Coexisting Congenital Mesoblastic Nephroma and Lissencephaly: Unique Case Report with Pathological Analysis and Its Clinical Significance
Abstract
1. Introduction
2. Case Report
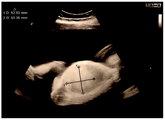
2.1. Clinical Presentation
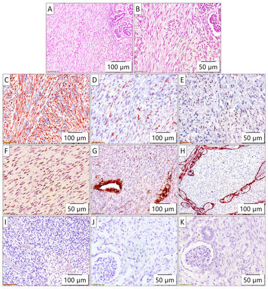
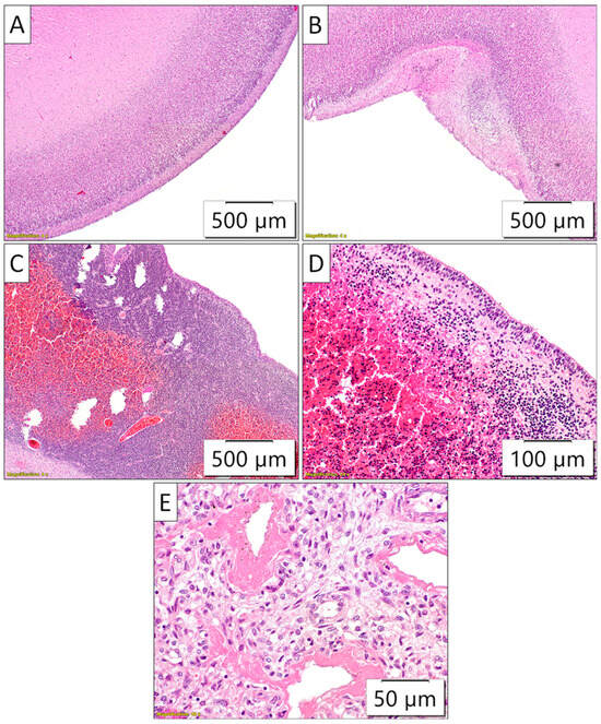
2.2. Autopsy Findings
2.3. Genetic Testing
3. Discussion
4. Conclusions
Author Contributions
Funding
Institutional Review Board Statement
Informed Consent Statement
Data Availability Statement
Acknowledgments
Conflicts of Interest
References
- Wang, Z.P.; Li, K.; Dong, K.R.; Xiao, X.M.; Zheng, S. Congenital Mesoblastic Nephroma: Clinical Analysis of Eight Cases and a Review of the Literature. Oncol. Lett. 2014, 8, 2007–2011. [Google Scholar] [CrossRef] [PubMed]
- Gooskens, S.L.; Houwing, M.E.; Vujanic, G.M.; Dome, J.S.; Diertens, T.; Coulomb-l’Herminé, A.; Godzinski, J.; Pritchard-Jones, K.; Graf, N.; van den Heuvel-Eibrink, M.M. Congenital Mesoblastic Nephroma 50 Years after Its Recognition: A Narrative Review. Pediatr. Blood Cancer 2017, 64, e26437. [Google Scholar] [CrossRef] [PubMed]
- Whittle, S.; Gosain, A.; Scott Brown, P.Y.; Debelenko, L.; Raimondi, S.; Wilimas, J.A.; Jenkins, J.J.; Davidoff, A.M. Regression of a Congenital Mesoblastic Nephroma. Pediatr. Blood Cancer 2010, 55, 364–368. [Google Scholar] [CrossRef] [PubMed]
- Soyaltın, E.; Alaygut, D.; Alparslan, C.; Özdemir, T.; Çamlar, S.A.; Mutlubaş, F.; Kasap-Demir, B.; Yavaşcan, Ö. A Rare Cause of Neonatal Hypertension: Congenital Mesoblastic Nephroma. Turk. J. Pediatr. 2018, 60, 198–200. [Google Scholar] [CrossRef]
- Won, H.S.; Jung, E.; Lee, P.R.; Lee, I.S.; Kim, A.; Kim, J.K.; Cho, K.S.; Nam, J.H. Prenatal Detection of Mesoblastic Nephroma by Sonography and Magnetic Resonance Imaging. Ultrasound Obstet. Gynecol. 2002, 19, 197–199. [Google Scholar] [CrossRef]
- Tongsong, T.; Palangmonthip, W.; Chankhunaphas, W.; Luewan, S. Prenatal Course and Sonographic Features of Congenital Mesoblastic Nephroma. Diagnostics 2022, 12, 1951. [Google Scholar] [CrossRef]
- Goldstein, I.; Shoshani, G.; Ben-Harus, E.; Sujov, P. Prenatal Diagnosis of Congenital Mesoblastic Nephroma. Ultrasound Obstet. Gynecol. 2002, 19, 209–211. [Google Scholar] [CrossRef]
- Spalice, A.; Parisi, P.; Nicita, F.; Pizzardi, G.; Del Balzo, F.; Iannetti, P. Neuronal Migration Disorders: Clinical, Neuroradiologic and Genetics Aspects. Acta Paediatr. 2009, 98, 421–433. [Google Scholar] [CrossRef]
- Friocourt, G.; Marcorelles, P.; Saugier-Veber, P.; Quille, M.-L.; Marret, S.; Laquerrière, A. Role of Cytoskeletal Abnormalities in the Neuropathology and Pathophysiology of Type I Lissencephaly. Acta Neuropathol. 2011, 121, 149–170. [Google Scholar] [CrossRef]
- Tonni, G.; Pattacini, P.; Bonasoni, M.P.; Araujo Júnior, E. Prenatal Diagnosis of Lissencephaly Type 2 Using Three-Dimensional Ultrasound and Fetal MRI: Case Report and Review of the Literature. Rev. Bras. Ginecol. Obstet. 2016, 38, 201–206. [Google Scholar] [CrossRef]
- Bolande, R.P.; Brough, A.J.; Izant, R.J. Congenital Mesoblastic Nephroma of Infancy. A Report of Eight Cases and the Relationship to Wilms’ Tumor. Pediatrics 1967, 40, 272–278. [Google Scholar] [CrossRef] [PubMed]
- Furtwaengler, R.; Reinhard, H.; Leuschner, I.; Schenk, J.P.; Goebel, U.; Claviez, A.; Kulozik, A.; Zoubek, A.; von Schweinitz, D.; Graf, N.; et al. Mesoblastic Nephroma—A Report from the Gesellschaft Fur Pädiatrische Onkologie Und Hämatologie (GPOH). Cancer 2006, 106, 2275–2283. [Google Scholar] [CrossRef] [PubMed]
- Mata, R.P.; Alves, T.; Figueiredo, A.; Santos, A. Prenatal Diagnosis of Congenital Mesoblastic Nephroma: A Case with Poor Prognosis. BMJ Case Rep. 2019, 12, e230297. [Google Scholar] [CrossRef] [PubMed]
- Che, M.; Yang, F.; Huang, H.; Zhang, H.; Han, C.; Sun, N. Prenatal Diagnosis of Fetal Congenital Mesoblastic Nephroma by Ultrasonography Combined with MR Imaging. Medicine 2021, 100, e24034. [Google Scholar] [CrossRef]
- Ko, S.; Kim, M.-J.; Im, Y.-J.; Park, K.-I.; Lee, M.-J. Cellular Mesoblastic Nephroma with Liver Metastasis in a Neonate: Prenatal and Postnatal Diffusion-Weighted MR Imaging. Korean J. Radiol. 2013, 14, 361–365. [Google Scholar] [CrossRef]
- Schild, R.L.; Plath, H.; Hofstaetter, C.; Hansmann, M. Diagnosis of a Fetal Mesoblastic Nephroma by 3D-Ultrasound. Ultrasound Obstet. Gynecol. 2000, 15, 533–536. [Google Scholar] [CrossRef]
- Kim, C.H.; Kim, Y.H.; Cho, M.K.; Kim, K.M.; Ha, J.A.; Joo, E.H.; Kim, S.M.; Song, T.-B. A Case of Fetal Congenital Mesoblastic Nephroma with Oligohydramnios. J. Korean Med. Sci. 2007, 22, 357–361. [Google Scholar] [CrossRef]
- Dos Santos, L.G.; Carvalho, J.S.R.; Reis, M.A.; Sales, R.L.J.B. Cellular Congenital Mesoblastic Nephroma: Case Report. J. Bras. Nefrol. 2011, 33, 109–112. [Google Scholar]
- Robertson-Bell, T.; Newberry, D.M.; Jnah, A.J.; DeMeo, S.D. Congenital Mesoblastic Nephroma Presenting with Refractory Hypertension in a Premature Neonate: A Case Study. Neonatal. Netw. 2017, 36, 32–39. [Google Scholar] [CrossRef]
- Anakievski, D.; Ivanova, P.; Kitanova, M. Laparoscopic Management of Congenital Mesoblastic Nephroma-Case Report. Urol. Case Rep. 2019, 26, 100979. [Google Scholar] [CrossRef]
- Do, A.Y.; Kim, J.-S.; Choi, S.-J.; Oh, S.-Y.; Roh, C.-R.; Kim, J.-H. Prenatal Diagnosis of Congenital Mesoblastic Nephroma. Obstet. Gynecol. Sci. 2015, 58, 405–408. [Google Scholar] [CrossRef] [PubMed]
- Simkhada, A.; Paudel, R.; Sharma, N. Congenital Mesoblastic Nephroma: A Case Report. JNMA J. Nepal. Med. Assoc. 2023, 61, 259–262. [Google Scholar] [CrossRef] [PubMed]
- Liu, T.; Al-Kzayer, L.F.Y.; Sarsam, S.N.; Chen, L.; Saeed, R.M.; Ali, K.H.; Nakazawa, Y. Cellular Congenital Mesoblastic Nephroma Detected by Prenatal MRI: A Case Report and Literature Review. Transl. Pediatr. 2022, 11, 163–173. [Google Scholar] [CrossRef] [PubMed]
- Zhang, X.; Zhang, H.; Wang, S.; Gao, Y.; Liang, L.; Yang, H. Prenatal Diagnosis and Postnatal Management of Congenital Mesoblastic Nephroma: A Case Report and Literature Review. Front. Pediatr. 2022, 10, 1040304. [Google Scholar] [CrossRef] [PubMed]
- Lei, L.; Stohr, B.A.; Berry, S.; Lockwood, C.M.; Davis, J.L.; Rudzinski, E.R.; Kunder, C.A. Recurrent EGFR alterations in NTRK3 fusion negative congenital mesoblastic nephroma. Pract. Lab. Med. 2020, 21, e00164. [Google Scholar] [CrossRef] [PubMed] [PubMed Central]
- Amatu, A.; Sartore-Bianchi, A.; Bencardino, K.; Pizzutilo, E.G.; Tosi, F.; Siena, S. Tropomyosin Receptor Kinase (TRK) Biology and the Role of NTRK Gene Fusions in Cancer. Ann. Oncol. 2019, 30, viii5–viii15. [Google Scholar] [CrossRef]
- Tognon, C.; Knezevich, S.R.; Huntsman, D.; Roskelley, C.D.; Melnyk, N.; Mathers, J.A.; Becker, L.; Carneiro, F.; MacPherson, N.; Horsman, D.; et al. Expression of the ETV6-NTRK3 Gene Fusion as a Primary Event in Human Secretory Breast Carcinoma. Cancer Cell 2002, 2, 367–376. [Google Scholar] [CrossRef]
- Majewska, H.; Skálová, A.; Stodulski, D.; Klimková, A.; Steiner, P.; Stankiewicz, C.; Biernat, W. Mammary Analogue Secretory Carcinoma of Salivary Glands: A New Entity Associated with ETV6 Gene Rearrangement. Virchows Arch. 2015, 466, 245–254. [Google Scholar] [CrossRef]
- Leeman-Neill, R.J.; Kelly, L.M.; Liu, P.; Brenner, A.V.; Little, M.P.; Bogdanova, T.I.; Evdokimova, V.N.; Hatch, M.; Zurnadzy, L.Y.; Nikiforova, M.N.; et al. ETV6-NTRK3 Is a Common Chromosomal Rearrangement in Radiation-Associated Thyroid Cancer. Cancer 2014, 120, 799–807. [Google Scholar] [CrossRef]
- Pachl, M.; Arul, G.S.; Jester, I.; Bowen, C.; Hobin, D.; Morland, B. Congenital Mesoblastic Nephroma: A Single-Centre Series. Ann. R. Coll. Surg. Engl. 2020, 102, 67–70. [Google Scholar] [CrossRef]
- Loesch, R.; Chenane, L.; Colnot, S. ARID2 Chromatin Remodeler in Hepatocellular Carcinoma. Cells 2020, 9, 2152. [Google Scholar] [CrossRef] [PubMed]
- Mittal, P.; Roberts, C.W.M. The SWI/SNF complex in cancer—Biology, biomarkers and therapy. Nat. Rev. Clin. Oncol. 2020, 17, 435–448. [Google Scholar] [CrossRef] [PubMed]
- Akinjiyan, F.A.; Nassief, G.; Phillipps, J.; Adeyelu, T.; Elliott, A.; Abdulla, F.; Zhou, A.Y.; Souroullas, G.; Kim, K.B.; Vanderwalde, A.; et al. ARID2 mutations may relay a distinct subset of cutaneous melanoma patients with different outcomes. Sci. Rep. 2024, 14, 3444. [Google Scholar] [CrossRef] [PubMed]
- Mo, A.; Snyder, L.G.; Babington, O.; Chung, W.K.; Sahin, M.; Srivastava, S. Neurodevelopmental profile of HIVEP2-related disorder. Dev. Med. Child. Neurol. 2022, 64, 654–661. [Google Scholar] [CrossRef] [PubMed]
- Srivastava, S.; Engels, H.; Schanze, I.; Cremer, K.; Wieland, T.; Menzel, M.; Schubach, M.; Biskup, S.; Kreiß, M.; Endele, S.; et al. Loss-of-function variants in HIVEP2 are a cause of intellectual disability. Eur. J. Hum. Genet. 2016, 24, 556–561. [Google Scholar] [CrossRef]
- Steinfeld, H.; Cho, M.T.; Retterer, K.; Person, R.; Schaefer, G.B.; Danylchuk, N.; Malik, S.; Wechsler, S.B.; Wheeler, P.G.; van Gassen, K.L.; et al. Mutations in HIVEP2 are associated with developmental delay, intellectual disability, and dysmorphic features. Neurogenetics 2016, 17, 159–164. [Google Scholar] [CrossRef]
- Quental, R.; Borges, J.P.; Santos, H.; Leão, M. Expanding the Phenotypic Spectrum of HIVEP2-Related Intellectual Disability: Description of Two Portuguese Patients and Review of the Literature. Mol. Syndromol. 2022, 13, 397–401. [Google Scholar] [CrossRef]
- Pezzella, N.; Bove, G.; Tammaro, R.; Franco, B. OFD1: One gene, several disorders. Am. J. Med. Genet. C Semin. Med. Genet. 2022, 190, 57–71. [Google Scholar] [CrossRef]
- Bisschoff, I.J.; Zeschnigk, C.; Horn, D.; Wellek, B.; Rieß, A.; Wessels, M.; Willems, P.; Jensen, P.; Busche, A.; Bekkebraten, J.; et al. Novel mutations including deletions of the entire OFD1 gene in 30 families with type 1 orofaciodigital syndrome: A study of the extensive clinical variability. Hum. Mutat. 2013, 34, 237–247. [Google Scholar] [CrossRef]
- Williams, F.; Griffiths, P.D. In Utero MR Imaging in Fetuses at High Risk of Lissencephaly. Br. J. Radiol. 2017, 90, 20160902. [Google Scholar] [CrossRef]
- Keeling, J.W.; Khong, T.Y. (Eds.) The Perinatal Necroscopy. In Fetal and Neonatal Pathology, 4th ed.; Springer Science & Business Media: London, UK, 2009; pp. 30–37. [Google Scholar] [CrossRef]
- Tallinen, T.; Chung, J.Y.; Rousseau, F.; Girard, N.; Lefèvre, J.; Mahadevan, L. On the growth and form of cortical convolutions. Nat. Phys. 2016, 12, 588–593. [Google Scholar] [CrossRef]





Disclaimer/Publisher’s Note: The statements, opinions and data contained in all publications are solely those of the individual author(s) and contributor(s) and not of MDPI and/or the editor(s). MDPI and/or the editor(s) disclaim responsibility for any injury to people or property resulting from any ideas, methods, instructions or products referred to in the content. |
© 2025 by the authors. Licensee MDPI, Basel, Switzerland. This article is an open access article distributed under the terms and conditions of the Creative Commons Attribution (CC BY) license (https://creativecommons.org/licenses/by/4.0/).
Share and Cite
Zakić, H.; Kontić Vučinić, O.; Stamenković, J.; Jevtić, J.; Perišić Mitrović, M.; Životić, M. Coexisting Congenital Mesoblastic Nephroma and Lissencephaly: Unique Case Report with Pathological Analysis and Its Clinical Significance. Biomedicines 2025, 13, 196. https://doi.org/10.3390/biomedicines13010196
Zakić H, Kontić Vučinić O, Stamenković J, Jevtić J, Perišić Mitrović M, Životić M. Coexisting Congenital Mesoblastic Nephroma and Lissencephaly: Unique Case Report with Pathological Analysis and Its Clinical Significance. Biomedicines. 2025; 13(1):196. https://doi.org/10.3390/biomedicines13010196
Chicago/Turabian StyleZakić, Hristina, Olivera Kontić Vučinić, Jelena Stamenković, Jovan Jevtić, Milena Perišić Mitrović, and Maja Životić. 2025. "Coexisting Congenital Mesoblastic Nephroma and Lissencephaly: Unique Case Report with Pathological Analysis and Its Clinical Significance" Biomedicines 13, no. 1: 196. https://doi.org/10.3390/biomedicines13010196
APA StyleZakić, H., Kontić Vučinić, O., Stamenković, J., Jevtić, J., Perišić Mitrović, M., & Životić, M. (2025). Coexisting Congenital Mesoblastic Nephroma and Lissencephaly: Unique Case Report with Pathological Analysis and Its Clinical Significance. Biomedicines, 13(1), 196. https://doi.org/10.3390/biomedicines13010196

