Hydrogen Inhalation Reduces Lung Inflammation and Blood Pressure in the Experimental Model of Pulmonary Hypertension in Rats
Abstract
1. Introduction
2. Materials and Methods
2.1. Experimental Setup
2.2. Measurement of Hemodynamic Parameters In Vivo
2.3. Morphometric Measurement
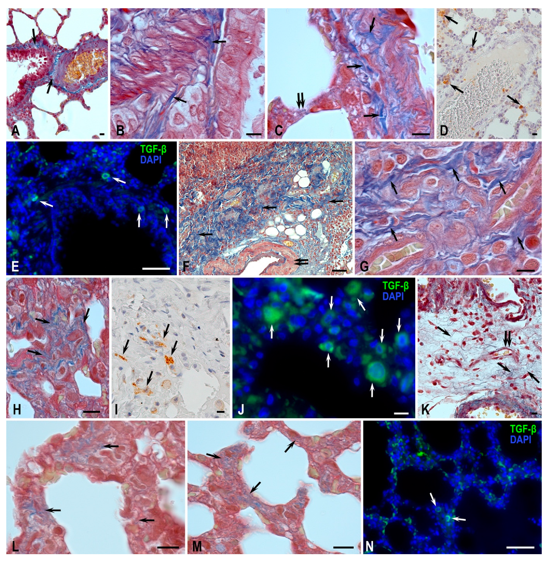
2.4. Morphological Lung Tissue Investigation
2.5. Statistical Analysis
3. Results
3.1. Effects on Blood Pressure
3.2. Morphological Analysis of Lung Tissue
4. Discussion
Author Contributions
Funding
Institutional Review Board Statement
Informed Consent Statement
Data Availability Statement
Conflicts of Interest
References
- Ge, L.; Yang, M.; Yang, N.-N.; Yin, X.-X.; Song, W.-G. Molecular hydrogen: A preventive and therapeutic medical gas for various diseases. Oncotarget 2017, 8, 102653–102673. [Google Scholar] [CrossRef]
- Ohsawa, I.; Ishikawa, M.; Takahashi, K.; Watanabe, M.; Nishimaki, K.; Yamagata, K.; Katsura, K.-I.; Katayama, Y.; Asoh, S.; Ohta, S. Hydrogen acts as a therapeutic antioxidant by selectively reducing cytotoxic oxygen radicals. Nat. Med. 2007, 13, 688–694. [Google Scholar] [CrossRef] [PubMed]
- Ohta, S. Recent progress toward hydrogen medicine: Potential of molecular hydrogen for preventive and therapeutic ap-plication. Curr. Pharm. Des. 2011, 17, 2241–2252. [Google Scholar] [CrossRef]
- Ohta, S. Molecular hydrogen as a preventive and therapeutic medical gas: Initiation, development and potential of hydrogen medicine. Pharmacol. Ther. 2014, 144, 1–11. [Google Scholar] [CrossRef] [PubMed]
- Schieber, M.; Chandel, N.S. ROS Function in Redox Signaling and Oxidative Stress. Curr. Biol. 2014, 24, R453–R462. [Google Scholar] [CrossRef] [PubMed]
- Huang, L. Molecular hydrogen: A therapeutic antioxidant and beyond. Med. Gas Res. 2016, 6, 219–222. [Google Scholar] [CrossRef] [PubMed]
- Nicolson, G.; de Mattos, G.; Settineri, R.; Costa, C.; Ellithorpe, R.; Rosenblatt, S.; La Valle, J.; Jimenez, A.; Ohta, S. Clinical effects of hydrogen administration: From animal and human diseases to exercise medicine. Int. J. Clin. Med. 2016, 7, 32–76. [Google Scholar] [CrossRef]
- Iida, A.; Nosaka, N.; Yumoto, T.; Knaup, E.; Naito, H.; Nishiyama, C.; Yamakawa, Y.; Tsukahara, K.; Terado, M.; Sato, K.; et al. The clinical application of hydrogen as a medical treatment. Acta Medica Okayama 2016, 70, 331–337. [Google Scholar] [CrossRef]
- Chen, G.; Liu, C.-L.; Zhang, K. Hydrogen therapy: From mechanism to cerebral diseases. Med. Gas Res. 2016, 6, 48–54. [Google Scholar] [CrossRef]
- Shen, L.; Li, H.-M.; Ge, J.-W.; Zhang, R.-F. The transfer of hydrogen from inert gas to therapeutic gas. Med. Gas Res. 2017, 7, 265–272. [Google Scholar] [CrossRef]
- Dubois-Deruy, E.; Peugnet, V.; Turkieh, A.; Pinet, F. Oxidative Stress in Cardiovascular Diseases. Antioxidants 2020, 9, 864. [Google Scholar] [CrossRef] [PubMed]
- Mikhael, M.; Makar, C.; Wissa, A.; Le, T.; Eghbali, M.; Umar, S. Oxidative Stress and Its Implications in the Right Ventricular Remodeling Secondary to Pulmonary Hypertension. Front. Physiol. 2019, 10, 1233. [Google Scholar] [CrossRef] [PubMed]
- Gomez-Arroyo, J.G.; Farkas, L.; Alhussaini, A.A.; Farkas, D.; Kraskauskas, D.; Voelkel, N.F.; Bogaard, H.J. The monocrotaline model of pulmonary hypertension in perspective. Am. J. Physiol. Cell. Mol. Physiol. 2012, 302, L363–L369. [Google Scholar] [CrossRef] [PubMed]
- Xiao, R.; Su, Y.; Feng, T.; Sun, M.; Liu, B.; Zhang, J.; Lu, Y.; Li, J.; Wang, T.; Zhu, L.; et al. Monocrotaline Induces Endothelial Injury and Pulmonary Hypertension by Targeting the Extracellular Calcium–Sensing Receptor. J. Am. Heart Assoc. 2017, 6, e004865. [Google Scholar] [CrossRef] [PubMed]
- Huang, L.; Li, H.; Huang, S.; Wang, S.; Liu, Q.; Luo, L.; Gan, S.; Fu, G.; Zou, P.; Chen, G.; et al. Notopterol Attenuates Monocrotaline-Induced Pulmonary Arterial Hypertension in Rat. Front. Cardiovasc. Med. 2022, 9, 859422. [Google Scholar] [CrossRef]
- Wang, Q.; Zuo, X.; Wang, Y. Monocrotaline-induced pulmonary arterial hypertension is attenuated by TNF-α antagonists via the suppression of TNF-α expression and NF-κB pathway in rats. Vascl. Pharmacol. 2013, 58, 71–77. [Google Scholar] [CrossRef]
- Bhargava, A.; Kumar, A.; Yuan, N.; Gewitz, M.H.; Mathew, R. Monocrotaline induces interleukin-6 mRNA expression in rat lungs. Heart Dis. 1999, 1, 126–132. [Google Scholar]
- Lee, Y.; Byun, J.; Kim, A.; Lee, S.; Kim, K.L.; Suh, Y.-L.; Kim, J.-M.; Jang, H.-S.; Lee, J.-Y.; Shin, I.-S.; et al. Monocrotaline-induced pulmonary hypertension correlates with upregulation of connective tissue growth factor expression in the lung. Exp. Mol. Med. 2005, 37, 27–35. [Google Scholar] [CrossRef][Green Version]
- Bankhead, P.; Loughrey, M.B.; Fernández, J.A.; Dombrowski, Y.; McArt, D.G.; Dunne, P.D.; McQuaid, S.; Gray, R.T.; Murray, L.J.; Coleman, H.G.; et al. QuPath: Open source software for digital pathology image analysis. Sci. Rep. 2017, 7, 16878. [Google Scholar] [CrossRef]
- Kishimoto, Y.; Kato, T.; Ito, M.; Azuma, Y.; Fukasawa, Y.; Ohno, K.; Kojima, S. Hydrogen ameliorates pulmonary hyper-tension in rats by anti-inflammatory and antioxidant effects. J. Thorac. Cardiovasc. Surg. 2015, 150, 645–654. [Google Scholar] [CrossRef]
- Wang, Y.; Jing, L.; Zhao, X.; Han, J.-J.; Xia, Z.-L.; Qin, S.-C.; Wu, Y.-P.; Sun, X.-J. Protective effects of hydrogen-rich saline on monocrotaline-induced pulmonary hyper-tension in a rat model. Respir. Res. 2011, 12, 26. [Google Scholar] [CrossRef] [PubMed]
- He, B.; Zhang, Y.; Kang, B.; Xiao, J.; Xie, B.; Wang, Z. Protection of oral hydrogen water as an antioxidant on pulmonary hypertension. Mol. Biol. Rep. 2013, 40, 5513–5521. [Google Scholar] [CrossRef] [PubMed]
- Sano, M.; Ichihara, G.; Katsumata, Y.; Hiraide, T.; Hirai, A.; Momoi, M.; Tamura, T.; Ohata, S.; Kobayashi, E. Pharmacokinetics of a single inhalation of hy-drogen gas in pigs. PLoS ONE 2020, 15, e0234626. [Google Scholar] [CrossRef] [PubMed]
- Ichihara, G.; Katsumata, Y.; Moriyama, H.; Kitakata, H.; Hirai, A.; Momoi, M.; Ko, S.; Shinya, Y.; Kinouchi, K.; Kobayashi, E.; et al. Pharmacokinetics of hydrogen after ingesting a hydrogen-rich solution: A study in pigs. Heliyon 2021, 7, e08359. [Google Scholar] [CrossRef] [PubMed]
- Ito, M.; Hirayama, M.; Yamai, K.; Goto, S.; Ito, M.; Ichihara, M.; Ohno, K. Drinking hydrogen water and intermittent hydrogen gas exposure, but not lactulose or continuous hydrogen gas exposure, prevent 6-hydorxydopamine-induced Parkinson’s disease in rats. Med. Gas Res. 2012, 2, 15. [Google Scholar] [CrossRef] [PubMed]
- Perveen, I.; Bukhari, B.; Najeeb, M.; Nazir, S.; Faridi, T.A.; Farooq, M.; Ahmad, Q.-U.; Abusalah, M.A.H.A.; Aljaraedah, T.Y.; Alraei, W.Y.; et al. Hydrogen Therapy and Its Future Prospects for Ameliorating COVID-19: Clinical Applications, Efficacy, and Modality. Biomedicines 2023, 11, 1892. [Google Scholar] [CrossRef] [PubMed]
- Tamura, T.; Hayashida, K.; Sano, M.; Onuki, S.; Suzuki, M. Efficacy of inhaled HYdrogen on neurological outcome following BRain Ischemia during post-cardiac arrest care (HYBRID II trial): Study protocol for a randomized controlled trial. Trials 2017, 18, 488. [Google Scholar] [CrossRef]
- Hu, H.-H.; Chen, D.-Q.; Wang, Y.-N.; Feng, Y.-L.; Cao, G.; Vaziri, N.D.; Zhao, Y.-Y. New insights into TGF-β/Smad signaling in tissue fibrosis. Chem. Interact. 2018, 292, 76–83. [Google Scholar] [CrossRef]
- Tao, B.; Liu, L.; Wang, N.; Wang, W.; Jiang, J.; Zhang, J. Effects of hydrogen-rich saline on aquaporin 1, 5 in septic rat lungs. J. Surg. Res. 2016, 202, 291–298. [Google Scholar] [CrossRef]
- Komi, D.E.A.; Mortaz, E.; Amani, S.; Tiotiu, A.; Folkerts, G.; Adcock, I.M. The Role of Mast Cells in IgE-Independent Lung Diseases. Clin. Rev. Allergy Immunol. 2020, 58, 377–387. [Google Scholar] [CrossRef]
- Atiakshin, D.; Kostin, A.; Volodkin, A.; Nazarova, A.; Shishkina, V.; Esaulenko, D.; Buchwalow, I.; Tiemann, M.; Noda, M. Mast Cells as a Potential Target of Molecular Hydrogen in Regulating the Local Tissue Microenvironment. Pharmaceuticals 2023, 16, 817. [Google Scholar] [CrossRef] [PubMed]
- Farha, S.; Sharp, J.; Asosingh, K.; Park, M.; Comhair, S.A.A.; Tang, W.H.W.; Thomas, J.; Farver, C.; Hsieh, F.; Loyd, J.E.; et al. Mast cell number, phenotype, and function in human pulmonary arterial hypertension. Pulm. Circ. 2012, 2, 220–228. [Google Scholar] [CrossRef] [PubMed]
- Atiakshin, D.; Buchwalow, I.; Tiemann, M. Mast cells and collagen fibrillogenesis. Histochem. Cell Biol. 2020, 154, 21–40. [Google Scholar] [CrossRef] [PubMed]
- Liu, L.; Shi, Q.; Liu, X.; Li, Y.; Li, X. Attenuation of Myocardial Fibrosis Using Molecular Hydrogen by Inhibiting the TGF-β Signaling Pathway in Spontaneous Hypertensive Rats. Am. J. Hypertens. 2021, 35, 156–163. [Google Scholar] [CrossRef]
- Nakayama, M.; Itami, N.; Suzuki, H.; Hamada, H.; Yamamoto, R.; Tsunoda, K.; Osaka, N.; Nakano, H.; Maruyama, Y.; Kabayama, S.; et al. Novel haemodialysis (HD) treatment employing molecular hydrogen (H2)-enriched dialysis solution improves prognosis of chronic dialysis patients: A prospective observational study. Sci. Rep. 2018, 8, 254. [Google Scholar] [CrossRef]
- Mizuno, K.; Sasaki, A.T.; Ebisu, K.; Tajima, K.; Kajimoto, O.; Nojima, J.; Kuratsune, H.; Hori, H.; Watanabe, Y. Hydrogen-rich water for improvements of mood, anxiety, and autonomic nerve function in daily life. Med. Gas Res. 2018, 7, 247–255. [Google Scholar] [CrossRef]
- LeBaron, T.W.; Kura, B.; Kalocayova, B.; Tribulova, N.; Slezak, J. A New Approach for the Prevention and Treatment of Cardiovascular Dis-orders. Molecular Hydrogen Significantly Reduces the Effects of Oxidative Stress. Molecules 2019, 24, 2076. [Google Scholar] [CrossRef]
- Panina, E.; Ivanov, A.; Petrov, D.; Panteleeva, N. Influence of molecular hydrogen on behavioral adaptation of Chinchilla lanigera taking into account gender factor in conditions of cage keeping. In Proceedings of the International Scientific and Practical Conference “Fundamental Scientific Research and Their Applied Aspects in Bio-Technology and Agriculture, Tyumen, Russian, 19–21 July 2021; Volume 36, p. 07006. [Google Scholar] [CrossRef]






| Group | n | RV Mass, g | RV/Heart | RV/Septum + LV | (RV/Body Mass) × 1000 |
|---|---|---|---|---|---|
| Control | 8 | 0.167 ± 0.017 * | 0.206 ± 0.049 * | 0.292 ± 0.045 * | 0.522 ± 0.079 * |
| MCT | 8 | 0.200 ± 0.040 | 0.231 ± 0.041 | 0.383 ± 0.064 | 0.601 ± 0.237 |
| MCT-H2 | 8 | 0.175 ± 0.025 | 0.229 ± 0.043 | 0.368 ± 0.070 | 0.612 ± 0.245 |
| Parameter | Experimental Groups | |||
|---|---|---|---|---|
| Control (n = 6) | MCT-Control (n = 6) | MCT-H2 (n = 6) | ||
| Staining method: Picro Mallory histochemical protocol | ||||
| Area of analyzed structures of the airway and respiratory parts of the lung (M, mm2) Δ | 87.27 | 102.43 | 90.02 | |
| Area of extracellular matrix of connective tissue | Absolute (M ± m, mm2) | 13.43 ± 1.2 | 25.91 ± 3.2 * | 17.73 ± 2.1 *,** |
| Relative (%, M ± m) | 15.4 ± 2.2 | 25.3 ± 2.4 * | 19.7 ± 1.9 ** | |
| Group | n | Giemsa Stain | Tryptase Stain |
|---|---|---|---|
| MCs, Mean/30 Fields of View at Magnification ×20 | |||
| Control | 7 | 26 ± 9 * | 23 ± 6 * |
| MCT-Control | 6 | 52 ± 14 | 40 ± 13 |
| MCT-H2 | 6 | 36 ± 13 # | 28 ± 10 # |
Disclaimer/Publisher’s Note: The statements, opinions and data contained in all publications are solely those of the individual author(s) and contributor(s) and not of MDPI and/or the editor(s). MDPI and/or the editor(s) disclaim responsibility for any injury to people or property resulting from any ideas, methods, instructions or products referred to in the content. |
© 2023 by the authors. Licensee MDPI, Basel, Switzerland. This article is an open access article distributed under the terms and conditions of the Creative Commons Attribution (CC BY) license (https://creativecommons.org/licenses/by/4.0/).
Share and Cite
Kuropatkina, T.; Atiakshin, D.; Sychev, F.; Artemieva, M.; Samoilenko, T.; Gerasimova, O.; Shishkina, V.; Gufranov, K.; Medvedeva, N.; LeBaron, T.W.; et al. Hydrogen Inhalation Reduces Lung Inflammation and Blood Pressure in the Experimental Model of Pulmonary Hypertension in Rats. Biomedicines 2023, 11, 3141. https://doi.org/10.3390/biomedicines11123141
Kuropatkina T, Atiakshin D, Sychev F, Artemieva M, Samoilenko T, Gerasimova O, Shishkina V, Gufranov K, Medvedeva N, LeBaron TW, et al. Hydrogen Inhalation Reduces Lung Inflammation and Blood Pressure in the Experimental Model of Pulmonary Hypertension in Rats. Biomedicines. 2023; 11(12):3141. https://doi.org/10.3390/biomedicines11123141
Chicago/Turabian StyleKuropatkina, Tatyana, Dmitrii Atiakshin, Fedor Sychev, Marina Artemieva, Tatyana Samoilenko, Olga Gerasimova, Viktoriya Shishkina, Khaydar Gufranov, Natalia Medvedeva, Tyler W. LeBaron, and et al. 2023. "Hydrogen Inhalation Reduces Lung Inflammation and Blood Pressure in the Experimental Model of Pulmonary Hypertension in Rats" Biomedicines 11, no. 12: 3141. https://doi.org/10.3390/biomedicines11123141
APA StyleKuropatkina, T., Atiakshin, D., Sychev, F., Artemieva, M., Samoilenko, T., Gerasimova, O., Shishkina, V., Gufranov, K., Medvedeva, N., LeBaron, T. W., & Medvedev, O. (2023). Hydrogen Inhalation Reduces Lung Inflammation and Blood Pressure in the Experimental Model of Pulmonary Hypertension in Rats. Biomedicines, 11(12), 3141. https://doi.org/10.3390/biomedicines11123141

