Stereotactic Radiotherapy Boost in Treatment of Persistent Periocular Sebaceous Carcinoma after Surgery
Abstract
:1. Introduction
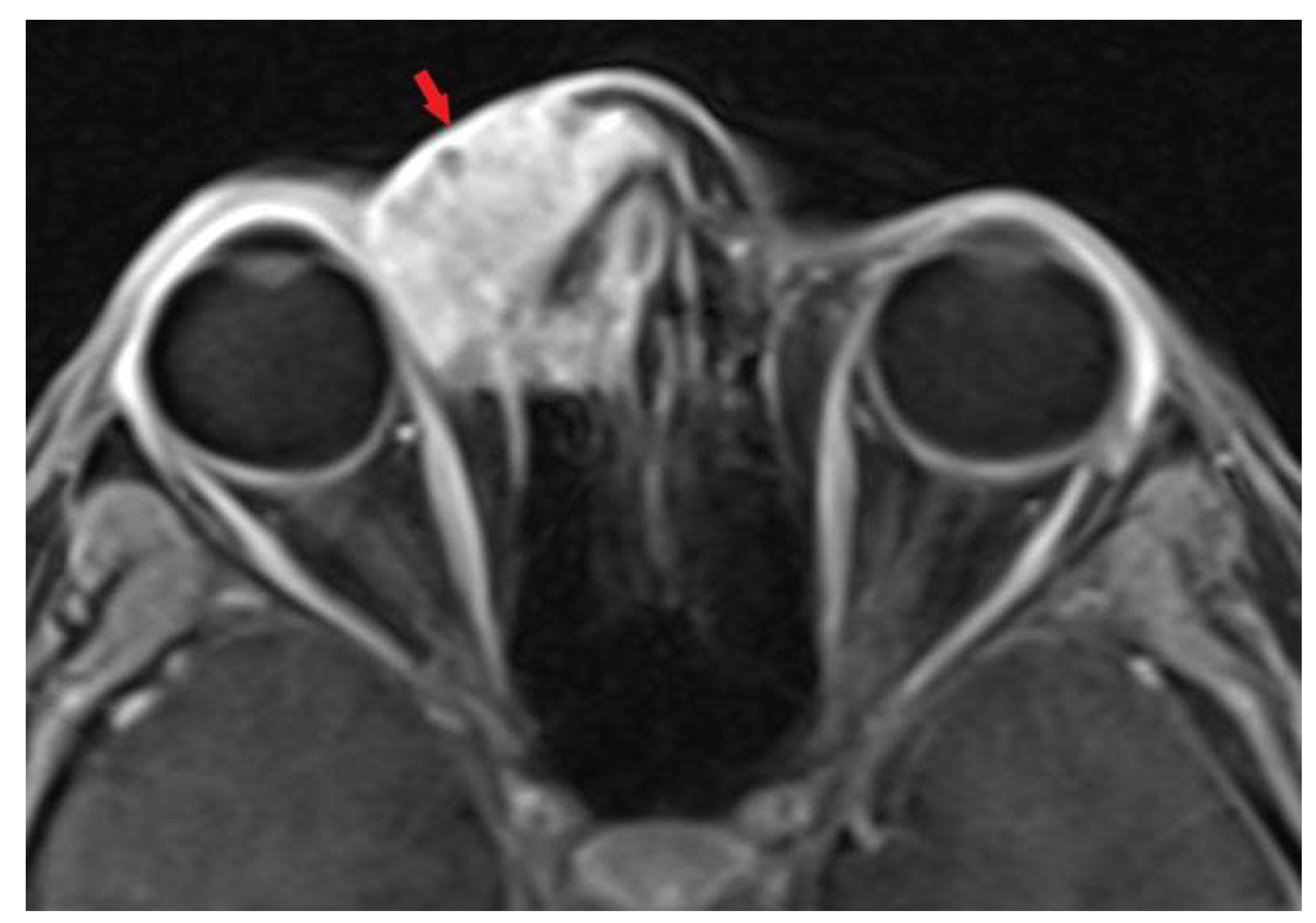
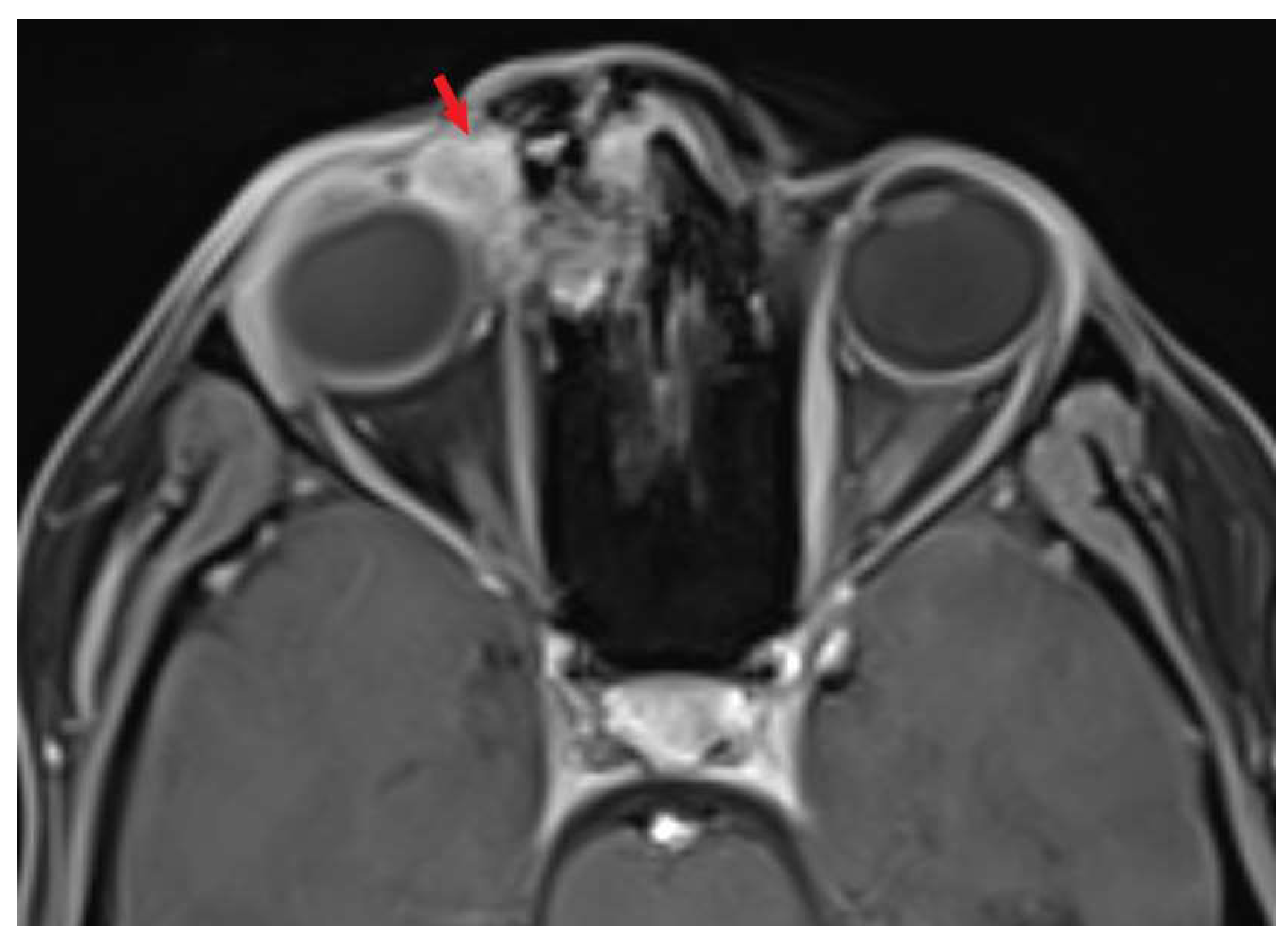
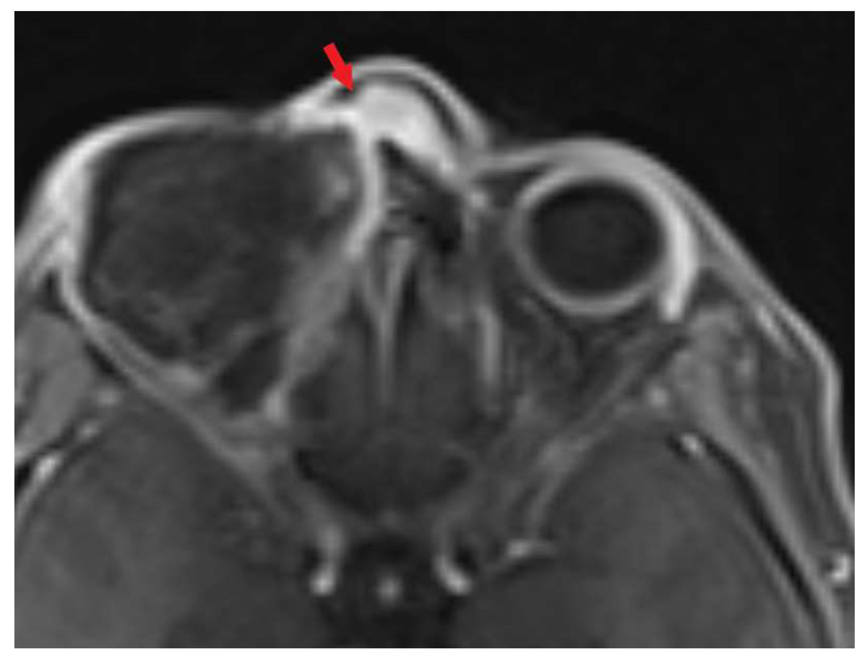
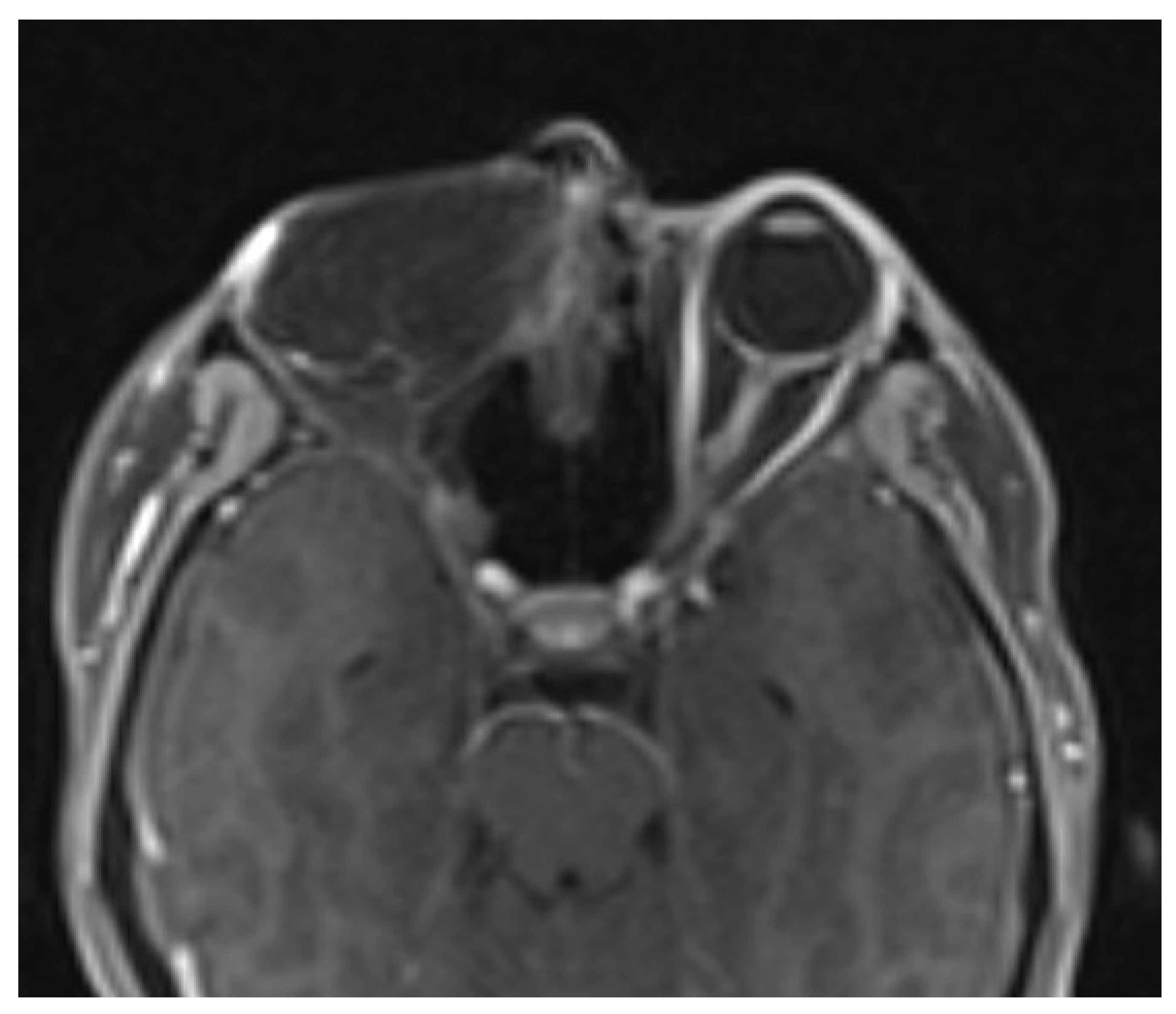
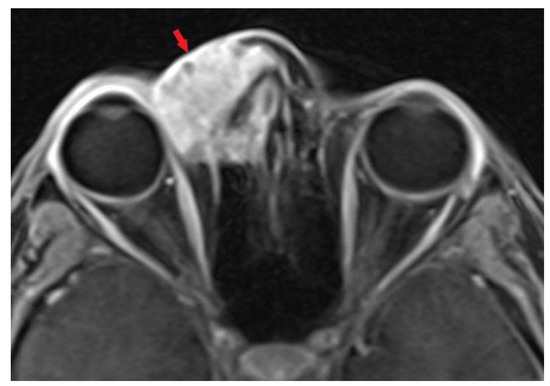
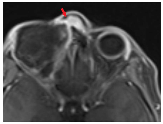
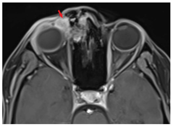
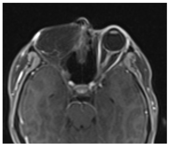
2. Case Presentation
3. Discussion
4. Conclusions
Author Contributions
Funding
Institutional Review Board Statement
Informed Consent Statement
Data Availability Statement
Conflicts of Interest
References
- Kyllo, R.L.; Brady, K.L.; Hurst, E.A. Sebaceous Carcinoma: Review of the Literature. Dermatol. Surg. 2015, 41, 1–15. [Google Scholar] [CrossRef] [PubMed]
- Owen, J.L.; Kibbi, N.; Worley, B.; Kelm, R.C.; Wang, J.V.; Barker, C.A.; Behshad, R.; Bichakjian, C.K.; Bolotin, D.; Bordeaux, J.S.; et al. Sebaceous carcinoma: Evidence-based clinical practice guidelines. Lancet Oncol. 2019, 20, e699–e714. [Google Scholar] [CrossRef] [PubMed]
- Brady, K.L.; Hurst, E.A. Sebaceous Carcinoma Treated with Mohs Micrographic Surgery. Dermatol. Surg. 2017, 43, 281–286. [Google Scholar] [CrossRef] [PubMed]
- Veld, E.H.I.; Keizer, R.; Post, N.; Versteeg, J.; Verdijk, R.; Naus, N.; Relyveld, G.; Crijns, M.; Smith, M.; Grünhagen, D.; et al. Outcome after treatment for sebaceous carcinoma: A multicenter study. J. Surg. Oncol. 2022, 125, 730–735. [Google Scholar] [CrossRef] [PubMed]
- Dasgupta, T.; Wilson, L.D.; Yu, J. A retrospective review of 1349 cases of sebaceous carcinoma. Cancer 2009, 115, 158–165. [Google Scholar] [CrossRef] [PubMed]
- Takagawa, Y.; Tamaki, W.; Suzuki, S.; Inaba, K.; Murakami, N.; Takahashi, K.; Igaki, H.; Nakayama, Y.; Shigematsu, N.; Itami, J. Radiotherapy for localized sebaceous carcinoma of the eyelid: A retrospective analysis of 83 patients. J. Radiat. Res. 2019, 60, 622–629. [Google Scholar] [CrossRef] [PubMed]
- Hata, M.; Koike, I.; Omura, M.; Maegawa, J.; Ogino, I.; Inoue, T. Noninvasive and Curative Radiation Therapy for Sebaceous Carcinoma of the Eyelid. Int. J. Radiat. Oncol. Biol. Phys. 2012, 82, 605–611. [Google Scholar] [CrossRef] [PubMed]
- Kibbi, N.; Worley, B.; Owen, J.L.; Kelm, R.C.; Bichakjian, C.K.; Chandra, S.; Demirci, H.; Kim, J.; Nehal, K.S.; Thomas, J.R.; et al. Sebaceous carcinoma: Controversies and their evidence for clinical practice. Arch. Dermatol. Res. 2020, 312, 25–31. [Google Scholar] [CrossRef] [PubMed]
- Polanowski, P.; Księżniak-Baran, D.; Grządziel, A.; Pietruszka, A.; Chmielik, E.; Pilecki, B.; Amrogowicz, N.; Gajda, K.; Składowski, K. Successful Treatment of Adenoid Cystic Carcinoma with the Application of a High-Dose Stereotactic Body Radiotherapy Boost. Case Rep. Oncol. 2021, 14, 371–377. [Google Scholar] [CrossRef] [PubMed]
- Polanowski, P.; Pietruszka, A.; Księżniak-Baran, D.; Grządziel, A.; Chmielik, E.; Kentnowski, M.; Amrogowicz, N.; Składowski, K.; Polanowska, K. High-dose stereotactic radiotherapy boost in the treatment of squamous cell carcinoma of the head and neck region. Radiat. Oncol. 2022, 17, 103. [Google Scholar] [CrossRef] [PubMed]
- Vempati, P.; Halthore, A.N.; Teckie, S.; Rana, Z.; Gogineni, E.; Antone, J.; Zhang, H.; Marrero, M.; Beadle, K.; Frank, D.K.; et al. Phase I trial of dose-escalated stereotactic radiosurgery (SRS) boost for unfavorable locally advanced oropharyngeal cancer. Radiat. Oncol. 2020, 15, 278. [Google Scholar] [CrossRef] [PubMed]






| D Min [Gy] | D Max [Gy] | D Mean [Gy] | |
|---|---|---|---|
| CTV 50 | 36.25 | 67.72 | 55.68 |
| PTV 50 | 6.76 | 67.72 | 54.12 |
| CTV 60 | 57.24 | 67.72 | 62.84 |
| PTV 60 | 39.32 | 67.72 | 62.02 |
| Brainstem | 17.94 | 35.28 | 25.15 |
| Optic chiasm | 20.48 | 35.26 | 26.61 |
| Cochlea left | 1.13 | 13.87 | 2.35 |
| Cochlea right | 28.73 | 42.43 | 34.94 |
| Lens left | 2.34 | 4.14 | 2.92 |
| Eye left | 1.52 | 34.52 | 4.55 |
| Brain | 0.27 | 60.12 | 9.20 |
| Optic nerve left | 4.54 | 32.74 | 16.24 |
| Parotid gland left | 0.70 | 4.39 | 2.44 |
| Parotid gland right | 3.64 | 49.51 | 28.09 |
| Spinal cord | 1.22 | 23.82 | 8.14 |
| Mandible | 0.28 | 48.86 | 10.20 |
| D Max [Gy] | |
|---|---|
| Brainstem | 2.65 |
| Optic chiasm | 3.05 |
| Cochlea left | 0.95 |
| Cochlea right | 1.04 |
| Lens left | 0.22 |
| Eye left | 2.70 |
| Brain (ethmoid sinus region) | 9.00 |
| Optic nerve left | 2.26 |
| Spinal cord | 0.78 |
Disclaimer/Publisher’s Note: The statements, opinions and data contained in all publications are solely those of the individual author(s) and contributor(s) and not of MDPI and/or the editor(s). MDPI and/or the editor(s) disclaim responsibility for any injury to people or property resulting from any ideas, methods, instructions or products referred to in the content. |
© 2023 by the authors. Licensee MDPI, Basel, Switzerland. This article is an open access article distributed under the terms and conditions of the Creative Commons Attribution (CC BY) license (https://creativecommons.org/licenses/by/4.0/).
Share and Cite
Polanowski, P.; Nasiek, A.; Grządziel, A.; Chmielik, E.; Pietruszka, A.; Składowski, K.; Polanowska, K. Stereotactic Radiotherapy Boost in Treatment of Persistent Periocular Sebaceous Carcinoma after Surgery. Biomedicines 2023, 11, 1538. https://doi.org/10.3390/biomedicines11061538
Polanowski P, Nasiek A, Grządziel A, Chmielik E, Pietruszka A, Składowski K, Polanowska K. Stereotactic Radiotherapy Boost in Treatment of Persistent Periocular Sebaceous Carcinoma after Surgery. Biomedicines. 2023; 11(6):1538. https://doi.org/10.3390/biomedicines11061538
Chicago/Turabian StylePolanowski, Paweł, Aleksandra Nasiek, Aleksandra Grządziel, Ewa Chmielik, Agnieszka Pietruszka, Krzysztof Składowski, and Katarzyna Polanowska. 2023. "Stereotactic Radiotherapy Boost in Treatment of Persistent Periocular Sebaceous Carcinoma after Surgery" Biomedicines 11, no. 6: 1538. https://doi.org/10.3390/biomedicines11061538
APA StylePolanowski, P., Nasiek, A., Grządziel, A., Chmielik, E., Pietruszka, A., Składowski, K., & Polanowska, K. (2023). Stereotactic Radiotherapy Boost in Treatment of Persistent Periocular Sebaceous Carcinoma after Surgery. Biomedicines, 11(6), 1538. https://doi.org/10.3390/biomedicines11061538

