Autoantibodies Against Factor B and Factor H Without Pathogenic Effects in a Patient with Immune Complex-Mediated Membranoproliferative Glomerulonephritis
Abstract
1. Introduction
2. Materials and Methods
2.1. Serum Samples
2.2. Proteins, Antibodies, and Red Blood Cells
2.3. Microtiter Plate Assays
2.4. Complement Activation Assays
2.5. Western Blot Analysis
2.6. Hemolysis Assay
2.7. Solid Phase C3 Convertase Assay
2.8. Statistical Analysis
3. Results
3.1. Patient Description
3.2. Autoantibody Screening
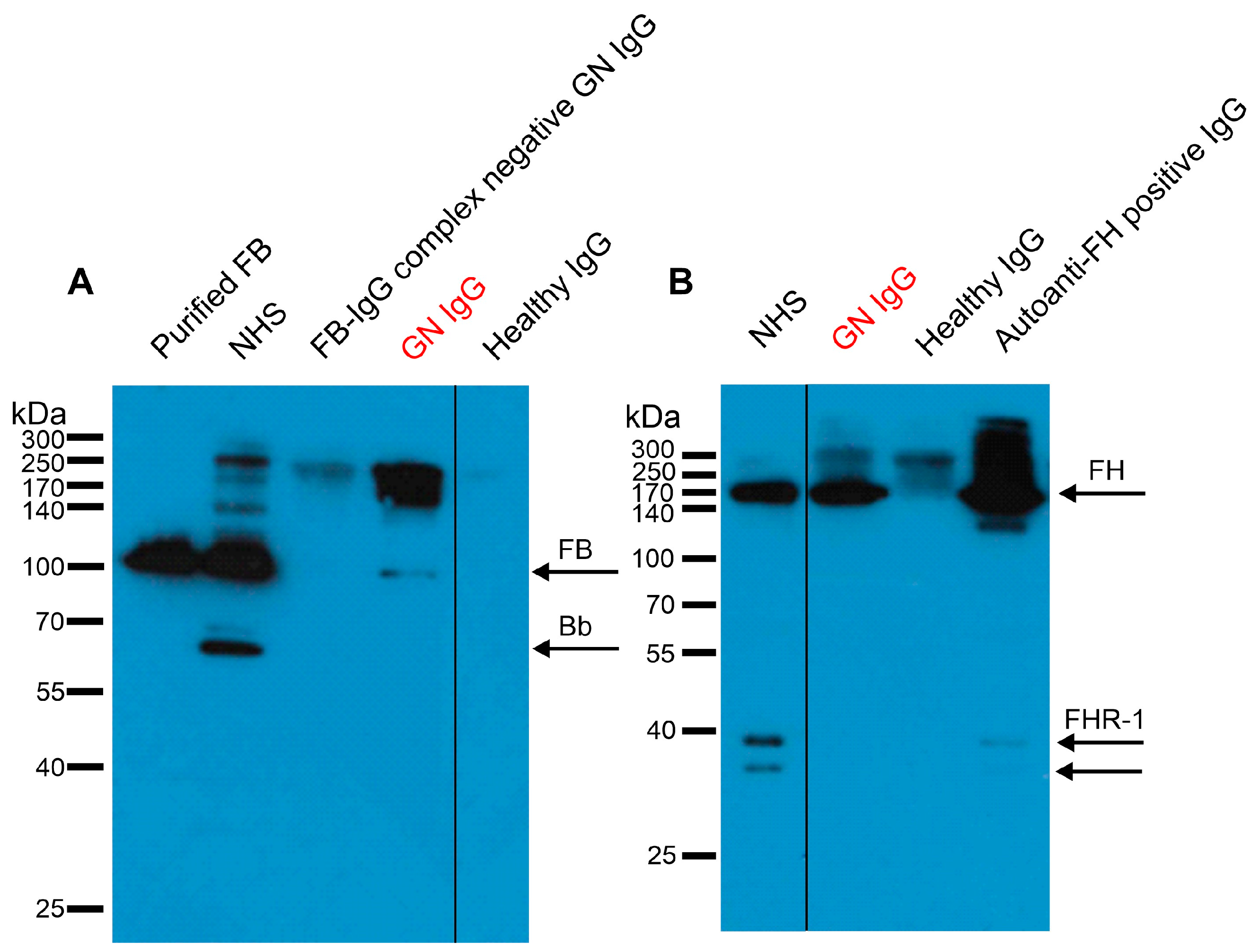
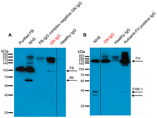
3.3. Autoantibody Characterization
3.4. Effects of the Autoantibodies on FB and FH Functions
3.5. Effect of Patient IgG on Complement Activation
4. Discussion
Supplementary Materials
Author Contributions
Funding
Institutional Review Board Statement
Informed Consent Statement
Data Availability Statement
Acknowledgments
Conflicts of Interest
Abbreviations
| aHUS | atypical hemolytic uremic syndrome |
| AMD | age-related macular degeneration |
| AP | alternative pathway |
| C3G | C3 glomerulopathy |
| C3GN | C3 glomerulonephritis |
| C3Nef | C3 nephritic factor |
| C4Nef | C4 nephritic factor |
| C5Nef | C5 nephritic factor |
| CCP | complement control protein domain |
| CP | classical pathway |
| DDD | dense deposit disease |
| FB | factor B |
| FD | factor D |
| FH | factor H |
| FHL-1 | factor H-like protein 1 |
| FHR | factor H-related |
| FI | factor I |
| FP | factor P |
| GBM | glomerular basement membrane |
| GN | glomerulonephritis |
| IC-MPGN | immune complex-mediated membranoproliferative glomerulonephritis |
| MPGN | membranoproliferative glomerulonephritis |
| NHS | normal human serum |
| RRBC | rabbit red blood cell |
References
- Cook, H.T.; Pickering, M.C. Histopathology of MPGN and C3 Glomerulopathies. Nat. Rev. Nephrol. 2015, 11, 14–22. [Google Scholar] [CrossRef]
- Sethi, S.; Fervenza, F.C. Membranoproliferative Glomerulonephritis—A New Look at an Old Entity. N. Engl. J. Med. 2012, 366, 1119–1131. [Google Scholar] [CrossRef] [PubMed]
- Sethi, S.; Haas, M.; Markowitz, G.S.; D’Agati, V.D.; Rennke, H.G.; Jennette, J.C.; Bajema, I.M.; Alpers, C.E.; Chang, A.; Cornell, L.D.; et al. Mayo Clinic/Renal Pathology Society Consensus Report on Pathologic Classification, Diagnosis, and Reporting of GN. J. Am. Soc. Nephrol. 2016, 27, 1278–1287. [Google Scholar] [CrossRef]
- Vivarelli, M.; van de Kar, N.; Labbadia, R.; Diomedi-Camassei, F.; Thurman, J.M. A Clinical Approach to Children with C3 Glomerulopathy. Pediatr. Nephrol. 2022, 37, 521–535. [Google Scholar] [CrossRef]
- Masani, N.; Jhaveri, K.D.; Fishbane, S. Update on Membranoproliferative GN. Clin. J. Am. Soc. Nephrol. 2014, 9, 600–608. [Google Scholar] [CrossRef] [PubMed]
- Alpers, C.E.; Smith, K.D. Cryoglobulinemia and Renal Disease. Curr. Opin. Nephrol. Hypertens. 2008, 17, 243–249. [Google Scholar] [CrossRef]
- Doumas, S.A.; Tsironis, C.; Bolaji, A.-A.; Garantziotis, P.; Frangou, E. Glomerulonephritis and Inflammatory Bowel Disease: A Tale of Gut-Kidney Axis Dysfunction. Autoimmun. Rev. 2023, 22, 103327. [Google Scholar] [CrossRef] [PubMed]
- Ricklin, D.; Hajishengallis, G.; Yang, K.; Lambris, J.D. Complement: A Key System for Immune Surveillance and Homeostasis. Nat. Immunol. 2010, 11, 785–797. [Google Scholar] [CrossRef]
- Chen, Q.; Müller, D.; Rudolph, B.; Hartmann, A.; Kuwertz-Bröking, E.; Wu, K.; Kirschfink, M.; Skerka, C.; Zipfel, P.F. Combined C3b and Factor B Autoantibodies and MPGN Type II. N. Engl. J. Med. 2011, 365, 2340–2342. [Google Scholar] [CrossRef]
- Józsi, M.; Reuter, S.; Nozal, P.; López-Trascasa, M.; Sánchez-Corral, P.; Prohászka, Z.; Uzonyi, B. Autoantibodies to Complement Components in C3 Glomerulopathy and Atypical Hemolytic Uremic Syndrome. Immunol. Lett. 2014, 160, 163–171. [Google Scholar] [CrossRef][Green Version]
- Ohi, H.; Yasugi, T. Occurrence of C3 Nephritic Factor and C4 Nephritic Factor in Membranoproliferative Glomerulonephritis (MPGN). Clin. Exp. Immunol. 1994, 95, 316–321. [Google Scholar] [CrossRef] [PubMed]
- Ohi, H.; Watanabe, S.; Fujita, T.; Yasugi, T. Significance of C3 Nephritic Factor (C3NeF) in Non-Hypocomplementaemic Serum with Membranoproliferative Glomerulonephritis (MPGN). Clin. Exp. Immunol. 1992, 89, 479–484. [Google Scholar] [CrossRef] [PubMed]
- Piras, R.; Breno, M.; Valoti, E.; Alberti, M.; Iatropoulos, P.; Mele, C.; Bresin, E.; Donadelli, R.; Cuccarolo, P.; Smith, R.J.H.; et al. CFH and CFHR Copy Number Variations in C3 Glomerulopathy and Immune Complex-Mediated Membranoproliferative Glomerulonephritis. Front. Genet. 2021, 12, 670727. [Google Scholar] [CrossRef]
- Kovala, M.; Seppälä, M.; Räisänen-Sokolowski, A.; Meri, S.; Honkanen, E.; Kaartinen, K. Diagnostic and Prognostic Comparison of Immune-Complex-Mediated Membranoproliferative Glomerulonephritis and C3 Glomerulopathy. Cells 2023, 12, 712. [Google Scholar] [CrossRef]
- Garam, N.; Prohászka, Z.; Szilágyi, Á.; Aigner, C.; Schmidt, A.; Gaggl, M.; Sunder-Plassmann, G.; Bajcsi, D.; Brunner, J.; Dumfarth, A.; et al. C4 Nephritic Factor in Patients with Immune-Complex-Mediated Membranoproliferative Glomerulonephritis and C3-Glomerulopathy. Orphanet J. Rare Dis. 2019, 14, 247. [Google Scholar] [CrossRef]
- Michels, M.A.H.M.; van de Kar, N.C.A.J.; van Kraaij, S.A.W.; Sarlea, S.A.; Gracchi, V.; Engels, F.A.P.T.; Dorresteijn, E.M.; van der Deure, J.; Duineveld, C.; Wetzels, J.F.M.; et al. Different Aspects of Classical Pathway Overactivation in Patients with C3 Glomerulopathy and Immune Complex-Mediated Membranoproliferative Glomerulonephritis. Front. Immunol. 2021, 12, 715704. [Google Scholar] [CrossRef]
- Iatropoulos, P.; Daina, E.; Curreri, M.; Piras, R.; Valoti, E.; Mele, C.; Bresin, E.; Gamba, S.; Alberti, M.; Breno, M.; et al. Cluster Analysis Identifies Distinct Pathogenetic Patterns in C3 Glomerulopathies/Immune Complex–Mediated Membranoproliferative GN. J. Am. Soc. Nephrol. 2018, 29, 283–294. [Google Scholar] [CrossRef]
- Noris, M.; Donadelli, R.; Remuzzi, G. Autoimmune Abnormalities of the Alternative Complement Pathway in Membranoproliferative Glomerulonephritis and C3 Glomerulopathy. Pediatr. Nephrol. 2019, 34, 1311–1323. [Google Scholar] [CrossRef] [PubMed]
- Reis, E.S.; Mastellos, D.C.; Ricklin, D.; Mantovani, A.; Lambris, J.D. Complement in Cancer: Untangling an Intricate Relationship. Nat. Rev. Immunol. 2018, 18, 5–18. [Google Scholar] [CrossRef]
- Cserhalmi, M.; Papp, A.; Brandus, B.; Uzonyi, B.; Józsi, M. Regulation of Regulators: Role of the Complement Factor H-Related Proteins. Semin. Immunol. 2019, 45, 101341. [Google Scholar]
- Meri, S.; Koistinen, V.; Miettinen, A.; Törnroth, T.; Seppälä, I.J. Activation of the Alternative Pathway of Complement by Monoclonal Lambda Light Chains in Membranoproliferative Glomerulonephritis. J. Exp. Med. 1992, 175, 939–950. [Google Scholar] [CrossRef] [PubMed]
- Jokiranta, T.S.; Solomon, A.; Pangburn, M.K.; Zipfel, P.F.; Meri, S. Nephritogenic Lambda Light Chain Dimer: A Unique Human Miniautoantibody against Complement Factor H. J. Immunol. 1999, 163, 4590–4596. [Google Scholar] [CrossRef]
- Blanc, C.; Togarsimalemath, S.K.; Chauvet, S.; Le Quintrec, M.; Moulin, B.; Buchler, M.; Jokiranta, T.S.; Roumenina, L.T.; Fremeaux-Bacchi, V.; Dragon-Durey, M.A. Anti-Factor H Autoantibodies in C3 Glomerulopathies and in Atypical Hemolytic Uremic Syndrome: One Target, Two Diseases. J. Immunol. 2015, 194, 5129–5138. [Google Scholar] [CrossRef] [PubMed]
- Goodship, T.H.J.; Pappworth, I.Y.; Toth, T.; Denton, M.; Houlberg, K.; Mccormick, F.; Warland, D.; Moore, I.; Hunze, E.-M.; Staniforth, S.J.; et al. Factor H Autoantibodies in Membranoproliferative Glomerulonephritis. Mol. Immunol. 2012, 52, 200–206. [Google Scholar] [CrossRef]
- Nozal, P.; Strobel, S.; Ibernon, M.; Lopez, D.; Sanchez-Corral, P.; Rodriguez de Cordoba, S.; Jozsi, M.; Lopez-Trascasa, M. Anti-Factor H Antibody Affecting Factor H Cofactor Activity in a Patient with Dense Deposit Disease. Clin. Kidney J. 2012, 5, 133–136. [Google Scholar] [CrossRef] [PubMed]
- Sethi, S.; Fervenza, F.C.; Zhang, Y.; Nasr, S.H.; Leung, N.; Vrana, J.; Cramer, C.; Nester, C.M.; Smith, R.J.H. Proliferative Glomerulonephritis Secondary to Dysfunction of the Alternative Pathway of Complement. Clin. J. Am. Soc. Nephrol. 2011, 6, 1009–1017. [Google Scholar] [CrossRef]
- Dragon-Durey, M.A.; Loirat, C.; Cloarec, S.; Macher, M.A.; Blouin, J.; Nivet, H.; Weiss, L.; Fridman, W.H.; Frémeaux-Bacchi, V. Anti-Factor H Autoantibodies Associated with Atypical Hemolytic Uremic Syndrome. J. Am. Soc. Nephrol. 2005, 16, 555–563. [Google Scholar] [CrossRef]
- Józsi, M.; Strobel, S.; Dahse, H.-M.; Liu, W.; Hoyer, P.F.; Oppermann, M.; Skerka, C.; Zipfel, P.F. Anti–Factor H Autoantibodies Block C-Terminal Recognition Function of Factor H in Hemolytic Uremic Syndrome. Blood 2007, 110, 1516–1518. [Google Scholar] [CrossRef]
- Dragon-Durey, M.A.; Sethi, S.K.; Bagga, A.; Blanc, C.; Blouin, J.; Ranchin, B.; André, J.L.; Takagi, N.; Cheong, H., II; Hari, P.; et al. Clinical Features of Anti-Factor H Autoantibody-Associated Hemolytic Uremic Syndrome. J. Am. Soc. Nephrol. 2010, 21, 2180–2187. [Google Scholar] [CrossRef]
- Valoti, E.; Alberti, M.; Iatropoulos, P.; Piras, R.; Mele, C.; Breno, M.; Cremaschi, A.; Bresin, E.; Donadelli, R.; Alizzi, S.; et al. Rare Functional Variants in Complement Genes and Anti-FH Autoantibodies-Associated AHUS. Front. Immunol. 2019, 10, 853. [Google Scholar] [CrossRef]
- Puraswani, M.; Khandelwal, P.; Saini, H.; Saini, S.; Gurjar, B.S.; Sinha, A.; Shende, R.P.; Maiti, T.K.; Singh, A.K.; Kanga, U.; et al. Clinical and Immunological Profile of Anti-Factor H Antibody Associated Atypical Hemolytic Uremic Syndrome: A Nationwide Database. Front. Immunol. 2019, 10, 1282. [Google Scholar] [CrossRef] [PubMed]
- Fujisawa, M.; Yasumoto, A.; Kato, H.; Sugawara, Y.; Yoshida, Y.; Yatomi, Y.; Nangaku, M. The Role of Anti-Complement Factor H Antibodies in the Development of Atypical Haemolytic Uremic Syndrome: A Possible Contribution to Abnormality of Platelet Function. Br. J. Haematol. 2020, 189, 182–186. [Google Scholar] [CrossRef] [PubMed]
- Donadelli, R.; Pulieri, P.; Piras, R.; Iatropoulos, P.; Valoti, E.; Benigni, A.; Remuzzi, G.; Noris, M. Unraveling the Molecular Mechanisms Underlying Complement Dysregulation by Nephritic Factors in C3G and IC-MPGN. Front. Immunol. 2018, 9, 2329. [Google Scholar] [CrossRef] [PubMed]
- Marinozzi, M.C.; Roumenina, L.T.; Chauvet, S.; Hertig, A.; Bertrand, D.; Olagne, J.; Frimat, M.; Ulinski, T.; Deschênes, G.; Burtey, S.; et al. Anti-Factor B and Anti-C3b Autoantibodies in C3 Glomerulopathy and Ig-Associated Membranoproliferative GN. J. Am. Soc. Nephrol. 2017, 28, 1603–1613. [Google Scholar] [CrossRef]
- Matola, A.T.; Józsi, M.; Uzonyi, B. Overview on the Role of Complement-Specific Autoantibodies in Diseases. Mol. Immunol. 2022, 151, 52–60. [Google Scholar] [CrossRef]
- Strobel, S.; Zimmering, M.; Papp, K.; Prechl, J.; Józsi, M. Anti-Factor B Autoantibody in Dense Deposit Disease. Mol. Immunol. 2010, 47, 1476–1483. [Google Scholar] [CrossRef]
- Michels, M.A.H.M.; Volokhina, E.B.; van de Kar, N.C.A.J.; van den Heuvel, L.P.W.J. Challenges in Diagnostic Testing of Nephritic Factors. Front. Immunol. 2022, 13, 1036136. [Google Scholar] [CrossRef]
- Servais, A.; Noël, L.-H.; Roumenina, L.T.; Le Quintrec, M.; Ngo, S.; Dragon-Durey, M.-A.; Macher, M.-A.; Zuber, J.; Karras, A.; Provot, F.; et al. Acquired and Genetic Complement Abnormalities Play a Critical Role in Dense Deposit Disease and Other C3 Glomerulopathies. Kidney Int. 2012, 82, 454–464. [Google Scholar] [CrossRef]
- Campa, M.J.; Gottlin, E.B.; Bushey, R.T.; Patz, E.F. Complement Factor H Antibodies from Lung Cancer Patients Induce Complement-Dependent Lysis of Tumor Cells, Suggesting a Novel Immunotherapeutic Strategy. Cancer Immunol. Res. 2015, 3, 1325–1332. [Google Scholar] [CrossRef]
- Matola, A.T.; Fülöp, A.; Rojkovich, B.; Nagy, G.; Sármay, G.; Józsi, M.; Uzonyi, B. Autoantibodies against Complement Factor B in Rheumatoid Arthritis. Front. Immunol. 2023, 14, 1113015. [Google Scholar] [CrossRef]
- Garam, N.; Cserhalmi, M.; Prohászka, Z.; Szilágyi, A.; Veszeli, N.; Szabó, E.; Uzonyi, B.; Iliás, A.; Aigner, C.; Schmidt, A.; et al. FHR-5 Serum Levels and CFHR5 Genetic Variations in Patients with Immune Complex-Mediated Membranoproliferative Glomerulonephritis and C3-Glomerulopathy. Front. Immunol. 2021, 12, 720183. [Google Scholar] [CrossRef]
- Zhao, F.; Afonso, S.; Lindner, S.; Hartmann, A.; Löschmann, I.; Nilsson, B.; Ekdahl, K.N.; Weber, L.T.; Habbig, S.; Schalk, G.; et al. C3-Glomerulopathy Autoantibodies Mediate Distinct Effects on Complement C3- and C5-Convertases. Front. Immunol. 2019, 10, 1030. [Google Scholar] [CrossRef] [PubMed]
- Gómez Delgado, I.; Gutiérrez-Tenorio, J.; Fraga Rodríguez, G.M.; Cavero, T.; Arjona, E.; Sanchez-Corral, P. Low Factor H-Related 5 Levels Contribute to Infection-Triggered Haemolytic Uraemic Syndrome and Membranoproliferative Glomerulonephritis. Clin. Kidney J. 2020, 14, 707–709. [Google Scholar] [CrossRef] [PubMed]
- Stuchlý, J.; Kanderová, V.; Vlková, M.; Heřmanová, I.; Slámová, L.; Pelák, O.; Taraldsrud, E.; Jílek, D.; Králíčková, P.; Fevang, B.; et al. Common Variable Immunodeficiency Patients with a Phenotypic Profile of Immunosenescence Present with Thrombocytopenia. Sci. Rep. 2017, 7, 39710. [Google Scholar] [CrossRef]
- Omoyinmi, E.; Standing, A.; Keylock, A.; Price-Kuehne, F.; Melo Gomes, S.; Rowczenio, D.; Nanthapisal, S.; Cullup, T.; Nyanhete, R.; Ashton, E.; et al. Clinical Impact of a Targeted Next-Generation Sequencing Gene Panel for Autoinflammation and Vasculitis. PLoS ONE 2017, 12, e0181874. [Google Scholar] [CrossRef]
- Khandelwal, P.; Nambiar, S.; Saini, R.; Saini, S.; Coshic, P.; Sinha, A.; Hari, P.; Palanichamy, J.K.; Bagga, A. Anti-Factor B Antibodies in Atypical Hemolytic Uremic Syndrome. Pediatr. Nephrol. 2024, 39, 1909–1916. [Google Scholar] [CrossRef]
- Hauer, J.J.; Zhang, Y.; Goodfellow, R.; Taylor, A.; Meyer, N.C.; Roberts, S.; Shao, D.; Fergus, L.; Borsa, N.G.; Hall, M.; et al. Defining Nephritic Factors as Diverse Drivers of Systemic Complement Dysregulation in C3 Glomerulopathy. Kidney Int. Rep. 2024, 9, 464–477. [Google Scholar] [CrossRef]
- Martínez-Barricarte, R.; Heurich, M.; Valdes-Cañedo, F.; Vazquez-Martul, E.; Torreira, E.; Montes, T.; Tortajada, A.; Pinto, S.; Lopez-Trascasa, M.; Morgan, B.P.; et al. Human C3 Mutation Reveals a Mechanism of Dense Deposit Disease Pathogenesis and Provides Insights into Complement Activation and Regulation. J. Clin. Investig. 2010, 120, 3702–3712. [Google Scholar] [CrossRef]
- Aradottir, S.S.; Kristoffersson, A.C.; Roumenina, L.T.; Bjerre, A.; Kashioulis, P.; Palsson, R.; Karpman, D. Factor D Inhibition Blocks Complement Activation Induced by Mutant Factor B Associated with Atypical Hemolytic Uremic Syndrome and Membranoproliferative Glomerulonephritis. Front. Immunol. 2021, 12, 690821. [Google Scholar] [CrossRef]
- Leroy, V.; Fremeaux-Bacchi, V.; Peuchmaur, M.; Baudouin, V.; Deschênes, G.; Macher, M.-A.; Loirat, C. Membranoproliferative Glomerulonephritis with C3NeF and Genetic Complement Dysregulation. Pediatr. Nephrol. 2011, 26, 419–424. [Google Scholar] [CrossRef]
- Iatropoulos, P.; Noris, M.; Mele, C.; Piras, R.; Valoti, E.; Bresin, E.; Curreri, M.; Mondo, E.; Zito, A.; Gamba, S.; et al. Complement Gene Variants Determine the Risk of Immunoglobulin-Associated MPGN and C3 Glomerulopathy and Predict Long-Term Renal Outcome. Mol. Immunol. 2016, 71, 131–142. [Google Scholar] [CrossRef]
- Strobel, S.; Abarrategui-Garrido, C.; Fariza-Requejo, E.; Seeberger, H.; Sánchez-Corral, P.; Józsi, M. Factor H-Related Protein 1 Neutralizes Anti-Factor H Autoantibodies in Autoimmune Hemolytic Uremic Syndrome. Kidney Int. 2011, 80, 397–404. [Google Scholar] [CrossRef] [PubMed]
- Bhattacharjee, A.; Reuter, S.; Trojnár, E.; Kolodziejczyk, R.; Hyvärinen, H.S.S.; Uzonyi, B.; Szilágyi, Á.; Prohászka, Z.; Goldman, A.; Józsi, M.; et al. The Major Autoantibody Epitope on Factor H in Atypical Hemolytic Uremic Syndrome Is Structurally Different from Its Homologous Site in Factor H-Related Protein 1, Supporting a Novel Model for Induction of Autoimmunity in This Disease. J. Biol. Chem. 2015, 290, 9500–9510. [Google Scholar] [CrossRef]
- Gurjar, B.S.; Manikanta Sriharsha, T.; Bhasym, A.; Prabhu, S.; Puraswani, M.; Khandelwal, P.; Saini, H.; Saini, S.; Verma, A.K.; Chatterjee, P.; et al. Characterization of Genetic Predisposition and Autoantibody Profile in Atypical Haemolytic–Uraemic Syndrome. Immunology 2018, 154, 663–672. [Google Scholar] [CrossRef]
- Uzonyi, B.; Szabó, Z.; Trojnár, E.; Hyvärinen, S.; Uray, K.; Nielsen, H.H.; Erdei, A.; Jokiranta, T.S.; Prohászka, Z.; Illes, Z.; et al. Autoantibodies Against the Complement Regulator Factor H in the Serum of Patients with Neuromyelitis Optica Spectrum Disorder. Front. Immunol. 2021, 12, 660382. [Google Scholar] [CrossRef]
- Li, L.-L.; Tan, Y.; Song, D.; Li, Y.-Z.; Yu, F.; Chen, M.; Zhao, M.-H. Anti-Complement Factor H Autoantibodies May Be Protective in Lupus Nephritis. Clin. Chim. Acta 2020, 508, 1–8. [Google Scholar] [CrossRef] [PubMed]
- Michels, M.A.H.M.; van de Kar, N.C.A.J.; Okrój, M.; Blom, A.M.; van Kraaij, S.A.W.; Volokhina, E.B.; van den Heuvel, L.P.W.J. Overactivity of Alternative Pathway Convertases in Patients With Complement-Mediated Renal Diseases. Front. Immunol. 2018, 9, 612. [Google Scholar] [CrossRef]
- Rother, U. A New Screening Test for C3 Nephritis Factor Based on a Stable Cell Bound Convertase on Sheep Erythrocytes. J. Immunol. Methods 1982, 51, 101–107. [Google Scholar] [CrossRef] [PubMed]
- Prohászka, Z.; Nilsson, B.; Frazer-Abel, A.; Kirschfink, M. Complement Analysis 2016: Clinical Indications, Laboratory Diagnostics and Quality Control. Immunobiology 2016, 221, 1247–1258. [Google Scholar] [CrossRef]
- Amornsiripanitch, N.; Hong, S.; Campa, M.J.; Frank, M.M.; Gottlin, E.B.; Patz, E.F. Complement Factor H Autoantibodies Are Associated with Early Stage NSCLC. Clin. Cancer Res. 2010, 16, 3226–3231. [Google Scholar] [CrossRef]






| Characterization | Titer | 1:3200 for both anti-FB and anti-FH | |
| Isotype | IgG2, IgG3, IgG4, IgGκ and IgGλ for both anti-FB and anti-FH | ||
| Binding site | FB Ba and Bb; FH CCPs 1-4, 5-7, 15-20, 19-20, weak binding to CCPs 8-14; cross-reaction with FHR-1 and FHL-1 | ||
| In vivo formed immune complex detection | With both anti-FB and anti-FH | ||
| Functional effects | Hemolysis | Reduced when using whole IgG fraction | |
| Solid-phase C3 convertase | Assembly | No effect | |
| Decay | No effect * | ||
| Activity | Decreased | ||
| Complement deposition | No effect | ||
| C3b binding to FH | Weak inhibition | ||
| FH cofactor activity | No effect | ||
Disclaimer/Publisher’s Note: The statements, opinions and data contained in all publications are solely those of the individual author(s) and contributor(s) and not of MDPI and/or the editor(s). MDPI and/or the editor(s) disclaim responsibility for any injury to people or property resulting from any ideas, methods, instructions or products referred to in the content. |
© 2025 by the authors. Licensee MDPI, Basel, Switzerland. This article is an open access article distributed under the terms and conditions of the Creative Commons Attribution (CC BY) license (https://creativecommons.org/licenses/by/4.0/).
Share and Cite
Matola, A.T.; Csuka, D.; Szilágyi, Á.; Rudnicki, M.; Prohászka, Z.; Józsi, M.; Uzonyi, B. Autoantibodies Against Factor B and Factor H Without Pathogenic Effects in a Patient with Immune Complex-Mediated Membranoproliferative Glomerulonephritis. Biomedicines 2025, 13, 648. https://doi.org/10.3390/biomedicines13030648
Matola AT, Csuka D, Szilágyi Á, Rudnicki M, Prohászka Z, Józsi M, Uzonyi B. Autoantibodies Against Factor B and Factor H Without Pathogenic Effects in a Patient with Immune Complex-Mediated Membranoproliferative Glomerulonephritis. Biomedicines. 2025; 13(3):648. https://doi.org/10.3390/biomedicines13030648
Chicago/Turabian StyleMatola, Alexandra T., Dorottya Csuka, Ágnes Szilágyi, Michael Rudnicki, Zoltán Prohászka, Mihály Józsi, and Barbara Uzonyi. 2025. "Autoantibodies Against Factor B and Factor H Without Pathogenic Effects in a Patient with Immune Complex-Mediated Membranoproliferative Glomerulonephritis" Biomedicines 13, no. 3: 648. https://doi.org/10.3390/biomedicines13030648
APA StyleMatola, A. T., Csuka, D., Szilágyi, Á., Rudnicki, M., Prohászka, Z., Józsi, M., & Uzonyi, B. (2025). Autoantibodies Against Factor B and Factor H Without Pathogenic Effects in a Patient with Immune Complex-Mediated Membranoproliferative Glomerulonephritis. Biomedicines, 13(3), 648. https://doi.org/10.3390/biomedicines13030648

