Intramuscular Hematomas in Patients Receiving Prophylaxis or Anticoagulant Treatment after Spinal Cord Injury (SCI)—A Rare Complication: Description of Seven Cases and a Literature Analysis
Abstract
1. Introduction
2. Materials and Methods
3. Series of Cases
3.1. Case No. 1
3.2. Case No. 2
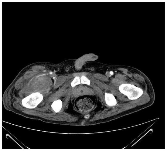
3.3. Case No. 3
3.4. Case No. 4
3.5. Case No. 5
3.6. Case No. 6
3.7. Case No. 7
4. Discussion
5. Conclusions
Author Contributions
Funding
Institutional Review Board Statement
Informed Consent Statement
Data Availability Statement
Conflicts of Interest
References
- Matsumoto, S.; Suda, K.; Iimoto, S.; Yasui, K.; Komatsu, M.; Ushiku, C.; Takahata, M.; Kobayashi, Y.; Tojo, Y.; Fujita, K.; et al. Prospective study of deep vein thrombosis in patients with spinal cord injury not receiving anticoagulant therapy. Spinal Cord 2015, 53, 306–309. [Google Scholar] [CrossRef] [PubMed]
- Teasell, R.W.; Hsieh, J.T.; Aubut, J.A.; Eng, J.J.; Krassioukov, A.; Tu, L. Venous thromboembolism after spinal cord injury. Arch. Phys. Med. Rehabil. 2009, 90, 232–245. [Google Scholar] [CrossRef] [PubMed]
- Consortium for Spinal Cord Medicine. Prevention of Venous Thromboembolism in Individuals with Spinal Cord Injury: Clinical Practice Guidelines for Health Care Providers, 3rd ed. Top. Spinal Cord Inj. Rehabil. 2016, 22, 209–240. [Google Scholar] [CrossRef] [PubMed]
- Jones, T.; Ugalde, V.; Franks, P.; Zhou, H.; White, R.H. Venous Thromboembolism After Spinal Cord Injury: 360 Incidence, Time Course, and Associated Risk Factors in 16,240 Adults and Children. Arch. Phys. Med. Rehabil. 2005, 86, 2240–2247. [Google Scholar] [CrossRef] [PubMed]
- Aito, S.; Pieri, A.; D’Andrea, M.; Marcelli, F.; Cominelli, E. Primary prevention of deep venous thrombosis and pulmonary emboliom in acute spinal cord injured patients. Spinal Cord 2002, 40, 300–303. [Google Scholar] [CrossRef] [PubMed]
- Riklin, C.; Baumberger, M.; Wick, L.; Michel, D.; Sauter, B.; Knecht, H. Deep vein thrombosis and heterotopic ossification in spinal cord injury: A 3 year experience at the Swiss Paraplegic Centre Nottwil. Spinal Cord 2003, 41, 192–198. [Google Scholar] [CrossRef]
- Fehlings, M.G.; Tetreault, L.A.; Aarabi, B.; Anderson, P.; Arnold, P.M.; Brodke, D.S.; Burns, A.S.; Chiba, K.; Dettori, J.R.; Furlan, J.C.; et al. A Clinical Practice Guideline for the Management of Patients with Acute Spinal Cord Injury: Recommendations on the Type and Timing of Anticoagulant Thromboprophylaxis. Global Spine 2017, 7, 212S–220S. [Google Scholar] [CrossRef] [PubMed]
- Mackiewicz-Milewska, M.; Cisowska-Adamiak, M.; Pyskir, J.; Świątkiewicz, I. Usefulness of D-dimer and Ultrasonography Screening for Detecting Deep Vein Thrombosis in Patients with Spinal Cord Injury Undergoing Rehabilitation. J. Clin. Med. 2021, 10, 689. [Google Scholar] [CrossRef]
- Ellis, M.H.; Hadari, R.; Tchuvrero, N.; Shapira, S.; Kovlenko, I.; Kozmiakova, M.; Zissin, R.; Elis, A. Hemorrhagic complications in patients treated with anticoagulant doses of a low molecular weight heparin (enoxaparin) in routine hospital practice. Clin. Appl. Thromb. Hemost. 2006, 12, 199–204. [Google Scholar] [CrossRef]
- Tomkowski, W.; Kuca, P.; Urbanek, T.; Chmielewski, D.; Krasiński, Z.; Pruszczyk, P.; Windyga, J.; Oszkinis, G.; Jawień, A. Żylnachorobazakrzepowo-zatorowa—Wytyczneprofilaktyki, diagnostykiiterapii. KonsensusPolski. Acta Angiol. 2017, 23, 73–113. [Google Scholar]
- Furlan, J.C.; Fehlings, M.G. Role of screening tests for deep venous thrombosis in asymptomatic adults with 370 acute spinal cord injury: An evidence–based analysis. Spine 2007, 32, 1908–1916. [Google Scholar] [CrossRef] [PubMed]
- Geerts, W.H.; Bergqvist, D.; Pineo, G.F.; Heit, J.A.; Samama, C.M.; Lassen, M.R.; Colwell, C.W. Prevention of venous thromboembolism: American College of Chest Physicians Evidence-Based Clinical Practice Guidelines (8th Edition). Chest 2008, 133, 381S–453S. [Google Scholar] [CrossRef]
- Dohan, A.; Darnige, L.; Sapoval, M.; Pellerin, O. Spontaneous soft tissue hematomas. Diagn. Interv. Imag. 2015, 96, 789–796. [Google Scholar] [CrossRef]
- Pode, D.; Caine, M. Spontaneous retroperitoneal hemorrhage. J. Urol. 1992, 147, 311–318. [Google Scholar] [CrossRef] [PubMed]
- Shimodaira, M.; Kitano, T.; Kibata, M.; Shirahata, K. An oblique muscle hematoma as a rare cause of severe abdominal pain: A case report. BMC Res. Notes 2013, 18, 6–18. [Google Scholar] [CrossRef] [PubMed]
- Cherry, W.B.; Mueller, P.S. Rectus sheath hematoma: Review of 126 cases at a single institution. Medicine 2006, 85, 105–110. [Google Scholar] [CrossRef]
- Linhares, M.M.; Lopes Filho, G.J.; Bruna, P.C.; Ricca, A.B.; Sato, N.Y.; Sacalabrini, M. Spontaneous hematoma of the rectus abdominis sheath: A review of 177 cases with report of 7 personal cases. Int. Surg. 1999, 84, 251–257. [Google Scholar]
- Donaldson, J.; Knowles, C.H.; Clark, S.K.; Renfrew, I.; Lobo, M.D. Rectus sheath haematoma associated with low molecular weight heparin: A case series. Ann. R Coll. Surg. Engl. 2007, 89, 309–312. [Google Scholar] [CrossRef]
- Abedini, L.; Mehrabi, S.; Hosseinpour, R.; Jahantab, M.B.; Salehi, V.; Yavari Barhaghtalab, M.J. Non-penetrating traumatic psoas muscle hematoma presenting with gross hematuria: A case report. Int. J. Emerg. Med. 2021, 14, 20. [Google Scholar] [CrossRef]
- Mackiewicz-Milewska, M.; Sakwińska, K.; Cisowska-Adamiak, M.; Szymkuć-Bukowska, I.; Ratuszek-Sadowska, D.; Mackiewicz-Nartowicz, H. Bleeding into the Abdominal and Ilio-Lumbar Muscles-A Rare Complication in the Course of COVID-19: Analysis of Four Cases and a Literature Review. J. Clin. Med. 2022, 12, 4712. [Google Scholar] [CrossRef]
- Palatucci, V.; Lombardi, G.; Lombardi, L.; Giglio, F.; Giordano, F.; Lombardi, D. Spontaneous muscle haematomas: Management of 10 cases. Transl. Med. UniSa 2014, 8, 13–17. [Google Scholar]
- Riu, P.; Albarello, F.; Di Stefano, F.; Vergori, A.; D’Abramo, A.; Cerini, C.; Nocioni, M.; Morucci, M.; Tetaj, N.; Cristofaro, M.; et al. Management of Spontaneous Bleeding in COVID-19 Inpatients: Is Embolization Always Needed? J. Clin. Med. 2021, 10, 4119. [Google Scholar] [CrossRef] [PubMed]
- Carpentier, T.; Kiekens, C.; Peers, K. Muscle rupture after minimal trauma of the spastic muscle: Three case reports of patients with spinal cord injury. Spinal Cord 2013, 51, 721–722. [Google Scholar] [CrossRef] [PubMed]
- De Almeida, R.L.; Gonzaga, B.P.M.; Beraldo, P.S.S.; Amado, V.M. Case report—Gluteal hematoma in two spinal cord patients on enoxaparin for venous thromboembolism prophylaxis: Evidence needed for a wiser choice. Spinal Cord Ser. Cases 2019, 16, 36. [Google Scholar] [CrossRef]
- Yeung, V.; Formal, C. Lower extremity hemorrhage in patients with spinal cord injury receiving enoxaparin therapy. J. Spinal Cord Med. 2015, 38, 236–238. [Google Scholar] [CrossRef]
- Snoecx, M.; De Muynck, M.; Van Laere, M. Association between muscle trauma and heterotopic ossification in spinal cord injured patients: Reflections on their causal relationship and the diagnostic value of ultrasonography. Spinal Cord 1995, 33, 464–468. [Google Scholar] [CrossRef] [PubMed][Green Version]

| Case No. | Type of SCI | Level of Injury | Muscle Tension ofthe Affected Limb (MAS) | LMWH Prophylaxis at the Time of SMH Appearance | Anticoagulation Therapy at the Time of SMH | Modification of Anticoagulation Therapy or Prophylaxis | SMH Symptoms | SMH Localization |
|---|---|---|---|---|---|---|---|---|
| 1 | NTSCI | Th6–Th8 | 2 | Yes | No | No | Edema of the right lower limb | Semitendinosus and sartorius, right limb |
| 2 | TSCI | Th12 and L1–L4. | 0 | No | Yes | Yes | Edema of the right lower limb | Illiacus, right limb |
| 3 | TSCI | Th1–Th2 | 0 | No | Yes | Yes | Edema of the right lower limb | Multifocal in tight, right limb |
| 4 | TSCI | C7 | 2 | Yes | No | No | Edema of the left lower limb | Gastrocnemius, left limb |
| 5 | NTSCI | Th9–Th10 | 0 | No | Yes | Yes | Edema of the right lower limb | Posterior thigh muscle group, right limb |
| 6 | TSCI | C4–C7 | 1 | No | Yes | Yes | Edema of the left lower limb | Posterior thigh muscle group, left limb |
| 7 | TSCI | C7 and Th5 | ND | No | No | No | Edema of the right lower limb | Medialis thigh muscle group, right limb |
| Case Number | Case 1 | Case 2 | Case 3 | Case 4 | Case 5 | Case 6 | Case 7 |
|---|---|---|---|---|---|---|---|
| Type of therapy | (1) Enoxaparin (0.4 mg s.c.) for 8 wk | (1) Enoxaparin (0.4 mg s.c.) for 4 wk Followed by: (2) Enoxaparine (2 × 1 mg/kg b.w.) for 2 wk | (1) Enoxaparin (0.4 mg s.c.) for 9 wk Followed by: (2) Enoxaparine (2 × 1 mg/kg b.w.) for 3 wk (3) Dabigatran (2 × 150 mg) for 1 wk | (1) Enoxaparin (0.4 mg s.c.) for 9.4 wk | (1) Enoxaparin (0.4 mg s.c.) for 4 wk Followed by: (2) Enoxaparine (2 × 1 mg/kg b.w.) for 6 wk Followed by: (3) Warfin for 1.4 wk | (1) Enoxaparin (0.4 mg s.c.) for 7.7 wk Followed by: (2) Rivaroxaban (20 mg) for 6.3 wk | (1) Enoxaparin (0.4 mg s.c.) for 10 wk |
Disclaimer/Publisher’s Note: The statements, opinions and data contained in all publications are solely those of the individual author(s) and contributor(s) and not of MDPI and/or the editor(s). MDPI and/or the editor(s) disclaim responsibility for any injury to people or property resulting from any ideas, methods, instructions or products referred to in the content. |
© 2023 by the authors. Licensee MDPI, Basel, Switzerland. This article is an open access article distributed under the terms and conditions of the Creative Commons Attribution (CC BY) license (https://creativecommons.org/licenses/by/4.0/).
Share and Cite
Mackiewicz-Milewska, M.; Cisowska-Adamiak, M.; Szymkuć-Bukowska, I.; Sakwińska, K.; Domarecka, I.; Lewandowska, A.; Głowacka-Mrotek, I. Intramuscular Hematomas in Patients Receiving Prophylaxis or Anticoagulant Treatment after Spinal Cord Injury (SCI)—A Rare Complication: Description of Seven Cases and a Literature Analysis. Biomedicines 2023, 11, 1142. https://doi.org/10.3390/biomedicines11041142
Mackiewicz-Milewska M, Cisowska-Adamiak M, Szymkuć-Bukowska I, Sakwińska K, Domarecka I, Lewandowska A, Głowacka-Mrotek I. Intramuscular Hematomas in Patients Receiving Prophylaxis or Anticoagulant Treatment after Spinal Cord Injury (SCI)—A Rare Complication: Description of Seven Cases and a Literature Analysis. Biomedicines. 2023; 11(4):1142. https://doi.org/10.3390/biomedicines11041142
Chicago/Turabian StyleMackiewicz-Milewska, Magdalena, Małgorzata Cisowska-Adamiak, Iwona Szymkuć-Bukowska, Katarzyna Sakwińska, Iwona Domarecka, Anna Lewandowska, and Iwona Głowacka-Mrotek. 2023. "Intramuscular Hematomas in Patients Receiving Prophylaxis or Anticoagulant Treatment after Spinal Cord Injury (SCI)—A Rare Complication: Description of Seven Cases and a Literature Analysis" Biomedicines 11, no. 4: 1142. https://doi.org/10.3390/biomedicines11041142
APA StyleMackiewicz-Milewska, M., Cisowska-Adamiak, M., Szymkuć-Bukowska, I., Sakwińska, K., Domarecka, I., Lewandowska, A., & Głowacka-Mrotek, I. (2023). Intramuscular Hematomas in Patients Receiving Prophylaxis or Anticoagulant Treatment after Spinal Cord Injury (SCI)—A Rare Complication: Description of Seven Cases and a Literature Analysis. Biomedicines, 11(4), 1142. https://doi.org/10.3390/biomedicines11041142

