Clinical Significance and Expression Pattern of RIP5 and VGLL4 in Clear Cell Renal Cell Carcinoma Patients Treated with Sunitinib
Abstract
1. Introduction
2. Materials and Methods
2.1. Patient Data
2.2. Tissue Procurement and Processing
2.3. Double Immunofluorescence
2.4. Sample Processing and RNA Isolation
2.5. qPCR
2.6. Transcriptomics
2.7. Statistical Analysis
3. Results
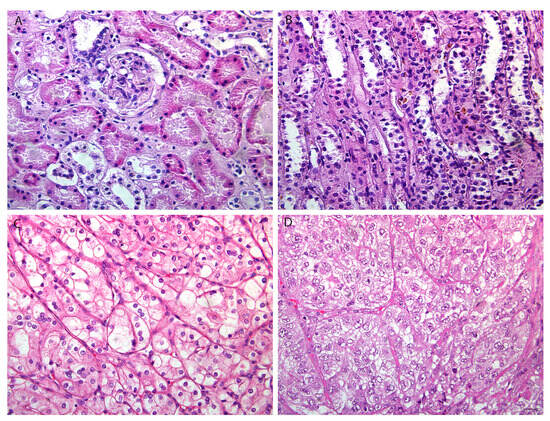
3.1. RIP5 and VGLL4 Protein Expression
3.2. Gene Expression Analysis
4. Discussion
5. Conclusions
Author Contributions
Funding
Institutional Review Board Statement
Informed Consent Statement
Data Availability Statement
Conflicts of Interest
References
- Testa, U.; Pelosi, E.; Castelli, G. Genetic Alterations in Renal Cancers: Identification of the Mechanisms Underlying Cancer Initiation and Progression and of Therapeutic Targets. Medicines 2020, 7, 44. [Google Scholar] [CrossRef] [PubMed]
- Padala, S.A.; Kallam, A. Cancer, Clear Cell Renal Carcinoma. In StatPearls; StatPearls Publishing: St. Petersburg, FL, USA, 2020. [Google Scholar]
- Sung, H.; Ferlay, J.; Siegel, R.L.; Laversanne, M.; Soerjomataram, I.; Jemal, A.; Bray, F. Global Cancer Statistics 2020: GLOBOCAN Estimates of Incidence and Mortality Worldwide for 36 Cancers in 185 Countries. CA A Cancer J. Clin. 2021, 71, 209–249. [Google Scholar] [CrossRef]
- Latif, F.; Duh, F.M.; Gnarra, J.; Tory, K.; Kuzmin, I.; Yao, M.; Stackhouse, T.; Modi, W.; Geil, L.; Schmidt, L.; et al. von Hippel-Lindau syndrome: Cloning and identification of the plasma membrane Ca(++)-transporting ATPase isoform 2 gene that resides in the von Hippel-Lindau gene region. Cancer Res. 1993, 53, 861–867. [Google Scholar]
- Yao, X.; Tan, J.; Lim, K.J.; Koh, J.; Ooi, W.F.; Li, Z.; Huang, D.; Xing, M.; Chan, Y.S.; Qu, J.Z.; et al. VHL Deficiency Drives Enhancer Activation of Oncogenes in Clear Cell Renal Cell Carcinoma. Cancer Discov. 2017, 7, 1284–1305. [Google Scholar] [CrossRef] [PubMed]
- Zhang, J.; Wu, T.; Simon, J.; Takada, M.; Saito, R.; Fan, C.; Liu, X.D.; Jonasch, E.; Xie, L.; Chen, X.; et al. VHL substrate transcription factor ZHX2 as an oncogenic driver in clear cell renal cell carcinoma. Science 2018, 361, 290–295. [Google Scholar] [CrossRef]
- Krishna, C.; DiNatale, R.G.; Kuo, F.; Srivastava, R.M.; Vuong, L.; Chowell, D.; Gupta, S.; Vanderbilt, C.; Purohit, T.A.; Liu, M.; et al. Single-cell sequencing links multiregional immune landscapes and tissue-resident T cells in ccRCC to tumor topology and therapy efficacy. Cancer Cell 2021, 39, 662–677.e6. [Google Scholar] [CrossRef] [PubMed]
- Du, W.; Zhang, L.; Brett-Morris, A.; Aguila, B.; Kerner, J.; Hoppel, C.L.; Puchowicz, M.; Serra, D.; Herrero, L.; Rini, B.I.; et al. HIF drives lipid deposition and cancer in ccRCC via repression of fatty acid metabolism. Nat. Commun. 2017, 8, 1769. [Google Scholar] [CrossRef]
- Liu, N.; Gan, W.; Qu, F.; Wang, Z.; Zhuang, W.; Agizamhan, S.; Xu, L.; Yin, J.; Guo, H.; Li, D. Does the Fuhrman or World Health Organization/International Society of Urological Pathology Grading System Apply to the Xp11.2 Translocation Renal Cell Carcinoma? A 10-Year Single-Center Study. Am. J. Pathol. 2018, 188, 929–936. [Google Scholar] [CrossRef]
- Bai, D.; Feng, H.; Yang, J.; Yin, A.; Qian, A.; Sugiyama, H. Landscape of immune cell infiltration in clear cell renal cell carcinoma to aid immunotherapy. Cancer Sci. 2021, 112, 2126–2139. [Google Scholar] [CrossRef]
- Young, J.R.; Margolis, D.; Sauk, S.; Pantuck, A.J.; Sayre, J.; Raman, S.S. Clear cell renal cell carcinoma: Discrimination from other renal cell carcinoma subtypes and oncocytoma at multiphasic multidetector CT. Radiology 2013, 267, 444–453. [Google Scholar] [CrossRef]
- Angulo, J.C.; Manini, C.; Lopez, J.I.; Pueyo, A.; Colas, B.; Ropero, S. The Role of Epigenetics in the Progression of Clear Cell Renal Cell Carcinoma and the Basis for Future Epigenetic Treatments. Cancers 2021, 13, 2071. [Google Scholar] [CrossRef] [PubMed]
- Hsieh, J.J.; Purdue, M.P.; Signoretti, S.; Swanton, C.; Albiges, L.; Schmidinger, M.; Heng, D.Y.; Larkin, J.; Ficarra, V. Renal cell carcinoma. Nat. Rev. Dis. Primers 2017, 3, 17009. [Google Scholar] [CrossRef]
- Nerich, V.; Hugues, M.; Paillard, M.J.; Borowski, L.; Nai, T.; Stein, U.; Nguyen Tan Hon, T.; Montcuquet, P.; Maurina, T.; Mouillet, G.; et al. Clinical impact of targeted therapies in patients with metastatic clear-cell renal cell carcinoma. OncoTargets Ther. 2014, 7, 365–374. [Google Scholar] [CrossRef]
- Rini, B.I. Metastatic renal cell carcinoma: Many treatment options, one patient. J. Clin. Oncol. Off. J. Am. Soc. Clin. Oncol. 2009, 27, 3225–3234. [Google Scholar] [CrossRef] [PubMed]
- Sorbellini, M.; Kattan, M.W.; Snyder, M.E.; Reuter, V.; Motzer, R.; Goetzl, M.; McKiernan, J.; Russo, P. A postoperative prognostic nomogram predicting recurrence for patients with conventional clear cell renal cell carcinoma. J. Urol. 2005, 173, 48–51. [Google Scholar] [CrossRef] [PubMed]
- Makhov, P.; Joshi, S.; Ghatalia, P.; Kutikov, A.; Uzzo, R.G.; Kolenko, V.M. Resistance to Systemic Therapies in Clear Cell Renal Cell Carcinoma: Mechanisms and Management Strategies. Mol. Cancer Ther. 2018, 17, 1355–1364. [Google Scholar] [CrossRef]
- Kotecha, R.R.; Motzer, R.J.; Voss, M.H. Towards individualized therapy for metastatic renal cell carcinoma. Nat. Rev. Clin. Oncol. 2019, 16, 621–633. [Google Scholar] [CrossRef]
- Ross, K.; Jones, R.J. Immune checkpoint inhibitors in renal cell carcinoma. Clin. Sci. 2017, 131, 2627–2642. [Google Scholar] [CrossRef]
- Shukla, S.; Robey, R.W.; Bates, S.E.; Ambudkar, S.V. Sunitinib (Sutent, SU11248), a small-molecule receptor tyrosine kinase inhibitor, blocks function of the ATP-binding cassette (ABC) transporters P-glycoprotein (ABCB1) and ABCG2. Drug Metab. Dispos. Biol. Fate Chem. 2009, 37, 359–365. [Google Scholar] [CrossRef]
- Motzer, R.J.; Hutson, T.E.; Tomczak, P.; Michaelson, M.D.; Bukowski, R.M.; Rixe, O.; Oudard, S.; Negrier, S.; Szczylik, C.; Kim, S.T.; et al. Sunitinib versus interferon alfa in metastatic renal-cell carcinoma. N. Engl. J. Med. 2007, 356, 115–124. [Google Scholar] [CrossRef]
- Molina, A.M.; Lin, X.; Korytowsky, B.; Matczak, E.; Lechuga, M.J.; Wiltshire, R.; Motzer, R.J. Sunitinib objective response in metastatic renal cell carcinoma: Analysis of 1059 patients treated on clinical trials. Eur. J. Cancer 2014, 50, 351–358. [Google Scholar] [CrossRef] [PubMed]
- Crusz, S.M.; Tang, Y.Z.; Sarker, S.J.; Prevoo, W.; Kiyani, I.; Beltran, L.; Peters, J.; Sahdev, A.; Bex, A.; Powles, T.; et al. Heterogeneous response and progression patterns reveal phenotypic heterogeneity of tyrosine kinase inhibitor response in metastatic renal cell carcinoma. BMC Med. 2016, 14, 185. [Google Scholar] [CrossRef]
- Laccetti, A.L.; Garmezy, B.; Xiao, L.; Economides, M.; Venkatesan, A.; Gao, J.; Jonasch, E.; Corn, P.; Zurita-Saavedra, A.; Brown, L.C.; et al. Combination antiangiogenic tyrosine kinase inhibition and anti-PD1 immunotherapy in metastatic renal cell carcinoma: A retrospective analysis of safety, tolerance, and clinical outcomes. Cancer Med. 2021, 10, 2341–2349. [Google Scholar] [CrossRef] [PubMed]
- Zhang, D.; Lin, J.; Han, J. Receptor-interacting protein (RIP) kinase family. Cell. Mol. Immunol. 2010, 7, 243–249. [Google Scholar] [CrossRef] [PubMed]
- Kelam, N.; Racetin, A.; Polovic, M.; Benzon, B.; Ogorevc, M.; Vukojevic, K.; Glavina Durdov, M.; Dunatov Huljev, A.; Kuzmic Prusac, I.; Caric, D.; et al. Aberrations in FGFR1, FGFR2, and RIP5 Expression in Human Congenital Anomalies of the Kidney and Urinary Tract (CAKUT). Int. J. Mol. Sci. 2022, 23, 15537. [Google Scholar] [CrossRef] [PubMed]
- Sanna-Cherchi, S.; Sampogna, R.V.; Papeta, N.; Burgess, K.E.; Nees, S.N.; Perry, B.J.; Choi, M.; Bodria, M.; Liu, Y.; Weng, P.L.; et al. Mutations in DSTYK and dominant urinary tract malformations. N. Engl. J. Med. 2013, 369, 621–629. [Google Scholar] [CrossRef]
- Racetin, A.; Raguz, F.; Durdov, M.G.; Kunac, N.; Saraga, M.; Sanna-Cherchi, S.; Soljic, V.; Martinovic, V.; Petricevic, J.; Kostic, S.; et al. Immunohistochemical expression pattern of RIP5, FGFR1, FGFR2 and HIP2 in the normal human kidney development. Acta Histochem. 2019, 121, 531–538. [Google Scholar] [CrossRef]
- Becic, T.; Kero, D.; Vukojevic, K.; Mardesic, S.; Saraga-Babic, M. Growth factors FGF8 and FGF2 and their receptor FGFR1, transcriptional factors Msx-1 and MSX-2, and apoptotic factors p19 and RIP5 participate in the early human limb development. Acta Histochem. 2018, 120, 205–214. [Google Scholar] [CrossRef]
- Bates, C.M. Role of fibroblast growth factor receptor signaling in kidney development. Pediatr. Nephrol. 2011, 26, 1373–1379. [Google Scholar] [CrossRef][Green Version]
- Li, G.; Xu, Z.; Peng, J.; Yan, Y.; Liu, Y.; Zhang, X.; Qiu, Y.; Fu, C. The RIPK family: Expression profile and prognostic value in lung adenocarcinoma. Aging 2022, 14, 5946–5958. [Google Scholar] [CrossRef]
- Zhang, L.; Guo, W.; Yu, J.; Li, C.; Li, M.; Chai, D.; Wang, W.; Deng, W. Receptor-interacting protein in malignant digestive neoplasms. J. Cancer 2021, 12, 4362–4371. [Google Scholar] [CrossRef]
- Yin, L.; Duan, J.J.; Bian, X.W.; Yu, S.C. Triple-negative breast cancer molecular subtyping and treatment progress. Breast Cancer Res. 2020, 22, 61. [Google Scholar] [CrossRef]
- Nieto, M.A.; Huang, R.Y.; Jackson, R.A.; Thiery, J.P. Emt: 2016. Cell 2016, 166, 21–45. [Google Scholar] [CrossRef]
- Chaffer, C.L.; San Juan, B.P.; Lim, E.; Weinberg, R.A. EMT, cell plasticity and metastasis. Cancer Metastasis Rev. 2016, 35, 645–654. [Google Scholar] [CrossRef] [PubMed]
- Lambert, A.W.; Pattabiraman, D.R.; Weinberg, R.A. Emerging Biological Principles of Metastasis. Cell 2017, 168, 670–691. [Google Scholar] [CrossRef] [PubMed]
- Ermine, K.; Yu, J.; Zhang, L. Role of Receptor Interacting Protein (RIP) kinases in cancer. Genes Dis. 2022, 9, 1579–1593. [Google Scholar] [CrossRef] [PubMed]
- Vaudin, P.; Delanoue, R.; Davidson, I.; Silber, J.; Zider, A. TONDU (TDU), a novel human protein related to the product of vestigial (vg) gene of Drosophila melanogaster interacts with vertebrate TEF factors and substitutes for Vg function in wing formation. Development 1999, 126, 4807–4816. [Google Scholar] [CrossRef]
- Maeda, T.; Chapman, D.L.; Stewart, A.F. Mammalian vestigial-like 2, a cofactor of TEF-1 and MEF2 transcription factors that promotes skeletal muscle differentiation. J. Biol. Chem. 2002, 277, 48889–48898. [Google Scholar] [CrossRef]
- Helias-Rodzewicz, Z.; Perot, G.; Chibon, F.; Ferreira, C.; Lagarde, P.; Terrier, P.; Coindre, J.M.; Aurias, A. YAP1 and VGLL3, encoding two cofactors of TEAD transcription factors, are amplified and overexpressed in a subset of soft tissue sarcomas. Genes Chromosomes Cancer 2010, 49, 1161–1171. [Google Scholar] [CrossRef]
- Zhang, W.; Gao, Y.; Li, P.; Shi, Z.; Guo, T.; Li, F.; Han, X.; Feng, Y.; Zheng, C.; Wang, Z.; et al. VGLL4 functions as a new tumor suppressor in lung cancer by negatively regulating the YAP-TEAD transcriptional complex. Cell Res. 2014, 24, 331–343. [Google Scholar] [CrossRef]
- Zhang, Y.; Shen, H.; Withers, H.G.; Yang, N.; Denson, K.E.; Mussell, A.L.; Truskinovsky, A.; Fan, Q.; Gelman, I.H.; Frangou, C.; et al. VGLL4 Selectively Represses YAP-Dependent Gene Induction and Tumorigenic Phenotypes in Breast Cancer. Sci. Rep. 2017, 7, 6190. [Google Scholar] [CrossRef] [PubMed]
- Jiao, S.; Wang, H.; Shi, Z.; Dong, A.; Zhang, W.; Song, X.; He, F.; Wang, Y.; Zhang, Z.; Wang, W.; et al. A peptide mimicking VGLL4 function acts as a YAP antagonist therapy against gastric cancer. Cancer Cell 2014, 25, 166–180. [Google Scholar] [CrossRef] [PubMed]
- Li, H.; Wang, Z.; Zhang, W.; Qian, K.; Liao, G.; Xu, W.; Zhang, S. VGLL4 inhibits EMT in part through suppressing Wnt/beta-catenin signaling pathway in gastric cancer. Med. Oncol. 2015, 32, 83. [Google Scholar] [CrossRef]
- Li, N.; Yu, N.; Wang, J.; Xi, H.; Lu, W.; Xu, H.; Deng, M.; Zheng, G.; Liu, H. miR-222/VGLL4/YAP-TEAD1 regulatory loop promotes proliferation and invasion of gastric cancer cells. Am. J. Cancer Res. 2015, 5, 1158–1168. [Google Scholar]
- Jiao, S.; Li, C.; Hao, Q.; Miao, H.; Zhang, L.; Li, L.; Zhou, Z. VGLL4 targets a TCF4-TEAD4 complex to coregulate Wnt and Hippo signalling in colorectal cancer. Nat. Commun. 2017, 8, 14058. [Google Scholar] [CrossRef] [PubMed]
- Shivakumar, M.; Lee, Y.; Bang, L.; Garg, T.; Sohn, K.A.; Kim, D. Identification of epigenetic interactions between miRNA and DNA methylation associated with gene expression as potential prognostic markers in bladder cancer. BMC Med. Genom. 2017, 10 (Suppl. S1), 30. [Google Scholar] [CrossRef] [PubMed]
- Liu, X.; Kong, C.; Zhang, Z. miR-130b promotes bladder cancer cell proliferation, migration and invasion by targeting VGLL4. Oncol. Rep. 2018, 39, 2324–2332. [Google Scholar] [CrossRef]
- Mann, K.M.; Ward, J.M.; Yew, C.C.; Kovochich, A.; Dawson, D.W.; Black, M.A.; Brett, B.T.; Sheetz, T.E.; Dupuy, A.J.; Chang, D.K.; et al. Sleeping Beauty mutagenesis reveals cooperating mutations and pathways in pancreatic adenocarcinoma. Proc. Natl. Acad. Sci. USA 2012, 109, 5934–5941. [Google Scholar] [CrossRef]
- Jiang, W.; Yao, F.; He, J.; Lv, B.; Fang, W.; Zhu, W.; He, G.; Chen, J. Downregulation of VGLL4 in the progression of esophageal squamous cell carcinoma. Tumour Biol. 2015, 36, 1289–1297. [Google Scholar] [CrossRef]
- Veljacic Viskovic, D.; Lozic, M.; Vukoja, M.; Soljic, V.; Vukojevic, K.; Glavina Durdov, M.; Filipovic, N.; Lozic, B. Spatio-Temporal Expression Pattern of CAKUT Candidate Genes DLG1 and KIF12 during Human Kidney Development. Biomolecules 2023, 13, 340. [Google Scholar] [CrossRef]
- Cohen, H.T.; McGovern, F.J. Renal-cell carcinoma. N. Engl. J. Med. 2005, 353, 2477–2490. [Google Scholar] [CrossRef] [PubMed]
- Davis, M.I.; Hunt, J.P.; Herrgard, S.; Ciceri, P.; Wodicka, L.M.; Pallares, G.; Hocker, M.; Treiber, D.K.; Zarrinkar, P.P. Comprehensive analysis of kinase inhibitor selectivity. Nat. Biotechnol. 2011, 29, 1046–1051. [Google Scholar] [CrossRef] [PubMed]
- Wodicka, L.M.; Ciceri, P.; Davis, M.I.; Hunt, J.P.; Floyd, M.; Salerno, S.; Hua, X.H.; Ford, J.M.; Armstrong, R.C.; Zarrinkar, P.P.; et al. Activation state-dependent binding of small molecule kinase inhibitors: Structural insights from biochemistry. Chem. Biol. 2010, 17, 1241–1249. [Google Scholar] [CrossRef] [PubMed]
- Zhong, C.; Chen, M.; Chen, Y.; Yao, F.; Fang, W. Loss of DSTYK activates Wnt/beta-catenin signaling and glycolysis in lung adenocarcinoma. Cell Death Dis. 2021, 12, 1122. [Google Scholar] [CrossRef] [PubMed]
- Clark, D.J.; Dhanasekaran, S.M.; Petralia, F.; Pan, J.; Song, X.; Hu, Y.; da Veiga Leprevost, F.; Reva, B.; Lih, T.M.; Chang, H.Y.; et al. Integrated Proteogenomic Characterization of Clear Cell Renal Cell Carcinoma. Cell 2019, 179, 964–983.e31. [Google Scholar] [CrossRef]
- Deng, X.; Fang, L. VGLL4 is a transcriptional cofactor acting as a novel tumor suppressor via interacting with TEADs. Am. J. Cancer Res. 2018, 8, 932–943. [Google Scholar]
- Song, H.; Luo, Q.; Deng, X.; Ji, C.; Li, D.; Munankarmy, A.; Jian, W.; Zhao, J.; Fang, L. VGLL4 interacts with STAT3 to function as a tumor suppressor in triple-negative breast cancer. Exp. Mol. Med. 2019, 51, 1–13. [Google Scholar] [CrossRef]
- Jiang, A.; Song, J.; Fang, X.; Fang, Y.; Wang, Z.; Liu, B.; Wu, Z.; Qu, L.; Luo, P.; Wang, L. A novel thinking: DDR axis refines the classification of ccRCC with distinctive prognosis, multi omics landscape and management strategy. Front. Public Health 2022, 10, 1029509. [Google Scholar] [CrossRef]






| Transcript | Forward Primer | Reverse Primer | Tm F/R | TA | CG% F/R |
|---|---|---|---|---|---|
| RPL13a | CCTGGAGGAGAAGAGGAAAGAGA | TTGAGGACCTCTGTGTATTTGTCAA | 63.1/60.5 | 60.5 | 52.17/40.00 |
| RIP5 | TTGCATACTGATCCTCGG | TGGCACTAGTTCATACT | 59.3/55.8 | 55.8 | 50.0/38.89 |
| All Patients n = 34 n (%) or Median (Interquartile Range, IQR) | |
|---|---|
| Gender Male | 25 (74) |
| Age, years | 61 (55–67) |
| Grade | |
| II | 13 (38) |
| III | 15 (44) |
| IV | 6 (18) |
| pathological T | |
| T1 | 7 (21) |
| T2 | 3 (9) |
| T3 | 20 (59) |
| T4 | 4 (12) |
| pathological N | |
| N0 | 9 (26) |
| N1 | 3 (9) |
| Nx | 22 (65) |
| pathological M | |
| M0 | 1 (3) |
| M1 | 0 (0) |
| Mx | 33 (97) |
| TNM stage | |
| 1 | 7 (21) |
| 2 | 3 (9) |
| 3 | 18 (53) |
| 4 | 6 (18) |
| Presentation of metastatic disease—first year | |
| ˂1 year | 28 (82) |
| ˃1 year | 6 (18) |
| Metastasis site | |
| Lungs | 26 (76) |
| Lymph nodes | 7 (21) |
| Bones | 9 (26) |
| Liver | 4 (12) |
| Kidney | 1 (3) |
| Brain | 0 (0) |
| Other | 5 (15) |
| Number of metastatic sites | |
| 1 | 26 (76) |
| 2 | 7 (21) |
| 3 | 9 (26) |
| 4 | 4 (12) |
| Overall death | |
| Yes | 28 (82) |
| No | 6 (18) |
| Distant metastasis-free survival | 2.0 (0.3–7.0) |
| First-line progression-free survival | 10.0 (1.3–20.1) |
| First-line overall survival | 16.0 (1.3–24.0) |
| RIP5 | VGLL4 | ||
|---|---|---|---|
| CTRL | epithelial cells | +++/>50% | +++/10–50% |
| Stroma | −/<10% | −/<10% | |
| G2 | carcinoma cells | −/<10% | +/>50% |
| Stroma | −/<10% | −/<10% | |
| G3 | carcinoma cells | +++/>50% | ++/10–50% |
| Stroma | −/<10% | +/<10% | |
| G4 | carcinoma cells | +++/>50% | −/<10% |
| Stroma | −/<10% | −/<10% |
| RIP5 Fold Gene Expression ≤ 1 Mean Survival in Months (95% CI *) n = 19 | RIP5 Fold Gene Expression > 1 Mean Survival in Months (95% CI *) n = 19 | Log-Rank (Mantel–Cox) Test p-Value | Breslow (Generalized Wilcoxon) Test p-Value | Tarone–Ware Test p-Value | |
|---|---|---|---|---|---|
| Overall survival | 11.2 (4.0–18.4) | 35.9 (17.7–54.1) | 0.012 | 0.014 | 0.011 |
| Progression-free survival | 11.1 (3.6–18.7) | 34.6 (15.0–54.1) | 0.028 | 0.029 | 0.028 |
| Distant metastasis free survival | 9.6 (0.0–21.4) | 18.7 (4.7–32.7) | 0.246 | 0.166 | 0.172 |
| Covariate | Estimate | exp(Estimate) Hazard Ratio | Standard Error (Estimate) | 95% Confidence Interval | p-Value |
|---|---|---|---|---|---|
| RIP5 gene expression group: more than one-fold compared to less than one-fold | −0.8591 | 0.4235 | 0.4012 | 0.193–0.930 | 0.0322 |
Disclaimer/Publisher’s Note: The statements, opinions and data contained in all publications are solely those of the individual author(s) and contributor(s) and not of MDPI and/or the editor(s). MDPI and/or the editor(s) disclaim responsibility for any injury to people or property resulting from any ideas, methods, instructions or products referred to in the content. |
© 2024 by the authors. Licensee MDPI, Basel, Switzerland. This article is an open access article distributed under the terms and conditions of the Creative Commons Attribution (CC BY) license (https://creativecommons.org/licenses/by/4.0/).
Share and Cite
Tomić, T.; Tomić, D.; Vukoja, M.; Kraljević, M.; Ljevak, I.; Glamočlija, U.; Tomić, V.; Vukojević, K.; Beljan Perak, R.; Šoljić, V. Clinical Significance and Expression Pattern of RIP5 and VGLL4 in Clear Cell Renal Cell Carcinoma Patients Treated with Sunitinib. Biomedicines 2024, 12, 149. https://doi.org/10.3390/biomedicines12010149
Tomić T, Tomić D, Vukoja M, Kraljević M, Ljevak I, Glamočlija U, Tomić V, Vukojević K, Beljan Perak R, Šoljić V. Clinical Significance and Expression Pattern of RIP5 and VGLL4 in Clear Cell Renal Cell Carcinoma Patients Treated with Sunitinib. Biomedicines. 2024; 12(1):149. https://doi.org/10.3390/biomedicines12010149
Chicago/Turabian StyleTomić, Tanja, Davor Tomić, Martina Vukoja, Marija Kraljević, Ivona Ljevak, Una Glamočlija, Vajdana Tomić, Katarina Vukojević, Renata Beljan Perak, and Violeta Šoljić. 2024. "Clinical Significance and Expression Pattern of RIP5 and VGLL4 in Clear Cell Renal Cell Carcinoma Patients Treated with Sunitinib" Biomedicines 12, no. 1: 149. https://doi.org/10.3390/biomedicines12010149
APA StyleTomić, T., Tomić, D., Vukoja, M., Kraljević, M., Ljevak, I., Glamočlija, U., Tomić, V., Vukojević, K., Beljan Perak, R., & Šoljić, V. (2024). Clinical Significance and Expression Pattern of RIP5 and VGLL4 in Clear Cell Renal Cell Carcinoma Patients Treated with Sunitinib. Biomedicines, 12(1), 149. https://doi.org/10.3390/biomedicines12010149

