Isolated Gastric Metastases of Pancreatic Ductal Adenocarcinoma following Radical Resection—Impact of Endosonography-Guided Fine Needle Aspiration Tract Seeding
Abstract
:1. Introduction
2. Materials and Methods
3. Results
4. Discussion
4.1. Pathologically Confirmed Primary Diagnosis of the PDAC after Pancreatic Resection
4.2. Body/Tail Location of the Primary Tumor Is the Most Frequent
4.3. Preoperative EUS-FNA
4.4. 1-Year Survival without Other Recurrences
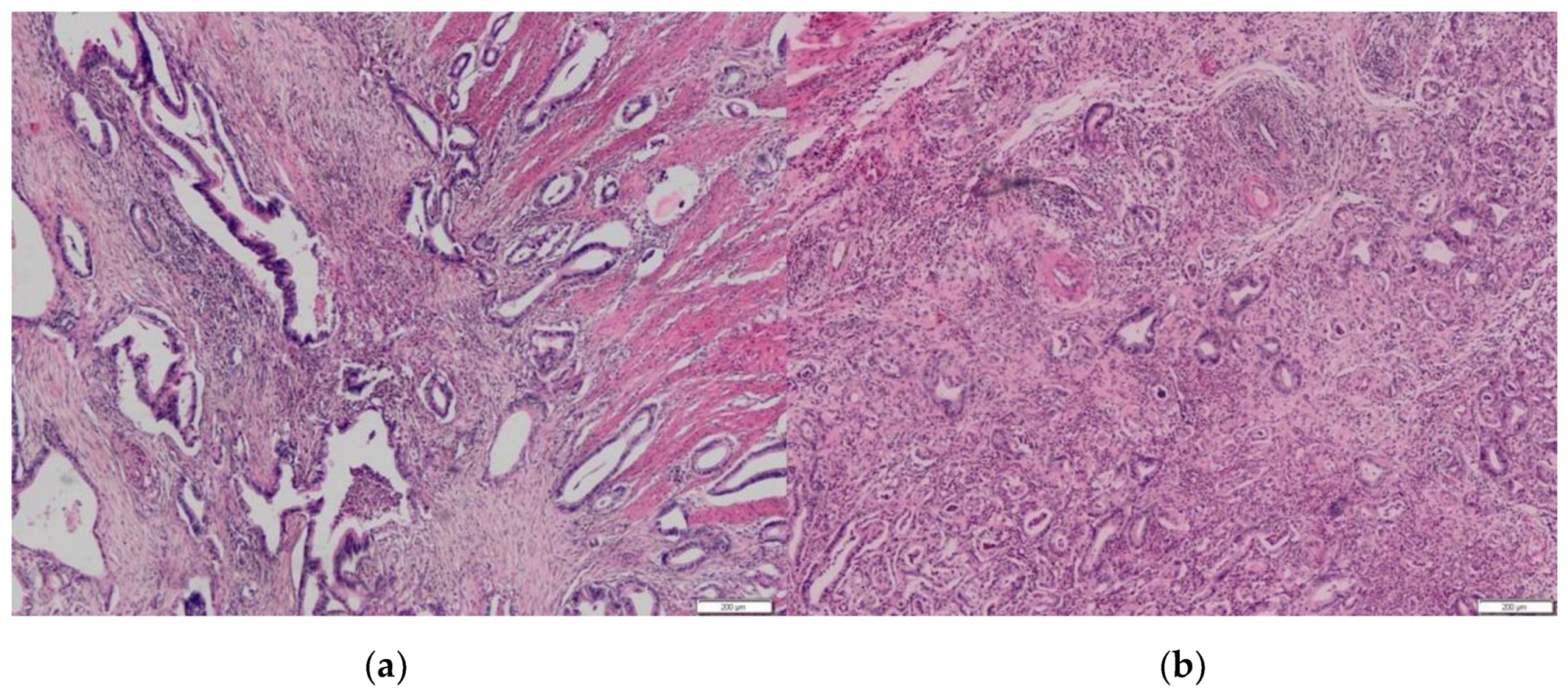
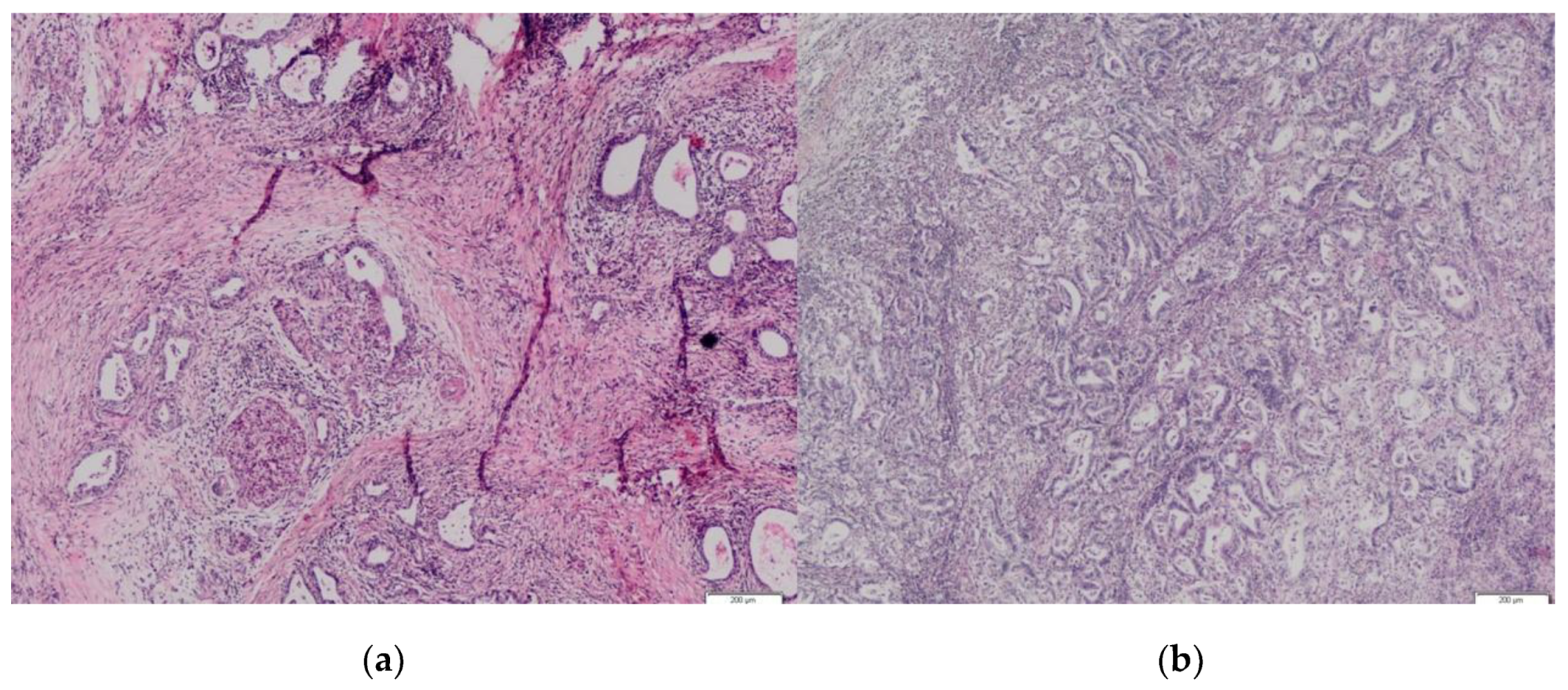
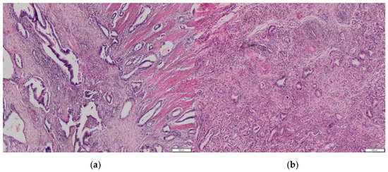
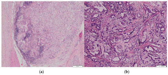
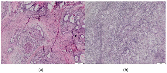
4.5. Identification of PDAC Tissue in the Resected Specimen (Gastric Wall), with the Exclusion of Direct Invasion and Identical Histopathological Pattern with the Primary Tumor
4.6. Clinical Relevance of Seeding Metastases of PDAC
5. Conclusions
Author Contributions
Funding
Institutional Review Board Statement
Informed Consent Statement
Data Availability Statement
Conflicts of Interest
References
- Dumonceau, J.M.; Deprez, P.H.; Jenssen, C.; Iglesias-Garcia, J.; Larghi, A.; Vanbiervliet, G.; Aithal, G.P.; Arcidiacono, P.G.; Bastos, P.; Carrara, S.; et al. Indications, results, and clinical impact of endoscopic ultrasound (EUS)-guided sampling in gastroenterology: European society of gastrointestinal endoscopy (ESGE) clinical guideline. Endoscopy 2017, 49, 695–714. [Google Scholar] [CrossRef] [PubMed] [Green Version]
- Kim, S.H.; Woo, Y.S.; Lee, K.H.; Lee, J.K.; Lee, K.T.; Park, J.K.; Kang, S.H.; Kim, J.W.; Park, J.K.; Park, S.-W. Preoperative EUS-guided FNA: Effects on peritoneal recurrence and survival in patients with pancreatic cancer. Gastrointest. Endosc. 2018, 88, 926–934. [Google Scholar] [CrossRef] [PubMed]
- Tomonari, A.; Katanuma, A.; Matsumori, T.; Yamazaki, H.; Sano, I.; Minami, R.; Sen-Yo, M.; Ikarashi, S.; Kin, T.; Yane, K.; et al. Resected tumor seeding in stomach wall due to endoscopic ultrasonography-guided fine needle aspiration of pancreatic adenocarcinoma. World J. Gastroenterol. 2015, 21, 8458–8461. [Google Scholar] [CrossRef] [PubMed]
- Hebert-Magee, S.; Bae, S.; Varadarajulu, S.; Ramesh, J.; Frost, A.R.; Eloubeidi, M.A.; Eltoum, I.A. The presence of a cytopathologist increases the diagnostic accuracy of endoscopic ultrasound-guided fine needle aspiration cytology for pancreatic adenocarcinoma: A meta-analysis. Cytopathology 2013, 24, 159–171. [Google Scholar] [CrossRef] [Green Version]
- Hewitt, M.J.; McPhail, M.J.W.; Possamai, I.; Dhar, A.; Vlavianos, P.; Monahan, K.J. EUS-guided FNA for diagnosis of solid pancreatic neoplasms: A meta-analysis. Gastrointest. Endosc. 2012, 75, 319–331. [Google Scholar] [CrossRef]
- Puli, S.R.; Bechtold, M.L.; Buxbaum, J.L.; Eloubeidi, M.A. How good is endoscopic ultrasound-guided fine-needle aspiration in diagnosing the correct etiology for a solid pancreatic mass? A meta-analysis and systematic review. Pancreas 2013, 42, 20–26. [Google Scholar] [CrossRef] [PubMed]
- Ngamruengphong, S.; Xu, C.; Woodward, T.A.; Raimondo, M.; Stauffer, J.A.; Asbun, H.J.; Wallace, M.B. Risk of gastric or peritoneal recurrence, and long-term outcomes, following pancreatic cancer resection with preoperative endosonographically guided finer needle aspiration. Endoscopy 2013, 45, 619–626. [Google Scholar] [CrossRef]
- Matsui, T.; Nishikawa, K.; Yukimoto, H.; Katsuta, K.; Nakamura, Y.; Tanaka, S.; Oiwa, M.; Nakahashi, H.; Shomi, Y.; Haruki, Y.; et al. Needle tract seeding following endoscopic ultrasound-guided fine-needle aspiration for pancreatic cancer: A report of two cases. World J. Surg. Oncol. 2019, 17, 1–8. [Google Scholar] [CrossRef] [Green Version]
- Jenssen, C.; Hocke, M.; Fusarolli, P.; Gilja, O.H.; Buscarini, E.; Havre, R.F.; Ignee, A.; Saftoiu, A.; Vilmann, P.; Burmester, E.; et al. EFSUMB guidelines on interventional ultrasound (INVUS). Part IV-EUS-guided interventions: General aspects and EUS-guided sampling (long version). Ultraschall Der Med.—Eur. J. Ultrasound 2015, 37, E33–E76. [Google Scholar] [CrossRef] [Green Version]
- Yane, K.; Kuwatani, M.; Yoshida, M.; Goto, T.; Matsumoto, R.; Ihara, H.; Okuda, T.; Taya, Y.; Ehira, N.; Kudo, T.; et al. Non-negligible rate of needle tract seeding after endoscopic ultrasound-guided fine-needle aspiration for patients undergoing distal pancreatectomy for pancreatic cancer. Dig. Endosc. 2019, 32, 801–811. [Google Scholar] [CrossRef]
- Hirooka, Y.; Goto, H.; Itoh, A.; Hashimoto, S.; Niwa, K.; Ishikawa, H.; Okada, N.; Itoh, T.; Kawashima, H. Case of intraductal papillary mucinous tumor in which endosonography-guided fine-needle aspiration biopsy caused dissemination. J. Gastroenterol. Hepatol. 2003, 18, 1323–1324. [Google Scholar] [CrossRef] [PubMed]
- Kita, E.; Yamaguchi, T.; Sudo, K. A case of needle tract seeding after EUS-guided FNA in pancreatic cancer, detected by serial positron emission tomography/CT. Gastrointest. Endosc. 2016, 84, 869–870. [Google Scholar] [CrossRef] [PubMed]
- Sakurada, A.; Hayashi, T.; Ono, M.; Ishiwatari, H.; Ogino, J.; Kimura, Y.; Kato, J. A case of curatively resected gastric wall implantation of pancreatic cancer caused by endoscopic ultrasound-guided fine-needle aspiration. Endoscopy 2015, 47, E198–E199. [Google Scholar] [CrossRef] [PubMed] [Green Version]
- Yamabe, A.; Irisawa, A.; Shibukawa, G.; Hoshi, K.; Fujisawa, M.; Igarashi, R.; Sato, A.; Maki, T.; Hojo, H. Rare condition of needle tract seeding after EUS-guided FNA for intraductal papillary mucinous carcinoma. Endosc. Int. Open 2016, 4, E756–E758. [Google Scholar] [CrossRef] [Green Version]
- Minaga, K.; Takenaka, M.; Katanuma, A.; Kitano, M.; Yamashita, Y.; Kamata, K.; Yamao, K.; Watanabe, T.; Maguchi, H.; Kudo, M. Needle tract seeding: An overlooked rare complication of endoscopic ultrasound-guided fine-needle aspiration. Oncology 2017, 93, 107–112. [Google Scholar] [CrossRef]
- Paquin, S.C.; Gariepy, G.; Lepanto, L.; Bourdages, R.; Raymond, G.; Sahai, A.V. A first report of tumor seeding because of EUS-guided FNA of a pancreatic adenocarcinoma. Gastrointest. Endosc. 2005, 61, 610–611. [Google Scholar] [CrossRef]
- Ahmed, K.; Sussmann, J.J.; Wang, J.; Schmulewitz, N. A case of EUS-guided FNA-related pancreatic cancer metastasis to the stomach. Gastrointest. Endosc. 2011, 74, 231–233. [Google Scholar] [CrossRef]
- Chong, A.; Venugopal, K.; Segarajasingam, D.; Lisewski, D. Tumor seeding after EUS-guided FNA of pancreatic tail neoplasia. Gastrointest. Endosc. 2011, 74, 933–935. [Google Scholar] [CrossRef]
- Katanuma, A.; Maguchi, H.; Hashigo, S.; Kaneko, M.; Kin, T.; Yane, K.; Kato, R.; Kato, S.; Harada, R.; Osanai, M.; et al. Tumor seeding after endoscopic ultrasound-guided fine-needle aspiration of cancer in the body of the pancreas. Endoscopy 2012, 44, E160–E161. [Google Scholar] [CrossRef] [Green Version]
- Anderson, B.; Singh, J.; Jafri, S.F. Tumor seeding following endoscopic ultrasonography-guided fine-needle aspiration of a celiac lymph node. Dig. Endosc. 2013, 25, 344–345. [Google Scholar] [CrossRef]
- Minaga, K.; Kitano, M.; Yamashita, Y. Surgically resected needle tract seeding following endoscopic ultrasound-guided fine-needle aspiration in pancreatic cancer. J. Hepato-Biliary-Pancreat. Sci. 2015, 22, 708–709. [Google Scholar] [CrossRef] [PubMed]
- Minaga, K.; Kitano, M.; Enoki, E.; Kashida, H.; Kudo, M. Needle-tract seeding on the proximal gastric wall after EUS-guided fine-needle aspiration of a pancreatic mass. Am. J. Gastroenterol. 2016, 111, 1515. [Google Scholar] [CrossRef] [PubMed]
- Iida, T.; Adachi, T.; Ohe, Y.; Nakagaki, S.; Yabana, T.; Kondo, Y.; Nakase, H. Re-recurrence after distal gastrectomy for recurrence caused by needle tract seeding during endoscopic ultrasound-guided fine-needle aspiration of a pancreatic adenocarcinoma. Endoscopy 2016, 48, E304–E305. [Google Scholar] [CrossRef]
- Yamauchi, J.; Kobayashi, S.; Miyazaki, K.; Ajiki, T.; Tsuchihara, K.; Ishiyama, S. A case of curative resection of needle tract seeding after EUS-guided fine needle aspiration for pancreatic body cancer. J. Japan Surg. Assoc. 2016, 77, 2994–2999. [Google Scholar] [CrossRef] [Green Version]
- Matsumoto, K.; Kato, H.; Tanaka, N.; Okada, H. Preoperative detection of tumor seeding after endoscopic ultrasonography-guided fine needle aspiration for pancreatic cancer. Intern. Med. 2018, 57, 1797–1798. [Google Scholar] [CrossRef] [PubMed] [Green Version]
- Sakamoto, U.; Fukuban, N.; Ishihara, S.; Sumi, S.; Okada, M.; Sonoyama, H.; Ohshima, N.; Moriyama, I.; Kawashima, K.; Kinoshita, Y. Postoperative recurrence from tract seeding after use of EUS-FNA for preoperative diagnosis of cancer in pancreatic tail. Clin. J. Gastroenterol. 2018, 11, 200–205. [Google Scholar] [CrossRef]
- Kawabata, H.; Miyazawa, Y.; Sato, H.; Okada, T.; Hayashi, A.; Iwama, T.; Fujibayashi, S.; Goto, T.; Sasajima, J.; Takauji, S.; et al. Genetic analysis of postoperative recurrence of pancreatic cancer potentially owing to needle tract seeding during EUS-FNB. Endosc. Int. Open 2019, 07, E1768–E1772. [Google Scholar] [CrossRef] [Green Version]
- Sato, N.; Takano, S.; Yoshimoti, H.; Furukawa, K.; Takayashiki, T.; Kuboki, S.; Suzuki, D.; Sakai, N.; Kagawa, S.; Mishima, T.; et al. Needle tract seeding recurrence of pancreatic cancer in the gastric wall with paragastric lymph node metastasis after endoscopic ultrasound-guided fine needle aspiration followed by pancreatectomy: A case report and literature review. BMC Gastroenterol. 2020, 20, 1–7. [Google Scholar] [CrossRef]
- Rothermel, L.D.; Strosberg, C.; Centeno, A.B.; Malafa, M.P. Case report of isolated gastric metastasis of pancreatic cancer from a diagnostic biopsy: Management of a rare oncologic entity. Cancer Control 2020, 27, 1073274820904042. [Google Scholar] [CrossRef] [Green Version]
- Okamoto, T.; Nakamjura, K.; Takasu, A.; Kaido, T.; Fukuda, K. Needle tract seeding and absess associated with pancreatic fistula after endoscopic ultrasound-guided fine-needle aspiration. Clin. J. Gastroenterol. 2020, 13, 1322–1330. [Google Scholar] [CrossRef]
- Micames, C.; Jowell, P.S.; White, R.; Paulson, E.; Nelson, R.; Morse, M.; Hurwitz, H.; Pappas, T.; Tyler, D.; McGrath, K. Lower frequency of peritoneal carcinomatosis in patients with pancreatic cancer diagnosed by EUS-guided FNA vs. percutaneous FNA. Gastrointest. Endosc. 2003, 58, 690–695. [Google Scholar] [CrossRef]
- Gulamhusein, A.F.; Sanchez, W. Liver transplantation in the management of perihilar cholangiocarcinoma. Hepatic Oncol. 2015, 2, 409–421. [Google Scholar] [CrossRef] [PubMed]
- Heimbach, J.K.; Sanchez, W.; Rosen, C.B.; Gores, G.J. Trans-peritoneal fine needle aspiration biopsy of hilar cholangiocarcinoma is associated with disease dissemination. HPB 2011, 13, 356–360. [Google Scholar] [CrossRef] [PubMed] [Green Version]
- Gleeson, F.C.; Lee, J.H.; Dewitt, J.M. Tumor seeding associated with selected gastrointestinal endoscopic interventions. Clin. Gastroenterol. Hepatol. 2018, 16, 1385–1388. [Google Scholar] [CrossRef]
- Seufferlein, T.; Porzner, M.; Becker, T.; Budach, V.; Ceyhan, G.; Esposito, I.; Fietkau, R.; Follmann, M.; Friess, H.; Galle, P.; et al. S3-Leitlinie zum exokrinen Pankreaskarzinom [S3-guideline exocrine pancreatic cancer]. Z. Fur Gastroenterol. 2013, 51, 1395–1440. [Google Scholar] [CrossRef] [Green Version]
- Fujii, L.L.; Levy, M.J. Basic techniques in endoscopic ultrasound-guided fine needle aspiration for solid lesions: Adverse events and avoiding them. Endosc. Ultrasound 2014, 3, 35–45. [Google Scholar] [CrossRef] [Green Version]
- El Hajj, I.I.; Al-Haddad, M. Impact of preoperative EUS-guided FNA for pancreatic cancer on overall and cancer-free survival: Is the jury still out? Gastrointest. Endosc. 2018, 88, 935–938. [Google Scholar] [CrossRef] [Green Version]
- Yoon, W.J.; Daglilar, E.S.; Castillo, C.F.-D.; Mino-Kenudson, M.; Pitman, M.B.; Brugge, W.R. Peritoneal seeding in intraductal papillary mucinous neoplasm of the pancreas patients who underwent endoscopic ultrasound-guided fine-needle aspiration: The PIPE Study. Endoscopy 2014, 46, 382–387. [Google Scholar] [CrossRef] [Green Version]
- Tanaka, M.; Fernández-del Castillo, C.; Adsay, V.; Chari, S.; Falconi, M.; Jang, J.-Y.; Kimura, W.; Levy, P.; Pitman, M.B.; Schmidt, C.M.; et al. International association of pancreatology. international consensus guidelines 2012 for the management of IPMN and MCN of the pancreas. Pancreatology 2012, 12, 183–197. [Google Scholar] [CrossRef]
- Lovecek, M.; Skalicky, P.; Chudacek, J.; Szkorupa, M.; Svebisova, H.; Lemstrova, R.; Ehrmann, J.; Melichar, B.; Yogeswara, T.; Klos, D.; et al. Different clinical presentations of metachronous pulmonary metastases after resection of pancreatic ductal adenocarcinoma: Retrospective study and review of the literature. World J. Gastroenterol. 2017, 23, 6420–6428. [Google Scholar] [CrossRef]
- Loveček, M.; Skalický, P.; Klos, D.; Bebarova, L.; Neoral, C.; Ehrmann, J.; Zapletalová, J.; Svebisova, H.; Vrba, R.; Stasek, M.; et al. Long-term survival after resections for pancreatic ductal adenocarcinoma. Single centre study. Biomed. Pap. 2016, 160, 280–286. [Google Scholar] [CrossRef] [Green Version]
- Wu, W.; He, J.; Cameron, J.L.; Makary, M.; Soares, K.; Ahuja, N.; Rezaee, N.; Herman, J.; Zheng, L.; Laheru, D.; et al. The impact of postoperative complications on the administration of adjuvant therapy following pancreaticoduodenectomy for adenocarcinoma. Ann. Surg. Oncol. 2014, 21, 2873–2881. [Google Scholar] [CrossRef] [PubMed] [Green Version]
- Yang, J.; Yan, Y.; Zhang, S.; Lv, Y. Gastric metastasis from pancreatic cancer characterized by mucosal erosion: A case report and literature review. J. Int. Med. Res. 2021, 49, 1–6. [Google Scholar] [CrossRef] [PubMed]
- Yachida, S.; Jones, S.; Bozic, I.; Antal, T.; Leary, R.; Fu, B.; Kamiyama, M.; Hruban, R.H.; Eshleman, J.R.; Nowak, M.A.; et al. Distant metastasis occurs late during the genetic evolution of pancreatic cancer. Nature 2010, 467, 1114–1117. [Google Scholar] [CrossRef] [PubMed] [Green Version]
- Yachida, S.; Iacobuzio-Donahue, C.A. Evolution and dynamics of pancreatic cancer progression. Oncogene 2013, 32, 5253–5260. [Google Scholar] [CrossRef] [Green Version]




| PDAC Patients Radically Resected with Curative Intent | 134 |
|---|---|
| Head | 107 |
| Excluded (no EUS-FNA) | 63 |
| Preoperative EUS-FNA | 44 |
| Excluded | 43 |
| Resected | 1 |
| 1-year disease-free interval | 1 |
| Body and Tail | 27 |
| Excluded (no EUS-FNA) | 12 |
| Preoperative EUS-FNA | 15 |
| Excluded | 0 |
| Resected | 15 |
| 1-year disease-free interval | 13 |
| Case 1 | Case 2 | Case 3 | |
|---|---|---|---|
| Gender | M | F | F |
| Age | 65 | 71 | 75 |
| Presentation | Abdominal pain | Abdominal pain, weight loss | Jaundice |
| EUS-FNA complication | Haemoperitoneum | 0 | 0 |
| Presentation—Surgery delay | 23 M (patient refusal) | 1.5 M | 1 M |
| Surgery | Distal pancreatectomy, splenectomy | Distal pancreatectomy, splenectomy | Hemipancreatoduodenectomy s. Traverso |
| TNM stage, G | pT3N1 M0, G1,R0 | pT1 N0 M0, G2,R0 | pT3 N0 M0, G3,R0 |
| Oncological therapy | CHT, RT | CHT | CHT |
| Chemotherapy | 5-FU | Gemcitabine 4 cycles | Gemcitabine 6 cycles |
| Radiotherapy | 50.4 Gy | 0 | 0 |
| Gastric lesion presentation | Asymptomatic (PET/CT, EUS) | Asymptomatic (PET/CT, EUS) | Vomiting, weight loss, pylorus obstruction |
| Postsurgical delay | 10 M | 26 M | 18 M |
| Serum Ca-19-9 level | 1344 kIU/l | 796.5 kIU/l | 0.6 kIU/l |
| Diameter | 30 mm | 25 mm | 20 mm |
| Oncological therapy | Gemcitabine 5 cycles | 0 | 0 |
| Surgery | Distal stomach resection, lymphadenectomy | Distal stomach resection, lymphadenectomy | Pyloric resection, lymphadenectomy |
| Lymphadenectomy type/positivity | D1 (0 positive) | D1 (3/11 positive) | Peripyloric (2/4 positive) |
| Single/multiple; serosal involvement | Multiple; no serosal involvement | Single; no serosal involvement | Single; no serosal involvement |
| Subsequent therapy | DeGramont regimen CHT 7 cycles | Gemcitabine 5 cycles | 0 |
| Total survival | 56 M | 82 M (alive) | 28 M |
| Survival following gastric resection | 10 M | 54 M (alive) | 10 M (no signs of recurrence) |
| Author | Year | Age | Sex | Location | Tumor mm | Passes | Needle G | Treatment | Stage | Recur. M | Size mm | Treatment |
|---|---|---|---|---|---|---|---|---|---|---|---|---|
| Hirooka | 2003 | 57 | M | Body | 20 | 3 | 22 | DiPE | T1N0M0 | 1 | Micro | PaGE |
| Paquin | 2005 | 65 | M | Tail | 22 | 5 | 22 | DiPE | T1N0M0 | 21 | 50 | CHT |
| Ahmed | 2011 | 79 | M | Body | NR | NR | NR | CePE | T2N0M0 | 39 | 45 | TGE |
| Chong | 2011 | 55 | F | Tail | 27 | 3 | 22 | DiPE | T2N0M0 | 26 | 40 | NR |
| Katanuma | 2012 | 68 | F | Body | 20 | 4 | 22 | DiPE | T2N0M0 | 22 | NR | NR |
| Anderson | 2013 | 51 | M | Head | 50 | NR | NR | CHT | NR | NR | 10 | NR |
| Ngamruengphong | 2013 | 66 | M | Body/Tail | NR | 3 | 22,19 | STPE | NR | 27 | NR | NR |
| Ngamruengphong | 2013 | 77 | F | Tail | 40 | 3 | 19 | DiPE, PaGE | NR | 26 | NR | NR |
| Sakurada | 2015 | 87 | F | Body | 25 | NR | 22 | DiPE | T2N0M0 | 19 | 20 | PaGE |
| Minaga | 2015 | 64 | F | Body | 20 | 3 | 22 | DiPE | T3N0M0 | 8 | 12 | PaGE |
| Tomonari | 2015 | 78 | M | Body | 20 | 2 | 22 | DiPE | T3N0M0 | 28 | 32 | sTGE |
| Kita | 2016 | 68 | F | Body | NR | 2 | 22 | RT | NR | 4 | NR | NR |
| Yamabe | 2016 | 75 | M | NR | 30 | NR | 25 | CHT | NR | 3 | 24 | CHT |
| Minaga | 2016 | 72 | M | Body | 10 | NR | NR | DiPE | T1N0M0 | 24 | 30 | PaGE |
| Iida | 2016 | 78 | F | NR | NR | 3 | 22 | DiPE | T3N0M0 | 6 | 18 | PaGE |
| Yamanuchi | 2018 | 50 | M | Tail | 38 | 2 | 22 | DiPE | T3N0M0 | 23 | 28 | PaGE |
| Sakamoto | 2018 | 50 | M | Tail | 38 | 2 | 22 | DiPE | T4N1M0 | 24 | 20 | PaGE |
| Matsumoto | 2018 | 50 | M | Body | 35 | 3 | 21 | DiPE, PaGE | NR | 8 | NR | PaGE |
| Matsui | 2019 | 68 | F | Body | 15 | 4 | 19–22 | DiPE, PaGE | T1N1M0 | 1 | micro | PaGE |
| Matsui | 2019 | 70 | M | Body | 34 | 1 | 23 | DiPE, PaGE | T3N0M1 | 4 | micro | PaGE |
| Kawabata | 2019 | 78 | F | Body | 11 | NR | 22 | DiPE, PaGE | T1N0M0 | 36 | 25 | PaGE |
| Sato | 2020 | 83 | F | Body | 25 | 2 | 22 | DiPE | T2N1bM0 | 22 | 23 | PaGE |
| Rothermel | 2020 | 61 | M | Body | 37 | 3 | 25 | DiPE | T3N0M0 | 42 | 25 | WGE |
| Okamoto | 2020 | 72 | F | Tail | 42 | 5 | 22 | DiPE + PaGE | T3N1M0 | - | micro | CHT (Folfirinox) |
| Yane | 2020 | 66 | F | Tail | NR | 4 | 22 | DiPE | T3N0M0 | 18.7 | NR | CHT |
| Yane | 2020 | 78 | M | Tail | NR | 2 | 22 | DiPE | T3N0M0 | 26.6 | NR | Resection |
| Yane | 2020 | 86 | F | Body | NR | 3 | 22 | DiPE | T2N0M0 | 18.7 | NR | Resection |
| Yane | 2020 | 49 | M | Body | NR | 4 | 22 | DiPE | T2N0M0 | 27.8 | NR | Resection |
| Yane | 2020 | 79 | F | Body | NR | 3 | 22 | DiPE | T1N0M0 | 36 | NR | Resection |
| Yane | 2020 | 78 | F | Body | NR | 4 | 22 | DiPE | T1N0M0 | 34.9 | NR | Resection |
| Lovecek | 2022 | 75 | F | Head | 25 | 2 | 22 | PPPDE | T3N0M0 | 17 | 20 | PaGE |
| Lovecek | 2022 | 71 | F | Body | 14 | 2 | 22 | DiPE | T1N0M0 | 23 | 18 | PaGE |
| Lovecek | 2022 | 65 | M | Tail | 30 | 4 | 22 | DiPE | T3N1M0 | 23 | 30 | PaGE |
Publisher’s Note: MDPI stays neutral with regard to jurisdictional claims in published maps and institutional affiliations. |
© 2022 by the authors. Licensee MDPI, Basel, Switzerland. This article is an open access article distributed under the terms and conditions of the Creative Commons Attribution (CC BY) license (https://creativecommons.org/licenses/by/4.0/).
Share and Cite
Loveček, M.; Skalický, P.; Urban, O.; Tesaříková, J.; Kliment, M.; Psár, R.; Švébišová, H.; Urban, K.; Mohelníková-Duchoňová, B.; Klos, D.; et al. Isolated Gastric Metastases of Pancreatic Ductal Adenocarcinoma following Radical Resection—Impact of Endosonography-Guided Fine Needle Aspiration Tract Seeding. Biomedicines 2022, 10, 1392. https://doi.org/10.3390/biomedicines10061392
Loveček M, Skalický P, Urban O, Tesaříková J, Kliment M, Psár R, Švébišová H, Urban K, Mohelníková-Duchoňová B, Klos D, et al. Isolated Gastric Metastases of Pancreatic Ductal Adenocarcinoma following Radical Resection—Impact of Endosonography-Guided Fine Needle Aspiration Tract Seeding. Biomedicines. 2022; 10(6):1392. https://doi.org/10.3390/biomedicines10061392
Chicago/Turabian StyleLoveček, Martin, Pavel Skalický, Ondřej Urban, Jana Tesaříková, Martin Kliment, Róbert Psár, Hana Švébišová, Kateřina Urban, Beatrice Mohelníková-Duchoňová, Dušan Klos, and et al. 2022. "Isolated Gastric Metastases of Pancreatic Ductal Adenocarcinoma following Radical Resection—Impact of Endosonography-Guided Fine Needle Aspiration Tract Seeding" Biomedicines 10, no. 6: 1392. https://doi.org/10.3390/biomedicines10061392
APA StyleLoveček, M., Skalický, P., Urban, O., Tesaříková, J., Kliment, M., Psár, R., Švébišová, H., Urban, K., Mohelníková-Duchoňová, B., Klos, D., & Stašek, M. (2022). Isolated Gastric Metastases of Pancreatic Ductal Adenocarcinoma following Radical Resection—Impact of Endosonography-Guided Fine Needle Aspiration Tract Seeding. Biomedicines, 10(6), 1392. https://doi.org/10.3390/biomedicines10061392

