Spasmolytic Activity and Anti-Inflammatory Effect of Novel Mebeverine Derivatives
Abstract
1. Introduction
2. Materials and Methods
2.1. Synthesis of 2-amino-N-(1-(3,4-dimethoxyphenyl)propan-2-yl)benzamide 3 and Its Diamides 4a–d
2.2. In Silico Predictions
2.2.1. PASS Online Predictions
2.2.2. Theoretical Prediction of Pharmacokinetic Parameters (ADME)
2.2.3. Theoretical Prediction of Toxicity
2.2.4. DFT Calculations
2.2.5. Molecular Docking
2.3. Smooth Muscle Activity
2.4. Anti-Inflammatory Activity
2.4.1. Inhibition of Albumin Denaturation
2.4.2. Histology and Immunohistochemistry
2.5. Statistical Analysis
3. Results and Discussion
3.1. Synthesis of Mebeverine Derivatives
3.2. In Silico Calculations
3.2.1. ADME Profile of the Studied Compounds
3.2.2. Density Functional Theory (DFT) Calculations
3.2.3. Molecular Docking Simulation
3.3. Biological Evaluation of 2-amino-N-(1-(3,4-dimethoxyphenyl)propan-2-yl)benzamides
3.3.1. Spasmolytic Activity
3.3.2. Anti-Inflammatory Effect
In Vitro Inhibition of Albumin Denaturation
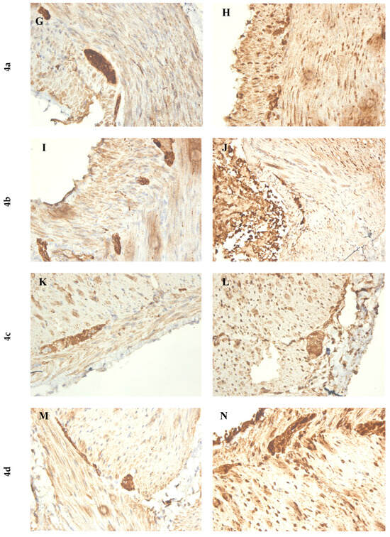
Ex Vivo Immunohistochemical Analysis
4. Conclusions
Supplementary Materials
Author Contributions
Funding
Institutional Review Board Statement
Informed Consent Statement
Data Availability Statement
Acknowledgments
Conflicts of Interest
References
- Drossman, D.A.; Patrick, D.L.; Whitehead, W.E.; Toner, B.B.; Diamant, N.E.; Hu, Y.; Jia, H.; Bangdiwala, S.I. Further Validation of the IBS-QOL: A Disease-Specific Quality-of-Life Questionnaire. Am. J. Gastroenterol. 2000, 95, 999–1007. [Google Scholar] [CrossRef] [PubMed]
- Drossman, D.A.; Morris, C.B.; Schneck, S.; Hu, Y.J.B.; Norton, N.J.; Norton, W.F.; Weinland, S.R.; Dalton, C.; Leserman, J.; Bangdiwala, S.I. International Survey of Patients with IBS. J. Clin. Gastroenterol. 2009, 43, 541–550. [Google Scholar] [CrossRef] [PubMed]
- Kanazawa, M.; Drossman, D.A.; Shinozaki, M.; Sagami, Y.; Endo, Y.; Palsson, O.S.; Hongo, M.; Whitehead, W.E.; Fukudo, S. Translation and Validation of a Japanese Version of the Irritable Bowel Syndrome-Quality of Life Measure (IBS-QOL-J). BioPsychoSoc Med. 2007, 1, 6. [Google Scholar] [CrossRef] [PubMed]
- Gralnek, I.M.; Hays, R.D.; Kilbourne, A.; Naliboff, B.; Mayer, E.A. The Impact of Irritable Bowel Syndrome on Health-Related Quality of Life. Gastroenterology 2000, 119, 654–660. [Google Scholar] [CrossRef]
- Hou, X.; Chen, S.; Zhang, Y.; Sha, W.; Yu, X.; Elsawah, H.; Afifi, A.F.; El-Khayat, H.R.; Nouh, A.; Hassan, M.F.; et al. Quality of Life in Patients with Irritable Bowel Syndrome (IBS), Assessed Using the IBS–Quality of Life (IBS-QOL) Measure after 4 and 8 Weeks of Treatment with Mebeverine Hydrochloride or Pinaverium Bromide: Results of an International Prospective Observational Cohort Study in Poland, Egypt, Mexico and China. Clin. Drug Investig. 2014, 34, 783–793. [Google Scholar] [CrossRef]
- Patrick, D.L.; Drossman, D.A.; Frederick, I.O.; Dicesare, J.; Puder, K.L. Quality of Life in Persons with Irritable Bowel Syndrome: Development and Validation of a New Measure. Dig. Dis. Sci. 1998, 43, 400–411. [Google Scholar] [CrossRef]
- Saha, L. Irritable bowel syndrome: Pathogenesis, diagnosis, treatment, and evidence-based medicine. World J. Gastroenterol. 2014, 20, 6759–6773. [Google Scholar] [CrossRef] [PubMed]
- Card, T.; Canavan, C.; West, J. The Epidemiology of Irritable Bowel Syndrome. Clin. Epidemiol. 2014, 6, 71–80. [Google Scholar] [CrossRef]
- Drossman, D.A. Functional Gastrointestinal Disorders: History, Pathophysiology, Clinical Features, and Rome IV. Gastroenterology 2016, 150, 1262–1279. [Google Scholar] [CrossRef]
- Tang, H.; Jiang, A.; Wang, X.; Wang, H.; Guan, Y.; Li, F.; Shen, G. Uncovering the pathophysiology of irritable bowel syndrome by exploring the gut-brain axis: A narrative review. Ann. Transl. Med. 2021, 9, 1187. [Google Scholar] [CrossRef]
- Lacy, B.; Patel, N. Rome Criteria and a Diagnostic Approach to Irritable Bowel Syndrome. J. Clin. Med. 2017, 6, 99. [Google Scholar] [CrossRef]
- Moayyedi, P.; Mearin, F.; Azpiroz, F.; Andresen, V.; Barbara, G.; Corsetti, M.; Emmanuel, A.; Hungin, A.P.S.; Layer, P.; Stanghellini, V.; et al. Irritable Bowel Syndrome Diagnosis and Management: A Simplified Algorithm for Clinical Practice. United Eur. Gastroenterol. J. 2017, 5, 773–788. [Google Scholar] [CrossRef] [PubMed]
- Lacy, B.E.; Mearin, F.; Chang, L.; Chey, W.D.; Lembo, A.J.; Simren, M.; Spiller, R. Bowel Disorders. Gastroenterology 2016, 150, 1393–1407. [Google Scholar] [CrossRef]
- Chey, W.D.; Kurlander, J.; Eswaran, S. Irritable Bowel Syndrome: A Clinical Review. JAMA 2015, 313, 949. [Google Scholar] [CrossRef]
- Annaházi, A.; Róka, R.; Rosztóczy, A.; Wittmann, T. Role of Antispasmodics in the Treatment of Irritable Bowel Syndrome. World J. Gastroenterol. 2014, 20, 6031. [Google Scholar] [CrossRef]
- Daniluk, J.; Malecka-Wojciesko, E.; Skrzydlo-Radomanska, B.; Rydzewska, G. The Efficacy of Mebeverine in the Treatment of Irritable Bowel Syndrome—A Systematic Review. J. Clin. Med. 2022, 11, 1044. [Google Scholar] [CrossRef]
- Picard, E.; Carvalho, F.A.; Agosti, F.; Bourinet, E.; Ardid, D.; Alain, E.; Daulhac, L.; Mallet, C. Inhibition of cav3.2 Calcium Channels: A New Target for Colonic Hypersensitivity Associated with Low-Grade Inflammation. Br. J. Pharmac. 2019, 176, 950–963. [Google Scholar] [CrossRef]
- El-Haggar, S.M.; Hegazy, S.K.; Abd-Elsalam, S.M.; Bahaa, M.M. Pentoxifylline, a Nonselective Phosphodiesterase Inhibitor, in Adjunctive Therapy in Patients with Irritable Bowel Syndrome Treated with Mebeverine. Biomed. Pharmacother. 2022, 145, 112399. [Google Scholar] [CrossRef]
- Hicks, G.A. 6.29—Irritable Bowel Syndrome; Taylor, J.B., Triggle, D.J., Eds.; Comprehensive Medicinal Chemistry II; Elsevier: Amsterdam, The Netherlands, 2007; pp. 643–670. [Google Scholar] [CrossRef]
- De Groote, J.; Standaert, L. The Effect of a New Musculotropic Subtance 9(Mebeverine) on Irritable Colon. Tijdschr. Voor Gastro-Enterol. 1968, 11, 524–528. [Google Scholar]
- Schneider, V.; Lévesque, L.E.; Zhang, B.; Hutchinson, T.; Brophy, J.M. Association of Selective and Conventional Nonsteroidal Antiinflammatory Drugs with Acute Renal Failure: A Population-Based, Nested Case-Control Analysis. Am. J. Epidemiol. 2006, 164, 881–889. [Google Scholar] [CrossRef] [PubMed]
- Gislason, G.H.; Rasmussen, J.N.; Abildstrom, S.Z.; Schramm, T.K.; Hansen, M.L.; Fosbøl, E.L.; Sørensen, R.; Folke, F.; Buch, P.; Gadsbøll, N.; et al. Increased Mortality and Cardiovascular Morbidity Associated with Use of Nonsteroidal Anti-Inflammatory Drugs in Chronic Heart Failure. Arch. Intern. Med. 2009, 169, 141. [Google Scholar] [CrossRef]
- Ahmed, T.; Archie, S.R.; Faruk, A.; Chowdhury, F.A.; Al Shoyaib, A.; Ahsan, C.R. Evaluation of the Anti-Inflammatory Activities of Diclofenac Sodium, Prednisolone and Atorvastatin in Combination with Ascorbic Acid. Antiinflamm. Antiallergy. Agents. Med. Chem. 2020, 19, 291–301. [Google Scholar] [CrossRef] [PubMed]
- Medzhitov, R. Origin and Physiological Roles of Inflammation. Nature 2008, 454, 428–435. [Google Scholar] [CrossRef]
- Ricciotti, E.; FitzGerald, G.A. Prostaglandins and Inflammation. Arterioscler. Thromb. Vasc. Biol. 2011, 31, 986–1000. [Google Scholar] [CrossRef]
- Chen, C.; Yang, Y.; Yu, M.-F.; Shi, S.; Han, S.; Liu, Q.; Cai, C.; Shen, J. Relaxant Action of Diclofenac Sodium on Mouse Airway Smooth Muscle. Front. Pharmacol. 2019, 10, 608. [Google Scholar] [CrossRef]
- Callingham, B.A.; Gilliver, R.L.; Jaker, S.; Milton, A.S.; Rainsford, K.D. Smooth Muscle Relaxation by Ibuprofen and Diclofenac: In Vitro Models Reveal Differences in Their Modes of Action? Dig. Dis. Sci. 2022, 59, 1651. [Google Scholar] [CrossRef]
- Milusheva, M.; Gledacheva, V.; Stefanova, I.; Pencheva, M.; Mihaylova, R.; Tumbarski, Y.; Nedialkov, P.; Cherneva, E.; Todorova, M.; Nikolova, S. In Silico, in Vitro, and Ex Vivo Biological Activity of Some Novel Mebeverine Precursors. Biomedicines 2023, 11, 605. [Google Scholar] [CrossRef]
- Milusheva, M.; Gledacheva, V.; Batmazyan, M.; Nikolova, S.; Stefanova, I.; Dimitrova, D.; Saracheva, K.; Tomov, D.; Chaova-Gizdakova, V. Ex Vivo and in Vivo Study of Some Isoquinoline Precursors. Sci. Pharm. 2022, 90, 37. [Google Scholar] [CrossRef]
- Daina, A.; Michielin, O.; Zoete, V. SwissADME: A Free Web Tool to Evaluate Pharmacokinetics, Drug-Likeness and Medicinal Chemistry Friendliness of Small Molecules. Sci. Rep. 2017, 7, 42717. [Google Scholar] [CrossRef] [PubMed]
- Anzali, S.; Barnickel, G.; Cezanne, B.; Krug, M.; Filimonov, D.; Poroikov, V. Discriminating between Drugs and Nondrugs by Prediction of Activity Spectra for Substances (PASS). J. Med. Chem. 2001, 44, 2432–2437. [Google Scholar] [CrossRef] [PubMed]
- Mathew, B.; Suresh, J.; Anbazhagan, S. Synthesis and PASS-Assisted in Silico Approach of Some Novel 2-Substituted Benzimidazole Bearing a Pyrimidine-2, 4, 6(Trione) System as Mucomembranous Protector. J. Pharm. Bioallied. Sci. 2013, 5, 39–43. [Google Scholar] [CrossRef] [PubMed]
- Brenner, D.M.; Lacy, B.E. Antispasmodics for Chronic Abdominal Pain: Analysis of North American Treatment Options. Am. J. Gastroenterol. 2021, 116, 1587–1600. [Google Scholar] [CrossRef]
- Ottaviani, G.; Gosling, D.J.; Patissier, C.; Rodde, S.; Zhou, L.; Faller, B. What Is Modulating Solubility in Simulated Intestinal Fluids? Eur. J. Pharm. Sci. 2010, 41, 452–457. [Google Scholar] [CrossRef]
- Hollenberg, P.F. Characteristics and Common Properties of Inhibitors, Inducers, and Activators of CYP Enzymes. Drug Metab. Rev. 2002, 34, 17–35. [Google Scholar] [CrossRef]
- Frisch, M.; Trucks, G.; Schlegel, H.B.; Scuseria, G.E.; Robb, M.A.; Cheeseman, J.R.; Scalmani, G.; Barone, V.; Mennucci, B.; Petersson, G. Gaussian 09, Revision d. 01; Gaussian, Inc.: Wallingford, CT, USA, 2009; p. 201. [Google Scholar]
- Milusheva, M.; Todorova, M.; Gledacheva, V.; Stefanova, I.; Feizi-Dehnayebi, M.; Pencheva, M.; Nedialkov, P.; Tumbarski, Y.; Yanakieva, V.; Tsoneva, S.; et al. Novel Anthranilic Acid Hybrids—An Alternative Weapon against Inflammatory Diseases. Pharmaceuticals 2023, 16, 1660. [Google Scholar] [CrossRef]
- Milusheva, M.; Gledacheva, V.; Stefanova, I.; Feizi-Dehnayebi, M.; Mihaylova, R.; Nedialkov, P.; Cherneva, E.; Tumbarski, Y.; Tsoneva, S.; Todorova, M.; et al. Synthesis, Molecular Docking, and Biological Evaluation of Novel Anthranilic Acid Hybrid and Its Diamides as Antispasmodics. Int. J. Mol. Sci. 2023, 24, 13855. [Google Scholar] [CrossRef]
- Feizi-Dehnayebi, M.; Dehghanian, E.; Mansouri-Torshizi, H. Biological Activity of Bis-(Morpholineacetato)Palladium(II) Complex: Preparation, Structural Elucidation, Cytotoxicity, DNA-/Serum Albumin-Interaction, Density Functional Theory, In-Silico Prediction and Molecular Modeling. Spectrochim. Acta A Mol. Biomol. Spectrosc. 2022, 281, 121543. [Google Scholar] [CrossRef] [PubMed]
- Morris, G.M.; Huey, R.; Lindstrom, W.; Sanner, M.F.; Belew, R.K.; Goodsell, D.S.; Olson, A.J. AutoDock4 and AutoDockTools4: Automated Docking with Selective Receptor Flexibility. J. Comput. Chem. 2009, 30, 2785–2791. [Google Scholar] [CrossRef]
- MGL Tools. 1.5.6 (ADT)/MGL Tools 1.6; The Scripps Research Institute: La Jolla, CA, USA, 2016. [Google Scholar]
- Otagiri, M. A Molecular Functional Study on the Interactions of Drugs with Plasma Proteins. Drug. Metab. Pharmacokinet. 2005, 20, 309–323. [Google Scholar] [CrossRef]
- Demirel, S. Effects of Cold Storage in Krebs-Henseleit Solution at +4 °c on Vasoreactivity of the Rat Thoracic Aorta. Balikesir Health Sci. J. 2022, 11, 456–461. [Google Scholar] [CrossRef]
- Ndoye Foe, F.M.-C.; Tchinang, T.F.K.; Nyegue, A.M.; Abdou, J.-P.; Yaya, A.J.G.; Tchinda, A.T.; Essame, J.-L.O.; Etoa, F.-X. Chemical Composition, in Vitro Antioxidant and Anti-Inflammatory Properties of Essential Oils of Four Dietary and Medicinal Plants from Cameroon. BMC Complement. Altern. Med. 2016, 16, 117. [Google Scholar] [CrossRef]
- Kumari, C.S.; Yasmin, N.; Hussain, M.R.; Babuselvam, M. Invitro Anti-Inflammatory and Anti-Artheritic Property of Rhizopora Mucronata Leaves. Int. J. Pharm. Sci. Res. 2015, 6, 482–485. [Google Scholar]
- Rivero, I.; Espinoza, K.; Somanathan, R. Syntheses of Quinazoline-2,4-Dione Alkaloids and Analogues from Mexican Zanthoxylum Species. Molecules 2004, 9, 609–616. [Google Scholar] [CrossRef]
- Milusheva, M.; Stoyanova, M.; Gledacheva, V.; Stefanova, I.; Todorova, M.; Pencheva, M.; Stojnova, K.; Tsoneva, S.; Nedialkov, P.; Nikolova, S. 2-Amino-N-Phenethylbenzamides for Irritable Bowel Syndrome Treatment. Molecules 2024, 29, 3375. [Google Scholar] [CrossRef]
- Zhang, S.; Tan, Z.; Xiong, B.; Jiang, H.F.; Zhang, M. Transition-Metal-Catalyst-Free Synthesis of Anthranilic Acid Derivatives by Transfer Hydrogenative Coupling of 2-Nitroaryl Methanols with Alcohols/Amines. Org. Biomol. Chem. 2018, 16, 531–535. [Google Scholar] [CrossRef]
- Yoko, K.; Takatsugu, T.; Kazuya, O.; Yuji, O.; Takumi, A. Oxazine Derivative and Pharmaceutical Use Thereof. JP2016030747A, 3 July 2016. [Google Scholar]
- Kumari, S.; Carmona, A.V.; Tiwari, A.K.; Trippier, P.C. Amide Bond Bioisosteres: Strategies, Synthesis, and Successes. J. Med. Chem. 2020, 63, 12290–12358. [Google Scholar] [CrossRef]
- Pitzer, J.; Steiner, K. Amides in Nature and Biocatalysis. J. Biotechnol. 2016, 235, 32. [Google Scholar] [CrossRef]
- Lipinski, C.A.; Lombardo, F.; Dominy, B.W.; Feeney, P.J. Experimental and Computational Approaches to Estimate Solubility and Permeability in Drug Discovery and Development Settings. Adv. Drug Deliv. Rev. 2001, 46, 3–26. [Google Scholar] [CrossRef]
- Beaumont, K.; Webster, R.; Gardner, I.; Dack, K. Design of Ester Prodrugs to Enhance Oral Absorption of Poorly Permeable Compounds: Challenges to the Discovery Scientist. Curr. Drug Metab. 2003, 4, 461–485. [Google Scholar] [CrossRef] [PubMed]
- Mishra, S.; Dahima, R. IN VITRO ADME STUDIES of TUG-891, a GPR-120 INHIBITOR USING SWISS ADME PREDICTOR. J. Drug Deliv. Ther. 2019, 9, 366–369. [Google Scholar] [CrossRef]
- Zinatloo-Ajabshir, S.; Rakhshani, S.; Mehrabadi, Z.; Farsadrooh, M.; Feizi-Dehnayebi, M.; Rakhshani, S.; Dušek, M.; Eigner, V.; Rtimi, S.; Aminabhavi, T.M. Novel Rod-like [Cu(Phen)2(OAc)]·PF6 Complex for High-Performance Visible-Light-Driven Photocatalytic Degradation of Hazardous Organic Dyes: DFT Approach, Hirshfeld and Fingerprint Plot Analysis. J. Environ. Manage. 2024, 350, 119545. [Google Scholar] [CrossRef]
- İnaç, H.; Ashfaq, M.; Dege, N.; Feizi-Dehnayebi, M.; Munawar, K.S.; Yağcı, N.K.; Çınar, E.B.; Tahir, M.N. Synthesis, Spectroscopic Characterizations, Single Crystal XRD, Supramolecular Assembly Inspection via Hirshfeld Surface Analysis, and DFT Study of a Hydroxy Functionalized Schiff Base Cu(II) Complex. J. Mol. Struct. 2023, 1295, 136751. [Google Scholar] [CrossRef]
- Ismael, M.; Abdel-Mawgoud, A.M.; Rabia, M.K.; Abdou, A. Ni(II) Mixed-Ligand Chelates Based on 2-Hydroxy-1-Naphthaldehyde as Antimicrobial Agents: Synthesis, Characterization, and Molecular Modeling. J. Mol. Liq. 2019, 330, 115611. [Google Scholar] [CrossRef]
- Tannenbaum, J.; Bennett, B.T. Russell and Burch’s 3Rs Then and Now: The Need for Clarity in Definition and Purpose. J. Am. Assoc. Lab. Anim. Sci. 2015, 54, 120–132. [Google Scholar]
- Bui, T.; Duong, H. Muscarinic Agonists. Available online: https://www.ncbi.nlm.nih.gov/books/NBK553130/ (accessed on 22 September 2024).
- Sanders, K.M. Invited Review: Mechanisms of Calcium Handling in Smooth Muscles. J. Appl. Physiol. 2001, 91, 1438–1449. [Google Scholar] [CrossRef]
- Gros, M.; Gross, B.; Mesonero, J.E.; Latorre, E. Neurotransmitter Dysfunction in Irritable Bowel Syndrome: Emerging Approaches for Management. J. Clin. Med. 2021, 10, 3429. [Google Scholar] [CrossRef]
- Dumitrascu, D.L.; Chira, A.; Bataga, S.; Diculescu, M.; Drug, V.; Gheorghe, C.; Goldis, A.; Nedelcu, L.; Porr, P.J.; Sporea, I.; et al. The Use of Mebeverine in Irritable Bowel Syndrome. A Position Paper of the Romanian Society of Neurogastroenterology based on Evidence. J. Gastrointest. Liver Dis. 2014, 23, 431–435. [Google Scholar] [CrossRef]
- Sam, C.; Bordoni, B. Physiology, Acetylcholine. In StatPearls; StatPearls Publishing: St. Petersburg, FL, USA, 2023. Available online: https://www.ncbi.nlm.nih.gov/books/NBK557825/ (accessed on 27 September 2024).
- Hod, K.; Sperber, A.D.; Maharshak, N.; Ron, Y.; Shapira, I.; David, Z.; Rogowski, O.; Berliner, S.; Shenhar-Tsarfaty, S.; Dekel, R. Serum Cholinesterase Activity Is Elevated in Female Diarrhea-Predominant Irritable Bowel Syndrome Patients Compared to Matched Controls. Neurogastroenterol. Motil. 2018, 30, e13464. [Google Scholar] [CrossRef]
- Javed, M.A.; Bibi, S.; Jan, M.S.; Ikram, M.; Zaidi, A.; Farooq, U.; Sadiq, A.; Rashid, U. Diclofenac derivatives as concomitant inhibitors of cholinesterase, monoamine oxidase, cyclooxygenase-2 and 5-lipoxygenase for the treatment of Alzheimer’s disease: Synthesis, pharmacology, toxicity and docking studies. RSC Adv. 2022, 12, 22503–22517. [Google Scholar] [CrossRef]
- Hendrickx, S.; Caljon, G.; Maes, L. Need for Sustainable Approaches in Antileishmanial Drug Discovery. Parasitol. Res. 2019, 118, 2743–2752. [Google Scholar] [CrossRef]
- Ayoup, M.S.; Abu-Serie, M.M.; Abdel-Hamid, H.; Teleb, M. Beyond Direct Nrf2 Activation; Reinvestigating 1,2,4-Oxadiazole Scaffold as a Master Key Unlocking the Antioxidant Cellular Machinery for Cancer Therapy. Eur. J. Med. Chem. 2021, 220, 113475. [Google Scholar] [CrossRef]
- Wallace, J.L. Nitric Oxide in the Gastrointestinal Tract: Opportunities for Drug Development. Br. J. Pharmacol. 2018, 176, 147–154. [Google Scholar] [CrossRef]
- Wallace, J.L. Prostaglandins, NSAIDs, and Gastric Mucosal Protection: Why Doesn’t the Stomach Digest Itself? Physiol. Rev. 2008, 88, 1547–1565. [Google Scholar] [CrossRef]
- Abbas, S.S.; Schaalan, M.F.; Bahgat, A.K.; El-Denshary, E.S. Possible Potentiation by Certain Antioxidants of the Anti-Inflammatory Effects of Diclofenac in Rats. Sci. World J. 2014, 2014, 731462. [Google Scholar] [CrossRef]
- Osafo, N.; Agyare, C.; Obiri, D.D.; Antwi, A.O. Mechanism of Action of Nonsteroidal Anti-Inflammatory Drugs; IntechOpen: London, UK, 2017. [Google Scholar]









| Drug Class | Mechanism of Action | Potential Adverse Effects |
|---|---|---|
| Bulking Agents | ||
| Natural (derivatives of agar, psyllium, kelp, plant gums, ispaghula husk) Synthetic (methylcellulose, carboxymethylcellulose) | Long-chain carbohydrates swell in intestinal fluid; Leads to softer bulkier stools; Promotes peristalsis and eases intestinal transit | Aggravates abdominal pain or bloating, therefore is not recommended for patients with bloating and diarrhea; Hinders the absorption of concurrently administered drugs |
| Laxatives | ||
| Stimulant laxatives (bisacodyl, senna, danthron, ricinoleic acid) | Stimulates motility using non-specific local irritation or a selective action on the intramural nerve plexus of intestinal SM | Severe cramping, fluid loss, malabsorption, and hypokalemia |
| Osmotic laxatives (magnesium salts, lactulose, sorbitol, polyethylene glycol) | Increases intraluminal water content (osmotic effect); Causes distension of the bowel and stimulates colonic peristalsis | Abdominal cramping, flatulence, diarrhea |
| Stool softeners (docusate) | Facilitates uptake of intestinal fluids | Abdominal cramping and diarrhea |
| Antidiarrheal agents | ||
| Opioid agonists (loperamide, diphenoxylate-atropine, codeine) | Stimulates m-opiate receptors in the enteric nervous system; Inhibits peristalsis; Increases fluid absorption secondary to prolonged intestinal transit; Increases basal and sphincter pressure | Diphenoxylate-atropine and codeine cross the blood–brain barrier; Codeine may cause dependence |
| Tricyclic antidepressants | ||
| Tricyclic antidepressants (TCAs) (amitriptyline, desipramine, clomipramine, doxepin, trimipramine) | Block reuptake of norepinephrine and serotonin and exhibit anticholinergic activity; Modulate sensorimotor activity and GI transit; Reduce pain | Fatigue, somnolence, dry mouth, urinary retention; Aggravates constipation; therefore it is not recommended for patients with IBS-C or IBS-A; High rate of discontinuation due to adverse effects |
| Selective serotonin reuptake inhibitors (fluvoxamine, luvoxamine, sertraline, paroxetine) | Selective blockade of serotonin reuptake | Better safety than TCAs; Insomnia, night sweats, weight loss, and sexual dysfunction |
| Benzodiazepines | ||
| Benzodiazepines | Antianxiety effect; Mitigates exacerbation of IBS Symptoms by psychological distress | Potential for physical dependence; Interactions with other drugs; Should be used on a limited basis |
| Serotonergic agents | ||
| 5HT4 agonist (tegaserod) | Accelerates GI transit; Reduces visceral sensitivity and hypersensitivity; Enhances peristalsis; Increases gastric emptying and compliance; Enhances fluid secretion | Headache and mild transient diarrhea Rare case of ischemic colitis (transient and without long-term sequela) reported during postmarketing surveillance |
| 5HT3 antagonist (alosetron) | Slows orocecal and colonic transit; Enhances intestinal absorption | Constipation in more than 20% of patients; Ischemic colitis; Contraindicated in patients with IBS-C |
| Antispasmodic agents | ||
| Anticholinergic agents (dicyclomine, hyoscyamine, cimetroprium bromide, belladonna, propantheline) | Reduces the excessive contractility of SM cells | Some of these agents have not undergone rigorous scientific testing; Only dicyclomine and hyoscyamine are approved for the treatment of IBS patients |
| Calcium channel blockers (pinaverium bromide, otilonium bromide, mebeverine) | Reduces the excessive contractility of SM cells | Some of them are superior to placebo in relieving abdominal pain in patients with IBS; Mebeverine works by controlling bowel movements and relaxing the muscles of the intestines |
| Opioid agonists (trimebutine) | Reduces the excessive contractility of SM cells | Superior to placebo in relieving abdominal pain in patients with IBS |
| 4 | R | Yield, % | mp, °C |
|---|---|---|---|
| a | C6H5 | 89 | 152.8 |
| b | 2-Cl-C6H4 | 88 | oil |
| c | 4-NO2-C6H4 | 39 | 178.4 |
| d | CH2-C6H5 | 85.6 | 107.2 |
| Compound | MW, g/mol | log S (ESOL) | Log Po/w | Log Kp, cm/s | TPSA, Å2 | H-Acceptor | H-Donor | RB | Csp3 | GI Absorption |
|---|---|---|---|---|---|---|---|---|---|---|
| 3 | 314.38 | −3.86 | 2.78 | −5.80 | 73.58 | 3 | 2 | 7 | 0.28 | High |
| 4a | 418.48 | −5.30 | 4.01 | −5.36 | 76.66 | 4 | 2 | 10 | 0.20 | High |
| 4b | 452.93 | −5.90 | 4.50 | −5.12 | 76.66 | 4 | 2 | 10 | 0.20 | High |
| 4c | 463.48 | −5.37 | 3.45 | −5.75 | 122.48 | 6 | 2 | 11 | 0.20 | Low |
| 4d | 432.51 | −5.27 | 4.18 | −5.49 | 76.66 | 4 | 2 | 11 | 0.23 | High |
| Compound | CYP1A2 | CYP2C9 | CYP2C19 | CYP2D6 | CYP3A4 |
|---|---|---|---|---|---|
| 3 | + | + | + | + | + |
| 4a | – | + | + | + | + |
| 4b | – | + | + | + | + |
| 4c | – | + | + | + | + |
| 4d | – | + | + | + | + |
| Compound | χ | Pi | η | σ | ω |
|---|---|---|---|---|---|
| 3 | 3.31 | −3.31 | 2.31 | 0.43 | 2.37 |
| 4a | 3.88 | −3.88 | 2.33 | 0.43 | 3.23 |
| 4b | 3.92 | −3.92 | 2.39 | 0.42 | 3.21 |
| 4c | 4.62 | −4.62 | 1.83 | 0.55 | 5.83 |
| 4d | 3.83 | −3.83 | 2.43 | 0.41 | 3.02 |
| Compound | MR2 | MR3 | IL-β |
|---|---|---|---|
| 3 | −9.9 | −9.5 | −10.5 |
| 4a | −11.7 | −9.8 | −11.1 |
| 4b | −12.0 | −9.9 | −12.0 |
| 4c | −11.8 | −10.7 | −12.2 |
| 4d | −11.4 | −9.3 | −12.2 |
| 3 | 4a | 4b | 4c | 4d | Mebeverine | Diclofenac | ||||||||
|---|---|---|---|---|---|---|---|---|---|---|---|---|---|---|
| Muscle tonus | 10 * | ↓ | 30 * | ↓ | 54 * | ↓ | 27 * | ↓ | 25 * | ↓ | 17 * | ↓ | 16 * | ↓ |
| Amplitude of contraction | 78 * | ↓ | 20 * | ↓ | 11 | ↓ | 67 * | ↓ | 2 | ↓ | 33 * | ↓ | 9 | ↓ |
| Frequency of rhythmic contractions | 1 | ↓ | 12 | ↓ | 11 | ↑ | 26 * | ↑ | 9 | ↓ | 2 | ↓ | 3 | ↓ |
| Tonic part of ACh reaction | 55 * | ↓ | 49 * | ↓ | 59 * | ↓ | 33 * | ↓ | 43 * | ↓ | 100 * | ↓ | 38 * | ↓ |
| Compound | Diclofenac | ASA | Mebeverine | 3 | 4a | 4b | 4c | 4d |
|---|---|---|---|---|---|---|---|---|
| IC50 | 17.4 | 11.2 | 0.91 | 0.76 | 0.87 | 0.93 | 0.94 | 0.83 |
| Compound | Diclofenac | Mebeverine | 3 | 4a | 4b | 4c | 4d |
|---|---|---|---|---|---|---|---|
| nNOS | 172.15 | 117.55 | 167.18 | 175.48 | 143.82 | 116.35 | 135.12 |
| IL-1β | 165.85 | 175.48 | 160.52 | 150.12 | 164.32 | 121.02 | 177.52 |
Disclaimer/Publisher’s Note: The statements, opinions and data contained in all publications are solely those of the individual author(s) and contributor(s) and not of MDPI and/or the editor(s). MDPI and/or the editor(s) disclaim responsibility for any injury to people or property resulting from any ideas, methods, instructions or products referred to in the content. |
© 2024 by the authors. Licensee MDPI, Basel, Switzerland. This article is an open access article distributed under the terms and conditions of the Creative Commons Attribution (CC BY) license (https://creativecommons.org/licenses/by/4.0/).
Share and Cite
Stoyanova, M.; Milusheva, M.; Gledacheva, V.; Stefanova, I.; Todorova, M.; Kircheva, N.; Angelova, S.; Pencheva, M.; Stojnova, K.; Tsoneva, S.; et al. Spasmolytic Activity and Anti-Inflammatory Effect of Novel Mebeverine Derivatives. Biomedicines 2024, 12, 2321. https://doi.org/10.3390/biomedicines12102321
Stoyanova M, Milusheva M, Gledacheva V, Stefanova I, Todorova M, Kircheva N, Angelova S, Pencheva M, Stojnova K, Tsoneva S, et al. Spasmolytic Activity and Anti-Inflammatory Effect of Novel Mebeverine Derivatives. Biomedicines. 2024; 12(10):2321. https://doi.org/10.3390/biomedicines12102321
Chicago/Turabian StyleStoyanova, Mihaela, Miglena Milusheva, Vera Gledacheva, Iliyana Stefanova, Mina Todorova, Nikoleta Kircheva, Silvia Angelova, Mina Pencheva, Kirila Stojnova, Slava Tsoneva, and et al. 2024. "Spasmolytic Activity and Anti-Inflammatory Effect of Novel Mebeverine Derivatives" Biomedicines 12, no. 10: 2321. https://doi.org/10.3390/biomedicines12102321
APA StyleStoyanova, M., Milusheva, M., Gledacheva, V., Stefanova, I., Todorova, M., Kircheva, N., Angelova, S., Pencheva, M., Stojnova, K., Tsoneva, S., & Nikolova, S. (2024). Spasmolytic Activity and Anti-Inflammatory Effect of Novel Mebeverine Derivatives. Biomedicines, 12(10), 2321. https://doi.org/10.3390/biomedicines12102321

