Protective Effects of Trimetazidine and Dexmedetomidine on Liver Injury in a Mesenteric Artery Ischemia–Reperfusion Rat Model via Endoplasmic Reticulum Stress
Abstract
1. Introduction
2. Materials and Methods
2.1. Experimental Animals and Groups
2.2. Experimental Procedures
2.3. Chemicals and Drugs
2.4. Biochemical Analysis
2.5. Histopathological Analysis
2.6. Immunohistochemical (IHC) Analysis
2.7. Statistical Analysis
3. Results
3.1. Results of the Biochemical Analysis
3.2. Histopathological Analysis
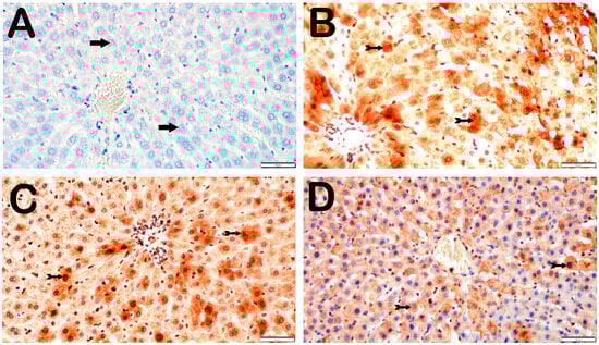
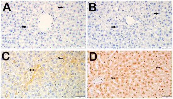
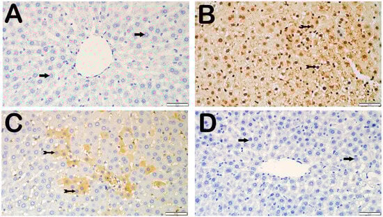
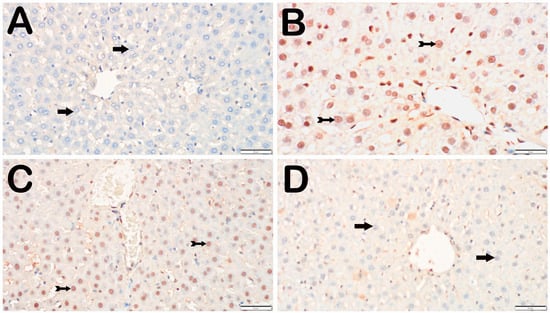
3.3. Immunohistochemical (IHC) Analysis
4. Discussion
5. Conclusions
Supplementary Materials
Author Contributions
Funding
Institutional Review Board Statement
Informed Consent Statement
Data Availability Statement
Conflicts of Interest
References
- Liu, J.; Pan, G.; Liang, T.; Huang, P. HGF/c-Met Signaling Mediated Mesenchymal Stem Cell-Induced Liver Recovery in Intestinal Ischemia Reperfusion Model. Int. J. Med. Sci. 2014, 11, 626–633. [Google Scholar] [CrossRef] [PubMed]
- Zhao, J.; Chen, X.D.; Yan, Z.Z.; Huang, W.F.; Liu, K.X.; Li, C. Gut-Derived Exosomes Induce Liver Injury after Intestinal Ischemia/Reperfusion by Promoting Hepatic Macrophage Polarization. Inflammation 2022, 45, 2325–2338. [Google Scholar] [CrossRef] [PubMed]
- Konishi, T.; Lentsch, A.B. Hepatic Ischemia/Reperfusion: Mechanisms of Tissue Injury, Repair, and Regeneration. Gene Expr. 2017, 17, 277–287. [Google Scholar] [CrossRef] [PubMed]
- Sharp, A.J.; Patel, N.; Reeves, B.C.; Angelini, G.D.; Fiorentino, F. Pharmacological Interventions for the Prevention of Contrast-Induced Acute Kidney Injury in High-Risk Adult Patients Undergoing Coronary Angiography: A Systematic Review and Meta-Analysis of Randomized Controlled Trials. Open Heart 2019, 6, e000864. [Google Scholar] [CrossRef]
- Mahfoudh-Boussaid, A.; Tka, K.H.A.; Zaouali, M.A.; Roselló-Catafau, J.; Ben Abdennebi, H. Effects of Trimetazidine on the Akt/ENOS Signaling Pathway and Oxidative Stress in an in Vivo Rat Model of Renal Ischemia–Reperfusion. Ren. Fail. 2014, 36, 1436–1442. [Google Scholar] [CrossRef]
- Wu, S.; Chang, G.; Gao, L.; Jiang, D.; Wang, L.; Li, G.; Luo, X.; Qin, S.; Guo, X.; Zhang, D. Trimetazidine Protects against Myocardial Ischemia/Reperfusion Injury by Inhibiting Excessive Autophagy. J. Mol. Med. 2018, 96, 791–806. [Google Scholar] [CrossRef]
- Elimadi, A.; Jullien, V.; Tillement, J.P.; Morin, D. S-15176 Inhibits Mitochondrial Permeability Transition via a Mechanism Independent of Its Antioxidant Properties. Eur. J. Pharmacol. 2003, 468, 93–101. [Google Scholar] [CrossRef]
- Nguyen, V.; Tiemann, D.; Park, E.; Salehi, A. Alpha-2 Agonists. Anesthesiol. Clin. 2017, 35, 233–245. [Google Scholar] [CrossRef]
- Bostancı, H.; Erel, S.; Küçük, A.; Kip, G.; Sezen, Ş.C.; Gokgoz, S.; Atlı, M.; Aktepe, F.; Dikmen, K.; Arslan, M.; et al. Dexmedetomidine’s Effects on the Livers and Kidneys of Rats with Pancreatic Ischemia–Reperfusion Injury. Drug Des. Dev. Ther. 2024, 18, 1785–1797. [Google Scholar] [CrossRef]
- Chen, Z.-R.; Hong, Y.; Wen, S.-H.; Zhan, Y.-Q.; Huang, W.-Q. Dexmedetomidine Pretreatment Protects Against Myocardial Ischemia/Reperfusion Injury by Activating STAT3 Signaling. Anesth. Analg. 2023, 137, 426–439. [Google Scholar] [CrossRef]
- Zhang, L.; Cui, L.L.; Yang, W.H.; Xue, F.S.; Zhu, Z.J. Effect of Intraoperative Dexmedetomidine on Hepatic Ischemia–Reperfusion Injury in Pediatric Living-Related Liver Transplantation: A Propensity Score Matching Analysis. Front. Surg. 2022, 9, 939223. [Google Scholar] [CrossRef]
- Lv, M.; Zeng, H.; He, Y.; Zhang, J.; Tan, G. Dexmedetomidine Promotes Liver Regeneration in Mice after 70% Partial Hepatectomy by Suppressing NLRP3 Inflammasome Not TLR4/NFκB. Int. Immunopharmacol. 2018, 54, 46–51. [Google Scholar] [CrossRef]
- Chen, M.; Li, X.; Mu, G. Myocardial Protective and Anti-Inflammatory Effects of Dexmedetomidine in Patients Undergoing Cardiovascular Surgery with Cardiopulmonary Bypass: A Systematic Review and Meta-Analysis. J. Anesth. 2022, 36, 5–16. [Google Scholar] [CrossRef]
- Schneider, L.; Jabrailova, B.; Salem, M.; Kilk, K.; Hofer, S.; Brenner, T.; Strobel, O.; Hackert, T.; Werner, J. Stimulation of Central A2 Receptors Attenuates Experimental Necrotizing Pancreatitis. Pancreas 2016, 45, 260–264. [Google Scholar] [CrossRef]
- Zhao, S.; Wu, W.; Lin, X.; Shen, M.; Yang, Z.; Yu, S.; Luo, Y. Protective Effects of Dexmedetomidine in Vital Organ Injury: Crucial Roles of Autophagy. Cell. Mol. Biol. Lett. 2022, 27, 34. [Google Scholar] [CrossRef]
- Garcia-Alonso, I.; Velasco-Oraa, X.; Cearra, I.; Correcher, S.I.; Medina, C.M.; Alonso-Varona, A.; de Gordejuela, A.G.R.; Ruiz-Montesinos, I.; de la Parte, B.H. Prophylactic Treatment of Intestinal Ischemia–Reperfusion Injury Reduces Mucosal Damage and Improves Intestinal Absorption. J. Inflamm. Res. 2023, 16, 4141–4152. [Google Scholar] [CrossRef]
- Lankadeva, Y.R.; Shehabi, Y.; Deane, A.M.; Plummer, M.P.; Bellomo, R.; May, C.N. Emerging Benefits and Drawbacks of A2-Adrenoceptor Agonists in the Management of Sepsis and Critical Illness. Br. J. Pharmacol. 2021, 178, 1407–1425. [Google Scholar] [CrossRef]
- Ge, Y.; Li, G.; Liu, B.; Guo, H.; Wang, D.; Jie, Q.; Che, W.; Hou, L.; Wei, Y. The Protective Effect of Lacidipine on Myocardial Remodeling Is Mediated by the Suppression in Expression of GPR78 and CHOP in Rats. Evid.-Based Complement. Altern. Med. 2015, 2015, 945076. [Google Scholar] [CrossRef]
- Adams, C.J.; Kopp, M.C.; Larburu, N.; Nowak, P.R.; Ali, M.M.U. Structure and Molecular Mechanism of ER Stress Signaling by the Unfolded Protein Response Signal Activator IRE1. Front. Mol. Biosci. 2019, 6, 11. [Google Scholar] [CrossRef]
- Chen, X.; Shi, C.; He, M.; Xiong, S.; Xia, X. Endoplasmic Reticulum Stress: Molecular Mechanism and Therapeutic Targets. Signal Transduct. Target. Ther. 2023, 8, 352. [Google Scholar] [CrossRef]
- Guo, X.F.; Yang, X.J.; Guo, X.F. Endoplasmic Reticulum Stress Response in Spontaneously Hypertensive Rats Is Affected by Myocardial Ischemia–Reperfusion Injury. Exp. Ther. Med. 2015, 9, 319–326. [Google Scholar] [CrossRef] [PubMed]
- Almanza, A.; Carlesso, A.; Chintha, C.; Creedican, S.; Doultsinos, D.; Leuzzi, B.; Luís, A.; McCarthy, N.; Montibeller, L.; More, S.; et al. Endoplasmic Reticulum Stress Signaling—From Basic Mechanisms to Clinical Applications. FEBS J. 2019, 286, 241–278. [Google Scholar] [CrossRef] [PubMed]
- Zhang, S.; Tang, J.; Sun, C.; Zhang, N.; Ning, X.; Li, X.; Wang, J. Dexmedetomidine Attenuates Hepatic Ischemia–Reperfusion Injury-Induced Apoptosis via Reducing Oxidative Stress and Endoplasmic Reticulum Stress. Int. Immunopharmacol. 2023, 117, 109959. [Google Scholar] [CrossRef]
- Gao, P.C.; Wang, A.Q.; Chen, X.W.; Cui, H.; Li, Y.; Fan, R.F. Selenium Alleviates Endoplasmic Reticulum Calcium Depletion-Induced Endoplasmic Reticulum Stress and Apoptosis in Chicken Myocardium after Mercuric Chloride Exposure. Environ. Sci. Pollut. Res. 2023, 30, 51531–51541. [Google Scholar] [CrossRef]
- Chi, X.; Jiang, Y.; Chen, Y.; Yang, F.; Cai, Q.; Pan, F.; Lv, L.; Zhang, X. Suppression of MicroRNA-27a Protects against Liver Ischemia/Reperfusion Injury by Targeting PPARγ and Inhibiting Endoplasmic Reticulum Stress. Mol. Med. Rep. 2019, 20, 4003–4012. [Google Scholar] [CrossRef]
- du Sert, N.P.; Hurst, V.; Ahluwalia, A.; Alam, S.; Avey, M.T.; Baker, M.; Browne, W.J.; Clark, A.; Cuthill, I.C.; Dirnagl, U.; et al. The Arrive Guidelines 2.0: Updated Guidelines for Reporting Animal Research. PLoS Biol. 2020, 18, e3000410. [Google Scholar] [CrossRef]
- Arifin, W.N.; Zahiruddin, W.M. Sample Size Calculation in Animal Studies Using Resource Equation Approach. Malaysian J. Med. Sci. 2017, 24, 101–105. [Google Scholar] [CrossRef]
- Charan, J.; Kantharia, N. How to Calculate Sample Size in Animal Studies? J. Pharmacol. Pharmacother. 2013, 4, 303–306. [Google Scholar] [CrossRef]
- Allgoewer, A.; Mayer, B. Sample Size Estimation for Pilot Animal Experiments by Using a Markov Chain Monte Carlo Approach. ATLA Altern. Lab. Anim. 2017, 45, 83–90. [Google Scholar] [CrossRef]
- Gonzalez, L.M.; Moeser, A.J.; Blikslager, A.T. Animal Models of Ischemia–Reperfusion-Induced Intestinal Injury: Progress and Promise for Translational Research. Am. J. Physiol. Gastrointest. Liver Physiol. 2015, 308, G63–G75. [Google Scholar] [CrossRef]
- Settaf, A.; Morin, D.; Lamchouri, F.; Elimadi, A.; Cherrah, Y.; Tillement, J.P. Trimetazidine Ameliorates the Hepatic Injury Associated with Ischemia–Reperfusion in Rats. Pharmacol. Res. 1999, 39, 211–216. [Google Scholar] [CrossRef]
- Kartal, S.; Şen, A.; Tümkaya, L.; Erdivanlı, B.; Mercantepe, T.; Yılmaz, A. The Effect of Dexmedetomidine on Liver Injury Secondary to Lower Extremity Ischemia–Reperfusion in a Diabetic Rat Model. Clin. Exp. Hypertens. 2021, 43, 677–682. [Google Scholar] [CrossRef]
- Şahin, T.; Begeç, Z.; Toprak, H.I.; Polat, A.; Vardi, N.; Yücel, A.; Durmuş, M.; Ersoy, M.Ö. The Effects of Dexmedetomidine on Liver Ischemia–Reperfusion Injury in Rats. J. Surg. Res. 2013, 183, 385–390. [Google Scholar] [CrossRef]
- Tüfek, A.; Tokgöz, O.; Aliosmanoglu, I.; Alabalik, U.; Evliyaoglu, O.; Çiftçi, T.; Güzel, A.; Yildirim, Z.B. The Protective Effects of Dexmedetomidine on the Liver and Remote Organs against Hepatic Ischemia–Reperfusion Injury in Rats. Int. J. Surg. 2013, 11, 96–100. [Google Scholar] [CrossRef]
- Ozdemir, A.; Topcu, A.; Mercantepe, T.; Arpa, M.; Karakas, S.M.; Ozdemir, A.; Tumkaya, L.; Mercantepe, F. The Effects of Dexmedetomidine on Early Acute Kidney Injury in Severely Burned Rats. Eur. Rev. Med. Pharmacol. Sci. 2023, 27, 1311–1321. [Google Scholar] [CrossRef]
- Rojas, D.B.; Gemelli, T.; De Andrade, R.B.; Campos, A.G.; Dutra-Filho, C.S.; Wannmacher, C.M.D. Administration of Histidine to Female Rats Induces Changes in Oxidative Status in Cortex and Hippocampus of the Offspring. Neurochem. Res. 2012, 37, 1031–1036. [Google Scholar] [CrossRef] [PubMed]
- Ohkawa, H.; Ohishi, N.; Yagi, K. Assay for Lipid Peroxides in Animal Tissues by Thiobarbituric Acid Reaction. Anal. Biochem. 1979, 95, 351–358. [Google Scholar] [CrossRef]
- Ellman, G.L. Tissue sulfhydryl groups. Arch. Biochem. Biophys. 1959, 82, 70–77. [Google Scholar] [CrossRef]
- Elwany, N.E.; El Salem, A.; Noura Mostafa Mohamed, S.S.K.; Mahmoud, N.M. Rebamipide Protects against Experimentally Induced Intestinal Ischemia/Reperfusion-Promoted Liver Damage: Impact on SIRT1/β-Catenin/FOXO1and NFκB Signaling. Int. Immunopharmacol. 2023, 119, 110269. [Google Scholar] [CrossRef]
- Zhu, L.; Yang, X.; Yao, Z.; Mb, Z.W.; Mb, Y.L.; Mb, S.X.; Liu, K.; Zhao, B. Corrigendum to “Bioinformatic Analysis of LncRNA Mediated CeRNA Network in Intestinal Ischemia/Reperfusion Injury” [J Surg Res 2023; 284: 280-289]. J. Surg. Res. 2023, 290, 1. [Google Scholar] [CrossRef]
- Faure, J.P.; Baumert, H.; Han, Z.; Goujon, J.M.; Favreau, F.; Dutheil, D.; Petit, I.; Barriere, M.; Tallineau, C.; Tillement, J.P.; et al. Evidence for a Protective Role of Trimetazidine during Cold Ischemia: Targeting Inflammation and Nephron Mass. Biochem. Pharmacol. 2003, 66, 2241–2250. [Google Scholar] [CrossRef]
- Cau, J.; Favreau, F.; Tillement, J.P.; Lerman, L.O.; Hauet, T.; Goujon, J.M. Trimetazidine Reduces Early and Long-Term Effects of Experimental Renal Warm Ischemia: A Dose Effect Study. J. Vasc. Surg. 2008, 47, 852–860. [Google Scholar] [CrossRef] [PubMed]
- Cai, Y.E.; Xu, H.; Yan, J.; Zhang, L.; Lu, Y.I. Molecular Targets and Mechanism of Action of Dexmedetomidine in Treatment of Ischemia/Reperfusion Injury (Review). Mol. Med. Rep. 2014, 9, 1542–1550. [Google Scholar] [CrossRef]
- Abu-Amara, M.; Gurusamy, K.; Hori, S.; Glantzounis, G.; Fuller, B.; Davidson, B.R. Systematic Review of Randomized Controlled Trials of Pharmacological Interventions to Reduce Ischemia–Reperfusion Injury in Elective Liver Resection with Vascular Occlusion. HPB 2010, 12, 4–14. [Google Scholar] [CrossRef]
- Tsimoyiannis, E.; Moutesidou, K.; Moschos, C.; Karayianni, M.; Karkabounas, S.; Kotoulas, O. Trimetazidine for Prevention of Hepatic Injury Induced by Ischemia and Reperfusion in Rats. Eur. J. Surg. 1993, 2, 89–93. [Google Scholar]
- Kirsch, D.G.; Doseff, A.; Chau, B.N.; Dae-Sik, L.; De Souza-Pinto, N.C.; Hansford, R.; Kastan, M.B.; Lazebnik, Y.A.; Hardwick, J.M. Caspase-3-Dependent Cleavage of Bcl-2 Promotes Release of Cytochrome C. J. Biol. Chem. 1999, 274, 21155–21161. [Google Scholar] [CrossRef] [PubMed]
- Lim, H.; Kim, T.Y.; Kim, S.Y.; Ro, S.J.; Koh, S.R.; Ryu, S.; Ko, J.S.; Jeong, M.A. The Protective Effects of Dexmedetomidine Preconditioning on Hepatic Ischemia/Reperfusion Injury in Rats. Transplant. Proc. 2021, 53, 427–435. [Google Scholar] [CrossRef] [PubMed]
- Si, Y.N.; Bao, H.G.; Xu, L.; Wang, X.L.; Shen, Y.; Wang, J.S.; Yang, X.B. Dexmedetomidine Protects against Ischemia/Reperfusion Injury in Rat Kidney. Eur. Rev. Med. Pharmacol. Sci. 2014, 18, 1843–1851. [Google Scholar] [PubMed]
- Si, Y.; Bao, H.; Han, L.; Shi, H.; Zhang, Y.; Xu, L.; Liu, C.; Wang, J.; Yang, X.; Vohra, A.; et al. Dexmedetomidine Protects against Renal Ischemia and Reperfusion Injury by Inhibiting the JAK/STAT Signaling Activation. J. Transl. Med. 2013, 11, 141. [Google Scholar] [CrossRef]
- Zhang, Q.; Liu, X.M.; Hu, Q.; Liu, Z.R.; Liu, Z.Y.; Zhang, H.G.; Huang, Y.L.; Chen, Q.H.; Wang, W.X.; Zhang, X.K. Dexmedetomidine Inhibits Mitochondria Damage and Apoptosis of Enteric Glial Cells in Experimental Intestinal Ischemia/Reperfusion Injury via SIRT3-Dependent PINK1/HDAC3/P53 Pathway. J. Transl. Med. 2021, 19, 463. [Google Scholar] [CrossRef]
- Zhao, Y.; Kong, G.Y.; Pei, W.M.; Zhou, B.; Zhang, Q.Q.; Pan, B.B. Dexmedetomidine Alleviates Hepatic Injury via the Inhibition of Oxidative Stress and Activation of the Nrf2/HO-1 Signaling Pathway. Eur. Cytokine Netw. 2019, 30, 88–97. [Google Scholar] [CrossRef] [PubMed]
- Ma, J.; Chen, Q.; Li, J.; Zhao, H.; Mi, E.; Chen, Y.; Yi, B.; Ning, J.; Ma, D.; Lu, K.; et al. Dexmedetomidine-Mediated Prevention of Renal Ischemia–Reperfusion Injury Depends in Part on Cholinergic Anti-Inflammatory Mechanisms. Anesth. Analg. 2020, 130, 1054–1062. [Google Scholar] [CrossRef] [PubMed]
- Zhai, M.; Liu, C.; Li, Y.; Zhang, P.; Yu, Z.; Zhu, H.; Zhang, L.; Zhang, Q.; Wang, J.; Wang, J. Dexmedetomidine Inhibits Neuronal Apoptosis by Inducing Sigma-1 Receptor Signaling in Cerebral Ischemia–Reperfusion Injury. Aging 2019, 11, 9556–9568. [Google Scholar] [CrossRef]
- Zhao, D.; Ma, J.; Sun, Y.; Huang, W.; Fan, J.; Ye, M.; Hu, B.; Sun, X. Influence of Trimetazidine on Myocardial Injury in Mice with Diabetic Cardiomyopathy. J. Diabetes Complicat. 2024, 38, 108744. [Google Scholar] [CrossRef]
- Holubec, H.; Payne, C.M.; Bernstein, H.; Dvorakova, K.; Bernstein, C.; Waltmire, C.N.; Warneke, J.A.; Garewal, H. Assessment of Apoptosis by Immunohistochemical Markers Compared to Cellular Morphology in Ex Vivo-Stressed Colonic Mucosa. J. Histochem. Cytochem. 2005, 53, 229–235. [Google Scholar] [CrossRef]
- Nikoletopoulou, V.; Markaki, M.; Palikaras, K.; Tavernarakis, N. Crosstalk between Apoptosis, Necrosis and Autophagy. Biochim. Biophys. Acta Mol. Cell Res. 2013, 1833, 3448–3459. [Google Scholar] [CrossRef]
- Tuglu, D.; Yuvanc, E.; Yılmaz, E.; Gencay, I.Y.; Atasoy, P.; Kisa, U.; Batislam, E. The Antioxidant Effect of Dexmedetomidine on Testicular Ischemia–Reperfusion Injury. Acta Cir. Bras. 2015, 30, 414–421. [Google Scholar] [CrossRef]
- Mercantepe, F.; Tumkaya, L.; Mercantepe, T.; Akyildiz, K.; Ciftel, S.; Yilmaz, A. The Effects of Dexmedetomidine on Abdominal Aortic Occlusion-Induced Ovarian Injury via Oxidative Stress and Apoptosis. Cells Tissues Organs 2023, 212, 554–566. [Google Scholar] [CrossRef] [PubMed]
- Li, Y.; Liu, S. The Effect of Dexmedetomidine on Oxidative Stress Response Following Cerebral Ischemia–Reperfusion in Rats and the Expression of Intracellular Adhesion Molecule-1 (ICAM-1) and S100B. Med. Sci. Monit. 2017, 23, 867–873. [Google Scholar] [CrossRef]
- Zhao, Y.N.; Li, J.M.; Chen, C.X.; Zhang, P.; Li, S.X. Hypertension-Mediated Enhancement of JNK Activation in Association with Endoplasmic Reticulum Stress in Rat Model Hippocampus with Cerebral Ischemia–Reperfusion. Genet. Mol. Res. 2015, 14, 10980–10990. [Google Scholar] [CrossRef]
- Zaouali, M.A.; Boncompagni, E.; Reiter, R.J.; Bejaoui, M.; Freitas, I.; Pantazi, E.; Folch-Puy, E.; Ben Abdennebi, H.; Garcia-Gil, F.A.; Roselló-Catafau, J. AMPK Involvement in Endoplasmic Reticulum Stress and Autophagy Modulation after Fatty Liver Graft Preservation: A Role for Melatonin and Trimetazidine Cocktail. J. Pineal Res. 2013, 55, 65–78. [Google Scholar] [CrossRef] [PubMed]
- Zhan, Y.; Chen, Z.; Qiu, Y.; Deng, Q.; Huang, W.; Wen, S.; Shen, J. Dexmedetomidine Prevents Pdia3 Decrease by Activating A2-Adrenergic Receptor to Alleviate Intestinal I/R in Mice. Shock 2022, 58, 556–564. [Google Scholar] [CrossRef] [PubMed]
- Zhang, Y.; Wei, H.; Wang, M.; Yu, Y.; Gu, M.; Zhong, H.; Dong, S. Dexmedetomidine Alleviates Ferroptosis Following Hepatic Ischemia–Reperfusion Injury by Upregulating Nrf2/GPx4-Dependent Antioxidant Responses. Biomed. Pharmacother. 2023, 169, 115915. [Google Scholar] [CrossRef] [PubMed]
- Zaouali, M.A.; Ben Mosbah, I.; Boncompagni, E.; Ben Abdennebi, H.; Mitjavila, M.T.; Bartrons, R.; Freitas, I.; Rimola, A.; Roselló-Catafau, J. Hypoxia Inducible Factor-1α Accumulation in Steatotic Liver Preservation: Role of Nitric Oxide. World J. Gastroenterol. 2010, 16, 3499–3509. [Google Scholar] [CrossRef]
- Jayle, C.; Favreau, F.; Zhang, K.; Doucet, C.; Goujon, J.M.; Hebrard, W.; Carretier, M.; Eugene, M.; Mauco, G.; Tillement, J.P.; et al. Comparison of Protective Effects of Trimetazidine against Experimental Warm Ischemia of Different Durations: Early and Long-Term Effects in a Pig Kidney Model. Am. J. Physiol. Ren. Physiol. 2007, 292, 1082–1093. [Google Scholar] [CrossRef]
- Belosludtseva, N.V.; Starinets, V.S.; Semenova, A.A.; Igoshkina, A.D.; Dubinin, M.V.; Belosludtsev, K.N. S-15176 Difumarate Salt Can Impair Mitochondrial Function through Inhibition of the Respiratory Complex III and Permeabilization of the Inner Mitochondrial Membrane. Biology 2022, 11, 380. [Google Scholar] [CrossRef]







| Creatinine (mg/dL) | AST (U/L) | ALT (U/L) | TBARS (mmol/L) | TT (mmol/L) | |
|---|---|---|---|---|---|
| Control | 0.28 (0.26–0.30) | 126 (119–145) | 67.5 (61–78) | 1.00 (0.52–1.94) | 0.45 (0.28–0.70) |
| I/R | 0.59 (0.54–0.68) a | 368 (205–547) a | 158 (92–198) a | 2.32 (1.69–2.69) g | 0.26 (0.23–0.30) i |
| TMZ | 0.29 (0.26–0.32) b | 263 (228–269) d | 119 (72–134) | 2.15 (1.85–2.46) | 0.25 (0.22–0.28) j |
| DEX | 0.44 (0.31–0.73) c | 255 (237–585) e | 102 (87–183) f | 2.35 (1.69–3.45) h | 0.26 (0.25–0.31) |
| p value (between groups) | <0.001 * | <0.001 * | <0.001 * | 0.007 * | 0.005 * |
| Group | Hydropic Degeneration of Hepatocytes | Intralobular Necrosis | Interlobular Necrosis | Perilobular Inflammation | Vascular Congestion | LHDS |
|---|---|---|---|---|---|---|
| Control | 0(0-0) | 0(0-0) | 0(0-0) | 0(0-0) | 0(0-0) | 0(0-1) |
| I/R | 2(2-2) a | 2(2-2) a | 2(2-2) a | 1(1-1) a | 2(1-2) a | 9(8-10) a |
| I/R+TMZ | 1(0-1) a,b | 1(1-1) a,b | 1(0-1) a,b | 1(0-1) a | 0(0-1) a | 4(3-5) a,b |
| I/R+DEX | 0(0-1) b | 0(0-1) b,c | 0(0-1) b,c | 0(0-1) d | 0(0-1) d | 2(1-3) e |
| Group | Caspase-3 Positivity Score | Bax Positivity Score | Bcl-2 Positivity Score | 8-OHdG Positivity Score | CHOP Positivity Score | GRP 78 Positivity Score |
|---|---|---|---|---|---|---|
| Control | 0(0-0) | 0(0-0) | 0(0-0) | 0(0-0) | 0(0-0) | 0(0-0) |
| I/R | 1(1-2) a | 2(2-3) a | 0(0-1) | 2(2-3) a | 2(1-2) a | 2(2-2) a |
| I/R+TMZ | 0.5(0-1) b | 1(1-1.5) a,c | 1(1-2) a,c | 1(1-2) b | 1(0-1) b,e | 1.5(1-2) a.g |
| I/R+DEX | 0(0-0) b | 0(0-1) c,h | 2(2-3) a,c,i | 1(0-1) b,c,d | 0.5(0-1) b,f | 1(0-1) b |
Disclaimer/Publisher’s Note: The statements, opinions and data contained in all publications are solely those of the individual author(s) and contributor(s) and not of MDPI and/or the editor(s). MDPI and/or the editor(s) disclaim responsibility for any injury to people or property resulting from any ideas, methods, instructions or products referred to in the content. |
© 2024 by the authors. Licensee MDPI, Basel, Switzerland. This article is an open access article distributed under the terms and conditions of the Creative Commons Attribution (CC BY) license (https://creativecommons.org/licenses/by/4.0/).
Share and Cite
Ciftel, S.; Mercantepe, T.; Aktepe, R.; Pinarbas, E.; Ozden, Z.; Yilmaz, A.; Mercantepe, F. Protective Effects of Trimetazidine and Dexmedetomidine on Liver Injury in a Mesenteric Artery Ischemia–Reperfusion Rat Model via Endoplasmic Reticulum Stress. Biomedicines 2024, 12, 2299. https://doi.org/10.3390/biomedicines12102299
Ciftel S, Mercantepe T, Aktepe R, Pinarbas E, Ozden Z, Yilmaz A, Mercantepe F. Protective Effects of Trimetazidine and Dexmedetomidine on Liver Injury in a Mesenteric Artery Ischemia–Reperfusion Rat Model via Endoplasmic Reticulum Stress. Biomedicines. 2024; 12(10):2299. https://doi.org/10.3390/biomedicines12102299
Chicago/Turabian StyleCiftel, Sedat, Tolga Mercantepe, Riza Aktepe, Esra Pinarbas, Zulkar Ozden, Adnan Yilmaz, and Filiz Mercantepe. 2024. "Protective Effects of Trimetazidine and Dexmedetomidine on Liver Injury in a Mesenteric Artery Ischemia–Reperfusion Rat Model via Endoplasmic Reticulum Stress" Biomedicines 12, no. 10: 2299. https://doi.org/10.3390/biomedicines12102299
APA StyleCiftel, S., Mercantepe, T., Aktepe, R., Pinarbas, E., Ozden, Z., Yilmaz, A., & Mercantepe, F. (2024). Protective Effects of Trimetazidine and Dexmedetomidine on Liver Injury in a Mesenteric Artery Ischemia–Reperfusion Rat Model via Endoplasmic Reticulum Stress. Biomedicines, 12(10), 2299. https://doi.org/10.3390/biomedicines12102299

