Abstract
Hepatic mesenchymal tumors (HMTs) are non-epithelial benign and malignant tumors with or without specific mesenchymal cell differentiation. They are relatively uncommon. Except for mesenchymal hamartoma, calcified nested stromal–epithelial tumor, and embryonal sarcoma, most mesenchymal lesions are not specific to the liver. Pathologists face challenges in diagnosing HMTs due to their diverse morphologies and phenotypic variations. Accurate diagnosis is critical for directing appropriate patient care and predicting outcomes. This review focuses on mesenchymal tumors with a relative predilection for the liver, including vascular and non-vascular mesenchymal neoplasms. It provides a thorough and up-to-date overview, concentrating on clinical and pathological features, differential diagnosis, and diagnostic approaches.
1. Introduction
Hepatic mesenchymal tumors (HMTs) are a group of non-epithelial benign and malignant tumors with specific mesenchymal cell differentiation or a lack of specific differentiation [1]. HMTs are a diverse group of soft tissue tumors that are relatively uncommon in the liver. Most mesenchymal lesions of the liver are not unique to this organ. However, some mesenchymal tumors are specific to the liver, such as mesenchymal hamartoma (MH), calcifying nested stromal–epithelial tumor (CNSET), and embryonal sarcoma (ES). Table 1 lists the relatively common and rare HMTs.
Table 1.
Relatively common and rare mesenchymal tumors of the liver.
In the fifth edition of the World Health Organization (WHO) classification of digestive system tumors [2,3], there is a chapter on mesenchymal tumors. New subtypes and entities in the liver have been identified, including inflammatory angiomyolipoma [4], anastomosing hemangioma [5], diffuse hemangiomatosis, and hepatic small vessel neoplasm (HSCN) [6]. In addition, important molecular data have been included for several tumors. For example, epithelioid hemangioendothelioma (EHE) is linked to the WWTR1::CAMTA1 fusion gene and the YAP1::TFE3 fusion gene [7,8], whereas CSNET is linked to CTNNB1 mutations [9].
Accurate pathological diagnosis and understanding of HMTs’ molecular pathogenesis are critical for effective patient management and prognosis. However, diagnosis and treatment of HMTs remains challenging due to their diverse histological and molecular genetic profiles. This review provides a comprehensive and current overview of the pathology of HMTs, with a focus on advances in histological subtypes, molecular genetics, differential diagnosis, and diagnostic approaches.
2. Adipocytic Tumors
2.1. Lipoma
2.1.1. Clinical Features
Lipoma is a benign neoplasm made of mature adipocytes [10]. Hepatic lipomas are uncommon and generally asymptomatic. They usually occur in adults aged 40 to 60 years and are typically discovered incidentally during imaging studies such as ultrasonography, computed tomography (CT), and magnetic resonance imaging (MRI). Like soft tissue lipomas, hepatic lipomas are more prevalent in obese people and strongly associated with hepatic steatosis [11].
2.1.2. Pathological Features
Hepatic lipomas can range in size from a few millimeters to several centimeters. They are clearly defined lesions surrounded by a thin, fibrous capsule. They have a uniform yellow appearance on the cut surface and a soft, oily texture. Histologically, lipomas consist of mature adipocytes with minimal size variation. Areas of fat necrosis or hemorrhage may occasionally be observed. The adipocytes have peripheral, flattened nuclei and no atypia. Lipomatous tumors are classified based on the addition of tissue elements to the adipose component. These include fibrolipoma, myxolipoma, angiolipoma, chondrolipoma, osteolipoma, and myelolipoma [1].
2.1.3. Differential Diagnosis
Differential diagnosis includes pseudolipoma and focal fatty nodule [12,13]. Pseudolipomas should be distinguished from hepatic lipomas. Pseudolipomas are typically present as small, encapsulated fat masses located within concavities on the liver surface and often exhibit necrosis and calcification [12]. In contrast, hepatic lipomas are found in the hepatic parenchyma. Focal fatty nodules, also known as focal fatty change or focal fatty liver, can sometimes be mistaken for lipomatous lesions. They consist of nodular aggregates of hepatocytes with macrovesicular steatosis that retain the acinar architecture [13].
2.2. Liposarcoma
2.2.1. Clinical Features
Although liposarcomas, malignant neoplasms exhibiting adipocytic differentiation, are the most common sarcomas in adults, hepatic liposarcomas are extremely rare [14]. Several cases of hepatic liposarcoma have been reported in the literature [15,16,17]. Primary hepatic liposarcoma affects both men and women equally, and the clinical presentations are typically nonspecific. Symptoms may comprise abdominal distension, epigastric mass, and weight loss. Hepatic liposarcomas have the same histological subtypes as soft tissue liposarcomas [18,19,20]. The prognosis is determined by the histological subtype and grade of the tumor.
2.2.2. Pathological Features
Liposarcoma usually presents a large, well-defined, lobulated mass with a yellow-to-white cut surface. Liposarcomas are classified into four histological subtypes: (1) well differentiated, (2) dedifferentiated, (3) myxoid, and (4) pleomorphic. Well-differentiated liposarcoma is characterized by variation in adipocyte size, atypical hyperchromatic nuclei of adipocytes and stromal cells, and up-regulation of MDM2 and/or CDK4. Dedifferentiated liposarcoma is characterized by an abrupt or gradual transition from well-differentiated liposarcoma to a low- or high-grade spindle cell or pleomorphic, non-lipogenic tumor (rarely lipogenic). The majority of dedifferentiated liposarcomas show amplification of MDM2 and CDK4. Myxoid liposarcoma consists of uniform, round-to-ovoid cells, scattered with lipoblasts, and delicate arborizing capillaries within a myxoid stroma. Pathognomonic genetic alterations include the FUS::DDIT3 fusion gene and, less commonly, the EWSR1::DDIT3 fusion gene. Pleomorphic liposarcoma is a pleomorphic spindle cell sarcoma containing varying numbers of pleomorphic lipoblasts. Immunohistochemically, well-differentiated and dedifferentiated liposarcomas are positive for MDM2 and CDK4. Myxoid liposarcomas exhibit DDIT3 expression.
2.2.3. Differential Diagnosis
Differential diagnosis includes lipoma and metastatic liposarcoma. Lipomas are distinguished from well-differentiated liposarcomas by the lack of significant adipocyte size variation and cytological atypia in adipocytes or stromal cells. Furthermore, lipomas are negative for MDM2 expression. Metastatic liposarcomas should be excluded during the initial evaluation [21,22]. In the liver, metastatic liposarcomas are often present as multiple lesions. A prior history of a primary liposarcoma in an extraperitoneal site, particularly the retroperitoneum or extremities, strongly suggests a metastatic spread.
3. Fibroblastic and Myofibroblastic Tumors
3.1. Inflammatory Myofibroblastic Tumor
3.1.1. Clinical Features
Inflammatory myofibroblastic tumor (IMT) is a fibroblastic/myofibroblastic neoplasm with intermediate biological potential, characterized by a significant inflammatory cell infiltrate consisting predominantly of lymphocytes and plasma cells [23]. The liver is an uncommon site for IMT [24]. Although it predominantly affects children and young adults, cases have been reported from a wide age range [25]. Common symptoms at presentation include abdominal pain, abdominal discomfort, fever, and weight loss [26]. The cause remains unknown. Tyrosine kinase receptor gene rearrangements, particularly those involving the ALK locus at 2p23 and various fusion partners, occur in two-thirds of IMTs, [27]. Epithelioid inflammatory myofibroblastic sarcoma (EIMS) is an aggressive IMT subtype that commonly manifests as widespread intra-abdominal masses [28,29,30]. EIMS harbors the RANBP2::ALK fusion gene or RRBP1::ALK fusion gene. Approximately 5% of IMTs harbor ROS1 gene fusions. Rare cases of IMTs have shown gene fusions involving NTRK3, PDGFRB, and RET [31,32]. Conventional gastrointestinal IMTs have low local recurrence rates [26], with distant metastases occurring in <5% of cases [33]. However, ALK-negative tumors are more likely to metastasize.
3.1.2. Pathological Features
Most tumors range in size from 3 cm to 12 cm and have firm white or yellow cut surfaces. Histologically, the tumors consist of uniform, plump spindle cells with vesicular chromatin, small nucleoli, and pale cytoplasm, with a loose fascicular pattern [25]. The stroma is myxoid or collagenous, with an inflammatory infiltrate composed primarily of lymphocytes and plasma cells, with occasional eosinophils and neutrophils. A subset of tumor cells may have ganglion cell-like characteristics. Mitotic activity is low. Necrosis may occasionally be present. EIMS consists of epithelioid or round cells with prominent nucleoli and amphophilic or eosinophilic cytoplasm, accompanied by a marked neutrophilic infiltrate [28]. Immunohistochemically, the tumor cells are positive for smooth muscle actin (SMA) in almost all cases and desmin in more than half of them. Cytokeratins expression is observed in 20–30% of cases. Approximately 60% of IMTs express ALK in a diffuse cytoplasmic pattern [34], while approximately 5% express ROS1, corresponding to the underlying ALK and ROS1 gene fusions, respectively [31]. EIMSs exhibit distinctive nuclear membrane or perinuclear ALK staining patterns [28].
3.1.3. Differential Diagnosis
Differential diagnosis includes inflammatory pseudotumor, follicular dendritic cell sarcoma (FDCS), and leiomyosarcoma. The term “inflammatory pseudotumor” was previously used interchangeably with IMT due to their similar histological and clinical characteristics. However, it is a benign, non neoplastic reactive lesion with varying amounts of fibrous tissue, fibroblasts, myofibroblasts, and chronic inflammatory cells, primarily lymphocytes and plasma cells [1]. Inflammatory pseudotumors exhibit less organized fibroblast/myofibroblast proliferation and no ALK or ROS1 rearrangements [35]. FDCS is a malignant neoplasm with the morphological and phenotypic characteristics of follicular dendritic cells [36]. The majority of hepatic FDCS cases are classified as Epstein–Barr virus (EBV)-positive inflammatory follicular dendritic cell sarcoma (EFDCS) [37]. EFDCS is characterized by the neoplastic proliferation of FDCs, a marked lymphoplasmacytic infiltrate, and its association with EBV [38,39]. EDFCSs are positive for EBV-encoded small RNA (EBER) and express FDC markers such as CD21, CD23, and CD35. Leiomyosarcomas can present with prominent inflammation and are characterized by cigar-shaped nuclei with blunted ends and brightly eosinophilic cytoplasm. Unlike IMTs, leiomyosarcomas are negative for ALK.
3.2. Solitary Fibrous Tumor
3.2.1. Clinical Features
Solitary fibrous tumor (SFT) is a fibroblastic neoplasm characterized by distinctive thin-walled, branching, staghorn-shaped vessels and the NAB2::STAT6 fusion gene [40]. SFTs primarily affect adults aged 20 to 70 years, with rare cases involving children and adolescents. These tumors can develop in virtually any anatomical location [41,42,43,44]. In the liver, SFTs are thought to originate from the Glisson capsule. Although most SFTs have solitary lesions, they can occasionally appear multifocal [45,46,47,48,49]. Symptoms are usually nonspecific; however, hypoglycemia can occur if the tumor produces insulin-like growth factor 2 [50]. Molecularly, SFTs are defined by the NAB2::STAT6 fusion gene, which results from an inversion at the 12q13 locus [51,52,53]. Prognostication of SFT is notoriously challenging. Although most SFTs are benign, approximately 10% exhibit aggressive characteristics, resulting in local recurrence and distant metastasis [40].
3.2.2. Pathological Features
Hepatic SFTs can appear as intraparenchymal or exophytic pedunculated masses that range in size from 2 cm to 20 cm. Most SFTs are solitary, but they can be multifocal. Grossly, the tumors have a light tan to white-gray cut surface with a whorled appearance. Histologically, SFTs are composed of bland, ovoid-to-spindle-shaped cells with pale eosinophilic cytoplasm. These cells exhibit a random, patternless pattern, and the presence of thin-walled, branching, or staghorn-shaped blood vessels is a distinguishing feature. The level of cellularity varies, even within the same tumor. Stromal and perivascular hyalinization is commonly observed. Indicators of an increased risk of aggressive behavior include older patient age, larger tumor size, high cellularity, cytological atypia, >4 mitoses/2 mm2, necrosis, and sarcomatous transformation [54,55,56]. Multivariate risk models have increased prognostic accuracy beyond the limitations of traditional benign and malignant classification [56]. Immunohistochemically, SFTs are positive for CD34 and STAT6 [57]. STAT6 is a highly sensitive and specific marker for diagnosing SFT [58].
3.2.3. Differential Diagnosis
Differential diagnosis includes perivascular epithelioid cell tumor (PEComa), dedifferentiated liposarcoma, leiomyosarcoma, and metastatic SFT. Fat-forming (lipomatous) SFTs can resemble PEComas, including angiomyolipoma. PEComas are distinguished by the expression of smooth muscle markers (e.g., SMA, h-caldesmon, desmin) and melanocytic markers (e.g., HMB-45, melan-A, MITF). Rare cases of dedifferentiated liposarcomas may have SFT-like morphology and are characterized by MDM2 positivity. Leiomyosarcomas consist of intersecting fascicles of spindle cells with blunt-ended nuclei and eosinophilic fibrillary cytoplasm. Unlike SFTs, they are negative for STAT6. Metastatic SFTs are significantly more common than primary SFTs, so careful clinical correlation is required for a correct differential diagnosis.
4. Vascular Tumors
4.1. Hepatic Congenital Hemangioma
4.1.1. Clinical Features
Hepatic congenital hemangioma (HCH) is a benign vascular neoplasm that is fully developed at birth and characterized as GLUT1-immunonegative [59]. There are three clinical subtypes: rapidly involuting CH (RICH), partially involuting (PICH), and non-involuting CH (NICH). In most cases, involution occurs during infancy [59]. HCHs are typically asymptomatic and are often detected incidentally during infancy imaging or prenatal ultrasonography [60,61,62]. In some cases, newborns may exhibit hepatomegaly, thrombocytopenia, and mild hypofibrinogenemia. In rare cases, these conditions may progress to cardiac failure as a result of arteriovenous shunting [63,64]. HCH is more common in girls and can be associated with cutaneous infantile hemangioma or cavernous hemangioma [60,62]. The majority of RICH cases are caused by missense mutations that change glutamine at amino acid position 209 (Q209), leading to hyperactivation of the GNAQ and GNA11 genes [65]. A subset of the cases are linked to PIK3CA mutations [66].
4.1.2. Pathological Features
HCHs are typically solitary lesions [61], with multiple foci being uncommon. Grossly, HCHs are well-circumscribed, soft-to-firm masses that appear tan to white (Figure 1a). They range in size from a few millimeters to more than 10 cm. Central hemorrhage and necrosis may be seen. Histologically, HCHs are composed of aggregates or lobules of capillary-like channels lined by plump-to-hobnailed endothelial cells and surrounded by pericytes (Figure 1b). As HCH involutes, the vascular structures are gradually replaced by fibrous stroma. The intervascular stroma is fibrotic, with entrapped hepatocytes, bile ducts scattered throughout, extramedullary hematopoiesis foci, and occasionally dilated sinusoids. Central necrosis, dystrophic calcification, chronic inflammatory cells, macrophages (sometimes containing hemosiderin), and dysplastic veins with thrombi are common findings. Immunohistochemically, the lesion’s endothelial cells within the lesion are positive for vascular markers and WT1 [67] but negative for GLUT1 [68].
Figure 1.
Hepatic congenital hemangioma. (a) The cut surface shows a white-tan mass with central calcification. (b) Capillary-type vascular channels lined by plump endothelial cells and less-cellular areas with fibrosis and calcification are present (hematoxylin-eosin stain, ×100).
4.1.3. Differential Diagnosis
Differential diagnosis includes hepatic infantile hemangioma (HIH) [69]. Unlike HCHs, HIHs typically appear within a few weeks after birth. Immunohistochemically, the endothelial cells in HIHs are positive for GLUT1.
4.2. Hepatic Infantile Hemangioma
4.2.1. Clinical Features
HIH is a benign, proliferative, vascular neoplasm characterized by endothelial GLUT1 immunopositivity [70]. It is the most common HMT in children [71]. HCH and HIH account for approximately 12% of all pediatric liver tumors [59]. Most HIHs are asymptomatic and discovered incidentally during imaging tests. Infants with HIH are more likely to be female, have a low birth weight, arrive prematurely, and have multiple gestations [72,73,74,75]. Many patients are asymptomatic. When present, symptoms are nonspecific and may include nausea, lethargy, or gastrointestinal bleeding. They may be associated with hepatoblastoma, MH [76,77,78,79], and Beckwith–Wiedemann syndrome. HIH has a mortality rate of up to 16%. The majority of these children present with diffuse HIH, abdominal compartment syndrome, or cardiac failure [80]. If the proliferative phase continues after the age of 2, the risk of progression to angiosarcoma increases [81,82]. Aggressive forms of HIH have been linked to the overexpression of hedgehog signaling pathway components such as sonic hedgehog, GLI2, and their target gene FOXA2 [83].
4.2.2. Pathological Features
HIH is typically multifocal or diffuse and rarely represents a solitary lesion. The diffuse pattern is characterized by innumerable, frequently coalescent nodules that can extensively replace the hepatic parenchyma [61]. Individual nodules range in size from a few millimeters to more than 10 cm, appearing as well-defined, tan-white, oval-to-round, and spongy masses. Hemorrhage and necrosis may be present. Histologically, HIHs are composed of anastomosing, sinusoid-like channels with flattened or minimally plump endothelial cells, particularly in the central portions of the nodules. These cells have small, bland, hyperchromatic nuclei. Occasionally, endothelial cells form pseudopapillary architectures with increased cellularity. The stroma is fibrous, and entrapped bile ducts and hepatocytes may be seen. Individual masses are separated by the normal hepatic parenchyma. Immunohistochemically, the endothelial cells of the lesions are positive for GLUT1 and vascular markers such as CD31 and CD34.
4.2.3. Differential Diagnosis
Differential diagnosis includes HCH [84], MH, and angiosarcoma. HCHs are fully developed at birth after forming during fetal development in utero. Unlike HIHs, HCHs are negative for GLUT1. MHs may occasionally have a prominent vascular component [78,85], which can mimic HIH. However, MHs are distinguished by the presence of both epithelial and stromal components and thick-walled vessels with round lumina. Angiosarcomas are distinguished by marked cytological atypia and frequent mitotic activity. In cases of HIH, moderate to severe endothelial atypia, solid spindle or epithelioid foci, necrosis, and variability in endothelial GLUT1, expression may indicate progression to angiosarcoma.
4.3. Cavernous Hemangioma
4.3.1. Clinical Features
Hemangiomas are benign vascular neoplasms [86]. According to autopsy studies, cavernous hemangiomas are among the most common benign HMTs, accounting for approximately 20% of the general population [87,88]. They can occur at any age, but are most often observed in women between their third and fifth decades. Cavernous hemangiomas are typically asymptomatic and are frequently found incidentally during imaging studies. However, lesions larger than 4 cm may become symptomatic, resulting in pain or bleeding [86]. Although they are generally solitary, multiple lesions can occasionally occur. During pregnancy, cavernous hemangiomas can grow or rupture. They may also grow or recur in patients receiving estrogen therapy, suggesting that both endogenous and exogenous estrogen exposure may play a role in the development and progression of these tumors [89]. Hepatic capillary hemangiomas have been rarely reported in adults [90,91].
4.3.2. Pathological Features
Cavernous hemangiomas are well-defined, purple-red lesions with a spongy consistency (Figure 2a). However, in cases of severe sclerosis, they may appear white and firm. These lesions vary significantly in size [92]. Histologically, cavernous hemangiomas consist of dilated vascular channels lined by a single layer of flattened endothelial cells and fibrous septa of varying thickness (Figure 2b). Organizing thrombi, infarction, fibrosis, and calcification may be observed. Lesions larger than 10 cm are called giant cavernous hemangiomas [93]. Fibrosis is common, particularly in the center of the tumor, and it is thought to be caused by a regressive process. These cases are frequently referred to as sclerosing cavernous hemangiomas [94]. In some cases, extensive fibrosis may completely obscure cavernous architecture, leading to the designation of sclerosed hemangioma [94]. Diffuse hepatic hemangiomatosis (DHH) is an extremely rare disease characterized by extensive replacement of the liver parenchyma by diffuse multiple hemangiomas. In some cases, other organs may also be affected [86]. Immunohistochemically, the endothelial lining of cavernous hemangiomas consistently expresses vascular markers such as CD31, CD34, and FLI1.
Figure 2.
Cavernous hemangioma. (a) The cut surface shows a brown-tan cavitary lesion. (b) Dilated vascular spaces filled with blood are lined by flat endothelial cells and separated by fibrous septa (hematoxylin-eosin stain, ×100).
4.3.3. Differential Diagnosis
Differential diagnosis includes peliosis hepatis, hereditary hemorrhagic telangiectasia (HHT), angiosarcoma, and fibrotic liver lesions. In most cases, cavernous hemangiomas are easily diagnosed. Bacillary angiomatosis is a vascular proliferation occurring in immunocompromised individuals and is caused by opportunistic infection by Bartonella species. When it involves the liver, it manifests as peliosis hepatis [95]. Unlike cavernous hemangiomas, peliosis hepatis presents cystic blood-filled spaces surrounded by hepatocytes and lacks an endothelial lining and fibrous septa. DHHs must be distinguished from HHTs [86]. HHTs are distinguished by dilated vascular channels in the portal and periportal areas, which are frequently accompanied by aberrant portal vessels. DHHs should not be misinterpreted as angiosarcoma based solely on their infiltrating appearance. Angiosarcomas are distinguished by atypical endothelial cells, anastomosing vascular channels, and multilayered endothelial cell proliferation. Sclerosed hemangiomas should be differentiated from other fibrotic liver lesions, including MHs, bile duct adenomas, and intrahepatic cholangiocarcinomas. Immunohistochemical staining for endothelial markers can help identify the remaining vascular network.
4.4. Anastomosing Hemangioma
4.4.1. Clinical Features
Anastomosing hemangioma is a rare benign vascular neoplasm characterized by complex, anastomosing vascular channels lined by bland endothelial cells [87]. Although it is most commonly described in the genitourinary tract, it has also been reported less frequently in the liver and gastrointestinal tract [96,97]. Anastomosing hemangiomas are typically asymptomatic and are discovered incidentally in adults, with a higher prevalence in women. This tumor exhibits mutations in GNAQ, GNA11, and GNA14 [98,99].
4.4.2. Pathological Features
Anastomosing hemangioma is well demarcated. Histologically, it consists of anastomosing capillary-like vessels with a loosely lobular architecture. The endothelial cells are arranged in a single layer and occasionally exhibit a hobnail appearance. Mild endothelial atypia can be observed, but the tumor lacks infiltrative growth into the liver parenchyma. Areas resembling cavernous hemangioma are also seen. Intracytoplasmic hyaline globules may also be present in the neoplastic endothelial cells. Fibrin thrombi are commonly found within vascular spaces. Approximately half of the tumors exhibit extramedullary hematopoiesis. Immunohistochemically, the endothelial cells are positive for vascular markers such as CD31, CD34, and ERG.
4.4.3. Differential Diagnosis
Differential diagnosis includes angiosarcoma. Anastomosing hemangiomas may resemble angiosarcomas due to their anastomosing growth pattern. However, anastomosing hemangiomas are typically well-circumscribed, lack significant cytological atypia, and do not show diffuse infiltration into the surrounding liver parenchyma [5].
4.5. Hepatic Small Vessel Neoplasm
4.5.1. Clinical Features
HSVN is a rare vascular neoplasm considered benign or low-grade [86]. HSVN was initially identified as a lesion with uncertain biological potential. However, long-term clinical follow-up has shown that HSVN is generally benign but can exhibit locally aggressive behavior [100,101]. HSVN primarily affects adults, with an average patient age of 54 years (range, 24–83 years) [87]. It occurs more commonly in men. These tumors are typically asymptomatic and are often incidentally discovered during imaging tests as single liver masses. Molecularly, HSVN is similar to anastomosing hemangioma, with mutations in GNAQ, GNA11, and GNA14 [100]. Given these similarities, anastomosing hemangioma and HSVM may represent variations in the same entity. Recently, molecular risk stratification for the malignant potential in HSVN has been proposed [102].
4.5.2. Pathological Features
HSVNs are typically small lesions, averaging 2.1 cm in diameter, and are often poorly defined. Histologically, HSVN is characterized by small, thin-walled vessels with flattened-to-plump hobnail endothelial cells that contain erythrocytes within the lumen [86]. These vessels can infiltrate around the portal tracts and between the hepatic plates. Extramedullary hematopoiesis is occasionally observed. The adjacent hepatic parenchyma may show the hepatocyte plate’s expansion, with areas that resemble focal nodular hyperplasia. Immunohistochemically, the lining epithelium expresses vascular markers such as CD31, CD34, and ERG.
4.5.3. Differential Diagnosis
Differential diagnosis includes cavernous hemangioma, anastomosing hemangioma, and angiosarcoma. Cavernous hemangiomas are typically well-circumscribed and distinguished by large vascular spaces lined by flat, uniform endothelial cells. Although HSVNs resemble anastomosing hemangiomas, they are differentiated by their infiltrative interface with the surrounding hepatic parenchyma, whereas anastomosing hemangiomas are clearly demarcated from the liver parenchyma. HSVNs can mimic hepatic angiosarcoma due to their infiltrative nature; however, they lack cytological atypia, multilayering, mitotic activity, and necrosis [6]. Additionally, HSVNs have a Ki-67 proliferation index of less than 10%, whereas angiosarcomas have an index greater than 10% [6].
4.6. Lymphangioma
4.6.1. Clinical Features
Lymphangioma is a benign tumor consisting of lymphatic spaces lined by a single layer of lymphatic endothelial cells and filled with serous or chylous material [103]. The term “lymphangiomatosis” refers to multicentric or extensively infiltrating lymphangiomas. Hepatic lymphangiomas are rare, with most documented cases occurring as part of diffuse lymphangiomatosis [104]. These lesions are usually present at birth or in early childhood. Lymphangiomas are thought to result from developmental malformations. Growth factors, such as vascular endothelial growth factor C, vascular endothelial growth factor receptor-3, and Prox-1, play a role in their pathogenesis [105]. Somatic mutations in the PIK3CA gene have also been found to contribute to their development [106].
4.6.2. Pathological Features
Hepatic lesions can be solitary or multiple lesions, and frequently appearing multiloculated. These lesions are cystic and contain either clear or chylous, milky fluid [107]. Histologically, they are characterized by a single layer of attenuated lymphatic endothelial cells lining dilated cystic spaces with no cytological atypia. Some of these spaces are partially enclosed by smooth muscle and/or fibromuscular walls. Clear fluid or foamy histiocytes may be present in the lymphatic spaces, and scattered lymphoid aggregates are common in the surrounding stroma. Immunohistochemically, the endothelial cells are positive for CD31 and D2-40 (podoplanin), with variable expression of CD34. The smooth muscle cells surrounding the cystic spaces are positive for SMA.
4.6.3. Differential Diagnosis
Differential diagnosis includes lymphangiectasia, hemangioma, and angiosarcoma. Lymphangiectasia is distinguished by the dilatation of native lymphatic vessels, whereas lymphangiomas exhibit lymphatic vessel proliferation and are more likely to present as nodules or masses. Hemangiomas are composed of smaller vascular spaces with a higher concentration of red blood cells, less proteinaceous material, and fewer lymphocytes [108]. Angiosarcomas are distinguished by their atypical vascular proliferation and irregular, anastomosing vascular spaces. Endothelial cells in angiosarcomas exhibit nuclear atypia and multilayering.
4.7. Kaposi Sarcoma
4.7.1. Clinical Features
Kaposi sarcoma (KS) is a vascular neoplasm linked to human herpes virus 8 (HHV8). It is characterized by disorganized endothelial cell proliferation, leading to erythrocyte-containing clefts, organized neovascularization, and accompanying inflammatory infiltrates [109]. Four clinical and epidemiological forms are known: (1) classic indolent KS, (2) endemic African KS, (3) acquired immunodeficiency syndrome (AIDS)-associated KS, and (4) iatrogenic KS. KS is detected in approximately 15% of acquired immunodeficiency syndrome (AIDS) patients. Disseminated hepatic KS is most commonly observed in association with AIDS. Some hepatic KS cases may be associated with iatrogenic factors, such as immunosuppression following transplantation. Advanced KS lesions are often oligoclonal and contain viral episomes of varying sizes, suggesting that KS may be a reactive or non-neoplastic proliferation rather than a true neoplasm with metastatic behavior [110]. While most patients with hepatic KS have no symptoms, rare cases can rapidly progress to clinically significant disease, resulting in multiorgan failure and liver failure, which are often fatal [111]. Molecularly, KS is characterized by recurrent 11q13 gains with FGF4 and INT2 up-regulation, clonal Y chromosome loss in early disease, and chromosomal copy number changes (16, 17, 21, X, and Y) in late-stage lesions [112,113].
4.7.2. Pathological Features
KS typically affects the portal and periportal regions of the liver, with lesions appearing as reddish-brown foci. Histologically, KS is characterized by an infiltrative proliferation of small, irregular vascular channels and fascicles of relatively uniform spindle cells with mild atypia. Slit-like vascular spaces and cytoplasmic eosinophilic hyaline globules are present. The extravasation of red blood cells, lymphoplasmacytic infiltrates, and hemosiderin deposition are common features. Immunohistochemically, the endothelial and spindle cells are positive for CD31, CD34, ERG, and D2-40 (podoplanin). The nuclear expression of HHV8 is a defining feature of the tumor. HHV8 can be identified in endothelial and spindle cells using polymerase chain reaction and in situ hybridization [114].
4.7.3. Differential Diagnosis
Differential diagnosis includes angiosarcoma and leiomyosarcoma. Angiosarcomas are characterized by anastomosing, infiltrative vascular channels lined with highly atypical endothelial cells, and often have a multilayered structure. They are negative for HHV8. Leiomyosarcomas are distinguished by intersecting fascicles of atypical smooth muscle cells and are negative for HHV8 and vascular markers.
4.8. Epithelioid Hemangioendothelioma
4.8.1. Clinical Features
EHE is a rare malignant vascular neoplasm composed of epithelioid cells in a fibrous or myxohyaline stroma and linked to either a WWTR1::CAMTA1 or YAP1::TFE3 fusion gene [115]. EHE is sporadic and has a slight female predominance, most frequently affecting middle-aged adults, although it can occur at any age [116]. Hepatic EHE may manifest jaundice, abdominal pain, and ascites. Multifocal liver involvement has been found in >75% of patients [116,117,118]. Approximately 70% of patients have elevated alkaline phosphatase levels [118]. More than 90% of EHE cases have a t(1;3)(p36;q25) translocation, resulting in the WWTR1::CAMTA1 fusion gene [119,120,121]. A subset of EHEs (approximately 5%) harbors a YAP1::TFE3 fusion gene [8,122]. The clinical course varies, ranging from progressive disease in some patients to indolent, stable disease in others [9]. The distant metastatic rate is approximately 20–30% [116,117].
4.8.2. Pathological Features
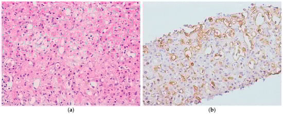
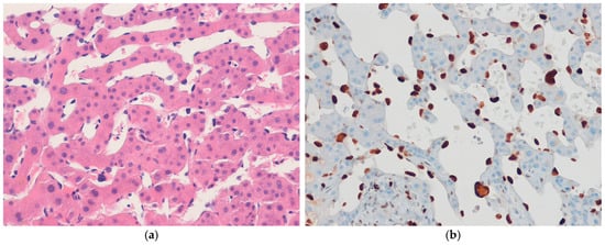
EHEs range in size from small subcentimeter nodules to large masses greater than 10 cm. The cut surface is yellow to white, firm, and often has multifocal nodules. Histologically, EHE shows an infiltrative or variable nodular growth pattern with a prominent myxohyaline or fibrous stroma. The tumors consist of epithelioid cells with fine chromatin, small nucleoli, and a moderate amount of eosinophilic cytoplasm. Intracytoplasmic vacuoles are occasionally observed in tumor cells and may contain erythrocytes (Figure 3a). The tumor cells are arranged either singly or in cords. An invasion of sinusoids, portal veins, and hepatic veins is frequently observed and is sometimes accompanied by necrosis. EHEs with YAP1::TFE3 fusion have a brightly eosinophilic cytoplasm, a higher likelihood of solid growth patterns, and frequent formation of vascular spaces. Immunohistochemically, the tumor cells are positive for vascular markers, such as CD31, CD34, factor VIII-related antigen, FLI1, and ERG (Figure 3b) [123]. CAMTA1 expression is observed in cases with the WWTR1::CAMTA1 fusion gene, corresponding to an underlying gene rearrangement [124,125]. Transcription factor E3 (TFE3) positivity is seen in tumors harboring the YAP1::TFE3 fusion gene. Epithelial antigens such as cytokeratins 7, 8, and 18 are expressed in approximately 40% of cases [126].
Figure 3.
Epithelioid hemangioendothelioma. (a) The tumor cells contain intracytoplasmic vacuoles and infiltrate the sinusoidal spaces (hematoxylin-eosin stain, ×100). (b) The tumor cells are highlighted by CD31 (immunohistochemical stain for CD31, ×200).
4.8.3. Differential Diagnosis
Differential diagnosis of EHE includes epithelioid angiosarcoma, intrahepatic cholangiocarcinoma, and metastatic carcinoma. Epithelioid angiosarcomas have more significant nuclear atypia and frequent mitoses, and they are negative for CAMTA1 [125]. EHEs frequently express cytokeratins [127], which can lead to a misdiagnosis as intrahepatic cholangiocarcinoma or metastatic carcinoma. However, intrahepatic cholangiocarcinoma and metastatic carcinomas are negative for vascular markers. A thorough patient history, particularly primary tumors, is essential for a correct differential diagnosis.
4.9. Angiosarcoma
4.9.1. Clinical Features
Angiosarcoma is a malignant vascular neoplasm that exhibits endothelial differentiation and can form a broad spectrum of vascular structures [128]. Angiosarcoma is the most common malignant HMT in adults, accounting for approximately 2% of all primary hepatic cancers [129]. Clinical symptoms are usually nonspecific, and patients may present with fatigue, weight loss, abdominal pain, a palpable mass, or ascites [130]. While adult hepatic angiosarcoma occurs spontaneously [131], most pediatric cases develop within pre-existing HIH [132,133,134,135,136,137]. Risk factors for hepatic angiosarcoma include exogenous exposure to chemical carcinogens, such as vinyl chloride [138,139,140], androgens [141], cyclophosphamide [142], diethylstilbestrol, and arsenic [130], as well as exposure to thorium oxide (Thorotrast) [143], radium, and radiation. Genetically, angiosarcomas exhibit genetic heterogeneity. Most angiosarcomas harbor complex genomic profiles [144]. Hepatic angiosarcomas are frequently associated with ATRX deficiency and can show alternative lengthening of telomeres phenotype [145]. Approximately 10% of sporadic AS cases, particularly in younger patients, harbor various types of CIC mutations or fusions [146]. Most hepatic ASs are highly aggressive, and survival times of more than a year are uncommon [130,132]. Factors associated with poor prognosis include older age, large tumor size, and a high Ki-67 proliferation index [147,148].
4.9.2. Pathological Features
Hepatic angiosarcomas are typically poorly defined and have varying appearances (Figure 4a,b). They range from solid grayish-white tissue to markedly hemorrhagic areas. Histologically, the tumor demonstrates a broad morphological spectrum, ranging from well-formed, anastomosing vessels to solid sheets of epithelioid or spindle cells (Figure 4c). Multilayering, hobnailing, and intraluminal papillary tufts may also be observed. Nuclear atypia, atypical mitoses, and necrosis are usually present. The major growth patterns are classified as mass-forming and sinusoidal (non-mass forming) types [149,150]. The sinusoidal growth pattern is characterized by patchy sinusoidal dilatation lined with atypical cells displaying enlarged nuclei (Figure 5a,b). Epithelioid angiosarcoma exhibits a solid pattern and is characterized by atypical epithelioid or polygonal cells with vesicular nuclei, prominent nucleoli, and abundant cytoplasm. Immunohistochemically, angiosarcomas exhibit membranous positivity for CD31 and nuclear positivity for ERG and variable positivity for CD34 (~50%), factor VIII-related antigen, FLI1, and D2-40 (podoplanin) [151,152]. Cytokeratin and epithelial membrane antigen (EMA) expressions may be seen, particularly in epithelioid angiosarcomas [153]. Immunohistochemistry (IHC) for p53 and MYC are helpful in identifying sinusoidal-type angiosarcomas [150,154].
Figure 4.
Angiosarcoma. (a) Abdominal computed tomography reveals a huge mass with hemorrhage in the right lobe. (b) The tumor shows a poorly defined, dark red brown mass with hemorrhage and necrosis. (c) Irregular vascular channels lined by atypical endothelial cells with hyperchromatic nuclei are present. Multilayering is present (hematoxylin-eosin stain, ×100).
Figure 5.
Sinusoidal-type angiosarcoma. (a) The dilated sinusoids are lined by atypical spindle and pleomorphic cells with hyperchromatic nuclei (hematoxylin-eosin stain, ×100). (b) These atypical cells are strongly positive for ERG (immunohistochemical stain for ERG, ×200).
4.9.3. Differential Diagnosis
Differential diagnosis includes anastomosing hemangioma, HSVN, EHE, metastatic angiosarcoma, and carcinoma. Anastomosing hemangiomas and HSVNs lack endothelial multilayering or tufting. The presence of a p53 mutant staining pattern or a Ki-67 proliferation index greater than 10% are strong markers of angiosarcoma [6]. EHEs have a distinct myxohyaline stroma and positivity for CAMTA1, and lack the well-developed vasoformation seen in angiosarcoma [124,125]. Primary hepatic angiosarcomas must be distinguished from metastatic angiosarcoma of the liver [128]. A thorough clinical history and radiological findings are required for a correct differential diagnosis. Cytokeratin and EMA expressions may be observed in epithelioid angiosarcomas, leading to misdiagnosis as metastatic carcinoma. However, metastatic carcinomas lack vasoformative properties and are negative for vascular markers.
5. Pericytic (Perivascular) Tumors
5.1. Glomus Tumor
5.1.1. Clinical Features
Glomus tumor is a neoplasm composed of cells similar to the perivascular modified smooth muscle cells found in the normal glomus body [155]. It can rarely occur in the liver, with most tumors appearing as solitary lesions, though up to 10% of patients may have multiple lesions. Hepatic glomus tumors typically develop in adults between the fourth and seventh decades of life, have a male predominance, and are larger than their cutaneous counterparts [156,157,158,159]. Clinical symptoms often include epigastric fullness and pain. Multiple familial glomus tumors are caused by inactivating mutations in the glomulin gene (GLMN) and are inherited in an autosomal dominant pattern. Approximately half of benign and malignant GTs from various sites exhibit recurrent rearrangements in NOTCH family genes, often involving the fusion of NOTCH1/2/3 and MIR143 [160]. BRAF p.V600E mutations have also been identified in some sporadic glomus tumors, which may be linked to aggressive behavior. BRAF represents a potential therapeutic target for patients with progressive disease [161]. Most gastrointestinal glomus tumors are benign. However, malignant glomus tumors have been reported in a few cases [155].
5.1.2. Pathological Features
Grossly, glomus tumors are well-circumscribed and often appear as multinodular masses. Cystic changes and calcifications may be observed. Histologically, the tumors consist of uniform, round cells with central, round nuclei and moderate amounts of clear to eosinophilic cytoplasm. A sharply defined basal lamina encloses individual cells. The stroma may be hyalinized or myxoid, and tumor cells may occasionally exhibit oncocytic or epithelioid cytomorphology [162,163]. Focal nuclear atypia and vascular invasion are relatively frequent findings in glomus tumors. However, vascular involvement is not associated with adverse prognosis. In the liver, the criteria for malignancy remain undefined due to limited data. In the peripheral soft tissue, criteria for malignancy include a deep location and size > 2 cm, moderate-to-high nuclear grade, atypical mitotic figures, and ≥5 mitoses/10 mm2 [164]. Immunohistochemically, glomus tumors show diffuse and strong expression of SMA in nearly all cases and h-caldesmon in more than 60%. Most tumors also exhibit pericellular net-like positivity for collagen type IV and laminin [165]. Cytoplasmic Sirtuin 1 (SIRT1) expression has also been documented [166].
5.1.3. Differential Diagnosis
Differential diagnosis includes neuroendocrine tumor (NET) and metastatic glomus tumor. Glomus tumors can look very similar to NETs. Focal synaptophysin expression may occur in glomus tumors, posing a diagnostic challenge [165]. However, NETs have a speckled or “salt-and-pepper” chromatin pattern, are positive for cytokeratin, and are negative for SMA. Primary hepatic glomus tumors should be distinguished from metastatic tumors that originate in other sites. A complete patient history, including the presence of prior glomus tumors or glomus tumors in different body locations, is required for an accurate diagnosis.
6. Smooth Muscle Tumors
6.1. Leiomyoma
6.1.1. Clinical Features
Leiomyoma is a benign neoplasm with smooth muscle differentiation [167]. Primary hepatic leiomyomas are extremely rare [10,168,169,170,171]. They have been observed in pediatric and adult populations ranging in age from 5 to 87 years, with a slight preference for females [169]. The criteria for diagnosing a primary hepatic smooth muscle tumor are as follows: (1) the tumor must comprise leiomyocytes, and (2) there must be no other leiomyomatous tumors anywhere else [172].
6.1.2. Pathological Features
Leiomyomas are well-circumscribed, unencapsulated tumors with a gray-white, whorled cut surface. Their size differs widely, ranging from subcentimeter to 20 cm. Histologically, primary hepatic leiomyomas exhibit the same morphology as leiomyomas arising in the other parts of the body. Most leiomyomas consist of short fascicles of spindle-shaped, well-differentiated smooth muscle cells. These spindle cells are uniform, with blunt-ended nuclei, abundant eosinophilic cytoplasm, and no cytological atypia. Fibrosis, myxoid change, calcification, and degenerative changes may be observed. Immunohistochemically, the tumor cells show positivity for SMA, h-caldesmon, and desmin.
6.1.3. Differential Diagnosis
Differential diagnosis includes PEComa and leiomyosarcoma. PEComas are distinguished by epithelioid and spindle cells with granular eosinophilic or clear cytoplasm. Immunohistochemically, PEComas exhibit positivity for melanocytic markers such as HMB-45 and melan-A. Leiomyosarcomas are differentiated by nuclear atypia, increased mitotic activity, and necrosis.
6.2. Epstein–Barr Virus-Associated Smooth Muscle Tumor
6.2.1. Clinical Features
EBV-associated smooth muscle tumor (ESMT) is a smooth muscle neoplasm caused by EBV infection that typically affects patients with immunosuppression [173]. The majority of cases occur in one of three major settings: HIV-associated immunodeficiency, immunodeficiency following solid organ or hematopoietic stem cell transplantation, and congenital or primary immunodeficiency [174,175]. The pathogenesis of ESMTs is driven by EBV infection, combined with T lymphocyte immunosuppression. These tumors can arise in various anatomical locations, but they most commonly affect the liver. The multicentric nature is thought to be caused by multiple independent EBV infection events rather than metastatic spread [173]. MYC overexpression and AKT/mTOR pathway activation are critical in EBV-induced smooth muscle tumor proliferation [176,177]. The patient’s immune status has a significant impact on their prognosis. The majority of these tumors do not metastasize [173].
6.2.2. Pathological Features
ESMTs vary in size from less than 1 cm to more than 20 cm [178,179,180]. The cut surface is white to gray with a rubbery-to-firm consistency, and the margins may be either well defined or infiltrative. Histologically, the tumor consists of intersecting fascicles of spindle-shaped cells with elongated nuclei and abundant eosinophilic cytoplasm. A second population of round, more primitive-appearing smooth muscle cells can be observed in approximately half of the cases. A subset of tumors exhibits a hemangiopericytoma-like pattern. Cytological atypia is typically mild to moderate, but it can be severe in HIV-positive patients, whose tumors often show increased mitotic activity and/or necrosis. Intratumoral T lymphocytic infiltrates are commonly present [178]. Immunohistochemically, the tumor cells are diffusely positive for smooth muscle markers such as SMA and h-caldesmon, whereas desmin typically shows focal expression. EBER in situ hybridization is consistently positive.
6.2.3. Differential Diagnosis
Differential diagnosis includes leiomyoma and leiomyosarcoma. Leiomyomas are histologically similar to ESMT in most cases, but they lack primitive round cells and are negative for EBER in situ hybridization. Leiomyosarcomas have nuclear atypia and pleomorphism, increased mitotic activity, and necrosis, and are negative for EBER in situ hybridization.
6.3. Leiomyosarcoma
6.3.1. Clinical Features
Leiomyosarcoma is a malignant neoplasm that exhibits smooth muscle differentiation [181]. Primary hepatic leiomyosarcoma is rare and typically arises in the intrahepatic vascular structures, muscular walls of the bile ducts, or ligamentum teres [182,183,184,185]. It affects both men and women equally, but cases involving the inferior vena cava are more common in women. The majority of cases occur in adults, but some cases have been reported in immunosuppressed children. The clinical manifestations are primarily nonspecific and may include weight loss, anorexia, vomiting, jaundice, abdominal pain, and, in rare cases, intra-abdominal bleeding caused by tumor rupture. Tumors arising in the hepatic veins can cause Budd–Chiari syndrome. Genetically complex aneuploid karyotypes are found in the majority of cases. Inactivation of TP53 and RB1 is often seen [186,187]. In the digestive system, leiomyosarcomas are aggressive neoplasms, with a local recurrence rate of 40–80% and a metastasis rate of 55–70% [181]. The disease-specific mortality rate ranges from 25% to 50%, depending on the tumor site.
6.3.2. Pathological Features
Leiomyosarcomas are typically large and solitary tumors. The cut surface is fleshy, pinkish-white, and rubbery-to-firm. Areas of necrosis and hemorrhage are frequently observed. Histologically, the tumor resembles leiomyosarcomas in other anatomical sites. It consists of elongated spindle cells arranged in intersecting fascicles. Tumor cells have elongated, cigar-shaped, blunt-ended nuclei and brightly eosinophilic cytoplasm. They are arranged in fascicular, palisaded, or hemangiopericytoma-like patterns. Nuclear atypia and hyperchromasia, necrosis, and increased mitotic activity are seen. Histological subtypes include myxoid, epithelioid, pleomorphic, and dedifferentiated leiomyosarcomas. Immunohistochemically, the tumor cells usually show diffuse cytoplasmic positivity for SMA and variable expression for h-caldesmon and desmin. Additionally, some tumors may show focally positivity for cytokeratins and EMA.
6.3.3. Differential Diagnosis
Differential diagnosis includes leiomyoma, PEComa, metastatic leiomyosarcoma, and metastatic gastrointestinal stromal tumor (GIST). Leiomyosarcomas are distinguished from benign leiomyomas by nuclear atypia, increased mitotic activity, and necrosis. PEComas are distinguished by epithelioid, spindled, or ovoid cells with clear to granular eosinophilic cytoplasm. These tumors are positive for smooth muscle markers (e.g., SMA, desmin) and melanocytic markers (e.g., HMB-45, melan-A). Metastatic leiomyosarcomas are more common than primary hepatic leiomyosarcomas. Therefore, a thorough examination of the patient’s medical history and clinical and imaging findings is required to differentiate them from primary tumors. Metastatic GISTs show positivity for CD117 and DOG-1, whereas leiomyosarcomas are negative for CD1117 and DOG1.
7. Skeletal Muscle Tumors
7.1. Rhabdomyosarcoma
7.1.1. Clinical Features
Rhabdomyosarcoma (RMS) is a malignant neoplasm with skeletal muscle differentiation to varying degrees [188]. RMSs are extremely rare in the biliary tract. However, the botryoid subtype of embryonal RMS is the most common type, particularly in children. This type accounts for 1% of all pediatric RMS cases [189]. Most patients are under the age of 5, with a median age of 3 years [190,191]. However, cases have also been reported in older children and adults [192,193]. Lesions are rare at birth. Males are more frequently affected, with a male-to-female ratio of approximately 2:1 [193]. The typical clinical presentation includes obstructive jaundice, abdominal distention, fever, or loss of appetite [190]. Genetically, embryonal RMSs are characterized by gains of chromosomes 2, 8, 11, 12, and 13, along with mutations in the RAS pathway (identified in 50% of cases) and TP53 mutations (occurring in 10%) [194]. Additionally, loss of heterozygosity at 11p15.5 is a common occurrence. Other subtypes of RMS, such as alveolar and pleomorphic RMS, have rarely been reported in the liver [195,196].
7.1.2. Pathological Features
Grossly, the botryoid subtype appears as soft, tan masses extending along the biliary tree, often protruding into the lumen in a typical botryoid growth pattern [197]. The walls of the affected ducts are typically thickened. Histologically, RMS subtypes exhibit distinct features. The botryoid subtype of embryonal RMS has a cambium layer formed by tumor cell condensation beneath the epithelial surface, distributed in a loose fibromyxoid stroma. The tumor cells are round, stellate, or spindle-shaped, with hyperchromatic nuclei and some mitotic figures. Cross-striations may also be observed. The botryoid masses are covered by unremarkable biliary epithelium with occasional focal erosion. The alveolar RMS consists of primitive, round tumor cells arranged in an alveolar growth pattern. The solid subtype of alveolar RMS is distinguished by solid sheets of tumor cells that exhibit the cytomorphological characteristics of alveolar RMS. Pleomorphic RMS is a high-grade sarcoma characterized by pleomorphic polygonal, spindle-shaped cells, or round cells. Immunohistochemically, all RMSs show relatively strong positivity for desmin, myogenin, and MYOD1. Myogenin expression is typically diffuse in alveolar RMS, but it can be focal or patchy in embryonal RMS.
7.1.3. Differential Diagnosis
Differential diagnosis includes leiomyosarcoma, ES, and extrarenal rhabdoid tumor (ERT). Leiomyosarcomas lack the cambium layer and rhabdomyoblasts, and are negative for myogenin and MYOD1. ESs typically have prominent nuclear pleomorphism and cytoplasmic hyaline globules. Myogenin and MYOD1 are particularly useful markers for distinguishing RMS from ES, as ESs can express SMA and desmin but do not express myogen or MYOD1 [198]. ERTs are distinguished by their larger cells with eccentric nuclei and hyaline globular cytoplasmic inclusions. They are positive for cytokeratins and EMA but negative for desmin and myogenin and show a loss of nuclear SMARCB1 (integrase interactor 1 [INI1]) expression.
8. Tumors of Uncertain Differentiation
8.1. Mesenchymal Hamartoma
8.1.1. Clinical Features
MH is a benign tumor characterized by a multicystic mass of loose connective tissue with a bile duct component, often exhibiting features of ductal plate malformation [199]. MH is the third most common hepatic tumor in childhood, following hepatoblastoma and HIH. MH accounts for approximately 12% of all liver tumors diagnosed within the first 2 years of life. Approximately 85% of MHs occur before the age of 3 years, while <5% of MHs are diagnosed after the age of 5 years [200]. MH exhibits a slight male predominance. Symptoms may include an enlarging abdomen and a nontender mass. The cause of MH remains unknown; however, these tumors can occur in association with Beckwith–Wiedemann syndrome [201]. Cytogenetic and molecular genetic evidence indicates that MH is a neoplastic entity rather than a developmental anomaly [202]. Genetically, chromosomal rearrangements involving 19q13.4 are common and are known to activate the chromosome 19 microRNA cluster (C19MC) [203]. Liver function is usually normal in MH patients, although serum alpha-fetoprotein (AFP) levels may be slightly elevated [204]. MH is typically benign, with an excellent prognosis if the mass is completely resected [205]. However, several cases of progression to undifferentiated ES have been reported [206,207].
8.1.2. Pathological Features
Most MHs show expanding, well-circumscribed, white-to-yellow masses without a capsule [1] (Figure 6a). The cut surface typically reveals multiple cystic spaces that do not communicate with the bile ducts in approximately 85% of cases. In very young patients, MHs have a more solid appearance and fewer cysts, indicating that cyst formation occurs progressively as the tumor grows. In a study of 17 MH cases, 41% of MHs were solid, and 59% were cystic [208]. The cysts range in size from a few millimeters to 15 cm and contain yellow fluid or gelatinous material. Histologically, MHs consist of loose connective tissue and bile ducts in various proportions arranged in lobulated patterns [199] (Figure 6b). The stromal component is typically loose and myxoid, high in glycosaminoglycans. It contains bland spindle- or stellate-shaped fibroblasts and myofibroblasts, dilated blood vessels, and fluid-filled cyst spaces with no endothelial lining. The bile ducts are often branched, tortuous, or dilated and commonly exhibit a pattern of ductal plate malformation. Entrapped islands of hepatocytes may also be present. Non-epithelial-lined cysts form within the mesenchyme due to fluid accumulation, and foci of extramedullary hematopoiesis, are observed in >85% of cases.
Figure 6.
Mesenchymal hamartoma. (a) The cut surface shows a well-circumscribed, gray-tan solid mass. (b) Abundant mesenchymal stroma containing bland spindle-shaped cells, bile ducts with abnormal configuration surrounded by collagenous tissue, and islands of hepatocytes are present (hematoxylin-eosin stain, ×40).
8.1.3. Differential Diagnosis
Differential diagnosis includes HIH, lymphangioma, and mucinous cystic neoplasm. Focally regressed HIHs may share some overlapping characteristics with MHs. However, the vascular elements in HIHs are derived from smaller vessels, resulting in thinner and less muscular vessel walls. Additionally, an anastomosing capillary network may still be present in regressed HIHs. Multiple cysts without an epithelial lining may be misinterpreted as lymphangioma. However, lymphangiomas are far less fibrotic than MH and do not contain torturous biliary elements. Lymphangiomas are positive for vascular markers. Mucinous cystic neoplasms are distinguished from MH by the presence of both mucinous epithelium and ovarian-type stroma.
8.2. Perivascular Epithelioid Cell Tumor (PEComa)/Angiomyolipoma
8.2.1. Clinical Features
PEComa is a mesenchymal neoplasm composed primarily of epithelioid cells that express smooth muscle and melanocytic markers [209]. PEComas are generally classified into two main groups: (1) angiomyolipomas (AMLs) and (2) non-angiomyolipoma PEComas. AML is a subtype of PEComa that typically arises in the kidney and liver. It is composed of varying proportions of blood vessels, smooth muscle, and adipose tissue, leading to triphasic morphology. Non-angiomyolipoma PEComas can arise in various locations, including soft tissue, the uterus, the lungs, and the gastrointestinal tract. Unlike AMLs, they lack triphasic histologic features and are often composed predominantly of spindle or epithelioid cells with perivascular accentuation. These tumors share the same perivascular epithelioid cell lineage as AML. Hepatic PEComa most commonly affects middle-aged adults, with a significant female predominance [210,211,212]. PEComas are usually found incidentally. Large lesions may present with abdominal pain. Although most hepatic PEComas occur sporadically, 5–10% of cases are linked to tuberous sclerosis [211,213]. PEComas are frequently associated with TSC2 or TSC1 mutations (biallelic inactivation), which activate the mTOR signaling pathway [214,215,216,217]. Additionally, a subset of PEComas exhibit TFE3 gene rearrangements [214,218]. The majority of hepatic PEComas are benign [210,211,212]. However, malignant hepatic PEComas have rarely been reported [219]. Alterations of TP53, RB1, ATRX, APC, and NF1 are observed in patients with most metastatic renal epithelioid AMLs, but they are rare in patients with nonmetastatic disease [220].
8.2.2. Pathological Features
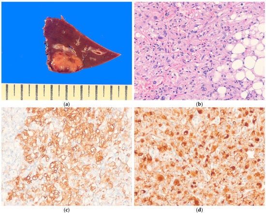
Hepatic PEComas are usually solitary, but occasionally multiple tumors can occur, particularly in patients with tuberous sclerosis. Their size varies widely [210,211]. The cut surface often appears yellow-to-tan and fleshy, with areas of necrosis and hemorrhage (Figure 7a). Histologically, PEComas consist primarily of epithelioid tumor cells with granular eosinophilic to clear cytoplasm (Figure 7b). The tumor cells are arranged in a nested, sheet-like, alveolar or trabecular pattern, accompanied by a delicate capillary vascular network. Most hepatic AMLs consist of a mixture of adipose tissue, epithelioid cells resembling smooth muscle cells, and thick-walled blood vessels in varying proportions. Two distinct subtypes of PEComa are recognized based on histological features. The inflammatory subtype of PEComa is characterized by a prominent chronic inflammatory cell infiltrate (Figure 8a,b) [4]. The sclerosing subtype of PEComa is characterized by tumor cells arranged in cords or trabeculae within a dense collagenous stroma. Malignant PEComas of soft tissue are characterized by a variable combination of nuclear pleomorphism, mitotic activity, and necrosis [221,222,223]. However, the criteria for malignancy in hepatic PEComa have not yet been validated. Immunohistochemically, PEComas are positive for both smooth muscle markers (e.g., SMA, h-caldesmon, desmin) and melanocytic markers (e.g., HMB45, melan-A, tyrosinase, MITF) [224,225,226] (Figure 7c,d). Approximately 15% of the PEComas demonstrate nuclear staining for TFE3, particularly in the TFE3-rearranged subtypes [218,224].
Figure 7.
Perivascular epithelioid cell tumor (PEComa). (a) The cut surface shows a well-circumscribed, gray-tan solid tumor. (b) The tumor is composed of epithelioid cells with eosinophilic granular cytoplasm and adipocytes (hematoxylin-eosin stain, ×200). (c) The tumor cells are positive for smooth muscle actin (SMA) (immunohistochemical stain for SMA, ×200). (d) The tumor cells are also positive for HMB-45 (immunohistochemical stain for HMB-45, ×200).
Figure 8.
Inflammatory perivascular epithelioid cell tumor (PEComa). (a) Abdominal computed tomography reveals an early-enhancing hypodense mass in segment 3. (b) The tumor is well circumscribed, brown, yellow to gray, and solid. (c) The spindle and epithelioid tumor cells and a prominent inflammatory cell infiltrate, including lymphocytes and plasma cells, are present (hematoxylin-eosin stain, ×200).
8.2.3. Differential Diagnosis
Differential diagnosis includes hepatocellular carcinoma (HCC), leiomyosarcoma, fat-containing SFT, and metastatic GIST. PEComas are sometimes mistaken for HCCs due to the presence of epithelioid polygonal cells. However, HCCs can be distinguished by their expression for hepatocellular markers, such as Hep Par-1 and arginase-1. PEComas composed primarily of spindle cells may mimic leiomyosarcomas. However, leiomyosarcomas lack adipose tissue and are negative for melanocytic markers. Fat-containing SFTs may also mimic AMLs, but they can be differentiated by their positivity for CD34 and STAT6. PEComas may occasionally exhibit focal positivity for CD117 [224,227] and should not be confused with metastatic GISTs. Metastatic GISTs lack adipose tissue and are negative for melanocytic markers.
8.3. Calcifying Nested Stromal–Epithelial Tumor
8.3.1. Clinical Features
CNSET is a rare, low-grade hepatic neoplasm of uncertain differentiation, with a distinct nested architecture surrounded by a cellular myofibroblastic stroma and psammomatous calcifications [228]. CNSET is extremely rare, with approximately 40 reported cases to date. It primarily affects children, adolescents, and young adults, with a female predominance [229,230]. CNSET is often discovered incidentally; some patients may have a history of calcified hepatic nodules. Most CNSETs occur sporadically, but some cases have been linked to Beckwith–Wiedemann syndrome [231,232,233]. Deletions in exon 3 of the CTNNB1 gene have been identified [9]. A recent study found TERT promoter mutations and CTNNB1 alterations in CNSETs, indicating that these tumors may have a more aggressive clinical course than previously reported [234]. The majority of patients with CNSET are cured through surgical excision. However, some cases have demonstrated locally recurrent disease, necessitating liver transplantation [235].
8.3.2. Pathological Features
CNSETs are well circumscribed and lobulated. Tumor sizes range from 2.8 cm to 30 cm, with the majority measuring more than 10 cm. The cut surface is yellow or white and granular [230]. Histologically, CNSET is composed of nests of spindled to epithelioid cells surrounded by bands of stroma. The tumor cells are bland and uniform, with vesicular chromatin, indistinct nucleoli, and eosinophilic cytoplasm. The stroma is either loose and edematous or densely collagenous and desmoplastic. Some nests exhibit central necrosis. Psammomatous calcifications are frequently present within the nests and occasionally accompanied by ossification. Small bile duct-like structures can be seen around the edges of the tumor nests. Immunohistochemically, the epithelial tumor cells are positive for broad-spectrum cytokeratins. WT1 expression is typically nuclear, but may also present as cytoplasmic or in a perinuclear dot-like pattern. Aberrant nuclear and cytoplasmic β-catenin staining is observed [229,230,233]. The tumor cells may express CD56, EMA, progesterone receptor, neuron-specific enolase, and CD117. The stromal spindle cells are positive for SMA.
8.3.3. Differential Diagnosis
Differential diagnosis of CNSET includes hepatoblastoma, HCC, and neuroendocrine tumor (NET). Unlike CNSET, the fetal subtype of hepatoblastoma lacks a dense fibrous stroma and consistently expresses hepatocellular markers such as Hep Par-1 and arginase-1 [236]. Compared to CNEST, HCCs exhibit more cytological atypia and express hepatocellular markers. CNSETs can show morphologic overlaps with NETs [101]. However, CNSETs are consistently negative for neuroendocrine markers such as synaptophysin and chromogranin A, whereas NETs are consistently positive for these markers.
8.4. Embryonal Sarcoma of the Liver
8.4.1. Clinical Features
ES of the liver, also called undifferentiated ES, is a malignant mesenchymal neoplasm with diverse morphology and no specific differentiation [237]. It is the most common malignant HMT in the pediatric population [238]. ES typically affects children between the ages of 5 and 15, with no sex predilection [239,240], although rare cases also occur in adults [241]. Patients often present with abdominal distension, palpable mass, pain, fever, and weight loss. Elevated serum alkaline phosphatase and leukocytosis may be present. ES usually arises in the right hepatic lobe [242,243]. The combination of C19MC hyperexpression resulting from chromosomal structural alterations and TP53 mutation or loss is a frequently recurrent genomic feature of ES [244]. Chromosomal rearrangements involving 19q13.4 are shared with MH [237]. Given their shared cytogenetic abnormalities, MH and ES are often thought to be part of the same disease spectrum [245]. The transformation from MH to ES has also been documented [246].
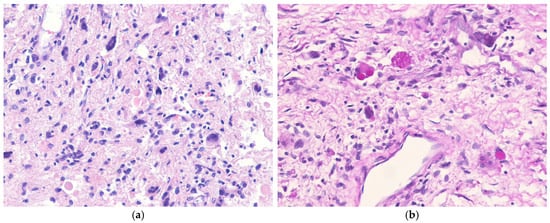
8.4.2. Pathological Features
ESs are well circumscribed but unencapsulated. These tumors range from 10 cm to 30 cm in size. The cut surface is heterogeneous, with solid, fleshy, myxoid, and variable-sized cystic areas, often accompanied by necrosis and hemorrhage [239]. Histologically, ES consists of undifferentiated spindle, stellate, and pleomorphic tumor cells (Figure 9a). The stroma is usually myxoid, but it can also be dense and fibrous. The tumor cells show significant cytological atypia, and multinucleated giant, bizarre tumor cells are often present. The tumor cells are arranged in loose, solid, fascicular, or storiform patterns [239,247]. Periodic acid–Schiff (PAS)-positive, diastase-resistant intracytoplasmic eosinophilic hyaline globules are characteristically present [247] (Figure 9b). Entrapped bile ducts, hepatocytes, and extramedullary hematopoiesis are often present. Immunohistochemically, ES lacks a distinct immunophenotype. The tumor cells express diffuse vimentin and α1-antitrypsin. Variable and limited expressions of cytokeratins, desmin, SMA, and glypican-3 may also be observed [247,248,249].
Figure 9.
Embryonal sarcoma. (a) The tumor is composed of spindle and pleomorphic cells. Multinucleated giant cells and intracytoplasmic eosinophilic hyaline globules are present (hematoxylin-eosin stain, ×200). (b) These globules are periodic acid–Schiff (PAS)-positive and diastase-resistant (diastase periodic acid-Schiff stain, ×200).
8.4.3. Differential Diagnosis
Differential diagnosis includes MH, embryonal RMS, high-grade pleomorphic sarcomas, and sarcomatoid HCC. MHs are composed of both epithelial and stromal components. The epithelial component consists of clustered hepatocytes and branched bile ducts, while the stromal component includes fibroblasts, inflammatory cells, and small blood vessels. Embryonal RMSs of the biliary tract are distinguished by a botryoid growth pattern within the bile duct lumen. They have rhabdomyoblasts with cross striations, a subepithelial cambium layer, express skeletal muscle markers such as myogenin and MYOD1 [250]. Primary and metastatic high-grade pleomorphic sarcomas are extremely rare in children. Immunohistochemical staining is critical in distinguishing these tumors. Sarcomatoid HCCs are predominantly characterized by spindle cells with focal areas of HCC. These tumors are focally positive for hepatocellular markers such as Hep Par-1 and arginase-1.
8.5. Extrarenal Rhabdoid Tumor
8.5.1. Clinical Features
ERT, also known as malignant rhabdoid tumor, is a rare and highly malignant soft tissue tumor composed of undifferentiated tumor cells with a rhabdoid cytomorphologic appearance [107]. The tumor is characterized by mutations or deletions of the SMARCBl (INI1) gene. The liver is the single most common visceral site of involvement [251,252]. The majority of patients present within the first 3 years of life, with a median age of diagnosis at 8 months. Rare cases have been reported in adults [253,254,255]. Men and women are affected equally. Common symptoms include abdominal mass or distention, fever, vomiting, and pain, with tumor rupture occurring frequently [252]. Laboratory tests show normal or slightly elevated serum AFP levels [252]. Metastatic disease is detected at the initial presentation in approximately 76% of patients, with the most common sites of metastasis being the lungs, lymph nodes, central nervous system, skin, and bone [256]. Regardless of where the tumor is located, the prognosis is very poor.
8.5.2. Pathological Features
Most tumors are solid and measure more than 5 cm in their greatest diameter. The cut surface typically appears gray-to-tan and is often accompanied by necrosis and hemorrhage. Multiple nodules may also be present. Histologically, ERT consists of small to medium-sized round cells with vesicular nuclei and distinct nucleoli. The cells are arranged in solid sheets and show infiltrative growth without an obvious fibrous capsule. Cystic degeneration or a trabecular architecture may be seen. Some tumor cells have distinct paranuclear spherical inclusions composed of intracellular filamentous aggregates, which contribute to their rhabdoid cytomorphology [1]. Cytoplasmic eosinophilic inclusions are PAS-positive. Immunohistochemically, most tumors express both mesenchymal (e.g., vimentin) and epithelial (e.g., cytokeratins, EMA) markers. The tumor cells show a loss of SMARCB1 (INIl) expression or SAMRCA4 expression [257]. SALL4 and glypican-3 expressions are frequently detected [258,259].
8.5.3. Differential Diagnosis
Differential diagnosis includes RMS, PEComa, and small cell undifferentiated hepatoblastoma. While rhabdoid cells are characteristic of ERTs, they are not entirely specific, as similar cells can be found in other tumor types. ERTs are considered a diagnosis of exclusion. RMSs are positive for desmin and myogenin while retaining SMARCB1 (INIl). PEComas typically express melanocytic markers such as HMB45 and melan-A and are negative for cytokeratins and EMA. The similarity of clinicopathologic features between ERTs and small cell undifferentiated hepatoblastomas can cause diagnostic challenges [260]. Small cell undifferentiated hepatoblastomas typically retain SMARCBl (INI1) expression. Tumors exhibiting SMARCB1 (INI1) nuclear staining are now classified as ERTs [261,262].
Table 2 summarizes the clinical, histological, immunohistochemical, and molecular characteristics of selected HMTs.
Table 2.
Clinical and histological features, immunohistochemical markers, and molecular features of selected hepatic mesenchymal tumors.
9. Miscellaneous Mesenchymal Tumors of the Liver
Other rare mesenchymal tumors of the liver include myelolipoma [263], chondroma [264], schwannoma [265], neurofibroma [266], malignant peripheral nerve sheath tumor [267], osteosarcoma [268], desmoplastic small round cell tumor [269], and undifferentiated pleomorphic sarcoma [270]. Each of these tumors has distinct clinicopathological characteristics and genetic findings.
10. Diagnostic Approach
10.1. Clinical and Radiological Evaluation
A systematic approach is required for an accurate diagnosis of liver lesions. A thorough examination of the patient’s age, gender, and clinical and radiologic data provides valuable diagnostic insights. HMTs commonly found in infants and children include MH, HCH, HIH, embryonal RMS, ES, and ERT. In contrast, HMTs that preferentially affect adults include cavernous hemangioma, EHE, angiosarcoma, and PEComa [107]. HMTs are much less common than epithelial tumors. Therefore, it is critical to rule out non-mesenchymal tumors, such as carcinoma, malignant melanoma, germ cell tumor, or malignant lymphoma, before diagnosing a mesenchymal tumor [182,271]. Metastatic tumors appear in the liver more commonly than primary hepatic sarcomas. Multiple liver masses generally indicate metastasis, although exceptions may occur. Various imaging techniques, such as ultrasonography, CT, and MRI, are essential for assessing HMTs. Correlation with radiological imaging is particularly important when small biopsies are obtained, because it allows for a comprehensive and accurate assessment.
The characteristic radiological findings are helpful for the differential diagnosis of selected HMTs. HIH typically appears as a hypoechoic or complex mass on ultrasonography [272]. Non-enhanced CT scans reveal a low-attenuation mass, with fine calcifications present in approximately 50% of cases. MRI is particularly useful for assessing multifocality. Arteriography may reveal enlarged, tortuous feeding arteries. Cavernous hemangiomas are isodense to large blood vessels and exhibit characteristic cloud-like peripheral enhancement on CT. EHE is characterized by low-attenuation peripheral tumor nodules on CT. MRI often demonstrates a signal halo around the nodules. Angiosarcomas present as hypodense masses on nonenhanced CT, which become isodense on delayed postcontrast scans. Angiography may reveal an abnormal vascular pattern. MH appears to be a complex multicystic mass on ultrasonography. CT imaging reveals variability in cyst size and septal thickness. AML appears as a heterogeneous, well-circumscribed, hyperechoic lesion on ultrasound. On CT, it presents as a hypodense mass with marked early contrast enhancement and delayed enhancement in the portal venous phase. MRI is highly sensitive for detecting the fatty component, which exhibits high signal intensity on T1-weighted images. ES is characterized by a hypodense mass with solid and cystic areas on CT. It is typically hypovascular, distinguishing it from other vascular tumors.
10.2. Histological Evaluation
A careful pathological evaluation is required for an accurate diagnosis of liver lesions. First and foremost, a thorough gross examination is essential. The tumor number, size, location, color, consistency, and circumscription of all lesions should be meticulously evaluated. The distance from all lesions to the surgical resection margin should be measured. The microscopic examination begins with a detailed evaluation of hematoxylin-eosin-stained sections at low magnification. This initial review should concentrate on key features such as tumor cell morphology (e.g., spindle, round, epithelioid, and pleomorphic cells) (Table 3), growth pattern (e.g., fascicular, nested, lobular, vasoformative), and stromal characteristics (e.g., collagenous, inflammatory, and myxoid stroma). Certain tumors have distinctive nuclear characteristics (e.g., cigar-shaped, blunt-ended nuclei in leiomyosarcoma), cytoplasmic traits (e.g., clear or eosinophilic granular cytoplasm in PEComa), and stromal characteristics (e.g., prominent inflammatory cell infiltration in IMT and inflammatory PEComa). If available, reviewing slides from the original tumor is critical for confirming or excluding metastasis.
Table 3.
Cell morphology and additional findings of selected hepatic mesenchymal tumors.
10.3. Immunohistochemical and Molecular Evaluation
Many mesenchymal tumors lack distinguishing morphological features and have an uncertain line of differentiation. IHC plays a critical role in determining the line of differentiation and often serves as a surrogate marker for underlying molecular genetic alterations [266]. Useful immunohistochemical markers for HMTs include vascular markers (e.g., CD31, CD34, factor VIII-related antigen, FLI1, ERG), smooth muscle markers (e.g., SMA, h-caldesmon, desmin), skeletal muscle markers (e.g., myogenin, MYOD1), and melanocytic markers (e.g., HMB-45, melan-A, MITF), and epithelial markers (e.g., cytokeratins, EMA) (Table 4). MDM2, ALK, and STAT6 can be useful in differential diagnosis. To ensure diagnostic accuracy, immunohistochemical results should always be interpreted in the context of a comprehensive panel, considering all relevant clinical and pathological information. Specific molecular analyses may be needed to diagnose definitively when histological features and immunohistochemical findings are inconclusive. The most accurate diagnosis of HMTs requires a multimodal approach that includes clinical history, radiological findings, tumor morphology, IHC, and molecular testing.
Table 4.
Immunohistochemistry of selected hepatic mesenchymal tumors.
11. Treatment of Hepatic Mesenchymal Tumors
Treatment strategies of HMTs vary depending on tumor type, size, growth pattern, and malignancy potential. Small, asymptomatic hemangiomas (≤5 cm) require no treatment. However, surgical resection is recommended for larger hemangiomas (>10 cm) and when patients present with symptoms such as pain, bleeding, or compression of adjacent structures. For hepatic sarcomas, such as angiosarcoma, leiomyosarcoma, and ES, surgical resection remains the primary treatment when feasible. In cases where tumors are unresectable or metastatic, systemic chemotherapy and radiation therapy are considered. Liver transplantation is rarely indicated for hepatic sarcomas due to the high risk of recurrence. Recent advancements have introduced novel targeted therapies and immunotherapies for soft tissue sarcomas. For instance, tyrosine kinase inhibitor and angiogenesis inhibitor therapy are being invested in to treat angiosarcoma [273].
12. Future Perspectives
The diagnosis of hepatic mesenchymal tumors (HMTs) remains challenging due to overlapping morphological and immunohistochemical features. While current diagnostic approaches rely on morphology, IHC, and molecular analysis, a more comprehensive classification integrating pathological, immunological, and molecular characteristics is needed to enhance our understanding of HMT biology. The identification of highly specific biomarkers is crucial for improving early detection, prognostication, and therapeutic decision-making. Advances in molecular genetics continue to provide key insights into the pathogenesis, diagnosis, and potential targeted therapies for HMTs. The integration of these molecular and genetic findings into clinical practice can facilitate more precise, individualized treatment strategies, ultimately improving patient outcomes.
13. Conclusions
Mesenchymal tumors of the liver are much less common than epithelial tumors, but they represent a diverse group of neoplasms with distinct morphological and immunohistochemical characteristics. Most HMTs are not unique to the liver, with some exceptions, including MH, CNSEN, and ES. HMTs pose a diagnostic challenge due to their significant morphological overlap with other lesions and potential to mimic epithelial tumors. Recent advances in molecular pathology have identified specific genetic alterations in many of these mesenchymal tumors, allowing for accurate classification. Accurate diagnosis necessitates a comprehensive approach that includes detailed clinical and radiological assessments with thorough histological, immunohistochemical, and molecular analyses. As our understanding of the molecular basis of these tumors continues to advance through further study, diagnostic accuracy will improve, treatment strategies will be better guided, and patient outcomes will be enhanced.
Author Contributions
Conceptualization, J.H.C.; methodology, J.H.C. and S.N.T.; resources, J.H.C. and S.N.T.; writing—original draft preparation, J.H.C.; writing—review and editing, S.N.T.; supervision, S.N.T. All authors have read and agreed to the published version of the manuscript.
Funding
This work was supported by the 2024 Yeungnam University Research Grant.
Data Availability Statement
All data were included in the manuscript.
Conflicts of Interest
The authors declare no conflicts of interest.
Abbreviations
| AFP | alpha-fetoprotein |
| AKT | v-akt murine thymoma viral oncogene homolog |
| ALK | anaplastic lymphoma kinase |
| AML | angiomyolipoma |
| AS | angiosarcoma |
| ATRX | alpha thalassemia/intellectual disability syndrome X-linked |
| BRAF | B-Raf proto-oncogene |
| CAMT1 | calmodulin-binding transcription activator 1 |
| CK | cytokeratin |
| CNSET | calcifying nested stromal–epithelial tumor |
| CT | computed tomography |
| DOG1 | discovered on GIST-1 |
| DHH | diffuse hepatic hemangiomatosis |
| EBER | Epstein–Barr virus-encoded small RNA |
| EBV | Epstein–Barr virus |
| EFDCS | Epstein–Barr virus-positive follicular dendritic cell sarcoma |
| EHE | epithelioid hemangioendothelioma |
| EIMS | epithelioid inflammatory myofibroblastic sarcoma |
| EMA | epithelial membrane antigen |
| ERG | ETS-related gene |
| ERMS | embryonal rhabdomyosarcoma |
| ERT | extrarenal rhabdoid tumor |
| ES | embryonal sarcoma |
| ESMT | Epstein–Barr virus-associated smooth muscle tumor |
| FDCS | follicular dendritic cell sarcoma |
| FLI1 | friend leukemia integration 1 |
| GIST | gastrointestinal stromal tumor |
| GLUT1 | glucose transporter type 1 |
| HCC | hepatocellular carcinoma |
| HCH | hepatic congenital hemangioma |
| HHT | hereditary hemorrhagic telangiectasia |
| HHV8 | human herpes virus 8 |
| HIH | hepatic infantile hemangioma |
| HIV | human immunodeficiency virus |
| HMB-45 | human melanoma black-45 |
| HMT | hepatic mesenchymal tumor |
| HSVN | hepatic small vessel neoplasm |
| IHC | immunohistochemistry |
| IMT | inflammatory myofibroblastic tumor |
| INI1 | integrase interactor 1 |
| ISH | in situ hybridization |
| KS | Kaposi sarcoma |
| LMS | leiomyosarcoma |
| LPS | liposarcoma |
| MDM2 | mouse double minute 2 homolog |
| MH | mesenchymal hamartoma |
| MITF | microphthalmia-associated transcription factor |
| MRI | magnetic resonance imaging |
| mTOR | mechanistic target of rapamycin |
| MYOD1 | myogenic differentiation 1 |
| NET | neuroendocrine tumor |
| NICH | non-involuting congenital hemangioma |
| PAS | periodic acid-Schiff |
| PEComa | perivascular epithelioid cell tumor |
| PICH | partially involuting congenital hemangioma |
| RICH | rapidly involuting congenital hemangioma |
| RMS | rhabdomyosarcoma |
| ROS1 | ROS proto-oncogene 1 |
| SFT | solitary fibrous tumor |
| SMA | smooth muscle actin |
| SMARCB1 | SWI/SNF-related, matrix-associated, actin-dependent regulator of chromatin, subfamily B, member 1 |
| STAT6 | signal transducer and activator of transcription 6 |
| TFE3 | transcription factor E3 |
| WT1 | Wilms tumor 1 |
References
- Miettinen, M.; Fletcher, C.D.M.; Kindblom, L.G.; Zimmermann, A.; Tsui, W.M.S. Mesenchymal tumours of the liver. In WHO Classification of Tumours of Digestive System, 4th ed.; Bosman, F.T., Carneiro, F., Hruban, R.H., Theise, N.D., Eds.; IARC Press: Lyon, France, 2010; pp. 241–250. ISBN 978-92-832-2432-7. [Google Scholar]
- Gonzalez, R.S.; Raza, A.; Propst, R.; Adeyi, O.; Bateman, J.; Sopha, S.C.; Shaw, J.; Auerbach, A. Recent Advances in Digestive Tract Tumors: Updates From the 5th Edition of the World Health Organization “Blue Book”. Arch. Pathol. Lab. Med. 2021, 145, 607–626. [Google Scholar] [CrossRef]
- Nagtegaal, I.D.; Odze, R.D.; Klimstra, D.; Paradis, V.; Rugge, M.; Schirmacher, P.; Washington, K.M.; Carneiro, F.; Cree, I.A.; WHO Classification of Tumours Editorial Board. The 2019 WHO classification of tumours of the digestive system. Histopathology 2020, 76, 182–188. [Google Scholar] [CrossRef]
- Shi, H.; Cao, D.; Wei, L.; Sun, L.; Guo, A. Inflammatory angiomyolipomas of the liver: A clinicopathologic and immunohistochemical analysis of 5 cases. Ann. Diagn. Pathol. 2010, 14, 240–246. [Google Scholar] [CrossRef] [PubMed]
- Lin, J.; Bigge, J.; Ulbright, T.M.; Montgomery, E. Anastomosing hemangioma of the liver and gastrointestinal tract: An unusual variant histologically mimicking angiosarcoma. Am. J. Surg. Pathol. 2013, 37, 1761–1765. [Google Scholar] [CrossRef] [PubMed]
- Gill, R.M.; Buelow, B.; Mather, C.; Joseph, N.M.; Alves, V.; Brunt, E.M.; Liu, T.C.; Makhlouf, H.; Marginean, C.; Nalbantoglu, I.; et al. Hepatic small vessel neoplasm, a rare infiltrative vascular neoplasm of uncertain malignant potential. Hum. Pathol. 2016, 54, 143–151. [Google Scholar] [CrossRef]
- Tanas, M.R.; Sboner, A.; Oliveira, A.M.; Erickson-Johnson, M.R.; Hespelt, J.; Hanwright, P.J.; Flanagan, J.; Luo, Y.; Fenwick, K.; Natrajan, R.; et al. Identification of a disease-defining gene fusion in epithelioid hemangioendothelioma. Sci. Transl. Med. 2011, 3, 98ra82. [Google Scholar] [CrossRef]
- Antonescu, C.R.; Le Loarer, F.; Mosquera, J.M.; Sboner, A.; Zhang, L.; Chen, C.L.; Chen, H.W.; Pathan, N.; Krausz, T.; Dickson, B.C.; et al. Novel YAP1-TFE3 fusion defines a distinct subset of epithelioid hemangioendothelioma. Genes Chromosomes Cancer 2013, 52, 775–784. [Google Scholar] [CrossRef]
- Assmann, G.; Kappler, R.; Zeindl-Eberhart, E.; Schmid, I.; Häberle, B.; Graeb, C.; Jung, A.; Müller-Höcker, J. β-Catenin mutations in 2 nested stromal epithelial tumors of the liver--a neoplasia with defective mesenchymal-epithelial transition. Hum. Pathol. 2012, 43, 1815–1827. [Google Scholar] [CrossRef]
- Lam-Himlin, D. Benign mesenchymal tumors and miscellaneous tumors. In Surgical Pathology of Liver Tumors; Mounajjed, T., Chandan, V.S., Torbenson, M.S., Eds.; Springer: New York, NY, USA, 2015; pp. 53–92. ISBN 978-3-319-16088-7. [Google Scholar]
- Martin-Benitez, G.; Marti-Bonmati, L.; Barber, C.; Vila, R. Hepatic lipomas and steatosis: An association beyond chance. Eur. J. Radiol. 2012, 81, e491–e494. [Google Scholar] [CrossRef]
- Karhunen, P.J. Hepatic pseudolipoma. J. Clin. Pathol. 1985, 38, 877–879. [Google Scholar] [CrossRef]
- Grove, A.; Vyberg, B.; Vyberg, M. Focal fatty change of the liver. A review and a case associated with continuous ambulatory peritoneal dialysis. Virchows Arch. A Pathol. Anat. Histopathol. 1991, 419, 69–75. [Google Scholar] [CrossRef] [PubMed]
- Zhang, L. Malignant mesenchymal tumors. In Surgical Pathology of Liver Tumors; Mounajjed, T., Chandan, V.S., Torbenson, M.S., Eds.; Springer: New York, NY, USA, 2015; pp. 295–320. ISBN 978-3-319-16088-7. [Google Scholar]
- Binesh, F.; Akhavan, A.; Kargar, S.; Navabii, H. Primary liposarcoma of liver: A rare case and literature review. BMJ Case Rep. 2012, 2012. [Google Scholar] [CrossRef]
- Nelson, V.; Fernandes, N.F.; Woolf, G.M.; Geller, S.A.; Petrovic, L.M. Primary liposarcoma of the liver: A case report and review of literature. Arch. Pathol. Lab. Med. 2001, 125, 410–412. [Google Scholar] [CrossRef]
- Kuo, L.M.; Chou, H.S.; Chan, K.M.; Yu, M.C.; Lee, W.C. A case of huge primary liposarcoma in the liver. World J. Gastroenterol. 2006, 12, 1157–1159. [Google Scholar] [CrossRef] [PubMed]
- Liu, W.; Liang, W.; Peng, Z. Positron emission tomography/computed tomography manifestations of primary hepatic myxoid liposarcoma: A case report. Medicine 2018, 97, e12307. [Google Scholar] [CrossRef] [PubMed]
- Naik, P.R.; Kumar, P.; Kumar, P.V. Primary pleomorphic liposarcoma of liver: A case report and review of the literature. Case Rep. Hepatol. 2013, 2013, 398910. [Google Scholar] [CrossRef]
- Sen, C.J.; Yng, S.J.; Choon, S.K.; Zamri, F.I. Primary pleomorphic liver liposarcoma: A case series and literature review. Ann. Hepatobiliary Pancreat. Surg. 2021, 25, 395–400. [Google Scholar] [CrossRef]
- Ciliberti, V.; Cretella, P.; Zeppa, P.; Caputo, A. Pleomorphic liposarcoma with liver metastasis diagnosed by combined fine-needle aspiration cytology and core-needle biopsy. Diagn. Cytopathol. 2022, 50, E28–E31. [Google Scholar] [CrossRef]
- Shinoda, Y.; Kobayashi, E.; Kobayashi, H.; Mori, T.; Asano, N.; Nakayama, R.; Morioka, H.; Iwata, S.; Yonemoto, T.; Ishii, T.; et al. Prognostic factors of metastatic myxoid liposarcoma. BMC Cancer 2020, 20, 883. [Google Scholar] [CrossRef]
- Fritchie, K.J.; Hornick, J.L.; Rossi, S. Inflammatory myofibroblastic tumour. In WHO Classification of Tumours. Digestive System Tumours, 5th ed.; The WHO Classification of Tumours Editorial Board, Ed.; IARC Press: Lyon, France, 2019; pp. 444–445. ISBN 978-92-832-4499-8. [Google Scholar]
- Tang, L.; Lai, E.C.; Cong, W.M.; Li, A.J.; Fu, S.Y.; Pan, Z.Y.; Zhou, W.P.; Lau, W.Y.; Wu, M.C. Inflammatory myofibroblastic tumor of the liver: A cohort study. World J. Surg. 2010, 34, 309–313. [Google Scholar] [CrossRef] [PubMed]
- Coffin, C.M.; Watterson, J.; Priest, J.R.; Dehner, L.P. Extrapulmonary inflammatory myofibroblastic tumor (inflammatory pseudotumor). A clinicopathologic and immunohistochemical study of 84 cases. Am. J. Surg. Pathol. 1995, 19, 859–872. [Google Scholar] [CrossRef]
- Li, M.; Sobnach, S.; Kotze, U.K.; Zerbini, L.F.; Millis, J.M.; Hampton, D.A.; Bernon, M.M.; Krige, J.E.J.; Jonas, E.G. Inflammatory myofibroblastic tumours of the liver-a systematic review. S. Afr. J. Surg. 2024, 62, 23–27. [Google Scholar] [PubMed]
- Mariño-Enríquez, A.; Dal Cin, P. ALK as a paradigm of oncogenic promiscuity: Different mechanisms of activation and different fusion partners drive tumors of different lineages. Cancer Genet. 2013, 206, 357–373. [Google Scholar] [CrossRef] [PubMed]
- Mariño-Enríquez, A.; Wang, W.L.; Roy, A.; Lopez-Terrada, D.; Lazar, A.J.; Fletcher, C.D.; Coffin, C.M.; Hornick, J.L. Epithelioid inflammatory myofibroblastic sarcoma: An aggressive intra-abdominal variant of inflammatory myofibroblastic tumor with nuclear membrane or perinuclear ALK. Am. J. Surg. Pathol. 2011, 35, 135–144. [Google Scholar] [CrossRef] [PubMed]
- Chen, S.T.; Lee, J.C. An inflammatory myofibroblastic tumor in liver with ALK and RANBP2 gene rearrangement: Combination of distinct morphologic, immunohistochemical, and genetic features. Hum. Pathol. 2008, 39, 1854–1858. [Google Scholar] [CrossRef]
- Lee, J.C.; Li, C.F.; Huang, H.Y.; Zhu, M.J.; Mariño-Enríquez, A.; Lee, C.T.; Ou, W.B.; Hornick, J.L.; Fletcher, J.A. ALK oncoproteins in atypical inflammatory myofibroblastic tumours: Novel RRBP1-ALK fusions in epithelioid inflammatory myofibroblastic sarcoma. J. Pathol. 2017, 241, 316–323. [Google Scholar] [CrossRef] [PubMed]
- Antonescu, C.R.; Suurmeijer, A.J.; Zhang, L.; Sung, Y.S.; Jungbluth, A.A.; Travis, W.D.; Al-Ahmadie, H.; Fletcher, C.D.; Alaggio, R. Molecular characterization of inflammatory myofibroblastic tumors with frequent ALK and ROS1 gene fusions and rare novel RET rearrangement. Am. J. Surg. Pathol. 2015, 39, 957–967. [Google Scholar] [CrossRef] [PubMed]
- Yamamoto, H.; Yoshida, A.; Taguchi, K.; Kohashi, K.; Hatanaka, Y.; Yamashita, A.; Mori, D.; Oda, Y. ALK, ROS1 and NTRK3 gene rearrangements in inflammatory myofibroblastic tumours. Histopathology 2016, 69, 72–83. [Google Scholar] [CrossRef] [PubMed]
- Coffin, C.M.; Hornick, J.L.; Fletcher, C.D. Inflammatory myofibroblastic tumor: Comparison of clinicopathologic, histologic, and immunohistochemical features including ALK expression in atypical and aggressive cases. Am. J. Surg. Pathol. 2007, 31, 509–520. [Google Scholar] [CrossRef] [PubMed]
- Cook, J.R.; Dehner, L.P.; Collins, M.H.; Ma, Z.; Morris, S.W.; Coffin, C.M.; Hill, D.A. Anaplastic lymphoma kinase (ALK) expression in the inflammatory myofibroblastic tumor: A comparative immunohistochemical study. Am. J. Surg. Pathol. 2001, 25, 1364–1371. [Google Scholar] [CrossRef] [PubMed]
- Arora, K.S.; Anderson, M.A.; Neyaz, A.; Yilmaz, O.; Pankaj, A.; Ferrone, C.R.; Zen, Y.; England, J.; Deshpande, V. Fibrohistiocytic Variant of Hepatic Pseudotumor: An Antibiotic Responsive Tumefactive Lesion. Am. J. Surg. Pathol. 2021, 45, 1314–1323. [Google Scholar] [CrossRef]
- Rech, K.L.; Demicco, E.G.; Gujral, S.; Hung, Y.P.; Macon, W.R.; Picarsic, J.; Rossi, E.D.; Schmitt, F.; Yin, W.H. Follicular dendritic cell sarcoma. In WHO Classification of Tumours. Haematolymphoid Tumors, 5th ed.; The WHO Classification of Tumours Editorial Board, Ed.; IARC Press: Lyon, France, 2024; pp. 787–789. ISBN 978-92-832-4520-98. [Google Scholar]
- Li, X.Q.; Cheuk, W.; Chuang, S.S.; Rech, K.L. EBV-positive inflammatory follicular dendritic cell sarcoma. In WHO Classification of Tumours. Haematolymphoid Tumors, 5th ed.; The WHO Classification of Tumours Editorial Board, Ed.; IARC Press: Lyon, France, 2024; pp. 791–793. ISBN 978-92-832-4520-98. [Google Scholar]
- Li, Y.; Yang, X.; Tao, L.; Zeng, W.; Zuo, M.; Li, S.; Wu, L.; Lin, Y.; Zhang, Z.; Yun, J.; et al. Challenges in the Diagnosis of Epstein-Barr Virus-positive Inflammatory Follicular Dendritic Cell Sarcoma: Extremely Wide Morphologic Spectrum and Immunophenotype. Am. J. Surg. Pathol. 2023, 47, 476–489. [Google Scholar] [CrossRef] [PubMed]
- Shen, H.G.D.; Zhang, Y.; Leow, W.Q. Uncommon granulomatous manifestation in Epstein–Barr virus-positive follicular dendritic cell sarcoma: A case report. J. Pathol. Transl. Med. 2024. [Google Scholar] [CrossRef] [PubMed]
- Fritchie, K.J.; Hornick, J.L.; Rossi, S. Solitary fibrous tumour. In WHO Classification of Tumours. Digestive System Tumours, 5th ed.; The WHO Classification of Tumours Editorial Board, Ed.; IARC Press: Lyon, France, 2019; pp. 448–449. ISBN 978-92-832-4499-8. [Google Scholar]
- Makino, H.; Miyashita, M.; Nomura, T.; Katsuta, M.; Kashiwabara, M.; Takahashi, K.; Yamashita, K.; Nakamizo, M.; Yokoshima, K.; Onda, M.; et al. Solitary fibrous tumor of the cervical esophagus. Dig. Dis. Sci. 2007, 52, 2195–2200. [Google Scholar] [CrossRef] [PubMed]
- Lüttges, J.; Mentzel, T.; Hübner, G.; Klöppel, G. Solitary fibrous tumour of the pancreas: A new member of the small group of mesenchymal pancreatic tumours. Virchows Arch. 1999, 435, 37–42. [Google Scholar] [CrossRef] [PubMed]
- Lee, W.A.; Lee, M.K.; Jeen, Y.M.; Kie, J.H.; Chung, J.J.; Yun, S.H. Solitary fibrous tumor arising in gastric serosa. Pathol. Int. 2004, 54, 436–439. [Google Scholar] [CrossRef]
- Bratton, L.; Salloum, R.; Cao, W.; Huber, A.R. Solitary Fibrous Tumor of the Sigmoid Colon Masquerading as an Adnexal Neoplasm. Case Rep. Pathol. 2016, 2016, 4182026. [Google Scholar] [CrossRef]
- Moran, C.A.; Ishak, K.G.; Goodman, Z.D. Solitary fibrous tumor of the liver: A clinicopathologic and immunohistochemical study of nine cases. Ann. Diagn. Pathol. 1998, 2, 19–24. [Google Scholar] [CrossRef]
- Perini, M.V.; Herman, P.; D’Albuquerque, L.A.; Saad, W.A. Solitary fibrous tumor of the liver: Report of a rare case and review of the literature. Int. J. Surg. 2008, 6, 396–399. [Google Scholar] [CrossRef] [PubMed]
- Debs, T.; Kassir, R.; Amor, I.B.; Martini, F.; Iannelli, A.; Gugenheim, J. Solitary fibrous tumor of the liver: Report of two cases and review of the literature. Int. J. Surg. 2014, 12, 1291–1294. [Google Scholar] [CrossRef] [PubMed]
- Lin, J.; Huang, S.; Wang, J.; Cai, Z. Multidisciplinary collaboration for the successful treatment of a giant hepatic solitary fibrous tumor protruding into the thorax: A case report. Exp. Ther. Med. 2022, 24, 461. [Google Scholar] [CrossRef] [PubMed]
- Xie, G.Y.; Zhu, H.B.; Jin, Y.; Li, B.Z.; Yu, Y.Q.; Li, J.T. Solitary fibrous tumor of the liver: A case report and review of the literature. World J. Clin. Cases 2022, 10, 7097–7104. [Google Scholar] [CrossRef]
- Fukasawa, Y.; Takada, A.; Tateno, M.; Sato, H.; Koizumi, M.; Tanaka, A.; Sato, T. Solitary fibrous tumor of the pleura causing recurrent hypoglycemia by secretion of insulin-like growth factor II. Pathol. Int. 1998, 48, 47–52. [Google Scholar] [CrossRef] [PubMed]
- Robinson, D.R.; Wu, Y.M.; Kalyana-Sundaram, S.; Cao, X.; Lonigro, R.J.; Sung, Y.S.; Chen, C.L.; Zhang, L.; Wang, R.; Su, F.; et al. Identification of recurrent NAB2-STAT6 gene fusions in solitary fibrous tumor by integrative sequencing. Nat. Genet. 2013, 45, 180–185. [Google Scholar] [CrossRef] [PubMed]
- Mohajeri, A.; Tayebwa, J.; Collin, A.; Nilsson, J.; Magnusson, L.; von Steyern, F.V.; Brosjö, O.; Domanski, H.A.; Larsson, O.; Sciot, R.; et al. Comprehensive genetic analysis identifies a pathognomonic NAB2/STAT6 fusion gene, nonrandom secondary genomic imbalances, and a characteristic gene expression profile in solitary fibrous tumor. Genes Chromosomes Cancer 2013, 52, 873–886. [Google Scholar] [CrossRef]
- Chmielecki, J.; Crago, A.M.; Rosenberg, M.; O’Connor, R.; Walker, S.R.; Ambrogio, L.; Auclair, D.; McKenna, A.; Heinrich, M.C.; Frank, D.A.; et al. Whole-exome sequencing identifies a recurrent NAB2-STAT6 fusion in solitary fibrous tumors. Nat. Genet. 2013, 45, 131–132. [Google Scholar] [CrossRef]
- Gold, J.S.; Antonescu, C.R.; Hajdu, C.; Ferrone, C.R.; Hussain, M.; Lewis, J.J.; Brennan, M.F.; Coit, D.G. Clinicopathologic correlates of solitary fibrous tumors. Cancer 2002, 94, 1057–1068. [Google Scholar] [CrossRef] [PubMed]
- Vallat-Decouvelaere, A.V.; Dry, S.M.; Fletcher, C.D. Atypical and malignant solitary fibrous tumors in extrathoracic locations: Evidence of their comparability to intra-thoracic tumors. Am. J. Surg. Pathol. 1998, 22, 1501–1511. [Google Scholar] [CrossRef] [PubMed]
- Demicco, E.G.; Wagner, M.J.; Maki, R.G.; Gupta, V.; Iofin, I.; Lazar, A.J.; Wang, W.L. Risk assessment in solitary fibrous tumors: Validation and refinement of a risk stratification model. Mod. Pathol. 2017, 30, 1433–1442. [Google Scholar] [CrossRef]
- Schweizer, L.; Koelsche, C.; Sahm, F.; Piro, R.M.; Capper, D.; Reuss, D.E.; Pusch, S.; Habel, A.; Meyer, J.; Göck, T.; et al. Meningeal hemangiopericytoma and solitary fibrous tumors carry the NAB2-STAT6 fusion and can be diagnosed by nuclear expression of STAT6 protein. Acta Neuropathol. 2013, 125, 651–658. [Google Scholar] [CrossRef] [PubMed]
- Doyle, L.A.; Vivero, M.; Fletcher, C.D.; Mertens, F.; Hornick, J.L. Nuclear expression of STAT6 distinguishes solitary fibrous tumor from histologic mimics. Mod. Pathol. 2014, 27, 390–395. [Google Scholar] [CrossRef]
- Gupta, A.; Kozakewich, H.P. Hepatic congenital haemangioma. In WHO Classification of Tumours. Paediatric Tumours, 5th ed.; The WHO Classification of Tumours Editorial Board, Ed.; IARC Press: Lyon, France, 2022; pp. 797–799. ISBN 978-92-832-4510-0. [Google Scholar]
- Dickie, B.; Dasgupta, R.; Nair, R.; Alonso, M.H.; Ryckman, F.C.; Tiao, G.M.; Adams, D.M.; Azizkhan, R.G. Spectrum of hepatic hemangiomas: Management and outcome. J. Pediatr. Surg. 2009, 44, 125–133. [Google Scholar] [CrossRef] [PubMed]
- Christison-Lagay, E.R.; Burrows, P.E.; Alomari, A.; Dubois, J.; Kozakewich, H.P.; Lane, T.S.; Paltiel, H.J.; Klement, G.; Mulliken, J.B.; Fishman, S.J. Hepatic hemangiomas: Subtype classification and development of a clinical practice algorithm and registry. J. Pediatr. Surg. 2007, 42, 62–67; discussion 67–68. [Google Scholar] [CrossRef]
- Rialon, K.L.; Murillo, R.; Fevurly, R.D.; Kulungowski, A.M.; Zurakowski, D.; Liang, M.; Kozakewich, H.P.; Alomari, A.I.; Fishman, S.J. Impact of Screening for Hepatic Hemangiomas in Patients with Multiple Cutaneous Infantile Hemangiomas. Pediatr. Dermatol. 2015, 32, 808–812. [Google Scholar] [CrossRef] [PubMed]
- Boon, L.M.; Burrows, P.E.; Paltiel, H.J.; Lund, D.P.; Ezekowitz, R.A.; Folkman, J.; Mulliken, J.B. Hepatic vascular anomalies in infancy: A twenty-seven-year experience. J. Pediatr. 1996, 129, 346–354. [Google Scholar] [CrossRef]
- Weitz, N.A.; Lauren, C.T.; Starc, T.J.; Kandel, J.J.; Bateman, D.A.; Morel, K.D.; Meyers, P.M.; Kadenhe-Chiweshe, A.; Wu, J.K.; Garzon, M.C. Congenital cutaneous hemangioma causing cardiac failure: A case report and review of the literature. Pediatr. Dermatol. 2013, 30, e180–e190. [Google Scholar] [CrossRef]
- Ayturk, U.M.; Couto, J.A.; Hann, S.; Mulliken, J.B.; Williams, K.L.; Huang, A.Y.; Fishman, S.J.; Boyd, T.K.; Kozakewich, H.P.; Bischoff, J.; et al. Somatic Activating Mutations in GNAQ and GNA11 Are Associated with Congenital Hemangioma. Am. J. Hum. Genet. 2016, 98, 789–795. [Google Scholar] [CrossRef] [PubMed]
- Triana, P.; Rodríguez-Laguna, L.; Giacaman, A.; Salinas-Sanz, J.A.; Martín-Santiago, A.; López-Santamaría, M.; Palacios, E.; Beato, M.J.; Martinez-González, V.; López-Gutierrez, J.C. Congenital hepatic hemangiomas: Clinical, histologic, and genetic correlation. J. Pediatr. Surg. 2020, 55, 2170–2176. [Google Scholar] [CrossRef] [PubMed]
- Trindade, F.; Tellechea, O.; Torrelo, A.; Requena, L.; Colmenero, I. Wilms tumor 1 expression in vascular neoplasms and vascular malformations. Am. J. Dermatopathol. 2011, 33, 569–572. [Google Scholar] [CrossRef]
- Berenguer, B.; Mulliken, J.B.; Enjolras, O.; Boon, L.M.; Wassef, M.; Josset, P.; Burrows, P.E.; Perez-Atayde, A.R.; Kozakewich, H.P. Rapidly involuting congenital hemangioma: Clinical and histopathologic features. Pediatr. Dev. Pathol. 2003, 6, 495–510. [Google Scholar] [CrossRef]
- Lindberg, M.R. Congenital hemangioma. In Diagnostic Pathology. Soft Tissue Tumors, 4th ed.; Elsevier: Philadelphia, PA, USA, 2024; pp. 442–445. ISBN 978-0-443-10936-2. [Google Scholar]
- Gupta, A.; Kozakewich, H.P. Hepatic infantile haemangioma. In WHO Classification of Tumours. Paediatric Tumours, 5th ed.; The WHO Classification of Tumours Editorial Board, Ed.; IARC Press: Lyon, France, 2022; pp. 800–802. ISBN 978-92-832-4510-0. [Google Scholar]
- Hsi Dickie, B.; Fishman, S.J.; Azizkhan, R.G. Hepatic vascular tumors. Semin. Pediatr. Surg. 2014, 23, 168–172. [Google Scholar] [CrossRef] [PubMed]
- Drolet, B.A.; Esterly, N.B.; Frieden, I.J. Hemangiomas in children. N. Engl. J. Med. 1999, 341, 173–181. [Google Scholar] [CrossRef] [PubMed]
- Chiller, K.G.; Passaro, D.; Frieden, I.J. Hemangiomas of infancy: Clinical characteristics, morphologic subtypes, and their relationship to race, ethnicity, and sex. Arch. Dermatol. 2002, 138, 1567–1576. [Google Scholar] [CrossRef]
- Haggstrom, A.N.; Drolet, B.A.; Baselga, E.; Chamlin, S.L.; Garzon, M.C.; Horii, K.A.; Lucky, A.W.; Mancini, A.J.; Metry, D.W.; Newell, B.; et al. Prospective study of infantile hemangiomas: Demographic, prenatal, and perinatal characteristics. J. Pediatr. 2007, 150, 291–294. [Google Scholar] [CrossRef] [PubMed]
- Sevinir, B.; Ozkan, T.B. Infantile hepatic hemangioendothelioma: Clinical presentation and treatment. Turk. J. Gastroenterol. 2007, 18, 182–187. [Google Scholar]
- Munden, A.; Butschek, R.; Tom, W.L.; Marshall, J.S.; Poeltler, D.M.; Krohne, S.E.; Alió, A.B.; Ritter, M.; Friedlander, D.F.; Catanzarite, V.; et al. Prospective study of infantile haemangiomas: Incidence, clinical characteristics and association with placental anomalies. Br. J. Dermatol. 2014, 170, 907–913. [Google Scholar] [CrossRef] [PubMed]
- Bejarano, P.A.; Serrano, M.F.; Casillas, J.; Dehner, L.P.; Kato, T.; Mitral, N.; Rodriguez, M.M.; Tzakis, A. Concurrent infantile hemangioendothelioma and mesenchymal hamartoma in a developmentally arrested liver of an infant requiring hepatic transplantation. Pediatr. Dev. Pathol. 2003, 6, 552–557. [Google Scholar] [CrossRef] [PubMed]
- Berte, N.; Filfilan, A.; Mainard, L.; Mansuy, L.; Lemelle, J.L. Co-existing infantile hepatic hemangioma and mesenchymal hamartoma in a neonate. J. Surg. Case Rep. 2018, 2018, rjx260. [Google Scholar] [CrossRef]
- Macchiaiolo, M.; Markowich, A.H.; Diociaiuti, A.; Gonfiantini, M.V.; Buonuomo, P.S.; Rana, I.; Monti, L.; El Hachem, M.; Bartuli, A. Diffuse infantile hepatic hemangiomas in a patient with Beckwith-Wiedemann syndrome: A new association? Am. J. Med. Genet. A 2020, 182, 1972–1976. [Google Scholar] [CrossRef] [PubMed]
- Rialon, K.L.; Murillo, R.; Fevurly, R.D.; Kulungowski, A.M.; Christison-Lagay, E.R.; Zurakowski, D.; Kozakewich, H.P.; Alomari, A.I.; Fishman, S.J. Risk factors for mortality in patients with multifocal and diffuse hepatic hemangiomas. J. Pediatr. Surg. 2015, 50, 837–841. [Google Scholar] [CrossRef] [PubMed]
- Jeng, M.R.; Fuh, B.; Blatt, J.; Gupta, A.; Merrow, A.C.; Hammill, A.; Adams, D. Malignant transformation of infantile hemangioma to angiosarcoma: Response to chemotherapy with bevacizumab. Pediatr. Blood Cancer 2014, 61, 2115–2117. [Google Scholar] [CrossRef] [PubMed]
- Grassia, K.L.; Peterman, C.M.; Iacobas, I.; Margolin, J.F.; Bien, E.; Padhye, B.; Meyers, R.L.; Adams, D.M. Clinical case series of pediatric hepatic angiosarcoma. Pediatr. Blood Cancer 2017, 64, e26627. [Google Scholar] [CrossRef]
- Wendling-Keim, D.; Vokuhl, C.; Walz, C.; Rieder, L.; Grantzow, R.; VON Schweinitz, D.; Kappler, R.; Berger, M. Activation of Hedgehog Signaling in Aggressive Hepatic Hemangioma in Newborns and Infants. Anticancer Res. 2019, 39, 2351–2360. [Google Scholar] [CrossRef] [PubMed]
- Lindberg, M.R. Infantile hemangioma. In Diagnostic Pathology. Soft Tissue Tumors, 4th ed.; Elsevier: Philadelphia, PA, USA, 2024; pp. 446–449. ISBN 978-0-443-10936-2. [Google Scholar]
- Stringer, M.D.; Alizai, N.K. Mesenchymal hamartoma of the liver: A systematic review. J. Pediatr. Surg. 2005, 40, 1681–1690. [Google Scholar] [CrossRef] [PubMed]
- Thway, K.; Doyle, L.A. Haemangioma. In WHO Classification of Tumours. Digestive System Tumours, 5th ed.; The WHO Classification of Tumours Editorial Board, Ed.; IARC Press: Lyon, France, 2019; pp. 462–465. ISBN 978-92-832-4510-0. [Google Scholar]
- Bioulac-Sage, P.; Laumonier, H.; Laurent, C.; Blanc, J.F.; Balabaud, C. Benign and malignant vascular tumors of the liver in adults. Semin. Liver Dis. 2008, 28, 302–314. [Google Scholar] [CrossRef] [PubMed]
- Karhunen, P.J. Benign hepatic tumours and tumour like conditions in men. J. Clin. Pathol. 1986, 39, 183–188. [Google Scholar] [CrossRef] [PubMed]
- Glinkova, V.; Shevah, O.; Boaz, M.; Levine, A.; Shirin, H. Hepatic haemangiomas: Possible association with female sex hormones. Gut 2004, 53, 1352–1355. [Google Scholar] [CrossRef] [PubMed]
- Jhuang, J.Y.; Lin, L.W.; Hsieh, M.S. Adult capillary hemangioma of the liver: Case report and literature review. Kaohsiung J. Med. Sci. 2011, 27, 344–347. [Google Scholar] [CrossRef]
- Noda, T.; Sasaki, Y.; Yamada, T.; Eguchi, H.; Takachi, K.; Noura, S.; Miyashiro, I.; Murata, K.; Doki, Y.; Ohigashi, H.; et al. Adult capillary hemangioma of the liver: Report of a case. Surg. Today 2005, 35, 796–799. [Google Scholar] [CrossRef] [PubMed]
- Vishnevsky, V.A.; Mohan, V.S.; Pomelov, V.S.; Todua, F.I.; Guseinov, E.K. Surgical treatment of giant cavernous hemangioma liver. HPB Surg. 1991, 4, 69–78; discussion 78–79. [Google Scholar] [CrossRef] [PubMed]
- Kim, G.E.; Thung, S.N.; Tsui, W.M.; Ferrell, L.D. Hepatic cavernous hemangioma: Underrecognized associated histologic features. Liver Int. 2006, 26, 334–338. [Google Scholar] [CrossRef] [PubMed]
- Makhlouf, H.R.; Ishak, K.G. Sclerosed hemangioma and sclerosing cavernous hemangioma of the liver: A comparative clinicopathologic and immunohistochemical study with emphasis on the role of mast cells in their histogenesis. Liver 2002, 22, 70–78. [Google Scholar] [CrossRef]
- Perkocha, L.A.; Geaghan, S.M.; Yen, T.S.; Nishimura, S.L.; Chan, S.P.; Garcia-Kennedy, R.; Honda, G.; Stoloff, A.C.; Klein, H.Z.; Goldman, R.L.; et al. Clinical and pathological features of bacillary peliosis hepatis in association with human immunodeficiency virus infection. N. Engl. J. Med. 1990, 323, 1581–1586. [Google Scholar] [CrossRef] [PubMed]
- Montgomery, E.; Epstein, J.I. Anastomosing hemangioma of the genitourinary tract: A lesion mimicking angiosarcoma. Am. J. Surg. Pathol. 2009, 33, 1364–1369. [Google Scholar] [CrossRef] [PubMed]
- Lunn, B.; Yasir, S.; Lam-Himlin, D.; Menias, C.O.; Torbenson, M.S.; Venkatesh, S.K. Anastomosing hemangioma of the liver: A case series. Abdom. Radiol. 2019, 44, 2781–2787. [Google Scholar] [CrossRef] [PubMed]
- Bean, G.R.; Joseph, N.M.; Gill, R.M.; Folpe, A.L.; Horvai, A.E.; Umetsu, S.E. Recurrent GNAQ mutations in anastomosing hemangiomas. Mod. Pathol. 2017, 30, 722–727. [Google Scholar] [CrossRef]
- Liau, J.Y.; Tsai, J.H.; Lan, J.; Chen, C.C.; Wang, Y.H.; Lee, J.C.; Huang, H.Y. GNA11 joins GNAQ and GNA14 as a recurrently mutated gene in anastomosing hemangioma. Virchows Arch. 2020, 476, 475–481. [Google Scholar] [CrossRef] [PubMed]
- Joseph, N.M.; Brunt, E.M.; Marginean, C.; Nalbantoglu, I.; Snover, D.C.; Thung, S.N.; Yeh, M.M.; Umetsu, S.E.; Ferrell, L.D.; Gill, R.M. Frequent GNAQ and GNA14 Mutations in Hepatic Small Vessel Neoplasm. Am. J. Surg. Pathol. 2018, 42, 1201–1207. [Google Scholar] [CrossRef] [PubMed]
- Miranda, M.; Howell, D.; Jabbour, T.E. Hepatic small vessel neoplasm: Not totally benign, not yet malignant. J. Pathol. Transl. Med. 2023, 57, 273–277. [Google Scholar] [CrossRef]
- Akanuma, N.; Joseph, N.M.; Stachler, M.; Behr, S.; Takahashi, T.; Gill, R.M. Malignant hepatic vascular neoplasm with novel RAF1 and GNA11 mutations: Risk stratification considerations for hepatic small vessel neoplasm (HSVN). Hum. Pathol. Rep. 2022, 29, 300671. [Google Scholar] [CrossRef]
- Thway, K.; Doyle, L.A. Lymphangioma and lymphangiomatosis. In WHO Classification of Tumours. Digestive System Tumours, 5th ed.; The WHO Classification of Tumours Editorial Board, Ed.; IARC Press: Lyon, France, 2019; pp. 475–476. ISBN 978-92-832-4499-8. [Google Scholar]
- Haratake, J.; Koide, O.; Takeshita, H. Hepatic lymphangiomatosis: Report of two cases, with an immunohistochemical study. Am. J. Gastroenterol. 1992, 87, 906–909. [Google Scholar] [PubMed]
- Wiegand, S.; Eivazi, B.; Barth, P.J.; von Rautenfeld, D.B.; Folz, B.J.; Mandic, R.; Werner, J.A. Pathogenesis of lymphangiomas. Virchows Arch. 2008, 453, 1–8. [Google Scholar] [CrossRef]
- Luks, V.L.; Kamitaki, N.; Vivero, M.P.; Uller, W.; Rab, R.; Bovée, J.V.; Rialon, K.L.; Guevara, C.J.; Alomari, A.I.; Greene, A.K.; et al. Lymphatic and other vascular malformative/overgrowth disorders are caused by somatic mutations in PIK3CA. J. Pediatr. 2015, 166, 1048–1054.e5. [Google Scholar] [CrossRef]
- Torbenson, M.; Zen, Y.; Yeh, M.M. Mesenchymal tumors and tumor-like lesions. In Tumors of the Liver. AFIP Atlas of Tumor Pathology; Series 4, Fascicle 27; Torbenson, M., Zen, Y., Yeh, M.M., Eds.; American Registry of Pathology: Washington, DC, USA, 2018; pp. 279–340. ISBN 978-1-9334477-41-1. [Google Scholar]
- Lindberg, M.R. Lymphangioma. In Diagnostic Pathology. Soft Tissue Tumors, 4th ed.; Elsevier: Philadelphia, PA, USA, 2024; pp. 482–485. ISBN 978-0-443-10936-2. [Google Scholar]
- Thway, K.; Doyle, L.A. Kaposi sarcoma. In WHO Classification of Tumours. Digestive System Tumours, 5th ed.; The WHO Classification of Tumours Editorial Board, Ed.; IARC Press: Lyon, France, 2019; pp. 468–470. ISBN 978-92-832-4499-8. [Google Scholar]
- Duprez, R.; Lacoste, V.; Brière, J.; Couppié, P.; Frances, C.; Sainte-Marie, D.; Kassa-Kelembho, E.; Lando, M.J.; Essame Oyono, J.L.; Nkegoum, B.; et al. Evidence for a multiclonal origin of multicentric advanced lesions of Kaposi sarcoma. J. Natl. Cancer Inst. 2007, 99, 1086–1094. [Google Scholar] [CrossRef] [PubMed]
- Van Leer-Greenberg, B.; Kole, A.; Chawla, S. Hepatic Kaposi sarcoma: A case report and review of the literature. World J. Hepatol. 2017, 9, 171–179. [Google Scholar] [CrossRef]
- Kiuru-Kuhlefelt, S.; Sarlomo-Rikala, M.; Larramendy, M.L.; Söderlund, M.; Hedman, K.; Miettinen, M.; Knuutila, S. FGF4 and INT2 oncogenes are amplified and expressed in Kaposi’s sarcoma. Mod. Pathol. 2000, 13, 433–437. [Google Scholar] [CrossRef] [PubMed]
- Pyakurel, P.; Montag, U.; Castaños-Vélez, E.; Kaaya, E.; Christensson, B.; Tönnies, H.; Biberfeld, P.; Heiden, T. CGH of microdissected Kaposi’s sarcoma lesions reveals recurrent loss of chromosome Y in early and additional chromosomal changes in late tumour stages. AIDS 2006, 20, 1805–1812. [Google Scholar] [CrossRef]
- Boshoff, C.; Schulz, T.F.; Kennedy, M.M.; Graham, A.K.; Fisher, C.; Thomas, A.; McGee, J.O.; Weiss, R.A.; O’Leary, J.J. Kaposi’s sarcoma-associated herpesvirus infects endothelial and spindle cells. Nat. Med. 1995, 1, 1274–1278. [Google Scholar] [CrossRef]
- Hornick, J.L. Epithelioid haemangioendothelioma. In WHO Classification of Tumours. Digestive System Tumours, 5th ed.; The WHO Classification of Tumours Editorial Board, Ed.; IARC Press: Lyon, France, 2019; pp. 466–467. ISBN 978-92-832-4499-8. [Google Scholar]
- Makhlouf, H.R.; Ishak, K.G.; Goodman, Z.D. Epithelioid hemangioendothelioma of the liver: A clinicopathologic study of 137 cases. Cancer 1999, 85, 562–582. [Google Scholar] [CrossRef]
- Ishak, K.G.; Sesterhenn, I.A.; Goodman, Z.D.; Rabin, L.; Stromeyer, F.W. Epithelioid hemangioendothelioma of the liver: A clinicopathologic and follow-up study of 32 cases. Hum. Pathol. 1984, 15, 839–852. [Google Scholar] [CrossRef]
- Mehrabi, A.; Kashfi, A.; Fonouni, H.; Schemmer, P.; Schmied, B.M.; Hallscheidt, P.; Schirmacher, P.; Weitz, J.; Friess, H.; Buchler, M.W.; et al. Primary malignant hepatic epithelioid hemangioendothelioma: A comprehensive review of the literature with emphasis on the surgical therapy. Cancer 2006, 107, 2108–2121. [Google Scholar] [CrossRef] [PubMed]
- Mendlick, M.R.; Nelson, M.; Pickering, D.; Johansson, S.L.; Seemayer, T.A.; Neff, J.R.; Vergara, G.; Rosenthal, H.; Bridge, J.A. Translocation t(1;3)(p36.3;q25) is a nonrandom aberration in epithelioid hemangioendothelioma. Am. J. Surg. Pathol. 2001, 25, 684–687. [Google Scholar] [CrossRef]
- Errani, C.; Zhang, L.; Sung, Y.S.; Hajdu, M.; Singer, S.; Maki, R.G.; Healey, J.H.; Antonescu, C.R. A novel WWTR1-CAMTA1 gene fusion is a consistent abnormality in epithelioid hemangioendothelioma of different anatomic sites. Genes Chromosomes Cancer 2011, 50, 644–653. [Google Scholar] [CrossRef]
- Patel, N.R.; Salim, A.A.; Sayeed, H.; Sarabia, S.F.; Hollingsworth, F.; Warren, M.; Jakacky, J.; Tanas, M.; Oliveira, A.M.; Rubin, B.P.; et al. Molecular characterization of epithelioid haemangioendotheliomas identifies novel WWTR1-CAMTA1 fusion variants. Histopathology 2015, 67, 699–708. [Google Scholar] [CrossRef] [PubMed]
- Kuo, F.Y.; Huang, H.Y.; Chen, C.L.; Eng, H.L.; Huang, C.C. TFE3-rearranged hepatic epithelioid hemangioendothelioma-a case report with immunohistochemical and molecular study. Apmis 2017, 125, 849–853. [Google Scholar] [CrossRef] [PubMed]
- Miettinen, M.; Wang, Z.F.; Paetau, A.; Tan, S.H.; Dobi, A.; Srivastava, S.; Sesterhenn, I. ERG transcription factor as an immunohistochemical marker for vascular endothelial tumors and prostatic carcinoma. Am. J. Surg. Pathol. 2011, 35, 432–441. [Google Scholar] [CrossRef] [PubMed]
- Shibuya, R.; Matsuyama, A.; Shiba, E.; Harada, H.; Yabuki, K.; Hisaoka, M. CAMTA1 is a useful immunohistochemical marker for diagnosing epithelioid haemangioendothelioma. Histopathology 2015, 67, 827–835. [Google Scholar] [CrossRef]
- Doyle, L.A.; Fletcher, C.D.; Hornick, J.L. Nuclear Expression of CAMTA1 Distinguishes Epithelioid Hemangioendothelioma From Histologic Mimics. Am. J. Surg. Pathol. 2016, 40, 94–102. [Google Scholar] [CrossRef]
- Miettinen, M.; Fetsch, J.F. Distribution of keratins in normal endothelial cells and a spectrum of vascular tumors: Implications in tumor diagnosis. Hum. Pathol. 2000, 31, 1062–1067. [Google Scholar] [CrossRef]
- Lee, H.E.; Torbenson, M.S.; Wu, T.T.; Chandan, V.S. Aberrant keratin expression is common in primary hepatic malignant vascular tumors: A potential diagnostic pitfall. Ann. Diagn. Pathol. 2020, 49, 151589. [Google Scholar] [CrossRef]
- Thway, K.; Doyle, L.A.; Fukayama, M.; Hornick, J.L. Angiosarcoma. In WHO Classification of Tumours. Digestive System Tumours, 5th ed.; The WHO Classification of Tumours Editorial Board, Ed.; IARC Press: Lyon, France, 2019; pp. 471–472. ISBN 978-92-832-4499-8. [Google Scholar]
- Chaudhary, P.; Bhadana, U.; Singh, R.A.; Ahuja, A. Primary hepatic angiosarcoma. Eur. J. Surg. Oncol. 2015, 41, 1137–1143. [Google Scholar] [CrossRef]
- Selby, D.M.; Stocker, J.T.; Ishak, K.G. Angiosarcoma of the liver in childhood: A clinicopathologic and follow-up study of 10 cases. Pediatr. Pathol. 1992, 12, 485–498. [Google Scholar] [CrossRef] [PubMed]
- Dehner, L.P. The challenges of vasoformative tumors of the liver in children. Pediatr. Dev. Pathol. 2004, 7, A5–A7. [Google Scholar] [CrossRef] [PubMed]
- Young, R.J.; Brown, N.J.; Reed, M.W.; Hughes, D.; Woll, P.J. Angiosarcoma. Lancet Oncol. 2010, 11, 983–991. [Google Scholar] [CrossRef]
- Awan, S.; Davenport, M.; Portmann, B.; Howard, E.R. Angiosarcoma of the liver in children. J. Pediatr. Surg. 1996, 31, 1729–1732. [Google Scholar] [CrossRef]
- Dimashkieh, H.H.; Mo, J.Q.; Wyatt-Ashmead, J.; Collins, M.H. Pediatric hepatic angiosarcoma: Case report and review of the literature. Pediatr. Dev. Pathol. 2004, 7, 527–532. [Google Scholar] [CrossRef] [PubMed]
- Nord, K.M.; Kandel, J.; Lefkowitch, J.H.; Lobritto, S.J.; Morel, K.D.; North, P.E.; Garzon, M.C. Multiple cutaneous infantile hemangiomas associated with hepatic angiosarcoma: Case report and review of the literature. Pediatrics 2006, 118, e907–e913. [Google Scholar] [CrossRef]
- Quarmyne, M.O.; Gupta, A.; Adams, D.M. Lymphangiosarcoma of the thorax and thoracic vertebrae in a 16-year-old girl. J. Clin. Oncol. 2012, 30, e294–e298. [Google Scholar] [CrossRef]
- Wang, Z.B.; Wei, L.X. Primary hepatic angiosarcoma: A clinical and pathological analysis. Zhonghua Bing Li Xue Za Zhi 2013, 42, 376–380. [Google Scholar] [CrossRef] [PubMed]
- Mark, L.; Delmore, F.; Creech, J.L., Jr.; Ogden, L.L., II; Fadell, E.H.; Songster, C.L.; Clanton, J.; Johnson, M.N.; Christopherson, W.M. Clinical and morphologic features of hepatic angiosarcoma in vinyl chloride workers. Cancer 1976, 37, 149–163. [Google Scholar] [CrossRef] [PubMed]
- Weinberg, A.G.; Finegold, M.J. Primary hepatic tumors of childhood. Hum. Pathol. 1983, 14, 512–537. [Google Scholar] [CrossRef] [PubMed]
- Elliott, P.; Kleinschmidt, I. Angiosarcoma of the liver in Great Britain in proximity to vinyl chloride sites. Occup. Environ. Med. 1997, 54, 14–18. [Google Scholar] [CrossRef]
- Falk, H.; Thomas, L.B.; Popper, H.; Ishak, K.G. Hepatic angiosarcoma associated with androgenic-anabolic steroids. Lancet 1979, 2, 1120–1123. [Google Scholar] [CrossRef] [PubMed]
- Rosenthal, A.K.; Klausmeier, M.; Cronin, M.E.; McLaughlin, J.K. Hepatic angiosarcoma occurring after cyclophosphamide therapy: Case report and review of the literature. Am. J. Clin. Oncol. 2000, 23, 581–583. [Google Scholar] [CrossRef] [PubMed]
- Przygodzki, R.M.; Finkelstein, S.D.; Keohavong, P.; Zhu, D.; Bakker, A.; Swalsky, P.A.; Soini, Y.; Ishak, K.G.; Bennett, W.P. Sporadic and Thorotrast-induced angiosarcomas of the liver manifest frequent and multiple point mutations in K-ras-2. Lab. Investig. 1997, 76, 153–159. [Google Scholar] [PubMed]
- Guillou, L.; Aurias, A. Soft tissue sarcomas with complex genomic profiles. Virchows Arch. 2010, 456, 201–217. [Google Scholar] [CrossRef] [PubMed]
- Liau, J.Y.; Tsai, J.H.; Yang, C.Y.; Lee, J.C.; Liang, C.W.; Hsu, H.H.; Jeng, Y.M. Alternative lengthening of telomeres phenotype in malignant vascular tumors is highly associated with loss of ATRX expression and is frequently observed in hepatic angiosarcomas. Hum. Pathol. 2015, 46, 1360–1366. [Google Scholar] [CrossRef] [PubMed]
- Huang, S.C.; Zhang, L.; Sung, Y.S.; Chen, C.L.; Kao, Y.C.; Agaram, N.P.; Singer, S.; Tap, W.D.; D’Angelo, S.; Antonescu, C.R. Recurrent CIC Gene Abnormalities in Angiosarcomas: A Molecular Study of 120 Cases With Concurrent Investigation of PLCG1, KDR, MYC, and FLT4 Gene Alterations. Am. J. Surg. Pathol. 2016, 40, 645–655. [Google Scholar] [CrossRef]
- Meis-Kindblom, J.M.; Kindblom, L.G. Angiosarcoma of soft tissue: A study of 80 cases. Am. J. Surg. Pathol. 1998, 22, 683–697. [Google Scholar] [CrossRef]
- Fayette, J.; Martin, E.; Piperno-Neumann, S.; Le Cesne, A.; Robert, C.; Bonvalot, S.; Ranchère, D.; Pouillart, P.; Coindre, J.M.; Blay, J.Y. Angiosarcomas, a heterogeneous group of sarcomas with specific behavior depending on primary site: A retrospective study of 161 cases. Ann. Oncol. 2007, 18, 2030–2036. [Google Scholar] [CrossRef]
- Yasir, S.; Torbenson, M.S. Angiosarcoma of the Liver: Clinicopathologic Features and Morphologic Patterns. Am. J. Surg. Pathol. 2019, 43, 581–590. [Google Scholar] [CrossRef] [PubMed]
- Zen, Y.; Sofue, K. Sinusoidal-type Angiosarcoma of the Liver: Imaging Features and Potential Diagnostic Utility of p53 Immunostaining. Am. J. Surg. Pathol. 2019, 43, 1728–1731. [Google Scholar] [CrossRef] [PubMed]
- Miettinen, M.; Lindenmayer, A.E.; Chaubal, A. Endothelial cell markers CD31, CD34, and BNH9 antibody to H- and Y-antigens--evaluation of their specificity and sensitivity in the diagnosis of vascular tumors and comparison with von Willebrand factor. Mod. Pathol. 1994, 7, 82–90. [Google Scholar] [PubMed]
- Folpe, A.L.; Chand, E.M.; Goldblum, J.R.; Weiss, S.W. Expression of Fli-1, a nuclear transcription factor, distinguishes vascular neoplasms from potential mimics. Am. J. Surg. Pathol. 2001, 25, 1061–1066. [Google Scholar] [CrossRef] [PubMed]
- Al-Abbadi, M.A.; Almasri, N.M.; Al-Quran, S.; Wilkinson, E.J. Cytokeratin and epithelial membrane antigen expression in angiosarcomas: An immunohistochemical study of 33 cases. Arch. Pathol. Lab. Med. 2007, 131, 288–292. [Google Scholar] [CrossRef] [PubMed]
- Udager, A.M.; Ishikawa, M.K.; Lucas, D.R.; McHugh, J.B.; Patel, R.M. MYC immunohistochemistry in angiosarcoma and atypical vascular lesions: Practical considerations based on a single institutional experience. Pathology 2016, 48, 697–704. [Google Scholar] [CrossRef]
- Thway, K.; Doyle, L.A.; Fukayama, M. Glomus tumour. In WHO Classification of Tumours. Digestive System Tumours, 5th ed.; The WHO Classification of Tumours Editorial Board, Ed.; IARC Press: Lyon, France, 2019; pp. 473–474. ISBN 978-92-832-4499-8. [Google Scholar]
- Kihara, A.; Fukushima, J.; Horiuchi, H. Glomus tumor of the liver presenting as a cystic lesion. Pathol. Int. 2014, 64, 295–297. [Google Scholar] [CrossRef] [PubMed]
- Hirose, K.; Matsui, T.; Nagano, H.; Eguchi, H.; Marubashi, S.; Wada, H.; Morii, E. Atypical glomus tumor arising in the liver: A case report. Diagn. Pathol. 2015, 10, 112. [Google Scholar] [CrossRef]
- Jaiswal, V.R.; Champine, J.G.; Sharma, S.; Molberg, K.H. Primary glomangioma of the liver: A case report and review of the literature. Arch. Pathol. Lab. Med. 2004, 128, e46–e49. [Google Scholar] [CrossRef] [PubMed]
- Geramizadeh, B.; Nikeghbalian, S.; Shamsaifar, A.; Kazemi, K.; Tavoosi, H.; Sefidbakht, S.; Malek-Hosseini, S.A. Primary glomus tumor of the liver: A rare case report and review of the literature. Indian J. Pathol. Microbiol. 2011, 54, 584–587. [Google Scholar] [CrossRef]
- Mosquera, J.M.; Sboner, A.; Zhang, L.; Chen, C.L.; Sung, Y.S.; Chen, H.W.; Agaram, N.P.; Briskin, D.; Basha, B.M.; Singer, S.; et al. Novel MIR143-NOTCH fusions in benign and malignant glomus tumors. Genes Chromosomes Cancer 2013, 52, 1075–1087. [Google Scholar] [CrossRef] [PubMed]
- Karamzadeh Dashti, N.; Bahrami, A.; Lee, S.J.; Jenkins, S.M.; Rodriguez, F.J.; Folpe, A.L.; Boland, J.M. BRAF V600E Mutations Occur in a Subset of Glomus Tumors, and Are Associated With Malignant Histologic Characteristics. Am. J. Surg. Pathol. 2017, 41, 1532–1541. [Google Scholar] [CrossRef]
- Pulitzer, D.R.; Martin, P.C.; Reed, R.J. Epithelioid glomus tumor. Hum. Pathol. 1995, 26, 1022–1027. [Google Scholar] [CrossRef] [PubMed]
- Slater, D.N.; Cotton, D.W.; Azzopardi, J.G. Oncocytic glomus tumour: A new variant. Histopathology 1987, 11, 523–531. [Google Scholar] [CrossRef] [PubMed]
- Folpe, A.L.; Fanburg-Smith, J.C.; Miettinen, M.; Weiss, S.W. Atypical and malignant glomus tumors: Analysis of 52 cases, with a proposal for the reclassification of glomus tumors. Am. J. Surg. Pathol. 2001, 25, 1–12. [Google Scholar] [CrossRef] [PubMed]
- Miettinen, M.; Paal, E.; Lasota, J.; Sobin, L.H. Gastrointestinal glomus tumors: A clinicopathologic, immunohistochemical, and molecular genetic study of 32 cases. Am. J. Surg. Pathol. 2002, 26, 301–311. [Google Scholar] [CrossRef] [PubMed]
- Dickson, B.C.; Riddle, N.D.; Brooks, J.S.; Pasha, T.L.; Zhang, P.J. Sirtuin 1 (SIRT1): A potential immunohistochemical marker and therapeutic target in soft tissue neoplasms with myoid differentiation. Hum. Pathol. 2013, 44, 1125–1130. [Google Scholar] [CrossRef]
- Dry, S.M.; Kumarasinghe, M.P. Leiomyoma. In WHO Classification of Tumours. Paediatric Tumours, 5th ed.; The WHO Classification of Tumours Editorial Board, Ed.; IARC Press: Lyon, France, 2022; pp. 456–457. ISBN 978-92-832-4510-0. [Google Scholar]
- Luo, X.Z.; Ming, C.S.; Chen, X.P.; Gong, N.Q. Epstein-Barr virus negative primary hepatic leiomyoma: Case report and literature review. World J. Gastroenterol. 2013, 19, 4094–4098. [Google Scholar] [CrossRef] [PubMed]
- Omiyale, A.O. Primary leiomyoma of the liver: A review of a rare tumour. HPB Surg. 2014, 2014, 959202. [Google Scholar] [CrossRef] [PubMed]
- Blas Laina, J.L.; González Ruiz, Y.; Gonzalvo González, E.; Sanz Moncasi, M.P.; Rodríguez Borobia, A. Primary hepatic leiomyoma: A rare liver mass. Gastroenterol. Hepatol. 2017, 40, 617–619. [Google Scholar] [CrossRef] [PubMed]
- Nwankwo, E.C., Jr.; Burton, S.J.; Brotherton, T.; Carpenter, D.; Qureshi, K. Asymptomatic Hepatic Leiomyoma in an Immunocompetent Middle-Aged Woman. ACG Case Rep. J. 2022, 9, e00899. [Google Scholar] [CrossRef]
- Hawkins, E.P.; Jordan, G.L.; McGavran, M.H. Primary leiomyoma of the liver. Successful treatment by lobectomy and presentation of criteria for diagnosis. Am. J. Surg. Pathol. 1980, 4, 301–304. [Google Scholar] [CrossRef] [PubMed]
- Watanabe, R.; Schafernack, K.T.; Soares, F.A. EBV-associated smooth muscle tumour. In WHO Classification of Tumours. Soft Tissue and Bone Tumours, 5th ed.; The WHO Classification of Tumours Editorial Board, Ed.; IARC Press: Lyon, France, 2020; pp. 190–192. ISBN 978-92-832-4502-5. [Google Scholar]
- Lee, E.S.; Locker, J.; Nalesnik, M.; Reyes, J.; Jaffe, R.; Alashari, M.; Nour, B.; Tzakis, A.; Dickman, P.S. The association of Epstein-Barr virus with smooth-muscle tumors occurring after organ transplantation. N. Engl. J. Med. 1995, 332, 19–25. [Google Scholar] [CrossRef]
- Chong, Y.B.; Lu, P.L.; Ma, Y.C.; Yin, H.L.; Chang, C.H. Epstein-Barr Virus-Associated Smooth Muscle Tumor and Its Correlation with CD4 Levels in a Patient with HIV Infection. Front. Cell Infect. Microbiol. 2022, 12, 725342. [Google Scholar] [CrossRef] [PubMed]
- Dekate, J.; Chetty, R. Epstein-Barr Virus-Associated Smooth Muscle Tumor. Arch. Pathol. Lab. Med. 2016, 140, 718–722. [Google Scholar] [CrossRef] [PubMed]
- Tan, C.S.; Loh, H.L.; Foo, M.W.; Choong, L.H.; Wong, K.S.; Kee, T.Y. Epstein–Barr virus-associated smooth muscle tumors after kidney transplantation: Treatment and outcomes in a single center. Clin. Transplant. 2013, 27, E462–E468. [Google Scholar] [CrossRef] [PubMed]
- Hussein, K.; Rath, B.; Ludewig, B.; Kreipe, H.; Jonigk, D. Clinico-pathological characteristics of different types of immunodeficiency-associated smooth muscle tumours. Eur. J. Cancer 2014, 50, 2417–2424. [Google Scholar] [CrossRef] [PubMed]
- Jonigk, D.; Laenger, F.; Maegel, L.; Izykowski, N.; Rische, J.; Tiede, C.; Klein, C.; Maecker-Kolhoff, B.; Kreipe, H.; Hussein, K. Molecular and clinicopathological analysis of Epstein-Barr virus-associated posttransplant smooth muscle tumors. Am. J. Transplant. 2012, 12, 1908–1917. [Google Scholar] [CrossRef]
- Deyrup, A.T.; Lee, V.K.; Hill, C.E.; Cheuk, W.; Toh, H.C.; Kesavan, S.; Chan, E.W.; Weiss, S.W. Epstein-Barr virus-associated smooth muscle tumors are distinctive mesenchymal tumors reflecting multiple infection events: A clinicopathologic and molecular analysis of 29 tumors from 19 patients. Am. J. Surg. Pathol. 2006, 30, 75–82. [Google Scholar] [CrossRef]
- Dry, S.M.; Kumarasinghe, M.P. Leiomyosarcoma. In WHO Classification of Tumours. Digestive System Tumours, 5th ed.; The WHO Classification of Tumours Editorial Board, Ed.; IARC Press: Lyon, France, 2019; pp. 458–459. ISBN 978-92-832-4499-8. [Google Scholar]
- Graham, R.P.; Folpe, A.L. Benign and malignant mesenchymal tumors of the liver. In Surgical Pathology of the Liver; Torbenson, M.S., Zhang, L., Moreira, R.K., Eds.; Wolters Kluwer: Philadelphia, PA, USA, 2018; pp. 551–571. ISBN 978-1-4963-6579-8. [Google Scholar]
- Wu, F.N.; Zhang, M.; Zhang, K.; Lv, X.L.; Guo, J.Q.; Tu, C.Y.; Zhou, Q.Y. Primary hepatic leiomyosarcoma masquerading as liver abscess: A case report. World J. Gastrointest. Surg. 2024, 16, 3598–3605. [Google Scholar] [CrossRef] [PubMed]
- Yan, L.; Huang, R.; Chen, S.; Chen, J.; Li, J. Imaging findings of primary hepatic leiomyosarcoma: A case report and literature review. Front. Oncol. 2024, 14, 1490717. [Google Scholar] [CrossRef]
- Cheon, M.; Yi, H.; Ha, J.Y.; Kim, M.A. Atypical (18)F-FDG PET-CT Findings in a Rare Case of Primary Hepatic Leiomyosarcoma. Diagnostics 2024, 14, 1502. [Google Scholar] [CrossRef] [PubMed]
- Agaram, N.P.; Zhang, L.; LeLoarer, F.; Silk, T.; Sung, Y.S.; Scott, S.N.; Kuk, D.; Qin, L.X.; Berger, M.F.; Antonescu, C.R.; et al. Targeted exome sequencing profiles genetic alterations in leiomyosarcoma. Genes Chromosomes Cancer 2016, 55, 124–130. [Google Scholar] [CrossRef] [PubMed]
- Chudasama, P.; Mughal, S.S.; Sanders, M.A.; Hübschmann, D.; Chung, I.; Deeg, K.I.; Wong, S.H.; Rabe, S.; Hlevnjak, M.; Zapatka, M.; et al. Integrative genomic and transcriptomic analysis of leiomyosarcoma. Nat. Commun. 2018, 9, 144. [Google Scholar] [CrossRef] [PubMed]
- Dry, S.M.; Kumarasinghe, M.P. Rhabomyosarcoma. In WHO Classification of Tumours. Digestive System Tumours, 5th ed.; The WHO Classification of Tumours Editorial Board, Ed.; IARC Press: Lyon, France, 2019; pp. 460–461. ISBN 978-92-832-4499-8.2. [Google Scholar]
- Ruymann, F.B.; Raney, R.B., Jr.; Crist, W.M.; Lawrence, W., Jr.; Lindberg, R.D.; Soule, E.H. Rhabdomyosarcoma of the biliary tree in childhood. A report from the Intergroup Rhabdomyosarcoma Study. Cancer 1985, 56, 575–581. [Google Scholar] [CrossRef] [PubMed]
- Davis, G.L.; Kissane, J.M.; Ishak, K.G. Embryonal rhabdomyosarcoma (sardcoma botryoides) of the biliary tree. Report of five cases and a review of the literature. Cancer 1969, 24, 333–342. [Google Scholar] [CrossRef]
- Nicol, K.; Savell, V.; Moore, J.; Teot, L.; Spunt, S.L.; Qualman, S. Distinguishing undifferentiated embryonal sarcoma of the liver from biliary tract rhabdomyosarcoma: A Children’s Oncology Group study. Pediatr. Dev. Pathol. 2007, 10, 89–97. [Google Scholar] [CrossRef]
- McArdle, J.P.; Hawley, I.; Shevland, J.; Brain, T. Primary rhabdomyosarcoma of the adult liver. Am. J. Surg. Pathol. 1989, 13, 961–965. [Google Scholar] [CrossRef] [PubMed]
- Aldabagh, S.M.; Shibata, C.S.; Taxy, J.B. Rhabdomyosarcoma of the common bile duct in an adult. Arch. Pathol. Lab Med. 1986, 110, 547–550. [Google Scholar] [PubMed]
- Rudzinski, E.R.; Bisogno, G.; Dry, S.M.; Kelsey, A.; Kohashi, K. Rhabdomyosarcoma. In WHO Classification of Tumours. Paediatric Tumours, 5th ed.; The WHO Classification of Tumours Editorial Board, Ed.; IARC Press: Lyon, France, 2022; pp. 513–516. ISBN 978-92-832-4510-0. [Google Scholar]
- Schoofs, G.; Braeye, L.; Vanheste, R.; Verswijvel, G.; Debiec-Rychter, M.; Sciot, R. Hepatic rhabdomyosarcoma in an adult: A rare primary malignant liver tumor. Case report and literature review. Acta Gastroenterol. Belg. 2011, 74, 576–581. [Google Scholar] [PubMed]
- Yin, J.; Liu, Z.; Yang, K. Pleomorphic rhabdomyosarcoma of the liver with a hepatic cyst in an adult: Case report and literature review. Medicine 2018, 97, e11335. [Google Scholar] [CrossRef] [PubMed]
- Lack, E.E.; Perez-Atayde, A.R.; Schuster, S.R. Botryoid rhabdomyosarcoma of the biliary tract. Am. J. Surg. Pathol. 1981, 5, 643–652. [Google Scholar] [CrossRef] [PubMed]
- Sowery, R.D.; Jensen, C.; Morrison, K.B.; Horsman, D.E.; Sorensen, P.H.; Webber, E.M. Comparative genomic hybridization detects multiple chromosomal amplifications and deletions in undifferentiated embryonal sarcoma of the liver. Cancer Genet. Cytogenet. 2001, 126, 128–133. [Google Scholar] [CrossRef] [PubMed]
- Tui, W.M.; Miettinen, M. Mesenchymal hamartoma of the liver. In WHO Classification of Tumours. Digestive System Tumours, 5th ed.; The WHO Classification of Tumours Editorial Board, Ed.; IARC Press: Lyon, France, 2019; pp. 488–489. ISBN 978-92-832-4499-8. [Google Scholar]
- DeMaioribus, C.A.; Lally, K.P.; Sim, K.; Isaacs, H.; Mahour, G.H. Mesenchymal hamartoma of the liver. A 35-year review. Arch. Surg. 1990, 125, 598–600. [Google Scholar] [CrossRef] [PubMed]
- Cajaiba, M.M.; Sarita-Reyes, C.; Zambrano, E.; Reyes-Múgica, M. Mesenchymal hamartoma of the liver associated with features of Beckwith-Wiedemann syndrome and high serum alpha-fetoprotein levels. Pediatr. Dev. Pathol. 2007, 10, 233–238. [Google Scholar] [CrossRef]
- Tsui, W.M.S.; Ranganathan, S.; Saxena, R. Mesenchymal hamartoma. In WHO Classification of Tumours. Paediatric Tumours, 5th ed.; The WHO Classification of Tumours Editorial Board, Ed.; IARC Press: Lyon, France, 2022; pp. 790–792. ISBN 978-92-832-4510-0. [Google Scholar]
- Mathews, J.; Duncavage, E.J.; Pfeifer, J.D. Characterization of translocations in mesenchymal hamartoma and undifferentiated embryonal sarcoma of the liver. Exp. Mol. Pathol. 2013, 95, 319–324. [Google Scholar] [CrossRef]
- Boman, F.; Bossard, C.; Fabre, M.; Diab, N.; Bonnevalle, M.; Boccon-Gibod, L. Mesenchymal hamartomas of the liver may be associated with increased serum alpha foetoprotein concentrations and mimic hepatoblastomas. Eur. J. Pediatr. Surg. 2004, 14, 63–66. [Google Scholar] [CrossRef]
- Yen, J.B.; Kong, M.S.; Lin, J.N. Hepatic mesenchymal hamartoma. J. Paediatr. Child. Health 2003, 39, 632–634. [Google Scholar] [CrossRef]
- Ramanujam, T.M.; Ramesh, J.C.; Goh, D.W.; Wong, K.T.; Ariffin, W.A.; Kumar, G.; Taib, N.A. Malignant transformation of mesenchymal hamartoma of the liver: Case report and review of the literature. J. Pediatr. Surg. 1999, 34, 1684–1686. [Google Scholar] [CrossRef]
- Karpelowsky, J.S.; Pansini, A.; Lazarus, C.; Rode, H.; Millar, A.J. Difficulties in the management of mesenchymal hamartomas. Pediatr. Surg. Int. 2008, 24, 1171–1175. [Google Scholar] [CrossRef]
- Chang, H.J.; Jin, S.Y.; Park, C.; Park, Y.N.; Jang, J.J.; Park, C.K.; Suh, Y.L.; Yu, E.; Kang, D.Y.; Bae, H.I. Mesenchymal hamartomas of the liver: Comparison of clinicopathologic features between cystic and solid forms. J. Korean Med. Sci. 2006, 21, 63–68. [Google Scholar] [CrossRef] [PubMed]
- Hornick, J.L.; Miettinen, M.; Sciot, R.; Tsui, W.M. PEComa, Including angiomyolipoma In WHO Classification of Tumours. Digestive System Tumours, 5th ed.; The WHO Classification of Tumours Editorial Board, Ed.; IARC Press: Lyon, France, 2019; pp. 485–487. ISBN 978-92-832-4499-8. [Google Scholar]
- Goodman, Z.D.; Ishak, K.G. Angiomyolipomas of the liver. Am. J. Surg. Pathol. 1984, 8, 745–750. [Google Scholar] [CrossRef] [PubMed]
- Tsui, W.M.; Colombari, R.; Portmann, B.C.; Bonetti, F.; Thung, S.N.; Ferrell, L.D.; Nakanuma, Y.; Snover, D.C.; Bioulac-Sage, P.; Dhillon, A.P. Hepatic angiomyolipoma: A clinicopathologic study of 30 cases and delineation of unusual morphologic variants. Am. J. Surg. Pathol. 1999, 23, 34–48. [Google Scholar] [CrossRef] [PubMed]
- Yang, X.; Li, A.; Wu, M. Hepatic angiomyolipoma: Clinical, imaging and pathological features in 178 cases. Med. Oncol. 2013, 30, 416. [Google Scholar] [CrossRef]
- Black, M.E.; Hedgire, S.S.; Camposano, S.; Paul, E.; Harisinghani, M.; Thiele, E.A. Hepatic manifestations of tuberous sclerosis complex: A genotypic and phenotypic analysis. Clin. Genet. 2012, 82, 552–557. [Google Scholar] [CrossRef] [PubMed]
- Agaram, N.P.; Sung, Y.S.; Zhang, L.; Chen, C.L.; Chen, H.W.; Singer, S.; Dickson, M.A.; Berger, M.F.; Antonescu, C.R. Dichotomy of Genetic Abnormalities in PEComas with Therapeutic Implications. Am. J. Surg. Pathol. 2015, 39, 813–825. [Google Scholar] [CrossRef]
- Pan, C.C.; Chung, M.Y.; Ng, K.F.; Liu, C.Y.; Wang, J.S.; Chai, C.Y.; Huang, S.H.; Chen, P.C.; Ho, D.M. Constant allelic alteration on chromosome 16p (TSC2 gene) in perivascular epithelioid cell tumour (PEComa): Genetic evidence for the relationship of PEComa with angiomyolipoma. J. Pathol. 2008, 214, 387–393. [Google Scholar] [CrossRef] [PubMed]
- Huang, S.C.; Chuang, H.C.; Chen, T.D.; Chi, C.L.; Ng, K.F.; Yeh, T.S.; Chen, T.C. Alterations of the mTOR pathway in hepatic angiomyolipoma with emphasis on the epithelioid variant and loss of heterogeneity of TSC1/TSC2. Histopathology 2015, 66, 695–705. [Google Scholar] [CrossRef] [PubMed]
- Yan, Z.; Grenert, J.P.; Joseph, N.M.; Ren, C.; Chen, X.; Shafizadeh, N.; Kakar, S. Hepatic angiomyolipoma: Mutation analysis and immunohistochemical pitfalls in diagnosis. Histopathology 2018, 73, 101–108. [Google Scholar] [CrossRef] [PubMed]
- Argani, P.; Aulmann, S.; Illei, P.B.; Netto, G.J.; Ro, J.; Cho, H.Y.; Dogan, S.; Ladanyi, M.; Martignoni, G.; Goldblum, J.R.; et al. A distinctive subset of PEComas harbors TFE3 gene fusions. Am. J. Surg. Pathol. 2010, 34, 1395–1406. [Google Scholar] [CrossRef] [PubMed]
- Nguyen, T.T.; Gorman, B.; Shields, D.; Goodman, Z. Malignant hepatic angiomyolipoma: Report of a case and review of literature. Am. J. Surg. Pathol. 2008, 32, 793–798. [Google Scholar] [CrossRef] [PubMed]
- McCarthy, M.R.; Nichols, P.E.; Sharma, V.; Stanton, M.L.; Reynolds, J.P.; Pitel, B.A.; Halling, K.C.; Lohse, C.M.; Herrera-Hernandez, L.; Thompson, R.H.; et al. Molecular and Immunophenotypic Correlates of Metastatic Epithelioid Angiomyolipoma Include Alterations of TP53, RB1, and ATRX. Arch. Pathol. Lab. Med. 2023, 147, 817–825. [Google Scholar] [CrossRef]
- Doyle, L.A.; Argani, P.; Hornick, J.L. PEComa. In WHO Classification of Tumours. Soft Tissue and Bone Tumours, 5th ed.; The WHO Editorial Board, Ed.; IARC Press: Lyon, France, 2020; pp. 312–314. ISBN 978-92-832-4502-5. [Google Scholar]
- Folpe, A.L.; Mentzel, T.; Lehr, H.A.; Fisher, C.; Balzer, B.L.; Weiss, S.W. Perivascular epithelioid cell neoplasms of soft tissue and gynecologic origin: A clinicopathologic study of 26 cases and review of the literature. Am. J. Surg. Pathol. 2005, 29, 1558–1575. [Google Scholar] [CrossRef] [PubMed]
- Amante, M.F. Hepatic perivascular epithelioid cell tumors: Benign, malignant, and uncertain malignant potential. World J. Gastroenterol. 2024, 30, 2374–2378. [Google Scholar] [CrossRef]
- Doyle, L.A.; Hornick, J.L.; Fletcher, C.D. PEComa of the gastrointestinal tract: Clinicopathologic study of 35 cases with evaluation of prognostic parameters. Am. J. Surg. Pathol. 2013, 37, 1769–1782. [Google Scholar] [CrossRef] [PubMed]
- Nonomura, A.; Mizukami, Y.; Takayanagi, N.; Masuda, S.; Ishii, K.; Tashiro, K.; Mizoguchi, Y. Immunohistochemical study of hepatic angiomyolipoma. Pathol. Int. 1996, 46, 24–32. [Google Scholar] [CrossRef] [PubMed]
- Makhlouf, H.R.; Ishak, K.G.; Shekar, R.; Sesterhenn, I.A.; Young, D.Y.; Fanburg-Smith, J.C. Melanoma markers in angiomyolipoma of the liver and kidney: A comparative study. Arch. Pathol. Lab. Med. 2002, 126, 49–55. [Google Scholar] [CrossRef]
- Makhlouf, H.R.; Remotti, H.E.; Ishak, K.G. Expression of KIT (CD117) in angiomyolipoma. Am. J. Surg. Pathol. 2002, 26, 493–497. [Google Scholar] [CrossRef]
- Hornick, J.L. Calcifying nested stroma-epithelial tumour of the liver. In WHO Classification of Tumours. Digestive System Tumours, 5th ed.; The WHO Classification of Tumours Editorial Board, Ed.; IARC Press: Lyon, France, 2019; pp. 490–491. ISBN 978-92-832-4499-8. [Google Scholar]
- Hill, D.A.; Swanson, P.E.; Anderson, K.; Covinsky, M.H.; Finn, L.S.; Ruchelli, E.D.; Nascimento, A.G.; Langer, J.C.; Minkes, R.K.; McAlister, W.; et al. Desmoplastic nested spindle cell tumor of liver: Report of four cases of a proposed new entity. Am. J. Surg. Pathol. 2005, 29, 1–9. [Google Scholar] [CrossRef]
- Makhlouf, H.R.; Abdul-Al, H.M.; Wang, G.; Goodman, Z.D. Calcifying nested stromal-epithelial tumors of the liver: A clinicopathologic, immunohistochemical, and molecular genetic study of 9 cases with a long-term follow-up. Am. J. Surg. Pathol. 2009, 33, 976–983. [Google Scholar] [CrossRef] [PubMed]
- Malowany, J.I.; Merritt, N.H.; Chan, N.G.; Ngan, B.Y. Nested stromal epithelial tumor of the liver in Beckwith-Wiedemann syndrome. Pediatr. Dev. Pathol. 2013, 16, 312–317. [Google Scholar] [CrossRef] [PubMed]
- Khoshnam, N.; Robinson, H.; Clay, M.R.; Schaffer, L.R.; Gillespie, S.E.; Shehata, B.M. Calcifying nested stromal-epithelial tumor (CNSET) of the liver in Beckwith-Wiedemann syndrome. Eur. J. Med. Genet. 2017, 60, 136–139. [Google Scholar] [CrossRef]
- Benedict, M.; Zhang, X. Calcifying Nested Stromal-Epithelial Tumor of the Liver: An Update and Literature Review. Arch. Pathol. Lab. Med. 2019, 143, 264–268. [Google Scholar] [CrossRef] [PubMed]
- Papke, D.J., Jr.; Dong, F.; Zhang, X.; Kozielski, R.; Basturk, O.; Fletcher, C.D.M.; Zhao, L. Calcifying nested stromal-epithelial tumor: A clinicopathologic and molecular genetic study of eight cases highlighting metastatic potential and recurrent CTNNB1 and TERT promoter alterations. Mod. Pathol. 2021, 34, 1696–1703. [Google Scholar] [CrossRef]
- Brodsky, S.V.; Sandoval, C.; Sharma, N.; Yusuf, Y.; Facciuto, M.E.; Humphrey, M.; Yeh, Y.A.; Braun, A.; Melamed, M.; Finegold, M.J. Recurrent nested stromal epithelial tumor of the liver with extrahepatic metastasis: Case report and review of literature. Pediatr. Dev. Pathol. 2008, 11, 469–473. [Google Scholar] [CrossRef]
- López-Terrada, D.; Alaggio, R.; de Dávila, M.T.; Czauderna, P.; Hiyama, E.; Katzenstein, H.; Leuschner, I.; Malogolowkin, M.; Meyers, R.; Ranganathan, S.; et al. Towards an international pediatric liver tumor consensus classification: Proceedings of the Los Angeles COG liver tumors symposium. Mod. Pathol. 2014, 27, 472–491. [Google Scholar] [CrossRef] [PubMed]
- Vokuhl, C.; Ranganathan, S.; Saxena, R. Embryonal sarcoma of the liver. In WHO Classification of Tumours. Paediatric Tumours, 5th ed.; The WHO Classification of Tumours Editorial Board, Ed.; IARC Press: Lyon, France, 2022; pp. 795–796. ISBN 978-92-832-4510-0. [Google Scholar]
- Hornick, J.L.; Miettinen, M.; Tsui, W.M. Embryonal sarcoma of the liver. In WHO Classification of Tumours. Digestive System Tumours, 5th ed.; The WHO Classification of Tumours Editorial Board, Ed.; IARC Press: Lyon, France, 2019; pp. 497–498. ISBN 978-92-832-4499-8. [Google Scholar]
- Stocker, J.T.; Ishak, K.G. Undifferentiated (embryonal) sarcoma of the liver: Report of 31 cases. Cancer 1978, 42, 336–348. [Google Scholar] [CrossRef] [PubMed]
- Shi, Y.; Rojas, Y.; Zhang, W.; Beierle, E.A.; Doski, J.J.; Goldfarb, M.; Goldin, A.B.; Gow, K.W.; Langer, M.; Meyers, R.L.; et al. Characteristics and outcomes in children with undifferentiated embryonal sarcoma of the liver: A report from the National Cancer Database. Pediatr. Blood Cancer 2017, 64, e26272. [Google Scholar] [CrossRef] [PubMed]
- Lenze, F.; Birkfellner, T.; Lenz, P.; Hussein, K.; Länger, F.; Kreipe, H.; Domschke, W. Undifferentiated embryonal sarcoma of the liver in adults. Cancer 2008, 112, 2274–2282. [Google Scholar] [CrossRef] [PubMed]
- Horowitz, M.E.; Etcubanas, E.; Webber, B.L.; Kun, L.E.; Rao, B.N.; Vogel, R.J.; Pratt, C.B. Hepatic undifferentiated (embryonal) sarcoma and rhabdomyosarcoma in children. Results of therapy. Cancer 1987, 59, 396–402. [Google Scholar] [CrossRef]
- Ismail, H.; Dembowska-Bagińska, B.; Broniszczak, D.; Kaliciński, P.; Maruszewski, P.; Kluge, P.; Swięszkowska, E.; Kościesza, A.; Lembas, A.; Perek, D. Treatment of undifferentiated embryonal sarcoma of the liver in children--single center experience. J. Pediatr. Surg. 2013, 48, 2202–2206. [Google Scholar] [CrossRef]
- Setty, B.A.; Jinesh, G.G.; Arnold, M.; Pettersson, F.; Cheng, C.H.; Cen, L.; Yoder, S.J.; Teer, J.K.; Flores, E.R.; Reed, D.R.; et al. The genomic landscape of undifferentiated embryonal sarcoma of the liver is typified by C19MC structural rearrangement and overexpression combined with TP53 mutation or loss. PLoS Genet. 2020, 16, e1008642. [Google Scholar] [CrossRef]
- Mascarello, J.T.; Krous, H.F. Second report of a translocation involving 19q13.4 in a mesenchymal hamartoma of the liver. Cancer Genet. Cytogenet. 1992, 58, 141–142. [Google Scholar] [CrossRef]
- Shehata, B.M.; Gupta, N.A.; Katzenstein, H.M.; Steelman, C.K.; Wulkan, M.L.; Gow, K.W.; Bridge, J.A.; Kenney, B.D.; Thompson, K.; de Chadarévian, J.P.; et al. Undifferentiated embryonal sarcoma of the liver is associated with mesenchymal hamartoma and multiple chromosomal abnormalities: A review of eleven cases. Pediatr. Dev. Pathol. 2011, 14, 111–116. [Google Scholar] [CrossRef]
- Lack, E.E.; Schloo, B.L.; Azumi, N.; Travis, W.D.; Grier, H.E.; Kozakewich, H.P. Undifferentiated (embryonal) sarcoma of the liver. Clinical and pathologic study of 16 cases with emphasis on immunohistochemical features. Am. J. Surg. Pathol. 1991, 15, 1–16. [Google Scholar] [CrossRef]
- Kiani, B.; Ferrell, L.D.; Qualman, S.; Frankel, W.L. Immunohistochemical analysis of embryonal sarcoma of the liver. Appl. Immunohistochem. Mol. Morphol. 2006, 14, 193–197. [Google Scholar] [CrossRef] [PubMed]
- Levy, M.; Trivedi, A.; Zhang, J.; Miles, L.; Mattis, A.N.; Kim, G.E.; Lassman, C.; Anders, R.A.; Misdraji, J.; Yerian, L.M.; et al. Expression of glypican-3 in undifferentiated embryonal sarcoma and mesenchymal hamartoma of the liver. Hum. Pathol. 2012, 43, 695–701. [Google Scholar] [CrossRef]
- Putra, J.; Ornvold, K. Undifferentiated embryonal sarcoma of the liver: A concise review. Arch. Pathol. Lab. Med. 2015, 139, 269–273. [Google Scholar] [CrossRef]
- Brennan, B.; Stiller, C.; Bourdeaut, F. Extracranial rhabdoid tumours: What we have learned so far and future directions. Lancet. Oncol. 2013, 14, e329–e336. [Google Scholar] [CrossRef]
- Trobaugh-Lotrario, A.D.; Finegold, M.J.; Feusner, J.H. Rhabdoid tumors of the liver: Rare, aggressive, and poorly responsive to standard cytotoxic chemotherapy. Pediatr. Blood Cancer 2011, 57, 423–428. [Google Scholar] [CrossRef] [PubMed]
- Kang, Y.N.; Kim, S.P.; Jang, B.K. A primary malignant rhabdoid tumor in adult liver. Korean J. Pathol. 2013, 47, 486–488. [Google Scholar] [CrossRef]
- Meyers, M.; Demetter, P.; De Roo, A.-K.; Pezzullo, M.; Jungels, C.; Brichard, B.; De Magnee, C.; De Krijger Ronald, R.; Verset, G. Primary extrarenal rhabdoid tumour of the liver: A case report and literature review. Acta Gastroenterol. Belg. 2023, 86, 555–562. [Google Scholar] [CrossRef]
- Ye, H.; Liu, Z.; Zhang, Y. Malignant rhabdoid tumor of the liver in a middle-aged woman: A case report and literature review. BMC Gastroenterol. 2022, 22, 28. [Google Scholar] [CrossRef] [PubMed]
- Oita, S.; Terui, K.; Komatsu, S.; Hishiki, T.; Saito, T.; Mitsunaga, T.; Nakata, M.; Yoshida, H. Malignant rhabdoid tumor of the liver: A case report and literature review. Pediatr. Rep. 2015, 7, 5578. [Google Scholar] [CrossRef]
- Saunders, J.; Ingley, K.; Wang, X.Q.; Harvey, M.; Armstrong, L.; Ng, T.; Dunham, C.; Bush, J. Loss of BRG1 (SMARCA4) Immunoexpression in a Pediatric Non-Central Nervous System Tumor Cohort. Pediatr. Dev. Pathol. 2020, 23, 132–138. [Google Scholar] [CrossRef]
- Yoshida, A.; Asano, N.; Kawai, A.; Kawamoto, H.; Nakazawa, A.; Kishimoto, H.; Kushima, R. Differential SALL4 immunoexpression in malignant rhabdoid tumours and epithelioid sarcomas. Histopathology 2015, 66, 252–261. [Google Scholar] [CrossRef] [PubMed]
- Kohashi, K.; Nakatsura, T.; Kinoshita, Y.; Yamamoto, H.; Yamada, Y.; Tajiri, T.; Taguchi, T.; Iwamoto, Y.; Oda, Y. Glypican 3 expression in tumors with loss of SMARCB1/INI1 protein expression. Hum. Pathol. 2013, 44, 526–533. [Google Scholar] [CrossRef] [PubMed]
- Wagner, L.M.; Garrett, J.K.; Ballard, E.T.; Hill, D.A.; Perry, A.; Biegel, J.A.; Collins, M.H. Malignant rhabdoid tumor mimicking hepatoblastoma: A case report and literature review. Pediatr. Dev. Pathol. 2007, 10, 409–415. [Google Scholar] [CrossRef]
- Ranganathan, S.; Alaggio, R.; Czauderna, P.; de Krijger, R.R.; Tanaka, Y. Hepatoblastoma. In WHO Classification of Tumours. Paediatric Tumours, 5th ed.; The WHO Classification of Tumours Editorial Board, Ed.; IARC Press: Lyon, France, 2022; pp. 775–780. ISBN 978-92-832-4510-0. [Google Scholar]
- Yoo, Y.; Shin, J.; Jun, E.; Koh, E.Y.; Shin, H.J.; Kang, H.J. Proposed diagnostic and prognostic markers of primary malignant hepatic vascular neoplasms. Diagn. Pathol. 2024, 19, 68. [Google Scholar] [CrossRef]
- Li, K.Y.; Wei, A.L.; Li, A. Primary hepatic myelolipoma: A case report and review of the literature. World J. Clin. Cases 2020, 8, 4615–4623. [Google Scholar] [CrossRef]
- Fried, R.H.; Wardzala, A.; Willson, R.A.; Sinanan, M.N.; Marchioro, T.L.; Haggitt, R. Benign cartilaginous tumor (chondroma) of the liver. Gastroenterology 1992, 103, 678–680. [Google Scholar] [CrossRef]
- Thi Khuyen, N.; Quoc Thanh, T.; Van Trung, H.; Cong Thao, T.; Nhu Tung, T. Primary Hepatic Schwannoma: Case Report and Literature Review. Clin. Med. Insights Case Rep. 2023, 16, 11795476231215907. [Google Scholar] [CrossRef] [PubMed]
- Delgado, J.; Jaramillo, D.; Ho-Fung, V.; Fisher, M.J.; Anupindi, S.A. MRI features of plexiform neurofibromas involving the liver and pancreas in children with neurofibromatosis type 1. Clin. Radiol. 2014, 69, e280–e284. [Google Scholar] [CrossRef]
- Kakizaki, S.; Horiguchi, N.; Otsuka, T.; Takizawa, D.; Yamazaki, Y.; Sato, K.; Ohno, Y.; Kusano, M.; Yamada, M. Malignant Peripheral Nerve Sheath Tumor of the Liver. Intern. Med. 2016, 55, 245–249. [Google Scholar] [CrossRef] [PubMed]
- Yang, C.; Qin, L.H.; Chen, P.Y.; Chen, J.Q.; Liao, J.Y. A Case of Non-calcified Intrahepatic Primary Osteosarcoma: A Case Report and a Literature Review. Curr. Med. Imaging 2024, 20, e15734056326695. [Google Scholar] [CrossRef] [PubMed]
- Feng, X.; Tao, J.; Zhou, Q.; Qiao, Y.D.; He, L.J.; Zhang, N. Desmoplastic small round cell tumor of the liver: Diagnosing a rare case on liver biopsy. Diagn. Pathol. 2023, 18, 84. [Google Scholar] [CrossRef]
- Mass, J.B.; Talmon, G. Undifferentiated Pleomorphic Sarcoma of Liver: Case Report and Review of the Literature. Case Rep. Pathol. 2018, 2018, 8031253. [Google Scholar] [CrossRef] [PubMed]
- Sung, H.J.; Kim, J.; Kim, K.R.; Yoon, S.; Lee, J.H.; Kang, H.J. Primary hepatic mixed germ cell tumor in an adult. J. Pathol. Transl. Med. 2021, 55, 355–359. [Google Scholar] [CrossRef]
- Salaria, S.N.; Srivastava, A.; Allende, D.S. Liver neoplasms. In Gastrointestinal and Liver Pathology, 3rd ed.; Srivastava, A., Allende, D.S., Eds.; Elsevier: Philadelphia, PA, USA, 2024; pp. 557–611. ISBN 978-0-323-52794-1. [Google Scholar]
- Mavroeidis, L.; Napolitano, A.; Huang, P.; Jones, R.L. Novel Therapeutics in Soft Tissue Sarcoma. Cancers 2024, 17, 10. [Google Scholar] [CrossRef]
Disclaimer/Publisher’s Note: The statements, opinions and data contained in all publications are solely those of the individual author(s) and contributor(s) and not of MDPI and/or the editor(s). MDPI and/or the editor(s) disclaim responsibility for any injury to people or property resulting from any ideas, methods, instructions or products referred to in the content. |
© 2025 by the authors. Licensee MDPI, Basel, Switzerland. This article is an open access article distributed under the terms and conditions of the Creative Commons Attribution (CC BY) license (https://creativecommons.org/licenses/by/4.0/).








