Pancreatic Morphology, Immunology, and the Pathogenesis of Acute Pancreatitis
Abstract
1. Introduction
2. Clinical Considerations
3. Morphology of the Healthy Pancreas
3.1. Embryological Development
3.2. General Histological Structure
3.2.1. Supporting Connective Tissues
3.2.2. Parenchyma
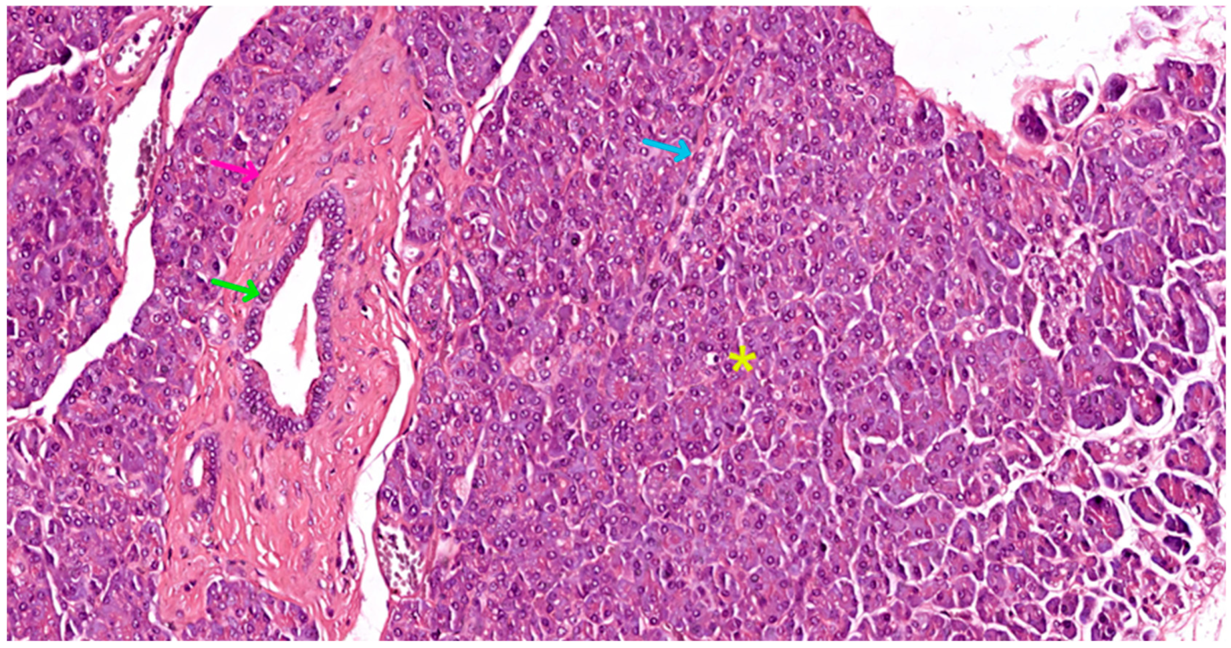
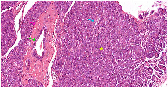
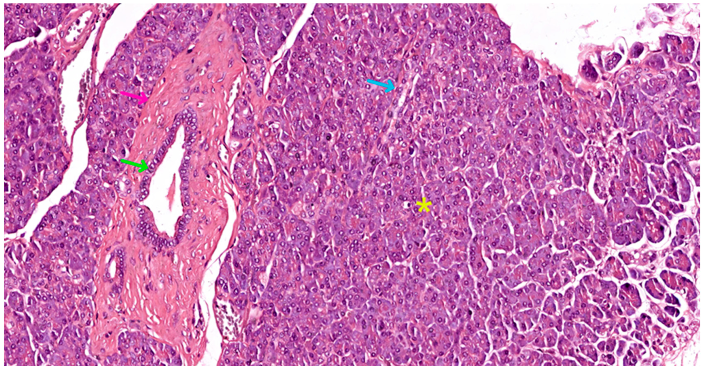
The Exocrine Pancreas
- Centro-acinar cells—delimiting the lumen together with acinar cells; they are small, flattened, or cuboidal in shape; the cytoplasm is pale, and the nucleus is oval; these cells are considered reserve cells for acinar and ductal cells (see Figure 4a).
- Intralobular ducts—represented by intercalated ducts that continue the lumen of the acini and are delimited by simple cuboidal epithelium; intercalated ducts fuse to form proper intralobular ducts, which are larger and delimited by simple cuboidal or columnar epithelium; around these ducts, a loose connective stroma can be observed, with numerous reticulin fibers, yet quantitatively reduced overall; unlike major salivary glands, the exocrine pancreas does not have striated ducts (see Figure 4a,b).
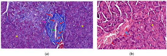
- Interlobular ducts—located in connective trabeculae; they have a wide lumen and are delimited by simple columnar epithelium; they are surrounded by well-represented, dense, irregular connective tissue, which contains fibroblasts and myofibroblasts (see Figure 5).
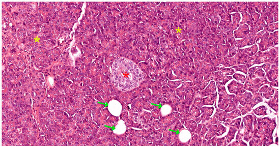
The Endocrine Pancreas
3.3. Gross Anatomy
3.3.1. Blood Vessels, Lymphatics, and Nerves
Arterial Supply
- The dorsal pancreatic artery—originating from the splenic artery, it runs posterior to the body and, finally, becomes the inferior pancreatic artery, supplying the proximal, then distal body, and tail, respectively.
- The great pancreatic artery (arteria pancreatica magna)—the largest vessel supplying the body of the pancreas from the splenic artery. Rarely, in the context of acute pancreatitis, hemorrhage occurrence has been reported at this level, a complication which can be fatal.
- The caudal pancreatic artery—supplying the tail region.
Venous Drainage
Lymphatic Drainage
Innervation
3.3.2. Ductal System Topography
Anatomical Variations and Anomalies
- Pancreas divisum: the most common congenital variant (5–10% of the population), where the dorsal and ventral pancreatic ducts fail to fuse during development.
- Annular pancreas: a rare anomaly where pancreatic tissue encircles the duodenum, potentially causing duodenal obstruction.
- Ansa pancreatica: an anatomical variant where the main pancreatic duct forms a loop configuration within the pancreatic head.
- Santorinicele: a cystic dilatation of the terminal portion of the accessory pancreatic duct.
- Anomalous pancreatico-biliary junction: a condition where the pancreatic and bile ducts join outside the duodenal wall, forming an abnormally long common channel.
4. Immune Landscape of the Pancreas—Pathological Implications
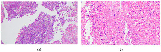
5. Histopathology of Acute Pancreatitis
6. Etiology and Pathogenesis of Acute Pancreatitis
7. Conclusions and Future Research Directions
- The elucidation of the precise mechanisms by which different etiological factors converge on common pathophysiological pathways in acute pancreatitis.
- The development of targeted therapies that can interrupt the inflammatory cascade early in the disease process.
- The identification of genetic and environmental factors that predispose individuals to severe or recurrent pancreatitis.
- The exploration of the long-term consequences of acute pancreatitis, including the potential progression to chronic pancreatitis or pancreatic cancer.
- The investigation of the role of the pancreatic microbiome in health and disease.
Author Contributions
Funding
Institutional Review Board Statement
Informed Consent Statement
Data Availability Statement
Acknowledgments
Conflicts of Interest
References
- Gapp, J.; Tariq, A.; Chandra, S. Acute Pancreatitis. In StatPearls; StatPearls Publishing: Treasure Island, FL, USA, 2024. [Google Scholar]
- Szatmary, P.; Grammatikopoulos, T.; Cai, W.; Huang, W.; Mukherjee, R.; Halloran, C.; Beyer, G.; Sutton, R. Acute Pancreatitis: Diagnosis and Treatment. Drugs 2022, 82, 1251–1276. [Google Scholar] [CrossRef] [PubMed]
- Roberts, S.E.; Morrison-Rees, S.; John, A.; Williams, J.G.; Brown, T.H.; Samuel, D.G. The Incidence and Aetiology of Acute Pancreatitis across Europe. Pancreatology 2017, 17, 155–165. [Google Scholar] [CrossRef] [PubMed]
- de Pretis, N.; Amodio, A.; Frulloni, L. Hypertriglyceridemic Pancreatitis: Epidemiology, Pathophysiology and Clinical Management. United Eur. Gastroenterol. J. 2018, 6, 649–655. [Google Scholar] [CrossRef] [PubMed]
- Gardner, T.B. Acute Pancreatitis. Ann. Intern. Med. 2021, 174, ITC17–ITC32. [Google Scholar] [CrossRef]
- Bradley, E.L., III. A Clinically Based Classification System for Acute Pancreatitis: Summary of the International Symposium on Acute Pancreatitis, Atlanta, Ga, September 11 Through 13, 1992. Arch. Surg. 1993, 128, 586–590. [Google Scholar] [CrossRef]
- Werge, M.; Novovic, S.; Schmidt, P.N.; Gluud, L.L. Infection Increases Mortality in Necrotizing Pancreatitis: A Systematic Review and Meta-Analysis. Pancreatology 2016, 16, 698–707. [Google Scholar] [CrossRef]
- Kirkegård, J.; Cronin-Fenton, D.; Heide-Jørgensen, U.; Mortensen, F.V. Acute Pancreatitis and Pancreatic Cancer Risk: A Nationwide Matched-Cohort Study in Denmark. Gastroenterology 2018, 154, 1729–1736. [Google Scholar] [CrossRef]
- Drake, M.; Dodwad, S.-J.M.; Davis, J.; Kao, L.S.; Cao, Y.; Ko, T.C. Sex-Related Differences of Acute and Chronic Pancreatitis in Adults. J. Clin. Med. 2021, 10, 300. [Google Scholar] [CrossRef]
- Johnstone, C. Pathophysiology and Nursing Management of Acute Pancreatitis. Nurs. Stand. 2018, 33, 75. [Google Scholar] [CrossRef] [PubMed]
- Peng, C.; Li, Z.; Yu, X. The Role of Pancreatic Infiltrating Innate Immune Cells in Acute Pancreatitis. Int. J. Med. Sci. 2021, 18, 534–545. [Google Scholar] [CrossRef]
- Howes, N.; Lerch, M.M.; Greenhalf, W.; Stocken, D.D.; Ellis, I.; Simon, P.; Truninger, K.; Ammann, R.; Cavallini, G.; Charnley, R.M.; et al. Clinical and Genetic Characteristics of Hereditary Pancreatitis in Europe. Clin. Gastroenterol. Hepatol. 2004, 2, 252–261. [Google Scholar] [CrossRef] [PubMed]
- Kiriyama, S.; Gabata, T.; Takada, T.; Hirata, K.; Yoshida, M.; Mayumi, T.; Hirota, M.; Kadoya, M.; Yamanouchi, E.; Hattori, T.; et al. New Diagnostic Criteria of Acute Pancreatitis. J. Hepatobiliary Pancreat. Sci. 2010, 17, 24–36. [Google Scholar] [CrossRef] [PubMed]
- Kim, J.; Hendershot, C.S. A Review of Performance Indicators of Single-Item Alcohol Screening Questions in Clinical and Population Settings. J. Subst. Abus. Treat. 2020, 111, 73–85. [Google Scholar] [CrossRef] [PubMed]
- Banks, P.A.; Bollen, T.L.; Dervenis, C.; Gooszen, H.G.; Johnson, C.D.; Sarr, M.G.; Tsiotos, G.G.; Vege, S.S. Classification of Acute Pancreatitis—2012: Revision of the Atlanta Classification and Definitions by International Consensus. Gut 2013, 62, 102–111. [Google Scholar] [CrossRef]
- Basnayake, C.; Ratnam, D. Blood Tests for Acute Pancreatitis. Aust. Prescr. 2015, 38, 128–130. [Google Scholar] [CrossRef]
- Leppäniemi, A.; Tolonen, M.; Tarasconi, A.; Segovia-Lohse, H.; Gamberini, E.; Kirkpatrick, A.W.; Ball, C.G.; Parry, N.; Sartelli, M.; Wolbrink, D.; et al. 2019 WSES Guidelines for the Management of Severe Acute Pancreatitis. World J. Emerg. Surg. 2019, 14, 27. [Google Scholar] [CrossRef]
- Mandalia, A.; Wamsteker, E.-J.; DiMagno, M.J. Recent Advances in Understanding and Managing Acute Pancreatitis. F1000Research 2018, 7, 959. [Google Scholar] [CrossRef]
- Choi, H.W.; Park, H.J.; Choi, S.-Y.; Do, J.H.; Yoon, N.Y.; Ko, A.; Lee, E.S. Early Prediction of the Severity of Acute Pancreatitis Using Radiologic and Clinical Scoring Systems With Classification Tree Analysis. AJR Am. J. Roentgenol. 2018, 211, 1035–1043. [Google Scholar] [CrossRef]
- Banday, I.A.; Gattoo, I.; Khan, A.M.; Javeed, J.; Gupta, G.; Latief, M. Modified Computed Tomography Severity Index for Evaluation of Acute Pancreatitis and Its Correlation with Clinical Outcome: A Tertiary Care Hospital Based Observational Study. J. Clin. Diagn. Res. 2015, 9, TC01–TC05. [Google Scholar] [CrossRef]
- Gardner, T.B. Fluid Resuscitation in Acute Pancreatitis—Going over the WATERFALL. N. Engl. J. Med. 2022, 387, 1038–1039. [Google Scholar] [CrossRef]
- de-Madaria, E.; Buxbaum, J.L.; Maisonneuve, P.; García García de Paredes, A.; Zapater, P.; Guilabert, L.; Vaillo-Rocamora, A.; Rodríguez-Gandía, M.Á.; Donate-Ortega, J.; Lozada-Hernández, E.E.; et al. Aggressive or Moderate Fluid Resuscitation in Acute Pancreatitis. N. Engl. J. Med. 2022, 387, 989–1000. [Google Scholar] [CrossRef] [PubMed]
- Cai, W.; Liu, F.; Wen, Y.; Han, C.; Prasad, M.; Xia, Q.; Singh, V.K.; Sutton, R.; Huang, W. Pain Management in Acute Pancreatitis: A Systematic Review and Meta-Analysis of Randomised Controlled Trials. Front. Med. 2021, 8, 782151. [Google Scholar] [CrossRef]
- Lakananurak, N.; Gramlich, L. Nutrition Management in Acute Pancreatitis: Clinical Practice Consideration. World J. Clin. Cases 2020, 8, 1561–1573. [Google Scholar] [CrossRef]
- Arvanitakis, M.; Dumonceau, J.-M.; Albert, J.; Badaoui, A.; Bali, M.A.; Barthet, M.; Besselink, M.; Deviere, J.; Oliveira Ferreira, A.; Gyökeres, T.; et al. Endoscopic Management of Acute Necrotizing Pancreatitis: European Society of Gastrointestinal Endoscopy (ESGE) Evidence-Based Multidisciplinary Guidelines. Endoscopy 2018, 50, 524–546. [Google Scholar] [CrossRef] [PubMed]
- Wu, B.U. Prognosis in Acute Pancreatitis. CMAJ 2011, 183, 673–677. [Google Scholar] [CrossRef]
- Gao, W.; Yang, H.-X.; Ma, C.-E. The Value of BISAP Score for Predicting Mortality and Severity in Acute Pancreatitis: A Systematic Review and Meta-Analysis. PLoS ONE 2015, 10, e0130412. [Google Scholar] [CrossRef] [PubMed]
- Working Group IAP/APA Acute Pancreatitis Guidelines. IAP/APA Evidence-Based Guidelines for the Management of Acute Pancreatitis. Pancreatology 2013, 13 (Suppl. S2), e1–e15. [CrossRef]
- Mehta, V.; Hopson, P.E.; Smadi, Y.; Patel, S.B.; Horvath, K.; Mehta, D.I. Development of the Human Pancreas and Its Exocrine Function. Front. Pediatr. 2022, 10, 909648. [Google Scholar] [CrossRef]
- Kumar, V.; Gala, D.; Gustke, C.; Shah, M.; Bandaru, P.; Gayam, V.R.; Gadaputi, V.; Reddy, M. Pancreatic Heterotopia at the Gastroesophageal Junction: A Case Report and Review of the Literature. Cureus 2023, 15, e35830. [Google Scholar] [CrossRef]
- Ruiz-Cordero, R.; Quiroz, A.; Garcia-Buitrago, M.T. Histology of the Pancreas. In Multidisciplinary Teaching Atlas of the Pancreas: Radiological, Surgical, and Pathological Correlations; Casillas, J., Levi, J.U., Quiroz, A.O., Ruiz-Cordero, R., Garcia-Buitrago, M.T., Sleeman, D., Eds.; Springer: Berlin/Heidelberg, Germany, 2016; pp. 73–78. [Google Scholar] [CrossRef]
- Longnecker, D.S.; Gorelick, F.; Thompson, E.D. Anatomy, Histology, and Fine Structure of the Pancreas. In The Pancreas; John Wiley & Sons, Ltd.: Hoboken, NJ, USA, 2018; pp. 10–23. [Google Scholar] [CrossRef]
- Motta, P.M.; Macchiarelli, G.; Nottola, S.A.; Correr, S. Histology of the Exocrine Pancreas. Microsc. Res. Tech. 1997, 37, 384–398. [Google Scholar] [CrossRef]
- Standring, S. (Ed.) Gray’s Anatomy, 40th ed.; Elsevier Churchill Livingstone: New York, NY, USA, 2008; pp. 942+1077+1183–1187. [Google Scholar]
- Jensen, E.H.; Borja-Cacho, D.; Al-Refaie, W.B.; Vickers, S.M. Exocrine Pancreas. In Sabiston Textbook of Surgery; Townsend, C.M., Beauchamp, R.D., Evers, B.M., Mattox, K.L., Eds.; Saunders: Philadelphia, PA, USA, 2012; pp. 1515–1547. [Google Scholar]
- Mahadevan, V. Anatomy of the Pancreas and Spleen. Surgery 2019, 37, 297–301. [Google Scholar] [CrossRef]
- Rosenzweig, M.; Grodstein, E. Anatomy and Physiology of the Pancreas. In Contemporary Pancreas and Small Bowel Transplantation; Shah, A.P., Doria, C., Lim, J.W., Eds.; Springer International Publishing: Cham, Switzerland, 2019; pp. 211–220. [Google Scholar] [CrossRef]
- Arvanitakis, M. Anatomy of the Pancreas. In Endotherapy in Biliopancreatic Diseases: ERCP Meets EUS: Two Techniques for One Vision; Mutignani, M., Albert, J.G., Fabbri, C., Eds.; Springer International Publishing: Cham, Switzerland, 2020; pp. 91–99. [Google Scholar] [CrossRef]
- Cha, C.; Hollander, L. Surgical Anatomy, Anomalies, and Normal Variants of the Pancreas. In Surgical and Perioperative Management of Patients with Anatomic Anomalies; Narayan, D., Kapadia, S.E., Kodumudi, G., Vadivelu, N., Eds.; Springer International Publishing: Cham, Switzerland, 2021; pp. 235–249. [Google Scholar] [CrossRef]
- Yuan, Q.; Pan, A.; Fu, Y.; Dai, Y. Chapter 1—Anatomy and Physiology of the Pancreas. In Integrative Pancreatic Intervention Therapy; Li, M., Lu, L., Xiao, Y., Fu, D., Zhang, H., Eds.; Elsevier: Amsterdam, The Netherlands, 2021; pp. 3–21. [Google Scholar] [CrossRef]
- Cesmebasi, A.; Malefant, J.; Patel, S.D.; Du Plessis, M.; Renna, S.; Tubbs, R.S.; Loukas, M. The Surgical Anatomy of the Lymphatic System of the Pancreas. Clin. Anat. 2015, 28, 527–537. [Google Scholar] [CrossRef] [PubMed]
- Cubilla, A.L.; Fortner, J.; Fitzgerald, P.J. Lymph Node Involvement in Carcinoma of the Head of the Pancreas Area. Cancer 1978, 41, 880–887. [Google Scholar] [CrossRef]
- Skandalakis, J.E.; Gray, S.W. (Eds.) Embryology for Surgeons, 2nd ed.; Williams & Wilkins: Baltimore, MD, USA, 1994. [Google Scholar]
- Borghi, F.; Gattolin, A.; Garbossa, D.; Bogliatto, F.; Garavoglia, M.; Levi, A.C. Embryologic Bases of Extended Radical Resection in Pancreatic Cancer. Arch. Surg. 1998, 133, 297–301. [Google Scholar] [CrossRef]
- Skandalakis, J.E. (Ed.) Surgical Anatomy: The Embryologic and Anatomic Basis of Modern Surgery—Volume 2; PMP (Paschalidis Medical Publications, Ltd.): Athens, Greece, 2004; pp. 736+1191–1194. [Google Scholar]
- Fischer, J.E. (Ed.) Mastery of Surgery Volume Two, 5th ed.; Lippincott Williams & Wilkins: Philadelphia, PA, USA, 2007; pp. 1237–1240. [Google Scholar]
- Merza, M.; Hartman, H.; Rahman, M.; Hwaiz, R.; Zhang, E.; Renström, E.; Luo, L.; Mörgelin, M.; Regner, S.; Thorlacius, H. Neutrophil Extracellular Traps Induce Trypsin Activation, Inflammation, and Tissue Damage in Mice With Severe Acute Pancreatitis. Gastroenterology 2015, 149, 1920–1931.e8. [Google Scholar] [CrossRef]
- Shamoon, M.; Deng, Y.; Chen, Y.; Bhatia, M.; Sun, J. Therapeutic Implications of Innate Immune System in Acute Pancreatitis. Expert Opin. Ther. Targets 2016, 20, 73–87. [Google Scholar] [CrossRef]
- Zheng, L.; Xue, J.; Jaffee, E.M.; Habtezion, A. Role of Immune Cells and Immune-Based Therapies in Pancreatitis and Pancreatic Ductal Adenocarcinoma. Gastroenterology 2013, 144, 1230–1240. [Google Scholar] [CrossRef]
- Klöppel, G. Histopathology of Acute Pancreatitis. In The Pancreas; John Wiley & Sons, Ltd.: Hoboken, NJ, USA, 2018; pp. 193–198. [Google Scholar] [CrossRef]
- Klöppel, G. Acute Pancreatitis. Semin. Diagn. Pathol. 2004, 21, 221–226. [Google Scholar] [CrossRef] [PubMed]
- Murphy, K.P.; O’Connor, O.J.; Maher, M.M. Updated Imaging Nomenclature for Acute Pancreatitis. Am. J. Roentgenol. 2014, 203, W464–W469. [Google Scholar] [CrossRef]
- Detlefsen, S.; Sipos, B.; Feyerabend, B.; Klöppel, G. Fibrogenesis in Alcoholic Chronic Pancreatitis: The Role of Tissue Necrosis, Macrophages, Myofibroblasts and Cytokines. Mod. Pathol. 2006, 19, 1019–1026. [Google Scholar] [CrossRef]
- Steer, M.L.; Perides, G.; Domínguez-Muñoz, J.E. Pathogenesis: How Does Acute Pancreatitis Develop? In Clinical Pancreatology for Practising Gastroenterologists and Surgeons; Domínguez-Muñoz, J.E., Ed.; Blackwell: Malden, MA, USA, 2005; pp. 10–26. [Google Scholar]
- Dancu, G.; Bende, F.; Danila, M.; Sirli, R.; Popescu, A.; Tarta, C. Hypertriglyceridaemia-Induced Acute Pancreatitis: A Different Disease Phenotype. Diagnostics 2022, 12, 868. [Google Scholar] [CrossRef] [PubMed]
- Bazerbachi, F.; Haffar, S.; Hussain, M.T.; Vargas, E.J.; Watt, K.D.; Murad, M.H.; Chari, S.; Abu Dayyeh, B.K. Systematic Review of Acute Pancreatitis Associated with Interferon-α or Pegylated Interferon-α: Possible or Definitive Causation? Pancreatology 2018, 18, 691–699. [Google Scholar] [CrossRef] [PubMed]
- Barbara, M.; Tsen, A.; Rosenkranz, L. Acute Pancreatitis in Chronic Dialysis Patients. Pancreas 2018, 47, 946–951. [Google Scholar] [CrossRef]
- Fonseca Sepúlveda, E.; Guerrero-Lozano, R. Acute Pancreatitis and Recurrent Acute Pancreatitis: An Exploration of Clinical and Etiologic Factors and Outcomes. J. Pediatr. 2019, 95, 713–719. [Google Scholar] [CrossRef]
- Whitcomb, D.C.; Yadav, D.; Adam, S.; Hawes, R.H.; Brand, R.E.; Anderson, M.A.; Money, M.E.; Banks, P.A.; Bishop, M.D.; Baillie, J.; et al. Multicenter Approach to Recurrent Acute and Chronic Pancreatitis in the United States: The North American Pancreatitis Study 2 (NAPS2). Pancreatology 2008, 8, 520–531. [Google Scholar] [CrossRef]
- Banks, P.A. Epidemiology, Natural History, and Predictors of Disease Outcome in Acute and Chronic Pancreatitis. Gastrointest. Endosc. 2002, 56, S226–S230. [Google Scholar] [CrossRef]
- Srettabunjong, S.; Limgitisupasin, W. Severe Acute Hemorrhagic Pancreatitis Secondary to Cholelithiasis as a Rare Cause of Sudden Unexpected Death in Medico-Legal Case: A Case Report. Medicine 2016, 95, e4680. [Google Scholar] [CrossRef] [PubMed]
- Stoppacher, R. Sudden Death Due to Acute Pancreatitis. Acad. Forensic Pathol. 2018, 8, 239–255. [Google Scholar] [CrossRef]
- Bhatia, M.; Wong, F.L.; Cao, Y.; Lau, H.Y.; Huang, J.; Puneet, P.; Chevali, L. Pathophysiology of Acute Pancreatitis. Pancreatology 2005, 5, 132–144. [Google Scholar] [CrossRef]
- Tsomidis, I.; Voumvouraki, A.; Kouroumalis, E. The Pathogenesis of Pancreatitis and the Role of Autophagy. Gastroenterol. Insights 2024, 15, 303–341. [Google Scholar] [CrossRef]
- Kalivarathan, J.; Yadav, K.; Bataller, W.; Brigle, N.W.; Kanak, M.A. Chapter 1—Etiopathogenesis and Pathophysiology of Chronic Pancreatitis. In Transplantation, Bioengineering, and Regeneration of the Endocrine Pancreas; Orlando, G., Piemonti, L., Ricordi, C., Stratta, R.J., Gruessner, R.W.G., Eds.; Academic Press: Cambridge, MA, USA, 2020; pp. 5–32. [Google Scholar] [CrossRef]
- Mayerle, J.; Sendler, M.; Hegyi, E.; Beyer, G.; Lerch, M.M.; Sahin-Tóth, M. Genetics, Cell Biology, and Pathophysiology of Pancreatitis. Gastroenterology 2019, 156, 1951–1968.e1. [Google Scholar] [CrossRef] [PubMed]
- Halangk, W.; Krüger, B.; Ruthenbürger, M.; Stürzebecher, J.; Albrecht, E.; Lippert, H.; Lerch, M.M. Trypsin Activity Is Not Involved in Premature, Intrapancreatic Trypsinogen Activation. Am. J. Physiol. Gastrointest. Liver Physiol. 2002, 282, G367–G374. [Google Scholar] [CrossRef]
- Van Acker, G.J.D.; Saluja, A.K.; Bhagat, L.; Singh, V.P.; Song, A.M.; Steer, M.L. Cathepsin B Inhibition Prevents Trypsinogen Activation and Reduces Pancreatitis Severity. Am. J. Physiol. Gastrointest. Liver Physiol. 2002, 283, G794–G800. [Google Scholar] [CrossRef] [PubMed]
- Demcsák, A.; Sahin-Tóth, M. Heterozygous Spink1 Deficiency Promotes Trypsin-Dependent Chronic Pancreatitis in Mice. Cell Mol. Gastroenterol. Hepatol. 2024, 18, 101361. [Google Scholar] [CrossRef] [PubMed]
- van Acker, G.J.; Perides, G.; Steer, M.L. Co-Localization Hypothesis: A Mechanism for the Intrapancreatic Activation of Digestive Enzymes during the Early Phases of Acute Pancreatitis. World J. Gastroenterol. WJG 2006, 12, 1985. [Google Scholar] [CrossRef]
- Gerasimenko, J.V.; Gerasimenko, O.V. The Role of Ca2+ Signalling in the Pathology of Exocrine Pancreas. Cell Calcium 2023, 112, 102740. [Google Scholar] [CrossRef]
- Wen, L.; Voronina, S.; Javed, M.; Awais, M.; Szatmary, P.; Latawiec, D.; Chvanov, M.; Collier, D.; Huang, W.; Barrett, J.; et al. Inhibitors of ORAI1 Prevent Cytosolic Calcium-Associated Injury of Human Pancreatic Acinar Cells and Acute Pancreatitis in 3 Mouse Models. Gastroenterology 2015, 149, 481–492.e7. [Google Scholar] [CrossRef]
- Li, J.; Zhou, R.; Zhang, J.; Li, Z.-F. Calcium Signaling of Pancreatic Acinar Cells in the Pathogenesis of Pancreatitis. World J. Gastroenterol. WJG 2014, 20, 16146. [Google Scholar] [CrossRef]
- Maléth, J.; Hegyi, P. Ca2+ Toxicity and Mitochondrial Damage in Acute Pancreatitis: Translational Overview. Philos. Trans. R. Soc. B Biol. Sci. 2016, 371, 20150425. [Google Scholar] [CrossRef]
- Shore, E.R.; Awais, M.; Kershaw, N.M.; Gibson, R.R.; Pandalaneni, S.; Latawiec, D.; Wen, L.; Javed, M.A.; Criddle, D.N.; Berry, N.; et al. Small Molecule Inhibitors of Cyclophilin D To Protect Mitochondrial Function as a Potential Treatment for Acute Pancreatitis. J. Med. Chem. 2016, 59, 2596–2611. [Google Scholar] [CrossRef]
- Maléth, J.; Hegyi, P.; Rakonczay, Z.; Venglovecz, V. Breakdown of Bioenergetics Evoked by Mitochondrial Damage in Acute Pancreatitis: Mechanisms and Consequences. Pancreatology 2015, 15, S18–S22. [Google Scholar] [CrossRef] [PubMed]
- Criddle, D.N. Reactive Oxygen Species, Ca(2+) Stores and Acute Pancreatitis; a Step Closer to Therapy? Cell Calcium 2016, 60, 180–189. [Google Scholar] [CrossRef]
- Odinokova, I.V.; Sung, K.-F.; Mareninova, O.A.; Hermann, K.; Evtodienko, Y.; Andreyev, A.; Gukovsky, I.; Gukovskaya, A.S. Mechanisms Regulating Cytochrome c Release in Pancreatic Mitochondria. Gut 2009, 58, 431–442. [Google Scholar] [CrossRef]
- Borrello, M.T.; Martin, M.B.; Pin, C.L. The Unfolded Protein Response: An Emerging Therapeutic Target for Pancreatitis and Pancreatic Ductal Adenocarcinoma. Pancreatology 2022, 22, 148–159. [Google Scholar] [CrossRef] [PubMed]
- Yan, C.; Ma, Y.; Li, H.; Cui, J.; Guo, X.; Wang, G.; Ji, L. Endoplasmic Reticulum Stress Promotes Caspase-1-Dependent Acinar Cell Pyroptosis through the PERK Pathway to Aggravate Acute Pancreatitis. Int. Immunopharmacol. 2023, 120, 110293. [Google Scholar] [CrossRef]
- Barrera, K.; Stanek, A.; Okochi, K.; Niewiadomska, Z.; Mueller, C.; Ou, P.; John, D.; Alfonso, A.E.; Tenner, S.; Huan, C. Acinar Cell Injury Induced by Inadequate Unfolded Protein Response in Acute Pancreatitis. World J. Gastrointest. Pathophysiol. 2018, 9, 37–46. [Google Scholar] [CrossRef]
- Edwards, J.-A.; Toussaint, N.; Dong, S.; Mueller, C.; Zhang, J.; Shakhvorostova, S.; Dresner, L.; Schwartzman, A.; Stanek, A.; Huan, C. Targeting Atf6 as a Potential Strategy for Acute Pancreatitis Treatment. J. Am. Coll. Surg. 2021, 233, S144. [Google Scholar] [CrossRef]
- Zhou, Z.; Zhang, P.; Li, J.; Yao, J.; Jiang, Y.; Wan, M.; Tang, W.; Liu, L. Autophagy and the Pancreas: Healthy and Disease States. Front. Cell Dev. Biol. 2024, 12, 1460616. [Google Scholar] [CrossRef]
- Ding, W.-X.; Ma, X.; Kim, S.; Wang, S.; Ni, H.-M. Recent Insights about Autophagy in Pancreatitis. eGastroenterology 2024, 2, e100057. [Google Scholar] [CrossRef]
- Gukovsky, I.; Pandol, S.J.; Mareninova, O.A.; Shalbueva, N.; Jia, W.; Gukovskaya, A.S. Impaired Autophagy and Organellar Dysfunction in Pancreatitis. J. Gastroenterol. Hepatol. 2012, 27 (Suppl. S2), 27. [Google Scholar] [CrossRef]
- Zhu, H.; Yu, X.; Zhu, S.; Li, X.; Lu, B.; Li, Z.; Yu, C. The Fusion of Autophagosome with Lysosome Is Impaired in L-Arginine-Induced Acute Pancreatitis. Int. J. Clin. Exp. Pathol. 2015, 8, 11164–11170. [Google Scholar] [PubMed]
- Kang, R.; Lotze, M.T.; Zeh, H.J.; Billiar, T.R.; Tang, D. Cell Death and DAMPs in Acute Pancreatitis. Mol. Med. 2014, 20, 466. [Google Scholar] [CrossRef]
- Mattke, J.; Darden, C.M.; Lawrence, M.C.; Kuncha, J.; Shah, Y.A.; Kane, R.R.; Naziruddin, B. Toll-like Receptor 4 in Pancreatic Damage and Immune Infiltration in Acute Pancreatitis. Front. Immunol. 2024, 15, 1362727. [Google Scholar] [CrossRef]
- Liu, T.; Wang, Q.; Du, Z.; Yin, L.; Li, J.; Meng, X.; Xue, D. The Trigger for Pancreatic Disease: NLRP3 Inflammasome. Cell Death Discov. 2023, 9, 246. [Google Scholar] [CrossRef]
- Wan, J.; Ren, Y.; Yang, X.; Li, X.; Xia, L.; Lu, N. The Role of Neutrophils and Neutrophil Extracellular Traps in Acute Pancreatitis. Front. Cell Dev. Biol. 2021, 8, 565758. [Google Scholar] [CrossRef] [PubMed]
- Bhatia, M. Apoptosis versus Necrosis in Acute Pancreatitis. Am. J. Physiol.-Gastrointest. Liver Physiol. 2004, 286, G189–G196. [Google Scholar] [CrossRef]
- Ren, Y.; Su, Y.; Sun, L.; He, S.; Meng, L.; Liao, D.; Liu, X.; Ma, Y.; Liu, C.; Li, S.; et al. Discovery of a Highly Potent, Selective, and Metabolically Stable Inhibitor of Receptor-Interacting Protein 1 (RIP1) for the Treatment of Systemic Inflammatory Response Syndrome. J. Med. Chem. 2017, 60, 972–986. [Google Scholar] [CrossRef] [PubMed]
- He, R.; Wang, Z.; Dong, S.; Chen, Z.; Zhou, W. Understanding Necroptosis in Pancreatic Diseases. Biomolecules 2022, 12, 828. [Google Scholar] [CrossRef]
- Gao, L.; Dong, X.; Gong, W.; Huang, W.; Xue, J.; Zhu, Q.; Ma, N.; Chen, W.; Fu, X.; Gao, X.; et al. Acinar Cell NLRP3 Inflammasome and Gasdermin D (GSDMD) Activation Mediates Pyroptosis and Systemic Inflammation in Acute Pancreatitis. Br. J. Pharmacol. 2021, 178, 3533–3552. [Google Scholar] [CrossRef]
- Mukherjee, R.; Criddle, D.N.; Gukvoskaya, A.; Pandol, S.; Petersen, O.H.; Sutton, R. Mitochondrial Injury in Pancreatitis. Cell Calcium 2008, 44, 14. [Google Scholar] [CrossRef]
- Xia, D.; Halder, B.; Godoy, C.; Chakraborty, A.; Singla, B.; Thomas, E.; Shuja, J.B.; Kashif, H.; Miller, L.; Csanyi, G.; et al. NADPH Oxidase 1 Mediates Caerulein-Induced Pancreatic Fibrosis in Chronic Pancreatitis. Free Radic. Biol. Med. 2020, 147, 139–149. [Google Scholar] [CrossRef] [PubMed]
- Rong, J.; Han, C.; Huang, Y.; Wang, Y.; Qiu, Q.; Wang, M.; Wang, S.; Wang, R.; Yang, J.; Li, X.; et al. Inhibition of Xanthine Oxidase Alleviated Pancreatic Necrosis via HIF-1α-Regulated LDHA and NLRP3 Signaling Pathway in Acute Pancreatitis. Acta Pharm. Sin. B 2024, 14, 3591–3604. [Google Scholar] [CrossRef] [PubMed]
- Rius-Pérez, S.; Torres-Cuevas, I.; Monsalve, M.; Miranda, F.J.; Pérez, S. Impairment of PGC-1 Alpha Up-Regulation Enhances Nitrosative Stress in the Liver during Acute Pancreatitis in Obese Mice. Antioxidants 2020, 9, 887. [Google Scholar] [CrossRef] [PubMed]
- Dumnicka, P.; Maduzia, D.; Ceranowicz, P.; Olszanecki, R.; Drożdż, R.; Kuśnierz-Cabala, B. The Interplay between Inflammation, Coagulation and Endothelial Injury in the Early Phase of Acute Pancreatitis: Clinical Implications. Int. J. Mol. Sci. 2017, 18, 354. [Google Scholar] [CrossRef]
- Komara, N.L.; Paragomi, P.; Greer, P.J.; Wilson, A.S.; Breze, C.; Papachristou, G.I.; Whitcomb, D.C. Severe Acute Pancreatitis: Capillary Permeability Model Linking Systemic Inflammation to Multiorgan Failure. Am. J. Physiol. Gastrointest. Liver Physiol. 2020, 319, G573–G583. [Google Scholar] [CrossRef] [PubMed]
- Keck, T.; Friebe, V.; Warshaw, A.L.; Antoniu, B.A.; Waneck, G.; Benz, S.; Hopt, U.T.; Fernández-del-Castillo, C. Pancreatic Proteases in Serum Induce Leukocyte-Endothelial Adhesion and Pancreatic Microcirculatory Failure. Pancreatology 2005, 5, 241–250. [Google Scholar] [CrossRef]
- Bagai, S.; Malik, V.; Khullar, D.; Chakravarty, M.S.; Sahu, A. Thrombotic Microangiopathy Secondary to Pancreatitis: A Diagnostic Enigma. Indian J. Nephrol. 2022, 32, 279. [Google Scholar] [CrossRef]
- Whitcomb, D.C.; LaRusch, J.; Krasinskas, A.M.; Klei, L.; Smith, J.P.; Brand, R.E.; Neoptolemos, J.P.; Lerch, M.M.; Tector, M.; Sandhu, B.S.; et al. Common Genetic Variants in the CLDN2 and PRSS1-PRSS2 Loci Alter Risk for Alcohol-Related and Sporadic Pancreatitis. Nat. Genet. 2012, 44, 1349–1354. [Google Scholar] [CrossRef]
- Di Leo, M.; Bianco, M.; Zuppardo, R.A.; Guslandi, M.; Calabrese, F.; Mannucci, A.; Neri, T.M.; Testoni, P.A.; Leandro, G.; Cavestro, G.M. Meta-Analysis of the Impact of SPINK1 p.N34S Gene Variation in Caucasic Patients with Chronic Pancreatitis. An Update. Dig. Liver Dis. 2017, 49, 847–853. [Google Scholar] [CrossRef]
- Freeman, A.J.; Ooi, C.Y. Pancreatitis and Pancreatic Cystosis in Cystic Fibrosis. J. Cyst. Fibros. 2017, 16 (Suppl. S2), S79–S86. [Google Scholar] [CrossRef]
- Beer, S.; Zhou, J.; Szabó, A.; Keiles, S.; Chandak, G.R.; Witt, H.; Sahin-Tóth, M. Comprehensive Functional Analysis of Chymotrypsin C (CTRC) Variants Reveals Distinct Loss-of-Function Mechanisms Associated with Pancreatitis Risk. Gut 2013, 62, 1616–1624. [Google Scholar] [CrossRef] [PubMed]












| Type | % 1 | Location in Compact Islets | Ultrastructure | Secretion |
|---|---|---|---|---|
| B (beta) | 60–70% | Center | Granules with crystalloid | Insulin |
| A (alpha) | 15–20% | Periphery | Eccentric electron-dense material | Glucagon |
| D (delta) | 10–15% | Periphery | Small, uniformly electron-dense granules | Somatostatin |
| PP | 5% | Nonspecific | Granules with variable electron density or homogeneously electron-dense (depending on area) | Pancreatic polypeptide |
| Aspect 1 | Organ | Relationship |
|---|---|---|
| Anterior | Stomach | The posterior wall of the stomach is separated from the anterior surface of the pancreas by only the lesser sac (omental bursa). |
| Transverse colon/mesocolon | An important surgical landmark, the transverse mesocolon attaches to the anterior pancreatic surface. | |
| Small intestine | Loops of jejunum may lie anterior to the pancreas, especially its lower part. | |
| Posterior | Aorta | The body of the pancreas crosses anterior to the aorta, at the level of the celiac trunk and superior mesenteric artery (SMA) origins. |
| Inferior vena cava (IVC) | Lies posterior to the head of the pancreas. | |
| Left kidney/adrenal gland | Posterior to the body and tail of the pancreas. | |
| Splenic vein | Courses along the posterior surface of the pancreatic body and tail. | |
| Left renal vein | Passes behind the neck and body of the pancreas | |
| Vertebral column | The pancreas lies anterior to the L1 and L2 vertebrae. | |
| Lateral | Spleen | The tail of the pancreas extends towards the splenic hilum within the splenorenal/lienorenal ligament. |
| Splenic artery | Courses along the superior border of the pancreas laterally. | |
| Medial | Duodenum | The C-shaped duodenal loop wraps around the head of the pancreas. The second part of the duodenum lies lateral to the pancreatic head and contains the major duodenal papilla (ampulla of Vater), where the pancreatic duct and common bile duct typically enter the duodenum. |
| Superior mesenteric vessels | The superior mesenteric artery and vein pass behind the neck of the pancreas and in front of the uncinate process. | |
| Superior | Celiac trunk | Originates from the aorta just above the superior border of the pancreas. |
| Common hepatic artery | Often courses along the superior border of the pancreas before turning upwards towards the liver. | |
| Inferior | Duodenojejunal flexure | Lies inferior to the body of the pancreas. |
| Left colic flexure | May come into contact with the inferior border of the pancreatic tail. |
| More Common Causes | Less Common Causes |
|---|---|
|
|
| Mechanisms | Main Components | Key Players | Detailed Process | Consequences | Interactions | Potential Interventions |
|---|---|---|---|---|---|---|
| 1. Premature Enzyme Activation [67,68,69,70] | Trypsinogen Autoactivation [67] | - Cationic trypsinogen (PRSS1) - Anionic trypsinogen (PRSS2) - Trypsin | - pH drop in acinar cells - Conformational change in trypsinogen - Autocatalytic cleavage of trypsinogen activation peptide - Formation of active trypsin | - Initiates zymogen activation cascade - Damages cellular structures - Triggers inflammatory responses | - Amplifies calcium signaling disruption - Activates NF-κB pathway - Induces acinar cell injury | - Trypsin-specific inhibitors - pH modulators - Trypsinogen stabilizers |
| Cathepsin B-Mediated Activation [68] | - Cathepsin B - Trypsinogen - Lysosomal membrane proteins | - Lysosomal membrane permeabilization - Release of cathepsin B into cytosol - Cathepsin B cleaves trypsinogen activation peptide - Formation of active trypsin | - Accelerates trypsinogen activation - Contributes to lysosomal dysfunction - Enhances cellular damage | - Interacts with autophagy pathways - Contributes to oxidative stress - Amplifies inflammatory cascade | - Cathepsin B inhibitors (e.g., CA-074Me) - Lysosomal membrane stabilizers - Autophagy modulators | |
| Impaired Protective Mechanisms [69] | - SPINK1 - CTRC - α1-antitrypsin | - Overwhelmed SPINK1 capacity - Reduced CTRC-mediated trypsin degradation - Insufficient α1-antitrypsin levels | - Unchecked trypsin activity - Prolonged enzyme activation - Extended tissue damage | - Affects ER stress responses - Modulates inflammatory intensity - Influences cell death pathways | - SPINK1 analogues - CTRC activators - Recombinant α1-antitrypsin therapy | |
| Zymogen Co-localization [70] | - Zymogen granules -Lysosomes - Vacuoles | - Formation of large vacuoles - Fusion of zymogen granules with lysosomes - Creation of environment for enzyme activation | - Facilitates enzyme activation - Disrupts normal cellular architecture - Contributes to organelle dysfunction | - Linked to autophagy impairment - Affects intracellular trafficking - Contributes to ER stress | - Vacuole formation inhibitors - Intracellular trafficking modulators - Organelle stabilizers | |
| 2. Calcium Signaling Disruption [71,72,73,74] | Excessive Ca2+ Release from ER [71] | - IP3 receptors - Ryanodine receptors - SERCA pumps | - Increased IP3 production - IP3R activation and Ca2+ release - Ca2+-induced Ca2+ release via RyRs - Impaired SERCA function due to ATP depletion | - Sustained cytosolic Ca2+ elevation - ER Ca2+ store depletion - Mitochondrial Ca2+ overload | - Triggers ER stress - Exacerbates mitochondrial dysfunction - Activates Ca2+-dependent enzymes | - IP3R inhibitors (e.g., 2-APB) - RyR modulators - SERCA activators |
| Enhanced Ca2+ Influx (SOCE) [72] | - STIM1 - Orai1 - TRPC channels | - ER Ca2+ depletion sensed by STIM1 - STIM1 oligomerization and translocation - Activation of Orai1 channels - Ca2+ influx from extracellular space | - Prolonged cytosolic Ca2+ elevation - Cellular energy depletion - Activation of Ca2+-dependent pathways | - Amplifies initial Ca2+ signaling disruption - Contributes to oxidative stress - Affects membrane potential | - SOCE inhibitors (e.g., GSK-7975A) - STIM1/Orai1 modulators - TRPC channel blockers | |
| Impaired Ca2+ Extrusion [73] | - PMCA pumps - Na+/Ca2+ exchangers - ATP | - ATP depletion impairs PMCA function - Reduced Na+/Ca2+ exchanger activity - Accumulation of cytosolic Ca2+ | - Prolonged cytosolic Ca2+ elevation - Disruption of Ca2+ gradients - Cellular stress and dysfunction | - Exacerbates energy crisis - Contributes to oxidative stress - Affects membrane integrity | - PMCA activators - Na+/Ca2+ exchanger modulators - ATP supplementation strategies | |
| Mitochondrial Ca2+ Overload [74] | - Mitochondrial Ca2+ uniporter (MCU) - MPTP - Cyclophilin D | - Excessive Ca2+ uptake by MCU - Mitochondrial Ca2+ overload - MPTP opening - Mitochondrial swelling and dysfunction | - Impaired ATP production - Increased ROS generation - Cytochrome c release | - Central to mitochondrial dysfunction - Contributes to apoptosis initiation - Affects cellular energy status | - MCU inhibitors - MPTP inhibitors (e.g., cyclosporin A) - Mitochondrial Ca2+ buffering enhancers | |
| 3. Mitochondrial Dysfunction [75,76,77,78] | MPTP Opening [75] | - Cyclophilin D - ATP synthase - Voltage-dependent anion channel (VDAC) | - Ca2+ overload and oxidative stress trigger MPTP opening - Loss of mitochondrial membrane potential - Swelling of mitochondria - Release of proapoptotic factors | - Energy crisis - Increased ROS production - Initiation of cell death pathways | - Central to mitochondria-mediated apoptosis - Exacerbates oxidative stress - Affects Ca2+ homeostasis | - Cyclophilin D inhibitors - MPTP stabilizers - Mitochondrial membrane potential preservers |
| ATP Depletion [76] | - Electron transport chain complexes - ATP synthase - ADP/ATP translocase | - Impaired electron transport - Reduced proton gradient - Decreased ATP synthesis - Impaired ATP export from mitochondria | - Cellular energy crisis - Impaired ion pump function - Disruption of cellular processes | - Affects all ATP-dependent processes - Exacerbates Ca2+ overload - Impairs cellular repair mechanisms | - ETC complex activators - ATP synthase modulators - Mitochondrial substrate supplementation | |
| ROS Overproduction [77] | - Complex I and III of ETC - Superoxide dismutase (SOD) - Glutathione peroxidase | - Electron leakage from ETC - Formation of superoxide radicals - Overwhelmed antioxidant defenses - Oxidative damage to mitochondrial components | - Oxidative damage to proteins, lipids, and DNA - Further impairment of mitochondrial function - Activation of stress response pathways | - Contributes to MPTP opening - Activates inflammatory pathways - Enhances ER stress | - Mitochondria-targeted antioxidants (e.g., MitoQ) - SOD mimetics - ETC electron leak inhibitors | |
| Cytochrome c Release [78] | - Bax/Bak - Bcl-2 - Cytochrome c - Apaf-1 | - Proapoptotic Bax/Bak activation - Outer mitochondrial membrane permeabilization - Cytochrome c release into cytosol - Formation of apoptosome | - Initiation of intrinsic apoptosis pathway - Caspase activation - Propagation of cell death signals | - Central to apoptosis regulation - Influences inflammatory responses - Affects overall cell fate decisions | - Bcl-2 inhibitors/activators - Caspase inhibitors - Apoptosome formation inhibitors | |
| 4. Endoplasmic Reticulum (ER) Stress [79,80,81,82] | Unfolded Protein Response (UPR) Activation [79] | - BiP/GRP78 - PERK - IRE1α - ATF6 | - Accumulation of misfolded proteins - BiP dissociation from ER stress sensors - Activation of PERK, IRE1α, and ATF6 pathways - Induction of UPR target genes | - Global protein synthesis attenuation - Upregulation of chaperones - Enhanced ER-associated degradation (ERAD) | - Modulates inflammatory responses - Influences autophagy regulation - Affects cell survival decisions | - Chemical chaperones (e.g., 4-PBA, TUDCA) - UPR modulators - Protein folding enhancers |
| PERK Pathway [80] | - PERK - eIF2α - ATF4 - CHOP | - PERK dimerization and autophosphorylation - eIF2α phosphorylation - Selective translation of ATF4 - Induction of CHOP | - Global protein synthesis inhibition - Upregulation of stress response genes - Potential apoptosis induction via CHOP | - Affects cellular redox state - Modulates autophagy - Influences lipid metabolism | - PERK inhibitors - eIF2α dephosphorylation modulators - CHOP inhibitors | |
| IRE1α Pathway [81] | - IRE1α - XBP1 - TRAF2 - JNK | - IRE1α oligomerization and activation - XBP1 mRNA splicing - JNK activation via TRAF2 - Regulated IRE1-dependent decay (RIDD) | - Upregulation of ER chaperones and ERAD components - Activation of inflammatory pathways - Selective mRNA degradation | - Crosstalk with inflammatory signaling - Affects lipid metabolism - Modulates cell death pathways | - IRE1α RNase inhibitors - JNK inhibitors - XBP1 modulators | |
| ATF6 Pathway [82] | - ATF6 - S1P and S2P proteases - ERAD components | - ATF6 translocation to Golgi - Cleavage by S1P and S2P - Nuclear translocation of cleaved ATF6 - Transcription of UPR target genes | - Increased ER folding capacity - Enhanced ERAD - Expansion of ER membrane | - Affects lipid biosynthesis - Modulates inflammatory responses - Influences cellular adaptation to stress | - ATF6 activators/inhibitors - S1P/S2P modulators - ERAD enhancers | |
| 5. Autophagy Impairment [83,84,85,86] | Initiation Defects [83] | - ULK1 complex - mTORC1 - AMPK | - Dysregulation of mTORC1/AMPK signaling - Impaired ULK1 complex activation - Reduced autophagosome formation initiation | - Accumulation of cellular debris - Impaired stress response - Reduced cellular quality control | - Affects cellular energy sensing - Influences ER stress responses - Modulates inflammatory pathways | - mTOR inhibitors (e.g., rapamycin) - AMPK activators - ULK1 activators |
| Autophagosome Formation Defects [84] | - Beclin-1/VPS34 complex - ATG proteins (e.g., ATG5, ATG7) - LC3 | - Impaired nucleation of phagophore - Defective elongation of autophagosomal membrane - Reduced LC3 lipidation | - Inefficient sequestration of cargo - Accumulation of protein aggregates and damaged organelles - Cellular stress amplification | - Affects mitochondrial quality control - Influences ER stress resolution - Modulates inflammatory responses | - Beclin-1/VPS34 activators - ATG protein modulators - LC3 lipidation enhancers | |
| Lysosomal Dysfunction [85] | - v-ATPase - Lysosomal hydrolases - LAMP proteins | - Impaired lysosomal acidification - Reduced hydrolase activity - Defective lysosomal membrane integrity | - Accumulation of autophagosomes - Inefficient degradation of cellular components - Potential release of lysosomal contents | - Exacerbates ER stress - Contributes to inflammatory activation - Affects cellular metabolism | - v-ATPase activators - Lysosomal membrane stabilizers - Hydrolase replacement therapies | |
| Autophagosome–Lysosome Fusion Defects [86] | - SNARE proteins - Rab7 - HOPS complex | - Impaired tethering of autophagosomes to lysosomes - Defective SNARE complex formation - Reduced fusion efficiency | - Accumulation of autophagosomes - Inefficient completion of autophagic flux - Cellular stress due to incomplete degradation | - Affects vesicular trafficking - Influences protein and organelle turnover - Modulates cellular homeostasis | - Rab7 activators - SNARE complex modulators - HOPS complex enhancers | |
| 6. Inflammatory Response [87,88,89,90] | DAMPs Release [87] | - HMGB1 - ATP - DNA - Heat shock proteins | - Cellular damage/necrosis - Release of intracellular components - Recognition by pattern recognition receptors (PRRs) | - Activation of innate immune responses - Initiation of sterile inflammation - Amplification of tissue damage | - Triggers TLR signaling - Activates NLRP3 inflammasome - Promotes neutrophil extracellular traps (NETs) | - DAMP neutralizing antibodies - TLR antagonists - HMGB1 inhibitors |
| TLR Activation [88] | - TLR2, TLR4, TLR9 - MyD88 - TRIF | - DAMP recognition by TLRs - Recruitment of adaptor proteins - Activation of downstream signaling cascades | - NF-κB and AP-1 activation - Proinflammatory cytokine production - Leukocyte recruitment | - Amplifies inflammatory signaling - Influences cell death decisions - Modulates adaptive immune responses | - TLR antagonists - MyD88 inhibitors - NF-κB pathway modulators | |
| Inflammasome Activation [89] | - NLRP3 - ASC - Caspase-1 - IL-1β, IL-18 | - Priming step: NF-κB-mediated upregulation of NLRP3 and pro-IL-1β - Activation step: NLRP3 oligomerization and inflammasome assembly - Caspase-1 activation and cytokine processing | - Release of mature IL-1β and IL-18 - Pyroptosis induction - Amplification of inflammatory responses | - Crosstalk with TLR signaling - Influences neutrophil recruitment - Affects adaptive immunity | - NLRP3 inhibitors - Caspase-1 inhibitors - IL-1 receptor antagonists | |
| Neutrophil Infiltration [90] | - Chemokines (e.g., IL-8) - Adhesion molecules - Neutrophil granule proteins | - Chemokine-guided migration - Adhesion to endothelium - Transmigration into tissue - Release of inflammatory mediators and NETs | - Tissue damage via proteases and ROS - Amplification of inflammatory signals - Potential microvascular occlusion | - Contributes to oxidative stress - Enhances vascular permeability - Modulates adaptive immune responses | - Chemokine receptor antagonists - Adhesion molecule inhibitors - NET inhibitors | |
| 7. Cell Death [91,92,93,94] | Apoptosis [91] | - Caspases (8, 9, 3, 7) - Bcl-2 family proteins - Cytochrome c - Apaf-1 | - Extrinsic pathway: death receptor activation - Intrinsic pathway: mitochondrial outer membrane permeabilization - Caspase cascade activation - Controlled cellular dismantling | - Controlled cell death without inflammation - Maintenance of membrane integrity - Efficient clearance by phagocytes | - Influenced by ER stress and mitochondrial dysfunction - Modulates inflammatory responses - Affects tissue repair processes | - Caspase inhibitors - Bcl-2 family modulators - Death receptor antagonists |
| Necrosis [92] | - RIPK1, RIPK3 - MLKL - Cyclophilin D | - Cellular stress or damage beyond repair capacity - ATP depletion and ion pump failure - Cellular swelling and membrane rupture - Release of cellular contents | - Uncontrolled cell death with inflammation - Release of DAMPs - Tissue architecture disruption | - Exacerbates inflammatory responses - Triggers adaptive immune activation - Affects surrounding healthy tissue | - Necrosis inhibitors - Cellular energy preservers - Membrane stabilizers | |
| Necroptosis [93] | - RIPK1, RIPK3 - MLKL - FADD, caspase-8 | - Death receptor activation in absence of caspase-8 activity - RIPK1-RIPK3 necrosome formation - MLKL phosphorylation and oligomerization - Membrane permeabilization | - Programmed necrotic cell death - Inflammatory response induction - Potential pathogen clearance | - Crosstalk with apoptosis pathways - Modulates inflammatory signaling - Influences tissue damage extent | - RIPK1 inhibitors (e.g., Necrostatin-1) - RIPK3 inhibitors - MLKL inhibitors | |
| Pyroptosis [94] | - Caspase-1, Caspase-11 - Gasdermin D - NLRP3 inflammasome | - Inflammasome activation - Caspase-1/11 activation - Gasdermin D cleavage and pore formation - Cell lysis and IL-1β/IL-18 release | - Inflammatory form of programmed cell death - Cytokine release and inflammation amplification - Potential pathogen clearance | - Closely linked to inflammasome activation - Amplifies inflammatory responses - Affects tissue integrity | - Caspase-1 inhibitors - Gasdermin D inhibitors - IL-1 receptor antagonists | |
| 8. Oxidative and Nitrosative Stress [95,96,97,98] | Mitochondrial ROS Production [95] | - Complexes I and III of ETC - Superoxide dismutase (SOD) - Glutathione peroxidase | - Electron leakage from ETC - Superoxide radical formation - Conversion to H2O2 by SOD - Detoxification by glutathione system | - Oxidative damage to mitochondrial components - mtDNA mutations - Impaired ATP production | - Exacerbates mitochondrial dysfunction - Triggers MPTP opening - Activates stress response pathways | - Mitochondria-targeted antioxidants - ETC modulators - SOD mimetics |
| NADPH Oxidase Activation [96] | - NOX enzymes - p47phox, p67phox - Rac proteins | - Assembly of NOX complex at membrane - Electron transfer to molecular oxygen - Superoxide production - Conversion to other ROS species | - Extracellular and phagosomal ROS production - Oxidative damage to cellular components - Activation of redox-sensitive pathways | - Contributes to neutrophil-mediated damage - Modulates inflammatory signaling - Affects vascular function | - NOX inhibitors - Assembly inhibitors - ROS scavengers | |
| Xanthine Oxidase Activation [97] | - Xanthine dehydrogenase - Xanthine oxidase - Hypoxanthine/xanthine | - Conversion of xanthine dehydrogenase to oxidase - Hypoxanthine/xanthine oxidation - Superoxide and H2O2 production - Uric acid formation | - Increased ROS during ischemia reperfusion - Oxidative damage to cellular components - Potential NLRP3 inflammasome activation | - Exacerbates ischemia-reperfusion injury - Contributes to vascular dysfunction - Modulates inflammatory responses | - Xanthine oxidase inhibitors (e.g., allopurinol) - Antioxidants - Uric acid lowering agents | |
| Nitrosative Stress [98] | - iNOS - Peroxynitrite - Nitrotyrosine | - iNOS upregulation and activation - Excessive NO production - Reaction with superoxide to form peroxynitrite - Protein tyrosine nitration | - Nitrosative modification of proteins - DNA and lipid damage - Mitochondrial dysfunction | - Interacts with oxidative stress pathways - Modulates cellular signaling - Affects enzyme function and protein stability | - iNOS inhibitors - Peroxynitrite scavengers - Protein denitration strategies | |
| 9. Microcirculatory Dysfunction [99,100,101,102] | Vasoconstriction [99] | - Endothelin-1 - Thromboxane A2 - Angiotensin II | - Release of vasoconstrictors - Smooth muscle contraction - Reduced vessel diameter - Decreased blood flow | - Tissue ischemia - Impaired nutrient and oxygen delivery - Exacerbation of cellular stress | - Contributes to oxidative stress - Affects inflammatory cell recruitment - Modulates tissue edema | - Endothelin receptor antagonists - Thromboxane inhibitors - Vasodilators |
| Increased Vascular Permeability [100] | - VEGF - Bradykinin - Histamine - Leukotrienes | - Release of permeability factors - Endothelial cell contraction - Tight junction disruption - Increased paracellular transport | - Tissue edema - Fluid sequestration - Potential compartment syndrome | - Exacerbates inflammatory responses - Affects drug delivery to tissue - Modulates immune cell extravasation | - VEGF inhibitors - Bradykinin receptor antagonists - Antihistamines | |
| Leukocyte–Endothelial Interactions [101] | - Selectins (P, E, L) - Integrins - ICAM-1, VCAM-1 | - Leukocyte rolling (selectins) - Firm adhesion (integrins) - Transmigration - Release of inflammatory mediators | - Increased inflammatory cell infiltration - Endothelial activation and dysfunction - Microvascular occlusion | - Amplifies local inflammation - Contributes to tissue damage - Affects microvascular blood flow | - Selectin inhibitors - Integrin antagonists - Adhesion molecule blockers | |
| Microthrombi Formation [102] | - Tissue factor - Platelets - Fibrin - von Willebrand factor | - Tissue factor exposure - Platelet activation and aggregation - Fibrin deposition - Thrombus formation | - Microvascular occlusion - Tissue ischemia - Potential organ dysfunction | - Interacts with coagulation cascades - Affects inflammatory responses - Modulates tissue repair processes | - Anticoagulants - Antiplatelet agents - Fibrinolytic therapies | |
| 10. Genetics [103,104,105,106] | PRSS1 Mutations [103] | - Cationic trypsinogen - Trypsin | - Gain-of-function mutations in PRSS1 - Enhanced trypsinogen autoactivation - Resistance to protective mechanisms - Increased trypsin activity | - Increased susceptibility to pancreatitis - Enhanced acinar cell injury - Chronic inflammation and fibrosis | - Amplifies premature enzyme activation - Affects cellular stress responses - Modulates inflammatory pathways | - Personalized trypsin inhibitors - Gene therapy approaches - Pancreatic enzyme replacement |
| SPINK1 Mutations [104] | - Pancreatic secretory trypsin inhibitor | - Loss-of-function mutations in SPINK1 - Reduced trypsin inhibition capacity - Imbalance in protease–antiprotease equilibrium - Enhanced trypsin activity | - Increased risk of pancreatitis - Exacerbation of acinar cell damage - Potential progression to chronic pancreatitis | - Interacts with trypsin activation pathways - Affects ER stress responses - Modulates inflammatory intensity | - SPINK1 supplementation strategies - Alternative protease inhibitors - Targeted anti-inflammatory approaches | |
| CFTR Mutations [105] | - Cystic fibrosis transmembrane conductance regulator | - Impaired CFTR function - Altered ductal secretion - Changes in pancreatic juice composition - Potential protein precipitation in ducts | - Increased risk of pancreatitis - Ductal obstruction - Potential progression to pancreatic insufficiency | - Affects fluid and bicarbonate secretion - Modulates acinar–ductal interactions - Influences inflammatory responses | - CFTR modulators/potentiators - Mucolytic therapies - Ductal function enhancers | |
| CTRC Mutations [106] | - Chymotrypsin C | - Loss-of-function mutations in CTRC - Impaired trypsin degradation - Prolonged trypsin activity - Enhanced risk of trypsin-mediated damage | - Increased susceptibility to pancreatitis - Exacerbation of acinar cell injury - Potential chronic inflammation | - Interacts with trypsin activation/inactivation pathways - Affects protease–antiprotease balance - Modulates cellular stress responses | - CTRC replacement strategies - Alternative trypsin degradation enhancers - Targeted protease inhibitors |
Disclaimer/Publisher’s Note: The statements, opinions and data contained in all publications are solely those of the individual author(s) and contributor(s) and not of MDPI and/or the editor(s). MDPI and/or the editor(s) disclaim responsibility for any injury to people or property resulting from any ideas, methods, instructions or products referred to in the content. |
© 2024 by the authors. Licensee MDPI, Basel, Switzerland. This article is an open access article distributed under the terms and conditions of the Creative Commons Attribution (CC BY) license (https://creativecommons.org/licenses/by/4.0/).
Share and Cite
Mihoc, T.; Latcu, S.C.; Secasan, C.-C.; Dema, V.; Cumpanas, A.A.; Selaru, M.; Pirvu, C.A.; Valceanu, A.P.; Zara, F.; Dumitru, C.-S.; et al. Pancreatic Morphology, Immunology, and the Pathogenesis of Acute Pancreatitis. Biomedicines 2024, 12, 2627. https://doi.org/10.3390/biomedicines12112627
Mihoc T, Latcu SC, Secasan C-C, Dema V, Cumpanas AA, Selaru M, Pirvu CA, Valceanu AP, Zara F, Dumitru C-S, et al. Pancreatic Morphology, Immunology, and the Pathogenesis of Acute Pancreatitis. Biomedicines. 2024; 12(11):2627. https://doi.org/10.3390/biomedicines12112627
Chicago/Turabian StyleMihoc, Tudorel, Silviu Constantin Latcu, Cosmin-Ciprian Secasan, Vlad Dema, Alin Adrian Cumpanas, Mircea Selaru, Catalin Alexandru Pirvu, Andrei Paul Valceanu, Flavia Zara, Cristina-Stefania Dumitru, and et al. 2024. "Pancreatic Morphology, Immunology, and the Pathogenesis of Acute Pancreatitis" Biomedicines 12, no. 11: 2627. https://doi.org/10.3390/biomedicines12112627
APA StyleMihoc, T., Latcu, S. C., Secasan, C.-C., Dema, V., Cumpanas, A. A., Selaru, M., Pirvu, C. A., Valceanu, A. P., Zara, F., Dumitru, C.-S., Novacescu, D., & Pantea, S. (2024). Pancreatic Morphology, Immunology, and the Pathogenesis of Acute Pancreatitis. Biomedicines, 12(11), 2627. https://doi.org/10.3390/biomedicines12112627

