Impact of Stabilization Splint Therapy on Orthodontic Diagnosis in Patients with Signs and Symptoms of Temporomandibular Disorder
Abstract
1. Introduction
- To compare the mean values of sixteen variables from lateral cephalograms analyzed before and after establishing an orthopedically stable musculoskeletal position with stabilization splint therapy;
- To statistically compare the prevalence of the anamnestic and clinical findings of TMDs evaluated before and after establishing orthopedic stability in the masticatory structures with stabilization splint therapy;
- To evaluate the differences between the CR and MI at the level of the condyles using a CPI;
- To compare the prevalence of TMDs, condylar displacement, and cephalometric measurements among males and females.
2. Materials and Methods
2.1. Subjects
2.2. Assessment of the Signs and Symptoms of TMD
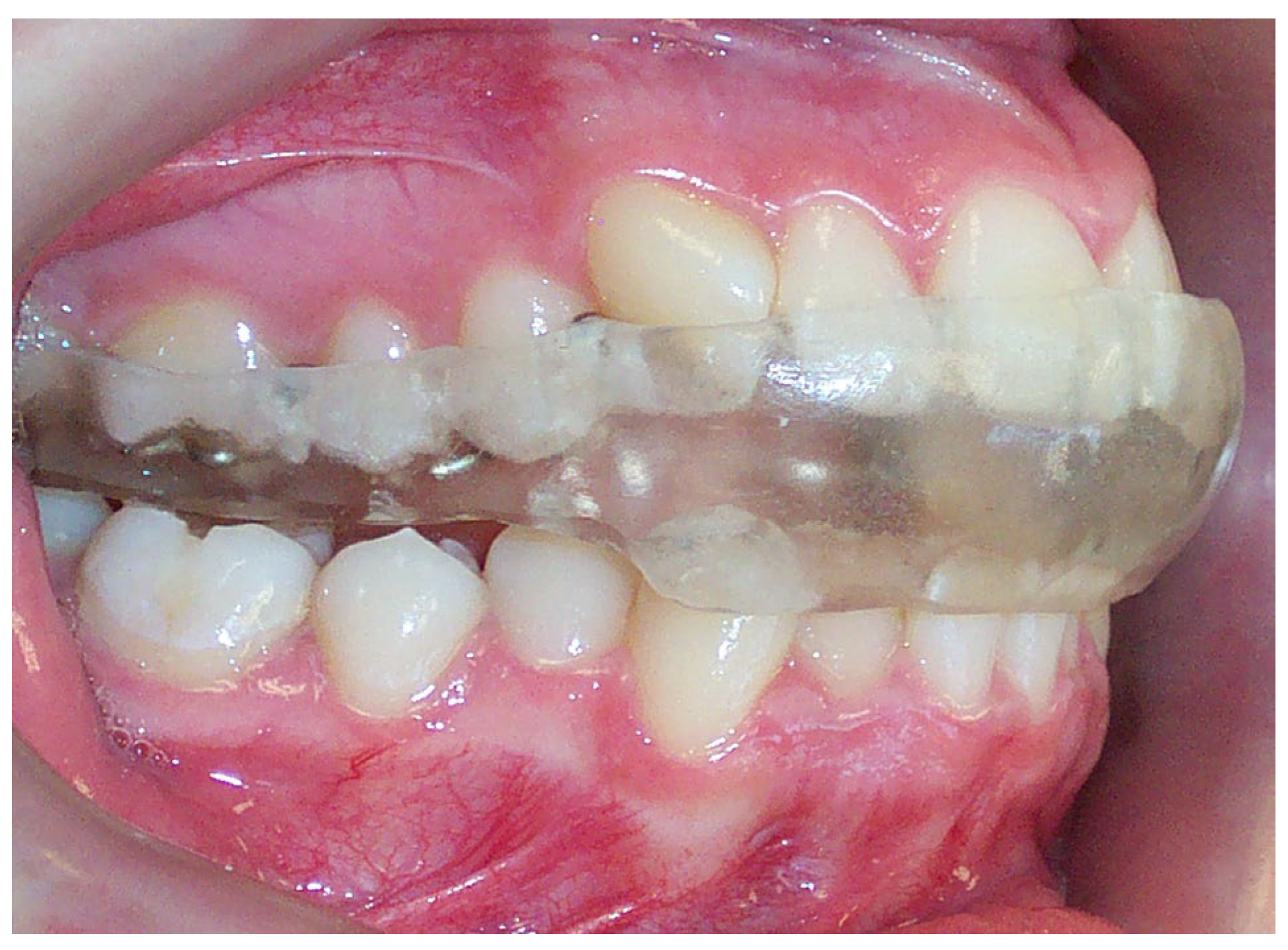
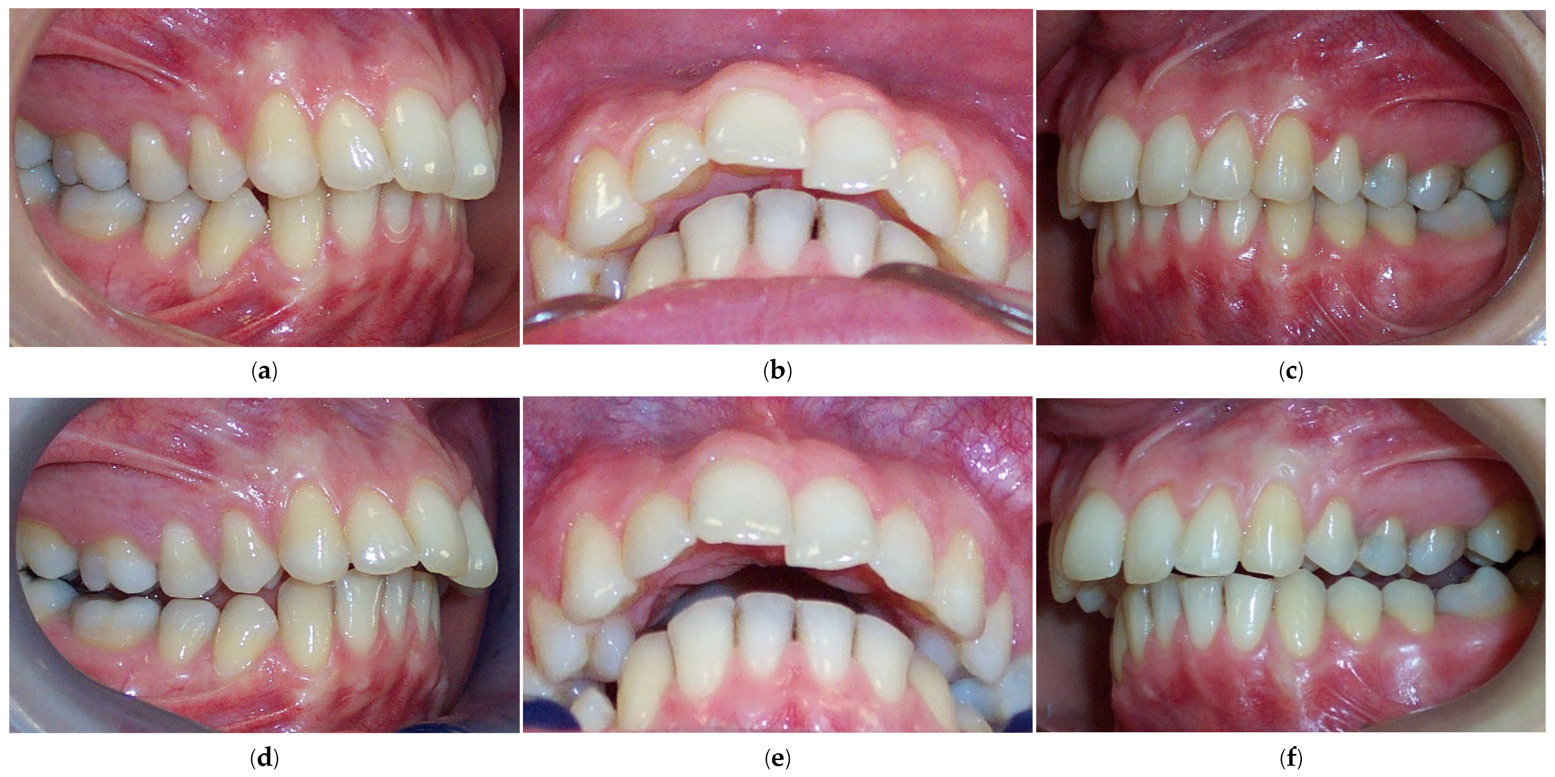
2.3. Assessment of Condylar Displacement before and after the Splint Therapy
2.4. Radiologic Evaluation
2.5. Statistical Analysis
3. Results


4. Discussion
4.1. Advantages and Limitations of the Study
4.2. Further Directions for Research
5. Conclusions
Author Contributions
Funding
Institutional Review Board Statement
Informed Consent Statement
Data Availability Statement
Acknowledgments
Conflicts of Interest
References
- Marklund, S.; Wänman, A. Risk factors associated with incidence and persistence of signs symptoms of temporomandibular disorders. Acta Odontol. Scand. 2010, 68, 289–299. [Google Scholar] [PubMed]
- Liu, F.; Steinkeler, A. Epidemiology, diagnosis, and treatment of temporomandibular disorders. Dent. Clin. N. Am. 2013, 57, 465–479. [Google Scholar] [CrossRef] [PubMed]
- Okeson, J.P. Management of Temporomandibular Disorders and Occlusion, 8th ed.; CV Mosby: St. Louis, MO, USA, 2020. [Google Scholar]
- Dawson, P.E. Evaluation, Diagnosis, and Treatment of Occlusal Problems, 2nd ed.; Mosby: St. Louis, MO, USA, 1989; Volume 28, pp. 41–45. [Google Scholar]
- Lee, G.H.; Lee, S.M.; Park, J.H. The role of mandibular stabilization in orthognathic surgery. Semin. Orthod. 2019, 25, 188–204. [Google Scholar] [CrossRef]
- Padala, S.; Padmanabhan, S.; Chithranjan, A.B. Comparative evaluation of condylar position in symptomatic (TMJ dysfunction) and asymptomatic individuals. Indian J. Dent. Res. 2012, 23, 122. [Google Scholar] [CrossRef] [PubMed]
- Pullinger, A.G.; Seligman, D.A. Quantification and validation of predictive values of occlusal variables in temporomandibular disorders using a multifactorial analysis. J. Prosthet. Dent. 2000, 83, 66–75. [Google Scholar] [CrossRef]
- He, S.; Wang, S.; Song, F.; Wu, S.; Chen, J.; Chen, S. Effect of the use of stabilization splint on masticatory muscle activities in TMD patients with centric relation-maximum intercuspation discrepancy and absence of anterior/lateral guidance. Cranio 2021, 39, 424–432. [Google Scholar] [CrossRef] [PubMed]
- Nemes, B.; Frank, D.; Puigdollers, A.; Martín, D. Occlusal splint therapy followed by orthodontic molar intrusion as an effective treatment method to treat patients with temporomandibular disorder: A Retrospective study. Appl. Sci. 2021, 11, 7249. [Google Scholar] [CrossRef]
- Roth, R.H.; Rolfs, D.A. Functional occlusion for the orthodontist. Part II. J. Clin. Orthod. 1981, 15, 100–123. [Google Scholar]
- Roth, R.H. Functional occlusion for the orthodontist. Part III. J. Clin. Orthod. 1981, 15, 174–198. [Google Scholar]
- Okeson, J.P. Evolution of occlusion and temporomandibular disorder in orthodontics: Past, present, and future. Am. J. Orthod. Dentofac. Orthop. 2015, 147, 216–223. [Google Scholar] [CrossRef] [PubMed]
- Dawson, P.E. New definition for relating occlusion to varying conditions of the temporomandibular joint. J. Prosthet. Dent. 1995, 74, 619–627. [Google Scholar] [CrossRef] [PubMed]
- Crawford, S.D. Condylar axis position, as determined by the occlusion and measured by the CPI instrument, and signs and symptoms of temporomandibular dysfunction. Angle. Orthod. 1999, 69, 103–116. [Google Scholar] [PubMed]
- Cordray, F.E. Articulated dental cast analysis of asymptomatic and symptomatic populations. Int. J. Oral Sci. 2016, 8, 126–132. [Google Scholar] [CrossRef] [PubMed]
- He, S.S.; Deng, X.; Wamalwa, P.; Chen, S. Correlation between centric relation–maximum intercuspation discrepancy and temporomandibular joint dysfunction. Acta Odontol. Scand. 2010, 68, 368–376. [Google Scholar] [CrossRef] [PubMed]
- Weffort, S.Y.; de Fantini, S.M. Condylar displacement between centric relation and maximum intercuspation in symptomatic and asymptomatic individuals. Angle Orthod. 2010, 80, 835–842. [Google Scholar] [CrossRef] [PubMed]
- Daif, E.T. Correlation of splint therapy outcome with the electromyography of masticatory muscles in temporomandibular disorder with myofascial pain. Acta Odontol. Scand. 2012, 70, 72–77. [Google Scholar] [CrossRef] [PubMed]
- Casares, G.; Thomas, A.; Carmona, J.; Acero, J.; Vila, C.N. Influence of oral stabilization appliances in intra-articular pressure of the temporomandibular joint. CRANIO® 2014, 32, 219–223. [Google Scholar] [CrossRef]
- Al-Moraissi, E.A.; Farea, R.; Qasem, K.A.; Al-Wadeai, M.S.; Al-Sabahi, M.E.; Al-Iryani, G.M. Effectiveness of occlusal splint therapy in the management of temporomandibular disorders: Network meta-analysis of randomized controlled trials. Int. J. Oral Maxillofac. Surg. 2020, 49, 1042–1056. [Google Scholar] [CrossRef] [PubMed]
- Lim, W.H.; Choi, B.; Lee, J.Y.; Ahn, S.J. Dentofacial characteristics in orthodontic patients with centric relation-maximum intercuspation discrepancy. Angle Orthod. 2014, 84, 939–945. [Google Scholar] [CrossRef] [PubMed]
- Shildkraut, M.; Wood, D.P.; Hunter, W.S. The CR-CO discrepancy and its effect on cephalometric measurements. Angle Orthod. 1994, 64, 333–342. [Google Scholar]
- Zhao, M.; Wang, P.; Wang, H.; Li, X.; Bai, D.; Tian, Y. Diagnostic and treatment protocol for a patient with temporomandibular disorder using a stabilization splint and temporary anchorage devices. Am. J. Orthod. Dentofac. Orthop. 2021, 159, 666–681. [Google Scholar] [CrossRef] [PubMed]
- Lee, G.H.; Park, J.H.; Moon, D.N.; Lee, S.M. Protocols for orthodontic treatment of patients with temporomandibular joint disorders. Am. J. Orthod. Dentofac. Orthop. 2021, 159, 373–378. [Google Scholar]
- Lee, G.H.; Park, J.H.; Sang, M.L.; Kim, E.J.; Lim, S.W.; Moon, D. An orthodontic treatment case of TMD patients with maxillary posterior intrusion using TSADs. Appl. Sci. 2022, 12, 12098. [Google Scholar] [CrossRef]
- Demirovic, K.; Demirovic, E.; Dzemidzic, V.; Nakas, E. Assessment of condylar position in asymptomatic individuals before and after neuromuscular deprogramming with a stabilization splint. Srp. Arh. Celok. Lek. 2023, 151, 165–171. [Google Scholar] [CrossRef]
- Fantini, S.M.; Paiva, J.B.; Rino Neto, J.; Dominguez, G.C.; Abrao, J.; Vigoritto, J.W. Increase of condylar displacement between centric relation and maximal habitual intercuspation after occlusal splint therapy. Braz. Oral Res. 2005, 19, 176–182. [Google Scholar] [CrossRef] [PubMed]
- Park, J.H.; Lee, S.M.; Moon, D.N.; Lee, G.H. Clinical application of a maximum intercuspal position-centric relation occlusion conversion of a lateral cephalogram in the treatment of orthodontic patients. Am. J. Orthod. Dentofac. Orthop. Clin. Companion 2021, 1, 127–135. [Google Scholar] [CrossRef]
- Dworkin, S.F.; LeResche, L. Research diagnostic Criteria for temporomandibular disorders: Review, criteria, examinations and specifications, critique. J. Craniomandib. Disord. 1992, 6, 301–355. [Google Scholar]
- Häggman-Henrikson, B.; Ekberg, E.; Ettlin, D.A.; Michelotti, A.; Durham, J.; Goulet, J.P.; Visscher, C.M.; Raphael, K.G. Mind the Gap: A Systematic Review of Implementation of Screening for Psychological Comorbidity in Dental and Dental Hygiene Education. J. Dent. Educ. 2018, 82, 1065–1076. [Google Scholar] [CrossRef] [PubMed]
- Soheilifar, S.; Soheilifar, S.; Afrasiabi, Z.; Soheilifar, S.; Tapak, L.; Naghdi, N. Prediction accuracy of Dolphin software for soft-tissue profile in Class I patients undergoing fixed orthodontic treatment. J. World Fed. Orthod. 2022, 11, 29–35. [Google Scholar] [CrossRef] [PubMed]
- Girardot, A. The nature of condylar displacement in patients with temporomandibular pain-dysfunction. Orthod. Rev. 1987, 1, 16–23. [Google Scholar] [PubMed]
- Demirović, K.; Ovsenik, M. Relationship between the centric relation—Centric occlusion discrepancy and signs and symptoms of temporomandibular dysfunction, as measured by the condylar position indicator instrument, and effect of splint therapy on temporomandibular dysfunction. South Eur. J. Orthod. Dentofac. Res. 2014, 1, 31. Available online: http://www.sejodr.org/relationship-between-the-centric-relation-centric-occlusion-discrepancy-and-signs-and-symptoms-of-temporomandibular-dysfunction-as-measured-by-the-condylar-position-indicator-instrument-and-effect/ (accessed on 30 June 2014).
- Manfredini, D.; Stellini, E.; Marchese-Ragona, R.; Guarda-Nardini, L. Are occlusal features associated with different temporomandibular disorder diagnoses in bruxers? CRANIO 2014, 32, 283–288. [Google Scholar] [CrossRef] [PubMed]
- Turp, J.C.; Greene, C.S.; Strub, J.R. Dental occlusion: A critical reflection on past, present and future concepts. J. Oral Rehabil. 2008, 35, 446–453. [Google Scholar] [CrossRef] [PubMed]
- McNamara, J.A., Jr.; Seligman, D.A.; Okeson, J.P. Occlusion, Orthodontic treatment, and temporomandibular disorders: A review. J. Orofac. Pain. 1995, 9, 73–90. [Google Scholar] [PubMed]
- Manfredini, D.; Lombardo, L.; Siciliani, G. Temporomandibular disorders and dental occlusion. A systematic Review of association studies: End of an era? J. Oral Rehabil. 2017, 44, 908–923. [Google Scholar] [CrossRef] [PubMed]
- Cruz, D.; Monteiro, F.; Paço, M.; Vaz-Silva, M.; Lemos, C.; Alves-Ferreira, M.; Pinho, T. Genetic overlap between temporomandibular disorders and primary headaches: A systematic review. Jpn. Dent. Sci. Rev. 2022, 58, 69–88. [Google Scholar] [CrossRef] [PubMed] [PubMed Central]
- Fischer, D.J.; Mueller, B.A.; Critchlow, C.W.; LeResche, L. The association of temporomandibular disorder pain with history of head and neck injury in adolescents. J. Orofac. Pain 2006, 20, 191–198. [Google Scholar] [PubMed]
- Boboc, A.M.; De Stefano, A.; Impellizzeri, A.; Barbato, E.; Galluccio, G. Correlation between generalised joint hypermobility and temporomandibular joint disc displacement in adolescent patients: Magnetic Resonance Imaging study. Eur. J. Paediatr. Dent. 2022, 23, 106–110. [Google Scholar] [CrossRef] [PubMed]
- Yap, A.U.; Dworkin, S.F.; Chua, E.K.; List, T.; Tan, K.B.; Tan, H.H. Prevalence of temporomandibular disorder subtypes, psychologic distress, and psychosocial dysfunction in Asian patients. J. Orofac. Pain. 2003, 17, 21–28. [Google Scholar] [PubMed]
- Resende, C.M.B.M.; Rocha, L.G.D.D.S.; Paiva, R.P.; Cavalcanti, C.D.S.; Almeida, E.O.; Roncalli, A.G.; Barbosa, G.A.S. Relationship between anxiety, quality of life, and sociodemographic characteristics and temporomandibular disorder. Oral Surg. Oral Med. Oral Pathol. Oral Radiol. 2020, 129, 125–132. [Google Scholar] [CrossRef] [PubMed]
- Güler, N.; Yatmaz, P.I.; Ataoglu, H.; Emlik, D.; Uckan, S. Temporomandibular internal derangement: Correlation of MRI findings with clinical symptoms of pain and joint sounds in patients with bruxing behaviour. Dentomaxillofac. Radiol. 2003, 32, 304–310. [Google Scholar] [CrossRef] [PubMed]
- d’Apuzzo, F.; Rotolo, R.P.; Fordellone, M.; Cuomo, G.; Jamilian, A.; Nucci, L.; Grassia, V. Temporomandibular Disorders and Serological Tests in Patients with Rheumatoid Arthritis. Appl. Sci. 2023, 13, 11488. [Google Scholar] [CrossRef]
- Dawson, P.E. Functional Occlusion: From TMJ to Smile Design; Mosby: St. Louis, MO, USA, 2007. [Google Scholar]
- Magnusson, T.; Adiels, A.M.; Nilsson, H.L.; Helkimo, M. Treatment effect on signs and symptoms of temporomandibular disorders--comparison between stabilisation splint and a new type of splint (NTI). A pilot study. Swed. Dent. J. 2004, 28, 11–20. [Google Scholar] [PubMed]
- Yoon, Y.J.; Kim, K.W. The influence of stabilization splint on condylar position and craniofacial morphology. Korean J. Orthod. 1995, 25, 675–688. [Google Scholar] [PubMed]
- Park, J.S.; Kim, J.C.; Hwang, H.S. The effect of CR-CO discrepancy on cephalometric measurements in Class III malocclusion patients. Korean J. Orthod. 1996, 26, 255–266. [Google Scholar]
- Williamson, E.H.; Evans, D.L.; Barton, W.A.; Williams, B.H. The effect of bite plane use on terminal hinge axis location. Angle Orthod. 1977, 47, 25–33. [Google Scholar] [PubMed]
- Kemper, J.T.; Okeson, J.P. Craniomandibular Disorders and Headaches. J. Prosthet. Dent. 1983, 49, 702–705. [Google Scholar] [CrossRef]
- Dylina, T.J. A common-sense approach to splint therapy. J. Prosthet. Dent. 2001, 86, 539–545. [Google Scholar] [CrossRef] [PubMed]
- Okeson, J.P.; Kemper, J.T.; Moody, P.M. A study of the use of occlusion splints in the treatment of acute and chronic patients with craniomandibular disorders. J. Prosthet. Dent. 1982, 48, 708–712. [Google Scholar] [CrossRef] [PubMed]
- Wahlund, K.; List, T.; Larsson, B. Treatment of temporomandibular disorders among adolescents: A comparison between occlusal appliance, relaxation training, and brief information. Acta Odontol. Scand. 2003, 61, 203–211. [Google Scholar] [CrossRef] [PubMed]
- Pullinger, A.G.; Seligman, D.A.; Solberg, W.K. Temporomandibular disorders. Part II: Occlusal factors associated with temporomandibular joint tenderness and dysfunction. J. Prosthet. Dent. 1988, 59, 363–367. [Google Scholar] [CrossRef] [PubMed]
- Tăut, M.; Barbur, I.; Hedeșiu, M.; Ban, A.; Leucuța, D.; Negucioiu, M.; Buduru, S.D.; Ilea, A. Condylar Remodeling and Skeletal Changes Following Occlusal Splint and Manual Therapy: A Cone Beam Computed Tomography Study in Temporomandibular Disorders. J. Clin. Med. 2024, 13, 5567. [Google Scholar] [CrossRef] [PubMed]
- Wood, C.R. Centrically related cephalometrics. Am. J. Orthod. 1977, 71, 156–172. [Google Scholar] [CrossRef] [PubMed]
- Williamson, E.H.; Caves, S.A.; Edenfield, R.J.; Morse, P.K. Cephalometric analysis: Comparisons between maximum intercuspation and centric relation. Am. J. Orthod. 1978, 74, 672–677. [Google Scholar] [CrossRef] [PubMed]
- Lee, G.H.; Park, J.H.; Lee, S.M.; Moon, D.N. Orthodontic Treatment Protocols for Patients with Idiopathic Condylar Resorption. J. Clin. Pediatr. Dent. 2019, 43, 292–303. [Google Scholar] [CrossRef] [PubMed]
- Okeson, J.P.; Ikeda, K. Orthodontic therapy and the patient with temporomandibular disorder. In Orthodontics: Current Principles and Techniques, 5th ed.; Graber, L.W., Vanarsdall, R.L., Jr., Vig, K.W., Eds.; Mosby: Philadelphia, PA, USA, 2011; pp. 178–184. [Google Scholar]






| The Level of Facial Pain’s Interference with Daily Activities, Rated on a 0–10 NRS | ||||
|---|---|---|---|---|
| n = 33 | Mean | Z | p Value | |
| Before | After | |||
| How would you rate your facial pain on a 0 to 10 scale at the present time, which is right now, where 0 is “no pain” and 10 is “pain as bad as could be”? | 5.88 ± 2.25 | 1.67 ± 0.58 | −2.868 | 0.004 |
| In the past six months, how intense was your worst pain rated on a 0 to 10 scale, where 0 is “no pain” and 10 is “pain as bad as could be”? | 7.97 ± 1.63 | 2.33 ± 0.58 | −2.892 | 0.004 |
| In the past six months, on average, how intense was your pain rated on a 0 to 10 scale, where 0 is “no pain” and 10 is “pain as bad as could be”? [That is, at times you were experiencing your usual pain]. | 6.88 ± 1.65 | 2.00 ± 0.00 | −2.887 | 0.004 |
| In the past six months, how much has facial pain interfered with your daily activities rated on a 0 to 10 scale, where 0 is “no interference” and 10 is “unable to carry on any activities”? | 5.64 ± 2.22 | 1.33 ± 0.58 | −2.716 | 0.007 |
| In the past six months, how much has facial pain changed your ability to take part in recreational, social, and family activities, where 0 is “no interference” and 10 is “extreme change”? | 5.79 ± 2.33 | 1.00 ± 0.00 | −2.777 | 0.005 |
| In the past six months, how much has facial pain changed your ability to work (including housework), where 0 is “no interference” and 10 is “extreme change”? | 5.42 ± 2.19 | 1.00 ± 0.00 | −2.773 | 0.006 |
| Symptoms of TMD Related to Jaw Dysfunction | ||||
|---|---|---|---|---|
| n = 60 | Before the Splint Therapy | After the Splint Therapy | ||
| Percentage | Percentage | |||
| Have you ever had your jaw lock or catch so that it won’t open all the way? | 24 | 40% | 0 | 0.0% |
| Does your jaw click or pop when you open or close your mouth or when chewing? | 42 | 70.0% | 5 | 8.3% |
| Does your jaw make a grating or grinding noise when it opens and closes or when chewing? | 6 | 10.0% | 1 | 1.7% |
| Have you been told or do you notice that you grind your teeth or clench your jaw while sleeping at night? | 5 | 8.3% | 1 | 1.7% |
| During the day, do you grind your teeth or clench your jaw? | 3 | 5.0% | 0 | 0.0% |
| Does your jaw ache or feel stiff when you wake up in the morning? | 10 | 16.7% | 0 | 0.0% |
| Do you have noises or ringing in your ears? | 2 | 3.3% | 0 | 0.0% |
| Does your bite feel uncomfortable or unusual? | 42 | 70.0 | 0 | 0.0% |
| Changes in the Direction of Condylar Displacement | ||||
|---|---|---|---|---|
| n = 60 | Before the Splint Therapy | After the Splint Therapy | ||
| Right | Left | Right | Left | |
| Percentage | Percentage | |||
| Posterior–inferior | 66.7% | 75% | 41.6% | 48.3% |
| Anterior–inferior | 26.6% | 20% | 6.7% | 11.7% |
| Straight inferior | 6.7% | 5% | 46.7% | 33.3% |
| Coincident CR-MI | - | - | 5% | 6.7% |
| n = 60 | Before Splint Therapy Mean | After Splint Therapy Mean | Z | p Value |
|---|---|---|---|---|
| Maxillo–mandibular relationship | ||||
| SNA angle (°) | 81.30 ± 4.01 | 81.84 ± 3.98 | −0.787 | 0.431 |
| SNB angle (°) | 78.86 ± 4.58 | 78.08 ± 4.89 | −1.092 | 0.275 |
| ANB angle (°) | 2.43 ± 2.54 | 3.73 ± 2.80 | −2.704 | 0.007 |
| Wits appraisal (mm) | 0.59 ± 3.15 | 1.57 ± 3.51 | 2.286 | 0.022 |
| Vertical skeletal relationship | ||||
| Saddle angle (N-S-Ar) ° | 120.61 ± 5.6 | 120.23 ± 5.67 | −0.299 | 0.765 |
| Articular angle (S-Ar-Go) ° | 146.68 ± 7.75 | 148.67 ± 7.07 | −1.441 | 0.150 |
| Mandibular angle (Ar-Go-Gn) ° | 127.28 ± 7.99 | 127.67 ± 7.92 | −0.381 | 0.704 |
| Sum of angles ° | 394.60 ± 7.43 | 395.61 ± 7.44 | −1.559 | 0.119 |
| Total anterior facial height (mm) | 115.66 ± 6.73 | 117.27 ± 7.03 | −1.176 | 0.24 |
| Total posterior facial height (mm) | 75.49 ± 7.65 | 75.31 ± 7.48 | −0.060 | 0.952 |
| Total anterior/posterior facial height | 65.28 ± 5.55 | 64.22 ± 5.33 | −0.963 | 0.335 |
| (S-Go/N-Me) % | ||||
| Maxillo–mandibular angle (PP-MP) (°) | 28.79 ± 7.47 | 29.84 ± 7.38 | −0.672 | 0.502 |
| Size of mandible | ||||
| Mandibular length (Go-Me) mm | 69.21 ± 5.72 | 69.18 ± 5.53 | −0.052 | 0.958 |
| Ramus height (Ar-Me) mm | 43.81 ± 5.92 | 43.74 ± 5.97 | −0.018 | 0.985 |
| Dental relationship | ||||
| Overjet (mm) | 3.14 ± 1.76 | 4.79 ± 2.32 | 4.856 | 0.0001 |
| Overbite (mm) | 1.75 ± 1.80 | 0.45 ± 1.59 | −4.119 | 0.0001 |
Disclaimer/Publisher’s Note: The statements, opinions and data contained in all publications are solely those of the individual author(s) and contributor(s) and not of MDPI and/or the editor(s). MDPI and/or the editor(s) disclaim responsibility for any injury to people or property resulting from any ideas, methods, instructions or products referred to in the content. |
© 2024 by the authors. Licensee MDPI, Basel, Switzerland. This article is an open access article distributed under the terms and conditions of the Creative Commons Attribution (CC BY) license (https://creativecommons.org/licenses/by/4.0/).
Share and Cite
Demirovic, K.; Dzemidzic, V.; Nakas, E. Impact of Stabilization Splint Therapy on Orthodontic Diagnosis in Patients with Signs and Symptoms of Temporomandibular Disorder. Biomedicines 2024, 12, 2251. https://doi.org/10.3390/biomedicines12102251
Demirovic K, Dzemidzic V, Nakas E. Impact of Stabilization Splint Therapy on Orthodontic Diagnosis in Patients with Signs and Symptoms of Temporomandibular Disorder. Biomedicines. 2024; 12(10):2251. https://doi.org/10.3390/biomedicines12102251
Chicago/Turabian StyleDemirovic, Kenan, Vildana Dzemidzic, and Enita Nakas. 2024. "Impact of Stabilization Splint Therapy on Orthodontic Diagnosis in Patients with Signs and Symptoms of Temporomandibular Disorder" Biomedicines 12, no. 10: 2251. https://doi.org/10.3390/biomedicines12102251
APA StyleDemirovic, K., Dzemidzic, V., & Nakas, E. (2024). Impact of Stabilization Splint Therapy on Orthodontic Diagnosis in Patients with Signs and Symptoms of Temporomandibular Disorder. Biomedicines, 12(10), 2251. https://doi.org/10.3390/biomedicines12102251

