Complex Full-Arch Treatment with Zygomatic Implants, Fully Digital Protocol with Scan Flag Intraoral Scanning, and 3D-Printed Temporary Reconstructions in a Periodontal Patient—A Case Report
Abstract
1. Introduction
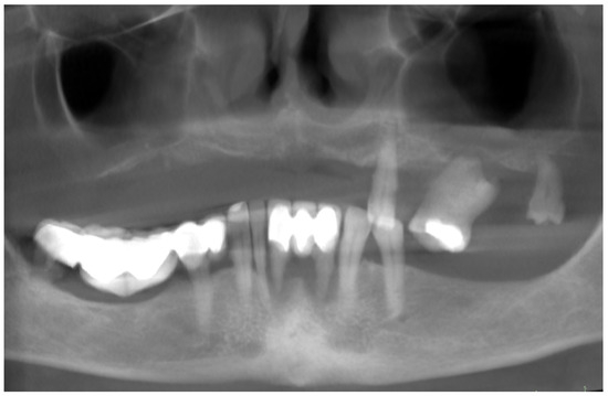
2. Patient Information and Clinical Findings
3. Therapeutic Intervention and Outcomes
3.1. Planning and Preparation for the Treatment
3.2. Surgery in the Mandible and Immediate Loading—Stage I
3.3. Surgery in the Maxilla and Immediate Loading—Stage II
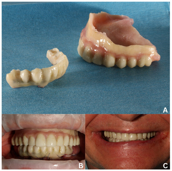
3.4. Final Reconstruction—Stage III
3.5. Results, Follow-Up, and Patient’s Perspective
4. Discussion
4.1. Periimplantitis Prevention
4.2. Prosthetically-Driven Implantology
4.3. Digital Impressions for Final Prosthetic Reconstruction
5. Conclusions
Author Contributions
Funding
Institutional Review Board Statement
Informed Consent Statement
Data Availability Statement
Acknowledgments
Conflicts of Interest
Abbreviations
| CAD-CAM | Computer-aided design–computer-aided manufacturing |
| CBCT | Cone beam computed tomography |
| IOS | Intraoral scan |
| ISB | Intraoral scan body |
| MUAs | Multiunit abutments |
| OPG | Othopantomogram |
References
- Pereira, A.L.C.; Medeiros, V.R.; da Fonte Porto Carreiro, A. Influence of implant position on the accuracy of intraoral scanning in fully edentulous arches: A systematic review. J. Prosthet. Dent. 2021, 126, 749–755. [Google Scholar] [CrossRef] [PubMed]
- Pereira, A.L.C.; Curinga, M.R.S.; Segundo, H.V.M.; da Fonte Porto Carreiro, A. Factors that influence the accuracy of intraoral scanning of total edentulous arches rehabilitated with multiple implants: A systematic review. J. Prosthet. Dent. 2023, 129, 855–862. [Google Scholar] [CrossRef] [PubMed]
- Tonetti, M.S.; Greenwell, H.; Kornman, K.S. Staging and grading of periodontitis: Framework and proposal of a new classification and case definition. J. Periodontol. 2018, 89 (Suppl. S1), S159–S172. [Google Scholar] [CrossRef] [PubMed]
- Nowicki, A.; Osypko, K.; Kurzawa, A.; Roszak, M.; Krawiec, K.; Pyka, D. Mechanical and Material Analysis of 3D-Printed Temporary Materials for Implant Reconstructions-A Pilot Study. Biomedicines 2024, 12, 870. [Google Scholar] [CrossRef]
- Mazurek-Popczyk, J.; Nowicki, A.; Arkusz, K.; Pałka, Ł.; Zimoch-Korzycka, A.; Baldy-Chudzik, K. Evaluation of biofilm formation on acrylic resins used to fabricate dental temporary restorations with the use of 3D printing technology. BMC Oral Health 2022, 22, 442. [Google Scholar] [CrossRef]
- Zhang, T.; Yang, B.; Ge, R.; Zhang, C.; Zhang, H.; Wang, Y. Effect of a Novel ‘Scan Body’ on the In Vitro Scanning Accuracy of Full-Arch Implant Impressions. Int. Dent. J. 2024, 74, 847–854. [Google Scholar] [CrossRef]
- Nowicki, A.; Osypko, K. Digital Smile Design, Vast Bone Reduction with Surgical Guide and Intraoral Welding—A Case Report. Dent. Res. Oral Health 2024, 7, 15–22. [Google Scholar] [CrossRef]
- Hamasni, F.M.; El Hajj, F.; Abdallah, R. Single Sitting Surgical Treatment of Generalized Aggressive Periodontitis Using GTR Technique and Immediate Implant Placement with 10-Year Follow-Up. Case Rep. Dent. 2018, 2018, 6194042. [Google Scholar] [CrossRef]
- Nowicki, A.; Osypko, K. Digital Workflow in Full Mouth Rehabilitation with Immediate Loading, Intraoral Welding and 3D-Printed Reconstructions in a Periodontal Patient: A Case Report. Reports 2023, 6, 52. [Google Scholar] [CrossRef]
- Rokaya, D.; Srimaneepong, V.; Wisitrasameewon, W.; Humagain, M.; Thunyakitpisal, P. Peri-implantitis Update: Risk Indicators, Diagnosis, and Treatment. Eur. J. Dent. 2020, 14, 672–682. [Google Scholar] [CrossRef]
- Heitz-Mayfield, L.J.A.; Heitz, F.; Lang, N.P. Implant Disease Risk Assessment IDRA-a tool for preventing peri-implant disease. Clin. Oral Implant. Res. 2020, 31, 397–403. [Google Scholar] [CrossRef] [PubMed]
- Laleman, I.; Lambert, F. Implant connection and abutment selection as a predisposing and/or precipitating factor for peri-implant diseases: A review. Clin. Implant Dent. Relat. Res. 2023, 25, 723–733. [Google Scholar] [CrossRef] [PubMed]
- Vatėnas, I.; Linkevičius, T. One abutment one time vs. repeatable abutment disconnections in implants, restored with cemented/screw retained fixed partial dentures: Marginal bone level changes. A systematic review and meta-analysis. Stomatologija 2021, 23, 35–40. [Google Scholar] [PubMed]
- Tomasi, C.; Tessarolo, F.; Caola, I.; Wennström, J.; Nollo, G.; Berglundh, T. Morphogenesis of peri-implant mucosa revisited: An experimental study in humans. Clin. Oral Implant. Res. 2014, 25, 997–1003. [Google Scholar] [CrossRef]
- Tavelli, L.; Barootchi, S.; Avila-Ortiz, G.; Urban, I.A.; Giannobile, W.V.; Wang, H.-L. Peri-implant soft tissue phenotype modification and its impact on peri-implant health: A systematic review and network meta-analysis. J. Periodontol. 2021, 92, 21–44. [Google Scholar] [CrossRef]
- Linkevicius, T.; Apse, P.; Grybauskas, S.; Puisys, A. Influence of thin mucosal tissues on crestal bone stability around implants with platform switching: A 1-year pilot study. J. Oral Maxillofac. Surg. 2010, 68, 2272–2277. [Google Scholar] [CrossRef]
- Kämmerer, P.W.; Fan, S.; Aparicio, C.; Bedrossian, E.; Davó, R.; Morton, D.; Raghoebar, G.M.; Zarrine, S.; Al-Nawas, B. Evaluation of surgical techniques in survival rate and complications of zygomatic implants for the rehabilitation of the atrophic edentulous maxilla: A systematic review. Int. J. Implant Dent. 2023, 9, 11. [Google Scholar] [CrossRef]
- Al-Nawas, B.; Aghaloo, T.; Aparicio, C.; Bedrossian, E.; Brecht, L.; Brennand, M.; Chow, J.; Davó, R.; Fan, S.; Jung, R.; et al. ITI consensus report on zygomatic implants: Indications, evaluation of surgical techniques and long-term treatment outcomes. Int. J. Implant Dent. 2023, 9, 28. [Google Scholar] [CrossRef]
- Yang, S.; Wu, L.; Alabkaa, B.; Lepidi, L.; Yue, L.; Li, J. Intraoral scanner-based virtual facebow transferring: A chairside dental technique. J. Prosthodont. 2024; ahead of print. [Google Scholar] [CrossRef]
- Gehrke, P.; Rashidpour, M.; Sader, R.; Weigl, P. A systematic review of factors impacting intraoral scanning accuracy in implant dentistry with emphasis on scan bodies. Int. J. Implant Dent. 2024, 10, 20. [Google Scholar] [CrossRef]
- Karthhik, R.; Raj, B.; Karthikeyan, B.V. Role of scan body material and shape on the accuracy of complete arch implant digitalization. J. Oral Res. Rev. 2022, 14, 114–120. [Google Scholar] [CrossRef]
- García-Martínez, I.; Zarauz, C.; Morejón, B.; Ferreiroa, A.; Pradíes, G. Influence of customized over-scan body rings on the intraoral scanning effectiveness of a multiple implant edentulous mandibular model. J. Dent. 2022, 122, 104095. [Google Scholar] [CrossRef] [PubMed]
- Etxaniz, O.; Amezua, X.; Jauregi, M.; Solaberrieta, E. Improving the accuracy of complete arch implant digital scans by using auxiliary clips for intraoral scan bodies: A dental technique. J. Prosthet. Dent. 2024; ahead of print. [Google Scholar] [CrossRef]
- Pachiou, A.; Zervou, E.; Tsirogiannis, P.; Sykaras, N.; Tortopidis, D.; Kourtis, S. Characteristics of intraoral scan bodies and their influence on impression accuracy: A systematic review. J. Esthet. Restor. Dent. 2023, 35, 1205–1217. [Google Scholar] [CrossRef] [PubMed]
- Abdelrehim, A.; Etajuri, E.A.; Sulaiman, E.; Sofian, H.; Salleh, N.M. Magnitude of misfit threshold in implant-supported restorations: A systematic review. J. Prosthet. Dent. 2024, 132, 528–535. [Google Scholar] [CrossRef]
- Demirel, M.; Donmez, M.B.; Şahmalı, S.M. Trueness and precision of mandibular complete-arch implant scans when different data acquisition methods are used. J. Dent. 2023, 138, 104700. [Google Scholar] [CrossRef]













Disclaimer/Publisher’s Note: The statements, opinions and data contained in all publications are solely those of the individual author(s) and contributor(s) and not of MDPI and/or the editor(s). MDPI and/or the editor(s) disclaim responsibility for any injury to people or property resulting from any ideas, methods, instructions or products referred to in the content. |
© 2024 by the authors. Licensee MDPI, Basel, Switzerland. This article is an open access article distributed under the terms and conditions of the Creative Commons Attribution (CC BY) license (https://creativecommons.org/licenses/by/4.0/).
Share and Cite
Nowicki, A.; Osypko, K. Complex Full-Arch Treatment with Zygomatic Implants, Fully Digital Protocol with Scan Flag Intraoral Scanning, and 3D-Printed Temporary Reconstructions in a Periodontal Patient—A Case Report. Biomedicines 2024, 12, 2617. https://doi.org/10.3390/biomedicines12112617
Nowicki A, Osypko K. Complex Full-Arch Treatment with Zygomatic Implants, Fully Digital Protocol with Scan Flag Intraoral Scanning, and 3D-Printed Temporary Reconstructions in a Periodontal Patient—A Case Report. Biomedicines. 2024; 12(11):2617. https://doi.org/10.3390/biomedicines12112617
Chicago/Turabian StyleNowicki, Adam, and Karolina Osypko. 2024. "Complex Full-Arch Treatment with Zygomatic Implants, Fully Digital Protocol with Scan Flag Intraoral Scanning, and 3D-Printed Temporary Reconstructions in a Periodontal Patient—A Case Report" Biomedicines 12, no. 11: 2617. https://doi.org/10.3390/biomedicines12112617
APA StyleNowicki, A., & Osypko, K. (2024). Complex Full-Arch Treatment with Zygomatic Implants, Fully Digital Protocol with Scan Flag Intraoral Scanning, and 3D-Printed Temporary Reconstructions in a Periodontal Patient—A Case Report. Biomedicines, 12(11), 2617. https://doi.org/10.3390/biomedicines12112617

