2020. "Anti-Inflammatory Effects of M-MSCs in DNCB-Induced Atopic Dermatitis Mice" Biomedicines 8, no. 10: 439. https://doi.org/10.3390/biomedicines8100439
APA StyleRyu, B., Baek, J., Kim, H., Lee, J.-H., Kim, J., Jeong, Y.-H., Lee, S.-G., Kang, K.-R., Oh, M.-S., Kim, E.-Y., Kim, C.-Y., & Chung, H. M. (2020). Anti-Inflammatory Effects of M-MSCs in DNCB-Induced Atopic Dermatitis Mice. Biomedicines, 8(10), 439. https://doi.org/10.3390/biomedicines8100439

