Basal Cell Carcinoma: Comprehensive Review with Emphasis on Scar Tissue Manifestation and Post-Vaccination Incidence
Abstract
1. Introduction
2. Etiology, Pathogenesis, and Clinical Observations: Investigating the Multifaceted Aspects of Basal Cell Carcinoma
3. Basal Cell Carcinoma Arising upon Scar Tissue
4. Clinical Features of BCC
5. Dermoscopy Findings
6. Histologic Features
7. Treatment
Author Contributions
Funding
Institutional Review Board Statement
Informed Consent Statement
Data Availability Statement
Conflicts of Interest
References
- Chlebicka, I.; Stefaniak, A.; Matusiak, Ł.; Szepietowski, J.C. Basal Cell Carcinoma: What New Can Be Learned about the Most Common Human Cancer? A Cross-Sectional Prospective Study of 180 Cases in a Single Centre. Postepy Dermatol. Alergol. 2021, 38, 1086–1091. [Google Scholar] [CrossRef] [PubMed]
- Bichakjian, C.K.; Olencki, T.; Aasi, S.Z.; Alam, M.; Andersen, J.S.; Berg, D.; Bowen, G.M.; Cheney, R.T.; Daniels, G.A.; Glass, L.F.; et al. Basal Cell Skin Cancer, Version 1.2016: Clinical Practice Guidelines in Oncology. JNCCN J. Natl. Compr. Cancer Netw. 2016, 14, 574–597. [Google Scholar] [CrossRef] [PubMed]
- Chlebicka, I.; Jastrząb, B.; Stefaniak, A.; Szepietowski, J. Basal Cell Carcinoma Secondary to Trauma: A 3-Year Experience of the Single Center. Adv. Clin. Exp. Med. 2021, 30, 83–86. [Google Scholar] [CrossRef] [PubMed]
- Choudhry, Z.; Rikani, A.A.; Choudhry, A.M.; Tariq, S.; Zakaria, F.; Asghar, M.W.; Sarfraz, M.K.; Haider, K.; Shafiq, A.A.; Mobassarah, N.J. Sonic Hedgehog Signalling Pathway: A Complex Network. Ann. Neurosci. 2014, 21, 28–31. [Google Scholar] [CrossRef]
- Briscoe, J.; Thérond, P.P. The Mechanisms of Hedgehog Signalling and Its Roles in Development and Disease. Nat. Rev. Mol. Cell Biol. 2013, 14, 416–429. [Google Scholar] [CrossRef] [PubMed]
- McDaniel, B.; Bermudez, R. Epitheliomas, Basal Cell; StatPearls: Boston, MA, USA, 2018; Volume 2. [Google Scholar]
- Jiang, J. Hedgehog Signaling Mechanism and Role in Cancer. Semin. Cancer Biol. 2022, 85, 107–122. [Google Scholar] [CrossRef]
- Łasińska, I.; Zielińska, A.; Mackiewicz, J.; Souto, E.B. Basal Cell Carcinoma: Pathology, Current Clinical Treatment, and Potential Use of Lipid Nanoparticles. Cancers 2022, 14, 2778. [Google Scholar] [CrossRef]
- Bakshi, A.; Chaudhary, S.C.; Rana, M.; Elmets, C.A.; Athar, M. Basal Cell Carcinoma Pathogenesis and Therapy Involving Hedgehog Signaling and Beyond. Mol. Carcinog. 2017, 56, 2543–2557. [Google Scholar] [CrossRef]
- Dika, E.; Scarfì, F.; Ferracin, M.; Broseghini, E.; Marcelli, E.; Bortolani, B.; Campione, E.; Riefolo, M.; Ricci, C.; Lambertini, M. Basal Cell Carcinoma: A Comprehensive Review. Int. J. Mol. Sci. 2020, 21, 5572. [Google Scholar] [CrossRef]
- Evans, D.G.; Oudit, D.; Smith, M.J.; Rutkowski, D.; Allan, E.; Newman, W.G.; Lear, J.T. First Evidence of Genotype-Phenotype Correlations in Gorlin Syndrome. J. Med. Genet. 2017, 54, 530–536. [Google Scholar] [CrossRef]
- Pietrobono, S.; Gagliardi, S.; Stecca, B. Non-Canonical Hedgehog Signaling Pathway in Cancer: Activation of GLI Transcription Factors beyond Smoothened. Front. Genet. 2019, 10, 556. [Google Scholar] [CrossRef] [PubMed]
- Pellegrini, C.; Maturo, M.G.; Di Nardo, L.; Ciciarelli, V.; Gutiérrez García-Rodrigo, C.; Fargnoli, M.C. Understanding the Molecular Genetics of Basal Cell Carcinoma. Int. J. Mol. Sci. 2017, 18, 2485. [Google Scholar] [CrossRef] [PubMed]
- Abe, Y.; Oda-Sato, E.; Tobiume, K.; Kawauchi, K.; Taya, Y.; Okamoto, K.; Oren, M.; Tanaka, N. Hedgehog Signaling Overrides P53-Mediated Tumor Suppression by Activating Mdm2. Proc. Natl. Acad. Sci. USA 2008, 105, 4838–4843. [Google Scholar] [CrossRef] [PubMed]
- Wei, L.; Xu, Z. Cross-Signaling among Phosphinositide-3 Kinase, Mitogenactivated Protein Kinase and Sonic Hedgehog Pathways Exists in Esophageal Cancer. Int. J. Cancer 2011, 129, 275–284. [Google Scholar] [CrossRef] [PubMed]
- Kaporis, H.G.; Guttman-Yassky, E.; Lowes, M.A.; Haider, A.S.; Fuentes-Duculan, J.; Darabi, K.; Whynot-Ertelt, J.; Khatcherian, A.; Cardinale, I.; Novitskaya, I.; et al. Human Basal Cell Carcinoma Is Associated with Foxp3+ T Cells in a Th2 Dominant Microenvironment. J. Investig. Dermatol. 2007, 127, 2391–2398. [Google Scholar] [CrossRef] [PubMed]
- Tjiu, J.W.; Chen, J.S.; Shun, C.T.; Lin, S.J.; Liao, Y.H.; Chu, C.Y.; Tsai, T.F.; Chiu, H.C.; Dai, Y.S.; Inoue, H.; et al. Tumor-Associated Macrophage-Induced Invasion and Angiogenesis of Human Basal Cell Carcinoma Cells by Cyclooxygenase-2 Induction. J. Investig. Dermatol. 2009, 129, 1016–1025. [Google Scholar] [CrossRef] [PubMed]
- Westin, A.T.; Gardinassi, L.G.; Soares, E.G.; Da Silva, J.S.; Donadi, E.A.; Da Silva Souza, C. HLA-G, Cytokines, and Cytokine Receptors in the Non-Aggressive Basal Cell Carcinoma Microenvironment. Arch. Dermatol. Res. 2022, 314, 247–256. [Google Scholar] [CrossRef] [PubMed]
- Jee, S.H.; Shen, S.C.; Chiu, H.C.; Tsai, W.L.; Kuo, M.L. Overexpression of Interleukin-6 in Human Basal Cell Carcinoma Cell Lines Increases Anti-Apoptotic Activity and Tumorigenic Potency. Oncogene 2001, 20, 198–208. [Google Scholar] [CrossRef] [PubMed]
- Chiang, E.; Stafford, H.; Buell, J.; Ramesh, U.; Amit, M.; Nagarajan, P.; Migden, M.; Yaniv, D. Review of the Tumor Microenvironment in Basal and Squamous Cell Carcinoma. Cancers 2023, 15, 2453. [Google Scholar] [CrossRef]
- Lesiak, A.; Czuwara, J.; Kamińska-Winciorek, G.; Kiprian, D.; Maj, J.; Owczarek, W.; Placek, W.; Rudnicka, L.; Rutkowski, P.; Sobjanek, M.; et al. Basal Cell Carcinoma. Diagnostic and Therapeutic Recommendations of the Polish Dermatological Society. Przegl. Dermatol. 2019, 106, 107–126. [Google Scholar] [CrossRef]
- David, H. Rudolf Virchow and Modern Aspects of Tumor Pathology. Pathol. Res. Pract. 1988, 183, 356–364. [Google Scholar] [CrossRef] [PubMed]
- Mueller, M.M. Inflammation in Epithelial Skin Tumours: Old Stories and New Ideas. Eur. J. Cancer 2006, 42, 735–744. [Google Scholar] [CrossRef] [PubMed]
- Wallingford, S.C.; Olsen, C.M.; Plasmeijer, E.; Green, A.C. Skin Cancer Arising in Scars: A Systematic Review. Dermatol. Surg. 2011, 37, 1239–1244. [Google Scholar] [CrossRef] [PubMed]
- Özyazgan, I.; Kontaş, O. Basal Cell Carcinoma Arising from Surgical Scars: A Case and Review of the Literature. Dermatol. Surg. 1999, 25, 965–968. [Google Scholar] [CrossRef] [PubMed]
- Kennaway, E.L.; Hieger, I. Carcinogenic Substances and Their Fluorescence Spectra. Br. Med. J. 1930, 1, 1044–1046. [Google Scholar] [CrossRef] [PubMed]
- Bagazgoitia, L.; Bea, S.; Santiago, J.L.; Cuevas, J.; Juarranz, Á.; Jaén, P. Multiple Basal Cell Carcinomas Arising on a Thermal-Burn Scar. Successful Treatment with Photodynamic Therapy. J. Eur. Acad. Dermatol. Venereol. 2009, 23, 459–461. [Google Scholar] [CrossRef] [PubMed]
- Marzuka, A.G.; Book, S.E. Basal Cell Carcinoma: Pathogenesis, Epidemiology, Clinical Features, Diagnosis, Histopathology, and Management. Yale J. Biol. Med. 2015, 88, 167–179. [Google Scholar] [PubMed]
- Khayyati Kohnehshahri, M.; Sarkesh, A.; Mohamed Khosroshahi, L.; HajiEsmailPoor, Z.; Aghebati-Maleki, A.; Yousefi, M.; Aghebati-Maleki, L. Current Status of Skin Cancers with a Focus on Immunology and Immunotherapy. Cancer Cell Int. 2023, 23, 174. [Google Scholar] [CrossRef] [PubMed]
- Ünverdi, Ö.F.; Yücel, S. Basal Cell Carcinomas in Trauma-Related Scar Tissue: A Rare Case Series. Adv. Skin. Wound Care 2020, 33, 1–3. [Google Scholar] [CrossRef]
- Wong, S.Y.; Reiter, J.F. Wounding Mobilizes Hair Follicle Stem Cells to Form Tumors. Proc. Natl. Acad. Sci. USA 2011, 108, 4093–4098. [Google Scholar] [CrossRef]
- Kasper, M.; Jaks, V.; Are, A.; Bergström, Å.; Schwäger, A.; Barker, N.; Toftgård, R. Wounding Enhances Epidermal Tumorigenesis by Recruiting Hair Follicle Keratinocytes. Proc. Natl. Acad. Sci. USA 2011, 108, 4099–4104. [Google Scholar] [CrossRef] [PubMed]
- Tyczyńska, K.; Szepietowska, M.; Krajewski, P.K.; Szepietowski, J.C. Basal Cell Carcinoma Arising within a Bacillus Calmette-Guerin Scar: Case Report and Literature Review. Acta Derm. Venereol. 2022, 102, adv00657. [Google Scholar] [CrossRef] [PubMed]
- Noodleman, F.R.; Pollack, S.V. Trauma as a Possible Etiologic Factor in Basal Cell Carcinoma. J. Dermatol. Surg. Oncol. 1986, 12, 841–846. [Google Scholar] [CrossRef] [PubMed]
- Özyazgan, I.; Kontaş, O. Previous Injuries or Scars as Risk Factors for the Development of Basal Cell Carcinoma. Scand. J. Plast. Reconstr. Surg. Hand Surg. 2004, 38, 11–15. [Google Scholar] [CrossRef] [PubMed]
- Hendricks, W.M. Basal Cell Carcinoma Arising in a Chickenpox Scar. Arch. Dermatol. 1980, 116, 1304–1305. [Google Scholar] [CrossRef] [PubMed]
- Hazelrigg, D.E. Basal Cell Epithelioma in a Vaccination Scar. Int. J. Dermatol. 1978, 17, 723–725. [Google Scholar] [CrossRef] [PubMed]
- Pace, A.; Degaetano, J. Basal Cell Carcinoma Developing in an Influenza Vaccine Scar. Australas. J. Dermatol. 2004, 45, 75–76. [Google Scholar] [CrossRef]
- Smith, V.H.; Soon, C.; Dharma, B.; Eltigani, E.A.; Bedlow, A.J.; Carr, R.C. Basal Cell Carcinomas Arising in Travel Vaccination Scars. Clin. Exp. Dermatol. 2008, 33, 515–516. [Google Scholar] [CrossRef] [PubMed]
- Ben-Hur, N.; Avni, J.; Neuman, Z. Basal Cell Carcinoma Following Bcg Vaccination. Report of Two Cases. Dis. Chest 1963, 44, 653–655. [Google Scholar] [CrossRef]
- Nielsen, T. Basal Cell Epithelioma in a BCG Vaccination Scar. Arch. Dermatol. 1979, 115, 678. [Google Scholar] [CrossRef]
- Braithwaite, I.J.; Miller, G.; Burd, A.R. Basal Cell Carcinoma in a BCG Scar in a Young Woman: Case Report. Scand. J. Plast. Reconstr. Surg. Hand Surg. 1992, 26, 233–234. [Google Scholar] [CrossRef] [PubMed]
- Polat, M.; Parlak, A.H.; Hasdemir, O.; Boran, Ç. Basal Cell Carcinoma in a Bacillus Calmette-Guérin Scar. Int. J. Dermatol. 2009, 48, 542–543. [Google Scholar] [CrossRef] [PubMed]
- Kluger, N.; Monthieu, J.Y.; Guillot, B. Basal Cell Carcinoma Arising in a Bacille Calmette-Guérin Vaccination Scar. Cutis 2012, 89, 137–139. [Google Scholar] [PubMed]
- Rubin, M.B. Red Scrotum Syndrome. Cutis; Cutan. Med. Pract. 1998, 61, 28D. [Google Scholar]
- Bostan, E.; Yel, B.; Gokoz, O. Nodular-Type Basal Cell Carcinoma with Dermoscopic Features Arising in a BCG Scar. J. Cosmet. Dermatol. 2022, 21, 4095–4096. [Google Scholar] [CrossRef] [PubMed]
- Naik, P.P.; Desai, M.B. Basal Cell Carcinoma: A Narrative Review on Contemporary Diagnosis and Management. Oncol. Ther. 2022, 10, 317–335. [Google Scholar] [CrossRef] [PubMed]
- Wolfram, D.; Tzankov, A.; Pülzl, P.; Piza-Katzer, H. Hypertrophic Scars and Keloids—A Review of Their Pathophysiology, Risk Factors, and Therapeutic Management. Dermatol. Surg. 2009, 35, 171–181. [Google Scholar] [CrossRef]
- Berman, B.; Maderal, A.; Raphael, B. Keloids and Hypertrophic Scars: Pathophysiology, Classification, and Treatment. Dermatol. Surg. 2017, 43, S3–S18. [Google Scholar] [CrossRef] [PubMed]
- Alam, M.; Armstrong, A.; Baum, C.; Bordeaux, J.S.; Brown, M.; Busam, K.J.; Eisen, D.B.; Iyengar, V.; Lober, C.; Margolis, D.J.; et al. Guidelines of Care for the Management of Cutaneous Squamous Cell Carcinoma. J. Am. Acad. Dermatol. 2018, 78, 560–578. [Google Scholar] [CrossRef]
- Rosendahl, C.; Cameron, A.; Argenziano, G.; Zalaudek, I.; Tschandl, P.; Kittler, H. Dermoscopy of Squamous Cell Carcinoma and Keratoacanthoma. Arch. Dermatol. 2012, 148, 1386–1392. [Google Scholar] [CrossRef]
- Escobar, G.F.; Ribeiro, C.K.; Leite, L.L.; Barone, C.R.; Cartell, A. Dermoscopy of Dermatofibrosarcoma Protuberans: What Do We Know? Dermatol. Pract. Concept. 2019, 9, 139–145. [Google Scholar] [CrossRef] [PubMed]
- Li, Y.; Wang, C.; Xiang, B.; Chen, S.; Li, L.; Ji, Y. Clinical Features, Pathological Findings and Treatment of Recurrent Dermatofibrosarcoma Protuberans. J. Cancer 2017, 8, 1319–1323. [Google Scholar] [CrossRef] [PubMed]
- Jaeger, T.; Ring, J.; Andres, C. Histological, Immunohistological, and Clinical Features of Merkel Cell Carcinoma in Correlation to Merkel Cell Polyomavirus Status. J. Skin. Cancer 2012, 2012, 983421. [Google Scholar] [CrossRef] [PubMed]
- Bichakjian, C.K.; Olencki, T.; Aasi, S.Z.; Alam, M.; Andersen, J.S.; Blitzblau, R.; Bowen, G.M.; Contreras, C.M.; Daniels, G.A.; Decker, R.; et al. Merkel Cell Carcinoma, Version 1.2018, NCCN Clinical Practice Guidelines in Oncology. J. Natl. Compr. Cancer Netw. 2018, 16, 742–774. [Google Scholar] [CrossRef] [PubMed]
- Pizzichetta, M.A.; Talamini, R.; Stanganelli, I.; Puddu, P.; Bono, R.; Argenziano, G.; Veronesi, A.; Trevisan, G.; Rabinovitz, H.; Soyer, H.P. Amelanotic/Hypomelanotic Melanoma: Clinical and Dermoscopic Features. Br. J. Dermatol. 2004, 150, 1117–1124. [Google Scholar] [CrossRef] [PubMed]
- Fischer, S.; Breuninger, H.; Metzler, G.; Hoffmann, J. Microcystic Adnexal Carcinoma: An Often Misdiagnosed, Locally Aggressive Growing Skin Tumor. J. Craniofacial Surg. 2005, 16, 53–58. [Google Scholar] [CrossRef] [PubMed]
- Costello, C.M.; Han, M.Y.; Severson, K.J.; Maly, C.J.; Yonan, Y.; Nelson, S.A.; Swanson, D.L.; Mangold, A.R. Dermoscopic Characteristics of Microcystic Adnexal Carcinoma, Desmoplastic Trichoepithelioma, and Morpheaform Basal Cell Carcinoma. Int. J. Dermatol. 2021, 60, E83–E84. [Google Scholar] [CrossRef] [PubMed]
- Patel, P.; Nawrocki, S.; Hinther, K.; Khachemoune, A. Trichoblastomas Mimicking Basal Cell Carcinoma: The Importance of Identification and Differentiation. Cureus 2020, 12, e8272. [Google Scholar] [CrossRef] [PubMed]
- Bourlond, F.; Battistella, M.; Amici, J.M.; Dousset, L.; Vergier, B.; Beylot-Barry, M.; Cribier, B. Clinicopathologic Analysis of Trichoblastoma and Comparison with Nodular Basal Cell Carcinoma. Ann. Dermatol. Venereol. 2021, 148, 177–182. [Google Scholar] [CrossRef] [PubMed]
- Mohammadi, A.A.; Seyed Jafari, S.M. Trichoepithelioma: A Rare but Crucial Dermatologic Issue. World J. Plast. Surg. 2014, 3, 142. [Google Scholar]
- Karimzadeh, I.; Namazi, M.R.; Karimzadeh, A. Trichoepithelioma: A Comprehensive Review. Acta Dermatovenerol. Croat. 2018, 26, 162–168. [Google Scholar] [PubMed]
- Segars, K.; Cooper, H.; Hogan, D.J.; Miller, R.; Heaphy, M.; Spencer, J. Basaloid Follicular Hamartoma: A Case Report and a Novel Cosmetic Treatment. J. Clin. Aesthetic Dermatol. 2018, 11, 39. [Google Scholar]
- Besagni, F.; Dika, E.; Ricci, C.; Misciali, C.; Veronesi, G.; Corti, B.; Gurioli, C.; Neri, I. Basaloid Follicular Hamartomas in Pediatric Basal Cell Nevus Syndrome: A Diagnostic Challenge. J. Dermatol. 2021, 48, 1101–1105. [Google Scholar] [CrossRef] [PubMed]
- Zhao, A.; Kedarisetty, S.; Arriola, A.G.P.; Isaacson, G. Pilomatrixoma and Its Imitators. Ear Nose Throat J. 2024, 103, 183–189. [Google Scholar] [CrossRef] [PubMed]
- Kervarrec, T.; Sohier, P.; Pissaloux, D.; de la Fouchardiere, A.; Cribier, B.; Battistella, M.; Macagno, N. Genetics of Adnexal Tumors: An Update. Ann. Dermatol. Venereol. 2023, 150, 202–207. [Google Scholar] [CrossRef] [PubMed]
- Moscarella, E.; Argenziano, G.; Longo, C.; Cota, C.; Ardigò, M.; Stigliano, V.; Mete, L.S.; Donati, P.; Piana, S.; Silipo, V.; et al. Clinical, Dermoscopic and Reflectance Confocal Microscopy Features of Sebaceous Neoplasms in Muir-Torre Syndrome. J. Eur. Acad. Dermatol. Venereol. 2013, 27, 699–705. [Google Scholar] [CrossRef] [PubMed]
- Ansai, S.I. Topics in Histopathology of Sweat Gland and Sebaceous Neoplasms. J. Dermatol. 2017, 44, 315–326. [Google Scholar] [CrossRef] [PubMed]
- Kyrmanidou, E.; Fotiadou, C.; Kemanetzi, C.; Trakatelli, M.G.; Trigoni, A.; Patsatsi, A.; Apalla, Z.; Lazaridou, E. Eccrine Poroma: Pathogenesis, New Diagnostic Tools and Association with Porocarcinoma—A Review. Diagnostics 2023, 13, 2689. [Google Scholar] [CrossRef] [PubMed]
- Eisen, D.B.; Asgari, M.M.; Bennett, D.D.; Connolly, S.M.; Dellavalle, R.P.; Freeman, E.E.; Goldenberg, G.; Leffell, D.J.; Peschin, S.; Sligh, J.E.; et al. Guidelines of Care for the Management of Actinic Keratosis. J. Am. Acad. Dermatol. 2021, 85, e209–e233. [Google Scholar] [CrossRef] [PubMed]
- Lee, J.H.; Won, C.Y.; Kim, G.M.; Kim, S.Y. Dermoscopic Features of Actinic Keratosis and Follow up with Dermoscopy: A Pilot Study. J. Dermatol. 2014, 41, 487–493. [Google Scholar] [CrossRef]
- Ungureanu, L.; Cosgarea, I.; Şenilǎ, S.; Vasilovici, A. Role of Dermoscopy in the Assessment of Basal Cell Carcinoma. Front. Med. 2021, 8, 718855. [Google Scholar] [CrossRef] [PubMed]
- Reiter, O.; Mimouni, I.; Dusza, S.; Halpern, A.C.; Leshem, Y.A.; Marghoob, A.A. Dermoscopic Features of Basal Cell Carcinoma and Its Subtypes: A Systematic Review. J. Am. Acad. Dermatol. 2021, 85, 653–664. [Google Scholar] [CrossRef] [PubMed]
- Trigoni, A.; Lazaridou, E.; Apalla, Z.; Vakirlis, E.; Chrysomallis, F.; Varytimiadis, D.; Ioannides, D. Dermoscopic Features in the Diagnosis of Different Types of Basal Cell Carcinoma: A Prospective Analysis. Hippokratia 2012, 16, 29–34. [Google Scholar] [PubMed]
- Halip, I.A.; Vâţă, D.; Statescu, L.; Salahoru, P.; Patraşcu, A.I.; Olinici, D.T.; Tarcau, B.; Popescu, I.A.; Mocanu, M.; Constantin, A.M.; et al. Assessment of Basal Cell Carcinoma Using Dermoscopy and High Frequency Ultrasound Examination. Diagnostics 2022, 12, 735. [Google Scholar] [CrossRef] [PubMed]
- Stephens, A.; Fraga-Braghiroli, N.; Oliviero, M.; Rabinovitz, H.; Scope, A. Spoke Wheel-like Structures in Superficial Basal Cell Carcinoma: A Correlation between Dermoscopy, Histopathology, and Reflective Confocal Microscopy. J. Am. Acad. Dermatol. 2013, 69, e219–e221. [Google Scholar] [CrossRef]
- Zhang, L.W.; Shen, X.; Fu, L.X.; Meng, H.M.; Lu, Y.H.; Chen, T.; Xu, R.H. Dermoscopy, Reflectance Confocal Microscopy, and High-Frequency Ultrasound for the Noninvasive Diagnosis of Morphea-Form Basal Cell Carcinoma. Skin Res. Technol. 2022, 28, 766. [Google Scholar] [CrossRef] [PubMed]
- Scrivener, Y.; Grosshans, E.; Cribier, B. Variations of Basal Cell Carcinomas According to Gender, Age, Location and Histopathological Subtype. Br. J. Dermatol. 2002, 147, 41–47. [Google Scholar] [CrossRef] [PubMed]
- Walling, H.W.; Fosko, S.W.; Geraminejad, P.A.; Whitaker, D.C.; Arpey, C.J. Aggressive Basal Cell Carcinoma: Presentation, Pathogenesis, and Management. Cancer Metastasis Rev. 2004, 23, 389–402. [Google Scholar] [CrossRef] [PubMed]
- Wade, T.R.; Ackerman, A.B. The Many Faces of Basal-Cell Carcinoma. J. Dermatol. Surg. Oncol. 1978, 4, 23–28. [Google Scholar] [CrossRef]
- Cameron, M.C.; Lee, E.; Hibler, B.P.; Barker, C.A.; Mori, S.; Cordova, M.; Nehal, K.S.; Rossi, A.M. Basal Cell Carcinoma: Epidemiology; Pathophysiology; Clinical and Histological Subtypes; and Disease Associations. J. Am. Acad. Dermatol. 2019, 80, 303–317. [Google Scholar] [CrossRef]
- Niculet, E.; Craescu, M.; Rebegea, L.; Bobeica, C.; Nastase, F.; Lupasteanu, G.; Stan, D.; Chioncel, V.; Anghel, L.; Lungu, M.; et al. Basal Cell Carcinoma: Comprehensive Clinical and Histopathological Aspects, Novel Imaging Tools and Therapeutic Approaches (Review). Exp. Ther. Med. 2021, 23, 60. [Google Scholar] [CrossRef] [PubMed]
- Wong, E.; Axibal, E.; Brown, M. Mohs Micrographic Surgery. Facial Plast. Surg. Clin. N. Am. 2019, 27, 609–612. [Google Scholar] [CrossRef] [PubMed]
- Lecluse, L.L.A.; Spuls, P.I. Photodynamic Therapy versus Topical Imiquimod versus Topical Fluorouracil for Treatment of Superficial Basal-Cell Carcinoma: A Single Blind, Non-Inferiority, Randomised Controlled Trial: A Critical Appraisal. Br. J. Dermatol. 2015, 172, 8–10. [Google Scholar] [CrossRef] [PubMed]
- Hernández-Machin, B.; Borrego, L.; Gil-garcía, M.; Hernández, B.H. Office-Based Radiation Therapy for Cutaneous Carcinoma: Evaluation of 710 Treatments. Int. J. Dermatol. 2007, 46, 453–459. [Google Scholar] [CrossRef] [PubMed]
- Zagrodnik, B.; Kempf, W.; Seifert, B.; Müller, B.; Burg, G.; Urosevic, M.; Dummer, R. Superficial Radiotherapy for Patients with Basal Cell Carcinoma. Cancer 2003, 98, 2708–2714. [Google Scholar] [CrossRef] [PubMed]
- Thissen, M.R.T.M.; Nieman, F.H.M.; Ideler, A.H.L.B.; Berretty, P.J.M.; Neumann, H.A.M. Cosmetic Results of Cryosurgery versus Surgical Excision for Primary Uncomplicated Basal Cell Carcinomas of the Head and Neck. Dermatol. Surg. 2000, 26, 759–764. [Google Scholar] [CrossRef] [PubMed]
- Kuijpers, D.I.M.; Thissen, M.R.T.M.; Berretty, P.J.M.; Ideler, F.H.L.B.; Nelemans, P.J.; Neumann, M.H.A.M. Surgical Excision versus Curettage plus Cryosurgery in the Treatment of Basal Cell Carcinoma. Dermatol. Surg. 2007, 33, 579–587. [Google Scholar] [CrossRef] [PubMed]
- Schmults, C.D.; Blitzblau, R.; Aasi, S.Z.; Alam, M.; Amini, A.; Bibee, K.; Bordeaux, J.; Chen, P.-L.; Contreras, C.M.; DiMaio, D.; et al. Basal Cell Skin Cancer, Version 2.2024, NCCN Clinical Practice Guidelines in Oncology. J. Natl. Compr. Cancer Netw. 2023, 21, 1181–1203. [Google Scholar] [CrossRef] [PubMed]
- Dummer, R.; Ascierto, P.A.; Basset-Seguin, N.; Dréno, B.; Garbe, C.; Gutzmer, R.; Hauschild, A.; Krattinger, R.; Lear, J.T.; Malvehy, J.; et al. Sonidegib and Vismodegib in the Treatment of Patients with Locally Advanced Basal Cell Carcinoma: A Joint Expert Opinion. J. Eur. Acad. Dermatol. Venereol. 2020, 34, 1944–1956. [Google Scholar] [CrossRef]
- Paradisi, A.; Piccerillo, A.; Bocchino, E.; Cappilli, S.; Ricci, C.; Di Stefani, A.; Peris, K. Surgery after Sonidegib Treatment Achieves Complete Response in Locally Advanced Basal Cell Carcinoma of the Face. J. Dermatol. 2024, 51, 106–109. [Google Scholar] [CrossRef]
- Dessinioti, C.; Stratigos, A.J. Immunotherapy and Its Timing in Advanced Basal Cell Carcinoma Treatment. Dermatol. Pract. Concept. 2023, 13, e2023252. [Google Scholar] [CrossRef] [PubMed]



| Clinical presentation | A 60-year-old Caucasian man was referred to the dermatosurgical unit for a diagnosis and surgical treatment of a nodular lesion developing in a BCC scar on his left arm. The lesion initially occurred two years before admission. The patient was vaccinated in childhood pursuant to the Polish recommended schedule. He had no history of radiation, excessive sun exposure or previous skin cancer. |
| Workup | The physical examination revealed an eroded nodule covered by crusts (Figure 2A). The dermoscopy revealed a central pinkish non-structural area with no visible vessels, few yellowish and dark grey globules, scales and positive “sticky fiber” signs (Figure 2B). |
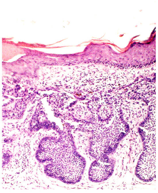
| Treatment and course | The lesion was surgically removed, and the subsequent histological examination revealed basaloid nests, elastosis and collagenous scar tissue. Histological and clinical correlation was consistent with a diagnosis of BCC occurring in a BCG scar (Figure 3). |
| Differential Diagnosis of BCC in Scar and Other Adnexal Neoplasms | Clinical Features | Dermoscopic Features | Histological Features | Source |
|---|---|---|---|---|
| BCC | Gradual growth translucent or pearly nodule primarily on sun-exposed regions of the skin frequently exhibiting telangiectasia, prone to ulceration or crusting translucent or pearly nodule | Blue-gray ovoid nests leaf-like areas with serpentine vessels central ulceration or erosion | Lobules of basaloid cells palisading of nuclei peripheral palisading increased mitotic activity. Tumor cells infiltrating scar tissue | [47] |
| Hypertrophic scar | Raised or flat, erythematous, and firm lesion limited to the confines of the initial wound | Homogeneous pinkish or reddish color lack of vascular structures | Elevated quantity of fibroblasts heightened concentration of collagen fibers within the dermal layer | [48,49] |
| Keloid | Purplish red firm, smooth, and raised, extending beyond the confines of the original injury | Homogeneous pinkish or reddish color lack of vascular structures | Spiral patterns and clusters of notably thick and uniform collagen bundles (dense fibrils), irregularly situated within the dermal region (known as keloidal collagen) | [48,49] |
| SCC arising in a scar | Gradually increasing, solid, skin-toned to red plaques or nodules exhibiting significant hyperkeratosis either ulceration or exophytic and infiltrative growth patterns | Keratinization, leading to prevalent white areas without distinct structures. Irregular clusters of white circles around hair follicles blood vessels exhibit diverse shapes, ranging from irregular round or coiled to looped, serpentine, branched, or showing polymorphic morphology | Clusters of squamous epithelial cells originate from the epidermis and progress into the dermal layers. Malignant cells typically exhibit large size, abundant eosinophilic cytoplasm, and frequently possess a sizable, often vesicle-filled nucleus. Variable forms of keratinization, such as the presence of keratin pearls | [50,51] |
| Dermatofibrosarcoma protuberans (DFSP) | Asymptomatic, infiltrative plaque with a violet, red-blue, or brownish hue and firm consistency exhibiting gradual growth, attaining dimensions of several centimeters in diameter | Pigmented reticular pattern. Unstructured regions displaying a light brown hue, distinct bright white streaks. Background coloration with a pinkish tone, and areas lacking structure, manifesting as either hypo- or depigmented | Spindle cells arranged in a storiform pattern. No palisading or mitotic activity infiltrative growth in the dermis | [52,53] |
| Merkel cell carcinoma (MCC) | Swift proliferation, absence of symptoms a firm consistency, a reddish-violet irregular nodule most commonly occurring in immune-suppressed individuals, older than 50 years of old, in UV-exposed fair skin | Milky red areas often coincide with linear, irregular vessels, red dots, a varied vascular pattern. the absence of pigmentation, blue-gray veiling, and the presence of white, structureless areas described as shiny or non-shiny streaks and globules | Composed of densely packed blue-hued cells typically centered within the dermal layer, it frequently extends into the overlying epidermis. often takes the form of sheets, occasionally nests, and seldom ribbons. lymphovascular invasion tends to be a common characteristic | [54,55] |
| Amelanotic melanoma | Asymmetrical macules, potentially displaying a uniform pink or red hue with a subtle light tan, brown, or grey pigmentation at their edges. The borders of these lesions might be either well-defined or unclear | Diverse range of vascular patterns—serpentine vessels, irregular linear vessels, pinpoint (dotted) vessels, and hairpin vessels concurrent presence of dotted and irregular linear vessels serves as a positive diagnostic indicator for amelanotic melanoma | Atypical melanocytes without pigment epithelioid or spindle cell morphology may have mitotic figures and nucleoli | [56] |
| Microcystic adnexal carcinoma (MAC) | Slow-growing, smooth, flesh-colored, or yellow-hued nodule found typically on the face or neck. perineural spread can occur in some cases, leading patients to report sensations like numbness, tingling, pain, burning, and itching | White, structureless areas with fine arborizing telangiectasias | Small basaloid cells or keratocysts primarily located at the surface, contributing to the term “microcystic”. Clusters and threads of basaloid epithelial cells showing duct-like structures, invading both the dermal and subdermal layers. | [57,58] |
| Trichoblastoma | Solitary, slow-growing nodule, often skin-colored or slightly pigmented and ulcerated; typically located on the scalp or neck | Non-specific; may present with blue-gray ovoid nests and white streaks; absence of arborizing vessels | Scant or absent mitotic activity; minimal or absent necrosis, lack of inflammatory infiltrate. absence of connection with the epidermis. myxoid stroma induction | [59,60] |
| Trichoepithelioma | Multiple, small, skin-colored papules; predominantly on the face; occasionally familial | Absence of large arborizing vessels; may show milia-like cysts and white streaks; less vascular features than BCC | Similar to trichoblastoma but often with horn cysts, calcifications, and more prominent follicular differentiation | [61,62] |
| Basaloid follicular hamartoma | Cysts, plaques or small skin-colored or pearly-translucent papules | Light brown pigmentation, and subtle blue-gray dots; typically lacks the ulceration and associated vascular structures seen in BCC | Anastomosing strands and cords of basaloid cells with hyperchromatic nuclei and scant cytoplasm; rare mitotic figures; minimal stroma; normal dermis between affected follicles | [63,64] |
| Pilomatricoma | Firm, solitary, and often deeply seated nodules; typically in children, commonly on the head and neck. Often exhibits the “tent sign” (stretched skin forming tent-like structure) and “teeter-totter sign” (pressing one edge causes the opposite edge to protrude) | White and yellow opaque areas, blue-gray granules, and peripheral vascular network; presence of “chalky” white structures | Well-demarcated lesion with basaloid and shadow cells, calcification, and ossification; can show variable keratinization | [65,66] |
| Sebaceous adenoma | Yellowish, lobulated papules or nodules, commonly on the face; may be associated with Muir–Torre syndrome | Loosely arranged yellow comedo-like globules and branching arborizing vessels (less vascular than BCC) | Lobulated architecture with mature sebaceous differentiation, basaloid germinative cells, and occasional mitotic figures | [67,68] |
| Eccrine poroma | Skin-colored, pink-red, or occasionally blue-black, solitary, firm papule, plaque, or nodule, sometimes with a rim. Smooth, shiny, scaly, verrucous, or papillomatous surface secondary ulceration and erosion | Vascular pattern with branching vessels, white streaks, and a polymorphous vascular pattern; may mimic BCC with arborizing vessels; however, the vascular structures appear less in focus. | Dermal nests of poroid cells with ductal differentiation; often showing a connection to the epidermis. | [66,69] |
| Actinic keratosis (AK) | Solitary, poorly defined, reddish macules or papules, characterized by a course scale. Often indistinct, potentially easier to feel while palpating than to visually discern | “Strawberry pattern”, featuring an erythematous vessel pseudo-network, noticeable follicular openings, and a white halo surrounding the lesion | Acanthosis, parakeratosis, dysplastic keratinocytes, varying levels of dermal soral elastosis | [70,71] |
Disclaimer/Publisher’s Note: The statements, opinions and data contained in all publications are solely those of the individual author(s) and contributor(s) and not of MDPI and/or the editor(s). MDPI and/or the editor(s) disclaim responsibility for any injury to people or property resulting from any ideas, methods, instructions or products referred to in the content. |
© 2024 by the authors. Licensee MDPI, Basel, Switzerland. This article is an open access article distributed under the terms and conditions of the Creative Commons Attribution (CC BY) license (https://creativecommons.org/licenses/by/4.0/).
Share and Cite
Knecht-Gurwin, K.; Stefaniak, A.A.; Chlebicka, I.; Szepietowski, J.C. Basal Cell Carcinoma: Comprehensive Review with Emphasis on Scar Tissue Manifestation and Post-Vaccination Incidence. Biomedicines 2024, 12, 1769. https://doi.org/10.3390/biomedicines12081769
Knecht-Gurwin K, Stefaniak AA, Chlebicka I, Szepietowski JC. Basal Cell Carcinoma: Comprehensive Review with Emphasis on Scar Tissue Manifestation and Post-Vaccination Incidence. Biomedicines. 2024; 12(8):1769. https://doi.org/10.3390/biomedicines12081769
Chicago/Turabian StyleKnecht-Gurwin, Klaudia, Aleksandra A. Stefaniak, Iwona Chlebicka, and Jacek C. Szepietowski. 2024. "Basal Cell Carcinoma: Comprehensive Review with Emphasis on Scar Tissue Manifestation and Post-Vaccination Incidence" Biomedicines 12, no. 8: 1769. https://doi.org/10.3390/biomedicines12081769
APA StyleKnecht-Gurwin, K., Stefaniak, A. A., Chlebicka, I., & Szepietowski, J. C. (2024). Basal Cell Carcinoma: Comprehensive Review with Emphasis on Scar Tissue Manifestation and Post-Vaccination Incidence. Biomedicines, 12(8), 1769. https://doi.org/10.3390/biomedicines12081769

