Reconstruction of Chronic Quadriceps and Achilles Tendon Ruptures Using Achilles Allografts: Clinical Findings and Review of Literature
Abstract
1. Introduction
2. Materials and Methods
2.1. Study Design and Ethical Considerations
2.2. Surgical Technique
2.3. Postoperative Protocol and Rehabilitation
2.4. MRI Acquisition and Analysis
2.5. Literature Review
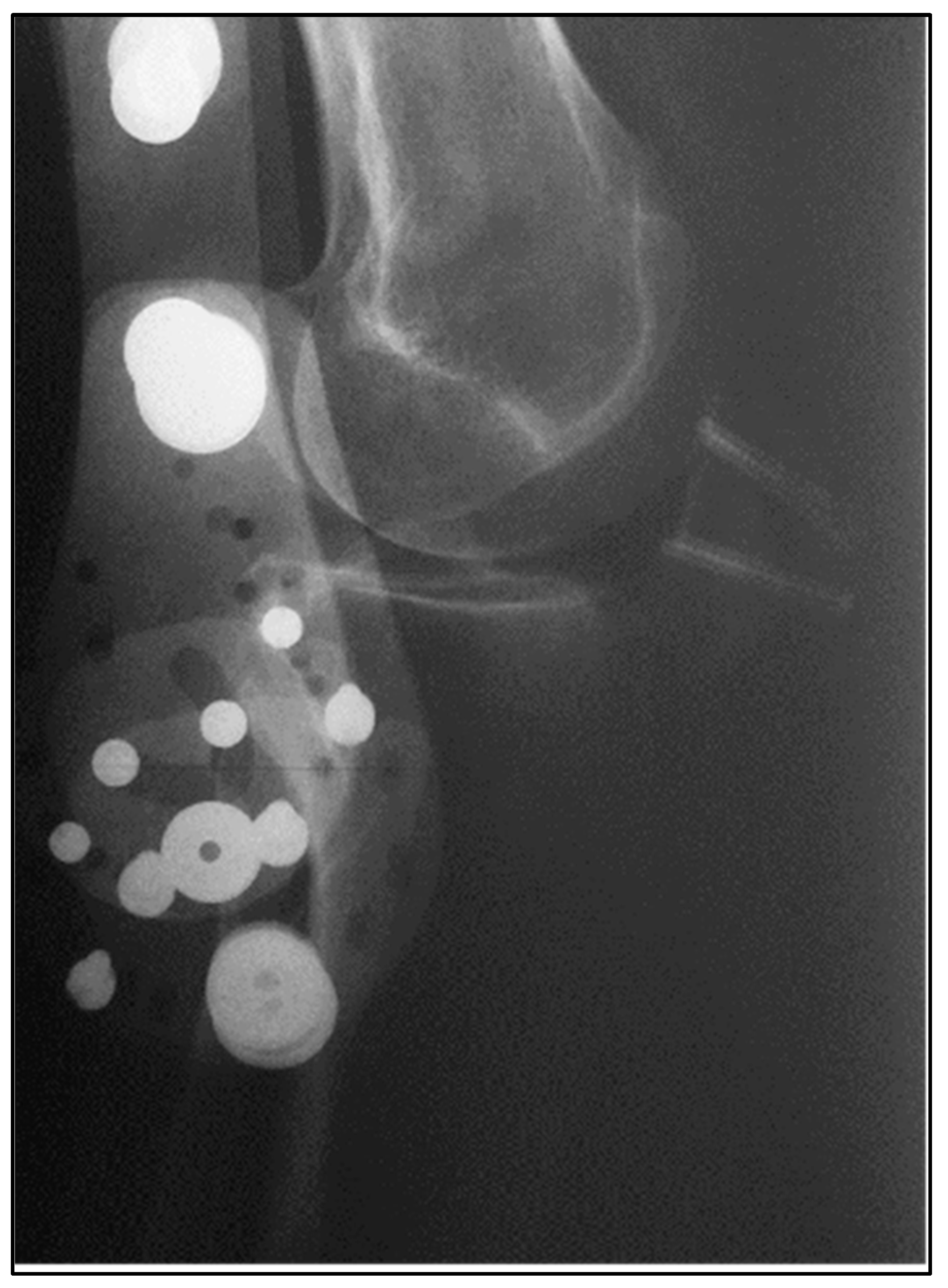
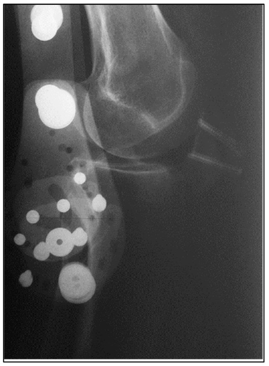
3. Results
4. Review of Literature
5. Discussion
6. Conclusions
Author Contributions
Funding
Institutional Review Board Statement
Informed Consent Statement
Data Availability Statement
Acknowledgments
Conflicts of Interest
References
- Macchi, M.; Spezia, M.; Elli, S.; Schiaffini, G.; Chisari, E. Obesity Increases the Risk of Tendinopathy, Tendon Tear and Rupture, and Postoperative Complications: A Systematic Review of Clinical Studies. Clin. Orthop. Relat. Res. 2020, 478, 1839–1847. [Google Scholar] [CrossRef] [PubMed] [PubMed Central]
- Carlson Strother, C.R.; LaPrade, M.D.; Keyt, L.K.; Wilbur, R.R.; Krych, A.J.; Stuart, M.J. A Strategy for Repair, Augmentation, and Reconstruction of Knee Extensor Mechanism Disruption: A Retrospective Review. Orthop. J. Sports Med. 2021, 9, 23259671211046625. [Google Scholar] [CrossRef] [PubMed] [PubMed Central]
- Westin, O.; Nilsson Helander, K.; Grävare Silbernagel, K.; Samuelsson, K.; Brorsson, A.; Karlsson, J. Patients with an Achilles tendon re-rupture have long-term functional deficits and worse patient-reported outcome than primary ruptures. Knee Surg. Sports Traumatol. Arthrosc. 2018, 26, 3063–3072. [Google Scholar] [CrossRef] [PubMed] [PubMed Central]
- Jiménez-Carrasco, C.; Ammari-Sánchez-Villanueva, F.; Prada-Chamorro, E.; García-Guirao, A.J.; Tejero, S. Allograft and Autologous Reconstruction Techniques for Neglected Achilles Tendon Rupture: A Mid-Long-Term Follow-Up Analysis. J. Clin. Med. 2023, 12, 1135. [Google Scholar] [CrossRef] [PubMed] [PubMed Central]
- Yang, G.; Rothrauff, B.B.; Tuan, R.S. Tendon and ligament regeneration and repair: Clinical relevance and developmental paradigm. Birth Defects Res. C Embryo Today 2013, 99, 203–222. [Google Scholar] [CrossRef] [PubMed] [PubMed Central]
- Chattopadhyay, A.; McGoldrick, R.; Umansky, E.; Chang, J. Principles of tendon reconstruction following complex trauma of the upper limb. Semin. Plast. Surg. 2015, 29, 030–039. [Google Scholar] [CrossRef] [PubMed] [PubMed Central]
- Mistry, H.; Metcalfe, A.; Colquitt, J.; Loveman, E.; Smith, N.A.; Royle, P.; Waugh, N. Autograft or allograft for reconstruction of anterior cruciate ligament: A health economics perspective. Knee Surg. Sports Traumatol. Arthrosc. 2019, 27, 1782–1790. [Google Scholar] [CrossRef] [PubMed] [PubMed Central]
- Giedraitis, A.; Arnoczky, S.P.; Bedi, A. Allografts in soft tissue reconstructive procedures: Important considerations. Sports Health 2014, 6, 256–264. [Google Scholar] [CrossRef] [PubMed] [PubMed Central]
- Moore, M.A.; Samsell, B.; McLean, J. Allograft Tissue Safety and Technology. In Biologics in Orthopaedic Surgery; Elsevier: Amsterdam, The Netherlands, 2019; pp. 49–62. [Google Scholar] [CrossRef] [PubMed Central]
- Song, Y.-J.; Hua, Y.-H. Tendon allograft for treatment of chronic Achilles tendon rupture: A systematic review. Foot Ankle Surg. 2019, 25, 252–257. [Google Scholar] [CrossRef] [PubMed]
- Hanna, T.; Dripchak, P.; Childress, T. Chronic achilles rupture repair by allograft with bone block fixation: Technique tip. Foot Ankle Int. 2014, 35, 168–174. [Google Scholar] [CrossRef] [PubMed]
- Campus X Tor Vergata. Advances in Muscles, Ligaments and Tendons: Research and Clinical Practice: November 26–27, 2011, Rome, Campus X Tor Vergata. J. Prenat. Med. 2011, 5 (Suppl. S4), 1–41. [Google Scholar] [PubMed Central]
- Thiel, G.E.; Puga, T.B.; Perleberg, T.D.; Figuerres, B.F.; Dennis, J.F. Achilles Allograft Fiber Track Graft Preparation Technique for Anterior Cruciate Ligament Reconstruction. Arthrosc. Tech. 2024, 13, 102844. [Google Scholar] [CrossRef] [PubMed] [PubMed Central]
- Chehab, E.L.; Flik, K.R.; Vidal, A.F.; Levinson, M.; Gallo, R.A.; Altchek, D.W.; Warren, R.F. Anterior cruciate ligament reconstruction using achilles tendon allograft: An assessment of outcome for patients age 30 years and older. HSS J. 2011, 7, 44–51. [Google Scholar] [CrossRef] [PubMed] [PubMed Central]
- Permutt, A.; Tsamados, S.; Patel, A. Chronic Quadricep Tendon Rupture Reconstruction with Poly-Tape and Achilles’ Tendon Allograft: A Case Report and Review of the Literature. J. Orthop. Case Rep. 2023, 13, 4–9. [Google Scholar] [CrossRef] [PubMed] [PubMed Central]
- Hinsenkamp, M.; Muylle, L.; Eastlund, T.; Fehily, D.; Noël, L.; Strong, D.M. Adverse reactions and events related to musculoskeletal allografts: Reviewed by the World Health Organisation Project NOTIFY. Int. Orthop. 2011, 36, 633–641. [Google Scholar] [CrossRef] [PubMed] [PubMed Central]
- Vangsness, C.T.; Dellamaggiora, R.D. Current safety sterilization and tissue banking issues for soft tissue allografts. Clin. Sports Med. 2009, 28, 183–189. [Google Scholar] [CrossRef] [PubMed] [PubMed Central]
- Maffulli, N.; Bartoli, A.; Sammaria, G.; Migliorini, F.; Karlsson, J.; Oliva, F. Free tendon grafts for surgical management of chronic tears of the main body of the Achilles tendon: A systematic review. Knee Surg. Sports Traumatol. Arthrosc. 2023, 31, 4526–4538. [Google Scholar] [CrossRef] [PubMed] [PubMed Central]
- Hart, D.A.; Ahmed, A.S.; Ackermann, P. Optimizing repair of tendon ruptures and chronic tendinopathies: Integrating the use of biomarkers with biological interventions to improve patient outcomes and clinical trial design. Front. Sports Act. Living 2023, 4, 1081129. [Google Scholar] [CrossRef] [PubMed] [PubMed Central]
- Hunnicutt, J.L.; Slone, H.S.; Xerogeanes, J.W. Implications for Early Postoperative Care After Quadriceps Tendon Autograft for Anterior Cruciate Ligament Reconstruction: A Technical Note. J. Athl. Train. 2020, 55, 623–627. [Google Scholar] [CrossRef] [PubMed] [PubMed Central]
- Marrone, W.; Andrews, R.; Reynolds, A.; Vignona, P.; Patel, S.; O’malley, M. Rehabilitation and Return to Sports after Achilles Tendon Repair. Int. J. Sports Phys. Ther. 2024, 19, 1152–1165. [Google Scholar] [CrossRef] [PubMed] [PubMed Central]
- Nichols, A.E.; Best, K.T.; Loiselle, A.E. The cellular basis of fibrotic tendon healing: Challenges and opportunities. Transl. Res. 2019, 209, 156–168. [Google Scholar] [CrossRef] [PubMed] [PubMed Central]
- Peters, S.E.; Jha, B.; Ross, M. Rehabilitation following surgery for flexor tendon injuries of the hand. Cochrane Database Syst. Rev. 2021, 2021, CD012479. [Google Scholar] [CrossRef] [PubMed] [PubMed Central]
- Cordier, G.; Boudahmane, S.; Ovigue, J.; Michels, F.; Araujo Nunes, G.; Dallaudiere, B. MRI Assessment of Tendon Graft After Lateral Ankle Ligament Reconstruction: Does Ligamentization Exist? Am. J. Sports Med. 2024, 52, 721–729. [Google Scholar] [CrossRef] [PubMed]
- DeFroda, S.F.; Odonnell, R.M.; Fadale, P.D.; Owens, B.D.; Fleming, B.C. The role of magnetic resonance imaging in evaluating postoperative ACL reconstruction healing and graft mechanical properties: A new criterion for return to play? Physician Sportsmed. 2020, 49, 123–129. [Google Scholar] [CrossRef] [PubMed] [PubMed Central]
- Koh, H.S.; In, Y.; Kong, C.-G.; Won, H.-Y.; Kim, K.-H.; Lee, J.-H. Factors affecting patients’ graft choice in anterior cruciate ligament reconstruction. Clin. Orthop. Surg. 2010, 2, 69–75. [Google Scholar] [CrossRef] [PubMed] [PubMed Central]
- Hodgson, R.J.; O’Connor, P.J.; Grainger, A.J. Tendon and ligament imaging. Br. J. Radiol. 2012, 85, 1157–1172. [Google Scholar] [CrossRef] [PubMed] [PubMed Central]
- Eming, S.A.; Martin, P.; Tomic-Canic, M. Wound repair and regeneration: Mechanisms, signaling, and translation. Sci. Transl. Med. 2014, 6, 265sr6. [Google Scholar] [CrossRef] [PubMed] [PubMed Central]
- Svingen, J.; Wiig, M.; Turesson, C.; Farnebo, S.; Arner, M. Risk factors for reoperation after flexor tendon repair: A registry study. J. Hand Surg. Eur. Vol. 2022, 47, 1071–1076. [Google Scholar] [CrossRef] [PubMed] [PubMed Central]
- Kim, H.; Lee, H.; Lewis, D.D.; Jeong, J.; Kim, G.; Jeon, Y. Reconstruction of the Quadriceps Extensor Mechanism with a Calcaneal Tendon–Bone Allograft in a Dog with a Resorbed Tibial Tuberosity Fracture. Animals 2024, 14, 2315. [Google Scholar] [CrossRef] [PubMed] [PubMed Central]
- Lin, Y.; Duan, X.; Yang, L. V-Y Tendon Plasty for Reconstruction of Chronic Achilles Tendon Rupture: A Medium-term and Long-term Follow-up. Orthop. Surg. 2019, 11, 109–116. [Google Scholar] [CrossRef] [PubMed] [PubMed Central]
- Lim, W.L.; Liau, L.L.; Ng, M.H.; Chowdhury, S.R.; Law, J.X. Current Progress in Tendon and Ligament Tissue Engineering. Tissue Eng. Regen. Med. 2019, 16, 549–571. [Google Scholar] [CrossRef] [PubMed] [PubMed Central]
- Ofili, K.P.; Pollard, J.D.; Schuberth, J.M. The Neglected Achilles Tendon Rupture Repaired With Allograft: A Review of 14 Cases. J. Foot Ankle Surg. 2016, 55, 1245–1248. [Google Scholar] [CrossRef] [PubMed]
- Deese, J.M.; Gratto-Cox, G.; Clements, F.D.; Brown, K. Achilles allograft reconstruction for chronic achilles tendinopathy. J. Surg. Orthop. Adv. 2015, 24, 75–78. [Google Scholar] [PubMed]
- Balato, G.; De Franco, C.; Lenzi, M.; de Matteo, V.; Baldini, A.; Burnett, R.S.J. Extensor mechanism reconstruction with allograft following total knee arthroplasty: A systematic review and meta-analysis of achilles tendon versus extensor mechanism allografts for isolated chronic patellar tendon ruptures. Arch. Orthop. Trauma Surg. 2023, 143, 4411–4424. [Google Scholar] [CrossRef] [PubMed]
- Kim, W.T.; Kao, D.; O’connell, R.; Patel, N.K.; Vap, A. Clinical Outcomes are Similar Between Graft Types Used in Chronic Patellar Tendon Reconstruction: A Systematic Review. Arthrosc. Sports Med. Rehabil. 2022, 4, e1861–e1872. [Google Scholar] [CrossRef] [PubMed] [PubMed Central]
- Kang, S.H.; Sohn, K.M.; Lee, D.K.; Lee, B.H.; Yang, S.W.; Wang, J.H. Arthroscopic Posterior Cruciate Ligament Reconstruction: The Achilles Tendon Allograft versus the Quadriceps Tendon Allograft. J. Knee Surg. 2019, 33, 553–559. [Google Scholar] [CrossRef] [PubMed]
- Halvorson, R.T.; Dilallo, M.; Garcia-Lopez, E.; Colyvas, N.; Wong, S.E. Extensor Mechanism Reconstruction Using Achilles Tendon Allograft With Suture Tape Augmentation. Arthrosc. Tech. 2023, 12, e2295–e2302. [Google Scholar] [CrossRef] [PubMed] [PubMed Central]
- Mercer, N.P.; Lezak, B.A.; Lorentz, N.A.; Esser, K.L.; Sundaram, V.; Gosnell, G.G.; Gonzalez-Lomas, G. Rectus Femoris Quadriceps Muscle Rupture Reconstruction With Semitendinosus Autograft and Achilles Allograft. Tech. Note 2024, 103364. [Google Scholar] [CrossRef]
- Regennass, L.; Boissard, M.; Fouasson-Chailloux, A.; Guillou, R.; Toanen, C.; Crenn, V. Achilles Tendon Allograft with Semitendinosus Autograft Reinforcement Is a Successful Treatment for Chronic Patellar Tendon Rupture: Report of Two Cases. Case Rep. Orthop. 2021, 2021, 9951754. [Google Scholar] [CrossRef] [PubMed] [PubMed Central]
- Pontoh, L.A.P.; Canintika, A.F. Reconstruction of chronic quadriceps tendon rupture using autologous semitendinosus tendon graft: A case report. Int. J. Surg. Case Rep. 2024, 117, 109488. [Google Scholar] [CrossRef] [PubMed] [PubMed Central]
- Ii, S.P.M.; Pikowski, M.D.; Dean, E.J.; Jackson, E.R. Technique for revision reconstruction of a chronic quadriceps tendon re-rupture using Achilles tendon allograft. J. Musculoskelet. Surg. Res. 2024, 8, 291–296. [Google Scholar] [CrossRef]
- Miller, J.; Park, S.; Urness, D.; Ayala, A.; Bratton, A. Primary Repair of Chronic Quadriceps Tendon Rupture With Dermal Allograft Augmentation: Surgical Technique and Case Review. Video J. Sports Med. 2024, 4, 6. [Google Scholar] [CrossRef]
- Okay, E.; Turgut, M.C.; Tokyay, A. Quadriceps Reconstruction with Suture Anchor and Achilles Allograft Combination in Quadriceps Tendon Re-Rupture after Primary Surgical Repair: A Novel Technique. Jt. Dis. Relat. Surg. 2021, 32, 798–803. [Google Scholar] [CrossRef] [PubMed]
- Dandu, N.; Trasolini, N.A.; DeFroda, S.F.; Holland, T.; Yanke, A.B. Revision Quadriceps Tendon Repair With Bone-Achilles Allograft Augmentation. Video J. Sports Med. 2021, 1, 6. [Google Scholar] [CrossRef]
- Hoang, V.; Anthony, T.; Quattrocelli, M.; Farina, E.; Meter, J.; Lattermann, C. Quadriceps Tendon Reconstruction With Achilles Tendon Bone Block Allograft. Arthrosc. Tech. 2022, 12, e45–e52. [Google Scholar] [CrossRef] [PubMed] [PubMed Central]






| Inflammatory Markers | Variable | Case 1: Quadriceps Tendon Rupture | Case 2: Achilles Tendon Rupture |
|---|---|---|---|
| Age (years) | 63 | 42 | |
| Sex | Male | Male | |
| BMI (kg/m2) | 43.9 | 26.5 | |
| Time Since Initial Rupture (weeks) | 12 | 16 | |
| Defect Length (cm) | ~4 | ~7 | |
| Previous Surgery (Failed Repair) | Yes | Yes | |
| Comorbidities | Obesity, Hypertension | None | |
| C-Reactive Protein (mg/L) | Baseline | 10 | 8 |
| 8 weeks | 6.8 | 5.4 | |
| 12 weeks | 3.5 | 2.9 | |
| 24 weeks | 1.7 | 1.4 | |
| WBC (×109/L) | Baseline | 7.5 | 6.8 |
| 8 weeks | 6.2 | 5.5 | |
| 12 weeks | 5.1 | 4.9 | |
| 24 weeks | 4.6 | 4.3 | |
| TNF-alpha (pg/mL) | Baseline | 74 | 68 |
| 8 weeks | 58 | 53 | |
| 12 weeks | 42 | 39 | |
| 24 weeks | 30 | 27 |
| Parameter | Case 1 (Quadriceps) | Case 2 (Achilles) |
|---|---|---|
| Knee/Ankle ROM (degrees) | 0–110° knee flexion | 15–40° ankle flexion |
| Pain (VAS 0–10) | 3 | 2 |
| Quadriceps/Calf Circumference† | −25% vs. contralateral | −30% vs. contralateral |
| Weight-Bearing Status | Partial | Partial |
| MRI Parameter | Case 1 (Quadriceps) | Case 2 (Achilles) |
|---|---|---|
| Graft Signal Intensity | Mildly increased on T2 | Mildly increased on T2 |
| Fiber Continuity | Continuous alignment, minor edema | Continuous alignment, minor edema |
| Bone Block Integration | Early bridging at the patella | Early bridging at the calcaneus |
| Hardware Artifact | Minimal, no screw loosening | Minimal, no screw loosening |
| Signs of Complication | None | None |
| MRI Parameter | Case 1 (Quadriceps) | Case 2 (Achilles) |
|---|---|---|
| 12 Weeks Evaluation | ||
| Graft Signal Intensity | Near-normal on T1, mild on PD-FS | Near-normal on T1, mild on PD-FS |
| Fiber Orientation | Well aligned, reduced edema | Well aligned, reduced edema |
| Bone Block Incorporation | Partial bridging, stable positioning | Partial bridging, stable positioning |
| Soft Tissue Reaction | Minimal scar tissue seen | Minimal scar tissue seen |
| 24 Weeks Evaluation | ||
| Residual Pain (VAS 0–10) | 1 | 1 |
| Graft Integrity (MRI) | Normal T2 signal, intact fibers | Normal T2 signal, intact fibers |
| Bone Block Union (X-ray) | Complete union, no hardware issues | Complete union, no hardware issues |
| Return to Work/Sports | Yes, resumed normal duties | Yes, resumed normal duties |
| Study/Year | Design and Level of Evidence | Sample Size | Mean Age (Years) | Chronic Rupture Site | Follow-Up Range (Months) |
|---|---|---|---|---|---|
| Kim et al. (2022) [36] | Systematic review | 96 patients (pooled) | 30–62 | Chronic patellar tendon injuries, multiple grafts | 21–68 |
| Kang et al. (2019) [37] | Retrospective cohort | 29 | 17–53 (Achilles group) 19–46 (Quad group) | PCL reconstructions: Achilles vs. quadriceps tendon allografts | 24–26 |
| Song et al. (2019) [10] | Systematic review | 35 (across 9 studies) | 20–60 | Chronic Achilles tendon ruptures: allografts (Achilles, PB) | 12–30 |
| Ofili et al. (2016) [33] | Retrospective case series | 14 | 34–77 | Neglected Achilles tendon ruptures with Achilles allografts | 12–27 |
| Balato et al. (2023) [35] | Systematic review and meta-analysis | 238 (pooled) | 54–74 | Extensor mechanism reconstructions after TKA, incl. ATA/EMA | 12–60 |
| Deese et al. (2015) [34] | Case series | 5 | 32–59 | Chronic Achilles ruptures, Achilles tendon allograft w/bone block | 12 |
| Study | Allograft Type | Fixation Method | Augmentation/Concomitant Procedure | Rehabilitation Protocol |
|---|---|---|---|---|
| Kim et al. (2022) [36] | Mixed: Achilles, hamstring, BTB, synthetic | Transosseous tunnels, screws, anchors (various) | Some with cerclage wires, hardware augmentation | Typically locked in extension for ~6 wks, progressive ROM |
| Kang et al. (2019) [37] | Achilles tendon allograft vs. quadriceps | Bioabsorbable interference screws (femoral/tibial) | None specifically; meniscal repairs if needed | PCL rehab protocol: NWB 4–6 wks, partial WB after 6 wks |
| Song et al. (2019) [10] | Primarily Achilles tendon; 1 peroneus brevis | Screws for bone block or suture anchor for tendon portion | Some used FHL transfers, xenograft overlays | Varied: some immediate ROM, some cast immobilization |
| Ofili et al. (2016) [33] | Achilles tendon allograft (14 patients) | Bone block in 2/14, fixated with screws + suture bridging | None specifically, except 1 MCL repair in data | 6–8 wks cast or boot in equinus, then PT progression |
| Balato et al. (2023) [35] | ATA (Achilles tendon allograft) vs. EMA | Metal or bioabsorbable screws, sometimes wire augmentation | Some subgroups with entire extensor mechanism | Typically 4–6 wks locked extension, gradual PT |
| Deese et al. (2015) [34] | Achilles tendon w/calcaneal bone block (5) | Single screw fixation for bone block, suture anchor proximally | No additional tendon transfer reported | Gradual progression from NWB to FWB, ~8–10 wks |
| Study | Primary Outcome Scores | Functional Milestones | Notable Observations | Complications |
|---|---|---|---|---|
| Kim et al. (2022) [36] | Lysholm (70–94), IKDC subjective (median ~75–80), SF-36 | Knee flex 0–120°, minimal extensor lag in majority; improved PROM | All reconstructive methods improved function, no single best method | Pain (common), extensor lag, and wire breakage in some cases. Graft failure <1% overall. Infection ~2%. |
| Kang et al. (2019) [37] | KT-2000 side-to-side difference, Telos x-ray, Lysholm, Tegner, IKDC subjective | Both Achilles and quadriceps groups showed significant improvement in posterior stability, Lysholm up by ~16–25 points | No difference in final functional scores between allograft types | No major infections. No re-ruptures. Delayed union not observed. |
| Song et al. (2019) [10] | AOFAS (90–100 for some), ATRS (80–100 in select cases), partial single-limb heel rise data | Return to normal activity around 12–24 weeks in small cohorts, minimal re-ruptures reported | Heterogeneity: only 1–2 studies used validated Achilles tendon measures (ATRS) | Delayed wound healing, infection, heterotopic ossification occasionally in Achilles reconstructions. |
| Ofili et al. (2016) [33] | Time to single-limb heel rise (mean 27 wks), normal shoe gear at ~13.5 wks, no validated PROM used | 100% achieved unassisted single-heel raise, zero re-ruptures | Predominantly older demographic; Achilles allograft bridging ~7 cm defect | 1 delayed union (7%) of bone block, no infection, no re-rupture. |
| Balato et al. (2023) [35] | KSS or other knee scores (70–85 range), extensor lag < 10° in many, some had re-rupture rates~23% in meta-analysis but not all due to allografts | Most patients > 100° flexion, improved ambulatory status, but persistent deficits in older TKA pop. | Achilles tendon allografts vs. extensor mechanism allografts had similar success | Overall failure 23% in large meta-analysis, but not all allograft. |
| Deese et al. (2015) [34] | No formal validated scoring system, reported return to daily activities, no chronic pain in 4/5 patients | Full weight-bearing ~10 wks, no re-rupture, 1 partial bone block fragmentation | Small sample, ~7.6 cm average gap bridged with Achilles allograft bone block | 1 deep infection, 1 partial fragmentation of bone block, 1 delayed incision healing. |
Disclaimer/Publisher’s Note: The statements, opinions and data contained in all publications are solely those of the individual author(s) and contributor(s) and not of MDPI and/or the editor(s). MDPI and/or the editor(s) disclaim responsibility for any injury to people or property resulting from any ideas, methods, instructions or products referred to in the content. |
© 2025 by the authors. Licensee MDPI, Basel, Switzerland. This article is an open access article distributed under the terms and conditions of the Creative Commons Attribution (CC BY) license (https://creativecommons.org/licenses/by/4.0/).
Share and Cite
Miu, C.-A.; Hurmuz, M.; Miu, L.-O.; Ceachir, D.; Tatu, R.-F. Reconstruction of Chronic Quadriceps and Achilles Tendon Ruptures Using Achilles Allografts: Clinical Findings and Review of Literature. Biomedicines 2025, 13, 816. https://doi.org/10.3390/biomedicines13040816
Miu C-A, Hurmuz M, Miu L-O, Ceachir D, Tatu R-F. Reconstruction of Chronic Quadriceps and Achilles Tendon Ruptures Using Achilles Allografts: Clinical Findings and Review of Literature. Biomedicines. 2025; 13(4):816. https://doi.org/10.3390/biomedicines13040816
Chicago/Turabian StyleMiu, Cătălin-Adrian, Mihai Hurmuz, Luminița-Oana Miu, Daniel Ceachir, and Romulus-Fabian Tatu. 2025. "Reconstruction of Chronic Quadriceps and Achilles Tendon Ruptures Using Achilles Allografts: Clinical Findings and Review of Literature" Biomedicines 13, no. 4: 816. https://doi.org/10.3390/biomedicines13040816
APA StyleMiu, C.-A., Hurmuz, M., Miu, L.-O., Ceachir, D., & Tatu, R.-F. (2025). Reconstruction of Chronic Quadriceps and Achilles Tendon Ruptures Using Achilles Allografts: Clinical Findings and Review of Literature. Biomedicines, 13(4), 816. https://doi.org/10.3390/biomedicines13040816
