Takotsubo Syndrome during Pertuzumab and Trastuzumab Therapy for HER2-Positive Metastatic Breast Cancer
Abstract
1. Introduction
2. Materials and Methods
2.1. Case Presentation
2.2. Systematic Review
2.3. Diagnostic Criteria
3. Results
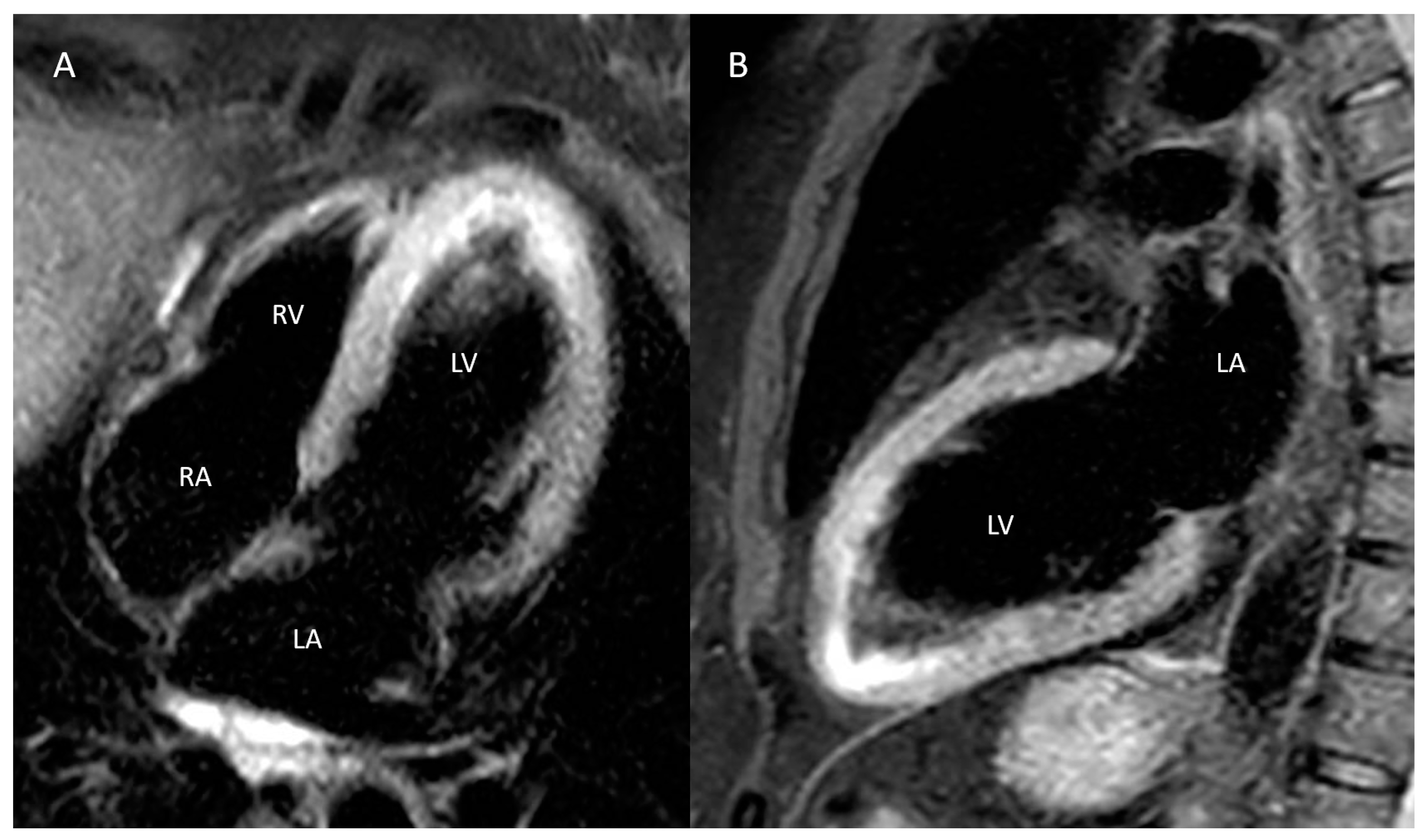
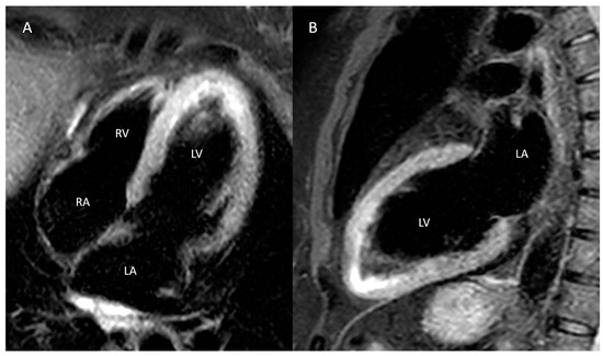
3.1. Case Presentation
3.2. Systematic Review
4. Discussion
5. Conclusions
Supplementary Materials
Author Contributions
Funding
Institutional Review Board Statement
Informed Consent Statement
Data Availability Statement
Conflicts of Interest
References
- Slamon, D.J.; Clark, G.M.; Wong, S.G.; Levin, W.J.; Ullrich, A.; McGuire, W.L. Human breast cancer: Correlation of relapse and survival with amplification of the HER-2/neu oncogene. Science 1987, 235, 177–182. [Google Scholar] [CrossRef] [PubMed]
- Burgy, M.; Brossat, H.; Barthelemy, P.; Imperiale, A.; Trinh, A.; Hazam, C.A.; Bergerat, J.P.; Mathelin, C. First report of trastuzumab treatment after postoperative Takotsubo cardiomyopathy. Anticancer Res. 2014, 34, 3579–3582. [Google Scholar] [PubMed]
- Baselga, J.; Perez, E.A.; Pienkowski, T.; Bell, R. Adjuvant trastuzumab: A milestone in the treatment of HER-2-positive early breast cancer. Oncologist 2006, 11, 4–12. [Google Scholar] [CrossRef] [PubMed]
- Mantarro, S.; Rossi, M.; Bonifazi, M.; D’Amico, R.; Blandizzi, C.; La Vecchia, C.; Negri, E.; Moja, L. Risk of severe cardiotoxicity following treatment with trastuzumab: A meta-analysis of randomized and cohort studies of 29,000 women with breast cancer. Intern. Emerg. Med. 2016, 11, 123–140. [Google Scholar] [CrossRef]
- Swain, S.M.; Baselga, J.; Kim, S.B.; Ro, J.; Semiglazov, V.; Campone, M.; Ciruelos, E.; Ferrero, J.M.; Schneeweiss, A.; Heeson, S.; et al. Pertuzumab, trastuzumab, and docetaxel in HER2-positive metastatic breast cancer. N. Engl. J. Med. 2015, 372, 724–734. [Google Scholar] [CrossRef] [PubMed]
- Yu, A.F.; Manrique, C.; Pun, S.; Liu, J.E.; Mara, E.; Fleisher, M.; Patil, S.; Jones, L.W.; Steingart, R.M.; Hudis, C.A.; et al. Cardiac Safety of Paclitaxel Plus Trastuzumab and Pertuzumab in Patients with HER2-Positive Metastatic Breast Cancer. Oncologist 2016, 21, 418–424. [Google Scholar] [CrossRef] [PubMed]
- Coen, M.; Rigamonti, F.; Roth, A.; Koessler, T. Chemotherapy-induced Takotsubo cardiomyopathy, a case report and review of the literature. BMC Cancer 2017, 17, 394. [Google Scholar] [CrossRef]
- Tsuchihashi, K.; Ueshima, K.; Uchida, T.; Oh-mura, N.; Kimura, K.; Owa, M.; Yoshiyama, M.; Miyazaki, S.; Haze, K.; Ogawa, H.; et al. Transient left ventricular apical ballooning without coronary artery stenosis: A novel heart syndrome mimicking acute myocardial infarction. Angina Pectoris-Myocardial Infarction Investigations in Japan. J. Am. Coll. Cardiol. 2001, 38, 11–18. [Google Scholar] [CrossRef]
- Komamura, K.; Fukui, M.; Iwasaku, T.; Hirotani, S.; Masuyama, T. Takotsubo cardiomyopathy: Pathophysiology, diagnosis and treatment. World J. Cardiol. 2014, 6, 602–609. [Google Scholar] [CrossRef]
- Bybee, K.A.; Kara, T.; Prasad, A.; Lerman, A.; Barsness, G.W.; Wright, R.S.; Rihal, C.S. Systematic review: Transient left ventricular apical ballooning: A syndrome that mimics ST-segment elevation myocardial infarction. Ann. Intern. Med. 2004, 141, 858–865. [Google Scholar] [CrossRef]
- Lees, C.; Yazdan-Ashoori, P.; Jerzak, K.J.; Gandhi, S. Takotsubo Cardiomyopathy During Anti-HER2 Therapy for Metastatic Breast Cancer. Oncologist 2019, 24, e80–e82. [Google Scholar] [CrossRef] [PubMed]
- Sattar, Y.; Siew, K.S.W.; Connerney, M.; Ullah, W.; Alraies, M.C. Management of Takotsubo Syndrome: A Comprehensive Review. Cureus 2020, 12, e6556. [Google Scholar] [CrossRef] [PubMed]
- Matsumoto, T.; Oda, T.; Yoshida, Y.; Kimura, S.; Himei, H.; Tsuduki, T.; Takagi, S.; Takatani, M.; Morishita, H. Takotsubo cardiomyopathy caused by infusion reaction to trastuzumab. Int. Cancer Conf. J. 2019, 9, 28–31. [Google Scholar] [CrossRef] [PubMed]
- Ghadri, J.R.; Wittstein, I.S.; Prasad, A.; Sharkey, S.; Dote, K.; Akashi, Y.J.; Cammann, V.L.; Crea, F.; Galiuto, L.; Desmet, W.; et al. International Expert Consensus Document on Takotsubo Syndrome (Part I): Clinical Characteristics, Diagnostic Criteria, and Pathophysiology. Eur. Heart J. 2018, 39, 2032–2046. [Google Scholar] [CrossRef]
- da Silva Costa, I.B.S.; Figueiredo, C.S.; Fonseca, S.M.R.; Bittar, C.S.; de Carvalho Silva, C.M.D.; Rizk, S.I.; Filho, R.K.; Hajjar, L.A. Takotsubo syndrome: An overview of pathophysiology, diagnosis and treatment with emphasis on cancer patients. Heart Fail. Rev. 2019, 24, 833–846. [Google Scholar] [CrossRef] [PubMed]
- Yoshikawa, T. Takotsubo cardiomyopathy, a new concept of cardiomyopathy: Clinical features and pathophysiology. Int. J. Cardiol. 2015, 182, 297–303. [Google Scholar] [CrossRef] [PubMed]
- Kido, K.; Guglin, M. Drug-Induced Takotsubo Cardiomyopathy. J. Cardiovasc. Pharmacol. Ther. 2017, 22, 552–563. [Google Scholar] [CrossRef]
- Anderson, R.D.; Brooks, M. Apical takotsubo syndrome in a patient with metastatic breast carcinoma on novel immunotherapy. Int. J. Cardiol. 2016, 222, 760–761. [Google Scholar] [CrossRef]
- Sharkey, S.W.; Pink, V.R.; Lesser, J.R.; Garberich, R.F.; Maron, M.S.; Maron, B.J. Clinical Profile of Patients with High-Risk Tako-Tsubo Cardiomyopathy. Am. J. Cardiol. 2015, 116, 765–772. [Google Scholar] [CrossRef]
- Boland, T.A.; Lee, V.H.; Bleck, T.P. Stress-induced cardiomyopathy. Crit. Care Med. 2015, 43, 686–693. [Google Scholar] [CrossRef]
- Lyon, A.R.; Rees, P.S.C.; Prasad, S.; Poole-Wilson, P.A.; Harding, S.E. Stress (Takotsubo) cardiomyopathy--a novel pathophysiological hypothesis to explain catecholamine-induced acute myocardial stunning. Nat. Clin. Pract. Cardiovasc. Med. 2008, 5, 22–29. [Google Scholar] [CrossRef]
- Gopalakrishnan, M.; Hassan, A.; Villines, D.; Nasr, S.; Chandrasekaran, M.; Klein, L.W. Predictors of short- and long-term outcomes of Takotsubo cardiomyopathy. Am. J. Cardiol. 2015, 116, 1586–1590. [Google Scholar] [CrossRef] [PubMed]
- Ghadri, J.R.; Ruschitzka, F.; Lüscher, T.F.; Templin, C. Takotsubo cardiomyopathy: Still much more to learn. Heart 2014, 100, 1804–1812. [Google Scholar] [CrossRef]
- Burgdorf, C.; Nef, H.M.; Haghi, D.; Kurowski, V.; Radke, P.W. Tako-tsubo (stress-induced) cardiomyopathy and cancer. Ann. Intern. Med. 2010, 152, 830–831. [Google Scholar] [CrossRef]
- Madias, J.E. The intriguing triangle of cancer, chemotherapy and takotsubo syn-drome. Oxf. Med. Case Rep. 2016, 2016, omw058. [Google Scholar] [CrossRef] [PubMed][Green Version]
- Giza, D.E.; Lopez-Mattei, J.; Vejpongsa, P.; Munoz, E.; Iliescu, G.; Kitkungvan, D.; Hassan, S.A.; Kim, P.; Ewer, M.S.; Iliescu, C. Stress-Induced Cardiomyopathy in Cancer Patients. Am. J. Cardiol. 2017, 120, 2284–2288. [Google Scholar] [CrossRef] [PubMed]
- Keramida, K.; Farmakis, D.; Filippatos, G. Cancer and Takotsubo syndrome: From rarity to clinical practice. ESC Heart Fail. 2021, 8, 4365–4369. [Google Scholar] [CrossRef]
- Brunetti, N.D.; Tarantino, N.; Guastafierro, F.; De Gennaro, L.; Correale, M.; Stiermaier, T.; Möller, C.; Di Biase, M.; Eitel, I.; Santoro, F. Malignancies and outcome in Takotsubo syndrome: A meta-analysis study on cancer and stress cardiomyopathy. Heart Fail. Rev. 2019, 24, 481–488. [Google Scholar] [CrossRef]
- Smith, S.A.; Auseon, A.J. Chemotherapy-induced takotsubo cardiomyopathy. Heart Fail. Clin. 2013, 9, 233–242. [Google Scholar] [CrossRef]
- Carbone, A.; Bottino, R.; Russo, V.; D’Andrea, A.; Liccardo, B.; Maurea, N.; Quagliariel-lo, V.; Cimmino, G.; Golino, P. Takotsubo Cardiomyopathy as Epiphenomenon of Car-diotoxicity in Patients with Cancer: A Meta-summary of Case Reports. J. Cardiovasc. Pharmacol. 2021, 78, e20–e29. [Google Scholar] [CrossRef]
- Hidalgo, S.; Albright, C.A.; Wells, G.L. A case of trastuzumab-associated cardiomyopathy presenting as an acute coronary syndrome: Acute trastuzumab cardiotoxicity. Case Rep. Cardiol. 2013, 2013, 473979. [Google Scholar] [CrossRef] [PubMed]
- Khanji, M.; Nolan, S.; Gwynne, S.; Pudney, D.; Ionescu, A. Tako-Tsubo syndrome after trastuzumab—An unusual complication of chemotherapy for breast cancer. Clin. Oncol. (R. Coll. Radiol.) 2013, 25, 329. [Google Scholar] [CrossRef] [PubMed]
- Lemmens, K.; Doggen, K.; De Keulenaer, G.W. Role of neuregulin-1/ErbB signaling in cardiovascular physiology and disease: Implications for therapy of heart failure. Circulation 2007, 116, 954–960. [Google Scholar] [CrossRef] [PubMed]
- Gordon, L.I.; Burke, M.A.; Singh, A.T.K.; Prachand, S.; Lieberman, E.D.; Sun, L.; Naik, T.J.; Prasad, S.V.N.; Ardehali, H. Blockade of the erbB2 receptor induces cardio-myocyte death through mitochondrial and reactive oxygen species-dependent path-ways. J. Biol. Chem. 2009, 284, 2080–2087. [Google Scholar] [CrossRef] [PubMed]
- Volkova, M.; Russell, R., 3rd. Anthracycline cardiotoxicity: Prevalence, pathogene-sis and treatment. Curr. Cardiol. Rev. 2011, 7, 214–220. [Google Scholar] [CrossRef]
- Madias, J.E. Is Takotsubo syndrome in patients receiving chemotherapy drug-specific? World J. Clin. Cases 2015, 3, 204–205. [Google Scholar] [CrossRef]
- Gianni, M.; Dentali, F.; Grandi, A.M.; Sumner, G.; Hiralal, R.; Lonn, E. Apical ballooning syndrome or takotsubo cardiomyopathy: A systematic review. Eur. Heart J. 2006, 27, 1523–1529. [Google Scholar] [CrossRef]
- Bybee, K.A.; Prasad, A. Stress-related cardiomyopathy syndromes. Circulation 2008, 118, 397–409. [Google Scholar] [CrossRef]
- Golabchi, A.; Sarrafzadegan, N. Takotsubo cardiomyopathy or broken heart syndrome: A review article. J. Res. Med. Sci. 2011, 16, 340–345. [Google Scholar]




| 1. Transient left ventricular dysfunction (hypokinesia, akinesia or dyskinesia) presenting as either apical, midventricular, basal or focal wall motion abnormalities. The right ventricle may also be involved. Regional wall motion alterations generally extend beyond the supply territory of a single epicardial coronary vessel. |
| 2. A physical, emotional or combined trigger may precede the acute event. |
| 3. An acute cerebrovascular event (stroke, transient ischemic attack, subarachnoid hemorrhage, seizures) or the presence of pheochromocytoma may serve as a trigger. |
| 4. Presence of new ECG changes (ST segment elevation or depression, inverted T waves, QTc prolongation). |
| 5. Increase in cardiac biomarkers (troponin T or I, CK-MB, and NT-proBNP). |
| 6. The presence of significant coronary artery disease does not exclude the diagnosis of TS. |
| 7. Patients have no evidence of myocarditis. |
| 8. Post-menopausal women are predominantly involved. |
Disclaimer/Publisher’s Note: The statements, opinions and data contained in all publications are solely those of the individual author(s) and contributor(s) and not of MDPI and/or the editor(s). MDPI and/or the editor(s) disclaim responsibility for any injury to people or property resulting from any ideas, methods, instructions or products referred to in the content. |
© 2024 by the authors. Licensee MDPI, Basel, Switzerland. This article is an open access article distributed under the terms and conditions of the Creative Commons Attribution (CC BY) license (https://creativecommons.org/licenses/by/4.0/).
Share and Cite
Irelli, A.; Ceriello, L.; Patruno, L.V.; Tessitore, A.; Alesse, E.; Cannita, K.; Fabiani, D. Takotsubo Syndrome during Pertuzumab and Trastuzumab Therapy for HER2-Positive Metastatic Breast Cancer. Biomedicines 2024, 12, 179. https://doi.org/10.3390/biomedicines12010179
Irelli A, Ceriello L, Patruno LV, Tessitore A, Alesse E, Cannita K, Fabiani D. Takotsubo Syndrome during Pertuzumab and Trastuzumab Therapy for HER2-Positive Metastatic Breast Cancer. Biomedicines. 2024; 12(1):179. https://doi.org/10.3390/biomedicines12010179
Chicago/Turabian StyleIrelli, Azzurra, Laura Ceriello, Leonardo Valerio Patruno, Alessandra Tessitore, Edoardo Alesse, Katia Cannita, and Donatello Fabiani. 2024. "Takotsubo Syndrome during Pertuzumab and Trastuzumab Therapy for HER2-Positive Metastatic Breast Cancer" Biomedicines 12, no. 1: 179. https://doi.org/10.3390/biomedicines12010179
APA StyleIrelli, A., Ceriello, L., Patruno, L. V., Tessitore, A., Alesse, E., Cannita, K., & Fabiani, D. (2024). Takotsubo Syndrome during Pertuzumab and Trastuzumab Therapy for HER2-Positive Metastatic Breast Cancer. Biomedicines, 12(1), 179. https://doi.org/10.3390/biomedicines12010179

