Histopathological Characteristics of Percutaneous Endomyocardial Biopsy in Heart Transplant Rejection Surveillance: A Single Center Experience
Abstract
1. Introduction
2. Materials and Methods
Statistical Analysis
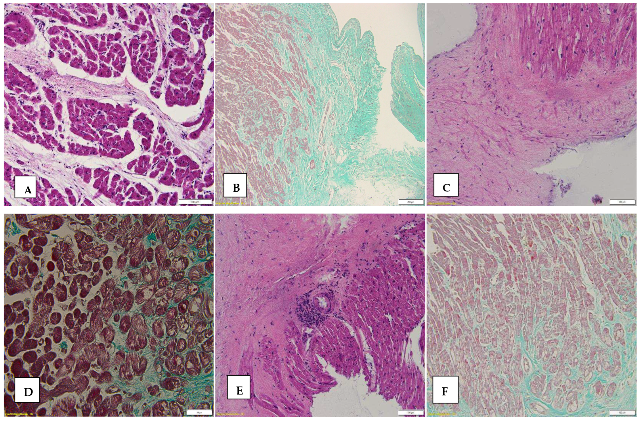
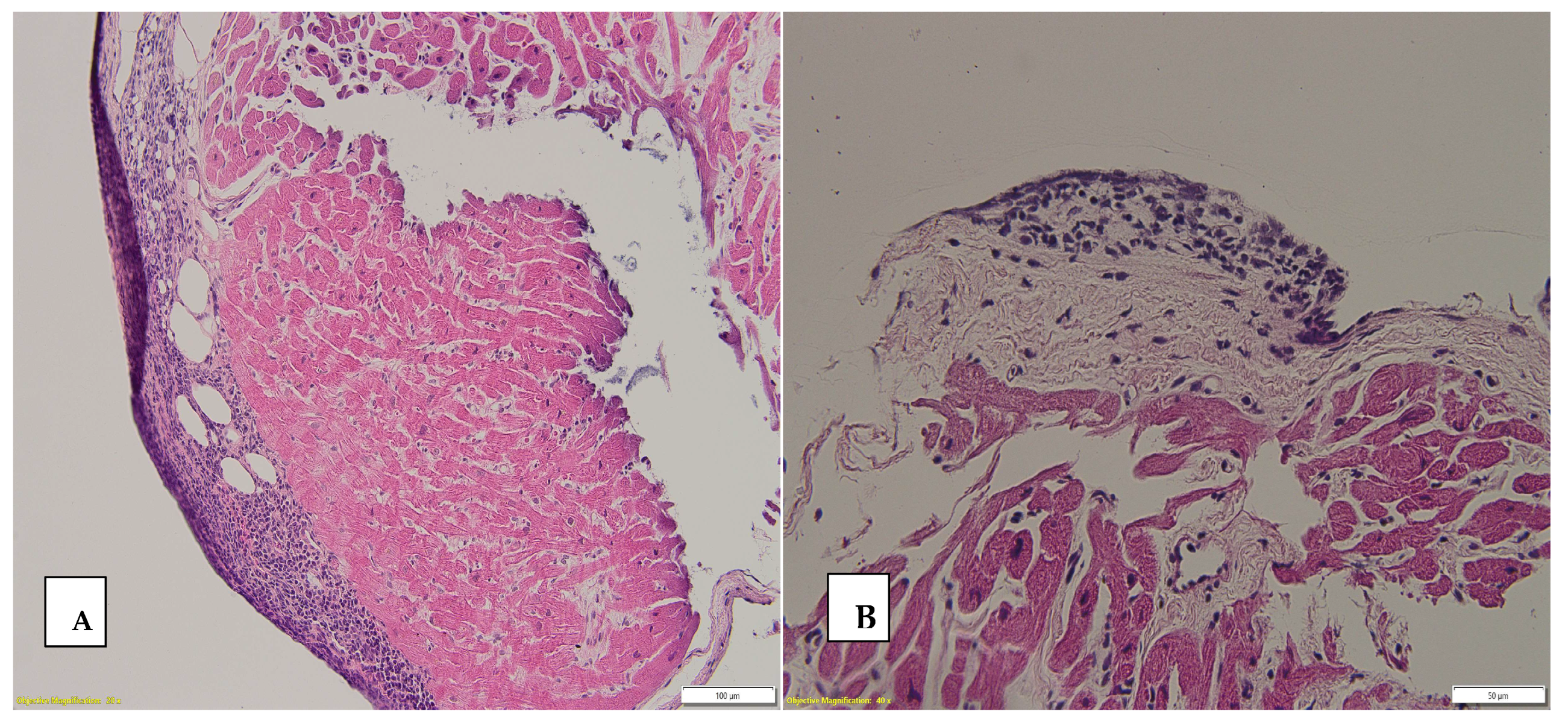
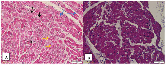
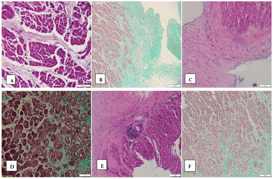
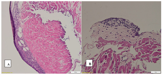
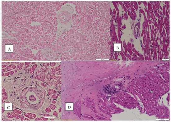
3. Results
4. Discussion
5. Conclusions
Author Contributions
Funding
Institutional Review Board Statement
Informed Consent Statement
Data Availability Statement
Acknowledgments
Conflicts of Interest
References
- Ponikowski, P.; Voors, A.A.; Anker, S.D.; Bueno, H.; Cleland, J.G.; Coats, A.J.; Falk, V.; González-Juanatey, J.R.; Harjola, V.P.; Jankowska, E.A.; et al. 2016 ESC Guidelines for the diagnosis and treatment of acute and chronic heart failure: The Task Force for the diagnosis and treatment of acute and chronic heart failure of the European Society of Cardiology (ESC). Developed with the special contribution of the Heart Failure Association (HFA) of the ESC. Eur. J. Heart Fail. 2016, 18, 891–975. [Google Scholar] [CrossRef] [PubMed]
- Sinphurmsukskul, S.; Ariyachaipanich, A.; Siwamogsatham, S.; Thammanatsakul, K.; Puwanant, S.; Benjacholamas, V.; Ongcharit, P. Endomyocardial Biopsy and Prevalence of Acute Cellular Rejection in Heart Transplantation. Transplant. Proc. 2020, 53, 318–323. [Google Scholar] [CrossRef] [PubMed]
- Jamil, A.K.; Afzal, A.; Nisar, T.; Kluger, A.Y.; Felius, J.; Wencker, D.; Hall, S.A.; Kale, P. Trends in post-heart transplant biopsies for graft rejection versus nonrejection. Bayl. Univ. Med. Cent. Proc. 2021, 34, 345–348. [Google Scholar] [CrossRef] [PubMed] [PubMed Central]
- Nalli, C.; Sponga, S.; Benedetti, G.; Guzzi, G.; Di Nora, C.; Stella, L.A.; Bortolotti, U.; Livi, U.; Vendramin, I. Endomyocardial biopsy through the left internal jugular vein in heart transplant recipients: A single center experience. J. Cardiovasc. Med. 2024, 25, 700–703. [Google Scholar] [CrossRef] [PubMed]
- Ahmed, T.; Goyal, A. Endomyocardial Biopsy. [Updated 8 May 2023]. In StatPearls [Internet]; StatPearls Publishing: Treasure Island, FL, USA, 2024. Available online: https://www.ncbi.nlm.nih.gov/books/NBK557597/ (accessed on 10 August 2024).
- Canter, C.E.; Appleton, R.S.; Saffitz, J.E.; Bologna, S.; Miller, L.; Pennington, D.G.; Spray, T.L. Surveillance for rejection by echocardiographically guided endomyocardial biopsy in the infant heart transplant recipient. Circulation 1991, 84 (Suppl. S5), III310-5. [Google Scholar] [PubMed]
- Stewart, S.; Winters, G.L.; Fishbein, M.C.; Tazelaar, H.D.; Kobashigawa, J.; Abrams, J.; Andersen, C.B.; Angelini, A.; Berry, G.J.; Burke, M.M.; et al. Revision of the 1990 working formulation for the standardization of nomenclature in the diagnosis of heart rejection. J. Heart Lung Transplant. 2005, 24, 1710–1720. [Google Scholar] [CrossRef] [PubMed]
- Berry, G.J.; Burke, M.M.; Andersen, C.; Bruneval, P.; Fedrigo, M.; Fishbein, M.C.; Goddard, M.; Hammond, E.H.; Leone, O.; Marboe, C.; et al. The 2013 International Society for Heart and Lung Transplantation Working Formulation for the standardization of nomenclature in the pathologic diagnosis of antibody-mediated rejection in heart transplantation. J. Heart Lung Transplant. 2013, 32, 1147–1162. [Google Scholar] [CrossRef]
- Kobashigawa, J.; Colvin, M.; Potena, L.; Dragun, D.; Crespo-Leiro, M.G.; Delgado, J.F.; Olymbios, M.; Parameshwar, J.; Patel, J.; Reed, E.; et al. The management of antibodies in heart transplantation: An ISHLT consensus document. J. Heart Lung Transplant. 2018, 37, 537–547. [Google Scholar] [CrossRef] [PubMed]
- Agbor-Enoh, S.; Shah, P.; Tunc, I.; Hsu, S.; Russell, S.; Feller, E.; Shah, K.; Rodrigo, M.E.; Najjar, S.S.; Kong, H.; et al. Cell-Free DNA to Detect Heart Allograft Acute Rejection. Circulation 2021, 143, 1184–1197. [Google Scholar] [CrossRef] [PubMed]
- Qian, X.; Shah, P.; Agbor-Enoh, S. Noninvasive biomarkers in heart transplant: 2020-2021 year in review. Curr. Opin. Organ Transplant. 2021, 27, 7–14. [Google Scholar] [CrossRef] [PubMed] [PubMed Central]
- Pham, M.X.; Teuteberg, J.J.; Kfoury, A.G.; Starling, R.C.; Deng, M.C.; Cappola, T.P.; Kao, A.; Anderson, A.S.; Cotts, W.G.; Ewald, G.A.; et al. Gene-expression profiling for rejection surveillance after cardiac transplantation. N. Engl. J. Med. 2010, 362, 1890–1900. [Google Scholar] [CrossRef] [PubMed]
- Costanzo, M.R.; Dipchand, A.; Starling, R.; Anderson, A.; Chan, M.; Desai, S.; Fedson, S.; Fisher, P.; Gonzales-Stawinski, G.; Martinelli, L.; et al. The International Society of Heart and Lung Transplantation Guidelines for the care of heart transplant recipients. J. Heart Lung Transplant. 2010, 29, 914–956. [Google Scholar] [CrossRef] [PubMed]
- Patel, J.K.; Kittleson, M.; Kobashigawa, J.A. Cardiac allograft rejection. Surg. 2011, 9, 160–167. [Google Scholar] [CrossRef] [PubMed]
- Cusi, V.; Vaida, F.; Wettersten, N.; Rodgers, N.; Tada, Y.; Gerding, B.; Urey, M.A.; Greenberg, B.; Adler, E.D.; Kim, P.J. Incidence of Acute Rejection Compared With Endomyocardial Biopsy Complications for Heart Transplant Patients in the Contemporary Era. Transplantation 2023, 108, 1220–1227. [Google Scholar] [CrossRef] [PubMed] [PubMed Central]
- Butler, C.R.; Savu, A.; Bakal, J.A.; Toma, M.; Thompson, R.; Chow, K.; Wang, H.; Kim, D.H.; Mengel, M.; Haykowsky, M.; et al. Correlation of cardiovascular magnetic resonance imaging findings and endomyocardial biopsy results in patients undergoing screening for heart transplant rejection. J. Heart Lung Transplant. 2015, 34, 643–650. [Google Scholar] [CrossRef] [PubMed]
- Khush, K.; Hall, S.; Kao, A.; Raval, N.; Dhingra, R.; Shah, P.; Bellumkonda, L.; Ravichandran, A.; Van Bakel, A.; Uriel, N.; et al. Surveillance with dual noninvasive testing for acute cellular rejection after heart transplantation: Outcomes from the Surveillance HeartCare Outcomes Registry. J. Heart Lung Transplant. 2024, 43, 1409–1421. [Google Scholar] [CrossRef] [PubMed]
- Wagner, K.; Oliver, M.C.; Boyle, G.J.; Miller, S.A.; Law, Y.M.; Pigula, F.; Webber, S.A. Endomyocardial biopsy in pediatric heart transplant recipients: A useful exercise? (Analysis of 1,169 biopsies). Pediatr. Transplant. 2000, 4, 186–192. [Google Scholar] [CrossRef] [PubMed]
- Chi, N.H.; Chou, N.K.; Tsao, C.I.; Huang, S.C.; Wu, I.H.; Yu, H.Y.; Chen, Y.S.; Wang, S.S. Endomyocardial biopsy in heart transplantation: Schedule or event? Transplant. Proc. 2012, 44, 894–896. [Google Scholar] [CrossRef] [PubMed]
- Ghadimi, H.; Tavangar, S.M. Histopathological findings in cardiac transplant recipients: An assessment after 10 years’ experience in Iran. Transplant. Proc. 2005, 37, 4535–4536. [Google Scholar] [CrossRef] [PubMed]
- Trivedi, J.R.; Cheng, A.; Ising, M.; Lenneman, A.; Birks, E.; Slaughter, M.S. Heart Transplant Survival Based on Recipient and Donor Risk Scoring: A UNOS Database Analysis. ASAIO J. 2016, 62, 297–301. [Google Scholar] [CrossRef]
- Wu, M.Y.; Khawaja, R.D.A.; Vargas, D. Heart Transplantation: Indications, Surgical Techniques, and Complications. Radiol. Clin. N. Am. 2023, 61, 847–859. [Google Scholar] [CrossRef] [PubMed]
- Oehler, D.; Bruno, R.R.; Holst, H.T.; Aubin, H.; Tudorache, I.; Akhyari, P.; Westenfeld, R.; Kelm, M.; Lichtenberg, A.; Boeken, U. Ischemic Versus Nonischemic Recipient Indication Does Not Impact Outcome After Heart Transplantation. Exp. Clin. Transplant. 2022, 20, 580–584. [Google Scholar] [CrossRef] [PubMed]
- Scheiber, D.; Zweck, E.; Albermann, S.; Jelenik, T.; Spieker, M.; Bönner, F.; Horn, P.; Schultheiss, H.P.; Aleshcheva, G.; Escher, F.; et al. Human myocardial mitochondrial oxidative capacity is impaired in mild acute heart transplant rejection. ESC Heart Fail. 2021, 8, 4674–4684. [Google Scholar] [CrossRef] [PubMed] [PubMed Central]
- Mingo-Santos, S.; Moñivas-Palomero, V.; Garcia-Lunar, I.; Mitroi, C.D.; Goirigolzarri-Artaza, J.; Rivero, B.; Oteo, J.F.; Castedo, E.; González-Mirelis, J.; Cavero, M.A.; et al. Usefulness of Two-Dimensional Strain Parameters to Diagnose Acute Rejection after Heart Transplantation. J. Am. Soc. Echocardiogr. 2015, 28, 1149–1156. [Google Scholar] [CrossRef] [PubMed]
- Duong Van Huyen, J.P.; Fedrigo, M.; Fishbein, G.A.; Leone, O.; Neil, D.; Marboe, C.; Peyster, E.; von der Thüsen, J.; Loupy, A.; Mengel, M.; et al. The XVth Banff Conference on Allograft Pathology the Banff Workshop Heart Report: Improving the diagnostic yield from endomyocardial biopsies and Quilty effect revisited. Am. J. Transplant. 2020, 20, 3308–3318. [Google Scholar] [CrossRef] [PubMed]
- Di Carlo, E.; D’Antuono, T.; Contento, S.; Di Nicola, M.; Ballone, E.; Sorrentino, C. Quilty effect has the features of lymphoid neogenesis and shares CXCL13-CXCR5 pathway with recurrent acute cardiac rejections. Am. J. Transplant. 2006, 7, 201–210. [Google Scholar] [CrossRef] [PubMed]
- Zakliczynski, M.; Nozynski, J.; Konecka-Mrowka, D.; Pyka, L.; Trybunia, D.; Swierad, M.; Maruszewski, M.; Zembala, M. Quilty effect correlates with biopsy-proven acute cellular rejection but does not predict transplanted heart coronary artery vasculopathy. J. Heart Lung Transplant. 2009, 28, 255–259. [Google Scholar] [CrossRef] [PubMed]
- Watanabe, K.; Husain, N.; Arzu, J.L.; Wechsler, J.B.; Arva, N.C. Increased fibrosis and microvessel disease in allograft endomyocardial biopsies of children with chronic graft failure due to cardiac allograft vasculopathy. Cardiovasc. Pathol. 2023, 63, 107509. [Google Scholar] [CrossRef]
- Kurose, H. Cardiac Fibrosis and Fibroblasts. Cells 2021, 10, 1716. [Google Scholar] [CrossRef] [PubMed] [PubMed Central]
- Lin-Wang, H.T.; Cipullo, R.; Dias França, J.I.; Finger, M.A.; Rossi Neto, J.M.; Correia, E.B.; Dinkhuysen, J.J.; Hirata, M.H. Intragraft vasculitis and gene expression analysis: Association with acute rejection and prediction of mortality in long-term heart transplantation. Clin. Transplant. 2018, 32, e13373. [Google Scholar] [CrossRef] [PubMed]
- Murray, D.L.; Pereira, N.L.; Miller, D.V. An unusual presentation of post-transplant lymphoproliferative disorder mimicking vasculitis in heart transplantation. J. Heart Lung Transplant. 2008, 27, 1257–1261. [Google Scholar] [CrossRef] [PubMed]
- Cunningham, K.S.; Veinot, J.P.; Butany, J. An approach to endomyocardial biopsy interpretation. J. Clin. Pathol. 2006, 59, 121–129. [Google Scholar] [CrossRef] [PubMed] [PubMed Central]





| Parameter | SEX | p Value | Age Group | p Value | |||||||
|---|---|---|---|---|---|---|---|---|---|---|---|
| F | M | 11–20 y.o. | 21–30 y.o. | 31–40 y.o. | 41–50 y.o. | 51–60 y.o. | 61–70 y.o. | ||||
| ISHLT | ISHLT 0 | 76.6% (36) | 84.3% (129) | p = 0.293 | 72.7% (32) | 73.9% (17) | 84.4% (27) | 86.0% (43) | 89.2% (33) | 92.9% (13) | p = 0.192 |
| ISHLT 1R | 14.9% (7) | 13.1% (20) | 18.2% (8) | 21.7% (5) | 15.6% (5) | 8.0% (4) | 10.8% (4) | 7.1% (1) | |||
| ISHLT 2R | 6.4% (3) | 2.0% (3) | 9.1% (4) | 4.3% (1) | 0.0% (0) | 2.0% (1) | 0.0% (0) | 0.0% (0) | |||
| ISHLT 3R | 2.1% (1) | 0.7% (1) | 0.0% (0) | 0.0% (0) | 0.0% (0) | 4.0% (2) | 0.0% (0) | 0.0% (0) | |||
| Antibody Mediated Rejection | Absent | 76.6% (36) | 91.5% (140) | p = 0.010 | 70.5% (31) | 78.3% (18) | 96.9% (31) | 92.0% (46) | 97.3% (36) | 100.0% (14) | p = 0.01 |
| Present | 23.4% (11) | 8.5% (13) | 29.5% (13) | 21.7% (5) | 3.1% (1) | 8.0% (4) | 2.7% (1) | 0.0% (0) | |||
| Quilty Effect | Absent | 76.6% (36) | 90.2% (138) | p = 0.024 | 72.7% (32) | 82.6% (19) | 93.8% (30) | 92.0% (46) | 89.2% (33) | 100.0% (14) | p = 0.026 |
| Present | 23.4% (11) | 9.8% (15) | 27.3% (12) | 17.4% (4) | 6.2% (2) | 8.0% (4) | 10.8% (4) | 0.0% (0) | |||
| Fibrosis | Score 0 | 34.0% (16) | 20.9% (32) | p = 0.013 | 36.4% (16) | 21.7% (5) | 12.5% (4) | 26.0% (13) | 21.6% (8) | 14.3% (2) | p = 0.047 |
| Score 1 | 40.4% (19) | 43.8% (67) | 38.6% (17) | 30.4% (7) | 37.5% (12) | 52.0% (26) | 54.1% (20) | 28.6% (4) | |||
| Score 2 | 12.8% (6) | 9.8% (15) | 11.4% (5) | 13.0% (3) | 12.5% (4) | 12.0% (6) | 5.4% (2) | 7.1% (1) | |||
| Score 3 | 12.8% (6) | 25.5% (39) | 13.6% (6) | 34.8% (8) | 37.5% (12) | 10.0% (5) | 18.9% (7) | 50.0% (7) | |||
| Vasculitis | Absent | 63.8% (30) | 77.8% (119) | p = 0.003 | 65.9% (29) | 73.9% (17) | 65.6% (21) | 88.0% (44) | 73.0% (27) | 78.6% (11) | p = 0.21 |
| Mild Vasculitis | 23.4% (11) | 20.9% (32) | 31.8% (14) | 17.4% (4) | 25.0% (8) | 10.0% (5) | 24.3% (9) | 21.4% (3) | |||
| Moderate Vasculitis | 12.8% (6) | 1.3% (2) | 2.3% (1) | 8.7% (2) | 9.4% (3) | 2.0% (1) | 2.7% (1) | 0.0% (0) | |||
Disclaimer/Publisher’s Note: The statements, opinions and data contained in all publications are solely those of the individual author(s) and contributor(s) and not of MDPI and/or the editor(s). MDPI and/or the editor(s) disclaim responsibility for any injury to people or property resulting from any ideas, methods, instructions or products referred to in the content. |
© 2024 by the authors. Licensee MDPI, Basel, Switzerland. This article is an open access article distributed under the terms and conditions of the Creative Commons Attribution (CC BY) license (https://creativecommons.org/licenses/by/4.0/).
Share and Cite
Farcas, A.O.; Stoica, M.C.; Voidazan, S.; Maier, I.M.; Maier, A.C.; Suciu, H.; Sin, A.I. Histopathological Characteristics of Percutaneous Endomyocardial Biopsy in Heart Transplant Rejection Surveillance: A Single Center Experience. Biomedicines 2024, 12, 2258. https://doi.org/10.3390/biomedicines12102258
Farcas AO, Stoica MC, Voidazan S, Maier IM, Maier AC, Suciu H, Sin AI. Histopathological Characteristics of Percutaneous Endomyocardial Biopsy in Heart Transplant Rejection Surveillance: A Single Center Experience. Biomedicines. 2024; 12(10):2258. https://doi.org/10.3390/biomedicines12102258
Chicago/Turabian StyleFarcas, Anca Otilia, Mihai Ciprian Stoica, Septimiu Voidazan, Ioana Maria Maier, Adrian Cornel Maier, Horatiu Suciu, and Anca Ileana Sin. 2024. "Histopathological Characteristics of Percutaneous Endomyocardial Biopsy in Heart Transplant Rejection Surveillance: A Single Center Experience" Biomedicines 12, no. 10: 2258. https://doi.org/10.3390/biomedicines12102258
APA StyleFarcas, A. O., Stoica, M. C., Voidazan, S., Maier, I. M., Maier, A. C., Suciu, H., & Sin, A. I. (2024). Histopathological Characteristics of Percutaneous Endomyocardial Biopsy in Heart Transplant Rejection Surveillance: A Single Center Experience. Biomedicines, 12(10), 2258. https://doi.org/10.3390/biomedicines12102258
