Efficacy of Photobiomodulation Therapy Utilizing 808 nm and 660 nm Alone and in Combination for Treatment of Paresthesia in Rats
Abstract
1. Introduction
2. Materials and Methods
2.1. Sample Size
2.2. Surgical Procedure
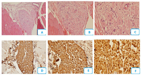
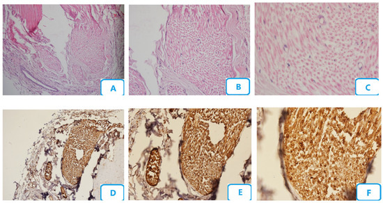
2.3. Histological Assessment
2.4. Histometric Assessment
2.5. Histochemical Analysis
- Score 0: No staining of the counted cells.
- Score 1: Staining of 25% of the counted cells.
- Score 2: Staining of 25%–50% of the counted cells.
- Score 3: Staining of 50%–75% of the counted cells.
- Score 4: Staining of 75%–100% of the counted cells.
2.6. Statistical Analysis
3. Results
3.1. Histological Results
3.2. Effect of PBMT on Edema and Congestion
3.3. Effect of PBMT on Accumulation of Schwann Cells and Their Degenerative Changes
3.4. Effect of PBMT on the Number of Myelinated Fibers (Table 6)
4. Discussion
5. Conclusions
Author Contributions
Funding
Institutional Review Board Statement
Informed Consent Statement
Data Availability Statement
Conflicts of Interest
References
- de Oliveira, R.F.; da Silva, A.C.; Simoes, A.; Youssef, M.N.; de Freitas, P.M. Laser therapy in the treatment of paresthesia: A retrospective study of 125 clinical cases. Photomed. Laser Surg. 2015, 33, 415–423. [Google Scholar] [CrossRef] [PubMed]
- Daware, S.N.; Balakrishna, R.; Deogade, S.C.; Ingole, Y.S.; Patil, S.M.; Naitam, D.M. Assessment of postoperative discomfort and nerve injuries after surgical removal of mandibular third molar: A prospective study. J. Fam. Med. Prim. Care 2021, 10, 1712–1717. [Google Scholar] [CrossRef] [PubMed]
- Mancini, A.; Inchingolo, A.M.; Blasio, M.D.; de Ruvo, E.; Noia, A.D.; Ferrante, L.; Vecchio, G.D.; Palermo, A.; Inchingolo, F.; Inchingolo, A.D.; et al. Neurological Complications following Surgical Treatments of the Lower Molars. Int. J. Dent. 2024, 2024, 5415597. [Google Scholar] [CrossRef] [PubMed] [PubMed Central]
- Kämmerer, P.W.; Heimes, D.; Hartmann, A.; Kesting, M.; Khoury, F.; Schiegnitz, E.; Thiem, D.G.E.; Wiltfang, J.; Al-Nawas, B.; Kämmerer, W. Clinical insights into traumatic injury of the inferior alveolar and lingual nerves: A comprehensive approach from diagnosis to therapeutic interventions. Clin. Oral. Investig. 2024, 28, 216. [Google Scholar] [CrossRef]
- Le, L.N.; Truong, K.N.; Kim, V.N.K.; Lam, T.N.; Le, K.V.P. Impacted Mandibular Third Molars Close to the Inferior Alveolar Nerve (IAN) Coronectomy: A Surgical Approach with Minimal Risk of Nerve Injury. J. Maxillofac. Oral. Surg. 2024, 23, 1462–1469. [Google Scholar] [CrossRef]
- Wang, C.Z.; Chen, Y.J.; Wang, Y.H.; Yeh, M.L.; Huang, M.H.; Ho, M.L.; Liang, J.I.; Chen, C.H. Low-level laser irradiation improves functional recovery and nerve regeneration in sciatic nerve crush rat injury model. PLoS ONE 2014, 9, e103348. [Google Scholar] [CrossRef]
- Etemadi, A.; Koochak Hosseini, S.K.; Neshandar, M.; Chiniforush, N. In Vitro Effect of Photodynamic Therapy With Curcumin in Combination With Photobiomodulation Therapy by 660 nm on the Viability of Human Gingival Fibroblasts. J. Lasers Med. Sci. 2024, 15, e42. [Google Scholar] [CrossRef]
- Ghabraei, S.; Bolhari, B.; Nashtaie, H.M.; Noruzian, M.; Niavarzi, S.; Chiniforush, N. Effect of photobiomodulation on pain level during local anesthesia injection: A randomized clinical trial. J. Cosmet. Laser Ther. 2020, 22, 180–184. [Google Scholar] [CrossRef]
- Arshad, M.; Mazidi, Y.; Chiniforush, N.; Shirvani, A.; Bassir, S.H. The effect of photobiomodulation therapy on implant stability: A systematic review and meta-analysis. Photochem. Photobiol. 2024. [Google Scholar] [CrossRef]
- Ayrancı, F.; Sivrikaya, E.C.; Omezli, M.M.; Polat, M.E.; Cezayirli, B. Efficacy of Nd: Yag Laser Biostimulation in the Treatment of Inferior Alveolar Nerve Injury after Implant Surgery. J. Anesth. Crit. Care Open Access 2018, 10, 00354. [Google Scholar]
- Poort, L.J.; van Neck, J.W.; van der Wal, K.G. Sensory testing of inferior alveolar nerve injuries: A review of methods used in prospective studies. J. Oral. Maxillofac. Surg. 2009, 67, 292–300. [Google Scholar] [CrossRef] [PubMed]
- Rosso, M.P.; Buchaim, D.V.; Rosa Junior, G.M.; Andreo, J.C.; Pomini, K.T.; Buchaim, R.L. Low-Level Laser Therapy (LLLT) improves the repair process of peripheral nerve injuries: A mini review. Int. J. Neurorehabilit. 2017, 4, 2376-0281. [Google Scholar]
- Shen, C.C.; Yang, Y.C.; Huang, T.B.; Chan, S.C.; Liu, B.S. Low-Level Laser-Accelerated Peripheral Nerve Regeneration within a Reinforced Nerve Conduit across a Large Gap of the Transected Sciatic Nerve in Rats. Evid. Based Complement. Altern. Med. Ecam 2013, 2013, 175629. [Google Scholar] [CrossRef] [PubMed]
- de Oliveira, R.F.; de Andrade Salgado, D.M.; Trevelin, L.T.; Lopes, R.M.; da Cunha, S.R.; Aranha, A.C.; de Paula Eduardo, C.; de Freitas, P.M. Benefits of laser phototherapy on nerve repair. Lasers Med. Sci. 2015, 30, 1395–1406. [Google Scholar] [CrossRef]
- Esmaeelinejad, M.; Motamedi, M.H.K. Effect of low-level laser on the healing of neurosensory disturbance following sagittal split ramus osteotomy: A double-blind, randomized clinical trial. Iran. Red. Crescent Med. J. 2018, 20, 8. [Google Scholar] [CrossRef]
- Hakimiha, N.; Dehghan, M.M.; Manaheji, H.; Zaringhalam, J.; Farzad-Mohajeri, S.; Fekrazad, R.; Moslemi, N. Recovery of inferior alveolar nerve by photobiomodulation therapy using two laser wavelengths: A behavioral and immunological study in rat. J. Photochem. Photobiol. B Biol. 2020, 204, 111785. [Google Scholar] [CrossRef]
- Oliveira, F.B.; Pereira, V.M.; da Trindade, A.P.; Shimano, A.C.; Gabriel, R.E.; Borges, A.P. Action of therapeutic laser and ultrasound in peripheral nerve regeneration. Acta Ortop. Bras. 2012, 20, 98–103. [Google Scholar] [CrossRef]
- Karu, T. Mitochondrial mechanisms of photobiomodulation in context of new data about multiple roles of ATP. Photomed. Laser Surg. 2010, 28, 159–160. [Google Scholar] [CrossRef]
- Gigo-Benato, D.; Russo, T.L.; Geuna, S.; Domingues, N.R.; Salvini, T.F.; Parizotto, N.A. Electrical stimulation impairs early functional recovery and accentuates skeletal muscle atrophy after sciatic nerve crush injury in rats. Muscle Nerve 2010, 41, 685–693. [Google Scholar] [CrossRef]
- Giuliani, A.; Fernandez, M.; Farinelli, M.; Baratto, L.; Capra, R.; Rovetta, G.; Monteforte, P.; Giardino, L.; Calzà, L. Very low level laser therapy attenuates edema and pain in experimental models. Int. J. Tissue React. 2004, 26, 29–37. [Google Scholar]
- Farivar, S.; Malekshahabi, T.; Shiari, R. Biological effects of low level laser therapy. J. Lasers Med. Sci. 2014, 5, 58–62. [Google Scholar] [PubMed]
- Barez, M.M.; Tajziehchi, M.; Heidari, M.H.; Bushehri, A.; Moayer, F.; Mansouri, N.; Naini, N.S.; Movafagh, A. Stimulation Effect of Low Level Laser Therapy on Sciatic Nerve Regeneration in Rat. J. Lasers Med. Sci. 2017, 8 (Suppl. 1), S32–S37. [Google Scholar] [CrossRef] [PubMed][Green Version]
- Ma, J.X.; Yang, Q.M.; Xia, Y.C.; Zhang, W.G.; Nie, F.F. Effect of 810 nm Near-Infrared Laser on Revascularization of Ischemic Flaps in Rats. Photomed. Laser Surg. 2018, 36, 290–297. [Google Scholar] [CrossRef] [PubMed]
- Sene, G.A.; Sousa, F.F.; Fazan, V.S.; Barbieri, C.H. Efeitos da laserterapia na regeneração nervosa periférica. Acta Ortopédica Bras. 2013, 21, 266–270. [Google Scholar] [CrossRef] [PubMed]
- Gigo-Benato, D.; Russo, T.L.; Tanaka, E.H.; Assis, L.; Salvini, T.F.; Parizotto, N.A. Effects of 660 and 780 nm low-level laser therapy on neuromuscular recovery after crush injury in rat sciatic nerve. Lasers Surg. Med. 2010, 42, 673–682. [Google Scholar] [CrossRef] [PubMed]
- Ziago, E.K.; Fazan, V.P.; Iyomasa, M.M.; Sousa, L.G.; Yamauchi, P.Y.; da Silva, E.A.; Borie, E.; Fuentes, R.; Dias, F.J. Analysis of the variation in low-level laser energy density on the crushed sciatic nerves of rats: A morphological, quantitative, and morphometric study. Lasers Med. Sci. 2017, 32, 369–378. [Google Scholar] [CrossRef]
- Gigo-Benato, D.; Geuna, S.; Rochkind, S. Phototherapy for enhancing peripheral nerve repair: A review of the literature. Muscle Nerve 2005, 31, 694–701. [Google Scholar] [CrossRef]
- Huang, Y.Y.; Sharma, S.K.; Carroll, J.; Hamblin, M.R. Biphasic dose response in low level light therapy—An update. Dose-Response A Publ. Int. Hormesis Soc. 2011, 9, 602–618. [Google Scholar] [CrossRef]
- Yazdani, S.O.; Golestaneh, A.F.; Shafiee, A.; Hafizi, M.; Omrani, H.A.; Soleimani, M. Effects of low level laser therapy on proliferation and neurotrophic factor gene expression of human schwann cells in vitro. J. Photochem. Photobiol. B Biol. 2012, 107, 9–13. [Google Scholar] [CrossRef]
- Andreo, L.; Mesquita-Ferrari, R.A.; Grenho, L.; Gomes, P.S.; Bussadori, S.K.; Fernandes, K.P.S.; Fernandes, M.H. Effects of 660-nm and 780-nm Laser Therapy on ST88-14 Schwann Cells. Photochem. Photobiol. 2021, 97, 198–204. [Google Scholar] [CrossRef]
- Câmara, C.N.; Brito, M.V.; Silveira, E.L.; Silva, D.S.; Simões, V.R.; Pontes, R.W. Histological analysis of low-intensity laser therapy effects in peripheral nerve regeneration in Wistar rats. Acta Cir. Bras. 2011, 26, 12–18. [Google Scholar] [CrossRef] [PubMed][Green Version]
- AlGhamdi, K.M.; Kumar, A.; Moussa, N.A. Low-level laser therapy: A useful technique for enhancing the proliferation of various cultured cells. Lasers Med. Sci. 2012, 27, 237–249. [Google Scholar] [CrossRef] [PubMed]
- Rola, P.; Włodarczak, S.; Lesiak, M.; Doroszko, A.; Włodarczak, A. Changes in Cell Biology under the Influence of Low-Level Laser Therapy. Photonics 2022, 9, 502. [Google Scholar] [CrossRef]
- Jia, J.; Wang, M.; Ma, Y.; Meng, J.; Zhu, D.; Chen, X.; Shi, H.; Sun, Y.; Liu, H.; Cheng, X.; et al. Neutrophil extracellular trap-induced intermediate monocytes trigger macrophage activation syndrome in adult-onset Still’s disease. BMC Med. 2023, 21, 507. [Google Scholar] [CrossRef] [PubMed]
- Hamblin, M.R. Mechanisms and applications of the anti-inflammatory effects of photobiomodulation. AIMS Biophys. 2017, 4, 337–361. [Google Scholar] [CrossRef]
- Gomes, L.E.; Dalmarco, E.M.; André, E.S. The brain-derived neurotrophic factor, nerve growth factor, neurotrophin-3, and induced nitric oxide synthase expressions after low-level laser therapy in an axonotmesis experimental model. Photomed. Laser Surg. 2012, 30, 642–647. [Google Scholar] [CrossRef]






| Wavelength (nm) | Power (mW) | Tip Diameter (mm) | Power Density (W/cm2) | Time of Irradiation (s) | Energy Density (J/cm2) |
|---|---|---|---|---|---|
| 808 | 250 | 8 | 0.4 | 20 | 8 |
| 660 | 150 | 8 | 0.25 | 32 | 8 |
| 808 + 660 | 250 + 150 | 8 | 0.4 + 0.25 | 10 + 16 | 4 + 4 |
| 808 + 660 | 250 + 150 | 8 | 0.4 + 0.25 | 20 + 32 | 8 + 8 |
| Congestion Scores | Edema Scores | ||||||
|---|---|---|---|---|---|---|---|
| Mean | Standard Deviation | p Value | Mean | Standard Deviation | p Value | ||
| Groups | Control | 0.00 a | 0.00 | <0.001 | 0.00 a | 0.00 | <0.001 |
| No laser therapy | 2.40 b | 0.89 | 2.67 b | 0.52 | |||
| 808 nm (8 J/cm2) | 1.40 b | 0.55 | 2.17 bc | 0.41 | |||
| 660 nm (8 J/cm2) | 2.00 b | 0.71 | 1.17 c | 0.41 | |||
| 808 + 660 nm (4 J/cm2 + 4 J/cm2) | 0.80 a | 0.45 | 1.17 c | 0.41 | |||
| 808 + 660 nm (8 J/cm2 + 8 J/cm2) | 0.40 a | 0.55 | 0.33 a | 0.52 | |||
| Degenerative Changes of the Nerve Fibers Scores | Number of Blood Vessels Scores | ||||||
|---|---|---|---|---|---|---|---|
| Mean | Standard Deviation | p Value | Mean | Standard Deviation | p Value | ||
| Groups | Control | 0.00 a | 0.00 | <0.001 | 0.00 a | 0.00 | <0.001 |
| No laser therapy | 2.50 b | 0.55 | 2.50 b | 0.55 | |||
| 808 nm (8 J/cm2) | 1.83 b | 0.41 | 1.50 b | 0.55 | |||
| 660 nm (8 J/cm2) | 1.83 b | 0.41 | 0.50 b | 0.55 | |||
| 808 + 660 nm (4 J/cm2 + 4 J/cm2) | 1.33 b | 0.52 | 0.00 a | 0.00 | |||
| 808 + 660 nm (8 J/cm2 + 8 J/cm2) | 0.17 a | 0.41 | 0.00 a | 0.00 | |||
| Schwann Cells Degenerative Changes Score | Accumulation of Schwann Cells Score | ||||||
|---|---|---|---|---|---|---|---|
| Mean | Standard Deviation | p Value | Mean | Standard Deviation | p Value | ||
| Groups | Control | 0.00 a | 0.00 | <0.001 | 0.00 a | 0.00 | <0.001 |
| No laser therapy | 2.50 b | 0.55 | 2.17 b | 1.17 | |||
| 808 nm (8 J/cm2) | 1.83 b | 0.41 | 1.33 b | 1.03 | |||
| 660 nm (8 J/cm2) | 1.80 b | 0.41 | 0.33 a | 0.52 | |||
| 808 + 660 nm (4 J/cm2 + 4 J/cm2) | 1.33 b | 0.52 | 0.33 a | 0.52 | |||
| 808 + 660 nm (8 J/cm2 + 8 J/cm2) | 0.17 a | 0.41 | 0.17 a | 0.41 | |||
| Neutrophil | Lymphocyte | Macrophage | Mast Cell | ||||||||||
|---|---|---|---|---|---|---|---|---|---|---|---|---|---|
| Mean | Standard Deviation | p Value | Mean | Standard Deviation | p Value | Mean | Standard Deviation | p Value | Mean | Standard Deviation | p Value | ||
| Groups | Control | 0.00 a | 0.00 | <0.001 | 0.00 a | 0.00 | <0.001 | 0.00 a | 0.00 | <0.001 | 0.00 a | 0.00 a | <0.001 |
| No laser therapy | 1.67 b | 1.21 | 3.50 b | 5.47 | 2.17 b | 0.75 | 0.00 a | 0.00 a | |||||
| 808 nm (8 J/cm2) | 1.00 b | 1.10 | 1.17 b | 1.17 | 0.50 a | 0.84 | 0.17 b | 0.41 b | |||||
| 660 nm (8 J/cm2) | 0.17 b | 0.41 | 0.98 b | 1.1 | 0.50 a | 0.84 | 0.17 b | 0.41 b | |||||
| 808 + 660 nm (4 J/cm2 + 4 J/cm2) | 0.50 b | 0.84 | 0.87 b | 0.41 | 0.17 a | 0.41 | 0.00 a | 0.00 a | |||||
| 808 + 660 nm (8 J/cm2 + 8 J/cm2) | 0.33 b | 0.52 | 0.33 b | 0.52 | 0.17 a | 0.41 | 0.00 a | 0.00 a | |||||
| Number of Myelinated Fibers | ||||
|---|---|---|---|---|
| Mean | Standard Deviation | p Value | ||
| Groups | Control | 1.00 a | 0.00 | <0.001 |
| No laser therapy | 0.17 b | 0.41 | ||
| 808 nm (8 J/cm2) | 0.50 a | 0.55 | ||
| 660 nm (8 J/cm2) | 0.50 a | 0.55 | ||
| 808 + 660 nm (4 J/cm2 + 4 J/cm2) | 0.67 a | 0.52 | ||
| 808 + 660 nm (8 J/cm2 + 8 J/cm2) | 0.83 a | 0.41 | ||
Disclaimer/Publisher’s Note: The statements, opinions and data contained in all publications are solely those of the individual author(s) and contributor(s) and not of MDPI and/or the editor(s). MDPI and/or the editor(s) disclaim responsibility for any injury to people or property resulting from any ideas, methods, instructions or products referred to in the content. |
© 2024 by the authors. Licensee MDPI, Basel, Switzerland. This article is an open access article distributed under the terms and conditions of the Creative Commons Attribution (CC BY) license (https://creativecommons.org/licenses/by/4.0/).
Share and Cite
Hajesmaelzade, E.; Mohammadi, M.; Kakooei, S.; Solimei, L.; Benedicenti, S.; Chiniforush, N. Efficacy of Photobiomodulation Therapy Utilizing 808 nm and 660 nm Alone and in Combination for Treatment of Paresthesia in Rats. Biomedicines 2025, 13, 65. https://doi.org/10.3390/biomedicines13010065
Hajesmaelzade E, Mohammadi M, Kakooei S, Solimei L, Benedicenti S, Chiniforush N. Efficacy of Photobiomodulation Therapy Utilizing 808 nm and 660 nm Alone and in Combination for Treatment of Paresthesia in Rats. Biomedicines. 2025; 13(1):65. https://doi.org/10.3390/biomedicines13010065
Chicago/Turabian StyleHajesmaelzade, Ehsan, Mohammad Mohammadi, Sina Kakooei, Luca Solimei, Stefano Benedicenti, and Nasim Chiniforush. 2025. "Efficacy of Photobiomodulation Therapy Utilizing 808 nm and 660 nm Alone and in Combination for Treatment of Paresthesia in Rats" Biomedicines 13, no. 1: 65. https://doi.org/10.3390/biomedicines13010065
APA StyleHajesmaelzade, E., Mohammadi, M., Kakooei, S., Solimei, L., Benedicenti, S., & Chiniforush, N. (2025). Efficacy of Photobiomodulation Therapy Utilizing 808 nm and 660 nm Alone and in Combination for Treatment of Paresthesia in Rats. Biomedicines, 13(1), 65. https://doi.org/10.3390/biomedicines13010065

