Clinicopathological and Molecular Characteristics of IDH-Wildtype Glioblastoma with FGFR3::TACC3 Fusion
Abstract
1. Introduction
2. Materials and Methods
2.1. Patient Selection
2.2. Histological and Neuroimaging Analysis
2.3. NGS
2.4. Statistical Analysis
3. Results
3.1. Demographics
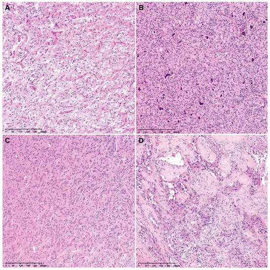
3.2. Histological Analysis
3.3. Neuroimaging Analysis
3.4. Molecular Characteristics
3.5. Brief Presentation of a Case of F3T3-Positive GBM Showing Unusual Histology
4. Discussion
Author Contributions
Funding
Institutional Review Board Statement
Informed Consent Statement
Data Availability Statement
Acknowledgments
Conflicts of Interest
References
- WHO Classification of Tumours of the Central Nervous System, 4th ed.; Louis, D.N., Ohgaki, H., Wiestler, O.D., Cavenee, W.K., Eds.; WHO: Lyon, France, 2016. [Google Scholar]
- WHO Classification of Tumors Editorial Board (Ed.) WHO Classification of Tumours: Central Nervous System Tumours, 5th ed.; WHO: Lyon, France, 2021. [Google Scholar]
- Polivka, J.; Svajdler, M.; Priban, V.; Mracek, J.; Kasik, P.; Martinek, P.; Ptakova, N.; Sharif Bagheri, M.; Shetti, D.; Pesta, M.; et al. Oncogenic fusions in gliomas: An institutional experience. Anticancer Res. 2022, 42, 1933–1939. [Google Scholar] [CrossRef] [PubMed]
- Xu, T.; Wang, H.; Huang, X.; Li, W.; Huang, Q.; Yan, Y.; Chen, J. Gene fusion in malignant glioma: An emerging target for next-generation personalized treatment. Transl. Oncol. 2018, 11, 609–618. [Google Scholar] [CrossRef] [PubMed]
- Mata, D.A.; Benhamida, J.K.; Lin, A.L.; Vanderbilt, C.M.; Yang, S.R.; Villafania, L.B.; Ferguson, D.C.; Jonsson, P.; Miller, A.M.; Tabar, V.; et al. Genetic and epigenetic landscape of IDH-wildtype glioblastomas with FGFR3-TACC3 fusions. Acta Neuropathol. Commun. 2020, 8, 186. [Google Scholar] [CrossRef]
- Gott, H.; Uhl, E. FGFR3-TACCs3 fusions and their clinical relevance in human glioblastoma. Int. J. Mol. Sci. 2022, 23, 8675. [Google Scholar] [CrossRef] [PubMed]
- Lasorella, A.; Sanson, M.; Iavarone, A. FGFR-TACC gene fusions in human glioma. Neuro Oncol. 2017, 19, 475–483. [Google Scholar] [CrossRef] [PubMed]
- Metais, A.; Tauziede-Espariat, A.; Garcia, J.; Appay, R.; Uro-Coste, E.; Meyronet, D.; Maurage, C.A.; Vandenbos, F.; Rigau, V.; Chiforeanu, D.C.; et al. Clinico-pathological and epigenetic heterogeneity of diffuse gliomas with FGFR3::TACC3 fusion. Acta Neuropathol. Commun. 2023, 11, 14. [Google Scholar] [CrossRef]
- Bielle, F.; Di Stefano, A.L.; Meyronet, D.; Picca, A.; Villa, C.; Bernier, M.; Schmitt, Y.; Giry, M.; Rousseau, A.; Figarella-Branger, D.; et al. Diffuse gliomas with FGFR3-TACC3 fusion have characteristic histopathological and molecular features. Brain Pathol. 2018, 28, 674–683. [Google Scholar] [CrossRef] [PubMed]
- Broggi, G.; Piombino, E.; Altieri, R.; Romano, C.; Certo, F.; Barbagallo, G.M.V.; Vigneri, P.; Condorelli, D.; Colarossi, L.; Colarossi, C.; et al. Glioblastoma, IDH-Wild type with FGFR3-TACC3 fusion: When morphology may reliably predict the molecular profile of a tumor. A case report and literature review. Front. Neurol. 2022, 13, 823015. [Google Scholar] [CrossRef] [PubMed]
- Di Stefano, A.L.; Picca, A.; Saragoussi, E.; Bielle, F.; Ducray, F.; Villa, C.; Eoli, M.; Paterra, R.; Bellu, L.; Mathon, B.; et al. Clinical, molecular, and radiomic profile of gliomas with FGFR3-TACC3 fusions. Neuro Oncol. 2020, 22, 1614–1624. [Google Scholar] [CrossRef]
- Wu, Z.; Lopes Abath Neto, O.; Bale, T.A.; Benhamida, J.; Mata, D.; Turakulov, R.; Abdullaev, Z.; Marker, D.; Ketchum, C.; Chung, H.J.; et al. DNA methylation analysis of glioblastomas harboring FGFR3-TACC3 fusions identifies a methylation subclass with better patient survival. Acta Neuropathol. 2022, 144, 155–157. [Google Scholar] [CrossRef]
- Dono, A.; El Achi, H.; Bundrant, B.E.; Goli, P.S.; Zhu, P.; Ozkizilkaya, H.I.; Esquenazi, Y.; Ballester, L.Y. Infiltrating gliomas with FGFR alterations: Histologic features, genetic alterations, and potential clinical implications. Cancer Biomark. 2023, 36, 117–131. [Google Scholar] [CrossRef]
- Brennan, C.W.; Verhaak, R.G.; McKenna, A.; Campos, B.; Noushmehr, H.; Salama, S.R.; Zheng, S.; Chakravarty, D.; Sanborn, J.Z.; Berman, S.H.; et al. The somatic genomic landscape of glioblastoma. Cell 2013, 155, 462–477. [Google Scholar] [CrossRef]
- Cancer Genome Atlas Research Network. Comprehensive genomic characterization defines human glioblastoma genes and core pathways. Nature 2008, 455, 1061–1068. [Google Scholar] [CrossRef] [PubMed]
- Frattini, V.; Trifonov, V.; Chan, J.M.; Castano, A.; Lia, M.; Abate, F.; Keir, S.T.; Ji, A.X.; Zoppoli, P.; Niola, F.; et al. The integrated landscape of driver genomic alterations in glioblastoma. Nat. Genet. 2013, 45, 1141–1149. [Google Scholar] [CrossRef] [PubMed]
- Le Rhun, E.; Preusser, M.; Roth, P.; Reardon, D.A.; van den Bent, M.; Wen, P.; Reifenberger, G.; Weller, M. Molecular targeted therapy of glioblastoma. Cancer Treat Rev. 2019, 80, 101896. [Google Scholar] [CrossRef] [PubMed]
- Yang, K.; Wu, Z.; Zhang, H.; Zhang, N.; Wu, W.; Wang, Z.; Dai, Z.; Zhang, X.; Zhang, L.; Peng, Y.; et al. Glioma targeted therapy: Insight into future of molecular approaches. Mol. Cancer 2022, 21, 39. [Google Scholar] [CrossRef]
- Costa, R.; Carneiro, B.A.; Taxter, T.; Tavora, F.A.; Kalyan, A.; Pai, S.A.; Chae, Y.K.; Giles, F.J. FGFR3-TACC3 fusion in solid tumors: Mini review. Oncotarget 2016, 7, 55924–55938. [Google Scholar] [CrossRef]
- Hood, F.E.; Royle, S.J. Pulling it together: The mitotic function of TACC3. Bioarchitecture 2011, 1, 105–109. [Google Scholar] [CrossRef]
- Singh, D.; Chan, J.M.; Zoppoli, P.; Niola, F.; Sullivan, R.; Castano, A.; Liu, E.M.; Reichel, J.; Porrati, P.; Pellegatta, S.; et al. Transforming fusions of FGFR and TACC genes in human glioblastoma. Science 2012, 337, 1231–1235. [Google Scholar] [CrossRef]
- Williams, S.V.; Hurst, C.D.; Knowles, M.A. Oncogenic FGFR3 gene fusions in bladder cancer. Hum. Mol. Genet. 2013, 22, 795–803. [Google Scholar] [CrossRef]
- Capelletti, M.; Dodge, M.E.; Ercan, D.; Hammerman, P.S.; Park, S.I.; Kim, J.; Sasaki, H.; Jablons, D.M.; Lipson, D.; Young, L.; et al. Identification of recurrent FGFR3-TACC3 fusion oncogenes from lung adenocarcinoma. Clin. Cancer Res. 2014, 20, 6551–6558. [Google Scholar] [CrossRef] [PubMed]
- Carneiro, B.A.; Elvin, J.A.; Kamath, S.D.; Ali, S.M.; Paintal, A.S.; Restrepo, A.; Berry, E.; Giles, F.J.; Johnson, M.L. FGFR3-TACC3: A novel gene fusion in cervical cancer. Gynecol. Oncol. Rep. 2015, 13, 53–56. [Google Scholar] [CrossRef] [PubMed]
- Shinmura, K.; Kato, H.; Matsuura, S.; Inoue, Y.; Igarashi, H.; Nagura, K.; Nakamura, S.; Maruyama, K.; Tajima, M.; Funai, K.; et al. A novel somatic FGFR3 mutation in primary lung cancer. Oncol. Rep. 2014, 31, 1219–1224. [Google Scholar] [CrossRef]
- Tamura, R.; Yoshihara, K.; Saito, T.; Ishimura, R.; Martinez-Ledesma, J.E.; Xin, H.; Ishiguro, T.; Mori, Y.; Yamawaki, K.; Suda, K.; et al. Novel therapeutic strategy for cervical cancer harboring FGFR3-TACC3 fusions. Oncogenesis 2018, 7, 4. [Google Scholar] [CrossRef] [PubMed]
- Yuan, L.; Liu, Z.H.; Lin, Z.R.; Xu, L.H.; Zhong, Q.; Zeng, M.S. Recurrent FGFR3-TACC3 fusion gene in nasopharyngeal carcinoma. Cancer Biol. Ther. 2014, 15, 1613–1621. [Google Scholar] [CrossRef]
- Frattini, V.; Pagnotta, S.M.; Tala; Fan, J.J.; Russo, M.V.; Lee, S.B.; Garofano, L.; Zhang, J.; Shi, P.; Lewis, G.; et al. A metabolic function of FGFR3-TACC3 gene fusions in cancer. Nature 2018, 553, 222–227. [Google Scholar] [CrossRef] [PubMed]
- Sarkar, S.; Ryan, E.L.; Royle, S.J. FGFR3-TACC3 cancer gene fusions cause mitotic defects by removal of endogenous TACC3 from the mitotic spindle. Open Biol. 2017, 7, 170080. [Google Scholar] [CrossRef] [PubMed]
- Di Stefano, A.L.; Fucci, A.; Frattini, V.; Labussiere, M.; Mokhtari, K.; Zoppoli, P.; Marie, Y.; Bruno, A.; Boisselier, B.; Giry, M.; et al. Detection, characterization, and inhibition of FGFR-TACC Fusions in IDH wild-type glioma. Clin. Cancer Res. 2015, 21, 3307–3317. [Google Scholar] [CrossRef]
- Tabernero, J.; Bahleda, R.; Dienstmann, R.; Infante, J.R.; Mita, A.; Italiano, A.; Calvo, E.; Moreno, V.; Adamo, B.; Gazzah, A.; et al. Phase I dose-escalation study of JNJ-42756493, an oral pan-fibroblast growth factor receptor inhibitor, in patients with advanced solid tumors. J. Clin. Oncol. 2015, 33, 3401–3408. [Google Scholar] [CrossRef]
- Parish, A.; Schwaederle, M.; Daniels, G.; Piccioni, D.; Fanta, P.; Schwab, R.; Shimabukuro, K.; Parker, B.A.; Helsten, T.; Kurzrock, R. Fibroblast growth factor family aberrations in cancers: Clinical and molecular characteristics. Cell Cycle 2015, 14, 2121–2128. [Google Scholar] [CrossRef]
- Asif, S.; Fatima, R.; Krc, R.; Bennett, J.; Raza, S. Comparative proteogenomic characterization of glioblastoma. CNS Oncol. 2019, 8, CNS37. [Google Scholar] [CrossRef] [PubMed]
- Roux, A.; Roca, P.; Edjlali, M.; Sato, K.; Zanello, M.; Dezamis, E.; Gori, P.; Lion, S.; Fleury, A.; Dhermain, F.; et al. MRI atlas of IDH wild-type supratentorial glioblastoma: Probabilistic maps of phenotype, management, and outcomes. Radiology 2019, 293, 633–643. [Google Scholar] [CrossRef] [PubMed]
- Verhaak, R.G.; Hoadley, K.A.; Purdom, E.; Wang, V.; Qi, Y.; Wilkerson, M.D.; Miller, C.R.; Ding, L.; Golub, T.; Mesirov, J.P.; et al. Integrated genomic analysis identifies clinically relevant subtypes of glioblastoma characterized by abnormalities in PDGFRA, IDH1, EGFR, and NF1. Cancer Cell 2010, 17, 98–110. [Google Scholar] [CrossRef] [PubMed]
- Nobusawa, S.; Stawski, R.; Kim, Y.H.; Nakazato, Y.; Ohgaki, H. Amplification of the PDGFRA, KIT and KDR genes in glioblastoma: A population-based study. Neuropathology 2011, 31, 583–588. [Google Scholar] [CrossRef]




| Characteristic | Number of Cases (%) | p Value | ||
|---|---|---|---|---|
| F3T3-Positive GBM | F3T3-Negative GBM | |||
| Sex | Male | 7 (28.0) | 282 (58.9) | 0.003 * |
| Female | 18 (72.0) | 197 (41.1) | ||
| Mean age (range; years) | 62 (40–84) | 60 (19–87) | 0.424 | |
| Tumor laterality | Single | 17 (58.6) | 374 (78.1) | 0.006 * |
| Multiple | 12 (41.4) | 105 (21.9) | ||
| Type of procedure | Resection | 17 (58.6) | 380 (79.3) | 0.004 * |
| Biopsy | 12 (41.4) | 99 (20.7) | ||
| Overall survival | Mean (months) | 23 | 19 | 0.088 |
| Alive | 19 (76.0) | 214 (44.7) | ||
| Dead | 6 (24.0) | 265 (55.3) | ||
| Histological Grade | Number of Cases (%) | Molecular Feature | |||
|---|---|---|---|---|---|
| TERT Promoter Mutation Only | 7+/10− Only | Both TERT Promoter Mutation and 7+/10− | Absent | ||
| 2 | 1 (3.4) | 1 | 0 | 0 | 0 |
| 3 | 2 (6.9) | 0 | 1 | 1 | 0 |
| 4 | 26 (89.7) | 3 | 6 | 16 | 1 |
| Characteristic | Number of Cases (%) | p Value | |
|---|---|---|---|
| F3T3-Positive GBM (n = 29) | F3T3-Negative GBM (n = 40) | ||
| Curvilinear capillary proliferation | 25 (86.2) | 6 (15.0) | <0.001 * |
| Desmoplastic vessels | 18 (62.1) | 21 (52.5) | 0.429 |
| Nuclear palisading | 16 (55.2) | 6 (15.0) | 0.001 * |
| Palisading necrosis | 14 (48.3) | 16 (40.0) | 0.494 |
| Calcification | 13 (44.8) | 6 (15.0) | 0.006 * |
| Tumor giant cells | 10 (34.5) | 9 (22.5) | 0.271 |
| Perivascular rosettes | 8 (27.6) | 5 (12.5) | 0.114 |
| Characteristic | Number of Cases (%) | p Value | ||
|---|---|---|---|---|
| F3T3-Positive GBM (n = 29) | F3T3-Negative GBM (n = 40) | |||
| Laterality | Right | 11 (37.9) | 15 (37.5) | 0.971 |
| Left | 8 (27.6) | 19 (47.5) | 0.094 | |
| Bilateral | 10 (34.5) | 6 (15.0) | 0.058 | |
| Location | Frontal lobe | 16 (55.2) | 20 (50.0) | 0.671 |
| Parietal lobe | 9 (31.0) | 7 (17.5) | 0.189 | |
| Temporal lobe | 8 (27.6) | 15 (37.5) | 0.389 | |
| Occipital lobe | 2 (6.9) | 2 (5.0) | 0.739 | |
| Epicenter | Cortex | 5 (17.2) | 0 (0.0) | 0.006 * |
| Subcortex | 7 (24.1) | 3 (7.5) | 0.053 | |
| White matter | 17 (58.7) | 37 (92.5) | 0.001 * | |
| Border | Circumscribed | 12 (41.4) | 9 (22.5) | 0.093 |
| Infiltrative | 17 (58.6) | 31 (77.5) | 0.179 | |
| Alteration | Number of Cases (%) | p Value | |
|---|---|---|---|
| F3T3-Positive GBM (n = 27) | F3T3-Negative GBM (n = 40) | ||
| 7+/10− | 22 (81.5) | 28 (70.0) | 0.842 |
| TERT promoter mutation | 19 (70.4) | 17 (42.5) | 0.773 |
| EGFR amplification | 0 (0.0) | 12 (30.0) | 0.002 * |
| PDGFRA amplification | 0 (0.0) | 6 (15.0) | 0.035 * |
| KIT amplification | 0 (0.0) | 4 (10.0) | 0.142 |
| CDKN2A deletion | 13 (48.1) | 23 (57.5) | 0.211 |
| CDKN2B deletion | 10 (37.0) | 18 (45.0) | 0.211 |
| PTEN mutation | 9 (33.3) | 24 (60.0) | 0.046 * |
| CDK4 amplification | 6 (22.2) | 7 (17.5) | 0.755 |
| TP53 mutation | 5 (18.5) | 17 (42.5) | 0.105 |
| MDM2 amplification | 4 (14.8) | 4 (10.0) | 0.705 |
| MGMT promoter methylation | 13 (52.0) | 12 (30.0) | 0.310 |
Disclaimer/Publisher’s Note: The statements, opinions and data contained in all publications are solely those of the individual author(s) and contributor(s) and not of MDPI and/or the editor(s). MDPI and/or the editor(s) disclaim responsibility for any injury to people or property resulting from any ideas, methods, instructions or products referred to in the content. |
© 2024 by the authors. Licensee MDPI, Basel, Switzerland. This article is an open access article distributed under the terms and conditions of the Creative Commons Attribution (CC BY) license (https://creativecommons.org/licenses/by/4.0/).
Share and Cite
Bae, H.; Lee, B.; Hwang, S.; Lee, J.; Kim, H.-S.; Suh, Y.-L. Clinicopathological and Molecular Characteristics of IDH-Wildtype Glioblastoma with FGFR3::TACC3 Fusion. Biomedicines 2024, 12, 150. https://doi.org/10.3390/biomedicines12010150
Bae H, Lee B, Hwang S, Lee J, Kim H-S, Suh Y-L. Clinicopathological and Molecular Characteristics of IDH-Wildtype Glioblastoma with FGFR3::TACC3 Fusion. Biomedicines. 2024; 12(1):150. https://doi.org/10.3390/biomedicines12010150
Chicago/Turabian StyleBae, Hyunsik, Boram Lee, Soohyun Hwang, Jiyeon Lee, Hyun-Soo Kim, and Yeon-Lim Suh. 2024. "Clinicopathological and Molecular Characteristics of IDH-Wildtype Glioblastoma with FGFR3::TACC3 Fusion" Biomedicines 12, no. 1: 150. https://doi.org/10.3390/biomedicines12010150
APA StyleBae, H., Lee, B., Hwang, S., Lee, J., Kim, H.-S., & Suh, Y.-L. (2024). Clinicopathological and Molecular Characteristics of IDH-Wildtype Glioblastoma with FGFR3::TACC3 Fusion. Biomedicines, 12(1), 150. https://doi.org/10.3390/biomedicines12010150

