Clinical, Histopathologic, and Immunohistochemical Features of Patients with IgG/IgA Pemphigus
Abstract
:1. Introduction
2. Materials and Methods
2.1. Patient Selection
2.2. Immunohistochemical Staining
2.3. Statistical Analysis
3. Results
3.1. Demographics and Clinical Presentations of Patients with IgG/IgA Pemphigus
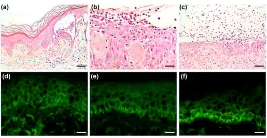
3.2. Histopathologic Features of Patients with IgG/IgA Pemphigus
3.3. Patients with IgG/IgA Pemphigus Show Higher Epidermal Expression of IL-8 and MMP-9 Compared to Those with Conventional Pemphigus
3.4. Treatments for Patients with IgG/IgA Pemphigus
4. Discussion
5. Conclusions
Supplementary Materials
Author Contributions
Funding
Institutional Review Board Statement
Informed Consent Statement
Data Availability Statement
Conflicts of Interest
References
- Kridin, K.; Sagi, S.Z.; Bergman, R. Mortality and cause of death in patients with pemphigus. Acta Derm. Venereol. 2017, 97, 607–611. [Google Scholar] [CrossRef] [PubMed] [Green Version]
- Jelti, L.; Cordel, N.; Gillibert, A.; Lacour, J.P.; Uthurriague, C.; Doutre, M.S.; Delaporte, E.; Duvert-Lehembre, S.; Quereux, G.; Dupuy, A.; et al. Incidence and mortality of pemphigus in France. J. Investig. Dermatol. 2019, 139, 469–473. [Google Scholar] [CrossRef] [PubMed] [Green Version]
- Schmidt, E.; Kasperkiewicz, M.; Joly, P. Pemphigus. Lancet 2019, 394, 882–894. [Google Scholar] [CrossRef]
- Montagnon, C.M.; Tolkachjov, S.N.; Murrell, D.F.; Camilleri, M.J.; Lehman, J.S. Intraepithelial autoimmune blistering dermatoses: Clinical features and diagnosis. J. Am. Acad. Dermatol. 2021, 84, 1507–1519. [Google Scholar] [CrossRef]
- Toosi, S.; Collins, J.W.; Lohse, C.M.; Wolz, M.M.; Weiland, C.N.; Camilleri, M.J.; Bruce, A.J.; McEvoy, M.T.; Lehman, J.S. Clinicopathologic features of IgG/IgA pemphigus in comparison with classic (IgG) and IgA pemphigus. Int. J. Dermatol. 2016, 55, e184–e190. [Google Scholar] [CrossRef] [PubMed]
- Hashimoto, T.; Teye, K.; Hashimoto, K.; Wozniak, K.; Ueo, D.; Fujiwara, S.; Inafuku, K.; Kotobuki, Y.; Jukic, I.L.; Marinović, B.; et al. Clinical and immunological study of 30 cases with both IgG and IgA anti-keratinocyte cell surface autoantibodies toward the definition of intercellular IgG/IgA dermatosis. Front. Immunol. 2018, 9, 994. [Google Scholar] [CrossRef] [PubMed] [Green Version]
- Criscito, M.C.; Cohen, J.M.; Toosi, S.; Penn, L.A.; Ross, C.L.; Park, J.; Love, E.M.; Lehman, J.S.; Brinster, N.K. A retrospective study on the clinicopathologic features of IgG/IgA pemphigus. J. Am. Acad. Dermatol. 2021, 85, 237–240. [Google Scholar] [CrossRef]
- Rosenbach, M.; Murrell, D.F.; Bystryn, J.C.; Dulay, S.; Dick, S.; Fakharzadeh, S.; Hall, R.; Korman, N.J.; Lin, J.; Okawa, J.; et al. Reliability and convergent validity of two outcome instruments for pemphigus. J. Investig. Dermatol. 2009, 129, 1404–1410. [Google Scholar] [CrossRef] [Green Version]
- Costa, L.M.C.; Cappel, M.A.; Keeling, J.H. Clinical, pathologic, and immunologic features of pemphigus herpetiformis: A literature review and proposed diagnostic criteria. Int. J. Dermatol. 2019, 58, 997–1007. [Google Scholar] [CrossRef]
- Kridin, K.; Patel, P.M.; Jones, V.A.; Cordova, A.; Amber, K.T. IgA pemphigus: A systematic review. J. Am. Acad. Dermatol. 2020, 82, 1386–1392. [Google Scholar] [CrossRef]
- Barker, J.N.; Jones, M.L.; Mitra, R.S.; Crockett-Torabe, E.; Fantone, J.C.; Kunkel, S.L.; Warren, J.S.; Dixit, V.M.; Nickoloff, B.J. Modulation of keratinocyte-derived interleukin-8 which is chemotatic for neutrophils and T lymphocytes. Am. J. Pathol. 1991, 139, 869–876. [Google Scholar] [PubMed]
- Narbutt, J.; Lukamowics, J.; Bogaczewicz, J.; Sysa-Jedrzejowska, A.; Torzecka, J.; Lesiak, A. Serum concentration of interleukin-6 is increased both in active and remission stages of pemphigus vulgaris. Mediat. Inflamm. 2008, 2008, 875394. [Google Scholar] [CrossRef] [PubMed] [Green Version]
- Liu, Z.; Giudice, G.J.; Zhou, X.; Swartz, S.J.; Troy, J.L.; Fairley, J.A.; Till, G.O.; Diaz, L.A. A major role for neutrophils in experimental bullous pemphigoid. J. Clin. Investig. 1997, 100, 1253–1263. [Google Scholar] [CrossRef] [PubMed] [Green Version]
- Ujiie, H.; Yamagami, J.; Takahashi, H.; Izumi, K.; Iwata, H.; Wang, G.; Sawamura, D.; Amagai, M.; Zillikens, D. The pathogeneses of pemphigus and pemphigoid diseases. J. Dermatol. Sci. 2021, 104, 154–163. [Google Scholar] [CrossRef] [PubMed]
- Basta, M. Activation and inhibition of complement by immunoglobulins. In The Complement System; Szebeni, J., Ed.; Springer: Boston, MA, USA, 2004; pp. 517–529. [Google Scholar]
- Breedveld, A.; Egmond, M.V. IgA and FcαRI: Pathological roles and therapeutic opportunities. Front. Immunol. 2019, 10, 553. [Google Scholar] [CrossRef] [PubMed]
- Geissmann, F.; Launay, P.; Pasquier, B.; Lepelletier, Y.; Leborgne, M.; Lehuen, A.; Brousse, N.; Monteiro, R.C. A subset of human dendritic cells expresses IgA Fc receptor (CD89), which mediates internalization and activation upon cross-linking by IgA complexes. J. Immunol. 2001, 166, 346–352. [Google Scholar] [CrossRef] [PubMed]
- Tavakolpour, S.; Mahmoudi, H.; Mirzazadeh, A.; Balighi, K.; Darabi-Monadi, S.; Hatami, S.; GhasemiAdl, M.; Daneshpazhooh, M. Pathogenic and protective roles of cytokines in pemphigus: A systematic review. Cytokine 2020, 129, 155026. [Google Scholar] [CrossRef]
- Liu, T.; Li, S.; Ying, S.; Tang, S.; Ding, Y.; Li, Y.; Qiao, J.; Fang, H. The IL-23/IL-17 pathway in inflammaotry skin diseases: From bench to bedside. Front Immunol. 2020, 11, 594735. [Google Scholar] [CrossRef]
- Tirado-Sanchez, A.; Ponce-Olivera, R.M.; Vazquez-Gonzalez, D.; Bonifaz, A. Th-17 and the lack of efficacy of ustekinumab in pemnphigus vulgaris. Dermatol. Online J. 2013, 19, 15. [Google Scholar]
- Cirillo, N.; Prime, S.S. A scoping reivew of the role of metalloproteinases in the pathogenesis of autoimmune pemphigus and pemphigoid. Biomolecules 2021, 11, 1506. [Google Scholar] [CrossRef]
- Ellebrecht, C.T.; Mukherjee, E.M.; Zheng, Q.; Choi, E.J.; Reddy, S.G.; Mao, X.; Payne, A.S. Autoreactive IgG and IgA B cells evolve through distinct subclass switch pathways in the autoimmune disease pemphigus vulgaris. Cell Rep. 2018, 24, 2370–2380. [Google Scholar] [CrossRef] [PubMed] [Green Version]
- Chen, J.; Zheng, Q.; Hammers, C.M.; Ellebrecht, C.T.; Mukherjee, E.M.; Tang, H.Y.; Lin, C.; Yuan, H.; Pan, M.; Langenhan, J.; et al. Proteomic analysis of pemphigus autoantibodies indicates a larger, more diverse, and more dynamic repertoire than determined by B cell genetics. Cell Rep. 2017, 18, 237–247. [Google Scholar] [CrossRef] [PubMed]



| Age | Sex | Clinical Lesions | IgG IIF | PDAI | Comorbidity | Treatment | ||
|---|---|---|---|---|---|---|---|---|
| Skin # | Mucosa | |||||||
| 1 | 44 | F | 2 | + | 1:40+ | 34 | S | |
| 2 | 72 | M | 1 | − | − | 16 | S | |
| 3 | 23 | F | 2 | − | 1:20+ | 23 | S | |
| 4 | 69 | F | 2 | − | 1:20+ | 21 | HTN, CAD | S |
| 5 | 56 | F | 2 | − | 1:10+ | 17 | CU | S |
| 6 | 37 | M | 2 | + | 1:20+ | 27 | S | |
| 7 | 63 | F | 1 | + | 1:40+ | 18 | CU, hyperlipidemia | S |
| 8 | 39 | F | 1 | − | 1:20+ | 16 | S, D | |
| 9 | 49 | M | 2 | − | 1:40+ | 12 | S | |
| 10 | 48 | M | 1 | − | 1:160+ | 20 | Esophageal cancer | S |
| 11 | 47 | M | 2 | + | 1:80+ | 21 | S, A | |
| 12 | 56 | F | 1 | − | 1:20+ | 15 | HTN | S |
| 13 | 47 | F | 1 | + | − | 28 | DM | S, R, A |
| 14 | 37 | M | 2 | + | 1:20+ | 19 | S, A | |
| 15 | 68 | M | 2 | + | 1:160+ | 47 | HTN | S, R |
| 16 | 28 | F | 1 | − | − | 9 | S | |
| 17 | 82 | M | 2 | − | − | 11 | S | |
| 18 | 67 | M | 2 | − | 1:20+ | 14 | CAD | S |
| 19 | 37 | F | 2 | − | 1:20+ | 6 | S | |
| 20 | 69 | F | 1 | + | − | 29 | HTN | S, R, A |
| 21 | 41 | F | 1 | − | 1:20+ | 19 | SLE, asthma | S, MTX |
| 22 | 67 | M | 1 | + | − | 38 | Colon cancer | S, R |
| Histopathology | DIF at Intercellular Space * | |||||||||
|---|---|---|---|---|---|---|---|---|---|---|
| Acantholysis # | Intra-Epidermal Aggregates | IgG | IgA | C3 | ||||||
| Neutrophils | Eosinophils | |||||||||
| 1 | + | − | + | ++ | W | ++ | W | ++ | W | |
| 2 | − | + | + | ++ | W | ++ | W | + | W | |
| 3 | + | + | − | ++ | W | + | W | − | − | |
| 4 | − | − | + | ++ | W | ++ | W | ++ | W | |
| 5 | + | − | − | ++ | U | ++ | U | + | U | |
| 6 | + | − | − | ++ | W | ++ | U | ++ | W | |
| 7 | − | + | − | ++ | W | ++ | W | ++ | W | |
| 8 | +/− | + | + | ++ | L | + | L | ++ | L | |
| 9 | +/− | − | − | ++ | W | + | W | ++ | L | |
| 10 | +/− | − | + | ++ | L | + | L | ++ | L | |
| 11 | +/− | − | − | ++ | W | ++ | W | + | L | |
| 12 | − | + | + | ++ | W | + | W | ++ | L | |
| 13 | + | − | − | ++ | L | ++ | L | + | L | |
| 14 | + | + | − | ++ | W | ++ | W | − | − | |
| 15 | + | − | − | ++ | L | ++ | L | ++ | L | |
| 16 | − | − | − | + | U | + | U | + | U | |
| 17 | + | − | − | ++ | L | + | L | ++ | L | |
| 18 | + | − | − | ++ | W | + | L | ++ | L | |
| 19 | + | + | + | ++ | W | ++ | W | + | L | |
| 20 | + | − | − | ++ | W | ++ | W | − | − | |
| 21 | + | + | − | ++ | W | ++ | W | − | − | |
| 22 | + | + | − | ++ | W | ++ | W | ++ | W | |
| Current Study N = 22 | Toosi S, et al., 2016 [5] N = 13 | Hashimoto T, et al., 2018 [6] N = 30 | Criscito MC, et al., 2021 [7] N = 44 | |
|---|---|---|---|---|
| Age (years) | 52.1 | 48.5 | 55.6 | 59.0 |
| Sex (M/F) | 10/12 | 7/6 | 15/13 | 21/20 |
| Clinical presentation | ||||
| Annular erythemas | 45.5% | N/A | 30.0% | 43.9% |
| Mucosal lesions | 40.9% | 61.5% | 46.7% | 40.0% |
| Histopathology | ||||
| Acantholysis | 77.3% | 84.6% | 17.4% | 100% |
| Intra-epidermal infiltration | ||||
| Neutrophils | 40.9% | 76.9% | 47.8% | 44.2% |
| Eosinophils | 31.8% | 38.5% | 34.8% | 23.3% |
| DIF at intercellular space | ||||
| IgG | 100% | 100% | 77.3% | 100% |
| IgA | 100% | 100% | 77.3% | 97.5% |
| C3 | 81.8% | 100% | 83.3% | N/A |
| Comorbidities | ||||
| Malignancy | 9.1% | 15.4% | 20.0% | 27.0% |
| Autoimmune | 9.1% | 7.7% | 6.7% | 10.8% |
| Treatment | ||||
| Systemic steroids # | 95.5% | N/A | 52.6% | 59.0% |
| Dapsone | 0.0% | 15.4% | 26.3% | 15.4% |
| Steroids + Dapsone | 4.5% | 15.4% | 5.3% | 17.9% |
Publisher’s Note: MDPI stays neutral with regard to jurisdictional claims in published maps and institutional affiliations. |
© 2022 by the authors. Licensee MDPI, Basel, Switzerland. This article is an open access article distributed under the terms and conditions of the Creative Commons Attribution (CC BY) license (https://creativecommons.org/licenses/by/4.0/).
Share and Cite
Cho, Y.-T.; Fu, K.-T.; Chen, K.-L.; Chang, Y.-L.; Chu, C.-Y. Clinical, Histopathologic, and Immunohistochemical Features of Patients with IgG/IgA Pemphigus. Biomedicines 2022, 10, 1197. https://doi.org/10.3390/biomedicines10051197
Cho Y-T, Fu K-T, Chen K-L, Chang Y-L, Chu C-Y. Clinical, Histopathologic, and Immunohistochemical Features of Patients with IgG/IgA Pemphigus. Biomedicines. 2022; 10(5):1197. https://doi.org/10.3390/biomedicines10051197
Chicago/Turabian StyleCho, Yung-Tsu, Ko-Ting Fu, Kai-Lung Chen, Yih-Leong Chang, and Chia-Yu Chu. 2022. "Clinical, Histopathologic, and Immunohistochemical Features of Patients with IgG/IgA Pemphigus" Biomedicines 10, no. 5: 1197. https://doi.org/10.3390/biomedicines10051197
APA StyleCho, Y.-T., Fu, K.-T., Chen, K.-L., Chang, Y.-L., & Chu, C.-Y. (2022). Clinical, Histopathologic, and Immunohistochemical Features of Patients with IgG/IgA Pemphigus. Biomedicines, 10(5), 1197. https://doi.org/10.3390/biomedicines10051197

