Abstract
Introduction: Craniopharyngiomas are rare sellar embryonic malformational tumors of low-grade histological malignancy. Despite high overall survival rates (92%), quality of life is frequently reduced due to adverse late effects caused by hypothalamic obesity. It is well known that morbid hypothalamic obesity is associated with the grade of hypothalamic damage. Accordingly, craniopharyngioma should be considered a paradigmatic disease, reflecting challenges in the diagnosis and treatment of acquired hypothalamic obesity. Methods: A narrative review was performed after searching the MEDLINE/PubMed, Embase, and Web of Science databases for initial identifying articles. The search terms childhood-onset craniopharyngioma and hypothalamic obesity were used. Results: Despite the availability of promising therapeutic approaches, such as medication with central stimulating agents, antidiabetic drugs, glucagon-like peptide 1 (GLP1) receptor agonists, and Setmelanotide, it must be emphasized that there is currently no pharmaceutical treatment for hypothalamic obesity in craniopharyngioma proven to be effective in randomized controlled trials. For Setmelanotide, a prospective blinded randomized trial over a 12-month treatment period is ongoing. Bariatric interventions are effective, but non-reversible procedures such as bypass operations are controversial in the pediatric age group due to legal and ethical concerns. Recently, a treatment algorithm was introduced to improve the management of hypothalamic syndrome/obesity by offering more personalized treatment. Decisions on treatment strategies focusing on the preservation of visual, neuroendocrine, and hypothalamic integrity should be made by experienced multidisciplinary teams. Conclusions: Treatment approaches for hypothalamic obesity are limited. Further research on novel treatment approaches for hypothalamic obesity is warranted to improve the quality of life after childhood-onset craniopharyngioma.
1. Introduction
Childhood-onset craniopharyngiomas (CPs) are embryonic tumors of low-grade histological malignancy, originating from the sellar and parasellar regions of the skull base. The WHO 2021 classification of central nervous system tumors defines adamantinomatous and papillary CPs, for the first time, as two distinct tumor entities. Adamantinomatous CP (ACP) is mainly diagnosed in children and adolescents (<18 years), whereas papillary CP (PCP) is diagnosed almost exclusively in adults. The median age at the time of diagnosis ranges from 5 to 9 years for ACP and from 55 to 69 years for PCP. The clinical picture at the time of diagnosis is often characterized by non-specific manifestations of intracranial pressure. The diagnosis of CP is often made late, sometimes years after the initial appearance of symptoms. Among adult-onset CP, the diagnosis is made mainly based on visual symptoms, as well as longstanding endocrine insufficiencies. The incidence of CP is 0.5–2.0 new CP cases per million persons per year [1] (Figure 1). Despite a high overall survival rate (92%), the quality of life after CP is frequently reduced due to adverse late effects caused by morbid obesity [2]. It is well known that the grade of hypothalamic obesity in affected CP patients is associated with the degree and extent of hypothalamic lesions [3]. Therefore, CP should be considered a paradigmatic, mostly chronic disease, reflecting problems and challenges in the diagnosis, treatment, and follow-up care of patients with acquired hypothalamic obesity [4]. This narrative review aims to present an overview of the current knowledge about hypothalamic obesity and its treatment, as well as future directions of research in this area.
Figure 1.
Features of adamantinomatous craniopharyngioma (ACP) and papillary craniopharyngioma (PCP). Reproduced from Müller, H.L. et al. (2019) [5] Craniopharyngioma. Nat. Rev. Dis. Primers with the kind permission of Springer Nature.
After searching PubMed/MEDLINE, Web of Science, and Embase for the initial identification of articles, a narrative review was performed. Craniopharyngioma and hypothalamic obesity were used as search terms. Selected English-language papers published between 1995 and 2024 were included in this narrative review.
2. Anatomical Location of Childhood-Onset Craniopharyngioma Close to the Hypothalamus
Due to the location of CPs, the proximity to the hypothalamus and pituitary gland, and the risks and challenges of treatment, CP patients frequently present with hormonal dysfunction and develop (neuro)-endocrine complications such as stunted growth, hypocortisolism, hypothyroidism, arginine vasopressin deficiency, and hypogonadism. Additionally, some CPs are located close to the optic nerves and optic chiasm and might, therefore, cause visual impairment or even blindness through mechanical compression [2]. The hypothalamus includes different nuclei, which have various functions (Figure 2).
Figure 2.
Anatomical scheme of hypothalamic nuclei, including different hypothalamus [created with a graphical software (BioRender; www.biorender.com/, Toronto, CA, USA)] [6].
The hypothalamus controls information used to regulate metabolic homeostasis, including information from the environment such as temperature, light, pain, and smell; internal information from the body such as glucose concentration, blood pressure, osmolality, and hormonal secretion through the hypothalamic–pituitary–adrenal axes; and information from the central nervous system [7]. Accordingly, the hypothalamus regulates growth, satiety and thirst, circadian rhythm, body temperature, circulatory function, stress response, and sexual and reproductive functions [7]. The hypothalamus is bordered anteriorly by the optic chiasm and caudally by the thalamus [7]. Medially, it forms part of the wall and floor of the third ventricle and merges into the infundibulum of the pituitary gland dorsally in the area of median eminence at the tuber cinereum [7]. In the region of the arcuate nucleus and the paraventricular nucleus, releasing hormones are produced and released into the portal vein system within the median eminence (Figure 2) [7]. This network connects the hypothalamus and the pituitary gland. Additionally, magnocellular neurons are located within the paraventricular nucleus and the supraoptic nucleus, projecting their axons into the neurohypophysis [7]. These neurons influence the secretion of vasopressin and oxytocin into the peripheral vascular system [8]. Neurons in the paraventricular nucleus, ventromedial nucleus, dorsomedial nucleus, and lateral hypothalamic area control food intake [7]. The median preoptic nucleus, subfornical organ, and organum vasculosum form the thirst center in the lamina terminalis [7].
3. Diagnosis, Treatment, and Follow-Up Care of Patients with Childhood-Onset Craniopharyngioma
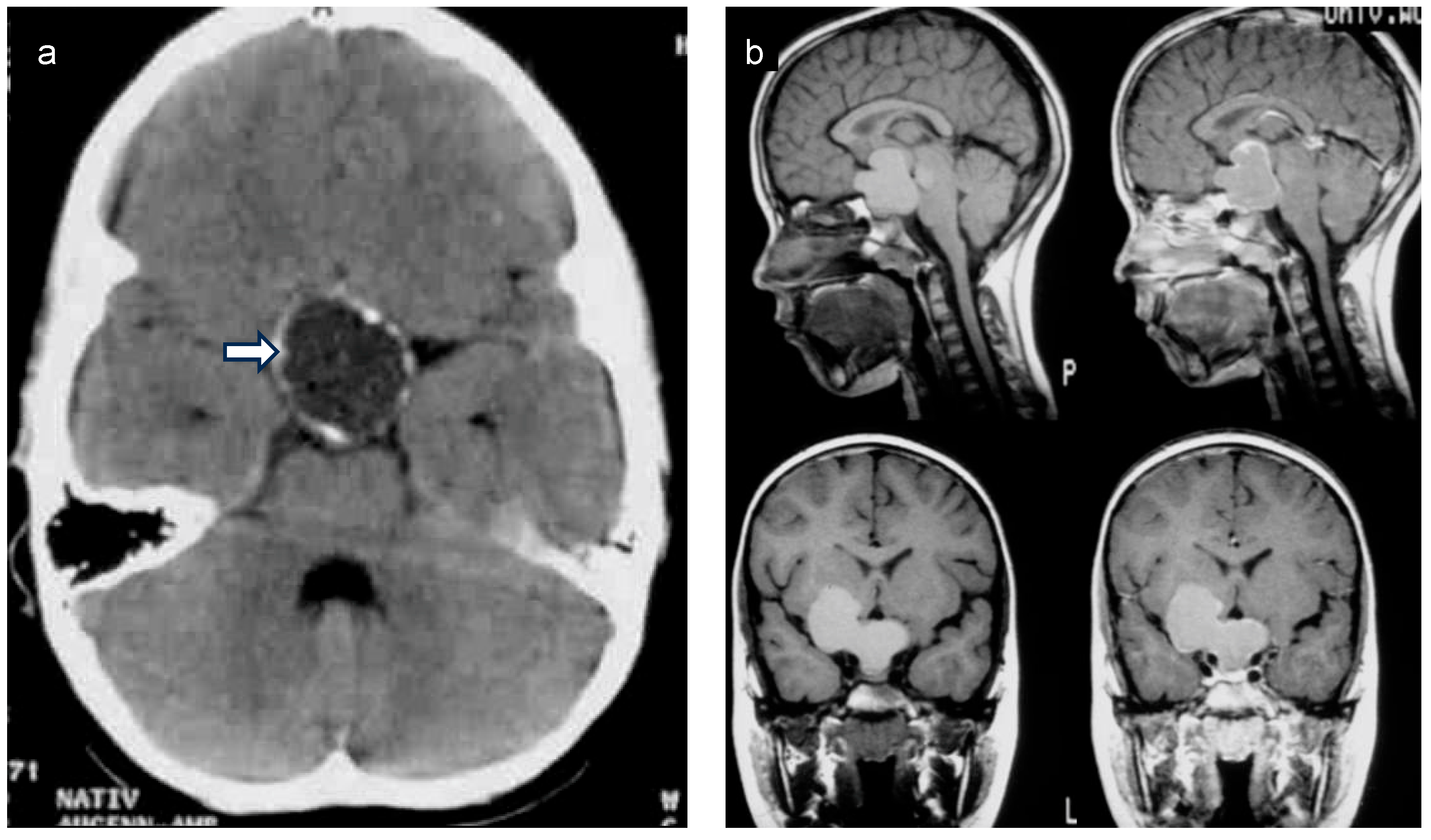
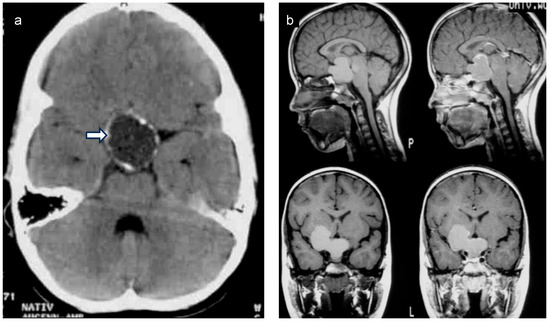
Children diagnosed with CP have a median age of 5 to 12 years old and present with varied initial symptoms and complaints. Headache, stunted growth, polyuria/polydipsia, and visual impairment can be the first signs of a CP during childhood and adolescence [9,10]. When CP is suspected, patients should ideally undergo comprehensive whole-brain magnetic resonance imaging (MRI), assessing the sellar and suprasellar area (Figure 3) via 3D high-resolution coronal, axial, and sagittal T2-weighted images and volumetric T1-weighted sequences. For initial MRI scans of CPs, using an intravenous contrast agent is recommended. To guide diagnosis, MRI should be supplemented with computed tomography (CT) scans (limited sellar scans sparing the lenses, without an intravenous contrast agent) to visualize calcifications. After neurosurgical intervention, an MRI scan within 4 weeks serves as the initial postoperative imaging method for assessing the degree of surgical resection [11]. Typically, CP is located at a single central nervous system location, being unifocal and often having solid and cystic tumor components [12]. Rare cases of ectopic CP have been reported [13].
Figure 3.
(a) Native coronal computed tomography (CT) of the skull of a patient with childhood-onset craniopharyngioma, depicting calcifications in the cyst membrane of a craniopharyngioma (arrow). (b) Sagittal and frontal magnetic resonance imaging (MRI) of a patient with childhood-onset craniopharyngioma. Both patients were recruited in the KRANIOPHARYNGEOM 2007 trial.
Morphologically, different grading systems of tumor location for hypothalamic involvement have been introduced in the literature. Puget et al. [14] developed a radiological scoring system and described three levels of preoperative hypothalamic involvement: grade 0 refers to no hypothalamic involvement, grade 1 to a tumor abutting or displacing the hypothalamus, and grade 2 to hypothalamic involvement, where the hypothalamus is no longer identifiable. Postoperatively, grade 0 refers to no hypothalamic damage, grade 1 to negligible hypothalamic damage or a residual tumor displacing the hypothalamus, and grade 2 to significant hypothalamic damage, where the floor of the third ventricle is no more identifiable [14]. Müller et al. introduced a neuroradiological grading system, where hypothalamic involvement was assessed preoperatively and hypothalamic lesions were assessed postoperatively [3,15]. Regarding preoperative hypothalamic involvement, grade 0, according to the Müller grading system, refers to no involvement of the hypothalamus by the tumor, grade 1 refers to involvement of the anterior hypothalamic area excluding the mammillary bodies and posterior hypothalamic areas beyond the mammillary bodies, and grade 2 refers to an anterior hypothalamic involvement including mammillary bodies and posterior hypothalamic areas beyond mammillary bodies [3,15]. Postoperatively, for a hypothalamic lesion, grade 0 refers to no hypothalamic lesion being present, grade 1 refers to anterior damage without a lesion affecting the mammillary bodies and the posterior hypothalamic parts, and a grade 2 lesion includes anterior parts, mammillary bodies, and posterior hypothalamic areas [3,15].
Genetically, childhood-onset CPs mostly exhibit the adamantinomatous type marked by a CTNNB1 (gene encoding β-catenin) mutation, activating the WNT pathway [16]. Tumor development is linked to inflammation, particularly increased levels of cytokines (e.g., Interleukin 6) [17].
Treatment usually includes surgical resection of the tumor, with or without subsequent radiotherapy of the residual tumor after incomplete resection. The treatment decision requires an experienced multidisciplinary team to evaluate the benefits and risks of treatment for each case individually. The first, often controversial, decision regarding the treatment of CP is whether a gross total resection can be achieved safely without surgically damaging critical neighboring cerebral structures. A consensus is that surgical CP resection should always aim to secure the integrity of the hypothalamus, visual structures, and critical skull base vessels. Subsequently, surgical interventions should also aim to reduce tumor volume while leaving parts of the tumor in critical locations unresected. Afterward, irradiation is frequently applied for treating residual CPs, though the timing of radiotherapy after surgery varies. Since CPs can also consist of cystic parts, cyst fenestrations are also applied to reduce cystic and intracranial pressure. Depending on the location of the tumor and the experience of the surgeon, a trans-sphenoidal or transcranial approach is used. Given the different characteristics of CPs, there is no “one-size-fits-all” approach for neurosurgical treatment and radiotherapy [18]. Risk-adapted decisions using individualized treatment strategies are required.
Proton beam therapy, as a modern, highly conformal, intensity-modulated irradiation technique, has been used more frequently in the past decade due to its increased practicality [19]. According to a US phase 2 clinical trial, proton beam therapy did not enhance survival rates in pediatric and adolescent patients with CP compared to historical cases, and severe complication rates remained consistent [20]. Nonetheless, cognitive outcomes were improved after proton beam therapy compared to photon-based therapy [20]. Children and adolescents treated for CP via subtotal resection and postoperative proton beam therapy have high tumor control rates and a low incidence of severe complications [20]. However, clinically relevant differences in quality of life, cognitive outcomes, and hypothalamic syndrome are still topics of debate. Furthermore, evaluating long-term outcomes such as the incidence of second malignant neoplasms and vasculopathies requires longer observational times [19].
There have been recent reports on deep brain stimulation (DBS) for treating hypothalamic obesity, which show that it has the potential to improve the quality of life in patients suffering from acquired hypothalamic obesity [21,22].
After initial surgery, MRI scans should be performed approximately every 3 months during the first postoperative year for longitudinal follow-up on the disease response [11]. Clinical manifestations present before and after treatment for CP include visual dysfunction, which is present in approximately 50% of children at CP diagnosis [23]. The post-surgical recovery of initial visual deficits has been observed in several cohorts, varying between 33 and 47% [24,25,26]. During follow-up care, hyperphagia [27], temperature dysregulation, sleep problems [28,29], arginine vasopressin deficiency (AVD), and hypopituitarism are complex symptoms associated with CP.
4. Survival After Childhood-Onset Craniopharyngioma
Thirty-year survival rates of childhood-onset CP patients are favorable (up to 80% overall survival) but frequently interrupted by numerous relapses and interventions, which lead to considerable long-term morbidity [30]. Survival of childhood-onset CP is also influenced by (neuro)endocrine deficits. Depending on tumor location and treatment-associated lesions, different hypothalamic–pituitary axes are affected. The endocrinopathies include deficiencies of thyroid-stimulating hormone (TSH), growth hormone, luteinizing hormone (LH)/follicle-stimulating hormone (FSH), adrenocorticotropic hormone (ACTH), and AVD. In one of the first large analyses on patients with CP, de Vile et al. described panhypopituitarism in 75% of the investigated samples [31].
In an international survey conducted by the Dutch Pituitary Gland patient group, patients with hypothalamic and pituitary deficiencies were asked which symptoms affected them the most during their daily lives [32]. Hypothalamic obesity and fatigue appeared to be the biggest problems for them [32]. Treating metabolic syndrome (arterial hypertension, lipid disorders, and glucose intolerance) as a consequence of hypothalamic obesity is frequently part of long-term follow-up.
Furthermore, long-term sequelae of radiotherapy can impact survival and quality of survival after CP. Besides secondary malignancies, which can appear years after irradiation exposure, vascular morbidity might be increased in patients after radiotherapy for treating CP [33,34,35].
5. Hypothalamic Syndrome
Hypothalamic syndrome is an umbrella term that describes clinical manifestations occurring in patients with hypothalamic lesions or deficiencies [4]. Patients with CP, as well as patients with other diseases such as suprasellar brain tumors (pilocytic glioma and germ cell tumors) or genetic diseases (Prader–Willi syndrome and Bardet–Biedl syndrome), with septo-optic dysplasia (SOD), and after traumatic brain injury (TBI), frequently present with symptoms of hypothalamic syndrome. Hypothalamic syndrome is not synonymous with hypothalamic obesity. Hypothalamic syndrome consists of multiple clinical characteristics and might be clinically different for each patient [36]. Van Santen et al. have described five clinical domains for diagnosing hypothalamic syndrome: eating behavior disorders, dysregulation of circadian rhythms and sleep, behavioral disorders, temperature regulation disorders, and hormonal deficiencies [37,38]. The below list explores these issues in more detail:
- Eating behavior disorders include hypo- and hyperphagia [27], which are characterized by severe hunger, binge eating, increased weight, and obesity or underweight up to cachexia, which is more likely to occur at the time of CP diagnosis and before surgical intervention [37].
- Behavioral disorders include compulsive symptoms, obsessive behavior, rage, and hoarding [39].
- Dysregulation of circadian rhythms and sleep issues include sleep apnea, hypersomnia, increased daytime sleepiness, insomnia, and fatigue [37]. Fatigue is a multidimensional symptom present if exhaustion or tiredness cannot be related to a certain activity [40]. Patients with hypothalamic syndrome might report fatigue symptoms; however, fatigue is also a recognized late effect after other pediatric cancers and can be present in patients without sleep disorders (e.g., sleep apnea and narcolepsy) [41]. Accordingly, it can also be associated with CP treatment (e.g., irradiation).
- Dysregulation of temperature issues include hyper- and hypothermia and discomfort with cold or warm extremities and face [37,42].
- Disorders of pubertal development such as central precocious puberty or delayed pubertal development and deficiencies of growth hormone, TSH, ACTH, and LH/FSH are endocrine dysfunctions described for hypothalamic syndrome [37]. Arginine vasopressin deficiency (AVD, formerly central diabetes insipidus) with or without adequate thirst feeling can be included [37].
Patients with hypothalamic syndrome have an increased risk of cardiovascular complications [35] and morbidity related to metabolic disorders [4]. The above-mentioned clinical manifestations of hypothalamic syndrome significantly impact the health-related quality of life of affected patients (Table 1).
Table 1.
Health-related quality of life after childhood-onset craniopharyngioma. Selected publications (2019–2024).
6. Pharmacological Treatment of Patients with Acquired Hypothalamic Obesity
Intractable weight gain after tumor- and/or treatment-associated hypothalamic damage is a known course of CP disease leading to morbid hypothalamic obesity. Severe hypothalamic obesity occurs in approximately 40 to 60% of patients with hypothalamic injury-related long-term sequelae after CP [18]. Physiologically, weight and appetite are regulated through orexigenic (e.g., neuropeptide Y, ghrelin, and orexin A and B) and anorexigenic (e.g., insulin, leptin, adiponectin, and brain-derived neurotrophic factor (BDNF)) pathways [54]. These pathways can be disturbed due to the tumor- and/or treatment-related damage of specific hypothalamic nuclei such as the nucleus arcuatus, ventromedial nucleus, and nucleus tractus solitarius [54]. Resistance to leptin and insulin are clinical consequences [55]. Furthermore, eating behavior disorders including imbalances of satiety and appetite sensation can be observed as adverse effects [38]. Due to increased vagal activation, CP patients with hypothalamic obesity present with parasympathetic dominance of their autonomic nervous system [56]. Lower levels of total energy expenditure are frequently observed due to decreased sympathetic activity. Parasympathetic dominance results in long-term fat accumulation and hyperinsulinemia [38].
Once patients have reached morbid levels of obesity, a reduction in obesity can hardly be achieved [38]. To date, no “one-size-fits-all” standard treatment of hypothalamic obesity exists in these clinically challenging cases [54]. Current strategies include preventing or minimizing hypothalamic lesions via hypothalamus-sparing surgeries, novel radio-oncological techniques (e.g., proton beam therapy), and novel pharmacological agents for treating hypothalamic obesity [57].
Morbid obesity due to hypothalamic damage is mostly non-responsive to conventional lifestyle modifications such as physical exercise or dietary interventions [58]. Central stimulating pharmaceutical agents such as methylphenidate, dextroamphetamine, and tesomet increase the metabolic rate and suppress appetite [59,60]. A systematic review by van Iersel et al. observed weight reduction or stabilization in 89% of patients with hypothalamic obesity [38]. Central stimulating agents may also have beneficial effects on fatigue, increased daytime sleepiness, hyperphagia, and psychosocial disorders [38].
Pharmacological agents with antidiabetic effects (i.e., glucagon-like peptide (GLP)-1 receptor agonists, metformin, diazoxide, fenofibrate, and pioglitazone) can reduce weight gain and improve insulin sensitivity. Metformin seems to stabilize and reduce weight development with the least side effects. However, the long-term effects of metformin medication on hypothalamic obesity are unknown [61]. The beneficial effects of GLP-1 receptor agonist treatment on weight development in adult patients with hypothalamic obesity have been discussed but are controversial. The benefits of decreased food intake and improved glycemic control have been reported [62,63]. Semaglutide has been approved by the FDA for obesity treatment in adolescents, and a median BMI decrease of 17% has been reported. It has also been speculated that semaglutide could have beneficial effects on weight development in patients suffering from acquired hypothalamic obesity [64,65,66]. Early studies suggested that GLP-1 receptor agonists might increase the risk of thyroid cancer [67]. A large-scale Scandinavian study found no significant increase in thyroid cancer risk in those taking GLP-1 receptor agonists compared with those on other treatments for type 2 diabetes [68].
The neuropeptide oxytocin suppresses appetite and hunger sensation. Changes in the salivary concentrations of oxytocin triggered by food intake and exercise seemed to be associated with eating behavior and BMI in CP patients. These observations led to speculation that oxytocin treatment might have a beneficial effect on hypothalamic obesity [69,70]. However, there are still unanswered questions regarding pathomechanisms of action and dosage of oxytocin in treating patients with CP and hypothalamic syndrome.
Setmelanotide, a melanocortin-4 receptor (MC4R) agonist originally developed for treating congenital hypothalamic obesity caused by pro-opiomelanocortin (POMC) or leptin receptor (LEPR) deficiency [71], is known to stimulate remaining (hypothalamic) MC4R neurons [55]. Disruptions of the MC4R pathway lead to hyperphagia and consecutive hypothalamic obesity. In a recent phase 2 study in adults and children, Roth et al. observed an impressive reduction in BMI (mean BMI reduction of 15% ± 10%), clinically relevant mitigating effects on hyperphagia, and beneficial effects on quality of life [72]. Currently, the effects of Setmelanotide on weight development and hyperphagia in patients with hypothalamic obesity are being analyzed through an ongoing prospective blinded randomized trial over a 12-month treatment period. Setmelanotide might provide a new and promising therapeutic perspective on hypothalamic obesity [73] (Table 2).
Table 2.
Therapeutic approaches for treating acquired hypothalamic obesity and effects on weight development/obesity.
7. Bariatric Surgery
Bariatric interventions demonstrated notable effectiveness in weight loss and safety in patients with CP [84,85,90] (Table 1). In a 2013 meta-analysis, Bretault et al. [84] reviewed 21 cases and observed significant weight reduction at 6 months and 12 months after bariatric intervention (−20.9% weight loss at 6 months; −15.1% weight loss at 12 months). The greatest weight reduction was achieved after the Roux-en-Y gastric bypass (RYGB). In pediatric patients, the application of non-reversible bariatric techniques such as bypass interventions is ethically and legally controversial. The decision for bariatric treatment should be made by multidisciplinary teams in the context of national/international trials [90]. The Endocrine Society has published a Clinical Practice Guideline for Treating Pediatric Obesity [91], suggesting that only adolescents with severe obesity (BMI > 40 kg/m2 or BMI > 35 kg/m2 plus comorbidities), Tanner > 3 pubertal stage, and final or near-final adult height should be considered for bariatric surgery. Postoperative adverse side effects after bariatric surgical interventions include anemia due to iron deficiency, gastrointestinal complications such as diarrhea, dumping syndrome due to RYGB, vitamin D and folic acid deficiency, impaired resorption of oral vasopressin medication following sleeve gastrectomy, and dysphagia and vomiting due to laparoscopic gastric banding (LAGB) [90]. As patients with severe hypothalamic obesity frequently suffer from varied neuroendocrine dysfunctions, the specific benefits of bariatric interventions on hypothalamic obesity are not well documented. Patients with hypothalamic obesity should be evaluated individually to decide whether they are candidates for bariatric intervention and which bariatric procedure is most appropriate.
8. Conclusions
Acquired hypothalamic obesity causes severe morbidity and impairment of quality of life in survivors of CP. Treatment for hypothalamic obesity after CP has thus far been rather disappointing. Accordingly, hypothalamus-sparing treatment strategies are currently the most effective therapeutic options for preventing hypothalamic syndrome and acquired hypothalamic obesity. Standardizing the diagnostic criteria for hypothalamic obesity/syndrome and surgical and radio-oncological interventions could help to improve treatment quality. In adult-onset CP, targeted therapy of BRAF V600E mutation-positive CP is promising. Similar approaches in pediatric CP could help to treat and reverse hypothalamic tumor infiltration as a major pathogenic component in acquired hypothalamic obesity. Novel pharmaceutical agents for treating hyperphagia and hypothalamic obesity such as Setmelanotide have shown promising results. Further developing new agents and testing them in randomized trials could help to provide promising new perspectives for treating patients with hypothalamic obesity. Decisions on treatments should be made by experienced multidisciplinary teams. Due to the rareness of the disease, collaboration in international trials and registries is necessary.
Funding
This research was funded by the German Childhood Cancer Foundation, Bonn, Germany (H.L.M., DKS2014.13).
Data Availability Statement
The datasets generated and/or analyzed during the current study are available from the author upon reasonable request.
Acknowledgments
The author would like to thank colleagues, patients, and their families for participating in trials on craniopharyngioma.
Conflicts of Interest
The author has received reimbursement of participation fees for scientific meetings and continuing medical education events from the following companies: Ferring, Pfizer, Sandoz/Hexal, Novo Nordisk, IPSEN, Merck Serono, and Rhythm Pharmaceuticals. He has received reimbursement of travel expenses from Merck Serono, Rhythm Pharmaceuticals, and IPSEN and lecture honoraria from Pfizer and Rhythm Pharmaceuticals. The funders had no role in the design of the review; the collection, analysis, or interpretation of data; the writing of the manuscript; or the decision to publish the review.
Abbreviations
The following abbreviations are used in this manuscript:
| ACTH | Adrenocorticotropic hormone |
| MSH | -melanocyte-stimulating hormone |
| BMI | Body mass index |
| CP | Craniopharyngioma |
| CT | Computed tomography |
| DBS | Deep brain stimulation |
| FSH | Follicle-stimulating hormone |
| GLP-1 | Glucagon-like peptide |
| LAGB | Laparoscopic adjusted gastric banding |
| LEPR | Leptin receptor |
| LH | Luteinizing hormone |
| MC4R | Melanocortin-4 receptor |
| MRI | Magnetic resonance imaging |
| POMC | Pro-opiomelanocortin |
| QOL | Quality of life |
| RCT | Randomized controlled trial |
| RYGB | Roux-en-Y gastric bypass |
| SDS | Standard deviation score |
| SG | Sleeve gastrectomy |
| TBI | Traumatic brain injury |
| TSH | Thyroid-stimulating hormone |
| TWL | Total weight loss |
References
- Santagata S., K.-D.B.; Komori, T.; Müller, H.L.; Pietsch, T. Adamantinomatous craniopharyngioma. In WHO Classification of Tumours Editorial Board; Brat, D.J.G.A., Wesseling, P., Eds.; Tumours of the Sellar Region; Central Nervous System Tumours; WHO Classification of Tumours Series; International Agency for Research on Cancer: Lyon, France, 2021; Volume 6, pp. 393–396. [Google Scholar]
- Sterkenburg, A.S.; Hoffmann, A.; Gebhardt, U.; Warmuth-Metz, M.; Daubenbuchel, A.M.; Muller, H.L. Survival, Hypothalamic Obesity, and Neuropsychological/Psychosocial Status after Childhood-Onset Craniopharyngioma: Newly Reported Long-Term Outcomes. Neuro Oncol. 2015, 17, 1029–1038. [Google Scholar] [CrossRef] [PubMed]
- Muller, H.L.; Gebhardt, U.; Teske, C.; Faldum, A.; Zwiener, I.; Warmuth-Metz, M.; Pietsch, T.; Pohl, F.; Sorensen, N.; Calaminus, G. Post-Operative Hypothalamic Lesions and Obesity in Childhood Craniopharyngioma: Results of the Multinational Prospective Trial Kraniopharyngeom 2000 after 3-year Follow-Up. Eur. J. Endocrinol. 2011, 165, 17–24. [Google Scholar] [CrossRef] [PubMed]
- Müller, H.L.; Tauber, M.; Lawson, E.A.; Özyurt, J.; Bison, B.; Martinez-Barbera, J.-P.; Puget, S.; Merchant, T.E.; van Santen, H.M. Hypothalamic Syndrome. Nat. Rev. Dis. Primers 2022, 8, 24. [Google Scholar] [CrossRef] [PubMed]
- Müller, H.L.; Merchant, T.E.; Warmuth-Metz, M.; Martinez-Barbera, J.-P.; Puget, S. Craniopharyngioma. Nat. Rev. Dis. Primers 2019, 5, 75. [Google Scholar] [CrossRef]
- Beckhaus, J. Diagnostic Determinants and Long-Term Outcomes of Childhood-Onset Craniopharyngioma; Carl von Ossietzky Universität Oldenburg: Oldenburg, Germany, 2024. [Google Scholar]
- Popp, M.-G.; Crivii, C.B.; Opincariu, I. Introduction to the Hypothalamus: Correlated from Animal Studies. In The Human Hypothalamus, 1st ed.; Uwaifo, G.I., Ed.; Humana Cham: Cham, Switzerland, 2020; pp. 3–6. [Google Scholar] [CrossRef]
- Brown, C.H.; Bains, J.S.; Ludwig, M.; Stern, J.E. Physiological Regulation of Magnocellular neurosecretory CELL Activity: Integration of Intrinsic, Local and Afferent Mechanisms. J. Neuroendocrinol. 2013, 25, 678–710. [Google Scholar] [CrossRef]
- Pang, J.C.; Chung, D.D.; Wang, J.; Abiri, A.; Lien, B.V.; Himstead, A.S.; Ovakimyan, A.; Kim, M.G.; Hsu, F.P.K.; Kuan, E.C. Characteristics and Outcomes in Pediatric Versus Adult Craniopharyngiomas: A Systematic Review and Meta-Analysis. Neurosurgery 2023, 92, 1112–1129. [Google Scholar] [CrossRef]
- Muller, H.L.; Emser, A.; Faldum, A.; Bruhnken, G.; Etavard-Gorris, N.; Gebhardt, U.; Oeverink, R.; Kolb, R.; Sorensen, N. Longitudinal Study on Growth and Body Mass Index before and after Diagnosis of Childhood Craniopharyngioma. J. Clin. Endocrinol. Metab. 2004, 89, 3298–3305. [Google Scholar] [CrossRef]
- Hoffman, L.M.; Jaimes, C.; Mankad, K.; Mirsky, D.M.; Tamrazi, B.; Tinkle, C.L.; Kline, C.; Ramasubramanian, A.; Malbari, F.; Mangum, R.; et al. Response Assessment in Pediatric Craniopharyngioma: Recommendations from the Response Assessment in Pediatric Neuro-Oncology (Rapno) Working Group. Neuro Oncol. 2023, 25, 224–233. [Google Scholar] [CrossRef]
- Warmuth-Metz, M.; Gnekow, A.K.; Muller, H.; Solymosi, L. Differential Diagnosis of Suprasellar Tumors in Children. Klin. Padiatr. 2004, 216, 323–330. [Google Scholar] [CrossRef]
- Ji, C.; Cheng, H.; Zhou, X.; Cao, X.; Qiao, N.; Shi, C.; Zhang, Y.; Ye, Z.; Zhao, Y. Ectopic Recurrence Craniopharyngioma: Series Report and Literature Review. Chin. Neurosurg. J. 2023, 9, 13. [Google Scholar] [CrossRef]
- Puget, S.; Garnett, M.; Wray, A.; Grill, J.; Habrand, J.L.; Bodaert, N.; Zerah, M.; Bezerra, M.; Renier, D.; Pierre-Kahn, A.; et al. Pediatric Craniopharyngiomas: Classification and Treatment According to the Degree of Hypothalamic Involvement. J. Neurosurg. 2007, 106, 3–12. [Google Scholar] [CrossRef] [PubMed]
- Muller, H.L.; Gebhardt, U.; Faldum, A.; Warmuth-Metz, M.; Pietsch, T.; Pohl, F.; Calaminus, G.; Sorensen, N. Xanthogranuloma, Rathke’s Cyst, and Childhood Craniopharyngioma: Results of Prospective Multinational Studies of Children and Adolescents with Rare Sellar Malformations. J. Clin. Endocrinol. Metab. 2012, 97, 3935–3943. [Google Scholar] [CrossRef] [PubMed]
- Martinez-Barbera, J.P.; Andoniadou, C.L. Biological Behaviour of Craniopharyngiomas. Neuroendocrinology 2020, 110, 797–804. [Google Scholar] [CrossRef]
- Whelan, R.; Prince, E.; Gilani, A.; Hankinson, T. The Inflammatory Milieu of Adamantinomatous Craniopharyngioma and Its Implications for Treatment. J. Clin. Med. 2020, 9, 519. [Google Scholar] [CrossRef]
- Gabay, S.; Merchant, T.E.; Boop, F.A.; Roth, J.; Constantini, S. Shifting Strategies in the Treatment of Pediatric Craniopharyngioma. Curr. Oncol. Rep. 2023, 25, 1497–1513. [Google Scholar] [CrossRef]
- Friedrich, C.; Boekhoff, S.; Bischoff, M.; Beckhaus, J.; Sowithayasakul, P.; Calaminus, G.; Eveslage, M.; Valentini, C.; Bison, B.; Harrabi, S.B.; et al. Outcome after Proton Beam Therapy Versus Photon-Based Radiation Therapy in Childhood-Onset Craniopharyngioma Patients-Results of Kraniopharyngeom 2007. Front. Oncol. 2023, 13, 1180993. [Google Scholar] [CrossRef]
- Merchant, T.E.; Hoehn, M.E.; Khan, R.B.; Sabin, N.D.; Klimo, P.; Boop, F.A.; Wu, S.; Li, Y.; Burghen, E.A.; Jurbergs, N.; et al. Proton Therapy and Limited Surgery for Paediatric and Adolescent Patients with Craniopharyngioma (RT2CR): A Single-Arm, Phase 2 Study. Lancet Oncol. 2023, 24, 523–534. [Google Scholar] [CrossRef]
- Harat, M.; Rudas, M.; Zielinski, P.; Birska, J.; Sokal, P. Nucleus Accumbens Stimulation in Pathological Obesity. Neurol. Neurochir. Pol. 2016, 50, 207–210. [Google Scholar] [CrossRef]
- Dassen, A.R.; van Schaik, J.; van den Munckhof, P.; Schuurman, P.R.; Hoving, E.W.; van Santen, H.M. Could Deep Brain Stimulation Be a Possible Solution for Acquired Hypothalamic Obesity? Heliyon 2023, 9, e14411. [Google Scholar] [CrossRef]
- Nuijts, M.A.; Veldhuis, N.; Stegeman, I.; van Santen, H.M.; Porro, G.L.; Imhof, S.M.; Schouten-van Meeteren, A.Y.N. Visual Functions in Children with Craniopharyngioma at Diagnosis: A Systematic Review. PLoS ONE 2020, 15, e0240016. [Google Scholar] [CrossRef]
- Caldarelli, M.; Massimi, L.; Tamburrini, G.; Cappa, M.; Di Rocco, C. Long-Term Results of the Surgical Treatment of Craniopharyngioma: The Experience at the Policlinico Gemelli, Catholic University, Rome. Childs Nerv. Syst. 2005, 21, 747–757. [Google Scholar] [CrossRef] [PubMed]
- Elliott, R.E.; Jane, J.A., Jr.; Wisoff, J.H. Surgical Management of Craniopharyngiomas in Children: Meta-Analysis and Comparison of Transcranial and Transsphenoidal Approaches. Neurosurgery 2011, 69, 630–643; discussion 643. [Google Scholar] [CrossRef] [PubMed]
- Prieto, R.; Pascual, J.M.; Barrios, L. Optic Chiasm Distortions Caused by Craniopharyngiomas: Clinical and Magnetic Resonance Imaging Correlation and Influence on Visual Outcome. World Neurosurg. 2015, 83, 500–529. [Google Scholar] [CrossRef] [PubMed]
- Heymsfield, S.B.; Clement, K.; Dubern, B.; Goldstone, A.P.; Haqq, A.M.; Kuhnen, P.; Richards, J.; Roth, C.L.; Akker, E.; Wabitsch, M.; et al. Defining Hyperphagia for Improved Diagnosis and Management of Mc4r Pathway-Associated Disease: A Roundtable Summary. Curr. Obes. Rep. 2025, 14, 13. [Google Scholar] [CrossRef]
- Muller, H.L.; Muller-Stover, S.; Gebhardt, U.; Kolb, R.; Sorensen, N.; Handwerker, G. Secondary Narcolepsy May Be a Causative Factor of Increased Daytime Sleepiness in Obese Childhood Craniopharyngioma Patients. J. Pediatr. Endocrinol. Metab. 2006, 19 (Suppl. 1), 423–429. [Google Scholar] [CrossRef]
- Muller, H.L.; Handwerker, G.; Wollny, B.; Faldum, A.; Sorensen, N. Melatonin Secretion and Increased Daytime Sleepiness in Childhood Craniopharyngioma Patients. J. Clin. Endocrinol. Metab. 2002, 87, 3993–3996. [Google Scholar] [CrossRef]
- Gan, H.W.; Morillon, P.; Albanese, A.; Aquilina, K.; Chandler, C.; Chang, Y.C.; Drimtzias, E.; Farndon, S.; Jacques, T.S.; Korbonits, M.; et al. National UK Guidelines for the Management of Paediatric Craniopharyngioma. Lancet Diabetes Endocrinol. 2023, 11, 694–706. [Google Scholar] [CrossRef]
- DeVile, C.J.; Grant, D.B.; Hayward, R.D.; Stanhope, R. Growth and Endocrine Sequelae of Craniopharyngioma. Arch. Dis. Child. 1996, 75, 108–114. [Google Scholar] [CrossRef]
- Van Roessel, I.; de Graaf, J.P.; Biermasz, N.R.; Charmandari, E.; van Santen, H.M. Acquired Hypothalamic Dysfunction in Childhood: ‘What Do Patients Need?’—An Endo-Ern Survey. Endocr. Connect. 2023, 12, e230147. [Google Scholar] [CrossRef]
- Lucas, J.T., Jr.; Faught, A.M.; Hsu, C.Y.; Wilson, L.J.; Guo, Y.; Li, Y.; Khan, R.; Becksfort, J.B.; LeVine, D.A.; Ismael, Y.; et al. Pre- and Posttherapy Risk Factors for Vasculopathy in Pediatric Patients with Craniopharyngioma Treated With Surgery and Proton Radiation Therapy. Int. J. Radiat. Oncol. Biol. Phys. 2022, 113, 152–160. [Google Scholar] [CrossRef]
- Newhauser, W.D.; Durante, M. Assessing the Risk of Second Malignancies after Modern Radiotherapy. Nat. Rev. Cancer 2011, 11, 438–448. [Google Scholar] [CrossRef] [PubMed]
- Beckhaus, J.; Friedrich, C.; Muller, H.L. Vascular Morbidity and Mortality in Craniopharyngioma Patients-A Scoping Review. Cancers 2024, 16, 1099. [Google Scholar] [CrossRef] [PubMed]
- Van Schaik, J.; Hoving, E.W.; Muller, H.L.; van Santen, H.M. Hypothalamic-Pituitary Outcome after Treatment for Childhood Craniopharyngioma. Front. Horm. Res. 2021, 54, 47–57. [Google Scholar] [CrossRef] [PubMed]
- Van Santen, H.M.; van Schaik, J.; van Roessel, I.M.; Beckhaus, J.; Boekhoff, S.; Müller, H.L. Diagnostic Criteria for the Hypothalamic Syndrome in Childhood. Eur. J. Endocrinol. 2023, 188, 214–225. [Google Scholar] [CrossRef]
- Van Iersel, L.; Brokke, K.E.; Adan, R.A.H.; Bulthuis, L.C.M.; van den Akker, E.L.T.; van Santen, H.M. Pathophysiology and Individualized Treatment of Hypothalamic Obesity Following Craniopharyngioma and Other Suprasellar Tumors: A Systematic Review. Endocr. Rev. 2019, 40, 193–235. [Google Scholar] [CrossRef]
- Ozyurt, J.; Thiel, C.M.; Lorenzen, A.; Gebhardt, U.; Calaminus, G.; Warmuth-Metz, M.; Muller, H.L. Neuropsychological Outcome in Patients with Childhood Craniopharyngioma and Hypothalamic Involvement. J. Pediatr. 2014, 164, 876–881.e4. [Google Scholar] [CrossRef]
- Van Deuren, S.; Boonstra, A.; van Dulmen-den Broeder, E.; Blijlevens, N.; Knoop, H.; Loonen, J. Severe Fatigue after Treatment for Childhood Cancer. Cochrane Database Syst. Rev. 2020, 3, Cd012681. [Google Scholar] [CrossRef]
- Helligsoe, A.S.L.; Weile, K.S.; Kenborg, L.; Henriksen, L.T.; Lassen-Ramshad, Y.; Amidi, A.; Wu, L.M.; Winther, J.F.; Pickering, L.; Mathiasen, R. Systematic Review: Sleep Disorders Based on Objective Data in Children and Adolescents Treated for a Brain Tumor. Front. Neurosci. 2022, 16, 808398. [Google Scholar] [CrossRef]
- Tran, L.T.; Park, S.; Kim, S.K.; Lee, J.S.; Kim, K.W.; Kwon, O. Hypothalamic Control of Energy Expenditure and Thermogenesis. Exp. Mol. Med. 2022, 54, 358–369. [Google Scholar] [CrossRef]
- Aldave, G.; Okcu, M.F.; Chintagumpala, M.; Ruggieri, L.; Minard, C.G.; Malbari, F.; Mash, L.E.; Paulino, A.C.; McGovern, S.; Ramaswamy, U.; et al. Comparison of Neurocognitive and Quality-of-Life Outcomes in Pediatric Craniopharyngioma Patients Treated with Partial Resection and Radiotherapy Versus Gross-Total Resection Only. J. Neurosurg. Pediatr. 2023, 31, 453–462. [Google Scholar] [CrossRef]
- Baqai, M.W.S.; Shah, Z.; Malik, M.J.A.; Zia, N.; Shafqat, S.; Zahid, N.; Shamim, M.S. Quality of Life of Pediatric Patients with Craniopharyngioma: A Retrospective Series from a Low-Middle-Income Country with More Than 4 Years Follow-Up. Surg. Neurol. Int. 2024, 15, 199. [Google Scholar] [CrossRef] [PubMed]
- Bogusz, A.; Boekhoff, S.; Warmuth-Metz, M.; Calaminus, G.; Eveslage, M.; Muller, H.L. Posterior Hypothalamus-Sparing Surgery Improves Outcome after Childhood Craniopharyngioma. Endocr. Connect. 2019, 8, 481–492. [Google Scholar] [CrossRef] [PubMed]
- Kayadjanian, N.; Hsu, E.A.; Wood, A.M.; Carson, D.S. Caregiver Burden and Its Relationship to Health-Related Quality of Life in Craniopharyngioma Survivors. J. Clin. Endocrinol. Metab. 2023, 109, e76–e87. [Google Scholar] [CrossRef] [PubMed]
- Mann-Markutzyk, L.V.; Beckhaus, J.; Ozyurt, J.; Mehren, A.; Friedrich, C.; Muller, H.L. Daytime Sleepiness and Health-Related Quality of Life in Patients with Childhood-Onset Craniopharyngioma. Sci. Rep. 2025, 15, 9407. [Google Scholar] [CrossRef]
- Eveslage, M.; Calaminus, G.; Warmuth-Metz, M.; Kortmann, R.D.; Pohl, F.; Timmermann, B.; Schuhmann, M.U.; Flitsch, J.; Faldum, A.; Muller, H.L. The Postopera tive Quality of Life in Children and Adolescents with Craniopharyngioma. Dtsch. Arztebl. Int. 2019, 116, 321–328. [Google Scholar] [CrossRef]
- Craven, M.; Crowley, J.H.; Chiang, L.; Kline, C.; Malbari, F.; Hocking, M.C.; McCormack, S.E. A Survey of Patient-Relevant Outcomes in Pediatric Craniopharyngioma: Focus on Hypothalamic Obesity. Front. Endocrinol. 2022, 13, 876770. [Google Scholar] [CrossRef]
- Mandrell, B.N.; Guo, Y.; Li, Y.; Hancock, D.; Caples, M.; Ashford, J.M.; Merchant, T.E.; Conklin, H.M.; Crabtree, V.M. Internalizing Symptoms and Their Impact on Patient-Reported Health-Related Quality of Life and Fatigue among Patients with Craniopharyngioma during Proton Radiation Therapy. Children 2024, 11, 1159. [Google Scholar] [CrossRef]
- Niel, K.A.; Klages, K.L.; Merchant, T.E.; Wise, M.S.; Hancock, D.; Caples, M.; Mandrell, B.N.; Conklin, H.M.; Crabtree, V.M. Impact of Sleep, Neuroendocrine, and Executive Function on Health-Related Quality of Life in Young People with Craniopharyngioma. Dev. Med. Child. Neurol. 2021, 63, 984–990. [Google Scholar] [CrossRef]
- Sowithayasakul, P.; Beckhaus, J.; Boekhoff, S.; Friedrich, C.; Calaminus, G.; Muller, H.L. Vision-Related Quality of Life in Patients with Childhood-Onset Craniopharyngioma. Sci. Rep. 2023, 13, 19599. [Google Scholar] [CrossRef]
- Van Schaik, J.; Schouten-van Meeteren, A.Y.N.; Vos-Kerkhof, E.; Janssens, G.O.; Porro, G.L.; Fiocco, M.; Bakker, B.; Tissing, W.J.E.; Hoving, E.W.; van Santen, H.M. Treatment and outcome of the Dutch Childhood Craniopharyngioma Cohort Study: First Results after Centralization of Care. Neuro Oncol. 2023, 25, 2250–2261. [Google Scholar] [CrossRef]
- Gan, H.W.; Cerbone, M.; Dattani, M.T. Appetite- and Weight-Regulating Neuroendocrine Circuitry in Hypothalamic Obesity. Endocr. Rev. 2023, 45, 309–342. [Google Scholar] [CrossRef] [PubMed]
- Roth, C.L.; McCormack, S.E. Acquired Hypothalamic Obesity: A Clinical Overview and Update. Diabetes Obes. Metab. 2024, 26 (Suppl. 2), 34–45. [Google Scholar] [CrossRef] [PubMed]
- Lustig, R.H. Hypothalamic Obesity: Causes, Consequences, Treatment. Pediatr. Endocrinol. Rev. 2008, 6, 220–227. [Google Scholar]
- Dimitri, P. Treatment of Acquired Hypothalamic Obesity: Now and the Future. Front. Endocrinol. 2022, 13, 846880. [Google Scholar] [CrossRef]
- Rakhshani, N.; Jeffery, A.S.; Schulte, F.; Barrera, M.; Atenafu, E.G.; Hamilton, J.K. Evaluation of a Comprehensive Care Clinic Model for Children with Brain Tumor and Risk for Hypothalamic Obesity. Obesity 2010, 18, 1768–1774. [Google Scholar] [CrossRef]
- Huynh, K.; Klose, M.; Krogsgaard, K.; Drejer, J.; Byberg, S.; Madsbad, S.; Magkos, F.; Aharaz, A.; Edsberg, B.; Tfelt-Hansen, J.; et al. Randomized Controlled Trial of Tesomet for Weight Loss in Hypothalamic Obesity. Eur. J. Endocrinol. 2022, 186, 687–700. [Google Scholar] [CrossRef]
- Denzer, C.; Denzer, F.; Lennerz, B.S.; Vollbach, H.; Lustig, R.H.; Wabitsch, M. Treatment of Hypothalamic Obesity with Dextroamphetamine: A Case Series. Obes. Facts 2019, 12, 91–102. [Google Scholar] [CrossRef]
- Masarwa, R.; Brunetti, V.C.; Aloe, S.; Henderson, M.; Platt, R.W.; Filion, K.B. Efficacy and Safety of Metformin for Obesity: A Systematic Review. Pediatrics 2021, 147, e20201610. [Google Scholar] [CrossRef]
- Ng, V.W.W.; Gerard, G.; Koh, J.J.K.; Loke, K.Y.; Lee, Y.S.; Ng, N.B.H. The Role of Glucagon-Like Peptide 1 Receptor Agonists for Weight Control in Individuals with Acquired Hypothalamic Obesity-A Systematic Review. Clin. Obes. 2024, 14, e12642. [Google Scholar] [CrossRef]
- Shoemaker, A.H.; Silver, H.J.; Buchowski, M.; Slaughter, J.C.; Yanovski, J.A.; Elfers, C.; Roth, C.L.; Abuzzahab, M.J. Energy Balance in Hypothalamic Obesity in Response to Treatment with a Once-Weekly Glp-1 Receptor Agonist. Int. J. Obes. 2022, 46, 623–629. [Google Scholar] [CrossRef]
- Roth, C.L.; Perez, F.A.; Whitlock, K.B.; Elfers, C.; Yanovski, J.A.; Shoemaker, A.H.; Abuzzahab, M.J. A Phase 3 Randomized Clinical Trial Using a Once-Weekly Glucagon-Like Peptide-1 Receptor Agonist in Adolescents and Young Adults with Hypothalamic Obesity. Diabetes Obes. Metab. 2021, 23, 363–373. [Google Scholar] [CrossRef] [PubMed]
- Gjersdal, E.; Larsen, L.B.; Ettrup, K.S.; Vestergaard, P.; Nielsen, E.H.; Karmisholt, J.S.; Muller, H.L.; Dal, J. Semaglutide as a Promising Treatment for Hypothalamic Obesity: A Six-Month Case Series on Four Females with Craniopharyngioma. Pituitary 2024, 27, 723–730. [Google Scholar] [CrossRef] [PubMed]
- Dimitri, P.; Roth, C.L. Treatment of Hypothalamic Obesity with Glp-1 Analogs. J. Endocr. Soc. 2024, 9, bvae200. [Google Scholar] [CrossRef]
- Parks, M.; Rosebraugh, C. Weighing Risks and Benefits of Liraglutide—The Fda’s Review of a New Antidiabetic Therapy. N. Engl. J. Med. 2010, 362, 774–777. [Google Scholar] [CrossRef]
- Pasternak, B.; Wintzell, V.; Hviid, A.; Eliasson, B.; Gudbjornsdottir, S.; Jonasson, C.; Hveem, K.; Svanstrom, H.; Melbye, M.; Ueda, P. Glucagon-like Peptide 1 Receptor agonist Use and Risk of thyroid Cancer: Scandinavian Cohort Study. BMJ 2024, 385, e078225. [Google Scholar] [CrossRef]
- Hsu, E.A.; Miller, J.L.; Perez, F.A.; Roth, C.L. Oxytocin and Naltrexone Successfully Treat Hypothalamic Obesity in a Boy Post-Craniopharyngioma Resection. J. Clin. Endocrinol. Metab. 2018, 103, 370–375. [Google Scholar] [CrossRef]
- Hoffmann, A.; Ozyurt, J.; Lohle, K.; Reichel, J.; Thiel, C.M.; Muller, H.L. First Experiences with Neuropsychological Effects of Oxytocin Administration in Childhood-Onset Craniopharyngioma. Endocrine 2017, 56, 175–185. [Google Scholar] [CrossRef]
- Wabitsch, M.; Farooqi, S.; Fluck, C.E.; Bratina, N.; Mallya, U.G.; Stewart, M.; Garrison, J.; van den Akker, E.; Kuhnen, P. Natural History of Obesity Due to Pomc, Pcsk1, and Lepr Deficiency and the Impact of Setmelanotide. J. Endocr. Soc. 2022, 6, bvac057. [Google Scholar] [CrossRef]
- Roth, C.L.; Scimia, C.; Shoemaker, A.H.; Gottschalk, M.; Miller, J.; Yuan, G.; Malhotra, S.; Abuzzahab, M.J. Setmelanotide for the Treatment of Acquired Hypothalamic Obesity: A Phase 2, Open-Label, Multicentre Trial. Lancet Diabetes Endocrinol. 2024, 12, 380–389. [Google Scholar] [CrossRef]
- Van Santen, H.M.; Denzer, C.; Müller, H.L. Could Setmelanotide Be the Game-Changer for Acquired Hypothalamic Obesity? Front. Endocrinol. 2024, 14, 1307889. [Google Scholar] [CrossRef]
- Van Schaik, J.; Welling, M.S.; de Groot, C.J.; van Eck, J.P.; Juriaans, A.; Burghard, M.; Oude Ophuis, S.B.J.; Bakker, B.; Tissing, W.J.E.; Schouten-van Meeteren, A.Y.N.; et al. Dextroamphetamine Treatment in Children with Hypothalamic Obesity. Front. Endocrinol. 2022, 13, 845937. [Google Scholar] [CrossRef] [PubMed]
- Hamilton, J.K.; Conwell, L.S.; Syme, C.; Ahmet, A.; Jeffery, A.; Daneman, D. Hypothalamic Obesity following Craniopharyngioma Surgery: Results of a Pilot Trial of Combined Diazoxide and Metformin Therapy. Int. J. Pediatr. Endocrinol. 2011, 2011, 417949. [Google Scholar] [CrossRef]
- Lustig, R.H.; Hinds, P.S.; Ringwald-Smith, K.; Christensen, R.K.; Kaste, S.C.; Schreiber, R.E.; Rai, S.N.; Lensing, S.Y.; Wu, S.; Xiong, X. Octreotide Therapy of Pediatric Hypothalamic Obesity: A Double-Blind, Placebo-Controlled Trial. J. Clin. Endocrinol. Metab. 2003, 88, 2586–2592. [Google Scholar] [CrossRef]
- Svendstrup, M.; Rasmussen, A.K.; Kistorp, C.; Klose, M.; Andreassen, M. Semaglutide Treatment of Hypothalamic Obesity—A Real-Life Data Study. Pituitary 2024, 27, 685–692. [Google Scholar] [CrossRef]
- Zoicas, F.; Droste, M.; Mayr, B.; Buchfelder, M.; Schofl, C. GLP-1 Analogues as a New Treatment Option for Hypothalamic Obesity in Adults: Report of Nine Cases. Eur. J. Endocrinol. 2013, 168, 699–706. [Google Scholar] [CrossRef]
- Lomenick, J.P.; Buchowski, M.S.; Shoemaker, A.H. A 52-Week Pilot Study of the Effects of Exenatide on Body Weight in Patients with Hypothalamic Obesity. Obesity 2016, 24, 1222–1225. [Google Scholar] [CrossRef]
- Wijnen, M.; Olsson, D.S.; van den Heuvel-Eibrink, M.M.; Wallenius, V.; Janssen, J.A.; Delhanty, P.J.; van der Lely, A.J.; Johannsson, G.; Neggers, S.J. Efficacy and Safety of Bariatric Surgery for Craniopharyngioma-Related Hypothalamic Obesity: A Matched Case-Control Study with 2 Years of Follow-Up. Int. J. Obes. 2017, 41, 210–216. [Google Scholar] [CrossRef]
- Van Santen, S.S.; Wolf, P.; Kremenevski, N.; Boguszewski, C.L.; Beiglbock, H.; Fiocco, M.; Wijnen, M.; Wallenius, V.R.; van den Heuvel-Eibrink, M.M.; van der Lely, A.J.; et al. Bariatric Surgery for Hypothalamic Obesity in Craniopharyngioma Patients: A Retrospective, Matched Case-Control Study. J. Clin. Endocrinol. Metab. 2021, 106, e4734–e4745. [Google Scholar] [CrossRef]
- Faucher, P.; Carette, C.; Jannot, A.S.; Gatta-Cherifi, B.; Van Straaten, A.; Piquet, M.A.; Raverot, G.; Alligier, M.; Batisse, T.; Ziegler, O.; et al. Five-Year Changes in Weight and Diabetes Status After Bariatric Surgery for Craniopharyngioma-Related Hypothalamic Obesity: A Case-Control Study. Obes. Surg. 2022, 32, 2321–2331. [Google Scholar] [CrossRef]
- Garrez, I.; Lapauw, B.; Van Nieuwenhove, Y. Bariatric Surgery for Treatment of Hypothalamic Obesity after Craniopharyngioma Therapy: A Matched Case-Control Study. Obes. Surg. 2020, 30, 2439–2444. [Google Scholar] [CrossRef]
- Bretault, M.; Boillot, A.; Muzard, L.; Poitou, C.; Oppert, J.M.; Barsamian, C.; Gatta, B.; Muller, H.; Weismann, D.; Rottembourg, D.; et al. Bariatric Surgery Following Treatment for Craniopharyngioma: A Systematic Review and Individual-Level Data Meta-analysis. J. Clin. Endocrinol. Metab. 2013, 98, 2239–2246. [Google Scholar] [CrossRef] [PubMed]
- Muller, H.L.; Gebhardt, U.; Maroske, J.; Hanisch, E. Long-Term Follow-Up of Morbidly Obese Patients with Childhood Craniopharyngioma after Laparoscopic Adjustable Gastric Banding (Lagb). Klin. Padiatr. 2011, 223, 372–373. [Google Scholar] [CrossRef] [PubMed]
- Weismann, D.; Pelka, T.; Bender, G.; Jurowich, C.; Fassnacht, M.; Thalheimer, A.; Allolio, B. Bariatric Surgery for Morbid Obesity in Craniopharyngioma. Clin. Endocrinol. 2013, 78, 385–390. [Google Scholar] [CrossRef]
- Trotta, M.; Da Broi, J.; Salerno, A.; Testa, R.M.; Marinari, G.M. Sleeve Gastrectomy Leads to Easy Management of Hormone Replacement Therapy and Good Weight Loss in Patients Treated for Craniopharyngioma. Updates Surg. 2017, 69, 95–99. [Google Scholar] [CrossRef]
- Gatta, B.; Nunes, M.L.; Bailacq-Auder, C.; Etchechoury, L.; Collet, D.; Tabarin, A. Is Bariatric Surgery Really Inefficient in Hypothalamic Obesity? Clin. Endocrinol. 2013, 78, 636–638. [Google Scholar] [CrossRef]
- Smith, D.K.; Sarfeh, J.; Howard, L. Truncal Vagotomy in Hypothalamic Obesity. Lancet 1983, 1, 1330–1331. [Google Scholar] [CrossRef]
- Muller, H.L. Bariatric Interventions in Craniopharyngioma Patients-Best Choice or Last Option for Treatment of Hypothalamic Obesity? J. Clin. Endocrinol. Metab. 2022, 107, e426–e428. [Google Scholar] [CrossRef]
- Styne, D.M.; Arslanian, S.A.; Connor, E.L.; Farooqi, I.S.; Murad, M.H.; Silverstein, J.H.; Yanovski, J.A. Pediatric Obesity-Assessment, Treatment, and Prevention: An Endocrine Society Clinical Practice Guideline. J. Clin. Endocrinol. Metab. 2017, 102, 709–757. [Google Scholar] [CrossRef]
Disclaimer/Publisher’s Note: The statements, opinions and data contained in all publications are solely those of the individual author(s) and contributor(s) and not of MDPI and/or the editor(s). MDPI and/or the editor(s) disclaim responsibility for any injury to people or property resulting from any ideas, methods, instructions or products referred to in the content. |
© 2025 by the author. Licensee MDPI, Basel, Switzerland. This article is an open access article distributed under the terms and conditions of the Creative Commons Attribution (CC BY) license (https://creativecommons.org/licenses/by/4.0/).


