The Nephroprotective Effect of Nitric Oxide during Extracorporeal Circulation: An Experimental Study
Abstract
1. Introduction
2. Materials and Methods
2.1. Experimental Setting and Animal Preparation
2.2. Nitric Oxide Conditioning
- The applied dose of nitric oxide and the time of its exposure should be safe for patients;
- The applied dose of nitric oxide and the time of its exposure should be sufficient to provide potential protective effects.
2.3. Measured and Computed Variables
- Mitochondrial dysfunction:
- The mitochondrial transmembrane potential (Δψ) and the mitochondrial permeability transition pore (mPTP) state, as assessed via the mitochondrial calcium retention capacity (CRC);
- The concentrations of adenosine triphosphate (ATP) and lactate in the kidney biopsies of the experimental animals.
- Regulated cell death:
- The concentration of the apoptosis and necroptosis marker tumor necrosis factor α (TNF-228 α);
- The concentration of pyroptosis markers—nucleotide-binding oligomerization domain (NOD)-like receptor with a pyrin domain 3 (NLRP3) and gasdermin D (GSDMD);
- The concentration of the necroptosis marker receptor-interacting protein kinase 3 (RIPK3).
- Kidney injury:
- The concentration of neutrophil gelatinase–associated lipocalin (uNGAL);
- Diuresis;
- The severity of morphological changes in kidney biopsy specimens.
2.4. Statistical Analysis
3. Results
3.1. Safety, Metabolic Parameters, and Perioperative Nitric Oxide Homeostasis
3.2. The Functional State of Mitochondria
3.3. Regulated Cell Death
3.4. Kidney Protection
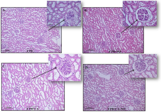
3.5. Histological Changes
4. Discussion
5. Conclusions
Supplementary Materials
Author Contributions
Funding
Institutional Review Board Statement
Informed Consent Statement
Data Availability Statement
Acknowledgments
Conflicts of Interest
Abbreviations
| AKI | acute kidney injury |
| ATP | adenosine triphosphate |
| CA | circulatory arrest |
| CPB | cardiopulmonary bypass |
| CRC | calcium retention capacity |
| CSA-AKI | cardiac surgery-associated acute kidney injury |
| DAMPs | damage-associated molecular patterns |
| GCI | glomerular–capsular index |
| GSDMD | gasdermin D |
| Hb | hemoglobin |
| Ht | hematocrit |
| KDIGO | Kidney Disease: Improving Global Outcomes |
| LEI | lumen–epithelial index |
| mPTP | mitochondrial permeability transition pore |
| NLRP3 | nucleotide-binding domain, leucine-rich–containing family, pyrin domain–containing-3 |
| NO | nitric oxide |
| NO2 | nitrite (nitrogen dioxide) |
| NO3 | nitrate |
| NOD | nucleotide-binding oligomerization domain |
| RIPK3 | receptor-interacting protein kinase 3 |
| RRT | renal replacement therapy |
| ScvO2 | venous oxygen saturation |
| TNF-α | tumor necrosis factor-α |
| uNGAL | Urinary Neutrophil Gelatinase-Associated Lipocalin |
| Δψ | mitochondrial transmembrane potential |
References
- Harky, A.; Joshi, M.; Gupta, S.; Teoh, W.Y.; Gatta, F.; Snosi, M. Acute kidney injury associated with cardiac surgery: A comprehensive literature review. Braz. J. Cardiovasc. Surg. 2020, 35, 211–224. [Google Scholar] [CrossRef]
- Peng, K.; McIlroy, D.R.; Bollen, B.A.; Billings, F.T.; Zarbock, A.; Popescu, W.M.; Fox, A.A.; Shore-Lesserson, L.; Zhou, S.; Geube, M.A.; et al. Society of Cardiovascular Anesthesiologists clinical practice update for management of acute kidney injury associated with cardiac surgery. Anesth. Analg. 2022, 135, 744–756. [Google Scholar] [CrossRef]
- O’Neal, J.B.; Shaw, A.D.; Billings, F.T. Acute kidney injury following cardiac surgery: Current understanding and future directions. Crit. Care 2016, 20, 187. [Google Scholar] [CrossRef] [PubMed]
- Spina, S.; Lei, C.; Pinciroli, R.; Berra, L. Hemolysis and kidney injury in cardiac surgery: The protective role of nitric oxide therapy. Semin. Nephrol. 2019, 39, 484–495. [Google Scholar] [CrossRef]
- Kamenshchikov, N.O.; Anfinogenova, Y.J.; Kozlov, B.N.; Svirko, Y.S.; Pekarskiy, S.E.; Evtushenko, V.V.; Lugovsky, V.A.; Shipulin, V.M.; Lomivorotov, V.V.; Podoksenov, Y.K. Nitric oxide delivery during cardiopulmonary bypass reduces acute kidney injury: A randomized trial. J. Thorac. Cardiovasc. Surg. 2022, 163, 1393–1403. [Google Scholar] [CrossRef] [PubMed]
- Lei, C.; Berra, L.; Rezoagli, E.; Yu, B.; Dong, H.; Yu, S.; Hou, L.; Chen, M.; Chen, W.; Wang, H.; et al. Nitric oxide decreases acute kidney injury and stage 3 chronic kidney disease after cardiac surgery. Am. J. Respir. Crit. Care Med. 2018, 198, 1279–1287. [Google Scholar] [CrossRef]
- Hu, J.; Spina, S.; Zadek, F.; Kamenshchikov, N.O.; Bittner, E.A.; Pedemonte, J.; Berra, L. Effect of nitric oxide on postoperative acute kidney injury in patients who underwent cardiopulmonary bypass: A systematic review and meta-analysis with trial sequential analysis. Ann. Intensive Care 2019, 9, 129. [Google Scholar] [CrossRef]
- Hofmann, F. A concise discussion of the regulatory role of cGMP kinase I in cardiac physiology and pathology. Basic Res. Cardiol. 2018, 113, 31. [Google Scholar] [CrossRef] [PubMed]
- Lukowski, R.; Cruz Santos, M.; Kuret, A.; Ruth, P. cGMP and mitochondrial K+channels—Compartmentalized but closely connected in cardioprotection. Br. J. Pharmacol. 2022, 179, 2344–2360. [Google Scholar] [CrossRef] [PubMed]
- Jiang, M.; Bai, M.; Lei, J.; Xie, Y.; Xu, S.; Jia, Z.; Zhang, A. Mitochondrial dysfunction and the AKI-to-CKD transition. Am. J. Physiol. Renal Physiol. 2020, 319, F1105–F1116. [Google Scholar] [CrossRef]
- Göthberg, S.; Edberg, K.E. Inhaled nitric oxide to newborns and infants after congenital heart surgery on cardiopulmonary bypass. A dose-response study. Scand. Cardiovasc. J. 2000, 34, 154–158. [Google Scholar] [PubMed]
- Piknova, B.; Gladwin, M.T.; Schechter, A.N.; Hogg, N. Electron paramagnetic resonance analysis of nitrosylhemoglobin in humans during NO inhalation. J. Biol. Chem. 2005, 280, 40583–40588. [Google Scholar] [CrossRef] [PubMed]
- Gladwin, M.T.; Schechter, A.N.; Shelhamer, J.H.; Pannell, L.K.; Conway, D.A.; Hrinczenko, B.W.; Nichols, J.S.; Pease-Fye, M.E.; Noguchi, C.T.; Rodgers, G.P.; et al. Inhaled nitric oxide augments nitric oxide transport on sickle cell hemoglobin without affecting oxygen affinity. J. Clin. Investig. 1999, 104, 937–945. [Google Scholar] [CrossRef] [PubMed]
- Nagasaka, Y.; Fernandez, B.O.; Steinbicker, A.U.; Spagnolli, E.; Malhotra, R.; Bloch, D.B.; Bloch, K.D.; Zapol, W.M.; Feelisch, M. Pharmacological preconditioning with inhaled nitric oxide (NO): Organ-specific differences in the lifetime of blood and tissue NO metabolites. Nitric Oxide 2018, 80, 52–60. [Google Scholar] [CrossRef] [PubMed]
- Weinberger, B.; Laskin, D.L.; Heck, D.E.; Laskin, J.D. The toxicology of inhaled nitric oxide. Toxicol. Sci. 2001, 59, 5–16. [Google Scholar] [CrossRef] [PubMed]
- Nakahira, K.; Hisata, S.; Choi, A.M. The roles of mitochondrial damage-associated molecular patterns in diseases. Antioxid. Redox Signal. 2015, 23, 1329–1350. [Google Scholar] [CrossRef]
- Scott, J.P.; Tanem, J.M.; Tomita-Mitchell, A.; Hoffman, G.M.; Niebler, R.A.; Liang, H.L.; Simpson, P.M.; Stamm, K.D.; North, P.E.; Mitchell, M.E. Elevated nuclear and mitochondrial cell-free deoxyribonucleic acid measurements are associated with death after infant cardiac surgery. J. Thorac. Cardiovasc. Surg. 2022, 164, 367–375. [Google Scholar] [CrossRef] [PubMed]
- Gonsalez, S.R.; Cortes, A.L.; da Silva, R.C.; Lowe, J.; Prieto, M.C.; da Silva Lara, L. Acute kidney injury overview: From basic findings to new prevention and therapy strategies. Pharmacol. Ther. 2019, 200, 1–12. [Google Scholar] [CrossRef] [PubMed]
- Signori, D.; Magliocca, A.; Hayashida, K.; Graw, J.A.; Malhotra, R.; Bellani, G.; Berra, L.; Rezoagli, E. Inhaled nitric oxide: Role in the pathophysiology of cardio-cerebrovascular and respiratory diseases. Intensive Care Med. Exp. 2022, 10, 28. [Google Scholar] [CrossRef]
- Poderoso, J.J.; Helfenberger, K.; Poderoso, C. The effect of nitric oxide on mitochondrial respiration. Nitric Oxide 2019, 88, 61–72. [Google Scholar] [CrossRef]
- Prokudina, E.S.; Naryzhnaya, N.V.; Mukhomedzyanov, A.V.; Gorbunov, A.S.; Zhang, Y.; Yaggi, A.S.; Tsibulnikov, S.; Nesterov, E.; Lishmanov, Y.; Suleiman, M.; et al. Effect of Chronic Continuous Normobaric Hypoxia on Functional State of Cardiac Mitochondria and Tolerance of Isolated Rat Heart to Ischemia and Reperfusion: Role of µ and δ2 Opioid Receptors. Physiol. Res. 2019, 68, 909–920. [Google Scholar] [CrossRef]
- Halestrap, A.P. A pore way to die: The role of mitochondria in reperfusion injury and cardioprotection. Biochem. Soc. Trans. 2010, 38, 841–860. [Google Scholar] [CrossRef]
- Kroemer, G.; Galluzzi, L.; Brenner, C. Mitochondrial membrane permeabilization in cell death. Physiol. Rev. 2007, 87, 99–163. [Google Scholar] [CrossRef]
- Lee, K.H.; Lee, S.R.; Cho, H.; Woo, J.S.; Kang, J.H.; Jeong, Y.M.; Cheng, X.W.; Kim, W.-S.; Kim, W. Cardioprotective effects of PKG activation by soluble GC activator, BAY 60-2770, in ischemia-reperfusion-injured rat hearts. PLoS ONE 2017, 12, e0180207. [Google Scholar] [CrossRef]
- Wang, D.Z.; Jones, A.W.; Wang, W.Z.; Wang, M.; Korthuis, R.J. Soluble guanylate cyclase activation during ischemic injury in mice protects against postischemic inflammation at the mitochondrial level. Am. J. Physiol. Gastrointest. Liver Physiol. 2016, 310, G747–G756. [Google Scholar] [CrossRef] [PubMed]
- Wang, J.H.; Mao, L.; Wang, J.; Zhang, X.; Wu, M.; Wen, Q.; Yu, S.-C. Beyond metabolic waste: Lysine lactylation and its potential roles in cancer progression and cell fate determination. Cell Oncol. 2023, 46, 465–480. [Google Scholar] [CrossRef] [PubMed]
- Kamenshchikov, N.O.; Duong, N.; Berra, L. Nitric Oxide in Cardiac Surgery: A Review Article. Biomedicines 2023, 11, 1085. [Google Scholar] [CrossRef] [PubMed]
- Xu, X.; Lai, Y.; Hua, Z.C. Apoptosis and apoptotic body: Disease message and therapeutic target potentials. Biosci. Rep. 2019, 39, BSR20180992. [Google Scholar] [CrossRef]
- Ni, L.; Yuan, C.; Wu, X. Targeting ferroptosis in acute kidney injury. Cell Death Dis. 2022, 13, 182. [Google Scholar] [CrossRef]
- Pickkers, P.; Murray, P.T.; Ostermann, M. New drugs for acute kidney injury. Intensive Care Med. 2022, 48, 1796–1798. [Google Scholar] [CrossRef]
- Thielmann, M.; Corteville, D.; Szabo, G.; Swaminathan, M.; Lamy, A.; Lehner, L.J.; Brown, C.D.; Noiseux, N.; Atta, M.G.; Squiers, E.C.; et al. Teprasiran, a small interfering RNA, for the prevention of acute kidney injury in high-risk Patients undergoing cardiac surgery: A randomized clinical study. Circulation 2021, 144, 1133–1144. [Google Scholar] [CrossRef] [PubMed]
- Liu, H.; Luo, Z.; Liu, L.; Yang, X.; Zhuang, Y.; Tu, G.; Ma, G.; Zhang, Y.; Zheng, J.; Zhu, D.; et al. Inflammatory biomarkers to predict adverse outcomes in postoperative patients with acute type A aortic dissection. Scand. Cardiovasc. J. 2020, 54, 37–46. [Google Scholar] [CrossRef] [PubMed]
- Kim, T.; Nah, Y.; Kim, J.; Lee, S.; Kim, W.J. Nitric-Oxide-Modulatory Materials for Biomedical Applications. Acc. Chem. Res. 2022, 55, 2384–2396. [Google Scholar] [CrossRef] [PubMed]
- Kany, S.; Vollrath, J.T.; Relja, B. Cytokines in inflammatory disease. Int. J. Mol. Sci. 2019, 20, 6008. [Google Scholar] [CrossRef]
- Vermeulen Windsant, I.C.; de Wit, N.C.; Sertorio, J.T.; van Bijnen, A.A.; Ganushchak, Y.M.; Heijmans, J.H.; Tanus-Santos, J.E.; Jacobs, M.J.; Maessen, J.G.; Buurman, W.A. Hemolysis during cardiac surgery is associated with increased intravascular nitric oxide consumption and perioperative kidney and intestinal tissue damage. Front. Physiol. 2014, 5, 340. [Google Scholar] [CrossRef] [PubMed]
- Carlström, M. Nitric oxide signalling in kidney regulation and cardiometabolic health. Nat. Rev. Nephrol. 2021, 17, 575–590. [Google Scholar] [CrossRef] [PubMed]
- Brezis, M.; Heyman, S.N.; Dinour, D.; Epstein, F.H.; Rosen, S. Role of nitric oxide in renal medullary oxygenation: Studies in isolated and intact rat kidneys. J. Clin. Investig. 1991, 88, 390–395. [Google Scholar] [CrossRef]
- Heyman, S.N.; Rosenberger, C.; Rosen, S. Experimental ischemia-reperfusion: Biases and myths-the proximal vs. distal hypoxic tubular injury debate revisited. Kidney Int. 2010, 77, 9–16. [Google Scholar] [CrossRef] [PubMed]
- Greenberg, J.W.; Hogue, S.; Raees, M.A.; Ahmed, H.F.; Abplanalp, W.A.; Guzman-Gomez, A.; Abdelhamed, Z.; Thangappan, K.; Reagor, J.A.; Rose, J.E.; et al. Exogenous nitric oxide delivery protects against cardiopulmonary bypass–associated acute kidney injury: Histologic and serologic evidence from an ovine model. J. Thorac. Cardiovasc. Surg. 2023, 166, e164–e173. [Google Scholar] [CrossRef]
- Fontecha-Barriuso, M.; Lopez-Diaz, A.M.; Guerrero-Mauvecin, J.; Miguel, V.; Ramos, A.M.; Sanchez-Niño, M.D.; Ruiz-Ortega, M.; Ortiz, A.; Sanz, A.B. Tubular mitochondrial dysfunction, oxidative stress, and progression of chronic kidney disease. Antioxidants 2022, 11, 1356. [Google Scholar] [CrossRef]
- Baylis, C. Nitric oxide deficiency in chronic kidney disease. Am. J. Physiol. Renal Physiol. 2008, 294, F1–F9. [Google Scholar] [CrossRef]
- Schlapbach, L.J.; Gibbons, K.S.; Horton, S.B.; Johnson, K.; Long, D.A.; Buckley, D.H.; Erickson, S.; Festa, M.; d’Udekem, Y.; Alphonso, N.; et al. Effect of nitric oxide via cardiopulmonary bypass on ventilator-free days in young children undergoing congenital heart disease surgery: The NITRIC Randomized Clinical Trial. JAMA 2022, 328, 38–47. [Google Scholar] [CrossRef]
- Kolcz, J.; Karnas, E.; Madeja, Z.; Zuba-Surma, E.K. The cardioprotective and anti-inflammatory effect of inhaled nitric oxide during Fontan surgery in patients with single ventricle congenital heart defects: A prospective randomized study. J. Intensive Care 2022, 10, 48. [Google Scholar] [CrossRef]



| Variable | Group | Tracheal Intubation | CPB Start | 60 min after Weaning from CPB | p-Value |
|---|---|---|---|---|---|
| Hb, g/L | CPB CPB + NO | 95.50 ± 5.61 97.00 ± 4.10 | 94.50 ± 3.99 98.00 ± 1.79 | 83.83 ± 4.31 82.83 ± 4.71 | 0.00001 0.000002 |
| Ht | CPB CPB + NO | 29.0 ± 1.52 28.33 ± 2.42 | 27.67 ± 1.63 27.33 ± 1.75 | 24.83 ± 3.06 22.50 ± 2.95 | 0.0378 0.00016 |
| MetHb % | CPB CPB + NO | 0.45 ± 0.16 0.45 ± 0.30 | 0.48 ± 0.21 1.22 ± 0.21 * | 0.58 ± 0.14 2.20 ± 0.34 * | 0.194 0.00013 |
| Urine output, mL | CPB CPB + NO | - | - | 753 ± 191.34 972 ± 89.3 | 0.0297 |
| uNGAL, ng/mL | CPB CPB + NO | - | - | 1.69 ± 0.751 0.62 ± 0.268 * | 0.0039 |
| Lactate, mmol/L | CPB CPB + NO | 1.70 ± 0.76 1.43 ± 0.53 | 1.66 ± 0.64 1.40 ± 0.41 | 3.61 ± 0.71 3.51 ± 0.61 | 0.0024 0.0002 |
| e NO2, μmol/L | CPB CPB + NO | 5.97 ± 0.671 6.92 ± 1.686 | 6.07 ± 0.624 6.89 ± 0.736 | 6.78 ± 1.486 7.31 ± 1.138 | 0.616 0.688 |
| Total NO, μmol/L | CPB CPB + NO | 24.21 ± 1.797 43.92 ± 15.281 * | 28.21 ± 1.491 64.10 ± 14.733 * | 25.09 ± 2.179 55.88 ± 9.177 * | 0.158 0.023 |
| NO3, μmol/L | CPB CPB + NO | 18.21 ± 1.591 37.02 ± 14.435 * | 22.21 ± 1.797 57.21 ± 14.885 * | 18.376 ± 2.098 45.85 ± 9.402 * | 0.286 0.013 |
| NO treatment, minutes | 189.67 ± 6.86 CPB + NO | ||||
| NO2 concentration, ppm | 1.02 ± 0.17 CPB + NO | ||||
| Variable | Group | Tracheal Intubation | CPB Start | 60 min after Weaning from CPB | p-Value |
|---|---|---|---|---|---|
| Hb, g/L | CPB + CA CPB + CA + NO | 95.83 ± 5.64 93.00 ± 5.76 | 96.83 ± 5.81 91.83 ± 4.40 | 82.0 ± 5.48 76.67 ± 3.83 | 0.00004 0.0007 |
| Ht | CPB + CA CPB + CA + NO | 29.00 ± 2.61 28.00 ± 1.41 | 28.33 ± 2.42 27.50 ± 1.87 | 22.67 ± 2.58 20.83 ± 2.64 | 0.00015 0.0001 |
| MetHb, % | CPB + CA CPB + CA + NO | 0.52 ± 0.16 0.57 ± 0.33 | 0.58 ± 0.26 1.28 ± 0.19 * | 0.70 ± 0.23 2.28 ± 0.34 * | 0.218 0.00025 |
| Urine output, mL | CPB + CA CPB + CA + NO | - | - | 678 ± 199.2 683 ± 201.9 | 0.77 |
| uNGAL, ng/mL | CPB + CA CPB + CA + NO | - | - | 2.23 ± 0.881 0.67 ± 0.255 * | 0.0001 |
| Lactate, mmol/L | CPB + CA CPB + CA + NO | 1.47 ± 0.58 1.62 ± 0.64 | 1.37 ± 0.43 1.20 ± 0.35 | 4.72 ± 0.73 4.98 ± 0.37 | 0.0006 0.0003 |
| e NO2, μmol/L | CPB + CA CPB + CA + NO | 6.24 ± 0.776 6.20 ± 0.631 | 5.61 ± 0.405 5.94 ± 0.909 | 5.95 ± 0.489 6.61 ± 0.482 | 0.167 0.562 |
| Total NO, μmol/L | CPB + CA CPB + CA + NO | 26.02 ± 1.161 31.54 ± 3.560 * | 26.41 ± 2.008 35.17 ± 3.036 * | 26.08 ± 2.796 35.26 ± 3.951 * | 0.101 0.513 |
| NO3, μmol/L | CPB + CA CPB + CA + NO | 19.78 ± 1.59 25.34 ± 4.010 * | 20.80 ± 1.591 29.23 ± 3.117 * |
18.29 ± 4.495 28.65 ± 4.171* | 0.626 0.265 |
| NO-treatment, minutes | 190.17 ± 6.27 CPB + CA + NO | ||||
| NO2 concentration, ppm | 1.22 ± 0.19 CPB + CA + NO | ||||
| Variable | Group | 60 min after Weaning from CPB | p-Value |
|---|---|---|---|
| Δψ, Ed/mg | CPB CPB + NO | 126.7 ± 18.61 171.7 ± 20.41 | <0.01 (CPB vs. CPB + NO) 0.24 (CPB + CA vs. CPB + CA + NO) |
| CPB + CA CPB + CA + NO | 108.3 ± 23.16 123.3 ± 18.61 | 0.26 (CPB vs. CPB + CA) <0.01 (CPB + NO vs. CPB + CA + NO) | |
| CRC, Hm CaCl2/mg protein | CPB CPB + NO CPB + CA CPB + CA + NO | 866.7 ± 216.02 1466.7 ± 02 366.7 ± 163.29 516.7 ± 147.19 | <0.001 (CPB vs. CPB + NO) 0.21 (CPB + CA vs. CPB + CA + NO) 0.001 (CPB vs. CPB + CA) <0.001 (CPB + NO vs. CPB + CA + NO) |
| ATP, nmol/g | CPB CPB + NO CPB + CA CPB + CA + NO | 3.7 ± 0.62 6.8 ± 1.1 3.95 ± 0.64 3.6 ± 0.72 | <0.001 (CPB vs. CPB + NO) 0.39 (CPB + CA vs. CPB + CA + NO) 0.48 (CPB vs. CPB + CA) <0.001 (CPB + NO vs. CPB + CA + NO) |
| Lactate, mmol/L | CPB CPB + NO CPB + CA CPB + CA + NO | 12.9 ± 3.71 10.2 ± 2.14 15.4 ± 2.6 12.2 ± 4.02 | 0.15 (CPB vs. CPB + NO) 0.14 (CPB + CA vs. CPB + CA + NO) 0.22 (CPB vs. CPB + CA) 0.22 (CPB + NO vs. CPB + CA + NO) |
| Variable | Group | 60 min after Weaning from CPB | p-Value |
|---|---|---|---|
| TNF-α, ng/g | CPB CPB + NO | 1349.5 ± 588.08 1538.9 ± 797.13 | 0.64 (CPB vs. CPB + NO) 0.03 (CPB + CA vs. CPB + CA + NO) |
| CPB + CA CPB + CA + NO | 1731.7 ± 497.27 1013.5 ± 422.07 | 0.26 (CPB vs. CPB + CA) 0.41 (CPB + NO vs. CPB + CA + NO) | |
| RIPK3, ng/g | CPB CPB + NO CPB + CA CPB + CA + NO | 10.2 ± 7.35 8.4 ± 3.86 15.1 ± 5.81 11.84 ± 5.01 | 0.59 (CPB vs. CPB + NO) 0.21 (CPB + CA vs. CPB + CA + NO) 0.23 (CPB vs. CPB + CA) 0.21 (CPB + NO vs. CPB + CA + NO) |
| NLRP3, ng/g | CPB CPB + NO CPB + CA CPB + CA + NO | 208.8 ± 78.78 201.9 ± 38.96 199.6 ± 116.96 159.9 ± 82.49 | 0.85 (CPB vs. CPB + NO) 0.51 (CPB + CA vs. CPB + CA + NO) 0.68 (CPB vs. CPB + CA) 0.21 (CPB + NO vs. CPB + CA + NO) |
| GSDMD, ng/g | CPB CPB + NO CPB + CA CPB + CA + NO | 27.5 ± 9.22 28.3 ± 11.64 29.4 ± 5.41 33.1 ± 13.76 | 0.88 (CPB vs. CPB + NO) 0.55 (CPB + CA vs. CPB + CA + NO) 0.72 (CPB vs. CPB + CA) 0.42 (CPB + NO vs. CPB + CA + NO) |
| Variable | Group | 60 min after Weaning from CPB | p-Value |
|---|---|---|---|
| GCI | CPB CPB + NO | 2.09878 ± 0.9669 2.569 ± 0.6573 | 0.03 (CPB vs. CPB + NO) <0.0001 (CPB + CA vs. CPB + CA + NO) |
| CPB + CA CPB + CA + NO | 1.377 ± 0.3554 2.201 ± 0.7298 | <0.001 (CPB vs. CPB + CA) 0.049 (CPB + NO vs. CPB + CA + NO) | |
| LEI | CPB CPB + NO CPB + CA CPB + CA + NO | 0.557 ± 0.3134 0.446 ± 0.1972 0.743 ± 0.2414 0.724 ± 0.3842 | <0.01 (CPB vs. CPB + NO) 0.7 (CPB + CA vs. CPB + CA + NO) <0.0001 (CPB vs. CPB + CA) <0.0001 (CPB + NO vs. CPB + CA + NO) |
Disclaimer/Publisher’s Note: The statements, opinions and data contained in all publications are solely those of the individual author(s) and contributor(s) and not of MDPI and/or the editor(s). MDPI and/or the editor(s) disclaim responsibility for any injury to people or property resulting from any ideas, methods, instructions or products referred to in the content. |
© 2024 by the authors. Licensee MDPI, Basel, Switzerland. This article is an open access article distributed under the terms and conditions of the Creative Commons Attribution (CC BY) license (https://creativecommons.org/licenses/by/4.0/).
Share and Cite
Kamenshchikov, N.O.; Podoksenov, Y.K.; Kozlov, B.N.; Maslov, L.N.; Mukhomedzyanov, A.V.; Tyo, M.A.; Boiko, A.M.; Margolis, N.Y.; Boshchenko, A.A.; Serebryakova, O.N.; et al. The Nephroprotective Effect of Nitric Oxide during Extracorporeal Circulation: An Experimental Study. Biomedicines 2024, 12, 1298. https://doi.org/10.3390/biomedicines12061298
Kamenshchikov NO, Podoksenov YK, Kozlov BN, Maslov LN, Mukhomedzyanov AV, Tyo MA, Boiko AM, Margolis NY, Boshchenko AA, Serebryakova ON, et al. The Nephroprotective Effect of Nitric Oxide during Extracorporeal Circulation: An Experimental Study. Biomedicines. 2024; 12(6):1298. https://doi.org/10.3390/biomedicines12061298
Chicago/Turabian StyleKamenshchikov, Nikolay O., Yuri K. Podoksenov, Boris N. Kozlov, Leonid N. Maslov, Alexander V. Mukhomedzyanov, Mark A. Tyo, Alexander M. Boiko, Natalya Yu. Margolis, Alla A. Boshchenko, Olga N. Serebryakova, and et al. 2024. "The Nephroprotective Effect of Nitric Oxide during Extracorporeal Circulation: An Experimental Study" Biomedicines 12, no. 6: 1298. https://doi.org/10.3390/biomedicines12061298
APA StyleKamenshchikov, N. O., Podoksenov, Y. K., Kozlov, B. N., Maslov, L. N., Mukhomedzyanov, A. V., Tyo, M. A., Boiko, A. M., Margolis, N. Y., Boshchenko, A. A., Serebryakova, O. N., Dzyuman, A. N., Shirshin, A. S., Buranov, S. N., & Selemir, V. D. (2024). The Nephroprotective Effect of Nitric Oxide during Extracorporeal Circulation: An Experimental Study. Biomedicines, 12(6), 1298. https://doi.org/10.3390/biomedicines12061298

