Extremely Rare Pulmonary Metastases of Skin Basal Cell Carcinoma: Report of Two Cases with Clinicopathological Features
Abstract
1. Introduction
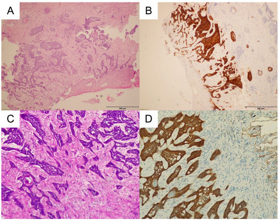
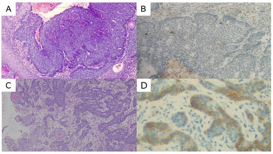
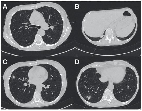
2. Case 1
3. Case 2
4. Discussion
5. Conclusions
Author Contributions
Funding
Institutional Review Board Statement
Informed Consent Statement
Data Availability Statement
Conflicts of Interest
References
- Basset-Seguin, N.; Herms, F. Update in the Management of Basal Cell Carcinoma. Acta Derm. Venereol. 2020, 100, adv00140. [Google Scholar] [CrossRef] [PubMed]
- Ganti, A.K.; Kessinger, A. Systemic Therapy for Disseminated Basal Cell Carcinoma: An Uncommon Manifestation of a Common Cancer. Cancer Treat. Rev. 2011, 37, 440–443. [Google Scholar] [CrossRef] [PubMed]
- Ciążyńska, M.; Kamińska-Winciorek, G.; Lange, D.; Lewandowski, B.; Reich, A.; Sławińska, M.; Pabianek, M.; Szczepaniak, K.; Hankiewicz, A.; Ułańska, M.; et al. The Incidence and Clinical Analysis of Non-Melanoma Skin Cancer. Sci. Rep. 2021, 11, 4337. [Google Scholar] [CrossRef]
- Ciążyńska, M.; Narbutt, J.; Woźniacka, A.; Lesiak, A. Trends in Basal Cell Carcinoma Incidence Rates: A 16-Year Retrospective Study of a Population in Central Poland. Adv. Dermatol. Allergol. 2018, 35, 47–52. [Google Scholar] [CrossRef]
- Ramchatesingh, B.; Gantchev, J.; Martínez Villarreal, A.; Gill, R.P.K.; Lambert, M.; Sivachandran, S.; Lefrançois, P.; Litvinov, I.V. The Contributions of Cancer-Testis and Developmental Genes to the Pathogenesis of Keratinocyte Carcinomas. Cancers 2022, 14, 3630. [Google Scholar] [CrossRef] [PubMed]
- Martin, M.T.; Vulin, A.; Hendry, J.H. Human Epidermal Stem Cells: Role in Adverse Skin Reactions and Carcinogenesis from Radiation. Mutat. Res. Rev. Mutat. Res. 2016, 770, 349–368. [Google Scholar] [CrossRef]
- Alter, M.; Hillen, U.; Leiter, U.; Sachse, M.; Gutzmer, R. Current Diagnosis and Treatment of Basal Cell Carcinoma. J. Dtsch. Dermatol. Ges. 2015, 13, 863–875. [Google Scholar] [CrossRef]
- Peris, K.; Fargnoli, M.C.; Garbe, C.; Kaufmann, R.; Bastholt, L.; Seguin, N.B.; Bataille, V.; del Marmol, V.; Dummer, R.; Harwood, C.A.; et al. Diagnosis and Treatment of Basal Cell Carcinoma: European Consensus–Based Interdisciplinary Guidelines. Eur. J. Cancer 2019, 118, 10–34. [Google Scholar] [CrossRef]
- van Loo, E.; Mosterd, K.; Krekels, G.A.M.; Roozeboom, M.H.; Ostertag, J.U.; Dirksen, C.D.; Steijlen, P.M.; Neumann, H.A.M.; Nelemans, P.J.; Kelleners-Smeets, N.W.J. Surgical Excision versus Mohs’ Micrographic Surgery for Basal Cell Carcinoma of the Face: A Randomised Clinical Trial with 10 year Follow-Up. Eur. J. Cancer 2014, 50, 3011–3020. [Google Scholar] [CrossRef]
- Piva de Freitas, P.; Senna, C.G.; Tabai, M.; Chone, C.T.; Altemani, A. Metastatic Basal Cell Carcinoma: A Rare Manifestation of a Common Disease. Case Rep. Med. 2017, 2017, 8929745. [Google Scholar] [CrossRef]
- Lattes, R.; Kessler, R.W. Metastasizing Basal-Cell Epithelioma of the Skin; Report of Two Cases. Cancer 1951, 4, 866–878. [Google Scholar] [CrossRef]
- McCusker, M.; Basset-Seguin, N.; Dummer, R.; Lewis, K.; Schadendorf, D.; Sekulic, A.; Hou, J.; Wang, L.; Yue, H.; Hauschild, A. Metastatic Basal Cell Carcinoma: Prognosis Dependent on Anatomic Site and Spread of Disease. Eur. J. Cancer 2014, 50, 774–783. [Google Scholar] [CrossRef]
- Navarrete Isidoro, O.; Abad Fernández, A.; López Vime, R.; Jara Chinarro, B.; Juretschke Moragues, M.A. Pulmonary Metastasis of Basal Cell Carcinoma of the Skin. Arch. Bronconeumol. 2005, 41, 169–171. [Google Scholar] [CrossRef][Green Version]
- Wahl, R.U.; Cacchi, C.; Rübben, A. Cutaneous Basal Cell Carcinoma with Lymph Node and Pulmonary Metastases. Case Rep. Oncol. Med. 2018, 2018, 3485326. [Google Scholar] [CrossRef]
- Seo, S.-H.; Shim, W.-H.; Shin, D.-H.; Kim, Y.-S.; Sung, H.-W. Pulmonary Metastasis of Basal Cell Carcinoma. Ann. Dermatol. 2011, 23, 213. [Google Scholar] [CrossRef]
- Fania, L.; Didona, D.; Morese, R.; Campana, I.; Coco, V.; Di Pietro, F.R.; Ricci, F.; Pallotta, S.; Candi, E.; Abeni, D.; et al. Basal Cell Carcinoma: From Pathophysiology to Novel Therapeutic Approaches. Biomedicines 2020, 8, 449. [Google Scholar] [CrossRef]
- Dukes, M.W.; Meade, T.J. Modulation of Hedgehog Signaling for the Treatment of Basal Cell Carcinoma and the Development of Preclinical Models. Biomedicines 2022, 10, 2376. [Google Scholar] [CrossRef]
- Roditis, K.; Metaxas, G.; Neofotistou, O.; Papaparaskeva, K.; Koutsoumbi, A.; Louis, K. Multiple Non-Syndromic Basal Cell Carcinoma with the Chest as Primary Site and Lung Metastases: A Rare Case. Dermatol. Reports 2021, 13, 9106. [Google Scholar] [CrossRef]
- Sekulic, A.; Migden, M.R.; Oro, A.E.; Dirix, L.; Lewis, K.D.; Hainsworth, J.D.; Solomon, J.A.; Yoo, S.; Arron, S.T.; Friedlander, P.A.; et al. Efficacy and Safety of Vismodegib in Advanced Basal-Cell Carcinoma. N. Engl. J. Med. 2012, 366, 2171–2179. [Google Scholar] [CrossRef]
- Mochel, M.C.; Liaquat, S.; Moore, J.B.; Hoang, M.P. Metastasizing Basal Cell Carcinoma: A Clinicopathologic and Immunohistochemical Study of 22 Cases. J. Cutan. Pathol. 2020, 48, 374–383. [Google Scholar] [CrossRef]
- Travis, W.D.; Brambilla, E.; Nicholson, A.G.; Yatabe, Y.; Austin, J.H.M.; Beasley, M.B.; Chirieac, L.R.; Dacic, S.; Duhig, E.; Flieder, D.B.; et al. The 2015 World Health Organization Classification of Lung Tumors. J. Thorac. Oncol. 2015, 10, 1243–1260. [Google Scholar] [CrossRef] [PubMed]
- Moro-Sibilot, D.; Lantuejoul, S.; Diab, S.; Moulai, N.; Aubert, A.; Timsit, J.F.; Brambilla, C.; Brichon, P.Y.; Brambilla, E. Lung Carcinomas with a Basaloid Pattern: A Study of 90 Cases Focusing on Their Poor Prognosis. Eur. Respir. J. 2008, 31, 854–859. [Google Scholar] [CrossRef] [PubMed]
- Sengul, D.; Sengul, I.; Astarci, M.; Ustun, H.; Mocan, G. CD10 for the Distinct Differential Diagnosis of Basal Cell Carcinoma and Benign Tumours of Cutaneous Appendages Originating from Hair Follicle. Pol. J. Pathol. 2010, 61, 140–146. [Google Scholar] [PubMed]
- Dasgeb, B.; Mohammadi, T.M.; Mehregan, D.R. Use of Ber-EP4 and Epithelial Specific Antigen to Differentiate Clinical Simulators of Basal Cell Carcinoma. Biomark. Cancer 2013, 5, BIC.S11856. [Google Scholar] [CrossRef] [PubMed]
- Regauer, S.; Beham-Schmid, C.; Okcu, M.; Hartner, E.; Mannweiler, S. Trichoblastic Carcinoma (“Malignant Trichoblastoma”) with Lymphatic and Hematogenous Metastases. Mod. Pathol. 2000, 13, 673–678. [Google Scholar] [CrossRef]
- Arslan, D.; Gündüz, Ş.; Avci, F.; Merdin, A.; Tatli, A.M.; Uysal, M.; Tural, D.; Başsorgun, C.I.; Savaş, B. Pilomatrix Carcinoma of the Scalp with Pulmonary Metastasis: A Case Report of a Complete Response to Oral Endoxan and Etoposide. Oncol. Lett. 2014, 7, 1959–1961. [Google Scholar] [CrossRef]
- Cunneen, T.S.; Yong, J.L.; Benger, R. Lung Metastases in a Case of Metatypical Basal Cell Carcinoma of the Eyelid: An Illustrative Case and Literature Review to Heighten Vigilance of Its Metastatic Potential. Clin. Exp. Ophthalmol. 2008, 36, 475–477. [Google Scholar] [CrossRef]
- Johansson, I.; Levin, M.; Akyürek, L.M.; Olofsson Bagge, R.; Ny, L. PD-1 Inhibitor Therapy of Basal Cell Carcinoma with Pulmonary Metastasis. J. Eur. Acad. Dermatol. Venereol. 2021, 36, 70–73. [Google Scholar] [CrossRef]
- Monika, D.-Ś.; Hanna, K.-P.; Kozak, K.; Rogala, P.; Świtaj, T.; Falkowski, S.; Rutkowski, P. The Use of Vismodegib in the Treatment of Basal Cell Carcinoma Based on Case Reports. Oncol. Clin. Pract. 2018, 14, 104–109. [Google Scholar] [CrossRef]
- Meani, R.E.; Lim, S.-W.; Chang, A.L.S.; Kelly, J.W. Emergence of Chemoresistance in a Metastatic Basal Cell Carcinoma Patient after Complete Response to Hedgehog Pathway Inhibitor Vismodegib (GDC-0449). Australas. J. Dermatol. 2014, 55, 218–221. [Google Scholar] [CrossRef]
- Lear, J.T.; Migden, M.R.; Lewis, K.D.; Chang, A.L.S.; Guminski, A.; Gutzmer, R.; Dirix, L.; Combemale, P.; Stratigos, A.; Plummer, R.; et al. Long-Term Efficacy and Safety of Sonidegib in Patients with Locally Advanced and Metastatic Basal Cell Carcinoma: 30-Month Analysis of the Randomized Phase 2 BOLT Study. J. Eur. Acad. Dermatol. Venereol. 2017, 32, 372–381. [Google Scholar] [CrossRef]
- Stratigos, A.J.; Sekulic, A.; Peris, K.; Bechter, O.; Prey, S.; Kaatz, M.; Lewis, K.D.; Basset-Seguin, N.; Chang, A.L.S.; Dalle, S.; et al. Cemiplimab in Locally Advanced Basal Cell Carcinoma after Hedgehog Inhibitor Therapy: An Open-Label, Multi-Centre, Single-Arm, Phase 2 Trial. Lancet Oncol. 2021, 22, 848–857. [Google Scholar] [CrossRef]
- Ahmad, S.; Song, D.; Reyes, J.V.; Durrance, R.J.; Jaiswal, V.; Pokhrel, N.B.; Alluri, R.; Awerbuch, E. Giant Basal Cell Carcinoma of Anterior Chest Wall Reveals Metastasis to Lungs: A Case Report. Clin. Case Rep. 2022, 10, e05421. [Google Scholar] [CrossRef]





Disclaimer/Publisher’s Note: The statements, opinions and data contained in all publications are solely those of the individual author(s) and contributor(s) and not of MDPI and/or the editor(s). MDPI and/or the editor(s) disclaim responsibility for any injury to people or property resulting from any ideas, methods, instructions or products referred to in the content. |
© 2023 by the authors. Licensee MDPI, Basel, Switzerland. This article is an open access article distributed under the terms and conditions of the Creative Commons Attribution (CC BY) license (https://creativecommons.org/licenses/by/4.0/).
Share and Cite
Wojtyś, M.E.; Kiełbowski, K.; Kunc, M.; Skrzyniarz, S.A.; Lisowski, P.; Becht, R.; Żukowska, P.; Ptaszyński, K.; Wójcik, J. Extremely Rare Pulmonary Metastases of Skin Basal Cell Carcinoma: Report of Two Cases with Clinicopathological Features. Biomedicines 2023, 11, 283. https://doi.org/10.3390/biomedicines11020283
Wojtyś ME, Kiełbowski K, Kunc M, Skrzyniarz SA, Lisowski P, Becht R, Żukowska P, Ptaszyński K, Wójcik J. Extremely Rare Pulmonary Metastases of Skin Basal Cell Carcinoma: Report of Two Cases with Clinicopathological Features. Biomedicines. 2023; 11(2):283. https://doi.org/10.3390/biomedicines11020283
Chicago/Turabian StyleWojtyś, Małgorzata Edyta, Kajetan Kiełbowski, Michał Kunc, Seweryn Adam Skrzyniarz, Piotr Lisowski, Rafał Becht, Paulina Żukowska, Konrad Ptaszyński, and Janusz Wójcik. 2023. "Extremely Rare Pulmonary Metastases of Skin Basal Cell Carcinoma: Report of Two Cases with Clinicopathological Features" Biomedicines 11, no. 2: 283. https://doi.org/10.3390/biomedicines11020283
APA StyleWojtyś, M. E., Kiełbowski, K., Kunc, M., Skrzyniarz, S. A., Lisowski, P., Becht, R., Żukowska, P., Ptaszyński, K., & Wójcik, J. (2023). Extremely Rare Pulmonary Metastases of Skin Basal Cell Carcinoma: Report of Two Cases with Clinicopathological Features. Biomedicines, 11(2), 283. https://doi.org/10.3390/biomedicines11020283

