Histological Improvement and Cytokine Levels Reduction in Patients with Oral Lichen Planus after Photobiomodulation Therapy
Abstract
1. Introduction
2. Materials and Methods
2.1. Study Design
2.1.1. Research Focused Questions
- Can 810 nm PBM therapy improve the symptoms and clinical signs of OLP?
- Are the levels of the pro-inflammatory cytokines IL-1β, IL-6, and TNF-α significantly different in OLP patients than in healthy controls, and if so, can 810 nm PBM irradiation correct this abnormality?
- What histological changes does PBM therapy induce in OLP patients?
2.1.2. Research Contingent
- Intervention group—20 patients with oral lichen planus
- Saliva from 10 voluntary donors without oral or systemic diseases was used as a control for cytokine levels in health
2.1.3. Inclusion Criteria
- Patients with symptomatic lesions of any type of clinical forms of OLP—reticular, papular, plaque-like, atrophic, bullous, or erosive form
- OLP patients of both genders (female and male) aged ≥ 18-year-old
- Patients with histologically confirmed diagnosis OLP
- Patients who agreed with study design
- 10 age- (≥18-year-old; mean age 54.9) and sex (8 women: 2 men)-matched healthy volunteers who came for a routine dental examination and agreed to donate saliva samples. They all signed an informed consent. Inclusion in the study required a clinical finding of no oral lesions, periodontal disease or endodontic problems and a history of no systemic diseases
2.1.4. Exclusion Criteria
- Subjects with oral lichenoid reactions (OLR) suspicion—unilateral lesions with direct topographic relationship to amalgam fillings/dental restoration(s); history of a temporal association between the introduction of some drug and the onset of the disease; history of past transplantation; histologically: detection of polymorphic inflammatory infiltrate containing eosinophils, plasma cells, and neutrophils; inflammatory infiltrate in deeper areas; focal perivascular infiltrate; tertiary lymphoid follicles [32].
- History of corticosteroids or non-steroidal anti-inflammatory drug treatment in the last 1 month.
- Signs of epithelial dysplasia in the histological sections.
2.2. Collection of Samples
2.2.1. Saliva Samples Collection
2.2.2. Incisional Biopsy with Er:YAG Laser
2.3. PBM Therapeutic Protocol
2.4. Assessment Tools
2.4.1. Clinical Evaluation
2.4.2. Cytokine Evaluation/ELISA Technique/
2.4.3. Histological Examination
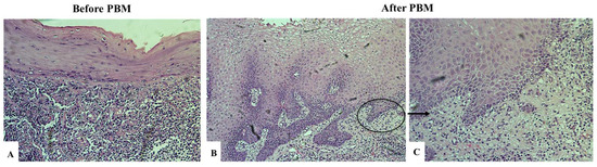
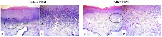
- Reduction in the hyperplastic processes (hyperkeratosis, hypergranulosis and acanthosis) in the epithelium.
- Reduction in the inflammatory infiltrate.
- Recovery of tunica epithelialis in cases with primary atrophic and erosive forms of OLP.
- Recovery of epidermal-dermal attachment in cases with primary bullous form of OLP
2.5. Statistical Analysis
3. Results
3.1. Patients Characteristics
3.2. Clinical Outcomes
3.3. Salivary Levels of IL-1β, IL-6, TNF-α
3.4. Histological Results
4. Discussion
5. Conclusions
Author Contributions
Funding
Institutional Review Board Statement
Informed Consent Statement
Data Availability Statement
Conflicts of Interest
References
- Manchanda, Y.; Rathi, S.K.; Joshi, A.; Das, S. Oral Lichen Planus: An Updated Review of Etiopathogenesis, Clinical Presentation, and Management. Indian Dermatol. Online J. 2024, 15, 8–23. [Google Scholar] [CrossRef] [PubMed]
- Mutafchieva, M.Z.; Draganova-Filipova, M.N.; Zagorchev, P.I.; Tomov, G.T. Oral Lichen Planus—Known and Unknown: A Review. Folia Med. (Plovdiv) 2018, 60, 528–535. [Google Scholar] [CrossRef] [PubMed]
- Abboud, C.S.; Brandao, E.; Cunha, K.R.L.; de Sousa Brito, K.; Gallo, C.B.; Molon, A.C.; Horliana, A.; Franco, A.S.L.; Thongprasom, K.; Rodrigues, M. Serum and salivary cytokines in patients with oral lichen planus treated with Photobiomodulation. Oral Dis. 2023, 29, 1250–1258. [Google Scholar] [CrossRef]
- Warnakulasuriya, S.; Kujan, O.; Aguirre-Urizar, J.M.; Bagan, J.V.; Gonzalez-Moles, M.A.; Kerr, A.R.; Lodi, G.; Mello, F.W.; Monteiro, L.; Ogden, G.R.; et al. Oral potentially malignant disorders: A consensus report from an international seminar on nomenclature and classification, convened by the WHO Collaborating Centre for Oral Cancer. Oral Dis. 2021, 27, 1862–1880. [Google Scholar] [CrossRef]
- El-Howati, A.; Thornhill, M.H.; Colley, H.E.; Murdoch, C. Immune mechanisms in oral lichen planus. Oral Dis. 2023, 29, 1400–1415. [Google Scholar] [CrossRef] [PubMed]
- Gupta, S.; Jawanda, M.K. Oral Lichen Planus: An Update on Etiology, Pathogenesis, Clinical Presentation, Diagnosis and Management. Indian J. Dermatol. 2015, 60, 222–229. [Google Scholar] [CrossRef]
- Del Vecchio, A.; Palaia, G.; Grassotti, B.; Tenore, G.; Ciolfi, C.; Podda, G.; Impellizzeri, A.; Mohsen, A.; Galluccio, G.; Romeo, U. Effects of laser photobiomodulation in the management of oral lichen planus: A literature review. Clin. Ter. 2021, 172, 467–483. [Google Scholar] [CrossRef]
- Jungell, P.; Konttinen, Y.T.; Nortamo, P.; Malmstrom, M. Immunoelectron microscopic study of distribution of T cell subsets in oral lichen planus. Scand. J. Dent. Res. 1989, 97, 361–367. [Google Scholar] [CrossRef]
- Jontell, M.; Hansson, H.A.; Nygren, H. Mast cells in oral lichen planus. J. Oral Pathol. 1986, 15, 273–275. [Google Scholar] [CrossRef]
- Cheng, Y.S.; Gould, A.; Kurago, Z.; Fantasia, J.; Muller, S. Diagnosis of oral lichen planus: A position paper of the American Academy of Oral and Maxillofacial Pathology. Oral Surg. Oral Med. Oral Pathol. Oral Radiol. 2016, 122, 332–354. [Google Scholar] [CrossRef]
- Kramer, I.R.; Lucas, R.B.; Pindborg, J.J.; Sobin, L.H. Definition of leukoplakia and related lesions: An aid to studies on oral precancer. Oral Surg. Oral Med. Oral Pathol. 1978, 46, 518–539. [Google Scholar] [PubMed]
- van der Meij, E.H.; van der Waal, I. Lack of clinicopathologic correlation in the diagnosis of oral lichen planus based on the presently available diagnostic criteria and suggestions for modifications. J. Oral Pathol. Med. 2003, 32, 507–512. [Google Scholar] [CrossRef]
- Ruiz Roca, J.A.; Lopez Jornet, P.; Gomez Garcia, F.J.; Marcos Aroca, P. Effect of Photobiomodulation on Atrophic-Erosive Clinical Forms of Oral Lichen Planus: A Systematic Review. Dent. J. 2022, 10, 221. [Google Scholar] [CrossRef] [PubMed]
- Mohamed, R.K.; Elsayed, N.M.; Mahmoud, S.A.; Gaweesh, Y.Y. Photobiomodulation versus corticosteroid in the management of erosive oral lichen planus: A randomized controlled clinical trial. BMC Oral Health 2024, 24, 246. [Google Scholar] [CrossRef]
- Khan, I.; Arany, P. Biophysical Approaches for Oral Wound Healing: Emphasis on Photobiomodulation. Adv. Wound Care 2015, 4, 724–737. [Google Scholar] [CrossRef] [PubMed]
- Sperandio, F.F.; Simoes, A.; Correa, L.; Aranha, A.C.; Giudice, F.S.; Hamblin, M.R.; Sousa, S.C. Low-level laser irradiation promotes the proliferation and maturation of keratinocytes during epithelial wound repair. J. Biophotonics 2015, 8, 795–803. [Google Scholar] [CrossRef]
- Ferri, E.P.; Cunha, K.R.L.; Abboud, C.S.; de Barros Gallo, C.; de Sousa Sobral, S.; de Fatima Teixeira da Silva, D.; Horliana, A.; Franco, A.L.; Rodrigues, M. Photobiomodulation is effective in oral lichen planus: A randomized, controlled, double-blind study. Oral Dis. 2021, 27, 1205–1216. [Google Scholar] [CrossRef]
- Dillenburg, C.S.; Martins, M.A.; Munerato, M.C.; Marques, M.M.; Carrard, V.C.; Sant’Ana Filho, M.; Castilho, R.M.; Martins, M.D. Efficacy of laser phototherapy in comparison to topical clobetasol for the treatment of oral lichen planus: A randomized controlled trial. J. Biomed. Opt. 2014, 19, 068002. [Google Scholar] [CrossRef]
- Nammour, S.; El Mobadder, M.; Brugnera, A.J.; Namour, M.; Houeis, S.; Heysselaer, D.; Vanheusden, A.; Namour, A. Photobiomodulation Therapy vs. Corticosteroid for the Management of Erosive/Ulcerative and Painful Oral Lichen Planus. Assessment of Success Rate during One-Year Follow-Up: A Retrospective Study. Healthcare 2021, 9, 1137. [Google Scholar] [CrossRef]
- Lavaee, F.; Shadmanpour, M. Comparison of the effect of photodynamic therapy and topical corticosteroid on oral lichen planus lesions. Oral Dis. 2019, 25, 1954–1963. [Google Scholar] [CrossRef]
- Othman, N.A.; Shaker, O.G.; Elshenawy, H.M.; Abd-Elmoniem, W.; Eldin, A.M.; Fakhr, M.Y. The effect of diode laser and topical steroid on serum level of TNF-alpha in oral lichen planus patients. J. Clin. Exp. Dent. 2016, 8, e566–e570. [Google Scholar] [CrossRef] [PubMed]
- Kazancioglu, H.O.; Erisen, M. Comparison of Low-Level Laser Therapy versus Ozone Therapy in the Treatment of Oral Lichen Planus. Ann. Dermatol. 2015, 27, 485–491. [Google Scholar] [CrossRef] [PubMed]
- Mishra SS, U.M.T. Evaluation of oxidative stress in oral lichen planus using malonaldehyde: A systematic review. J. Dermatol. Dermatol. Surg. 2014, 18, 2–7. [Google Scholar] [CrossRef]
- Thongprasom, K.; Dhanuthai, K.; Sarideechaigul, W.; Chaiyarit, P.; Chaimusig, M. Expression of TNF-alpha in oral lichen planus treated with fluocinolone acetonide 0.1%. J. Oral Pathol Med. 2006, 35, 161–166. [Google Scholar] [CrossRef] [PubMed]
- Rhodus, N.L.; Cheng, B.; Bowles, W.; Myers, S.; Miller, L.; Ondrey, F. Proinflammatory cytokine levels in saliva before and after treatment of (erosive) oral lichen planus with dexamethasone. Oral Dis. 2006, 12, 112–116. [Google Scholar] [CrossRef] [PubMed]
- de Brito Sousa, K.; Rodrigues, M.; de Souza Santos, D.; Mesquita-Ferrari, R.A.; Nunes, F.D.; de Fatima Teixeira da Silva, D.; Bussadori, S.K.; Fernandes, K.P.S. Differential expression of inflammatory and anti-inflammatory mediators by M1 and M2 macrophages after photobiomodulation with red or infrared lasers. Lasers Med. Sci. 2020, 35, 337–343. [Google Scholar] [CrossRef] [PubMed]
- Lu, R.; Zhang, J.; Sun, W.; Du, G.; Zhou, G. Inflammation-related cytokines in oral lichen planus: An overview. J. Oral Pathol. Med. 2015, 44, 1–14. [Google Scholar] [CrossRef] [PubMed]
- Zhang, Y.; Lin, M.; Zhang, S.; Wang, Z.; Jiang, L.; Shen, J.; Bai, J.; Gao, F.; Zhou, M.; Chen, Q. NF-kappaB-dependent cytokines in saliva and serum from patients with oral lichen planus: A study in an ethnic Chinese population. Cytokine 2008, 41, 144–149. [Google Scholar] [CrossRef] [PubMed]
- Ghallab, N.A.; el-Wakeel, N.; Shaker, O.G. Levels of salivary IFN-gamma, TNF-alfa, and TNF receptor-2 as prognostic markers in (erosive) oral lichen planus. Mediat. Inflamm. 2010, 2010, 847632. [Google Scholar] [CrossRef]
- Mozaffari, H.R.; Sharifi, R.; Sadeghi, M. Interleukin-6 levels in the serum and saliva of patients with oral lichen planus compared with healthy controls: A meta-analysis study. Cent. Eur. J. Immunol. 2018, 43, 103–108. [Google Scholar] [CrossRef]
- Mutafchieva, M.; Draganova-Filipova, M.; Zagorchev, P.; Tomov, G. Ин витро ефекти на диоден лазер (810 nm). Дозометрия [In vitro effects of Diod laser (810 nm). Dosimetry]. Bulg. Dent. Assoc. Online Mag. 2017, 1, 31–38. [Google Scholar]
- Muller, S. Oral lichenoid lesions: Distinguishing the benign from the deadly. Mod. Pathol. 2017, 30 (Suppl. 1), S54–S67. [Google Scholar] [CrossRef] [PubMed]
- Thongprasom, K.; Luangjarmekorn, L.; Sererat, T.; Taweesap, W. Relative efficacy of fluocinolone acetonide compared with triamcinolone acetonide in treatment of oral lichen planus. J. Oral Pathol. Med. 1992, 21, 456–458. [Google Scholar] [CrossRef]
- Tam, S.Y.; Tam, V.C.W.; Ramkumar, S.; Khaw, M.L.; Law, H.K.W.; Lee, S.W.Y. Review on the Cellular Mechanisms of Low-Level Laser Therapy Use in Oncology. Front. Oncol. 2020, 10, 1255. [Google Scholar] [CrossRef] [PubMed]
- Sperandio, F.F.; Giudice, F.S.; Correa, L.; Pinto, D.S., Jr.; Hamblin, M.R.; de Sousa, S.C. Low-level laser therapy can produce increased aggressiveness of dysplastic and oral cancer cell lines by modulation of Akt/mTOR signaling pathway. J. Biophotonics 2013, 6, 839–847. [Google Scholar] [CrossRef] [PubMed]
- Hamblin, M.R. Photobiomodulation, Photomedicine, and Laser Surgery: A New Leap Forward into the Light for the 21(st) Century. Photomed. Laser Surg. 2018, 36, 395–396. [Google Scholar] [CrossRef] [PubMed]
- Hanna, R.; Dalvi, S.; Benedicenti, S.; Amaroli, A.; Salagean, T.; Pop, I.D.; Todea, D.; Bordea, I.R. Photobiomodulation Therapy in Oral Mucositis and Potentially Malignant Oral Lesions: A Therapy Towards the Future. Cancers 2020, 12, 1949. [Google Scholar] [CrossRef]
- Roi, A.; Boia, S.; Rusu, L.C.; Roi, C.I.; Boia, E.R.; Rivis, M. Circulating miRNA as a Biomarker in Oral Cancer Liquid Biopsy. Biomedicines 2023, 11, 965. [Google Scholar] [CrossRef]
- Yamamoto, T.; Osaki, T. Characteristic cytokines generated by keratinocytes and mononuclear infiltrates in oral lichen planus. J. Investig. Dermatol. 1995, 104, 784–788. [Google Scholar] [CrossRef]
- Suter, V.G.A.; Altermatt, H.J.; Bornstein, M.M. A randomized controlled trial comparing surgical excisional biopsies using CO2 laser, Er:YAG laser and scalpel. Int. J. Oral Maxillofac. Surg. 2020, 49, 99–106. [Google Scholar] [CrossRef]
- Monteiro, L.; Delgado, M.L.; Garces, F.; Machado, M.; Ferreira, F.; Martins, M.; Salazar, F.; Pacheco, J.J. A histological evaluation of the surgical margins from human oral fibrous-epithelial lesions excised with CO2 laser, Diode laser, Er:YAG laser, Nd:YAG laser, electrosurgical scalpel and cold scalpel. Med. Oral Patol. Oral Cir. Bucal. 2019, 24, e271–e280. [Google Scholar] [CrossRef] [PubMed]
- Tenore, G.; Mohsen, A.; Nuvoli, A.; Palaia, G.; Rocchetti, F.; Di Gioia, C.R.T.; Cicconetti, A.; Romeo, U.; Del Vecchio, A. The Impact of Laser Thermal Effect on Histological Evaluation of Oral Soft Tissue Biopsy: Systematic Review. Dent. J. 2023, 11, 28. [Google Scholar] [CrossRef] [PubMed]
- Sanches, A.C.B.; Pires, A.; Medrado, A.; de Almeida Reis, S.R.; Freitas, V.S.; Martins, G.B. Oral Lichen Planus: Associations Between Histomorphometric Characteristics and White and Red Lesions. Head Neck Pathol. 2022, 16, 969–979. [Google Scholar] [CrossRef] [PubMed]
- Gambino, A.; Cabras, M.; Cafaro, A.; Broccoletti, R.; Carossa, S.; Hopper, C.; Conrotto, D.; Porter, S.R.; Arduino, P.G. Preliminary evaluation of the utility of optical coherence tomography in detecting structural changes during photobiomodulation treatment in patients with atrophic-erosive oral lichen planus. Photodiagnosis Photodyn. Ther. 2021, 34, 102255. [Google Scholar] [CrossRef]
- Anitua, E.; Pinas, L.; Alkhraisat, M.H. Histopathological features of oral lichen planus and its response to corticosteroid therapy: A retrospective study. Medicine 2019, 98, e18321. [Google Scholar] [CrossRef]



| Tissue Change | OLP Tissue Sections | ||
|---|---|---|---|
| n | % | ||
| Lamina epithelialis | |||
| Epithelial hyperplasia reduction | 6 | 30% | |
| Epithelial thickening | 3 | 15% | |
| Epidermal-dermal attachment repair | 1 | 5% | |
| No improvement | 10 | 50% | |
| Lamina propria | |||
| Inflammatory infiltrate reduction | 10 | 50% | |
| No improvement | 10 | 50% | |
Disclaimer/Publisher’s Note: The statements, opinions and data contained in all publications are solely those of the individual author(s) and contributor(s) and not of MDPI and/or the editor(s). MDPI and/or the editor(s) disclaim responsibility for any injury to people or property resulting from any ideas, methods, instructions or products referred to in the content. |
© 2024 by the authors. Licensee MDPI, Basel, Switzerland. This article is an open access article distributed under the terms and conditions of the Creative Commons Attribution (CC BY) license (https://creativecommons.org/licenses/by/4.0/).
Share and Cite
Mutafchieva, M.Z.; Draganova, M.N.; Tomov, G.T. Histological Improvement and Cytokine Levels Reduction in Patients with Oral Lichen Planus after Photobiomodulation Therapy. Biomedicines 2024, 12, 2300. https://doi.org/10.3390/biomedicines12102300
Mutafchieva MZ, Draganova MN, Tomov GT. Histological Improvement and Cytokine Levels Reduction in Patients with Oral Lichen Planus after Photobiomodulation Therapy. Biomedicines. 2024; 12(10):2300. https://doi.org/10.3390/biomedicines12102300
Chicago/Turabian StyleMutafchieva, Maria Zaharieva, Milena Nenkova Draganova, and Georgi Tomchev Tomov. 2024. "Histological Improvement and Cytokine Levels Reduction in Patients with Oral Lichen Planus after Photobiomodulation Therapy" Biomedicines 12, no. 10: 2300. https://doi.org/10.3390/biomedicines12102300
APA StyleMutafchieva, M. Z., Draganova, M. N., & Tomov, G. T. (2024). Histological Improvement and Cytokine Levels Reduction in Patients with Oral Lichen Planus after Photobiomodulation Therapy. Biomedicines, 12(10), 2300. https://doi.org/10.3390/biomedicines12102300

